阿摩線上測驗
登入
首頁
>
醫學二:100題 ( 包括生理學,生化學,藥理學,病理學等科目及其臨床相關知識 )
> 【已刪除】103年 - 103 年 - 第一次專技人員考試-醫學(二)(包括生理學、生化學、藥理學、病理學等科目及其臨床相關知識)#52457
【已刪除】103年 - 103 年 - 第一次專技人員考試-醫學(二)(包括生理學、生化學、藥理學、病理學等科目及其臨床相關知識)#52457
科目:
醫學二:100題 ( 包括生理學,生化學,藥理學,病理學等科目及其臨床相關知識 ) |
年份:
103年 |
選擇題數:
100 |
申論題數:
0
試卷資訊
所屬科目:
醫學二:100題 ( 包括生理學,生化學,藥理學,病理學等科目及其臨床相關知識 )
選擇題 (100)
【已刪除】1 有關細胞週期(cell cycle)之敘述,下列何者正確? (A)依序可分為 M 期、G
1
期、G
2
期、S 期,再回到 M 期 (B)可受到各種 MAP kinase(mitogen-activated protein kinase)調控 (C)被細胞外之生長因子(growth factor)所抑制 (D)只要細胞存活,細胞週期就會不斷進行
【已刪除】2 光線照射視網膜的感光受器(photoreceptor)會使其發生過極化,而減少何種傳導物質之釋放,進而 抑制雙極細胞(bipolar cell)? (A)γ-aminobutyric acid(GABA) (B)glutamate (C)glycine (D)melatonin
【已刪除】3 下列何處損傷最可能導致病人有異常高的肌肉張力(hypertonia)? (A)α motor neurons (B)γ motor neurons (C)upper motor neurons (D)skeletal muscles
【已刪除】4 因長期帶耳機聽高音量的重低音搖滾樂,造成聽力受損。其最有可能受損的耳蝸神經位於何處? (A)靠近 oval window 的 basilar membrane (B)靠近 oval window 的 tectorial membrane (C)靠近耳蝸尾端處的 basilar membrane (D)靠近耳蝸尾端處的 tectorial membrane
【已刪除】5 引起轉移痛(referred pain)的主要機轉為何? (A)腦部神經的重整現象(reorganization) (B)肢體的支配神經受損 (C)源於幻覺而非神經性疼痛 (D)病灶的器官與表體疼痛部位具有相同支配的神經節
【已刪除】6 關於誤食有機磷(organophosphate)中毒,引起肌肉麻痺的原因,下列何者正確? (A)有機磷占據骨骼肌終板上之 acetylcholine receptors (B)運動神經無法產生動作電位 (C)運動神經無法釋放 acetylcholine (D)運動神經釋放之 acetylcholine 無法被水解清除
【已刪除】7 慣用右手之患者突然右半身體無法動彈(hemiplegia),且無法清楚說話,但能以左手手勢正確回應 醫生提出之問題。經診斷為腦部血管阻塞性中風。下列何處損傷可以合理解釋該患者之症狀? (A)左半腦含 Broca’s area (B)左半腦含 Wernicke’s area (C)右半腦含 Broca’s area (D)右半腦含 Wernicke’s area
【已刪除】8 下列何者,與心肌細胞不具有強直性收縮(tetanic contraction)的特質最有關? (A)L-type 鈣離子通道(Ca
2+
channel) (B)ATP-sensitive 鉀離子通道(K
+
channel) (C)dihydropyridine receptor (D)ryanodine receptor
【已刪除】9 下列何者參與外生性凝血因子的活化路徑? (A)第 7 因子 (B)第 5 因子 (C)第 12 因子 (D)第 11 因子
【已刪除】10 在心動週期中,主動脈瓣膜的關閉,發生於下列那一階段? (A)等體積心室收縮期(isovolumetric contraction) (B)等體積心室舒張期(isovolumetric relaxation) (C)心室快速充血期(rapid filling) (D)心室快速射血期(rapid ejection)
【已刪除】11 收縮壓(systolic pressure)為 148 mmHg、舒張壓(diastolic pressure)為 82 mmHg,其平均動脈壓 (mean arterial blood pressure)為多少 mmHg? (A)66 (B)104 (C)115 (D)133
【已刪除】12 下列有關血管的敘述,何者錯誤? (A)靜脈比動脈有較大的順應性(compliance) (B)主動脈及其他大動脈可藉由管壁的伸展性,產生壓力暫存(pressure reservoir)的作用 (C)小動脈(arteriole)的血流阻力是可以改變的 (D)全身血液量最主要分布在各微血管床
【已刪除】13 下列何者能刺激血管收縮? (A)心房利鈉胜肽(atrial natriuretic peptide) (B)前列環素(prostacyclin) (C)一氧化氮(nitric oxide) (D)內皮素-1(endothelin-1)
【已刪除】14 下列何種情況下,左心室心輸出量(cardiac output)會減少? (A)吃飯 (B)運動 (C)氣溫升高 (D)從平躺站立起來
【已刪除】15 下列何者為限制性肺部疾病(restrictive lung diseases)之最主要特徵? (A)肺順應性(lung compliance)減少 (B)呼吸道阻力(airway resistance)增加 (C)功能性肺餘容量(functional residual capacity)增加 (D)第一秒用力呼氣容積/用力肺活量(FEV
1
/FVC)<80%
【已刪除】16 一氧化碳中毒病人可能會出現那些變化?①體循環動脈血氧飽和度(arterial hemoglobin oxygen saturation)下降 ②血液中乳酸(lactic acid)上升 ③體循環血液總含氧量(oxygen content of systemic arterial blood)下降 ④氧氣與血紅素解離曲線(oxygen-hemoglobin dissociation curve)往右移 (A)①③④ (B)①②③ (C)僅①③ (D)僅③④
【已刪除】17 下列何者以次級主動運輸方式吸收進入小腸上皮細胞? (A)胺基酸 (B)膽固醇 (C)鈣 (D)果糖
【已刪除】18 下列引起黃疸(jaundice)的病因中,何者為膽紅素(bilirubin)產生過多、超出正常肝臟內所能接合 (conjugation)的能力範圍? (A)急性肝炎 (B)溶血性疾病 (C)總膽管結石 (D)胰臟頭部癌
【已刪除】19 若某物質 X 可被濾出,其血漿中的濃度與腎絲球過濾率(glomerular filtration rate)的乘積大於尿中 濃度與每分鐘尿量的乘積,則下列何者為腎小管對此物質的作用? (A)重吸收作用大於分泌作用 (B)幾乎不進行重吸收作用 (C)重吸收作用等於分泌作用 (D)分泌作用大於重吸收作用
【已刪除】20 一位 3 歲女童自嬰兒期開始有多喝多尿的症狀。尿液檢測發現尿滲透度(urinary osmolality)數值低 於 150 mOsm/kg、尿中之鈉離子濃度低於正常,該童之尿滲透度無法以限水或給予抗利尿激素的方 式提高數值,下列何者是最可能之診斷? (A)中樞性尿崩症(central diabetes insipidus) (B)腎因性尿崩症(nephrogenic diabetes insipidus) (C)慢性腎盂腎炎(chronic pyelonephritis) (D)心因性尿崩症(psychogenic diabetes insipidus)
【已刪除】21 下列何者在下視丘分泌減少時會引起泌乳激素(prolactin)分泌增加? (A)乙醯膽鹼(acetylcholine) (B)腎上腺素(epinephrine) (C)多巴胺(dopamine) (D)血清素(serotonin)
【已刪除】22 42 歲男性因高血鈣入院接受副甲狀腺瘤切除手術,術後出現低血鈣的現象,其最主要原因可能為下 列何者? (A)因尿中鈣質排放量遽增導致鈣質流失 (B)因腸胃道鈣質排放增加導致鈣質流失 (C)鈣質沉積於骨中增加,導致血鈣急遽下降 (D)因手術中誘發的 stress 導致的激素變化所致
【已刪除】23 下列何者負責接受鈣離子訊息,進而啟動骨骼肌細胞收縮? (A)myosin (B)actin (C)tropomyosin (D) troponin
【已刪除】24 有關副甲狀腺的敘述,下列何者正確? (A)胚胎來源全來自第三咽弓 (B)共有兩個腺體左右對稱 (C)位於甲狀腺的表面 (D)分泌的激素主要為降鈣素(calcitonin)
【已刪除】
複選題
25 有關婦女懷孕的敘述,下列何者錯誤? (A)若懷孕 6 週後切除卵巢,並不會影響其懷孕的進程 (B)婦女懷孕時,月經週期會被抑制,主要是因為血中動情素大量增加所致 (C)人類絨毛膜性腺激素(human chorionic gonadotropin)是由絨毛組織中滋養葉融合層細胞 (syncytiotrophoblast)所製造分泌 (D)懷孕時胎兒腎上腺類皮質素(adrenal corticoid)的合成,需要胎盤協助合成其中間產物
【已刪除】26 下列那一種胺基酸由於其結構的剛性(rigidity)很大,因此在蛋白質的 β-摺板(β-sheet)結構中很 少出現? (A)甘胺酸(glycine) (B)絲胺酸(serine) (C)半胱胺酸(cysteine) (D)脯胺酸(proline)
【已刪除】27 膠原蛋白(collagen)之羥基化(hydroxylation)修飾反應所需的維生素為: (A)thiamine (B)ascorbate (C)pyridoxal (D)cobalamin
【已刪除】28 真核細胞核內的一種纖維狀物質,其由一整套基因體 DNA 與蛋白質所構成,具調控基因表現的功能。 該構造的名稱為何? (A)染色質(chromatin) (B)中心粒(centrosome) (C)基因(gene) (D)核小體(nucleosome)
【已刪除】29 Holliday intermediate 的結構會在下列何種反應中出現? (A)轉錄作用(transcription) (B)轉譯作用(translation) (C)轉位作用(transposition) (D)同源重組(homologous genetic recombination)
【已刪除】30 人類細胞 mRNA 轉譯成蛋白質,下列何種為正確之調節機制? (A)兩條 mRNA 進行重組(recombination)產生新的蛋白質 (B)將 mRNA 送入核內進行轉譯 (C)和大約 300~500 核苷酸(nucleotides)大小的 DNA 結合而增加製造蛋白質效率 (D)和小於 50 核苷酸(nucleotides)大小的 RNA 結合而減少製造蛋白質效率
【已刪除】31 大腸桿菌 cAMP receptor protein 與 lac 操縱子(operon)DNA 結合後,可產生下列何種效應? (A)幫助 RNA 聚合酶與 lac 啟動子(promoter)結合的效應 (B)可抑制 lac 操縱子的活性 (C)可避免抑制子(repressor)與 lac 的操縱基因(operator)結合 (D)在葡萄糖的存在下始能與 lac 操縱子結合
【已刪除】32 下列關於真核細胞蛋白質合成之敘述,何者正確? (A)所有蛋白質的 N 端起始胺基酸必為甲硫胺酸(methionine) (B)所有蛋白質的 N 端起始胺基酸必為色胺酸(tryptophan) (C)所有蛋白質的 N 端起始胺基酸必為半胱胺酸(cysteine) (D)所有蛋白質的 N 端起始胺基酸必為組胺酸(histidine)
【已刪除】33 有關真核生物基因啟動子(promoter)之特性,下列敘述何者錯誤? (A)有些啟動子在開始轉錄位置附近含有 initiator element (B)有些啟動子含 GC box (C)有些啟動子含 Pribnow box (D)有些啟動子含 TATA box
【已刪除】34 由細胞核之基因所表現之蛋白質,下列何者不須 targeting 序列(signal)? (A)分泌性蛋白質 (B)粒線體蛋白質 (C)膜蛋白質 (D)細胞質蛋白質
【已刪除】35 請在下列各原核細胞 RNA 聚合酶(RNA polymerase)次單元(subunit)中配對出其專一的功能?
(A)a-I, b-II, c-III (B)a-III, b-II, c-I (C)a-III, b-I, c-II (D)a-II, b-III, c-I
【已刪除】36 下列那一個分子不是糖解作用(glycolysis)與糖質新生(gluconeogenesis)共同的中間產物? (A)磷酸烯醇式丙酮酸(phosphoenolpyruvate) (B)草醯乙酸(oxaloacetate) (C)1,3-二磷酸甘油酸(1,3-bisphosphoglycerate) (D)6-磷酸葡萄糖(glucose 6-phosphate)
【已刪除】37 下列何種情況,導致遺傳疾病半乳糖血症(galactosemia)的發生? (A)缺少 fructokinase (B)缺少 UDP-glucose:galactose 1-phosphate uridylyltransferase (C)無法分解 lactose (D)過度攝取 galactose
【已刪除】38 有關哺乳類動物細胞之 N-linked 醣蛋白(glycoproteins)之敘述,下列何者正確? (A)N-linked glycoproteins 最主要之 oligosaccharides 是由 glucose 組成 (B)利用 dolichol phosphate 結合 oligosaccharides 協助醣蛋白之合成 (C)N-linked glycoproteins 用以結合 oligosaccharides 之胺基酸是 lysine (D)N-glycosylation 主要在高基氏體進行
【已刪除】39 UDP-glucose 參與下列那個代謝路徑? (A)五碳糖磷酸途徑(pentose phosphate pathway) (B)肝醣分解(glycogen degradation) (C)糖解作用(glycolysis) (D)半乳糖轉變為葡萄糖(epimerization of galactose to glucose)
【已刪除】40 所有生物細胞膜內的脂雙層具有下列何種共同特色? (A)個別的油脂分子能在脂雙層的表面自由地側向擴散(lateral diffusion) (B)個別的油脂分子能夠快速在脂雙層中的其中一層自由翻轉擴散(flip-flop diffusion)至另外一層 (C)具有極性但不帶電荷之化合物容易經由擴散穿過脂雙層 (D)脂雙層利用鄰近磷脂分子之間的共價鍵而形成穩定結構
【已刪除】41 下列何者不涉及膜融合(membrane fusion)? (A)細胞內吞作用(endocytosis) (B)包膜病毒(enveloped virus)進入細胞 (C)葡萄糖進入細胞 (D)細胞外釋作用(exocytosis)
【已刪除】42 下列何者是細胞運送物質通過細胞膜之促進性擴散作用(facilitated diffusion)的特性? (A)受到溶質濃度梯度的驅動 (B)需要 ATP 的驅動 (C)通常是一種吸能的(endergonic)反應 (D)通常是一種不可逆的反應
【已刪除】43 下列何者是配體管制型離子通道(ligand-gated ion channel)如菸鹼性乙醯膽鹼受體(nicotinic acetylcholine receptor)的特性? (A)在脂雙層中允許離子通透的帶電脂質 (B)碰到特定的離子時才允許配體通過細胞膜 (C)碰到特定的配體時才允許離子通過細胞膜 (D)配體與細胞膜上相對應受體結合需依賴特定離子存在
【已刪除】44 那一種胺基酸生合成過程中,tetrahydrofolate 會轉變成 N
5
, N
10
-methylenetetrahydrofolate? (A)serine + homocysteine→cysteine + alpha-ketobutyrate (B)serine→glycine (C)glutamate→glutamine (D)glutamate→proline
【已刪除】45 maple syrup urine disease 是因為下列那個胺基酸無法代謝,造成 α-keto acids 在血液裡累積? (A)leucine (B)alanine (C)glycine (D)histidine
【已刪除】46 有關人類粒線體的敘述,下列何者正確? (A)有些粒線體蛋白質由細胞核內基因所合成 (B)粒線體內 genome 是直線型雙股 DNA (C)粒線體內 tRNA 及 rRNA 分子全部來自細胞質 (D)粒線體內 genome 不會產生突變
【已刪除】47 血中腎上腺素(epinephrine)濃度增加時,主要會引起下列何種現象? (A)減少 cAMP 產生 (B)活化蛋白質激酶 A(protein kinase A) (C)降低肝細胞肝醣之分解 (D)抑制糖質新生(gluconeogenesis)
【已刪除】48 一位媽媽來求診,述說她的小孩從小能看到東西卻不會分辨顏色,其最可能的原因是: (A)桿狀細胞(rod cells)受損 (B)錐狀細胞(cone cells)上 cGMP 控制型離子通道(cGMP-gated channel)的 α 次單元發生失去功能 (loss-of-function)之基因突變 (C)此病是因為細胞對光刺激時,Mg
2+
無法進入細胞所造成 (D)補充維生素 A(vitamin A)便會痊癒
【已刪除】49 鈣離子(calcium ion)是細胞內重要之二級訊息傳遞者,下列何種物質可影響細胞內鈣離子的濃度? (A)phosphatidylcholine + phospholipase A (B)phosphatidylcholine + phospholipase C (C)phosphatidylinositol + phospholipase A (D)phosphatidylinositol + phospholipase C
【已刪除】50 下列何種 DNA 的缺口可藉由 DNA 連接酶(ligase)所接合? (A)5’-O-P + 3’-OH (B)5’-OH + 3’-O-P (C)5’-OH + 3’-OH (D)5’-O-P + 3’-O-P
【已刪除】51 下列敘述,何者錯誤? (A)分布體積(Vd),為藥物實際分布體積 (B)肝、腎功能對於藥物清除率(CL)有很重要之影響 (C)當給藥之後,血漿藥物濃度降至原來一半所需的時間,稱為半衰期(t1/2) (D)靜脈(IV)給藥之生體可用率(bioavailability)為 100%
【已刪除】52 β-lactamase inhibitor 在臨床上常與下列 penicillin 類藥物搭配合用,來擴充其抗菌範圍和活性,何項 除外? (A)nafcillin (B)ampicillin (C)amoxicillin (D)ticarcillin 代號:2101 頁次:12-7
【已刪除】53 下列關於肺結核治療劑 isoniazid 藥理機制及作用之敘述,何者錯誤? (A)可抑制分枝桿菌細胞壁成分 mycolic acid 生成 (B)為殺菌型抗生素 (C)若病人肝臟 N-acetyltransferase 活性過高,會使其藥效降低 (D)會誘導肝臟 cytochrome P450 活性明顯增加
【已刪除】54 下列藥物之作用機制為抑制細菌細胞壁之生合成,何者除外? (A)cycloserine (B)cephalexin (C)clindamycin (D)bacitracin
【已刪除】55 下列有關磺胺劑之敘述,何者錯誤? (A)可抑制細菌 folic acid 之生合成 (B)可與 trimethoprim 合用產生加乘(synergistic)抑菌作用 (C)單獨使用可抑制人體 folic acid 之生合成,因此有貧血(anemia)之不良作用 (D)不良作用有過敏反應,Stevens-Johnson syndrome
【已刪除】56 下列藥物之主要作用為降低血漿 triglyceride,何者除外? (A)niacin (B)fenofibrate (C)cholestyramine (D)gemfibrozil
【已刪除】57 下列有關 heparin 之敘述,何者錯誤? (A)其組成為 sulfated mucopolysaccharide (B)具有高負電荷之分子 (C)需要 antithrombin III 存在下才能發揮最佳活性 (D)它僅能中和 thrombin 之凝血活性,對於 Xa, XIIa 拮抗作用小
【已刪除】58 下列何項藥物具有免疫調節、抗發炎和抗血管新生作用,它可抑制 TNF-α 作用,降低 neutrophil 之 吞噬作用? (A)azathioprine (B)thalidomide (C)mycophenolate mofetil (D)cyclosporine
【已刪除】59 下列有關 warfarin 之敘述,何者錯誤? (A)直接抑制 vitamin K 有關之凝血因子 II, VII, IX, X 進行 γ-carboxylation 修飾 (B)直接抑制 epoxide reductase,使還原型 vitamin K 不能再生 (C)protein C 合成不受影響 (D)其抗凝血作用比 heparin 之起始作用時間(onset)慢
【已刪除】
複選題
60 下列何種藥物可以用來治療子宮內膜異位症(endometriosis)的不正常疼痛現象? (A)leuprolide (B)ganirelix (C)desmopressin (D)conivaptan
【已刪除】61 下列有關催產素(oxytocin)的描述,何者錯誤? (A)催產素主要由腦下垂體後葉(posterior pituitary)所分泌,具有促進乳汁泌出(ejection)的作用 (B)在藥理學作用濃度下,催產素具有抑制子宮收縮的作用 (C)注射高劑量的催產素會造成血壓的下降(hypotension) (D)催產素於腸胃道中容易被破壞,因此口服無效 代號:2101 頁次:12-8
【已刪除】62 下列有關 clomiphene 的藥理學作用描述,何者錯誤? (A)為一種雌激素受體部分作用劑(partial estrogen agonist),可以刺激促性腺激素(gonadotropins) 的分泌作用 (B)對於排卵功能障礙的婦女具有刺激排卵的作用 (C)使用時會降低血漿中黃體化激素(LH)和濾泡促進素(FSH)的濃度 (D)容易誘發熱潮紅(hot flushes)的產生
【已刪除】63 下列關於 organic nitrates 之敘述,何者正確? (A)nitroglycerin 口服後之生體可用率(oral bioavailability)高達 70% (B)nitroglycerin 舌下含服的藥效可長達三小時 (C)nitroglycerin 由靜脈注射給予持續數小時可能產生耐藥性(tolerance) (D)amyl nitrite 吸入方式給藥後之首度效應(hepatic first-pass effect)高
【已刪除】64 下列何者為中樞神經性降低交感神經活性藥物,主要用於治療懷孕期間之高血壓? (A)carbidopa (B)dobutamine (C)fenoldopam (D)methyldopa
【已刪除】65 Captopril 因為抑制converting enzyme使下列何種物質的代謝受阻,而產生咳嗽或血管性水腫(angioedema) 的副作用? (A)angiotensin II (B)adenosine (C)bradykinin (D)prostacyclin
【已刪除】66 下列何種藥物,最適合用於診斷重症肌無力(myasthenia gravis)? (A)echothiophate (B)edrophonium (C)entacapone (D)estazolam
【已刪除】67 下列何種藥物,於戰爭時被用於預防有機磷化學武器藥物不可逆結合至 cholinesterase? (A)atropine (B)pralidoxime (C)pyridostigmine (D)trospium
【已刪除】68 下列何者是 varenicline 的臨床用途? (A)戒菸 (B)青光眼 (C)重症肌無力 (D)老年失智症
【已刪除】69 下列何種 β-adrenoceptor 拮抗劑之排除半衰期(elimination half-life)最短? (A)bisoprolol (B)esmolol (C)nadolol (D)propranolol
【已刪除】70 下列何種 prostaglandins 衍生物,可用於治療廣角性青光眼? (A)misoprostol (B)epoprostenol (C)alprostadil (D)latanoprost
【已刪除】71 新生兒若需做心臟手術時,在等待期間可使用下列何種藥物先行維持動脈導管通暢? (A)misoprostol (B)epoprostenol (C)alprostadil (D)latanoprost
【已刪除】72 下列抗憂鬱藥中,何種屬於 monoamine oxidase inhibitors? (A)selegiline (B)paroxetine (C)imipramine (D)bupropion
【已刪除】73 下列那一種全身麻醉劑(general anesthetics)最容易造成心輸出量及血壓下降? (A)ketamine (B)halothane (C)nitrous oxide (D)isoflurane
【已刪除】74 關於 caffeine 的敘述,下列何者錯誤? (A)會使支氣管平滑肌放鬆 (B)會抑制胃酸的分泌 (C)其高劑量會增加心跳速率及增加心輸出量 (D)具有利尿的作用 代號:2101 頁次:12-9
【已刪除】75 下列何者不是 gene transfer 所使用的 vectors? (A)adenovirus (B)retrovirus (C)liposome-DNA (D)naked RNA
【已刪除】76 下列有關肉芽腫性炎症(granulomatous inflammation)的敘述,何者正確? (A)蘭漢氏型巨細胞(Langhans-type giant cells)與異物型巨細胞(foreign body-type giant cells)的形態 不同,但其功能並無差異 (B)乾酪狀(caseating)肉芽腫常見於類肉瘤病(sarcoidosis) (C)肉芽腫內的淋巴球大部分為 B 淋巴球 (D)肉芽腫常見於潰瘍性結腸炎(ulcerative colitis)之腸壁中
【已刪除】77 含嗜中性白血球及壞死組織之滲出物,屬於何種炎症? (A)漿液性 (B)出血性 (C)肉芽性 (D)化膿性
【已刪除】78 下列那一種細胞再生能力最強? (A)肝細胞 (B)肌肉細胞 (C)神經細胞 (D)心肌細胞
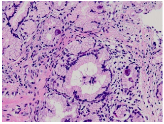
【已刪除】79 56 歲女性,因肺腺癌接受化學治療。上腹悶痛前來就醫。內視鏡檢查發現十二指腸有一直徑約 0.5 公分不規則形潰瘍,病理切片檢查如圖所示。最可能的診斷為:
(A)巨細胞病毒(cytomegalovirus)感染 (B)轉移性肺腺癌 (C)十二指腸腺癌 (D)單純疱疹病毒(herpes simplex virus)感染
【已刪除】80 下列何種疾病可以出現有脂質或蛋白質等物質過度儲積於神經元(neuron)細胞內?①尼曼-匹克症 (Niemann-Pick disease) ②黏多醣儲積症(mucopolysaccharidoses) ③戴-薩克斯症(Tay-Sachs disease) (A)僅①② (B)僅②③ (C)僅①③ (D)①②③
【已刪除】81 長期吸菸會引起膀胱癌,與下列何種物質關係最密切? (A)polycyclic aromatic hydrocarbons (B)nitrosonornicotine (C)4-aminobiphenyl (D)nicotine
【已刪除】82 下列何種抑癌基因(tumor suppressor gene)功能與 DNA 的修補有關? (A)APC/ β-catenin (B)PTEN (C)RB1 (D)BRCA1 及 BRCA2
【已刪除】83 32 歲女性,因心肌梗塞住入加護病房,二天後出現肋膜腔積水,病人體溫攝氏 37 度,此肋膜腔積水 之性質,下列何者最有可能? (A)比重超過 1.017 (B)屬於漏出液(transudate) (C)含大量發炎細胞 (D)每公合(dL)之蛋白量超過 4 公克
【已刪除】84 心肌梗塞發生多久時,在顯微變化上明顯出現大量嗜中性白血球? (A)1-3 小時 (B)6-12 小時 (C)12-18 小時 (D)1-3 天
【已刪除】85 80 歲老翁有左心室擴大,時常發作心絞痛,心導管檢查並無嚴重冠狀動脈狹窄,二尖瓣正常,但有 明顯主動脈瓣狹窄,此人最可能的主動脈瓣膜病變是: (A)calcific aortic stenosis (B)rheumatic aortic stenosis (C)syphilitic aortitis (D)Marfan syndrome
【已刪除】86 有關何杰金氏淋巴癌(Hodgkin lymphoma)的敘述,下列何者正確? (A)腫瘤主要是由惡性的小淋巴細胞組成,混雜著由小淋巴細胞轉化而來的 Reed-Sternberg 細胞 (B)腫瘤常以侷限在局部單一淋巴結群表現 (C)對放射線與化學治療反應不佳,是高度惡性腫瘤 (D)淋巴細胞為主(lymphocyte predominance)的亞型與 Epstein-Barr 病毒關係最密切
【已刪除】87 出現尿蛋白是下列何種血液腫瘤的主要臨床表徵之一? (A)套膜細胞淋巴癌(mantle cell lymphoma) (B)濾泡性淋巴癌(follicular lymphoma) (C)多發性骨髓瘤(multiple myeloma) (D)結節硬化型何杰金氏淋巴癌(nodular sclerosis Hodgkin lymphoma)
【已刪除】88 下列何種血液性疾病,在典型的案例中脾臟常會出現骨髓外造血及腫大? (A)鐮刀型紅血球病(sickle-cell disease) (B)缺鐵性貧血(iron deficiency anemia) (C)原發性骨髓纖維化(primary myelofibrosis) (D)免疫性血小板缺乏紫斑症(immune thrombocytopenic purpura)
【已刪除】89 肺氣腫與下列何者最相關? (A)彈性蛋白分解酶(elastase) (B)夏萊二氏晶體(Charcot-Leyden crystals) (C)補體(complement) (D)急性發炎化學調節因子(chemical mediators)
【已刪除】90 17 歲女性,出現肝功能異常、腹水、脾臟腫大及手顫抖等現象,病人亦偶有精神症狀和行為異常。 肝臟穿刺切片最可能出現下列何種變化? (A)銅離子沉積在肝細胞 (B)periodic acid-Schiff(PAS)染色陽性的小球(globule) (C)脂肪性肝炎(steatohepatitis) (D)非化膿性肝內膽管破壞(nonsuppurative destruction of intrahepatic bile duct)
【已刪除】91 20 歲男性,在進行大腸鏡檢查時發現數以千計的瘜肉,有關此病人的敘述何者錯誤? (A)此病為體染色體隱性遺傳 (B)此病人很可能有 APC 基因突變 (C)如果不治療,90%以上的病人會發生大腸癌 (D)此病常見 β-catenin 途徑不正常活化
【已刪除】92 王太太,46 歲,抱怨過去幾個月來全身皮膚發癢,且最近越來越厲害。抽血檢查發現 total bilirubin、 alkaline phosphatase 及 cholesterol 上升,且 antimitochondrial antibody titer 也上升。她的肝臟切片最可 能出現下列何種病理變化? (A)肝細胞有銅的堆積(copper deposition) (B)膽管有肉芽腫炎性破壞(granulomatous destruction) (C)肝細胞內有許多普魯士藍染色(Prussian blue stain)陽性色素存在 (D)膽管有同心圓狀洋蔥皮般的纖維化(onion-skin fibrosis)
【已刪除】93 35 歲女性已口服避孕藥避孕 5 年,因為右上腹不適而至門診就診,經腹部超音波檢查發現在肝臟左 葉被膜下方有一 8 公分大腫瘤,顯微鏡下腫瘤內找不到門脈區但有明顯的小動脈及小靜脈的增生, 腫瘤細胞與正常肝細胞相似但具有透亮細胞質。下列關於此疾病臨床特徵之敘述,何者錯誤? (A)臨床上不易與惡性肝細胞癌區分 (B)病人常見門脈高壓 (C)懷孕時腫瘤容易破裂造成腹腔內出血 (D)少數病例可能與肝細胞癌同時出現
【已刪除】94 下列何種囊性腎病變(renal cystic disease)最常合併肝門脈區纖維化? (A)兒童多囊性腎病(childhood polycystic kidney disease) (B)成人多囊性腎病(adult polycystic kidney disease) (C)成人腎髓質囊性病(adult-onset medullary cystic disease) (D)後天性囊性腎病(acquired renal cystic disease)
【已刪除】95 有關攝護腺癌之敘述,下列何者錯誤? (A)腫瘤細胞形成的腺體構造,通常比正常的腺體小 (B)腫瘤腺體構造可由單層細胞組成 (C)腫瘤細胞常見大量有絲分裂 (D)轉移的位置常出現在骨盆淋巴結及脊椎骨
【已刪除】96 48 歲女性,因為自己摸到右側乳房有一個腫瘤就醫,經檢查後確定為乳癌。下列何種乳癌的狀況代 表的預後可能最好? (A)為 4 公分大的原位癌 (B)有一顆腋下淋巴結轉移 (C)皮下淋巴管有癌細胞存在 (D)HER2/neu 基因或蛋白過度表現
【已刪除】97 40 歲女性,最近她接受第一次子宮頸抹片檢查時發現有不正常的腺體細胞,身體診查並無其他異常。 附圖所示是她接受子宮切除標本的切面圖。下列何者是最可能的診斷?
(A)腺肌症(adenomyosis) (B)子宮內膜異形複雜性增生(atypical complex hyperplasia of endometrium) (C)子宮頸腺癌(cervical adenocarcinoma) (D)子宮內膜腺癌(endometrial adenocarcinoma)
【已刪除】
複選題
98 50 歲男性,患肺小細胞癌,肌無力,臨床診斷朗伯-伊頓肌無力症候群(Lambert-Eaton myasthenic syndrome),下列敘述何者正確? (A)此症候群只見於惡性腫瘤之病人 (B)影響的肌肉主要為肢體遠端之肌肉 (C)在神經肌肉連接處(neuromuscular junction)的神經胞突後膜(postsynaptic membrane),對於抗 膽素脂酶(anticholinesterase)的反應正常 (D)使用抗膽素脂酶製劑(anticholinesterase agent)能改善臨床症狀
【已刪除】99 血清中出現下列何種標記,代表病人對 B 型肝炎病毒具有免疫力? (A)IgM-anti-HBc (B)IgG-anti-HBc (C)anti-HBe (D)anti-HBs
【已刪除】100 圖示之腦部病變最符合下列那一項病況?
(A)60 歲慢性酒精中毒男性,出現頭痛、腦膜徵象(meningeal sign)、發燒、腦脊髓液嗜中性白血球 增加 (B)80 歲男性,住養老院,長期痴呆 (C)突發頭痛、半身不遂,血壓 220/115 mmHg (D)漿果樣動脈瘤破裂
申論題 (0)