阿摩線上測驗
登入
首頁
>
醫學五:80題 ( 包括外科,骨科,泌尿科等科目及其相關臨床實例與醫學倫理 )
> 100年 - 100-1 專技高考_醫師(二):醫學(五)(包括外科、骨科、泌尿科等科目及其相關臨床實例與醫學倫理)#36951
100年 - 100-1 專技高考_醫師(二):醫學(五)(包括外科、骨科、泌尿科等科目及其相關臨床實例與醫學倫理)#36951
科目:
醫學五:80題 ( 包括外科,骨科,泌尿科等科目及其相關臨床實例與醫學倫理 ) |
年份:
100年 |
選擇題數:
80 |
申論題數:
0
試卷資訊
所屬科目:
醫學五:80題 ( 包括外科,骨科,泌尿科等科目及其相關臨床實例與醫學倫理 )
選擇題 (80)
1 肝臟最常見的良性腫瘤為: (A)血管瘤(hemangioma) (B)腺瘤(adenoma) (C)局部結節增生(focal nodular hyperplasia) (D)淋巴瘤(lymphoma)
2 為減少疤痕,手術時切口應: (A)平行於“張力最小”(minimal tension)線 (B)垂直於“藍格”線(Langer’s lines) (C)平行於皮下肌肉 (D)垂直於皮膚皺紋
3 Sigmoid colon volvulus 的 associated factor 不包括下列那一項? (A)Aging (B)High fiber and vegetable diet (C)Malrotation (D)Psychotropic medication
4 下列何種情形,並非冠狀動脈繞道手術所能改善? (A)心絞痛 (B)冠狀動脈血管硬化的進行 (C)左心室功能 (D)病人的壽命
5 關於氣管狹窄手術的麻醉之敘述,下列何者錯誤? (A)氣管小於 5 mm 時可能須先行擴張 (B)應先行麻醉再插氣管內管 (C)如有 subglottic stenosis 可能須先行擴張,再插氣管內管 (D)氣管鏡檢查最好開刀中才作
6 Colorectal adenomatous polyp with focal invasive carcinoma 是表示 cancer 已 extend through polyp 的那 個 layer? (A)mucosa (B)submucosa (C)muscularis mucosae (D)muscularis propria
7 下列何者是腹腔鏡膽囊切除術(laparoscopic cholecystectomy)的 major contraindication? (A)懷孕婦女 (B)Calot’s triangle 無法清楚辨識 (C)腹部曾開過刀 (D)肝硬化病人
8 (A)尿路感染 (B)月經週期來了 (C)直腸陰道瘻管 (D)偽膜性結腸炎
9 承上題,此時最好的暫時處理方式為何? (A)給予口服抗生素治療即可痊癒 (B)經肛門及陰道指診確認後,直接經陰道修補 (C)停止使用其他抗生素,改用 vancomycin 治療 (D)經肛門及陰道指診確認後,先進行大腸造口
10 (A)給予 buscopan,並重新使用 cephalosporin 治療 (B)作 stool cytotoxin assay,保守性治療,並安排大腸鏡檢查 (C)安排 barium enema 檢查 (D)安排緊急全大腸切除術治療
11 承上題,若 stool culture 長出何種細菌,則會被認為是 antibiotic-associated colitis?(A)Clostridium difficile(B)Staphylococcus aureus (C)E. coli (D)Streptococcus bovis
12 承上題,此時會選擇何種藥物治療? (A)注射 clindamycin (B)口服 asacol (C)注射 ampicillin (D)口服 metronidazole 或 vancomycin
13 有一男嬰出生後發現為無肛症(imperforate anus),小便中帶有胎便,則他的疾病是那一種? (A)低位無肛症 (B)高位無肛症 (C)泄殖腔異常(cloacal malformation) (D)必須進一步檢查才能知道
14 幼兒先天性的腮裂瘻管最常發生於第幾對腮裂? (A)一 (B)二 (C)三 (D)四
15 有一 6 週大的男嬰,最近幾天吃奶後有嘔吐現象,沒有腹脹,但上腹部可觸摸到橄欖狀硬塊,你認 為他可能是什麼疾病? (A)肥厚性幽門阻塞(hypertrophic pyloric stenosis) (B)十二指腸閉鎖(duodenal atresia) (C)胃食道逆流(gastroesophageal reflux) (D)腸套疊(intussusception)
16 核子醫學 technetium pertechnetate scan 對診斷下列何種疾病有幫助? (A)梅克耳憩室(Meckel’s diverticulum) (B)水腎 (C)骨髓病變 (D)腎上腺腫瘤
17 肺隔離(pulmonary sequestration)較常發生在何處? (A)左上肺 (B)左下肺 (C)右上肺 (D)右下肺
18 下列有關乳癌發生率之敘述,何者正確? (A)女與男之比率為 1000:1 (B)有乳癌家族史者,其發病年齡較輕,且較易罹患兩側性乳癌 (C)初經晚而停經早者較初經早而停經晚者為高 (D)脂肪攝取量低之婦女較高攝取者為高
19 橋本氏甲狀腺炎(Hashimoto’s disease)最後會導致: (A)甲狀腺機能亢進 (B)淋巴癌 (C)甲狀腺機能低下 (D)甲狀腺乳突癌
20 甲狀腺機能低下不會發生何種現象? (A)T3↓ (B)膽固醇(cholesterol)↓ (C)TSH↑ (D)黏液水腫(myxedema)
21 甲狀腺乳突癌或濾泡癌在接受全甲狀腺切除術後,可利用下列何項來偵測復發或轉移? (A)CEA (B)抑鈣素(calcitonin) (C)甲狀腺球蛋白(thyroglobulin) (D)TSH-receptor Ab
22 下列何者與血中鈣濃度的調節無關? (A)副甲狀腺荷爾蒙 (B)維他命 D (C)抑鈣激素 (D)雌性激素
23 45 歲女性過去無開刀病史,最近一個月出現反覆性上腹痛,半夜突然發生上腹部劇痛,而至急診室 就診,理學檢查有腹膜炎徵象(peritoneal sign),WBC count為 12000/mm
3
,胸部X光如附圖,下列敘 述何者錯誤?
(A)初步診斷為 hollow organ perforation (B)若生命徵象穩定,保守性治療即可,不必開刀 (C)鼻胃管、點滴液、抗生素皆須給予 (D)消化性潰瘍(peptic ulcer disease)可能是其原因
24 下列對於肝臟血管瘤(hemangioma)之敘述,何者錯誤? (A)是最常見的良性肝臟腫瘤 (B)肝功能和 tumor markers 通常是正常的 (C)要診斷一定要先作切片(percutaneous biopsy) (D)女性發生率比男性高
25 下列有關肝癌之敘述,何者正確? (A)50%的病人是手術切除的 good candidate (B)肝移植的成績可達 5 年 80%的存活率 (C)術前肝功能是很重要的 (D)CT arterioportography(CTAP)是重要的檢查,檢查時需要做 portal vein cannulation
26 一般而言,對於 mild gallstone pancreatitis 患者的治療,下列敘述何者錯誤? (A)Fluid and electrolyte repletion 非常重要 (B)Antibioitics 是絕對必要 (C)Biliary tract 之 definitive treatment 儘可能同一次住院中施行 (D)Nutritional support 是必要的
27 下列何者不是世界衛生組織(WHO)對胃腺癌(adenocarcinoma)的分類型態? (A)Signet ring (B)Tubular type (C)Follicular type (D)Mucinous type
28 (A)①②③ (B)②③⑤ (C)①④⑤ (D)②④⑤
29 承上題,腹部電腦斷層(abdominal CT scan)發現右側腎上腺有一 4 cm 之腫瘤,你會採取何種處置? ①給予抗血壓藥物 ②給予 phenoxybenamine 10 mg/12 hr ③建議腹腔鏡手術切除右側腎上腺 ④percutanous needle biopsy (A)①②③ (B)①③④ (C)①②④ (D)②③④
複選題
30 下列何者不是引起肝癌(hepatocellular carcinoma)之危險因子? (一律給分) (A)肝硬化(liver cirrhosis) (B)脂肪肝(fatty liver) (C)B 型肝炎帶原者 (D)酒精
31 (A)胸部 X 光(chest X-ray) (B)KUB X-ray (C)上消化道 X 光(upper G-I series) (D)腹部電腦斷層(abdominal CT scan)
32 承上題,剖腹探查發現為十二指腸潰瘍併穿孔,此時最佳處置為: (A)單純縫合(simple closure) (B)次全切除手術(subtotal gastrectomy) (C)迷走神經幹切除術+前庭切除術(truncal vagotomy + antrectomy) (D)高選擇性迷走神經切除術(highly selective vagotomy)
33 承上題,術中不須作何處置? (A)以生理食鹽水清洗腹腔 (B)送幽門螺旋桿菌培養 (C)腹腔滲出物送細菌培養 (D)術中超音波檢查
34 關於氣管造口術,下列敘述何者錯誤? (A)其適應症包括分泌物多無法自咳、氣管阻塞、肺部功能不良需長期使用呼吸器 (B)常造口於胸骨上方第 5、6 節間的氣管軟骨環 (C)如長期氣管造口插管且充氣球硬度過高,可能造成氣管食道瘻管 (D)成人氣管之長度約為 10 至 13 公分,有 18 至 22 個軟骨環節
35 氣管最常見的惡性腫瘤為: (A) squamous cell carcinoma (B)adenoid cystic carcinoma (C)carcinoid (D)adenoma
36 下列何者並非冠狀動脈疾病合併左心室瘤的外科適應症? (A)充血性心臟衰竭 (B)感染性心內膜炎 (C)心絞痛 (D)心室性心律不整
37 下列何者是機械性瓣膜(mechanical prosthesis)和半生物性瓣膜(bioprosthesis)相比較時,前者的 最大優點? (A)須長期服用抗凝血劑 (B)耐用性高(durability) (C)對細菌感染抵抗力強 (D)較不會產生溶血
38 主動脈瓣閉鎖不全的病人,雖然臨床上並沒有心臟衰竭的症候,但若下列何現象出現,表示左心室 功能開始在變差,應儘速手術治療? (A)左心室心縮末期寬度(LVESD)大於 50 毫米 (B)左心室心舒末期寬度(LVEDD)大於 50 毫米 (C)左心房最大寬度大於 50 毫米 (D)主動脈瓣環部最大寬度大於 30 毫米
39 (A)體外循環會破壞血小板 (B)體外循環會造成溶血 (C)體外循環時,殘餘之肝素 (D)可能有出血點沒有查到
40 承上題,此時病人之血壓在 120/70 毫米汞柱,中心靜脈壓約 10 毫米汞柱,心跳每分鐘約 90 次,此 時應作何種檢查最適宜? (A)測量病人血液之 prothrombin time (B)測量病人血液之 activated clotting time (C)測量引流管引流液之血容比 (D)作胸前心臟超音波檢查
41 承上題,在由靜脈輸入全血、血小板及新鮮血漿後,第 3 個小時出血量減少至 300 毫升左右,但第 4 個小時減少至 50 毫升左右,同時病人心跳加速至每分鐘 120 次左右,血壓降至心縮壓約 80~90 毫 米汞柱,中心靜脈壓約 20 毫米汞柱,小便量也減少,病人四肢冰冷及有冒汗現象,這是什麼現象? (A)低血糖症狀表現 (B)典型的輸血過敏反應 (C)副交感神經反射現象 (D)所謂的低心輸出量狀態
42 承上題,在此情況下,下列那種處置可能最無效益? (A)啟動心律調整器 (B)使用強心劑靜脈注射 (C)使用血管擴張劑靜脈注射 (D)作心臟超音波檢查評估
43 下列有關一氧化碳中毒時的血中HbCO濃度與症狀的敘述,何者正確? (A)在 10%時有頭痛的症狀 (B)在 20%時有嘔吐的症狀 (C)在 30%時會導致昏迷 (D)在 40%時會立即死亡
44 人體組織對缺氧的耐受性不同,下列何者耐受性最差? (A)皮膚 (B)皮下組織 (C)肌肉 (D)周邊神經
45 10 歲男孩呈現水腦及頻尿等尿崩現象,核磁共振造影顯示腦內鞍凹有一個 3 公分囊狀鈣化性腫瘤, 則下列那一項診斷最適當? (A)顱咽管瘤(craniopharyngioma) (B)鈣化性腦下垂體瘤(calcified pituitary adenoma) (C)室管膜瘤(ependymoma) (D)寡樹突細胞瘤(oligodendroglioma)
46 癲癇手術使用下列何種影像診斷工具,可以找出結構性之病灶? (A) MRI (B)PET (C)SPECT (D)MRS
47 下列有關免疫抑制劑的敘述,何者正確? (A)最常使用的組合是 cyclosporine + FK506 + prednisolone (B)Cyclosporine 與 FK506 分子結構相似,但作用機制迥異 (C)原則上,免疫抑制劑需終生服用 (D)Antilymphocyte globulin(ALG)移植後需終生使用以避免排斥
48 患者神經學檢查,肱三頭肌反射(triceps reflex)有減弱或消失,三頭肌乏力,則第幾頸神經最可能 有病變? (A)五 (B)六 (C)七 (D)八
複選題
49 一位 38 歲男性接受腎臟移植術後第十二天順利出院,術後三個月門診追蹤時發現,WBC、CRP 均 在正常範圍,BUN/Cre 值為 20/2.6,並無發燒、腹瀉、咳嗽症狀,移植腎處無觸痛,胸部 X 光、腎 臟超音波無異常發現,接下來應怎麼做? (A)先給廣效性抗生素 (B)先給 ganciclovir (C)先做腎臟切片(kidney biopsy) (D)先降低 cyclosporine 劑量,再追蹤
50 有關胰臟管的敘述,下列何項錯誤? (A)主要胰臟管又名為 duct of Wirsung (B)在胰臟體部的管徑大小為 0.9-2.4 mm (C)若無胰臟炎發生,隨著年齡增加,胰臟管徑會隨之增加 (D)Duct of Santorini 通常會在 duct of Wirsung 的遠側直接開口入十二指腸
51 一位 22 歲女性洗腎已三年,兄弟姊妹欲捐一腎臟給她,下列那些 HLA 抗原具有較為重要的臨床意義?(A)A, B and C(B)A, B and DR(C)DP,DR and DQ(D)A, E and DQ
52 下列何種胰臟良性腫瘤特別好發於年輕女性? (A)Serous cystadenoma (B)Mucinous cystadenoma (C)Intraductal papillary mucinous tumor(IPMT) (D)Solid-pseudopapillary tumor of the pancreas
53 下列有關潛在性器官捐贈者(potential donor)的照顧之敘述,何者錯誤? (A)平均動脈血壓(mean arterial blood pressure)須大於 60 mmHg (B)每小時尿量最好大於 1.0 mL/kg (C)尿崩症(diabetes insipidus)並不常見,故尿量變多時,只須減少給予的水分即可 (D)高血鈉症是常見的電解質不平衡
54 對於慢性胰臟炎導致的吸收不良及腹瀉之治療方法,下列何項不妥? (A) Acid-inhibiting agents (B)低脂肪飲食 (C)脂肪酶口服製劑 (D)低糖飲食
55 最常造成大腸-膀胱瘻管的病因是下列那一個? (A)大腸癌 (B)Crohn’s 症 (C)Chronic ulcerative colitis (D)Diverticulitis
56 急診室的護理長接到骨科值班醫師的電話通知,說因為骨科沒有住院病床了,今天晚上只要是骨折 病人都不要讓他們掛號,直接叫他們自己到別的醫院去求診,護理長不確定這樣做是否正確,就反 問如果是危急的病人呢?該醫師回答說那更是要叫他趕快走,這樣的說法對嗎? (A)對,根據醫療法的規定,沒有掛號就不算是病人 (B)對,因為掛號之後也沒辦法處置,可以幫病人省錢 (C)不對,根據醫療法第 73 條之規定,危急病人先予適當之急救,始可轉診 (D)不對,根據醫療法第 73 條之規定,危急病人不能轉診
57 一般外科的何主任最近進行某項肝癌患者的基因研究,為了要蒐集健康人之對照組,特邀請未來兩 個月到一般外科學習的住院醫師及實習醫師自願參與這項研究提供 10 c.c.之血液檢體。在研究倫理 的觀點上,下列何項是這種納入受試者的方式最大的爭議? (A)試驗主持人對受試者參與臨床試驗之意願可能有不當影響 (B)試驗主持人未考慮醫師乃是特殊族群而影響研究效度 (C)試驗主持人難以客觀地解讀研究發現的意義 (D)試驗主持人忽略對受試者耗用的時間給予應有的補償
58 目前國際醫療正流行,希望能吸引外國人到我國旅遊,同時進行健康檢查或是接受美容手術等。有 關國際醫療的相關倫理法律議題,下列敘述何者正確? (A)外國人在我國不能上法院告醫師 (B)提供外國人的醫療行為就不受醫療法的管理 (C)提供自費的醫療行為就不受醫療法的管理 (D)對待病人的醫學倫理應該不分種族、國籍、黨派
59 頭部外傷病患施予頭部電腦斷層檢查的適應症,下列那幾項是正確的?①GCS<15 分 ②意識喪失 >5 分鐘 ③創傷後失憶 ④頭痛合併嘔吐 (A)①②③④ (B)只有①②③ (C)只有②③④ (D)只有①③④
60 系統發炎反應症候群(systemic inflammatory response syndrome)的定義包括下列那幾項?①體溫< 36℃ ②WBC>12000/mm3 ③PaCO2<40 mmHg ④心跳>100 bpm (A)①② (B)①④ (C)②③ (D)②④
61 一位 37 歲男性工人從工地掉下來,理學檢查時病人意識清楚,但發現尿道口有血跡,而且陰囊有血 腫,會陰有淤傷,接下來你最先要安排何種檢查? (A) Intravenous pyelogram (B)Cystography (C)Retrograde urethrogram (D)Contrast-enhanced computed tomography
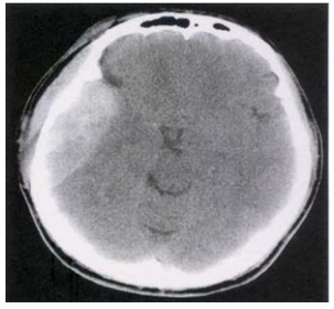
62 38 歲男性,頭部外傷。根據此張 CT 影像,你的診斷是:
(A) Acute epidural hematoma (B)Acute subdural hematoma (C)Acute subarachnoid hemorrhage (D)Acute contusion hemorrhage
63 60 歲的張三,右上腹痛、發燒已數日。醫師診查發現肝臟處有敲痛現象而為他做 CT 檢查。影像顯 示肝內不正常,如圖示。張三的肝臟最有可能罹患何症?
(A)囊腫(hepatic cyst) (B)肝膿瘍(liver abscess) (C)胞蟲囊病(echinococcal cyst) (D)肝細胞癌(hepatocellular carcinoma)
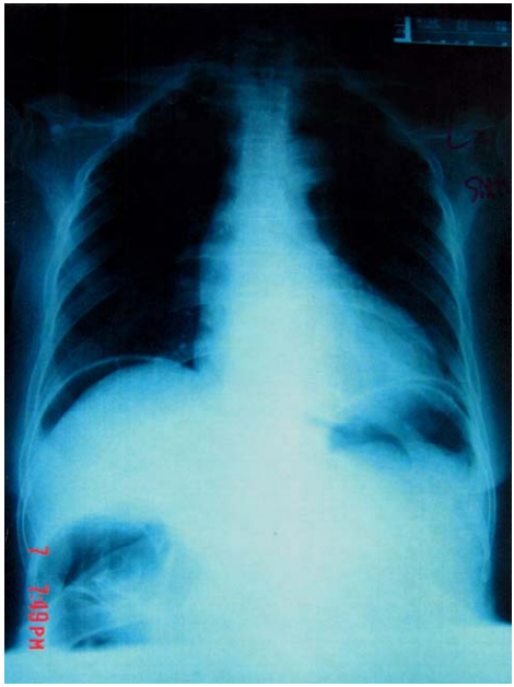
64 50 歲林女士,今天下午感到腹部劇烈疼痛而被送到醫院求診。醫師檢查發現腹部有反彈痛、腹壁呈 僵硬狀。做了腹部 X 光攝影,影像如圖示。林女士最可能患了什麼病?
(A)腸胃穿孔、氣腹(pneumoperitoneum) (B)腸胃出血(gastrointestinal bleeding) (C)無力性腸塞絞痛(adynamic ileus) (D)十二指腸堵塞(duodenal obstruction)
65 52 歲的男性病患,長期酗酒及患有慢性肝炎,長期在肝膽內科追蹤。最近作腹部超音波發現腎盂積 水,故轉至泌尿科門診檢查,尿液分析 RBC: 5-10/HPF,WBC: 25-50/HPF,AC sugar: 147 mg/dL, BUN: 78 mg/dL,Cr: 2.3 mg/dL,SGOT: 56 U/L,SGPT: 37 U/L,經 KUB 及 spiral CT without enhanced (電腦斷層攝影)(如圖),可能的診斷是:
(A)左側輸尿管結石,左腎結石 (B)僅左輸尿管結石 (C)兩側輸尿管結石,左腎結石 (D)右側輸尿管結石,右腎結石
66 下列何種醣蛋白變異與肌肉侵犯型膀胱癌最有密切關連? (A) p21 (B)p53 (C)p16 (D)p26
67 下列有關泌尿上皮癌(urothelial cancer)的敘述,何者正確? (A)腺癌(adenocarcinoma)約占 90% (B)慢性發炎是產生腺癌的最主要成因 (C)臍尿管(urachus)長出的癌症多是腺癌 (D)以腎臟發生的機率最多
68 下列那一種藥物不能和 sildenafil(商品名 Viagra)藥物併用? (A) Nitroglycerine (B)Apresoline (C)Digoxin (D)Aspirin
69 下列有關腎臟外傷的敘述,何者錯誤? (A)腎臟鈍傷(blunt injury)大多因腹部撞擊而發生,占腎臟外傷發生率之 80~85% (B)腎臟鈍傷最常見為一級傷害,亦即表示傷害到腎臟髓質 (C)血尿之嚴重度與腎臟受傷之程度無關 (D)腎臟鈍傷後,1%之病患日後可能產生高血壓
70 下列那種問題最不會造成膀胱過動症(overactive bladder)? (A)腦中風 (B)良性前列腺肥大症 (C)子宮頸癌接受根除性切除手術 (D)胸椎損傷造成膀胱功能損傷
71 一位 74 歲患有攝護腺癌並且已經發生轉移,兩年前他已接受睪丸切除手術,此外他未曾接受其他治 療,而且一直都保持很健康。直到最近他發現右側髖關節劇痛,全身性骨頭掃描發現彌漫性多處骨 頭轉移,骨盆 X 光檢查顯示右側髖關節被腫瘤所浸潤破壞,試問接下來應如何處理? (A)給予男性荷爾蒙 (B)給予 LH-RH analog (C)以止痛劑控制疼痛 (D)局部放射治療右側髖關節
72 70 歲男性病患,因排尿問題來就診,病史詢問時患者有許多排尿症狀,下列症狀中何者不屬於國際前列腺症狀量表(IPSS)中的評分項目?(A)小便解完後會有餘尿滴到內褲上(B)晚上要起床小便 4 至 5 次,冬天尤其嚴重(C)一旦想小便一定要立刻起身去廁所,有時來不及(D)小便力道變細,比不上年輕的時候
73 (A)先天性橈骨頭脫臼(congenital radial head dislocation) (B)先天性尺骨杵狀手(congenital ulnar club hand) (C)先天性橈尺骨黏合(congenital radioulnar synostosis) (D)創傷後肘內翻(post-traumatic cubitus varus deformity)
74 承上題,下列何者是最適當的治療? (A)不用治療 (B)行關節授動復健治療 (C)行骨黏合分離手術 (D)徒手復位及石膏固定矯正
75 一位 15 歲的女生,三年前開始有月經,最近被診斷是青春期特發性脊椎側彎(adolescent idiopathic scoliosis),側彎度數為 22 度,Risser sign 為 4,目前最適當的治療是: (A)手術治療(surgery) (B)背架治療(brace) (C)觀察(observation) (D)電刺激治療
76 下列成年病患的骨折中,最常用石膏包紮作為確切治療的是: (A)橈骨遠端骨折(Colles 氏骨折) (B)前臂橈骨和尺骨骨折 (C)肱骨頭部粉碎性骨折 (D)鷹嘴突骨折
77 DeQuervain’s disease 中是那二條肌腱被扼緊(entrapment)? (A) Abductor pollicis longus 和 extensor pollicis longus (B)Abductor pollicis brevis 和 extensor pollicis longus (C)Abductor pollicis longus 和 extensor pollicis brevis (D)Abductor pollicis brevis 和 extensor pollicis brevis
78 在脊髓損傷中,下列何種反射動作的恢復,代表脊髓休克(spinal shock)的階段已過去? (A)膝反射 (B)踝反射 (C)頷反射(jaw jerk) (D)球海綿體肌反射(bulbocavernosus reflex)
79 關於痛風(gout)及偽痛風(pseudogout)之敘述,下列何者錯誤? (A)痛風性關節炎主要是尿酸(uric acid)沈積,而偽痛風又名 calcium pyrophosphate dihydrate(CPPD) deposition disease,主要是焦磷酸鹽沈積為主 (B)Gout 最常影響腳上大拇趾第一掌蹠關節(first metatarsal joint),而 pseudogout 最常影響膝關節 (C)尿酸結晶在偏極光下呈現陽性,而焦磷酸鹽結晶呈現陰性 (D)Gout 及 pseudogout 都可用秋水仙素(colchicine)治療
80 關於骨質疏鬆症之敘述,下列何者正確? (A)乳癌病人停經後骨質流失較快,應儘早補充女性荷爾蒙(hormone replacement therapy)來預防骨 質疏鬆 (B)骨質密度檢查目前最被採用的方式為跟骨超音波(quantitative ultrasound, QUS),既方便又沒有放 射線曝露危險 (C)世界衛生組織定義 T-score<-2.5 以下即為骨質疏鬆(osteoporosis) (D)骨質疏鬆分為兩型,卵巢切除或停經屬於第二型
申論題 (0)