阿摩線上測驗
登入
首頁
>
牙醫學(六)(包括齒顎矯正學、兒童牙科學、牙科公共衛生學等科目及其相關臨床實例與醫學倫理)
> 100年 - 100-2 專技高考_牙醫師(二)、牙醫師:牙醫學(六)(包括齒顎矯正學、兒童牙科學、牙科公共衛生學等科目及其相關臨床實例與醫學倫理)#36027
100年 - 100-2 專技高考_牙醫師(二)、牙醫師:牙醫學(六)(包括齒顎矯正學、兒童牙科學、牙科公共衛生學等科目及其相關臨床實例與醫學倫理)#36027
科目:
牙醫學(六)(包括齒顎矯正學、兒童牙科學、牙科公共衛生學等科目及其相關臨床實例與醫學倫理) |
年份:
100年 |
選擇題數:
80 |
申論題數:
0
試卷資訊
所屬科目:
牙醫學(六)(包括齒顎矯正學、兒童牙科學、牙科公共衛生學等科目及其相關臨床實例與醫學倫理)
選擇題 (80)
1.下列關於男女性在青春生長快速期的敘述,何者正確? (A)男生比女生早一年 (B)男生比女生早二年 (C)女生比男生早一年 (D)女生比男生早二年
2.有關下顎枝(mandibular ramus)生長的敘述,何者正確? (A)前緣與後緣皆進行骨沉積 (B)前緣與後緣皆進行骨吸收 (C)前緣骨沉積,後緣骨吸收 (D)前緣骨吸收,後緣骨沉積
3.有關下列人顱顏骨的生長中,那些有膜內生長(intramembranous growth)? ①顱頂(cranial vault) ②蝶枕軟骨結合(spheno-occipital synchondrosis) ③上顎(maxilla) ④下顎 (mandible) (A)①②③ (B)①②④ (C)①③④ (D)②③④
4.依據諾拉(Nolla)牙齒發育階段,當恆牙牙胚發育至何階段開始萌發(eruptive movement)? (A)crown completed (B)2/3 crown formed (C)1/2 crown formed (D)3/4 crown formed
5.以下關於恆牙第一大臼齒的早期近心移位(early mesial shift)的敘述,何者錯誤? (A)發生於恆牙下顎第一大臼齒萌出時 (B)會關閉乳犬齒遠心側空隙 (C)使下顎牙弓長度變小 (D)使咬合關係由平齊末端平面(flush terminal plane)變成遠心階(distal step)
6.下列關於安格氏分類(Angle’s classification)的敘述何者正確? ①安格氏分類可決定病例治 療的難易 ②安格氏分類必須要有測顱X光片(Cephalometric film) ③安格氏一級咬合為中央 咬合位(Neutrocclusion) ④安格氏分類系統可診斷上下第一臼齒的前後關係位置 ⑤安格氏二 級咬合為近心位咬合(Mesiocclusion) (A)①② (B)②③ (C)③④ (D)④⑤
7. 圖中臼齒所示之關係為安格氏分類中的何種關係?
(A)正常咬合 (B)第一級臼齒關係 (C)第二級臼齒關係 (D)第三級臼齒關係
8.上顎第一大臼齒,常因為對咬的下顎第一大臼齒拔除很久,而最常發生異位現象,稱之為何? (A)Axiversion (B)Infraversion (C)Supraversion (D)Transversion
9.混合齒列期,兒童患者被診斷為低角位臉型且下顎骨性後縮,治療計畫中會優先考慮下列何種治 療? (A)拔牙治療 (B)頦托(chin cap)裝置治療 (C)功能性矯正器治療 (D)裝假牙治療
10.測顱X光片的測量值,下列那些項目因為放大的緣故,要加以修正,才能得到實際的大小(life size)? ①線段 ②角度 ③比例 (A)只有① (B)只有①② (C)只有②③ (D)①②③
11.下列那一項不是「短臉型患者」的顏面特徵? (A)下顎骨生長時向後下方旋轉過度 (B)下顎平面角(mandibular plane angle)小 (C)下前顏面高度(lower anterior facial height)較短 (D)經常出現「深咬」的異常咬合
12.對於下顎平面角過大(high angle, hyperdivergent)的敘述何者錯誤? (A)下顎多為位於向前向下的位置(forward and downward) (B)有明顯的史比曲線(curve of Spee) (C)下顎聯合(symphysis)多表現出細長且狹窄(long and narrow)的情形 (D)顳肌功能較差(weak temporal muscles)
13.下列何種狀況在矯正完成後一定需要使用永久固定性的維持器? (A)牙齒嚴重旋轉的成人病患 (B)安格氏二級咬合不正且拔牙治療的病患 (C)具有廣泛性齒間分開(generalized spacing)的病患 (D)治療中需牙弓擴張(expansion)的病患
14. 圖中的標點13為下列那一解剖學界標?
(A)Or (B)ANS (C)Me (D)Pog
15.下列有關齒顎矯正治療後維持(retention)的敘述何者錯誤? (A)下顎牙弓形狀很難被永久的改變 (B)深咬(deep bite)的病例其垂直覆蓋(overbite)在治療時應做過度矯正(overcorrection) (C)矯正過後的牙齒復發時總回到原來的位置 (D)顎骨生長是矯正治療的助力亦可能是造成復發的原因之一
16.下列有關利用頦托(chin cup)治療三級咬合不正之小孩的敘述,以下何者錯誤? (A)不適合用於長臉型 (B)主要效果為下顎往下往後旋轉 (C)需長時間配戴 (D)下門齒會有向唇側傾斜的副作用
17. 唇腭裂(cleft lip/palate)是很常見的先天性形成不良(congenital malformation),約占出生率 的: (A)1/80000 (B)1/8000 (C)1/800 (D)1/80
18.兒童患有吸手指習慣時,則下列敘述那些錯誤?①下顎門牙會往舌側傾斜 ②下顎門牙會往唇側 傾斜 ③上顎門牙會往唇側傾斜 ④上顎門牙會往舌側傾斜 ⑤會造成前牙開咬 (A)①③ (B)①④ (C)②④ (D)②⑤
19.為防止牙齒矯正後復發,下列敘述何者錯誤? (A)旋轉之牙齒應以反方向過度旋轉來矯正 (B)齒顎矯正應與生長發育配合 (C)牙齒移動較少時,較不易復發 (D)下顎牙弓形態最好不要被改變
20.Bolton分析法中,全牙比值(total teeth ratio)比標準值大時,最可能代表下列何種情況? (A)下顎12顆牙齒之牙冠寬度總和較大 (B)上顎12顆牙齒之牙冠寬度總和較大 (C)下顎6顆牙齒之牙冠寬度總和較大 (D)上顎6顆牙齒之牙冠寬度總和較大
21.下列何者屬於固定式功能性裝置(fixed functional appliance)? (A)機能矯正裝置(activator) (B)Bimler矯正裝置 (C)Fränkel矯正裝置 (D)Herbst矯正裝置
22.下列關於功能性顎骨矯正裝置治療二級異常咬合所引起變化的敘述,何者錯誤? (A)ANB角度減小 (B)抑制上顎骨向前生長 (C)限制上顎齒列向前移位 (D)咬合平面依逆時針方向往前上方旋轉
23.一般而言,上下顎在長度、寬度及高度之生長完成順序,下列何者正確? (A)長度先完成,高度最後完成 (B)寬度先完成,高度最後完成 (C)高度先完成,寬度最後完成 (D)寬度先完成,長度最後完成
24.鼻呼吸道阻塞引起的顏面生長與發育異常,下列何者不是主要原因? (A)慢性過敏性鼻炎(chronic allergic rhinitis) (B)扁桃體腫大(tonsillar hypertrophy) (C)腺樣體腫大(adenoid hypertrophy) (D)舌前推(tongue thrusting)
25.四顆恆牙門齒比四顆乳牙門齒之寬度大,此種差別稱之為何? (A)門牙幅差(incisor liability) (B)齒間空隙(interdental space) (C)靈長間隙(primate space) (D)乳齒間隙(primary spacing)
26.根據Tanaka和Johnston對於未萌出恆牙齒大小之預測,假設已知下顎四顆恆門牙之大小為22.0 mm。預測之單側上顎犬齒、第一小臼齒與第二小臼齒之總和為多少? (A)21.5 mm (B)22.0 mm (C)32.5 mm (D)33.0 mm
27.根據Baume對乳齒列咬合狀態的分類法,那一種咬合形態最容易引導恆牙第一大臼齒進入安格氏 第二類咬合異常(Angle Class II malocclusion)? (A)Straight terminal plane (B)Mesial step (C)Distal step (D)Long mesial step
28.做矯正治療前,下列作為何者不適宜? (A)應告知病患治療前、中、後之注意事項,病人同意知情簽名後,方開始治療 (B)應說明醫療費用之給付方式 (C)應提供足夠諮詢及病情說明 (D)只需討論最理想的治療計畫,一定要想辦法讓病人接受
29.在牙科治療中下列何者最容易引起恐懼? (A)打麻醉針 (B)施用橡皮防濕障(rubber dam) (C)用高速手機車磨牙齒 (D)與父母的隔離
30.牙醫師要給予缺氟區的兒童氟錠劑來預防齲齒,最好在小孩多大時開始? (A)乳門牙萌出後 (B)乳犬齒萌出後 (C)第一乳臼齒萌出後 (D)第二乳臼齒萌出後
31.醜小鴨現象(ugly duckling)通常發生在何種時期? (A)上顎中門齒萌發期 (B)上顎犬齒萌發期 (C)下顎中門齒萌發期 (D)下顎犬齒萌發期
32.黏托架(brackets)時,下列何者不是乳牙比恆牙難黏著(bonding)的原因? (A)較少礦物質含量(reduced mineral content) (B)乳牙含較多的無稜柱牙釉質(prismless enamel) (C)磨耗(wear) (D)牙釉質較薄(thinner enamel thickness)
33.下列那一種異常不是鐘形期(bell stage)發生異常? (A)Peg teeth (B)Supernumerary tooth (C)Microdontia (D)Macrodontia
34.下列何者不是急性淋巴球性白血病(acute lymphoblastic leukemia)的症狀? (A)牙齦瘀斑(gingival petechiae) (B)淋巴腺病(lymphadenopathy) (C)骨頭疼痛(bone pain) (D)皮疹(skin rash)
35.兒童罹患下列何種疾病後,較易造成其口腔內齲齒率的攀升? (A)外胚層發育不全(ectodermal dysplasia) (B)糖尿病(diabetes mellitus) (C)鐮刀狀細胞貧血(sickle cell anemia) (D)麻疹(measles)
36.臨床上以預防性樹脂填補法(preventive resin restoration)來填補及預防齲齒時,不適合採用下 列何種材料? (A)glass ionomer cement (B)amalgam (C)light-cured composite resin (D)resin-modified glass ionomer
37.肌肉組織(muscle tissue)在出生時已完成多少百分比? (A)約30% (B)約45% (C)約60% (D)約75%
38.假設牙醫師要給一個20公斤健康且正常發育的孩子施行局部麻醉作拔牙手術,如使用2% lidocaine含l:100,000 epinephrine 之麻藥,最高可給予多少管(cartridge)麻藥?(每管為1.8 ml) (A)一管 (B)二管 (C)三管 (D)四管
39.有位15歲女孩,三天前因跌倒撞到桌角,導致上顎右側正中門齒牙冠斷裂。經檢查牙髓並無暴 露,但病人報告喝水會敏感,此時應如何處置? (A)僅需保護暴露之牙本質,然後再回診追蹤 (B)僅需進行部份冠髓切除術(partial pulpotomy),然後再回診追蹤 (C)需進行根管治療(root canal therapy),再作美觀復形 (D)暫時不需處理,再觀察一週才決定
40.關於兒童牙科的行為處理,下列敘述何者正確? (A)voice control對小病人的行為誘導有效,不過容易造成心理傷害 (B)行為誘導溝通時,牙醫師當黑臉,助理當白臉,同時對小病人進行語言溝通會更有效 (C)良好的溝通可以讓小病人放輕鬆 (D)牙醫師與小病人進行溝通時,家長在旁同時作語言的安撫與鼓勵,有助於讓小病人更勇敢
41.有關乳牙牙髓治療術式的成功率,下列何者最高? (A)直接覆髓(direct pulp capping) (B)間接覆髓(indirect pulp capping) (C)冠髓切除術(pulpotomy) (D)牙髓切除術(pulpectomy)
42.有一顆第一乳臼齒長了瘻管,根據牙科記錄該牙曾在3個月前接受二級樹脂充填。治療失敗最可 能的原因為何? (A)繼發性齲齒伴隨邊緣滲漏 (B)樹脂充填物下方未作保護底墊 (C)口腔衛生不良未使用牙線 (D)未聚合樹脂單體(monomer)之毒性所致
43.致齲細菌(cariogenic bacteria)具有下列特性導致齲齒產生,下列何者錯誤? (A)會附著在牙齒上 (B)會產生酸 (C)在鹼性的環境中可以生存並正常運作 (D)具耐酸性
44.黏液堆積症(mucocele)常出現於下列何部位? (A)下唇(lower lip) (B)上唇(upper lip) (C)腭部軟組織(soft tissue of palate) (D)下顎臼齒後墊(retromolar pad)
45.一位6歲小孩右下臉頰與頸部腫求診,此時患者有發燒與吞嚥困難,檢查發現口腔衛生不良,張 口僅二指寬,下顎恆牙第一大臼齒部分萌發但未有齲齒,該區乳牙已被拔除,合理處置為何? (A)迅速安排住院並給予抗生素 (B)將下顎恆牙第一大臼齒做根管治療 (C)將下顎恆牙第一大臼齒做牙周刮除術 (D)將下顎恆牙第一大臼齒做拔牙
46.下列牙醫師問診時的情形,何者為不適當? (A)戴手套與病人握手 (B)確認患者姓名 (C)自我介紹 (D)遵守預約時間
47.與下圖最具相關的診斷為何?
(A)艾迪森氏病(Addison’s disease) (B)白血病(leukemia) (C)貧血(anemia) (D)舔唇皮膚炎(lip licker’s dermatitis)
48.下列兒童期的感染裡,何者會伴有口腔黏膜病變? (A)麻疹(measles) (B)百日咳(pertusis) (C)傳染性紅斑(erythema infectiosum) (D)黴漿菌肺炎(mycoplasma pneumonia)
49.一位7歲男童因為上星期六跌倒,星期一由家長帶到牙科治療,經檢查後發現21牙冠斷裂,牙髓 暴露約0.1mm,X光檢查牙根無斷裂現象,敲診無劇烈疼痛,21要進行下列何種處置較恰當? (A)根尖形成術(apexification) (B)部分斷髓處理(partial pulpotomy) (C)根管治療(root canal therapy) (D)拔牙
50.一位3歲男童根據家長主訴,7天前因跌倒引起上顎乳門牙牙齦流血、牙齒鬆動,經牙科醫師緊急 處置後,51牙齦現在仍持續流血,經檢查後發現51往腭側及齒槽骨內縮5mm,並有咬合干擾無 法咀嚼,所以51較恰當之處置為何? (A)根管治療後磨除干擾咬合之部分牙齒 (B)矯正治療恢復正常咬合 (C)上麻藥復位後固定 (D)拔除
51.下列恆齒外傷中,經過治療後仍較容易出現牙根外吸收(external resorption)者為何? (A)牙根斷裂(root fracture) (B)脫落(avulsion) (C)震盪(concussion) (D)牙冠斷裂(crown fracture)
52.下列何種外傷齒,牙齒固定的時間需要1個月以上? (A)脫落(avulsion) (B)內縮(intrusion) (C)牙根斷裂(root fracture) (D)側方脫位(lateral luxation)伴有齒槽骨之斷裂
53.出血在耳後出現瘀青(Battle sign︰bruising of the mastoid region)的症狀與下列何種外傷有 關? (A)顱底骨折(skull base fracture) (B)下顎體骨折(mandible body fracture) (C)牙冠複雜性斷裂(crown complicated fracture) (D)牙根斷裂(root fracture)
54.下列何者是引起亞急性細菌性心內膜炎(subacute bacterial endocarditis,SBE)最常見之病原 菌? (A)綠膿桿菌(Pseudomonas aeruginosa) (B)綠色鏈球菌(Streptococcus viridans) (C)肺炎雙球菌(Streptococcus pneumoniae) (D)A群鏈球菌(Group A Streptococcus)
55.身心障礙的患者能夠接受牙科治療的程度大多是取決於下列那一項? (A)牙醫診所是否為無障礙空間 (B)是否住家附近有牙醫師 (C)牙醫師,患者與家長的認知與互動的意願 (D)牙醫診所的設備
56.8歲男孩患有腦性麻痺,在全身麻醉下完成全口齲齒治療,居住城市之飲用水含氟濃度為0.8ppm,其預防計劃下列何者不合適? (A)使用氟補充劑(fluoride supplement) (B)使用含氟牙膏刷牙 (C)定期回診潔牙及局部塗氟 (D)使用窩隙封劑(sealant)
57.關於唐氏症患者,下列敘述何者錯誤? (A)常有智能障礙 (B)常有心臟異常之情形,治療前可能需給予預防性抗生素 (C)齲齒風險比一般人低 (D)牙周病發生率比一般人低
58.一位10歲男童至牙科求診,根據家長主訴有紫紺型先天性心臟病(cyanotic congenital heart disease),其先天性心臟病應該是下列何者? (A)心房間隔缺損(atrial septal defect, ASD) (B)心室間隔缺損(ventricular septal defect, VSD) (C)開放性動脈導管(patent ductus arteriosus, PDA) (D)法洛氏四合症(tetralogy of Fallot, TOF)
59 (A)此為磨耗(attrition)症狀 (B)此為酸蝕(erosion)症狀 (C)此為牙釉質發育不全(enamel hypoplasia)症狀 (D)此為猛爆性齲齒(rampant caries)症狀
60.承上題,此症狀最合理之治療計畫為何? (A)將患牙拔除,並戴空間維持器裝置 (B)將患牙做牙周刮除術,並給予暫時充填窩洞 (C)將患牙做治療,並戴不銹鋼牙冠 (D)將患牙做填補,並印模送技工做義齒
61.在台灣地區口腔癌的好發族群,下列何者錯誤? (A)男性高於女性 (B)40-70歲高於其他年齡層 (C)20-30歲高於其他年齡層 (D)勞力工作者高於其他職業族群
62.目前在台灣地區的各種氟化物使用中,那一項未能推行? (A)飲水加氟 (B)氟錠 (C)含氟漱口水 (D)含氟牙膏
63.台灣地區那一個城市曾經使用自來水中加氟來預防齲齒? (A)台南市 (B)台中市 (C)高雄市 (D)台北市
64.牙菌斑在刷牙後x小時即開始形成,y小時後即產生可測量之牙菌斑,在唾液薄膜形成z小時內就 有細菌進入牙菌斑中並形成菌落,下列何者正確? (A)x = 0.5、y = 12、z = 24 (B)x = 0.5、y = 6、z = 24 (C)x = 2、y = 12、z = 24 (D)x = 2、y = 6、z = 24
65.目前台灣地區造成口腔癌的最大危險因子與問題,是下列那一項? (A)不刷牙 (B)嚼食檳榔 (C)EB病毒 (D)曝曬日光
66.台灣地區於什麼時候開始正式實施全民健康保險? (A)民國81年 (B)民國82年 (C)民國83年 (D)民國84年
67.下列何者不是用來表示資料的集中趨勢? (A)平均數(mean) (B)中位數(median) (C)全距(range) (D)眾數(mode)
68.台灣地區之高齲齒盛行率及低填補率,屬於下列那一種模式? (A)已開發國家型 (B)高度開發中國家型 (C)中度開發中國家型 (D)低度開發中國家型
69.美國教學評量專家R. J. Kibler認為教學基本模式的順序為何?①教學目標 ②學前評價 ③評價 ④教學活動 (A)①②③④ (B)①②④③ (C)②①④③ (D)②①③④
70.有關牙科感染控制中「消毒(disinfection)」之敘述,下列何者錯誤? (A)指消滅所有致病性微生物之過程 (B)使用2.0%~3.2%戊二醛(glutaraldehyde)可殺死B型肝炎病毒 (C)使用10%優碘可殺死人類免疫不全病毒(HIV) (D)75%酒精不適合器械之消毒
71.從預防口腔癌及口腔癌前病變的發生觀點來看,當民眾至牙科診所看診時,需進行下列各項檢 查,何者除外? (A)檢查牙齒及牙齦 (B)檢查身體四肢活動力是否靈活 (C)檢查病人的頰黏膜、舌等有無異常 (D)詢問病人有無全身性疾病,有無菸酒檳榔史
72.「一個人相信自己能成功地執行某一特定行為」屬於班篤拉(Bandura)所提出之「社會學習理 論」中那一個概念? (A)環境(environment) (B)情境(situation) (C)自我效能(self-efficacy) (D)結果期望(outcome expectation)
73.下列有關口腔衛生教育之敘述,何者錯誤? (A)必須將文化因素列入考量 (B)惟有透過教育的方式才能產生明智的抉擇 (C)其目的是要促進個人採行有益健康的行為 (D)增進一個人的口腔保健知識,就能改善其口腔保健行為
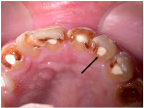
74.根據世界衛生組織(WHO)1997年出版的口腔健康調查基本方法(Oral health surveys,basic methods)第四版標準,下圖箭頭所指的牙齒有臨時填充物,其牙齒狀況應記錄為何?
(A)健康(sound) (B)齲蝕(decayed) (C)已填補(filled) (D)外傷(trauma)
75.下列何者是「高溫高壓蒸氣滅菌法(steam autoclave)」的優點? (A)不易使器械銹蝕 (B)不會使銳器變鈍 (C)穿透力強 (D)滅菌結束物品乾燥
76.「汞中毒」是牙科醫療院所應注意防範的職業傷害之一。下列相關敘述何者錯誤? (A)汞在常溫下具揮發性並可經皮膚直接吸收 (B)正常血中汞含量為介於10~20ng Hg/μl blood (C)慢性汞中毒的症狀包括:顫抖、語言障礙、視野變窄等 (D)診療區不可鋪設地毯
77.對於患者自述日常血壓之收縮壓(systolic pressure)在多少毫米汞柱(mmHg)以上者,在實施 牙科治療前應先量血壓? (A)80 (B)100 (C)120 (D)140
78 (A)以有嚼食檳榔者為病例組 (B)以沒有嚼食檳榔者為對照組 (C)以新發生口腔癌者為病例組 (D)以不可能得口腔癌者為對照組
79.承上題,有關研究目的之敘述,下列何者正確? (A)比較有嚼食檳榔者與沒有嚼食檳榔者口腔癌的發生率 (B)比較有嚼食檳榔者與沒有嚼食檳榔者口腔癌的盛行率 (C)比較病例組與對照組未來嚼食檳榔的情形 (D)比較病例組與對照組過去嚼食檳榔的情形
80.承上題,有關研究資料分析之敘述,下列何者正確? (A)以勝算比(odds ratio)表示口腔癌與嚼食檳榔的關係 (B)以死亡率表示口腔癌與嚼食檳榔的關係 (C)應控制與口腔癌無關的因素對研究結果的干擾(confounder) (D)應控制與嚼食檳榔無關的因素對研究結果的干擾(confounder)
申論題 (0)