阿摩線上測驗
登入
首頁
>
獸醫病理學
> 100年 - 100-2 專技高考_獸醫師:獸醫病理學#22457
100年 - 100-2 專技高考_獸醫師:獸醫病理學#22457
科目:
獸醫病理學 |
年份:
100年 |
選擇題數:
80 |
申論題數:
0
試卷資訊
所屬科目:
獸醫病理學
選擇題 (80)
1.馬普通圓蟲幼蟲引起之血栓,最常發生的血管為: (A)肺動脈 (B)肺靜脈 (C)前腸繫膜動脈 (D)門靜脈
2.Krebs循環在那個胞器(organelle)內進行? (A)核醣體 (B)粒線體 (C)高爾基體 (D)過氧化酶體
3.下列何種現象是細胞死亡最早期的變化? (A)核破裂 (B)核濃縮 (C)核溶解 (D)核消失
4.濕性壞疽常發生在: (A)大腦及小腦 (B)肺臟及腸道 (C)肝臟及腎臟 (D)骨頭及骨髓
5.製造抗血清用途之免疫馬匹,常見之典型病變為: (A)火雞蛋腎 (B)西米脾 (C)荳蔻肝 (D)乳斑肝
6.心衰竭細胞常於下列何種器官出現? (A)心臟 (B)肝臟 (C)脾臟 (D)肺臟
7.下列何者較易造成心衰竭細胞的形成? (A)急性右心衰竭 (B)慢性右心衰竭 (C)急性左心衰竭 (D)慢性左心衰竭
8.下列何者較常發生異位骨(ectopic bone)? (A)肝臟 (B)脾臟 (C)肺臟 (D)腎臟
9.下列何者與血鐵素沉著病無關? (A)出血 (B)焦蟲病 (C)雞傳染性貧血 (D)慢性溶血性貧血
10.下列有關胎性軟骨不良症(chondrodystrophia fetalis or achondroplasia)的敘述何項正確? (A)為真性侏儒 (B)是一種均稱性的短小 (C)四肢特別短小而頭顱骨較大 (D)不影響四肢發育
11.萎縮(atrophy)之主因,除了組成細胞直接死亡外,尚有何種變化? (A)分化 (B)凋亡 (C)融合 (D)化生
12.賽馬、賽狗的心肌肥大是屬於: (A)生理性肥大 (B)病理性肥大 (C)營養性心肌肥厚症 (D)補償性或代償性肥大
13.下列有關散播性血管內凝血(DIC)的敘述,何項錯誤? (A)可發生於感染、休克或癌症 (B)廣泛性血栓形成 (C)因形成血栓後機化而不易出血 (D)因凝血而出現過多的纖維蛋白分解產物(fibrin degradation product)
14.肝臟受損害的動物,再加上缺乏下列何種物質,更容易出血? (A)維他命K (B)維他命B群 (C)生物素(biotin) (D)維他命A
15.下列何者與後天性凝血不良無關? (A)甜苜蓿中毒(sweet clover poisoning) (B)殺鼠劑(含warfarin)中毒 (C)維他命K的拮抗藥物所致之中毒 (D)血友病(hemophilia)
16.下列有關水腫的敘述,何項錯誤? (A)非炎症水腫的滲透液含極少量纖維素原,故不呈凝固狀 (B)炎症水腫含較多蛋白質且比重較低 (C)胸部病(brisket disease)係指高山牛缺氧所造成的胸部皮下水腫 (D)大量飲水不會引起水腫
17.下列那一個血管內皮細胞分泌之因子與抑制血小板凝固無關? (A)前列腺環素(prostacyclin) (B)一氧化氮(nitric oxide) (C)蛋白C(protein C) (D)凝血烷素(thromboxane A2)
18.過敏反應素(anaphylatoxin)係指下列何物? (A)C1a (B)C1b (C)C5a (D)C5b
19.急性炎症反應白血球移出血管外的過程何項為正確? (A)margination→adhesion→emigration→chemotaxis (B)margination→emigration→adhesion→chemotaxis (C)adhesion→margination→emigration→chemotaxis (D)margination→adhesion→chemotaxis→emigration
20.下列何者與葡萄球菌侵入組織的因子無關? (A)玻璃醣酶(hyaluronidase) (B)腸毒素(enterotoxin) (C)凝固酶(coagulase) (D)強血清素(serotonin)
21.下列何者與卡他性炎症反應無關? (A)炎症滲出物以黏液為主 (B)杯狀細胞 (C)發生在黏膜面 (D)炭疽
22.對嗜酸性白血球之描述,下列何者錯誤? (A)釋放主要鹼基蛋白(major basic protein, MBP)直接毒殺寄生蟲 (B)與過敏反應有關 (C)不具吞噬作用 (D)可釋放出白三烯(leukotrienes)物質,擴大炎症反應
23.巨噬細胞在炎症及免疫反應中扮演多重角色,下列有關巨噬細胞之敘述何者錯誤? (A)為抗原呈現細胞 (B)可吞噬並分解病原菌 (C)會抑制骨髓中單核球與顆粒球的生成 (D)分泌生長因子(growth factor)促進傷口癒合
24.下列何者與低血糖症(hypoglycemia)有關? (A)lymphoma (B)insulinoma (C)pancreas adenocarcinoma (D)anal sac adenocarcinoma
25.腎胚瘤(embryonal nephroma)最常發生於下列那些動物? (A)牛與羊 (B)犬與貓 (C)犬與馬 (D)豬及雞
26.下列那一種腫瘤會使罹患的公犬乳腺腫大及脫毛? (A)生精細胞瘤(seminoma) (B)賽托利細胞瘤(Sertoli cell tumor) (C)間質細胞瘤(interstitial cell tumor) (D)腎上腺髓質嗜鉻細胞瘤(pheochromocytoma)
27.狗肛門周區發現柔軟之腫塊,其外觀特徵及組織病變如下圖所示,則其診斷應為:
(A)鱗狀上皮細胞癌(squamous cell carcinoma) (B)皮脂腺瘤(sebaceous gland adenoma) (C)圍肛腺瘤(perianal gland adenoma) (D)毛囊上皮細胞瘤(trichoepithelioma)
28.雞的白血病病毒可引起下列何種疾病? (A)骨質稀鬆症(osteoporosis) (B)神經性淋巴瘤(neurolymphomatosis) (C)眼型淋巴瘤(ocular lymphomatosis) (D)骨質石化症(osteopetrosis)
29.當脾臟發生慢性梗塞時,病灶區表面經常呈何種顏色? (A)黑色 (B)灰白色 (C)藍色 (D)紅色
30.下列何者不是判定心肌肥大之主要依據? (A)測量心肌厚度 (B)心重與體重之比例 (C)每一視野下相對細胞核數目增加 (D)鏡檢局部心肌纖維比正常寬2-3倍
31.患畜因慢性間質性腎炎引起繼發性貧血,其主要原因為下列何項? (A)絲球體過濾功能降低 (B)腎小管重吸收減少 (C)排尿量增加 (D)紅血球生成素減少
32.犬心絲蟲感染時,下列何者並非肺部動脈之常見病變? (A)動脈中膜層肥大 (B)動脈血管炎 (C)動脈寄生蟲性栓子 (D)動脈粥狀硬化
33.下列何者引發狗的鮭魚病(salmon disease)? (A)魚體含有大量重金屬 (B)魚體感染致命性病毒 (C)魚體感染致命性細菌 (D)魚體感染帶有立克次氏體的吸蟲
34.下列何種動物較易發生肥大性心肌病(hypertrophic cardiomyopathy)? (A)貓 (B)犬 (C)豬 (D)牛
35.裸鼠(nude mice)之胸腺是屬於下列何種病變? (A)異生 (B)肥大 (C)萎縮 (D)不發育
36.有關intimal(asteroid)bodies的敘述,何者錯誤? (A)以PAS,toluidine blue及鈣組織染色為陽性 (B)常見於牛羊的小動脈內層 (C)常出現於馬胃腸道的小動脈 (D)可能源自於平滑肌細胞的變化
37.下列有關心室中隔缺損的描述,何者錯誤? (A)心臟輕度擴大 (B)血液由右心室壓進左心室故有發紺 (C)亦稱為主動脈下中隔缺損 (D)肺臟之血液量增多
38.下列何者會導致心肌炎?①Trypanosoma cruzi ②Pneumonyssus simicola ③canine parvovirus ④foot and mouth disease virus (A)②③④ (B)①③④ (C)①②④ (D)①②③
39.下列有關豬地區流行性肺炎之敘述,何者正確? (A)病變區可見核內包涵體 (B)病變集中在尖葉及心葉 (C)以淋巴結之淋巴細胞流失為主徵 (D)肺臟可見大量嗜酸性球浸潤
40.下列有關非洲馬病(African horse sickness)之敘述,何者錯誤? (A)為昆蟲媒介性疾病 (B)病毒主要感染肺泡巨噬細胞 (C)主要病變為肺水腫 (D)可感染驢及騾
41.馬假性鼻疽(pseudoglanders)或被稱為melioidosis,在肺臟所呈現的病變為: (A)大區域鈣化成大理石狀 (B)細菌性栓子與多發性膿瘍病灶 (C)支氣管上皮細胞化生 (D)增殖性與間質性肺炎
42.下列有關鼻竇炎(sinusitis)之敘述,何者正確? (A)鼻竇炎通常會單獨發生,不會併發鼻炎 (B)牛去角時造成體外傷害,不會併發鼻竇炎 (C)慢性鼻竇炎會併發骨髓炎或腦膜炎 (D)馬和犬之牙齒感染時之口腔病變,不會併發鼻竇炎
43.馬氣喘病(heaves)會出現下列何種病變? (A)急性局部肺氣腫 (B)慢性局部肺氣腫 (C)慢性瀰漫性肺氣腫 (D)慢性間質性肺氣腫
44.下列何者不屬於大鼠黴漿菌(Mycoplasma pulmonis)感染所造成的慢性呼吸道疾病(chronic respiratory disease)病變? (A)肺臟因氣管擴張呈現鵝卵石樣肺 (B)化膿性氣管支氣管炎 (C)以淋巴球與漿細胞浸潤為主的炎症反應 (D)纖維素性壞死性肺炎
45.馬鼻疽(glanders)所導致的肺炎以何種型態為主? (A)出血性肺炎 (B)間質性與增殖性肺炎 (C)肉芽腫性肺炎 (D)尖心葉纖維素性肺炎
46.下列有關胃膨脹(dilation)及扭轉(volvulus)的敘述,那些正確?①易發生於大型深胸狗種 ②胃的扭轉可由脾臟的異位而辨識 ③常造成循環障礙致患畜死亡 ④疾病和小狗過食產生的胃 膨脹類似 (A)①②③ (B)②③④ (C)①②④ (D)①③④
47.下列有關甚急性沙門氏桿菌敗血症的敘述,那些正確?①是幼年牛、豬及馬的疾病 ②在幼豬病 原常為Salmonella Choleraesuis ③肉眼病變常為系統性多發點狀壞死白點 ④動物常因DIC而 死亡 (A)①②③ (B)②③④ (C)①②④ (D)①③④
48.下列有關裂顎(palatoschisis)的敘述,那些正確?①為遺傳性疾病 ②疑因過量的維他命A所致 ③臨床上患畜易造成飢餓或吸入性肺炎 ④臨床上患畜易伴有兔唇等畸形 (A)①②③ (B)①②④ (C)①③④ (D)②③④
49.有關水疱性疾病(口蹄疫、水疱性口炎、水疱疹與豬水疱病)的敘述,下列何者為正確? (A)四種的水疱性疾病,由病理變化無法區別 (B)口蹄疫可感染牛羊豬及馬 (C)水疱疹可感染牛及馬 (D)豬水疱病與水疱性口炎同屬一個病毒群
50.羊傳染性膿疱症(contagious ecthyma)的病原為何? (A)疱疹病毒 (B)Orf病毒 (C)環狀病毒 (D)冠狀病毒
51.有關豬增生性出血性腸病(proliferative hemorrhagic enteropathy)之描述,下列何者錯誤? (A)目前將此病原歸類為Lawsonia intracellularis (B)急性病例多見於剛離乳小豬 (C)腸管黏膜變厚,呈山脊狀突出 (D)病變多見於迴腸及近端結腸
52.下列有關豬水腫病(edema disease)的敘述,何者不正確? (A)好發於哺乳豬 (B)病原是大腸桿菌 (C)引起多發小動脈類纖維素變性 (D)常有神經症狀
53.下列有關類固醇引發之肝細胞變性(glucocorticoid-induced hepatocelluar degeneration)的敘 述,那些正確?①多為醫源性(iatrogenic) ②亦可能因腎上腺皮質亢進所致 ③肝臟外觀蒼 白,鏡檢細胞腫脹 ④因大量脂肪堆積於肝細胞所致 (A)①②③ (B)①②④ (C)②③④ (D)①③④
54.有關豬慢性黃麴毒素中毒的肝臟病變之敘述,那些正確?①血管炎 ②局部性壞死 ③脂肪變性 ④膽管增生及肝實質纖維化 (A)①②③ (B)①②④ (C)①③④ (D)②③④
55.下列何者會引起荳蔻肝? (A)急性局部鬱血 (B)慢性局部鬱血 (C)慢性阻性鬱血 (D)急性全身鬱血
56.胎盤的血管分流結構(vascular anastomoses)允許胎兒間的血液交換,是下列那一項先天疾病 的病因? (A)freemartinism (B)male pseudohermaphrodite (C)true hermaphrodite (D)cryptochidism
57.下列有關黃體化囊腫的敘述,何項錯誤? (A)在犬較常發生 (B)豬多發,與不孕有關 (C)原因是濾泡不排卵而在卵泡膜發生黃體化現象 (D)與腦下垂體不能及時釋出適量黃體生成素有關
58.腎臟近腎小球器(juxtaglomerular apparatus)構造部位之細胞變性壞死後,直接會導致腎臟何 種變化? (A)renin分泌不足,造成鈉離子重吸收降低 (B)亨利氏小管增生與阻塞 (C)誘發腎結石生成 (D)水腎
複選題
59.下列何者非犬隻副甲狀腺功能亢進(hyperparathyroidism)所引發腎鈣石症 (nephrocalcinosis)之特徵性病變? (A)腎小管上皮細胞變性壞死 (B)鈣離子易沉積於腎小管上皮細胞內之粒線體 (C)鈣離子沉積於腎小管上皮細胞及基底膜 (D)鈣離子沉積於腎盂部與輸尿管管腔中
60.豬發生火雞蛋樣的腎臟病變與下列何者有關? (A)沙門氏桿菌的腸毒素(enterotoxin) (B)沙門氏桿菌的內毒素(endotoxin) (C)沙門氏桿菌的細胞毒素(cytotoxin) (D)溶血素(hemolysin)
61.腎乳頭壞死(papillary necrosis)與何種藥物的使用有關? (A)胺基配醣體 (B)非固醇類抗炎症藥物 (C)磺胺劑 (D)巨環素
62.下列何項與慢性間質性腎炎較無關? (A)表面凹凸不平,質軟而蒼白 (B)纖維組織增加 (C)腎小管擴張並有增生 (D)病變區有鈣質沉積
63.下列何者為膜性絲球體性腎炎(membranous glomerulonephritis)之病變? (A)絲球體膜間細胞(mesangial cell)大量增生 (B)絲球體微血管叢增生 (C)絲球體基底膜(basement membrane)增厚 (D)腎小球輸出微動脈(efferent arterioles)內皮細胞增生
64.下列何者與狗的紅斑性狼瘡無關? (A)溶血性貧血 (B)血小板增多 (C)自體免疫性疾病 (D)膜性絲球體性腎炎
65.公羊的尿道結石最常發現於何處? (A)輸尿管 (B)陰莖前端的尿道突起 (C)陰莖後端 (D)乙狀彎曲
66.草食獸的尿道結石成分主要為何? (A)磷酸鹽 (B)胱胺酸 (C)草酸鹽 (D)矽酸鹽
67.下列有關日本腦炎的敘述,何項錯誤? (A)豬是日本腦炎病毒的增幅動物,會引起母豬死產、遲產 (B)會感染人、馬造成致死性腦炎 (C)係由三斑家蚊或硬蜱傳染 (D)母豬感染可產下大小不一或木乃伊胎兒
68.神經系統的衛星現象,主要是神經元和下列那種細胞構成? (A)星狀膠質細胞 (B)寡樹突膠質細胞 (C)微膠質細胞 (D)淋巴球細胞
69.下列有關強黑素(melatonin)的敘述,何者錯誤? (A)由松果體分泌 (B)由腦下垂體分泌 (C)可能與動物季節性繁殖有關 (D)增強光度可以減低強黑素生成作用
70.下列何者會引起貓小腦發育不全? (A)缺乏銅 (B)缺乏維他命B (C)貓白血病毒感染 (D)貓小病毒感染
71.牛羊維他命B1缺乏,腦病變位置為: (A)大腦灰質部 (B)大腦白質部 (C)腦幹及延髓 (D)小腦分子層
72.奈格利小體(Negri bodies)常用來診斷下列那一種疾病? (A)假性狂犬病 (B)狂犬病 (C)牛海綿狀腦病 (D)痘病毒感染
73.牛海綿狀腦病(BSE)實驗室診斷的流程依序為何?①ELISA篩選 ②免疫化學染色 ③西方墨 點法 ④腦組織病理切片檢查 (A)①④②③ (B)④①②③ (C)④①③② (D)①②④③
74.下列何種細胞在功能上類似一般肉芽組織中的纖維母細胞? (A)星狀細胞 (B)小神經膠質細胞 (C)寡樹突細胞 (D)室管膜細胞
75.下列有關營養性肌病(nutritional myopathy)的敘述,那些是正確?①常稱為維他命E及硒(Vit E / Selenium)缺乏症 ②肉眼病變常呈現平滑肌出血 ③缺血性傷害(ischemic injury)是病變 發生的原因 ④病變與氧自由基之傷害有關 (A)①② (B)①③ (C)②④ (D)①④
76.牛後腿骨骼肌感染Arcanobacterium(Actinomyces)pyogenes之病變為: (A)肌肉膿瘍 (B)出血性肌肉炎 (C)白肌病 (D)纖維素性肌肉炎
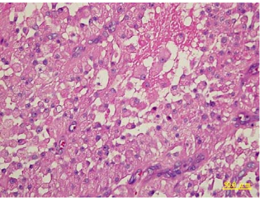
77.豬隻皮膚組織病變如下圖,本病變為:
(A)parakeratosis (B)bullae (C)pustules (D)acantholysis
78.豬丹毒桿菌所引起的皮膚多發菱形斑塊和下列何者有關? (A)血管炎 (B)毛囊炎 (C)表皮角化過度 (D)化膿性皮膚炎
79.下列何者與纖維性骨營養不良症(fibrous osteodystrophy)無關? (A)慢性腎炎 (B)以全麩皮飼養馬匹 (C)缺乏維他命C (D)以全牛心飼養小狗
80.鉛中毒和下列何種病灶無關? (A)腎小管上皮細胞急性腫脹,含有抗酸性核內包涵體 (B)長骨的幹端(metaphysis)明顯鈣化 (C)蝕骨細胞內含有抗酸性核內包涵體 (D)肺支氣管上皮細胞化生
申論題 (0)
相關試卷
114年 - 114 公務升官等考試_薦任_獸醫:獸醫病理學#133107
114年 · #133107
114年 - 114 專技高考_獸醫師:獸醫病理學#128959
114年 · #128959
113年 - 113 專技高考_獸醫師:獸醫病理學#121673
113年 · #121673
112年 - 112 專技高考_獸醫師:獸醫病理學#115857
112年 · #115857
111年 - 111 專技高考_獸醫師:獸醫病理學#109876
111年 · #109876
110年 - 110 公務升官等考試_薦任_獸醫:獸醫病理學#103430
110年 · #103430
110年 - 110 專技高考_獸醫師:獸醫病理學#99944
110年 · #99944
109年 - 109-2 專技高考_獸醫師:獸醫病理學#89213
109年 · #89213
109年 - 109-1 專技高考_獸醫師:獸醫病理學#82788
109年 · #82788
108年 - 108 公務升官等考試_薦任_獸醫:獸醫病理學#80181
108年 · #80181