阿摩線上測驗
登入
首頁
>
臨床血液學與血庫學
> 100年 - 100-2 專技高考_醫事檢驗師:臨床血液學與血庫學#22270
100年 - 100-2 專技高考_醫事檢驗師:臨床血液學與血庫學#22270
科目:
臨床血液學與血庫學 |
年份:
100年 |
選擇題數:
80 |
申論題數:
0
試卷資訊
所屬科目:
臨床血液學與血庫學
選擇題 (80)
複選題
1 關於正常人類血紅素之分子結構,下列敘述何者正確? (A)homodimer (B)heterodimer (C)tetramer (D)透過 heme 與氧分子結合
2 人體內的鐵絕大部分分布於下列何者中? (A)肌肉 (B)肝臟 (C)血液 (D)骨髓的 macrophage 內
3 Hb與CO分子之親和力是Hb與O
2
分子親和力的多少倍? (A)20 (B) 1/20(C) 200 (D) 1/200
4 血紅素濃度之正常值不受下列何種狀況影響? (A)性別 (B)飲食 (C)年齡 (D)居住海拔
5 胚胎發育的最早三個月表現之血紅素球蛋白不含何種球蛋白? (A) α (B) β (C) ε (D) δ
6 有關自動化血液分析儀之「systemic error」,下列敘述何者錯誤? (A)指反覆分析相同樣本,所得數據間之變異 (B)影響儀器之準確度(accuracy)而非精確度(precision) (C)對每一個臨床樣本影響程度皆相同 (D)由操作“control blood"可測知“systemic error"
7 容易在 RBC 中形成結晶使 RBC 呈偏菱形(rhomboidal)或六角形(hexagonal)的是: (A) HbS (B) HbC (C) HbH (D) HbE
8 下列何種染色狀況會使 RBC 呈過紅橘色? (A) pH 值太高 (B)染色時間太長 (C)染色後沖洗太久 (D)抹片太厚
9 缺鐵性貧血病人之骨髓 iron stain 結果應為何? (A) macrophage 中貯鐵量正常,erythroblast 中 siderotic granules 正常 (B) macrophage 中貯鐵量上升,erythroblast 中 siderotic granules 上升 (C) macrophage 中貯鐵量上升,erythroblast 中 siderotic granules 減少 (D) macrophage 中貯鐵量減少,erythroblast 中 siderotic granules 減少
10 下列有關 hereditary spherocytosis 的敘述,何者正確? (A) RBC 呈 microcytic hypochromic (B) RBC 之 osmotic fragility 增加 (C) RBC 可耐受較低濃度之食鹽水 (D) RBC 之 membrane phospholipids 異常
11 下列何種實驗可確認診斷惡性貧血(pernicious anemias)? (A) ESR (B)骨髓檢查 (C) Schilling 試驗 (D) reticulocyte count
12 下列有關 paroxysmal nocturnal hemoglobinuria(PNH)的敘述,何者正確? (A) PIG-A 基因突變 (B)具遺傳性 (C) RBC 對氧化傷害特別敏感 (D)可用 Coomb’s test 做確定診斷
13 最早期的且確定會分化為紅血球之前驅細胞稱為: (A) CFU-S (B) CFU-GEMM (C) BFU-E (D) CFU-E
14 海洋性貧血所造成的 hydrops fetalis 最常缺乏下列何者? (A) α globin (B) β globin (C) γ globin (D) δ globin
15 慢性腎衰竭往往導致何種貧血? (A)正球性正血性貧血 (B)大球性貧血 (C)小球性貧血 (D)溶血性貧血
16 區別乙型海洋性貧血之基因缺陷,使用何種分子檢驗技術較不恰當? (A)序列特異性聚合酶鏈反應(allele-specific PCR)或 amplification refractory multi-system(ARMS) (B)寡核酶探針雜交(oligonucleotide probe hybridization) (C)聚合酶鏈反應/限制酶片段長度變異分析(PCR/RFLP) (D)南方墨點雜交試驗(Southern blot hybridization)
17 紅血球主要的能量來源 ATP 是由下列何種途徑產生? (A) the Embden-Meyerhof glycolytic pathway (B) the Luebering-Rapoport shunt (C) the hexose monophosphate shunt (D) methemoglobin reductase pathway
18 紅血球醣解作用(glycolysis)產生之 NADH 對紅血球有何重要性? (A)維持膜上 sodium pump 功能 (B)將氧化血紅素(oxidized hemoglobin)還原為有功能之血紅素 (C)調節血紅素氧親和力 (D)維持紅血球雙凹圓盤狀
19 紅血球代謝葡萄糖過程中產生 NADPH 是經由下列何種途徑? (A) the Embden-Meyerhof glycolytic pathway (B) the Luebering-Rapoport shunt (C) the hexose monophosphate shunt (D) methemoglobin reductase pathway
20 下列紅血球之前期細胞,何者為最早有能力合成血紅素的細胞? (A) pronormoblast (B) basophilic normoblast (C) polychromatic normoblast (D) orthochromatic normoblast
21 紅血球細胞膜上含量最多的骨架蛋白(cytoskeleton)為: (A) band 3 (B) band 4.1 (C) ankyrin (D) spectrin
22 蠶豆症病患發生溶血症發作時,檢查 Wright stain 染色血液抹片可見: (A) basophilic stippling (B) blister cells (C) Howell-Jolly’s body (D) Cabot ring
23 下列何者不以 hypochromic RBCs 為血液學特徵? (A) severe iron deficiency (B)海洋性貧血 (C)血紅素症(hemoglobinopathies) (D) uremia
複選題
24 下列何者不是缺鐵性貧血(iron deficiency anemia)常發生的原因? (A)慢性消化道失血 (B)慢性生殖道出血(子宮) (C)長期飲食失調,譬如素食 (D)懷孕
25 下列何包涵體(inclusion bodies)不出現於海洋性貧血? (A) basophilic stippling (B) Howell-Jolly’s bodies (C) Cabot ring (D) Heinz bodies
26 細胞膜缺失之溶血性疾病以下列何種疾病最為常見? (A) hereditary spherocytosis 遺傳性球形血球症 (B) hereditary elliptocytosis 遺傳性橢圓球形血球症 (C) hereditary stomatocytosis 遺傳性口狀球形血球症 (D) hereditary pyropoikilocytosis 遺傳性熱變形血球症
27 臨床發現一嚴重正球性貧血的小孩身高矮小、大姆指骨骼發育不良、智能不足,並有白化症;染色 體檢查發現有不少斷裂的染色體,骨髓低能及無細胞性。其可能為何種疾病患者? (A) Blackfan-Diamond 症候群 (B) thalassemia (C) Fanconi 貧血 (D)驟發性夜間血尿症(PNH)
28 G6PD screening test 不宜於何時執行? (A)新生兒 (B)兒童 (C)成人 (D)發生急性溶血性貧血時
29 Flow cytometry 可運用於血液病的骨髓移植,是因為此工具有下列那一項功能之故? (A)可定量 erythroid precursors (B)可定量 granulocyte precursors (C)可定量 pluripotential stem cells (D)可定量 lymphocyte precursors
30 下列何種疾病是因為白血球氧化代謝不正常造成的? (A) lazy leukocyte syndrome (B) May-Hegglin anomaly (C) myelodysplasia (D) chronic granulomatous disease
31 下列何種狀況最不可能是 polycythemia vera 之實驗室數據? (A)血中 erythropoietin 數值偏高 (B)白血球過多 (C)血小板過多 (D)骨髓中的有核血液細胞過多
32 某 21 歲年輕女性,在一次健康體檢中,無意間發現她的 Hb 13.2 g/dL, platelet 230 k/μL, WBC 2300/μL, neutrophil 25%, lymphocyte 70%, eosinophil 2%, monocyte 3%,則此病人有下列何種狀況? (A)有 lymphocytosis (B)有 neutropenia (C)有過敏現象 (D)有發生血栓的危險
33 某住院病患CBC檢查結果:WBC 6.8×10
9
/L, RBC 5.77×10
12
/L, Hb 11.1 g/dL, Hct 33.7%, RDW 12.5%;則 MCV應為: (A) 62.9fL (B) 62.9μL (C) 33.1fL (D) 33.1%
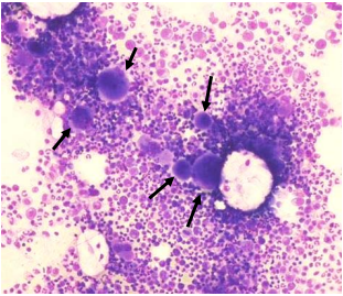
34 附圖中,箭頭所指的細胞最有可能是下列何者?
(A) histiocytes (B) megakaryocytes (C) macrophages (D) myeloblasts
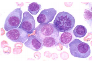
35 若在骨髓抹片觀察到大量如圖所示的細胞,則此人很可能得到下列何種疾病?
(A) multiple myeloma (B) follicular lymphoma (C) Burkitt’s lymphoma (D) Hodgkin’s lymphoma
36 若在血液抹片觀察到大量如圖所示的細胞,則此人很可能得到下列何種疾病?
(A) prolymphocytic leukemia (B) acute promyelocytic leukemia (C) chronic myeloid leukemia (D) adult T-cell leukemia/lymphoma
37 Myeloperoxidase 可催化下列何種物質的產生,以進行殺菌免疫的功能? (A)hypochlorite(ClO- ) (B)superoxide (C) iodine (D) perforin
38 Nitroblue tetrazolium reduction test 最主要是用來測試白血球的何種功能? (A) phagocytosis (B) migration (C) apoptosis (D) adhesion
39 以 Clauss 法測定血漿中之纖維蛋白原(fibrinogen)時,當血漿中肝素(heparin)濃度高於多少 U/mL 時容易發生檢驗干擾而造成纖維蛋白原結果偽低? (A) 0.1 (B) 0.3 (C) 0.7 (D) 1
40 慢性淋巴球白血病(chronic lymphocytic leukemia)在血液抹片觀察到的淋巴球,主要為何種型態? (A)成熟的小淋巴球 (B)大顆粒淋巴球 (C)漿細胞淋巴球 (D)細胞核分葉如花瓣狀的淋巴球
41 以免疫分型(immunophenotyping)可幫助鑑別診斷 acute myeloid leukemia 與 acute lymphoblastic leukemia。下列何者常出現於前者,但較少出現於後者? (A) CD7 (B) CD13 (C) CD19 (D) CD10
42 約 60%多發性骨髓瘤(multiple myeloma)的患者所產生的 M protein 是屬於何種免疫球蛋白? (A) IgG (B) IgE (C) IgM (D) IgA
43 Waldenström macroglobulinemia 之疾病的細胞會分泌下列何種物質? (A) IgM (B) IgD (C) myeloperoxidase (D) albumin
44 下列有關 t(15;17)急性白血病的敘述,何者錯誤? (A)是一種 acute promyelocytic leukemia (B) imatinib 是主要的治療藥物 (C) chloroacetate esterase stain 呈現陽性 (D)一般來說有比較好的預後(prognosis)
45 Rai classification 可用來評估下列那一種疾病之預後? (A) acute myeloid leukemia (B) acute lymphoblastic leukemia (C) chronic lymphocytic leukemia (D) chronic myeloid leukemia
46 Leukocyte alkaline phosphatase(LAP)score 在下列何種情況最有可能下降? (A) chronic myeloid leukemia (B)懷孕末期 (C)細菌感染 (D)多血症(polycythemia vera)
47 費城染色體(Philadelphia chromosome)見於下列何種白血病? (A) chronic myeloid leukemia (B) chronic myelomonocytic leukemia (C) acute promyelocytic leukemia (D) acute myelomonocytic leukemia
48 下列何者可能造成間接抗球蛋白測試偽陰性反應? (A)過度清洗紅血球 (B)未將殘餘血清洗淨 (C)病人血清中具溫型自體抗體 (D)未能等病人血液充分凝集即分離血清
49 癌症常有血管栓塞併發症,其最可能的機制是: (A)抑制 protein C 路徑 (B)過度表現組織因子(tissue factor) (C)誘發 Factor V Leiden (D)產生 activated protein C resistance
50 血小板的 ADP 和 ATP 是儲存在何種 organelle 中? (A) dense bodies (B) α-granules (C) peroxisomes (D) lysosomes
51 下列何物質不是由血小板 α-granules 所釋放? (A) serotonin (B) protein S (C) fibrinogen (D) thrombospondin
52 當血球比容高於 55%時,如果不調整抽血量和抗凝固劑量的比例,而按平常方式抽血時,則 prothrombin time 會如何? (A)延長 (B)縮短 (C)不一定 (D)不變
53 下列何者不是血球常規檢驗中,血小板計數常用之測試方法? (A)電子阻抗法(electronic impedance) (B)比濁透光法(turbidometry method) (C)光散色法(light scattering) (D)計數盤(counting chamber)鏡檢法
54 下列何者不是實驗診斷 lupus anticoagulant 之標準? (A)延長 activated partial thromboplastin time(APTT) (B)延長 APTT 混合矯正試驗(無法矯正) (C)血小板中和試驗無法矯正延長之凝血試驗 (D)有凝血因子抗體
55 下列何種情形 thrombin time 不會延長? (A) FDP 增加 (B) heparin 治療 (C) fibrinogen 減少 (D) thrombin 減少
56 下列何者與檢測纖維蛋白裂解產物(fibrin degradation product)無關? (A) ethanol gelation test (B) D-dimer test (C) urea solubility test (D) protamine sulfate dilution test
57 由全血製造血小板濃厚液,需要如何離心? (A)一次輕度離心,再一次重度離心 (B)兩次輕度離心 (C)一次輕度離心,再兩次重度離心 (D)一次重度離心,再一次輕度離心
58 組織因子(tissue factor)及第七凝血因子之複合物主要活化那些因子?①Factor Ⅱ ②Factor Ⅴ ③Factor Ⅷ ④Factor Ⅸ ⑤Factor Ⅹ (A)①③ (B)②③ (C)③④ (D)④⑤
59 下列何者無法被 thrombin 活化? (A) fibrinogen (B) Factor ⅩⅢ (C)組織因子(tissue factor) (D) Factor Ⅷ
60 Activated protein C 的作用對象為: (A)活化型 Factor Ⅱ (B)活化型 Factor Ⅶ (C)活化型 Factor Ⅷ (D)活化型 Factor Ⅹ
61 那些凝血因子可被 plasmin 抑制? (A)Ⅰ、Ⅴ、Ⅷ、ⅩⅢ (B)Ⅱ、Ⅶ、Ⅸ、Ⅹ (C)Ⅴ、Ⅹ、ⅩⅠ、ⅩⅡ (D)Ⅶ、Ⅷ、Ⅸ、Ⅹ
62 下列有關prostaglandin I2的敘述,何者錯誤? (A)由內皮細胞合成 (B)促進血小板凝集 (C)引發血管擴張 (D)活化 adenyl cyclase
63 病人之檢驗結果如下:APTT 69 秒,PT 正常,凝血時間正常,出血時間 15 分鐘。則下列何種檢 驗無法幫忙臨床鑑別診斷? (A) Factor Ⅷ活性 (B) von Willebrand 因子活性 (C)以腎上腺素誘發血小板凝集試驗 (D) APTT 混合矯正試驗
64 某病人血小板數低於五萬,周邊血液抹片可見巨大血小板與中性球(neutrophil)細胞質包涵體 (Döhle-like inclusion bodies),則下列何種狀況比較符合病人之表現? (A) idiopathic thrombocytopenic purpura (B) thrombotic thrombocytopenic purpura (C) MYH9 disorders (D) Bernard-Soulier syndrome
65 下列何者是血小板與嗜中性球的共同先驅者? (A) CFU-GEMM (B) CFU-EO (C) BFU-E (D) CFU-GM
66 單核吞噬系列(mononuclear phagocytic system)中,最成熟的細胞是下列何種細胞? (A) mast cells (B) macrophages (C) monocytes (D) megakaryocytes
67 下列有關 Duffy 血型系統的敘述,何者錯誤? (A) Fy(a+)表現頻率在白種人約為 66% (B) Fy(a+)表現頻率在臺灣約為 99.7% (C)anti-Fya 在臺灣非常罕見 (D)Fy(b+)表現頻率在臺灣約為 92%
68 血庫受理備血檢查,檢體必須是多久時間內採集的? (A) 24 小時 (B) 72 小時 (C) 7 天 (D)不受限制
69 Panel cell 主要是由何種血型的細胞所製造? (A) A 型 (B) B 型 (C) O 型 (D) AB 型
70 下列何者與行政院衛生署所發布之現行捐血者健康標準不符? (A)捐血小板者,其血小板數目應在 15×10
4
/mm
3
以上 (B)捐白血球者,其白血球數目應在 3000/mm
3
以上 (C)捐血漿者,其血漿總蛋白應在 6 g/dL 以上 (D)捐血者血紅素男性 13 g/dL 以上,女性 12 g/dL 以上
71 下列有關 polyethylene glycol(PEG)加強反應劑作用的敘述,何者錯誤? (A)相當有效的加強 IgG 抗體的偵測 (B)會加強 IgM 抗體如 ABH 或 Lewis 抗體偵測 (C)在 37℃孵育後,再離心觀察此一階段常會發生偽陽性反應 (D)如果 IgG 濃度過高,蛋白質有可能會沉澱而造成偽陽性反應
72 下列那些情況能在交叉試驗中的立即離心期,就能偵測出來?①O 型血給 A 型的病人 ②B 型血給 A 型的病人 ③AB 型血給 O 型的病人 ④O 型血給 AB 型的病人 (A)①② (B)①④ (C)②③ (D)③④
73 病人發生非溶血性發熱反應,主要是由那一種抗體所引起? (A) ABO (B) Rh (C)白血球抗原 (D)血小板
74 下列有關 Rh 系統抗體的敘述,那些正確?①為 IgG 抗體 ②常為自然免疫性抗體 ③血小板輸血後 可以引起抗體的產生 ④會固定補體 (A)①② (B)①③ (C)①④ (D)①③④
75 冷凍沉澱品(cryoprecipitate)中不含有下列何種成分? (A) von Willebrand factor (B) fibrinogen (C) Factor Ⅴ (D) Factor Ⅷ
76 下列何者與產生靜脈血栓病變無關? (A) antithrombin Ⅲ deficiency (B) protein C deficiency (C) protein S deficiency (D) Factor ⅩⅠ deficiency
77 下列何者是嗜中性球初級顆粒的組成成分? (A) collagenase 與 acid phosphatase (B) lactoferrin 與 myeloperoxidase (C) alkaline phosphatase 與 gelatinase (D) acid phosphatase 與 myeloperoxidase
78 新生兒的 Lewis 表現型幾乎都是: (A)Le(a
-
b
-
) (B)Le(a
-
b
+
) (C)Le(a
+
b
-
) (D)Le(a
+
b
+
)
79 多特異性抗人類球蛋白的抗補體成分,最重要的是下列何者? (A) anti-C4 (B) anti-C3 (C) anti-C2 (D) anti-C1
80 下列何者不能活化血小板? (A)thromboxane A
2
(B)nitric oxide (C) ADP (D) phosphatidylinositol-bis-phosphate
申論題 (0)
相關試卷
115年 - 115-1 專技高考_醫事檢驗師:臨床血液學與血庫學#137349
115年 · #137349
114年 - 114-2 專技高考_醫事檢驗師:臨床血液學與血庫學#128964
114年 · #128964
114年 - 114-1 專技高考_醫事檢驗師:臨床血液學與血庫學#125109
114年 · #125109
113年 - 113-2 專技高考_醫事檢驗師:臨床血液學與血庫學#121666
113年 · #121666
113年 - 113-1 專技高考_醫事檢驗師:臨床血液學與血庫學#118710
113年 · #118710
112年 - 112-2 專技高考_醫事檢驗師:臨床血液學與血庫學#115897
112年 · #115897
112年 - 112-1 專技高考_醫事檢驗師:臨床血液學與血庫學#113129
112年 · #113129
111年 - 111-2 專技高考_醫事檢驗師:臨床血液學與血庫學#109906
111年 · #109906
111年 - 111-1 專技高考_醫事檢驗師:臨床血液學與血庫學#106183
111年 · #106183
110年 - 110-2 專技高考_醫事檢驗師:臨床血液學與血庫學#99961
110年 · #99961