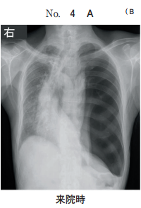
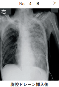
44 64 歳の男性。呼吸困難を主訴に来院した。日前に左胸痛と息切れとが出現し、 次第に増悪してきたため受診した。体温 36.2 ℃。脈拍 100/分、整。血圧 120/80 mmHg。呼吸数 20/分。SpO2 92 %room air 。眼瞼結膜と眼球結膜とに異常を認 めない。頸部リンパ節を触知しない。左胸部に呼吸音を聴取しない。血液所見赤 血球 420 万、Hb 13.0 g/dl、Ht 37 %、白血球 4,400桿状核好中球%、分葉核好 中球 60 %、好酸球%、好塩基球%、単球%、リンパ球 25 % 、血小板 21 万。 CRP 0.4 mg/dl。来院時の胸部エックス線写真別冊No. 4 を別に示す。入院後、 胸腔ドレーンを挿入したところ、直後から咳嗽と泡沫状の喀痰とが出現した。この 時点の胸部エックス線写真別冊No. 4 を別に示す。 胸腔ドレーン挿入後の病態として正しいのはどれか。


(A) 肺 炎 (B) 肺水腫 (C) 無気肺 (D) 肺胞出血 (E) うっ血性心不全