阿摩線上測驗
登入
首頁
>
牙醫學(三)(包括齒內治療學、牙體復形學、牙周病學等科目及其相關臨床實例與醫學倫理)
> 101年 - 101-1 專技高考_牙醫師(二):牙醫學(三)(包括齒內治療學、牙體復形學、牙周病學等科目及其相關臨床實例與醫學倫理)#36322
101年 - 101-1 專技高考_牙醫師(二):牙醫學(三)(包括齒內治療學、牙體復形學、牙周病學等科目及其相關臨床實例與醫學倫理)#36322
科目:
牙醫學(三)(包括齒內治療學、牙體復形學、牙周病學等科目及其相關臨床實例與醫學倫理) |
年份:
101年 |
選擇題數:
80 |
申論題數:
0
試卷資訊
所屬科目:
牙醫學(三)(包括齒內治療學、牙體復形學、牙周病學等科目及其相關臨床實例與醫學倫理)
選擇題 (80)
1.關於牙髓病檢查,下列敘述何者錯誤? (A)選擇性麻醉試驗(selective anesthesia test)可用以區分疼痛來自於上顎還是下顎的牙齒 (B)雷射杜普勒血液流器(laser Doppler flowmetry)是藉由偵測牙髓內的血流,來檢查牙髓活性 (C)在眾多冷溫試驗(cold test)的方法中,使用氯乙烷(ethyl chloride)會比使用乾冰(carbon dioxide snow)所得的結果更準確 (D)進行熱測試(heat test)時,使用熱水浴法(hot water bath)可以得到最準確的結果
2.下列有關牙髓/牙根尖周圍診斷的組合何者不會同時存在? (A)不可逆牙髓炎/慢性根尖周圍炎 (B)不可逆牙髓炎/急性根尖周圍炎 (C)牙髓壞死/急性根尖膿腫 (D)牙髓壞死/慢性根尖周圍炎
3.關於根管沖洗的敘述,下列何者錯誤? (A)沖洗針頭不宜大於25量器(gauge) (B)根管內沖洗效果不如口外實驗 (C)根管放置氫氧化鈣一週,可增加次氯酸納溶液沖洗時組織溶解的效果 (D)5.25%次氯酸納溶液沖洗可去除塗抹層(smear layer)
4.判讀X光片根管封填良窳的標準不包括: (A)根管封填的長度與形狀 (B)根管封填出現側根管 (C)根管封填的緻密度 (D)牙冠填補物
5.當牙齒因外傷造成側向脫位(lateral luxation)時,將牙齒復位後牙齒仍會動,應以何種方式固定 之? (A)酸蝕樹脂固定(Acid-etched resin splint) (B)以尼龍線加樹脂長固定(Long-span splint) (C)以矯正線加樹脂固定(Wire-reinforced resin splint) (D)不必固定
6.下列有關P物質(Substance P)的敘述何者正確? (A)只存在中樞神經系統(CNS) (B)只存在周圍神經系統(PNS) (C)可促使肥大細胞(mast cells)釋放出組織胺(histamine) (D)可引起血管收縮
7.對於脫落(avulsion)一小時以上的牙齒,在植回原位之前,會將其浸於何種溶液中以減緩吸收 的進程? (A)含氟溶液 (B)細胞培養液(Hank’s balanced salt solution) (C)牛奶 (D)生理食鹽水
8.有關根管治療用的馬來牙膠錐(gutta-percha cone)各成分之功能,下列敘述何者錯誤? (A)馬來牙膠(gutta-percha)做為基質(matrix)用 (B)氧化鋅(zinc oxide)做為填料(filler)用 (C)重金屬鹽類(heavy metal salts)做為放射線不透性(radiopacity)用 (D)蠟或樹脂(wax or resin)做為提高其強度用
9.下列關於Mineral Trioxide Aggregate(MTA)的敘述,何者錯誤? (A)硬化時間(setting time)約為4分鐘 (B)主要含有鈣離子和磷酸根離子 (C)硬化時pH值為12.5 (D)它的邊緣封閉(marginal adaptation)效果比汞齊(amalgam)佳
10.下列何者不是牙髓與牙周間相互連通的管道? (A)腭齦溝(palatogingival groove) (B)側根管(lateral canal) (C)牙本質小管(dentinal tubule) (D)牙釉梭(enamel spindles)
11.下列何者不是根管治療過程中造成續發性根尖牙周炎(secondary apical periodontitis)的原因? (A)器械操作過度(overinstrumentation) (B)用藥過度(overmedication) (C)碎屑推擠到牙根尖周圍組織 (D)由所伴隨的嚴重牙周病引起
12.關於數位放射攝影(digital radiography)使用於根管治療,下列敘述何者錯誤? (A)可減少輻射劑量 (B)不需洗片設備 (C)判讀比傳統X光更精準 (D)迅速得到影像
13.關於根尖手術之縫合下列敘述何者錯誤? (A)常使用絲線或非纖維合成線(synthetic non-filament) (B)線結放置切線上 (C)縫合前先將島瓣復位壓五分鐘 (D)縫線可於三天拆除
14.Vire從齒內治療充填完成後失敗而拔除的牙齒中發現,失敗的因素為①齒內治療的不完整 ②治 療後牙齒復形的不完全 ③牙周方面的問題。請依序由多至少排列: (A)①>②>③ (B)②>①>③ (C)③>②>① (D)②>③>①
15.在重新齒內治療時,關於牙膠針(gutta-percha point)移除之敘述,下列何者錯誤? (A)牙膠針的除去一般採用旋轉式器械(rotary instrument)、根管銼(file)及溶劑(solvent)來 清除 (B)原則上由根尖處先移除 (C)使用旋轉式器械(rotary instrument)其速度為350~1000 rpm (D)使用旋轉式器械(rotary instrument)操作時,被動往根尖推進,若是牙膠針沾黏在器械表面 時,必須停止且清除
16.就目前所知,下列有關牙周炎與根管感染微生物的敘述,何者正確? (A)牙周炎為多種微生物(poly microbial)所引起的感染,根管感染則否 (B)Fusobacterium species常可於牙周囊袋及根管內被鑑定出來 (C)Actinobacillus actinomycetemcomitans及Fusobacterium species常可於牙周囊袋及根管內被鑑 定出來 (D)牙周囊袋與根管內的感染菌株屬不同菌種
17.有關牙髓測試之敘述,下列何者錯誤? (A)為了得到更可靠測試結果,冷溫試驗(cold test)應伴隨電髓試驗(EPT) (B)成熟且未受外傷之牙齒對冷溫試驗(cold test)及電髓試驗(EPT)無反應,該牙齒應考慮為 失活牙 (C)窩洞測試(test cavity)方法最常用於牙髓活性測試 (D)咬合測試(biting test)為正反應時,代表可能有斷裂咬頭(fractured cusp)或裂齒(cracked tooth)現象存在
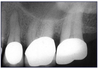
18. 李伯伯兩週前上顎左側開始對冷水刺激感到不適,症狀逐漸嚴重故求診,其X光片結果如下圖所 示,對於此症狀的診斷,下列何者正確?
(A)第二小臼齒因牙冠內再度齲齒(recurrent decay),需進行根管治療 (B)第一大臼齒因根管系統鈣化,需進行根管治療 (C)第二大臼齒因根管內吸收,需進行根管治療 (D)無法由此X光片判斷何者需根管治療
19.外傷牙若發生牙根外吸收(external root resorption)時,於根管治療過程中,需在根管中置放何 種藥物較能有效的抑制牙根外吸收的進行? (A)camphorated parachlorophenol(CMCP) (B)chlorhexidine (C)eugenol/iodine (D)Ca(OH)
2
20.關於根尖囊腫(periapical cyst),下列敘述何者正確? (A)根據連續之根尖病灶切片與嚴格的病理檢查研究,根尖囊腫發生比例超過40% (B)真性囊腫(true cyst)大多數在根管治療完成後便會消失癒合 (C)根尖囊袋性囊腫(periapical pocket cyst)是上皮包覆的根尖病灶,病灶與患齒之根管系統相 通 (D)大部分之根尖囊袋性囊腫(periapical pocket cyst)仍須藉由根尖手術才會癒合
21.無症狀且齒質完整之下顎臼齒,X光檢查發現,根尖有放射線透過性病灶,活性試驗為無反應, 下列處置何者最適宜? (A)暫不處理,每三個月追蹤 (B)局部麻醉,進行根管治療 (C)拍攝不同角度根尖X光片,確定病灶之原因 (D)先製作暫時牙套保護
22.關於根管嚴重感染時輔助使用抗生素治療的原則,下列何者錯誤? (A)臨床醫師必須充分瞭解何種抗生素的給予較有利根管的細菌感染,並告知病人 (B)盤尼西林對於兼性厭氧菌與厭氧菌作用效果佳,但有超過50%的民眾對其有過敏反應 (C)紅黴素(erythromycin)是盤尼西林過敏病人用藥的變通選擇之一,但對於厭氧菌的制菌效果 不佳 (D)clindamycin對於兼性厭氧菌與厭氧菌都有不錯的效果
23.患者因為上顎正中門齒長有periradicular abscess來求診,牙周組織健康,但並不願意拆掉上面 的牙橋,因此當我們決定幫患者進行根尖手術時,何種翻瓣較為合適? (A)triangular flap (B)rectangular flap (C)Ochsenbein-Luebke flap (D)semilunar flap
24.施行根尖手術時,常以超音波器械做根尖窩洞修形(root-end cavity preparation),下列敘述何 者正確? (A)器械應平行牙齒的長軸 (B)強度開到最強,縮減操作時間 (C)不要噴水,以免妨礙操作視線 (D)使用超音波器械比鑽針更容易造成根尖破裂(apical fracture)的產生
25.下列那一項是造成根管充填良好的牙齒,根尖放射線通透性病變持續存在的最常見原因? (A)根管內根尖部位感染 (B)根管外感染 (C)根管充填物過度充填至根尖區引起異物反應 (D)根尖囊腫
26.在牙周手術時,會應用由廠商進口之多種骨移植材去填補牙周骨缺損,甲醫師只告知該病患要使 用骨移植材,但未詳細說明該移植材的性質及可能發生可能傳染某種病症的後遺症及結果,多年 後該病患被診斷罹患該疾病,該醫師違反下列何種法令規定? (A)該骨移植材未經行政院衛生署核准許可進口,所以醫師有走私違反政府法令之嫌 (B)該骨移植材是動物之骨製品,甲醫師未詳細說明該移植材有傳染疾病之可能性,甲醫師有違反 藥事法之嫌 (C)手術時甲醫師已經告訴病患要使用骨移植材,因文獻報告該疾病發生的機率僅有800萬分之 一,所以甲醫師只有違反醫師倫理,沒有違反任何法令規定 (D)所使用之骨移植材可能傳染某種疾病,因此違反污染防制法
27.下列何者已被認為是起始牙根齲齒最可能的菌種? (A)Streptococcus mutans (B)Streptococcus sanguis (C)Lactobacilli (D)Actinomyces viscosus
28.關於牙本質表層的構造與樹脂黏著強度(bonding strength)的關係,下列敘述何者錯誤? (A)較淺層的牙本質,其黏著強度較佳 (B)較深層的牙本質,因牙本質小管的管徑較小,因此黏著強度較差 (C)管間牙本質比樹脂突(resin tags)的形成,對黏著強度的影響更重要 (D)最新的黏著系統,可形成管壁混雜作用(tubule wall hybridization),使黏著強度更強
29.關於橡皮障潤滑劑(lubricant)之使用,下列何者錯誤? (A)使用水溶性潤滑劑為佳 (B)也可使用刮鬍膏 (C)可塗於橡皮障之兩面 (D)也可使用凡士林
30.下列那一種情況下,仍可使用橡皮障? (A)無法支持固位器之未完全萌發的牙齒 (B)第三大臼齒 (C)極度錯位牙(malpositioned) (D)氣喘病患
31.關於複合樹脂的聚合收縮(polymerization shrinkage),下列敘述何者錯誤? (A)聚合收縮是樹脂在臨床使用上最大的困擾 (B)自凝聚合和光照聚合樹脂其聚合收縮的方向相同 (C)分層填入可減少聚合收縮的影響 (D)牙齒和樹脂鍵結表面愈多,聚合收縮影響愈大
32.關於底劑中所含HEMA (2-hydroxyethyl methacrylate)之敘述,下列何者正確? (A)與樹脂相同,為恐水性之單體 (B)可幫助去除窩洞內之水氣 (C)可增加與牙齒表面之接觸角(contact angle) (D)可增加與牙齒表面之可濕潤性(wettability)
33.下列何者非傳統複合樹脂第二類型窩洞修形的特徵? (A)除非窩洞修形延伸至牙根表面,否則不需要90度複合樹脂邊緣(composite margins) (B)必須置放次要固位型(secondary retention forms)以增加固位力 (C)窩洞修形成粗糙的修形壁(preparation walls)以增加黏著(bonding)的表面積 (D)窩洞修形延伸較保守且軸壁(axial wall)深度較淺,可保留較多牙齒結構
34.第二級窩洞汞齊填補,鄰接盒(proximal box)之固位溝通常選擇以下何種鑽針(bur)? (A)169L號鑽針 (B)330號鑽針 (C)246號鑽針 (D)12號鑽針
35.描述牙齒顏色的要素有hue,chroma與value。請問影響value最主要的因素為何? (A)牙本質的顏色 (B)牙本質的厚度 (C)牙釉質的厚度 (D)牙齒的活性
36.在製作金合金復形體時,下列何者並非黏合劑所提供的主要功用? (A)提供固持性(retention) (B)減少滲漏現象(leakage) (C)增加摩擦抗力(resistance) (D)強化齒質結構(strengthening)
37.因放射線治療引起的口乾症病人自放射線治療後最快經多久時間會導致齲蝕形成? (A)5年 (B)1年半(18個月) (C)1年 (D)3個月
38.後牙咬翼片不是用來診斷下列何種病變之主要輔助工具? (A)鄰接面齲蝕(proximal surface caries) (B)復形物鄰接面懸垂突出(overhang) (C)再發性齲蝕(recurrent caries) (D)齒頸部齲蝕
39.當酸鹼值降至多少時,會開始引起牙本質及牙骨質去礦物質化? (A)6.5 (B)5.5 (C)4.5 (D)3.5
40.當病人有多顆延伸性齲齒(extensive caries),為了節省臨床操作時間且快速正確移除已感染的 齲齒病灶,並觀察後續牙髓反應,則下列何者是牙醫師首要的處理方式? (A)齲齒控制 (B)氟化物使用 (C)牙菌斑控制 (D)飲食諮詢
41.厚的(heavy)橡皮障的厚度約為多少mm? (A)0.15 (B)0.2 (C)0.25 (D)0.35
42.下列那一種複合樹脂建議用在第三級及第四級窩洞? (A)微粒子型(microfilled) (B)大粒子型(macrofilled) (C)混合型(hybrid) (D)流動型(flowable)
43.若固定的木楔底部高於窩洞牙齦緣,可能造成: (A)邊緣密貼 (B)鄰接面外形過於凹陷 (C)鄰接面外形過於突出 (D)邊緣嵴(marginal ridge)過高
44.下列何者不是含鋅汞齊合金(zinc containing amalgam)的優點? (A)製程減少雜質 (B)減少其他金屬成分的氧化 (C)降低脆性 (D)減少汞齊填補的術後膨脹
45.下列何者不是高銅(high copper)汞齊之優點? (A)高潛變(creep rate) (B)高初期強度 (C)高抗腐蝕性 (D)高抗斷裂強度
46.上顎前牙之排列,下列何者為犬齒與側門牙之最佳比例? (A)0.618:1.618 (B)0.618:1 (C)1:1.240 (D)1.240:1
47.臨床上常用的牙本質黏著劑與下列那類牙本質的黏著強度最高? (A)硬化性牙本質(sclerotic dentin) (B)乳牙牙本質 (C)老化牙本質(aged dentin) (D)正常的牙本質(normal dentin)
48.下列何者是後牙複合樹脂填補的禁忌症? (A)填補處可局部承受咬合力 (B)強化局部過薄咬頭(因經濟理由) (C)牙冠的基底(foundation)處理 (D)操作區域無法做好防濕處理
49.下列何者不是用來解決複合樹脂微滲漏的方法? (A)分層聚合技術(incremental curing technique) (B)在牙釉質上做斜面(enamel bevels) (C)使用具彈性的樹脂襯裡(resin liner) (D)使用氫氧化鈣襯裡(Ca(OH)2 liner)
50.以陶瓷嵌體復形後牙,黏著前以矽烷(silane)處理陶瓷黏著面,其目的是: (A)酸蝕陶瓷 (B)增加陶瓷與黏合劑的化學黏著力 (C)強化陶瓷 (D)增加黏合劑的聚合程度
51.在診間非活性齒漂白(in-office nonvital bleaching)中,下列敘述那些是正確的?①現今的技術 較不建議加熱 ②建議用30%-35%過氧化氫糊劑或凝膠(hydrogen peroxide pastes or gels) ③建議將美白劑深入牙根管內2 mm ④建議在齒頸部放置玻璃離子體(glass ionomer cement) (A)①②③ (B)①②④ (C)②③④ (D)①③④
52.在進行鑄造金屬嵌體(cast metal inlay)的牙齒修形時要磨出斜面(bevel),下列敘述中有那些 是正確的?①作在牙齦壁及咬合面的邊緣約30-40度 ②牙齦壁gingival bevel 的寬度約0.5-1 mm ③次級外展(secondary flare)應作成小於30度,所得的鑄造金屬嵌體邊緣厚度較佳 ④次級外 展可保護牙釉質邊緣,也使牙齒較易清潔 (A)①②③ (B)①②④ (C)②③④ (D)①③④
53.某牙周病患經基本治療期(initial phase)後,雖反覆指導牙菌斑控制,仍無法有效執行自我牙菌 斑控制,並且缺乏自我清潔之動機,則下列處置何者較為正確? (A)安排執行牙周清創手術減低牙周之發炎 (B)安排拔除所有患齒,降低牙周感染機會 (C)暫不予手術並告知病患牙周感染復發之可能性 (D)告知病患有問題時再行回診
54.關於牙周病患接受牙科植體評估及置放之時機,下列何者較為正確? (A)可隨時直接進行 (B)於口腔內所有感染性病灶完全控制後 (C)於開始維持期治療半年後 (D)於口腔衛教後便可積極展開
55.下列何種移植體(graft material)具有骨再生(osteogenesis)之能力? (A)allograft (B)alloplast (C)autograft (D)xenograft
56.下列關於骨移植(bone graft)材料的敘述何者錯誤? (A)取自拔牙區之海綿狀骨(cancellous bone)需經8-12週之傷口癒合方可使用 (B)Bone morphogenetic proteins具骨誘導(bone induction)及牙骨質形成的功能 (C)冷凍乾燥異體移植骨(FDBA)具有骨誘導能力(osteoinductive activity) (D)腸骨自體移植骨(iliac autografts)之造骨潛力(osteogenic potential)大於脫鈣冷凍乾燥異體 移植骨(DFDBA)
57.下列何者是影響牙根覆蓋治療預後最主要的因素? (A)抽菸的習慣 (B)相鄰齒間牙周組織高度 (C)翻瓣厚度 (D)結締組織移植體厚度
58.可用於治療Seibert氏二級齒槽骨嵴畸形(Seibert’s class II alveolar ridge deformity)之術式為 何? (A)半月形冠向移位翻瓣手術(semilunar coronally repositioned flap) (B)覆蓋牙齦移植(onlay gingival graft) (C)雙蒂狀移植(double pedicle graft) (D)去上皮結締組織蒂狀移植(deepithelized connective tissue pedicle graft)
59.60歲男性病患,目前有接受血液透析(hemodialysis),要施行牙周病之洗牙及牙根整平治療, 最好安排在洗腎後次日,其原因是為避免下列何種藥物的影響? (A)aspirin (B)coumadin (C)heparin (D)transamin
60.植體周圍組織發炎情況下,臨床探測檢查時探測計最尖端的位置大約是在: (A)接連上皮上層 (B)接連上皮下層 (C)皮下結締組織上層 (D)接近骨嵴
61.Cyclosporin A活化immunophilin,而阻斷了那種免疫細胞的功能? (A)Langerhans cells (B)B lymphocytes (C)T lymphocytes (D)Neutrophils
複選題
62.下列有關牙周致病菌與破壞性牙周病之敘述何者正確? (A)P. gingivalis菌可抑制嗜中性白血球越過上皮障礙(epithelial barrier) (B)Aactinomycetemcomitans菌可以侵入上皮細胞,在成年人牙周病中大部份分離出來的是 serotype b (C)Tannerella forsythsia(Bacteroides forsythus)可造成細胞凋亡,與Fusobacterium nucleatum 的生長是互相拮抗的 (D)Fusobacterium nucleatum可侵入牙齦細胞,亦可伴隨上皮細胞IL-8分泌的增加,但無法造成嗜 中性白血球細胞凋亡
63.下列何者存在時最容易引起牙周組織破壞? (A)咬合不整 (B)牙齒間存在有open contacts、plunger cusp (C)牙齦下牙菌斑 (D)咬合傷害
64.牙齦下菌斑可導致齒槽骨之破壞,是因為在菌斑內之細菌具有下列何者所致? (A)prostaglandin E
2
(B)interleukin 1 (C)tumor necrosis factor (D)lipopolysaccharides
65.慢性牙周炎患者之兩大危險因子為何? (A)不適當的牙菌斑控制習慣、飲酒 (B)不適當的牙菌斑控制習慣、抽菸 (C)不適當的牙菌斑控制習慣、骨質疏鬆 (D)不適當的牙菌斑控制習慣、心血管疾病
66.下列何者是進行單顆牙齒危險因子評估(risk assessment)之時機? (A)在完整檢查前 (B)在正確診斷後 (C)在完成治療後 (D)在牙周手術之後及贋復治療前
67.下列何種方法最不易有牙周囊袋復發的情形? (A)根向移位翻瓣術(apically positioned flap) (B)牙齦下刮除術(subgingival curettage) (C)改良式魏德曼翻瓣術(modified Widman flap) (D)側移位翻瓣術(laterally positioned flap)
68.為維護牙周組織健康,在贋復體邊緣和齒槽骨嵴之間至少應留下多少距離? (A)0.5 mm (B)1 mm (C)2 mm (D)3 mm
69.下列兩敘述之正確情形為何?①糖尿病為牙周病危險因子 ②糖尿病常會伴有嗜中性白血球功能 不良,容易受感染 (A)①②正確,且②為①之合理解釋 (B)①②正確,但②並非①之合理解釋 (C)①不正確,②正確 (D)①正確, ②不正確
70.下列有關牙周組織的血管、神經與淋巴系統之敘述,何者錯誤? (A)游離牙齦的血液供應來源主要為supraperiosteal blood vessels (B)上顎門齒顎側牙周組織支配神經為long sphenopalatine nerve (C)下顎門齒牙周組織的淋巴回流到submandibular淋巴結 (D)第三大臼齒牙周組織的淋巴回流到jugulodigastric淋巴結
71.陳小姐34歲經牙周全口治療後,一年後進入支持性牙周治療,依下圖所示有關右下後牙區的敘述,下列何者錯誤?
(GR:gingival recession,PD:probing depth,數字下畫線代表探測流血) (A)#48舌側仍然有殘餘的牙周囊袋,故其回診不要超過3個月 (B)#46所做的牙根分離術(root separation),一般若失敗而拔牙其原因大多不是牙周病所引起 (C)#48舌側有殘餘的牙周囊袋又有牙周探測流血,此時可在做完預防性維持回診(preventive maintenance appointment)後1至2星期再行決定是否重新對陳小姐做牙周治療 (D)#46回診時仍然需要做牙齦下抗菌藥物的沖洗
72.下列敘述何者錯誤? (A)Papillon-Lefévre syndrome(PLS)是因cathepsin C gene突變(mutation)造成 (B)aggressive periodontitis是因IL-1 gene多型性變化造成(polymorphisms) (C)IL-1 genotype多型性變化發生比例,因人種而有差異 (D)aggressive periodontitis遺傳模式不合乎孟德爾定律
73.關於引導組織再生術(GTR),下列敘述何者錯誤? (A)須空間的創造(space creation)以提供骨修復 (B)穩定的牙根面與纖維素凝塊(fibrin clot)之分界面(interface)可防止牙齦上皮根向位移 (C) 穩定的牙根面與纖維素凝塊(fibrin clot)之分界面(interface),在傷口癒合初期可提供結締 組織附著 (D)新附連(new attachment)包含牙骨質、牙周韌帶及骨質的再生
74.切除性骨手術(resective osseous surgery)後傷口癒合的階段有噬骨細胞(osteoclast)參與, 噬骨細胞在那一個時間出現? (A)骨手術後2-10天 (B)骨手術後10-28天 (C)骨手術後28-35天 (D)骨手術後0-2天
75.對於可能影響牙周預後之因素的敘述,下列何者錯誤? (A)對於兩位患者有相同的剩餘牙周附連組織(remaining connective tissue attachment)時,年 紀較長者的預後較年輕者好 (B)囊袋深度比附連組織的探測對預後的評估更有價值 (C)IL-1的基因多型性(IL-1 polymorphism)在某些種族的慢性牙周炎增加疾病的嚴重性有關聯性 (D)角性骨缺損比水平性骨缺損更有機會進行骨再生治療
76.女性賀爾蒙的變化,容易導致牙周組織明顯的改變,下列敘述何者錯誤? (A)月經時期會增加牙齦發炎並伴隨牙齦溝液增加 (B)停經婦女用動情素(estrogen)治療骨質疏鬆症(osteoporosis)可以增加骨頭密度 (C)懷孕時期動情素和黃體素(progesterone)升高,增加牙齦上皮角質化,和牙齦血管通透性及 牙齦溝液 (D)懷孕婦女體內的黃體素上升,造成適合Prevotella intermedia 生長的牙周環境
77.已知牙周病是許多全身性系統疾病的危險因子(risk factor),但是下列那一種系統性狀況除外? (A)糖尿病(diabetes mellitus) (B)冠心疾病(coronary heart disease) (C)慢性阻塞性肺部疾病(chronic obstructive pulmonary disease) (D)多發性硬皮症(multiple sclerosis)
78.目前對於牙周病和心臟病間的關聯性的研究結果,下列敘述何者錯誤? (A)近日接受過心臟手術者,於牙周治療前須服用抗生素,以預防心內膜炎(endocarditis) (B)口腔內的細菌可以在動脈粥樣硬化斑(atherosclerotic plaque)內發現 (C)牙周病感染發炎反應會導致或影響C-reactive protein量的減少 (D)冠狀動脈疾病(coronary artery disease)患者同時罹患牙周病的機率為未罹患牙周病者的兩 倍
79.下列何項實驗結果說明牙周疾病易感性(susceptibility)或嚴重度與genetic factor有關? (A)住在一起的同卵雙胞胎比從小分開住的同卵雙胞胎,有較明顯的牙周臨床指數相似性 (B)住在一起的異卵雙胞胎比從小分開住的異卵雙胞胎,有較明顯的牙周臨床指數相似性 (C)住在一起的同卵雙胞胎比從小分開住的同卵雙胞胎,有較不明顯的牙周臨床指數相似性 (D)住在一起的異卵雙胞胎比從小分開住的異卵雙胞胎,有較不明顯的牙周臨床指數相似性
80.某患者因車禍而拔除左上顎及右上顎正中門齒,且兩側側門齒至第一小臼齒皆有既存之固定牙 橋,下列何者有利於使用植體作為治療之考量? (A)出現過大門齒縫隙(diastema) (B)較慢的傷口癒合(reduced wound healing capacity) (C)鄰牙為較差之支柱牙(compromised abutment teeth) (D)較短的缺牙徑(reduced edentulous segments)
申論題 (0)
相關試卷
115年 - 115-1 專技高考_牙醫師(二):牙醫學(三)(包括齒內治療學、牙體復形學、牙周病學等科目及其相關臨床實例與醫學倫理)#137339
115年 · #137339
114年 - 114-2 專技高考_牙醫師(二):牙醫學(三)(包括齒內治療學、牙體復形學、牙周病學等科目及其相關臨床實例與醫學倫理)#128948
114年 · #128948
114年 - 114-1 專技高考_牙醫師(二):牙醫學(三)(包括齒內治療學、牙體復形學、牙周病學等科目及其相關臨床實例與醫學倫理)#125097
114年 · #125097
113年 - 113-2 專技高考_牙醫師(二):牙醫學(三)(包括齒內治療學、牙體復形學、牙周病學等科目及其相關臨床實例與醫學倫理)#121677
113年 · #121677
113年 - 113-1 專技高考_牙醫師(二):牙醫學(三)(包括齒內治療學、牙體復形學、牙周病學等科目及其相關臨床實例與醫學倫理)#118712
113年 · #118712
112年 - 112-2 專技高考_牙醫師(二):牙醫學(三)(包括齒內治療學、牙體復形學、牙周病學等科目及其相關臨床實例與醫學倫理)#115911
112年 · #115911
112年 - 112-1 專技高考_牙醫師(二):牙醫學(三)(包括齒內治療學、牙體復形學、牙周病學等科目及其相關臨床實例與醫學倫理)#113154
112年 · #113154
111年 - 111-2 專技高考_牙醫師(二):牙醫學(三)(包括齒內治療學、牙體復形學、牙周病學等科目及其相關臨床實例與醫學倫理)#109844
111年 · #109844
111年 - 111-1 專技高考_牙醫師(二):牙醫學(三)(包括齒內治療學、牙體復形學、牙周病學等科目及其相關臨床實例與醫學倫理)#106191
111年 · #106191
110年 - 110-2 專技高考_牙醫師(二):牙醫學(三)(包括齒內治療學、牙體復形學、牙周病學等科目及其相關臨床實例與醫學倫理)#99932
110年 · #99932