阿摩線上測驗
登入
首頁
>
醫學四:80題 ( 包括小兒科,皮膚科,神經科,精神科等科目及其相關臨床實例與醫學倫理 )
> 101年 - 101-1 專技高考_醫師(二):醫學(四)(包括小兒科、皮膚科、神經科、精神科等科目及其相關臨床實例與醫學倫理)#36865
101年 - 101-1 專技高考_醫師(二):醫學(四)(包括小兒科、皮膚科、神經科、精神科等科目及其相關臨床實例與醫學倫理)#36865
科目:
醫學四:80題 ( 包括小兒科,皮膚科,神經科,精神科等科目及其相關臨床實例與醫學倫理 ) |
年份:
101年 |
選擇題數:
80 |
申論題數:
0
試卷資訊
所屬科目:
醫學四:80題 ( 包括小兒科,皮膚科,神經科,精神科等科目及其相關臨床實例與醫學倫理 )
選擇題 (80)
1 下列那一種病原最不常發生母子之間的垂直感染? (A) Cytomegalovirus (B) Syphilis (C) Rubella (D) Epstein-Barr virus
2 一位 15 個月大的男嬰因為發燒、流口水和拒絕喝奶就醫。過去健康狀況良好,家人沒有生病。此男 嬰精神略顯煩躁但可被安撫,Temp 38.9℃,HR 140/min。手掌和腳掌有一些小而淺的水,臀部出 現淺紅色的斑丘疹,後咽部和舌下出現數個水,嘴唇沒有水。最可能的診斷是: (A)水痘(varicella) (B)麻疹(measles) (C)手足口症(hand-foot-mouth disease) (D)猩紅熱(scarlet fever)
3 李先生 10 歲即因慢性腎衰竭開始透析治療。5 年前接受換腎移植,並且於 3 年前得一女。最近他發 現女兒有間歇性的紅尿。在診間醫生發現李先生有輕度的智能障礙。該童初步的尿液試紙檢驗呈 現 3+blood。該童最有可能的診斷是: (A) Alport 症候群(Alport syndrome) (B)高鈣尿(hypercalciuria) (C)膜性腎炎(membranous glomerulopathy) (D) Goodpasture 症候群(Goodpasture syndrome)
4 先天性幽門狹窄(pyloric stenosis)在何時最易出現腸壁蠕動波(visible peristalsis)? (A)餵食前、嘔吐前 (B)餵食前、嘔吐後 (C)餵食後、嘔吐前 (D)餵食後、嘔吐後
5 一位 14 歲男童因為突發的紅尿至急診室求診。尿液常規檢查顯示:Bilirubin:陰性(-);Urobilinogen: 強陽性(3+);Occult blood:強陽性(3+);Protein:陰性(-);WBC 3-5/HPF;RBC 0-2/HPF。下列何者為 其最可能之診斷? (A)急性溶血(acute hemolysis) (B)急性肝炎(acute hepatitis) (C)急性橫紋肌溶解症(acute rhabdomyolysis) (D)急性腎絲球腎炎(acute glomerulonephritis)
6 下列有關兒童腎病症候群之病生理的敘述,何者錯誤? (A)病童的血管內容積(intravascular volume)會降低 (B)病童血液中的血色素(hemoglobin)值會上升 (C)病童的抗利尿激素(antidiuretic hormone)的分泌會增加 (D)病童會因腎小管的鈉離子再吸收降低而出現低血鈉症(Hyponatremia)
7 裘馨氏肌肉失養症(Duchenne muscular dystrophy)之女性帶因者(carrier),其臨床表現不包括下列 何者? (A)大部分無症狀 (B) 80%帶因者血清中 creatine kinase 值會上升 (C)無症狀者其肌肉切片檢查為正常 (D)若同時為 Turner 症候群,則可能出現典型症狀
8 一位 7 歲 10 個月女童因母親發現有乳房發育而就診。父親身高 163 公分,母親身高 154 公分。此女童 最近 6 個月長 3 公分,身體檢查顯示身高 127 公分(第 75 百分位),體重 30 公斤(第 97 百分位), 乳房為 Tanner stage Ⅱ,無陰毛及腋毛發育。其骨齡為 10 歲,於性腺釋素(GnRH)刺激後,血清 濾泡促素(FSH)之最高值為 10 IU/L,黃體促素(LH)之最高值為 6 U/L。此時最不適合給病人的 母親下列那一項建議? (A)安排骨盆腔超音波檢查(pelvic sonography) (B)安排蝶鞍磁振攝影(MRI of sella) (C)立即給予性腺釋素同構物(GnRH analogue)治療 (D)先予門診追蹤其青春期發育之進展 代號:2102 頁次:12-2
9 根據美國嬰兒聽力聯合委員會(Joint Committee on Infant Hearing)之意見,下列何種嬰兒為聽力障 礙之高危險族群? (A)所有嬰兒 (B)所有早產兒 (C)黃疸需要照光者 (D)罹患化膿性腦膜炎者
10 先天性甲狀腺低能症患兒很少出現下列那一項特徵? (A)稽延性黃疸(prolonged jaundice) (B)後囟門(posterior fontanel)寬超過 0.5 公分 (C)腹瀉 (D)臍疝氣(umbilical hernia)
11 新生兒之臂神經叢損傷,不包括下列何者? (A) Erb 氏麻痺 (B) Klumpke 氏麻痺 (C) Horner 氏麻痺 (D)顏面神經麻痺
12 一名 7 歲女童來門診求診,家人主訴慢性咳嗽已有半年,同時有夜咳情形(一個月 3 次),日間症狀 大約一週 3 次。理學檢查可見黑眼圈,聽診發現雙側輕微呼氣末期喘鳴聲(end expiratory wheezing), 進一步檢查發現對塵嚴重過敏,且 Total IgE 為 250 IU/L,FEV1 為預測值的 85%。有關此病人的 治療原則,下列敘述何者正確? (A)根據 National Asthma Education and Prevention Program(NAEPP)guideline,此病人的嚴重度屬於 moderate persistent (B)可使用高劑量吸入劑型類固醇加吸入劑型長效型乙二型支氣管擴張劑(LABA)治療 (C)若氣喘急性發作,可使用口服或是靜脈注射類固醇來治療 (D)控制居家環境,減少塵的暴露,不會改善氣喘控制的好壞
13 一位 8 歲的男孩,罹患氣喘病,醫師建議要規則用藥治療,下列何藥物不可單獨使用於慢性氣喘病人 的長期治療? (A) Inhaled corticosteroids (B) Inhaled long-acting β2-agonists (C) Leukotriene modifiers (D) Theophylline
14 一位 12 歲女童因脾氣暴躁、容易失眠、體重減輕而就診,身體檢查發現其心跳每分鐘 140 下,兩眼突 出,雙手有顫抖現象。下列那一項檢查結果與此病人的臨床表徵最不相符? (A)血清 T3 值 350 ng/dL (B)血清 free T4 值 3.0 ng/dL (C)血清 T4 值 18.0 μg/dL (D)血清 TSH 值 5.0 μIU/mL
15 一位 3 歲男孩反覆發生化膿性細菌感染,但是他接種疫苗後的抗體反應正常,且他感染水痘及麻疹後 復原正常。他最可能是下列那一種細胞的功能缺陷? (A)中性球(Neutrophils) (B)吞噬細胞(Macrophages) (C) B 淋巴細胞(B lymphocytes) (D) T 淋巴細胞(T lymphocytes)
16 2 歲小孩走路撞到肩膀,大哭、嘴唇發紫而跌在地上、無意識反應。最可能之診斷為何? (A)外傷性癲癇(traumatic epilepsy) (B)失神發作(absence attack) (C)發紺發作(blue spell) (D)屏氣發作(breath-holding spell)
17 一位 1 歲病童,有長期分泌型腹瀉(secretory diarrhea),腹部超音波發現有腫塊,此時需特別考慮何 種疾病的可能性? (A)腎上腺出血(adrenal hemorrhage) (B)腎上腺皮質癌(adrenocortical carcinoma) (C)神經母細胞瘤(neuroblastoma) (D)威爾姆氏腫瘤(Wilms tumor)
18 一位 1 歲男童因最近時常瘀青來就診,病童檢驗報告如下 WBC:8,700/mm3 、Hgb:12 gm/dL、 PLT:320,000/mm3 、prothrombin time(PT):11.7/10.8(patient/control)秒、activated partial thromboplastin time(aPTT):89.3/29.6(patient/control)秒、bleeding time(Ivy’s method):1.5 min、von Willebrand factor(vWF)antigen 72%,此病童最有可能是: (A)第七凝固因子缺乏 (B)血友病 B(hemophilia B) (C) von Willebrand 病 (D)尿毒症(uremia)
19 一位 7 歲大女童因急性淋巴性白血病復發,接受臍帶血造血幹細胞移植,第 45 天後出現幾天的 全身紅疹及有脫屑(desquamation)現象,並有水樣腹瀉(watery diarrhea)情形,周邊血液無異 常白血球出現,aspartate aminotransferase(AST; SGOT):85 U/L,alanine aminotransferase(ALT; SGPT):128 U/L,total bilirubin:2.5 mg/dL,CRP 正常,臨床上病人無發燒,無咳嗽,活動力 並無明顯異常,下列何種疾病最有可能? (A) acute graft-versus-host disease(GVHD) (B) chronic graft-versus-host disease(GVHD) (C) Candida infection (D) Epstein-Barr virus(EBV)infection 代號:2102 頁次:12-3
20 下列何種先天性心臟病最常聽到的心雜音為連續性(continuous)雜音? (A)心室中隔缺損 (B)心房中隔缺損 (C)開放性動脈導管 (D)肺動脈狹窄
21 一位 6 歲男孩,主訴發燒、喉嚨痛 2 天、無明顯流鼻水,身體理學檢查喉嚨充血,扁桃腺有白色 滲出物,淋巴結稍腫。下列何種狀況需要完整抗生素療程治療? (A) A 群鏈球菌感染(Group A streptococcal infection) (B)手足口症(Hand-Foot-Mouth disease) (C)腺病毒感染(Adenoviral infection) (D)川崎症(Kawasaki disease)
22 一位 8 歲小男孩,因為牙齦發黑,檢查發現 cortisol 下降,ACTH 上升,診斷為 Addison 病。患 童定時補充 cortisone acetate,但是在治療一年半後,發現學習上有退步的現象,而且走路也不太 穩。下列的後續診斷發現,何者最不合理? (A)腦部核磁共振檢查發現有白質退化的現象 (B)血液超長鏈脂肪酸分析結果不正常 (C)小男孩 4 歲的弟弟也罹病 (D)家族史分析中發現父系親屬中也有一位男孩發病
23 下列有關粒線體 DNA 的敘述,何者錯誤? (A)粒線體 DNA 並不位於細胞核內 (B)每一個粒線體有一個 copy 的 DNA (C)一個細胞有多個粒線體 (D)有時細胞內的一部分粒線體有基因突變,其他的粒線體卻是正常的序列
24 下列有關心臟超音波臨床應用之敘述,何者錯誤? (A)心臟超音波檢查不易偵測到心包膜積水 (B) M-mode 超音波常用以測量左心室之大小 (C) Two-dimensional 超音波常用於檢查各種心臟切面的異常變化 (D) Doppler 超音波常用於檢查血流變化
25 下列那一項不是臺灣地區 G-6-PD(Glucose-6-phosphate dehydrogenase)缺乏症的特徵? (A)常有新生兒黃疸現象 (B)遇到誘因會發生急性溶血 (C)為遺傳性疾病 (D)平時需輸血治療
26 臺灣的苯酮尿症患者,大約有三分之一是由苯丙胺酸 hydroxylase 的輔tetrahydrobiopterin(BH4) 缺乏所引起。BH4 同時也是 dopamine 以及 serotonin 合成所需。所以 BH4 缺乏時,除了苯丙胺酸的 濃度上升之外,還會有那一項表現? (A)酸血症 (B)因為神經傳導物質缺乏所引起之神經退化症狀 (C)容易產生嗜鉻性細胞瘤(pheochromocytoma) (D)先天性心臟病
複選題
27 下列那一個不是青少年時期常見的惡性疾病? (A)骨肉瘤(osteosarcoma) (B)依文氏肉瘤(Ewing sarcoma) (C)急性白血病(acute leukemia) (D)神經母細胞瘤(neuroblastoma)
28 一位 15 歲的女孩子,近 3 個月來發現有關節炎、體重減輕、不明熱等現象,醫師懷疑她罹患系 統性紅斑性狼瘡(Systemic Lupus Erythematosus, SLE),根據 1997 年美國風濕病學會(American College of Rheumatology)公布診斷 SLE 的 11 要項中要符合至少 4 項才可診斷為 SLE,下列何者 不在此 11 項中? (A) Hemolytic anemia with reticulocytosis (B) Photosensitivity (C) Vasculitis (D) Antinuclear antibody(ANA)elevation
29 一位 3 個月大之男嬰,腹瀉及發燒約 5 天。病史顯示其出生時有解胎便延遲,並自那時起即有便秘。 理學檢查發現男嬰活力不佳,有高燒並有腹脹等症狀。此男嬰最可能有下列何種疾病? (A)毒性巨腸(toxic megacolon) (B)幽門狹窄(pyloric stenosis) (C)小腸絞轉(volvulus) (D)腸套疊(intussusception)
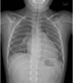
30 一位 4 歲女孩因久咳不癒,來院就診,身體檢查發現心跳約 96 次/分,呼吸稍快,肝臟在右肋 骨下 2 公分處還可摸到,心臟聽診不太清楚,胸部 X 光片如附圖。由這 X 光片可看到何種最主 要異常的變化?
(A)肺癌的變化 (B)心臟擴大 (C)氣胸 (D)橫膈膜向上移動
31 一位 2 歲大的女嬰出生時即發現背後有一個如圖一的皮膚病灶。最近因反覆泌尿道感染住院。膀 胱尿道攝影檢查(voiding cystourethrogram)顯示如圖二。下列何種處置方式最恰當?
(A)應立即作輸尿管重植術,以避免腎傷害 (B)給予低劑量抗生素,預防感染,等待自然恢復 (C)訓練照顧者作間歇性導尿 (D)施予雙側輸尿管口之玻尿酸注射
32 一位 5 歲男童,身材較矮,臉長唇厚(如附圖),而且有主動脈狹窄。最可能的診斷為:
(A)威廉氏症(Williams syndrome) (B)努南氏症(Noonan syndrome) (C)特納氏症(Turner syndrome) (D)唐氏症(Down syndrome)
33 一位 6 歲男童發燒 3 天來就診,身體檢查發現咽部發紅,舌頭變化如圖所示。下列那一項是最適當 的診斷?
(A) Strawberry tongue (B) Hairy leukoplakia (C) Geographic tongue (D) Hairy tongue
34 一位 80 歲男性,下肢出現如圖所示的搔癢脫屑病變,而這種皮膚病每到冬天都會復發,夏天就改善。 他冬天習慣用很燙的熱水浸泡患部,最可能診斷是:
(A)尋常性乾癬(psoriasis vulgaris) (B)過敏性接觸性皮膚炎(allergic contact dermatitis) (C)脂漏性皮膚炎(seborrheic dermatitis) (D)缺脂性濕疹(asteatotic eczema)
35 一位 70 歲男性,自 40 歲後很容易長頭皮屑,頭皮發癢,而近 5 年來更在頭皮、眉毛及鼻子周圍長出 如圖的脫屑紅斑。最可能的診斷是:
(A)異位性皮膚炎(atopic dermatitis) (B)接觸性皮膚炎(contact dermatitis) (C)錢幣狀濕疹(nummular eczema) (D)脂漏性皮膚炎(seborrheic dermatitis)
36 關於該患者病程發展的敘述,下列何者正確? (A)頭部的 occipital and temporal margin 通常不會受影響 (B)除了頭皮,其他第二性徵的毛髮也會越來越稀疏 (C)髮幹的粗細不會改變 (D)皮脂腺的分泌會越來越少
37 承接上題,關於此疾病的致病機轉與治療,下列敘述何者正確? (A)真皮乳頭受到 androgen 的調控,毛囊由 terminal type 轉變為 vellus type (B)患者的 testosterone 在 testis 產量過多 (C)在皮脂腺 testosterone 被 type Ⅱ 5α-reductase 代謝為過量之 dihydrotestosterone (D) Finasteride 治療有效乃因抑制 type Ⅰ 5α-reductase
38 該病變的最適當診斷為: (A)尋常疣(verruca vulgaris) (B)光化性角化病(actinic keratosis) (C)皮脂漏性角化病(seborrheic keratosis) (D)波文氏病(Bowen’s disease)
39 承接上題,關於該病變的成因與治療,下列敘述何者正確? (A)病毒引起,塗抹 Imiquimod 有效 (B) UVB 引起,塗抹 Imiquimod 有效 (C)砷引起,液態氮可治癒 (D)老化造成的良性病變,不需治療
40 一位 40 歲的男性糖尿病患者,主訴性行為後外生殖器有局部燒灼感,經診察在龜頭及包皮內側有多 發、散在性丘疹及膿,且伴隨輕微糜爛如圖所示。該病患最有可能的診斷為何?
(A)單純性疹(herpes simplex) (B)傳染性軟疣(molluscum contagiosum) (C)尖形濕疣(condyloma acuminatum) (D)念珠菌性龜頭包皮炎(candidal balanoposthitis)
41 一位 47 歲男性,最近 10 天出現間歇性發燒約 38 至 39℃,並伴隨不具癢感的紅色丘疹出現於腹部、 四肢及臉部,理學檢查在左下肢有如圖之發現,經皮膚切片,病理上呈現淋巴組織球血管炎的變化。 關於該名患者的診斷與病程之敘述,下列何者錯誤?
(A)因外傷而引起之細菌性感染 (B)病原菌為格蘭氏陰性菌 (C)病原菌可在血管內皮細胞、吞噬細胞與白血球內繁殖 (D)在溫熱潮濕的環境感染機會高
42 一位 75 歲男性,8 年前開始於四肢出現無症狀皮疹,此皮疹逐漸增加、擴散。至 3 年前,此皮疹幾 乎擴達全身。此後皮疹的範圍無明顯變化。8 年間,病人很少服藥。理學檢查,皮疹犯及 90%以上的 皮表面積(紅皮症)(如圖一所示)。兩側腋下及腹股溝淋巴結明顯腫大,血液抹片可見異型淋巴 球(如圖二所示)。此病患最可能的診斷為何?
(A)藥物疹(drug eruption) (B)皮肌炎(dermatomyositis) (C)西紮利氏症(Sézary syndrome) (D)柏哲德氏病(Paget’s disease)
43 一位 80 歲男性,1 週來在臉部、四肢末端長出如圖所示的暗褐色斑、水疱、合併糜爛。患者發疹前 幾天曾服用過磺胺類(sulphonamide)藥物,幾年前也曾在服用類似藥物後在身體同樣的部位也會發 出類似的疹子。最可能診斷為:
(A)多形性紅斑(erythema multiforme) (B)麻疹樣藥物疹(morbilliform drug eruption) (C)固定性藥物疹(fixed drug eruption) (D)單純性疹(herpes simplex)
44 關於人類乳突病毒(human papillomavirus, HPV)感染所引發之皮膚黏膜疾病,下列敘述何者錯誤? (A) HPV type 2,4 可引發尋常性疣(verruca vulgaris or common wart) (B) HPV type 16,18 與肛門生殖器疣(anogenital wart)及子宮頸癌(cervical carcinoma)有關 (C)接種對抗 HPV type 16,18 之疫苗對於預防子宮頸癌沒有幫助 (D)皮膚上皮疣樣增生不全(epidermodysplasia verruciformis)之患者缺乏對抗 HPV 感染之免疫力,故 容易產生多發性疣(multiple warts)
45 引起染髮劑皮膚炎(hair dye dermatitis)最常見的過敏原為: (A)香水(fragrance mix) (B)鎳(nickel) (C)對次酚二胺(para-phenylenediamine, PPD) (D)鉻酸鹽(chromate)
46 下列臨床診斷何者最有可能? (A)過動兒(hyperkinetic child) (B)全肌張力不全症(generalized dystonia) (C)妥瑞氏症(Tourette’s disorder) (D)亨丁頓氏舞蹈症(Huntington’s chorea)
47 承上題,下列治療方法何者最有效? (A) Anticholinergics (B) Haloperidol (C) Levodopa (D) Clonazepam
48 懷疑有腦膜炎時,下列何種檢查方法對診斷的確立最重要? (A)腦部磁振造影 (B)腦脊髓液檢查 (C)腦波檢查 (D)電腦斷層攝影
49 某位 34 歲的男士,車禍後感到頸部很痛,右腳無力。檢查時發現右腳振動感減低,左腳沒有痛覺。 最恰當的診斷應是: (A) Central cord syndrome (B) Anterior spinal cord syndrome (C) Brainstem injury (D) Brown-Séquard syndrome
50 下列有關 Guillain-Barré syndrome 的敘述,何者錯誤? (A)常可引起四肢無力 (B)疾病嚴重時須考慮使用氣管內插管及呼吸器 (C) CSF 中可發現數目很多的單核白血球 (D)可考慮用 plasma exchange 治療
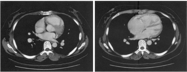
51 16 歲女性,因心雜音就診,注射對比劑後 CT 影像如附圖,則最可能的診斷為下列何者?
(A) Sinus venosus type atrial septal defect (B) Membranous type ventricular septal defect (C) Outlet type ventricular septal defect (D) Secundum type atrial septal defect
52 一位 2 歲的小孩,2 天前出現輕度發燒及皮膚病灶,並注意到全身出現紅斑,檢查時 Nikolsky sign 呈陽性,下列敘述何者正確?
(A)葡萄球菌皮膚燙傷樣症候群(staphylococcal scalded skin syndrome)為可能診斷 (B)一定會侵犯黏膜組織 (C)使用類固醇治療有良好療效 (D)會留下永遠的皮膚病灶
53 當一位 26 歲女性出現兩側的核間眼神經麻痺時(bilateral internuclear ophthalmoplegia),最可能的診 斷是: (A)多發性硬化症 (B)腦幹的缺血性中風 (C)腦幹的動靜脈畸型 (D)腦幹腫瘤
複選題
54 下列何疾病與鈣離子通道病變相關? (A) Periodic paralysis (B) Paramyotonia congenita (C) Myotonia congenita (D) Episodic ataxia
55 威爾森氏病(Wilson’s disease)最典型的臨床症狀是銅沈積在眼角膜上,此現象稱為: (A) Kayser-Fleischer ring (B) Café au lait spots (C) Cherry red spots (D) Lisch nodules
56 一位 35 歲男性病人第一次癲癇發作,時間持續約 5 分鐘,癲癇結束後仍意識混亂,所以被送至急診 室求診。下列那一個處置是正確的? (A)立刻在其口中塞入壓舌板,以免病人咬到自己的舌頭 (B)剛發作完血糖會過低,要立刻給予葡萄糖液靜脈注射 (C)安排腦部電腦斷層攝影或磁振造影 (D)立刻給予靜脈注射 phenytoin,每公斤體重 75 mg
複選題
57 偏頭痛之預防治療藥物為: (A) propranolol (B) metoclopramide (C) sumatriptan (D) ergotamine
58 下列何種神經病變較不可能是糖尿病所導致? (A) Autonomic neuropathy (B) Distal sensory neuropathy (C) Cranial nerve palsy (D) Polyradiculoneuropathy
59 下列有關典型的亨丁頓氏舞蹈症(Huntington’s chorea)的敘述,何者錯誤? (A)豆狀核萎縮 (B)中年出現失智或類似精神分裂病的症狀 (C)側腦室變小 (D)有些病患的運動障礙為僵硬型(rigid)
60 下列何者較不可能是因為上運動神經元(upper motor neuron)損傷所呈現的病徵? (A)肌無力(Weakness) (B)肌束抽搐(Fascicular twitching) (C)深部腱反射(Deep tendon reflex)增加 (D)伸蹠反射(Extensor plantar reflex)
61 巨細胞動脈炎(Giant cell arteritis)的主要治療是: (A) Non-steroidal anti-inflammatory drugs (B) Sumatriptan (C) Prednisone (D) Morphine
62 下列有關脊椎基底動脈系統之敘述,何者錯誤? (A)脊椎動脈是起源於主動脈弓 (B)後大腦動脈部位之缺血性腦中風會造成視野缺損 (C)中腦部位之血流供應主要是來自基底動脈 (D)後交通動脈主要是連接內頸動脈系統及後大腦動脈
63 35 歲的王太太罹患重度憂鬱症,服用百憂解(fluoxetine)後出現:躺不住、坐不住、不斷地走來走 去,下列藥物治療何者最有效? (A)抗乙醯膽鹼藥物(anticholinergic agent) (B)抗組織胺藥物(antihistamine) (C)苯二氮平類藥物(benzodiazepine) (D)乙型腎上腺素受體阻斷劑(β-adrenergic receptor blocker)
64 下列何者不屬於精神分裂症患者所出現之思考「內容」障礙? (A)被害妄想(delusion of persecution) (B)關係意念(idea of reference) (C)被跟蹤妄想(delusion of being followed) (D)思考聯結鬆弛(loosening of associations)
65 關於海洛英成癮(heroin dependence)患者的脫癮藥物治療,下列何者較不恰當? (A)美沙冬(methadone) (B)嗎啡(morphine) (C)拿淬松(naltrexone) (D)丁基原啡因(buprenorphine)
66 關於憂鬱症患者的睡眠變化,下列何者最不常見? (A)睡眠總時數減少 (B)快速動眼期睡眠(REM sleep)的量增加 (C)慢波睡眠(slow wave sleep)的量減少 (D)出現第一個快速動眼期睡眠的時間(REM latency)延後發生
67 下列有關恐慌症(panic disorder)之敘述,何者錯誤? (A)恐慌症雖然是陣發性發作,但是為一種慢性病 (B)使用過多的咖啡或尼古丁,會惡化恐慌的症狀 (C)可能併發憂鬱、酒精與物質濫用、強迫症 (D)恐慌症患者發生自殺的危險性不高
68 強迫症患者,臨床上強迫思想(obsession)的型式有下列四種較常見,其出現的機率排序由高到低, 何者正確?①對稱性(symmetry) ②病態性懷疑(pathological doubt) ③無恥或得罪的念頭 (intrusive thoughts):例如:色情或攻擊性的念頭 ④污染(contamination) (A)④②③① (B)②④③① (C)④②①③ (D)②④①③
69 一位 39 歲女性,主訴近 1 個月超過 4 次以上身體不適,每次發作均為無預警,無固定時段,發作期 間約為 10 分鐘時症狀達到巔峰,合併有心悸、冒汗、手抖、腹脹、頭暈,感覺瀕臨崩潰、死亡,及 近乎發狂。下列何者為其最可能之臨床診斷? (A)廣泛性焦慮症 (B)恐慌症 (C)創傷後壓力症候群 (D)強迫症
70 某人步行途中,遭機車搶劫,幸而身體與頭部均無受傷害,意識始終清楚,但面對警察製作筆錄以 及隨後的一週,均仍完全無法描述搶劫前後的情景,包括:車輛顏色、車號、地點與事發過程。此 現象為: (A)創傷後壓力症候群(posttraumatic stress disorder) (B)適應障礙(adjustment disorder) (C)解離性失憶(dissociative amnesia) (D)轉化(conversion)
71 長期酒癮患者易罹患「酒精誘發之精神病疾患(Alcohol-induced psychotic disorder)」,此類患者最 常出現下列何種知覺障礙? (A)視幻覺 (B)聽幻覺 (C)嗅幻覺 (D)觸幻覺
72 下列關於譫妄(delirium)的敘述,何者錯誤? (A)通常是突然發作(acute onset)且症狀時好時壞(fluctuating) (B)個案的認知功能常常會有變化 (C)個案的意識狀態常常不甚清醒 (D)譫妄通常是精神病發作的前兆,與身體疾病無關係
73 一位 25 歲男性病人因最近一星期開始產生明顯幻聽及被害妄想而被送來急診,醫師幫其做一般身體 檢查及生化檢查,一切正常,他也未曾有藥物及酒精濫用史,也未曾有明顯之腦傷史。其病史為在 20 歲時開始有陣發性之強直-陣攣癲癇發作(tonic-clonic seizures),服藥後症狀明顯改善。最近一 週因感冒而未服抗癲癇藥,於這一週內被發現有多次之強直-陣攣癲癇發作。下列敘述何者正確? (A)癲癇發作引起之精神病,最常發生在每次癲癇發作之後(postictal psychosis) (B)與其他大腦位置比較,顳葉病灶引起之癲癇,較易產生精神病症狀 (C)與女性癲癇患者比較,男性癲癇患者較易產生精神病 (D)癲癇發作引起之精神病與精神分裂症相似,也會產生明顯之聯想鬆弛之症狀
複選題
74 下列有關注意力缺損過動症(attention-deficit/hyperactivity disorder, ADHD)的敘述,何者錯誤?(一律給分) (A)第一線治療為行為治療 (B) 3 歲之前很難診斷注意力缺損過動症,因正常小孩也可能有相同行為 (C)約一半的人到青春期或成人仍有症狀 (D)第一線藥物治療為中樞神經刺激劑(stimulant),其主要副作用為食慾降低及失眠
75 單就年齡層而言,下列何者自殺死亡之危險性最高? (A) 18-35 歲 (B) 35-50 歲 (C) 50-65 歲 (D) 65 歲以上
76 70 歲的王老太太最近 3 年常腳痠,好像螞蟻在鑽,夜裡睡不著覺,只好起來走一走較舒服,因為這 樣的困擾半夜來急診,急診醫師因為王老太太急躁不安,所以除了給予口服抗焦慮藥物外,並加打 一支 haloperidol,但病人的痠痛沒有顯著改善,反而更加坐立不安。王老太太最可能的臨床診斷是什 麼? (A)夢遊症(sleepwalking disorder) (B)入眠期幻覺症(hypnagogic hallucination) (C)不寧腿症候群(restless legs syndrome) (D)週期性肢動症(periodic limb movement syndrome)
77 有關社交畏懼症(social phobia)的敘述,下列何者錯誤? (A)在流行病學的研究顯示女性多於男性 (B)最常於 30 歲開始發作 (C)心理治療合併藥物治療的療效優於單獨使用任一種治療的療效 (D)廣泛性社交畏懼症(generalized social phobia)之患者常併發畏避性人格違常(avoidant personality disorder)
78 一位 8 歲男童車禍遭公車撞擊,被送至急診處,到院時男童意識清楚、面容焦慮、呼吸淺快、胸前 有大片車輪印及瘀傷,生命徵象顯示呼吸速率 60/分、心跳 180/分、收縮壓 70 mmHg,四肢濕冷、血氧 91%,在影像檢查前,為預防呼吸衰竭,給予預防性氣管插管(prophylactic intubation),插管後給 予甦醒球正壓呼吸,卻發現血氧 64%、心搏 32/分,血壓無法測量,呈現無脈性心臟電氣活動(pulseless electrical activity),插管位置經確定正確,但右側呼吸音消失,下列何者立即處置最恰當? (A)安排胸部 X 光檢查 (B)給予大量輸液並送入開刀房 (C)給予 100%氧氣之機械換氣,並給予 Atropine 0.2 mg/kg (D)給予右二肋間胸部針刺放氣
79 有關人體試驗相關原則,下列敘述何者錯誤? (A)接受試驗者得隨時撤回其同意 (B)人體試驗之說明及同意書必須接受研究倫理委員會(REC/IRB)的審查與核准 (C)雙盲性試驗可不必向對照組之受試者說明研究內涵以確保其參與意願 (D)提供知情抉擇所需要的資訊時,應以向「具有理性之人(reasonable person)」進行說明作為告知 內容的標準
80 你在急診接到一位 2 歲左脛骨骨折女孩,她身上還存在多處瘀青與疤痕,你懷疑這是兒童虐待個案, 但隨行的媽媽堅稱孩子非常調皮,因經常跌倒撞傷所致,你該如何處置? (A)收集到確實虐待證據就通報 (B)涉及個人隱私,不能通報 (C)再追蹤觀察 2 個月 (D)立即通報相關機構
申論題 (0)