阿摩線上測驗
登入
首頁
>
牙醫學(三)(包括齒內治療學、牙體復形學、牙周病學等科目及其相關臨床實例與醫學倫理)
> 102年 - 102-1 專技高考_牙醫師(二):牙醫學(三)(包括齒內治療學、牙體復形學、牙周病學等科目及其相關臨床實例與醫學倫理)#35985
102年 - 102-1 專技高考_牙醫師(二):牙醫學(三)(包括齒內治療學、牙體復形學、牙周病學等科目及其相關臨床實例與醫學倫理)#35985
科目:
牙醫學(三)(包括齒內治療學、牙體復形學、牙周病學等科目及其相關臨床實例與醫學倫理) |
年份:
102年 |
選擇題數:
80 |
申論題數:
0
試卷資訊
所屬科目:
牙醫學(三)(包括齒內治療學、牙體復形學、牙周病學等科目及其相關臨床實例與醫學倫理)
選擇題 (80)
1.在牙齒的發育中,上皮細胞(epithelial cells)和間葉細胞(mesenchymal cells) 形成造釉母細 胞(ameloblasts)和造牙本質細胞(odontoblasts)的時期為: (A)蕾期(bud stage) (B)鐘形期(bell stage) (C)帽蓋期(cap stage) (D)細胞期(cell stage)
2.關於牙根切削穿孔(stripping perforation),下列敘述何者錯誤? (A)多發生於根管入口時 (B)比直接穿孔難以修補 (C)經常造成發炎,導致牙周囊袋形成 (D)可使用三氧礦化聚合物(mineral trioxide aggregate)修補
3.下列有關牙髓功能之說明何者錯誤? (A)造釉母細胞(ameloblast)會影響造牙本質細胞(odontoblast)的分化 (B)造牙本質細胞(odontoblast)與牙本質(dentin)會影響牙釉質(enamel)的生成 (C)牙齒的生成過程中內皮與間葉組織的交互作用(endothelial-mesenchymal interaction)扮演重 要角色 (D)造牙本質細胞(odontoblast)會對齲齒、外傷與牙體復形(restoration)步驟產生反應
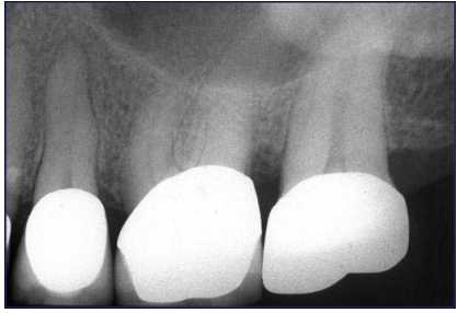
4.李伯伯兩週前上顎左側開始對冷水刺激感到不適,症狀逐漸嚴重故求診,其X光片結果如下圖所 示,對於此症狀的診斷,下列何者正確?
(A)第二小臼齒因牙冠內再度齲齒(recurrent decay),需進行根管治療 (B)第一大臼齒因根管系統鈣化,需進行根管治療 (C)第二大臼齒因根管內吸收,需進行根管治療 (D)無法由此X光片判斷何者需根管治療
5.下列那一項疼痛不屬於「牽連痛」(referred pain)? (A)三叉神經痛 (B)耳前區疼痛 (C)鼻竇區疼痛 (D)胸部疼痛
6.在做窩洞準備時,下列何者最能預防牙髓組織受傷? (A)將塗抹層(smear layer)保留 (B)用銳利的鑽針掃過 (C)使用適當的空氣冷卻 (D)使用適當的水冷卻
7.下列四種口腔顏面區域的疼痛,在疼痛的本質(nature)、誘發因素(triggers)以及疼痛持續的 時間(duration)上,那一種疼痛與其它三種疼痛差異較大? (A)atypical facial pain (B)phantom tooth pain (C)neuralgia-induced cavitational osteonecrosis (D)trigeminal neuralgia
8.針對裂齒症(cracked tooth syndrome)之臨床診斷與治療,下列敘述何者正確? (A)牙齒表面上可觀察到裂線(crack line)就是裂齒症 (B)進行根管治療通常可成功的保留裂齒症的患牙 (C)是否有rebound pain是臨床上診斷裂齒症的重要檢測方法之一 (D)針對裂齒症,臨床上可以高速磨牙機將牙齒上的裂線(crack line)移除,並以複合樹脂 (composite resin)加以修補,效果很好
9.有關牙髓測試之敘述,下列何者錯誤? (A)為了得到更可靠測試結果,冷溫試驗(cold test)應伴隨電髓試驗(EPT) (B)成熟且未受外傷之牙齒對冷溫試驗(cold test)及電髓試驗(EPT)無反應,該牙齒應考慮為失 活牙 (C)窩洞測試(test cavity)方法最常用於牙髓活性測試 (D)咬合測試(biting test)為正反應時,代表可能有斷裂咬頭(fractured cusp)或裂齒(cracked tooth)現象存在
10.有關以MTA施行根尖成形術(apexification)的敘述,下列何者錯誤? (A)使用 MTA 比氫氧化鈣在根尖處製造出硬組織屏障(hard-tissue barrier)所需的時間較短 (B)MTA在根尖的厚度至少需要 3 mm,才能達到良好的根尖封閉(apical seal) (C)在置放MTA完成之後可當次進行根管充填,因為根尖的組織液可以提供足夠潮濕的環境讓MTA 硬化 (D)使用MTA可以有效提升根尖牙本質壁強度,並減少日後牙根斷裂的機會
11.牙根斷裂的牙齒若是以結締組織(connective tissue)和骨性(interproximal bone)癒合,臨床 上較常呈現何種徵象? (A)對電髓試驗可能呈正反應 (B)二級搖動性 (C)牙齒呈現粉紅斑外觀 (D)放射線影像有明顯的透射區(radiolucency)橫越牙根
12.有關根管擴大時產生的塗抹層(smear layer)之敘述,下列何者錯誤? (A)是根管治療時產生在根管表面的一層有機與無機物的碎屑 (B)使用5.25%NaOCl和17%EDTA交互沖洗,能達到較佳的移除效果 (C)將根管系統以EDTA溶液浸泡兩分鐘,可達到最佳的移除效果 (D)移除塗抹層有助於沖洗液深入牙本質小管
13.下列有關牙膠針(gutta-percha cone)的敘述,何者錯誤? (A)根管充填用牙膠針是β態 (B)當加熱溫度上升至46oC,會由β態轉為α態 (C)當加熱溫度上升至54oC到60 oC,會轉變為無晶形(amorphous) (D)正常冷卻速率下,會轉變為α態
14.高壓(15 psi)蒸氣消毒(steam sterilization)的要件為: (A)250ºC,30分鐘 (B)250ºF,5分鐘 (C)250ºC,15分鐘 (D)250ºF,30分鐘
15.有關氫氧化鈣(calcium hydroxide)的敘述,下列何者錯誤? (A)氫氧化鈣可與蒸餾水或生理食鹽水混合後置入根管 (B)可使用螺旋渦針(lentulo spiral)將氫氧化鈣稀泥(slurry)帶入根管 (C)氫氧化鈣可水解細菌脂多醣(lipopolysaccharide)成分 (D)氫氧化鈣與腸球菌(enterococci)接觸具有立即的殺菌效果
16.有關電子根尖定位器(electronic apex locator),下列敘述何者錯誤? (A)可用來偵測牙根穿孔(perforation) (B)使用電子根尖定位決定根管治療工作長度,就不需要再拍X光 (C)上顎臼齒根尖的判讀若受到顴骨(malar bone)或上顎竇(maxillary sinus)影響,可利用電 子根尖定位器輔助 (D)電子根尖定位器無法幫助牙醫師瞭解根管之彎曲
17.下列有關次氯酸鈉(NaOC1)根管沖洗液的敘述,何者錯誤? (A)高濃度的次氯酸鈉會引起較多的術後疼痛 (B)稀釋後的次氯酸鈉應保存在暗室且有一定的保存期 (C)次氯酸鈉可溶解牙本質內的有機成分 (D)溫度升高可增進次氯酸鈉組織溶解的效果
18.有關合併局部腫脹(localized swelling)之根尖牙周膿腫(abscess)的牙齒施行緊急治療之敘 述,下列何者正確? (A)髓腔開擴或引流,舒緩壓力及疼痛 (B)根管清創時,建議使用雙氧水沖洗 (C)根管清創及修形後,牙髓腔不要密閉,以減少牙齒的壓力 (D)術後必須給予抗生素
19.有關根管充填方法之敘述,下列何者正確? (A)側方擠壓法(lateral compaction)比熱垂直擠壓法(warm vertical compaction)形成較均勻的 充填 (B)在操作上,指用擠針(finger spreader)劣於手用擠針(hand spreader) (C)熱垂直擠壓法(warm vertical compaction)較側方擠壓法(lateral compaction)容易操作 (D)對於齒質較脆弱的根管,避免使用熱垂直擠壓法(warm vertical compaction)
20.下列有關傷口癒合(wound healing)的敘述,何者正確? (A)發炎初期(early inflammation)會有大量的多形核中性白血球(PMN)聚集,進行傷口的清創 (B)發炎後期(late inflammation)會有巨噬細胞(macrophages)出現,其數量約在第5天會達高 峰 (C)內皮細胞(endothelial cells)會在增生期(proliferative phase)出現,主要負責上皮的癒合 (D)上皮屏障(epithelial barrier)通常在傷口縫合後48~72小時後形成
21.蓄意再植(intentional replantation)適用於下列何者? (A)位於口腔深部的第二大臼齒 (B)牙周破壞,搖晃厲害的牙齒 (C)牙根開展程度大的牙齒(root divergence) (D)單根前牙區
22.下列關於mineral trioxide aggregate(MTA)的敘述,何者錯誤? (A)硬化時間(setting time)約為4分鐘 (B)主要含有鈣離子和磷酸根離子 (C)硬化時pH值為12.5 (D)它的邊緣封閉(marginal adaptation)效果比汞齊(amalgam)佳
23.下列有關Ochsenbein-Luebke切線的敘述,何者錯誤? (A)不會產生牙齦退縮的後遺症 (B)適用於有美觀考量的上顎前齒區,特別是有贋復體時 (C)較不易有疤痕形成 (D)只適合用於牙周狀況良好且有足夠附連牙齦的牙齒
24.就目前所知,下列有關牙周炎與根管感染微生物的敘述,何者正確? (A)牙周炎為多種微生物(poly microbial)所引起的感染,根管感染則否 (B)Fusobacterium species常可於牙周囊袋及根管內被鑑定出來 (C)Actinobacillus actinomycetemcomitans及Fusobacterium species常可於牙周囊袋及根管內被鑑 定出來 (D)牙周囊袋與根管內的感染菌株屬不同菌種
25.於根管治療期間,下列何種處理可以避免發生症候突發(flare-up)? (A)於根管內投以氫氧化鈣藥劑可以避免之 (B)於根管內放置丁香油酚(eugenol)可以避免之 (C)於根管內放置蟻醛甲酚合劑(formocresol)可以避免之 (D)根管內放置藥物並無法避免症候突發
26.在牙髓手術有時會應用由廠商進口之多種骨移植材去填補牙周骨缺損,甲醫師只告知該病患要使 用骨移植材,但未詳細說明該移植材的性質及可能發生傳染某種病症的後遺症及結果,多年後該 病患被診斷罹患該疾病,該醫師違反下列何種法令規定? (A)該骨移植材未經行政院衛生署核准許可進口,所以醫師有走私違反政府法令之嫌 (B)該骨移植材是動物之骨製品,甲醫師未詳細說明該移植材有傳染疾病之可能性,甲醫師有違反 藥事法之嫌 (C)手術時甲醫師已經告訴病患要使用骨移植材,因文獻報告該疾病發生的機率僅有800萬分之 一,所以甲醫師只有違反醫師倫理,沒有違反任何法令規定 (D)所使用之骨移植材可能傳染某種疾病,因此違反污染防制法
複選題
27.有關TGF-β的敘述,下列何者錯誤?(A)含量多的牙本質生長因子 (B)可啟動三級牙本質生成(tertiary dentinogenesis) (C)可調節發炎反應 (D)存在於牙髓組織(E)一律給分
28.有關牙釉質之敘述,下列何者錯誤? (A)其通透性(permeability)隨年齡增加而降低 (B)會溶於酸性液體,且其溶解度由表面往牙本質與牙釉質交界處逐漸增加 (C)氟會降低牙釉質在酸中的溶解度,降低去礦化作用(demineralization) (D)牙釉質在齲齒發生初期破壞可藉由牙釉質母細胞再生牙釉質
29.有關牙髓之敘述,下列何者錯誤? (A)具有形成primary dentin及secondary dentin的功能 (B)具有提供牙齒營養分的功能 (C)具有感覺神經可感覺疼痛以保護牙齒 (D)在受較大刺激時,不會產生發炎反應
30.引發牙根部齲蝕的主要病菌為何? (A)Streptococcus mutans (B)Streptococcus sanguis (C)Lactobacilli (D)Actinomyces viscosus
31.關於turbid dentin的敘述,下列何者錯誤? (A)牙本質小管結構仍完整 (B)已被細菌所侵襲 (C)該區域無法重新再礦化 (D)進行牙體復形時,必須要先移除
32.依據齲齒病因學的假說,下列何種治療是不切實際且無法達成的? (A)滅絕全部牙菌斑(total plaque elimination) (B)壓制特殊致齲細菌(cariogenic bacteria) (C)置換成非致齲細菌(noncariogenic bacteria)的牙菌斑 (D)改變口腔生態(oral ecology)
33.下列有關自酸蝕底劑(self-etching primer)的敘述,何者錯誤? (A)含磷酸化樹脂(phosphonated resin)單體 (B)移除全部的塗抹層(smear layer) (C)對牙本質同時酸蝕和塗底劑(priming) (D)減少鍵結表面過濕(overwetting)或過乾(overdrying)的可能性
34.有關牙本質黏著系統中,對於自酸蝕(self-etch)黏著系統長期可能發生的黏著強度衰退之敘 述,何者錯誤? (A)所含有機溶劑未完全移除 (B)殘留的塗抹層(smear layer)存於混合層(hybrid layer)中 (C)形成的混合層(hybrid layer)親水性較低 (D)酸性樹脂單體較易水解
35.複合樹脂黏著劑(bonding agent)中的那一個成分,是用來調節黏稠度(viscosity)的? (A)Bis-GMA (B)UDMA (C)TEG-DMA (D)HEMA
36.重建極度磨耗患者的咬合面時,何種材料與牙釉質的抗磨耗程度最相近? (A)汞齊(amalgam) (B)複合樹脂(resin composite) (C)鑄造式金合金(cast gold restoration) (D)陶瓷(ceramic restoration)
37.關於咬頭斷裂(cusp fracture)的敘述,下列何者錯誤? (A)上顎大臼齒最常發生在近心頰側和遠心舌側 (B)最常發生在下顎大臼齒 (C)不完全斷裂的咬頭(incompletely fractured cusp)會在咀嚼壓力移開時產生銳痛 (D)即使斷裂沒有延伸到牙髓或牙根,做冠蓋體(onlay)也無法達到良好的治療效果
38.鄰接面齲蝕的放射線影像大小與實際病變相較,有何區別? (A)比實際病變大 (B)比實際病變小 (C)與實際病變一樣大 (D)與照射時間和顯影過程無關
39.有關可回復性牙髓炎(reversible pulpitis)之敘述下列何者正確? (A)有自發性疼痛且超過30秒以上 (B)當外界刺激(甜、冷、酸)接觸患者,患者於10~15秒之內會有疼痛,刺激去除後即可回復 (C)強烈抽痛(throbbing pain)之後以熱刺激會痛 (D)曾有自發性疼痛,之後對任何刺激反應均無反應
40. 手用切削器械上呈現12
-100-7-14之器械式(instrument formula),其代表的意義下列何者錯 誤? (A)刃寬為12.5 mm (B)刃長為7 mm (C)刃角度為14 centigrades (D)牙齦緣削修器(gingival margin trimmer)
41.下列為磨針(bur)之刀刃(blade)數,何者最可能是為挖掘用(excavating)磨針? (A)5 (B)8 (C)9 (D)12
42.橡皮障夾(clamp)必須與牙齒有幾點接觸才能穩定? (A)5點 (B)4點 (C)3點 (D)2點
43.牙釉質作成斜面(bevel),對於複合樹脂充填有多項好處。下列何者除外? (A)增加牙釉表面積 (B)增進美觀 (C)增加邊緣密封性 (D)增加樹脂的邊緣強度
44.有關微粒型(microfilled)複合樹脂的敘述,下列何者錯誤? (A)美觀性佳 (B)表面平滑 (C)不適用於磨折症(abfraction)病灶的填補 (D)物理性質較混合型(hybrid)複合樹脂為差
45.下列何者適合以複合樹脂做為後牙填補材料? (A)對樹脂過敏 (B)病人口腔衛生差 (C)窩洞唇舌寬度大於兩咬頭間距之2/3 (D)所有窩洞邊緣皆在牙釉質
46.預先使用木楔(prewedging)的用意,下列何者錯誤? (A)防止傷及鄰牙 (B)保護牙齦組織 (C)隔離口水 (D)打開相鄰牙之間的接觸
47.下列何者為使用溝裂封劑(fissure sealants)預防齲蝕成功的主要關鍵? (A)溝裂封劑能完全固位(total retention) (B)溝裂封劑的成本較低 (C)依齲齒活動的程度而定 (D)依溝裂形態而定
48.關於光聚複合樹脂聚合作用的敘述,下列何者錯誤? (A)淡色色調的複合樹脂比深色者之聚合作用較快 (B)填料(filler)顆粒愈大的複合樹脂透射光源較有效 (C)複合樹脂照射時間愈長,聚合作用愈有效 (D)光聚複合樹脂每次的添加量(increment)為3 mm
49.臨床牙冠短,牙尖(cusp)已經削除2~3 mm時,若以汞齊復形,下列何種固位方式最適宜? (A)溝槽(slots) (B)小海灣(coves) (C)固位閉鎖(retention locks) (D)牙釘(pins)
50.使用間接複合樹脂之嵌體(inlay)和冠蓋體(onlay)時,下列處理步驟何者不適當? (A)可用氫氟酸(hydrofluoric acid)處理 (B)可用50-μm氧化鋁(aluminum oxide)處理 (C)可用矽烷偶合劑(silane coupling agent)處理 (D)可用超音波結石刮(ultrasonic scaler)去除染色(stain)
51.鑄造金鑲嵌充填窩洞,其牙齦壁窩緣之斜面最理想的是多少度? (A)30 (B)45 (C)90 (D)110
52.有關牙體修形之各種完成線(finish lines)圖示如下,各邊緣設計分別是:
①knife-edge ②chamfer ③shoulder ④beveled chamfer or beveled shoulder;最常建議作為金冠外復形體 (extracoronal restoration)之邊緣設計為: (A)① (B)② (C)③ (D)④
53.何先生上顎右正中門牙在第一期治療前,探測囊袋深度為6 mm,牙齦退縮為2 mm;經第一期治 療後囊袋深度為4 mm,牙齦退縮為3 mm,則其附連水平(attachment level)的變化為為何? (A)增加1 mm (B)增加2 mm (C)減少1 mm (D)減少2 mm
54.生物膜(biofilm)中之牙周致病菌,會較單獨在培養液生長之細菌(planktonic state)對抗生素 之抗藥性增加,其原因為何? (A)細菌在生物膜中生長會較快速 (B)生物膜基質會阻礙抗生素之擴散 (C)細菌在生物膜中生長,pH值增高 (D)生物膜中提供酵素可去除厭水性抗生素之活性
55.研究牙周疾病發病原因在遺傳因素及環境因素兩者間所佔的比重時,用下列何種方法最為有效? (A)雙胞胎研究(twin study) (B)連環遺傳不平衡分析(linkage disequilibrium analysis) (C)分隔分析(segregation analysis) (D)疾病嚴重性和特定基因多型性(gene polymorphism)變化的關係
56.下列何項特徵最不符合在臨床診斷為“侵犯性牙周炎”(aggressive periodontitis)? (A)有家族群聚(familial aggregation) (B)牙周附連快速的破壞 (C)牙菌斑堆積量與組織破壞程度不一致 (D)有明顯大量牙齦下結石堆積
57.在牙齦發炎早期病灶(early lesion)的組織中,下列何者是最多數的免疫反應細胞? (A)淋巴細胞(lymphocytes) (B)漿細胞(plasma cells) (C)嗜中性白血球(neutrophils) (D)造纖維細胞(fibroblasts)
58.下列何者無法扮演多形核嗜中性細胞(PMNs)的趨化劑(chemotaxins)? (A)Complement component 5a(C5a) (B)Prostaglandin E2(PGE2) (C)N-formyl-methionyl peptides (D)Leukotriene B4(LTB4)
59.有關牙周病流行病學研究結果之敘述,下列何者正確? (A)對牙周炎易感受性(susceptibility),男生、女生並無與生俱來的差異 (B)在國家與國家之間牙周炎的流行率並無差異 (C)在洲與洲之間牙周炎的流行率並無差異 (D)侵犯型牙周炎與基因之間並無關係
60.下列有關牙齦炎和慢性牙周炎之敘述,何者正確? (A)牙齦炎主要是沒有結締組織的附連喪失,但亦會有牙周探測流血現象(bleeding on probing) 和探測深度 (B)由於牙周病流行率隨著年齡增加而增加,代表老年人較易罹患牙周病 (C)當有微生物菌斑存在時,就足夠引起疾病活性而進展到牙周炎 (D)營養不良在慢性牙周炎中扮演重要角色
61.使用牙周探測具(periodontal probe)作牙周臨床數據記錄時,下列敘述何者錯誤? (A)探測具須與牙齒長軸平行 (B)牙周病因相關治療(cause-related periodontal therapy,phase I therapy)前後都須使用並做 數據記錄 (C)每一顆牙都有四個測量和記錄點 (D)牙周探測具是決定囊袋深度和附連喪失的最理想工具
62.有關牙齦切除術的敘述,下列何者正確? (A)可適用於有美觀考量的前牙區 (B)適用於骨下缺損,因可同時進行骨切除手術(resective osseous surgery) (C)可以消除骨上牙周囊袋 (D)不適用於纖維性骨上囊袋(fibrotic suprabony pockets),因牙齦切除術的效果不及牙周翻瓣 手術
63.置放在骨膜上的游離牙齦移植體,在術後24週會有多少%的收縮? (A)20 (B)25 (C)50 (D)73
64.牙齦退縮缺陷上的蒂狀軟組織移植(pedicle soft tissue graft)後傷口痊癒可分成四期,下列關於 這四期的敘述何者錯誤? (A)適應期(adaptation stage)0~4 days,上皮細胞開始增生,並達到牙齒表面 (B)增生期(proliferation stage)4~21 days,上皮開始往牙根尖方向增生,而膠原纖維在結締纖 維組織、牙根間形成連接 (C)附連期(attachment stage)27~28 days,薄膠原纖維在缺陷根部的表面形成,並嵌入新形成 的牙骨質 (D)成熟期(maturation stage)術後2~3個月,成束的膠原纖維形成,並嵌入牙骨質層內
65.前牙區域的中或重度的牙周炎,治療必須考慮到美觀與牙周健康,若必須以牙周手術治療,下列 何種手術方式為第一優先考量? (A)牙齦溝內翻瓣手術(sulcular flap) (B)根向位移翻瓣手術(apically displaced flap) (C)乳突保存翻瓣手術(papilla preservation flap) (D)改良式魏德曼翻瓣手術(modified Widman flap)
66.關於雷射在牙周病治療之應用,下列敘述何者錯誤? (A)Nd:YAG及diode lasers具有良好的軟組織切除(ablation)及止血效果,而適用於軟組織的處 理 (B)雷射具殺菌的效果 (C)Er:YAG及Er,Cr:YSGG lasers對水分的吸收極少,故可適用於軟組織及硬組織的處理 (D)雷射可用來處理植體周圍炎(peri-implantitis)之病例
67.有關interleukin-1 genotype positive與negative的病人,在牙周維護性治療(supportive periodontal therapy, SPT)的回診調查敘述,下列何者正確?①在一年的回診調查中,bleeding on probing的比例,genotype positive的病人比negative的病人高 ②在一年的回診調查中, bleeding on probing改善程度的比例,genotype positive的病人比negative的病人高 ③在五年的 回診調查中,牙周囊袋的深度數值比,genotype positive的病人比negative的病人高 (A)僅② (B)①② (C)①③ (D)②③
68.若牙周病已進入牙周維護性治療(supportive periodontal therapy)第一年,而患者牙齒有牙根 叉侵犯及牙冠牙根比例不良,則需多久時間定期回診? (A)1星期 (B)1~2個月 (C)3個月 (D)半年
69.89歲的爺爺和25歲的孫子,兩者因年齡不同對牙周組織造成的變化,下列那一項敘述錯誤? (A)前者牙根部的牙骨質(cementum)厚度會增加 (B)前者牙齦角化程度會減少 (C)前者骨生長修復的能力會減緩 (D)前者牙周韌帶(periodontal ligament)的寬度減少,只剩下約為0.5 mm寬
70.55歲女性病患有糖尿病,HbAlc值為6.5%,接受牙周基本治療後,再評估時發現左下顎第二大臼 齒遠心側囊袋從9 mm改善至7 mm,X光片顯示為3壁骨缺損,有探測流血,最適合之治療方式為 何? (A)牙周翻瓣手術,但不適合放置骨粉等材料,會容易造成感染 (B)給予抗生素HbAlc降至6 %以下才能手術 (C)牙周再生手術 (D)傷口癒合差,不適合進行牙周手術,直接安排定期維護治療
71.低劑量四環素適用於下列何種牙周病狀况? (A)孕婦切除pregnancy tumor (B)合併amoxicillin治療aggressive periodontitis病患 (C)洗腎病患急性牙周膿腫 (D)慢性牙周病病患
72.下列有系統性疾病與牙周炎關係的敘述,何者錯誤? (A)隨著牙周炎的嚴重度增加,心臟冠狀動脈疾病的發生率也有增高的趨勢 (B)未經控制或控制不好的糖尿病患者,會有增高的牙周炎感染率 (C)若患者曾患有慢性阻塞性肺病(chronic obstructive pulmonary disease)可能會有較多的牙周 附連組織喪失情形 (D)牙周炎不是造成早產、體重過輕嬰兒(preterm、low-birth-weight infants)的危險因子之一
73.根據流行病學研究發現,當牙周病檢查發現下列的情況時,此人會有較高的機率患有冠狀心血管 疾病,其中那一項錯誤? (A)當在放射線影像上看到有齒槽骨喪失的情形時 (B)當在臨床檢查中發現有因牙周病而牙齒喪失的情形時 (C)當在臨床檢查中發現至少一半牙齒的囊袋探測深度>3 mm的情形時 (D)當在臨床檢查中發現有嚴重的牙齦退縮情形時
74.植體周圍炎的診斷至少具備下列何種症狀?①深囊袋(deep pocket) ②探測流血(bleeding on probing) ③附連組織喪失(attachment loss) ④骨吸收(bone resorption) (A)①② (B)②③ (C)①④ (D)②④
75.下列有關植體的敘述,何者錯誤? (A)植體補綴物與植體接合密合度不良,會引起咬合超載(overloading) (B)螺絲鎖定(screw retained)假牙,較容易引起螺絲鬆脫 (C)細菌感染是造成植體周圍炎的主因 (D)重度咬合傷害是造成植體周圍炎的伴隨因素(co-factor)
76.慢性牙周炎病人,在齒齦下刮除(subgingival scaling)及牙根平整術(root planing)可有效改 變囊袋內細菌比例,下列敘述何者錯誤? (A)可動桿菌(motile rods)會在一星期中減少 (B)類球菌(coccoid)在三個星期時也可看到明顯減少 (C)螺旋菌(spirochets)要到七個星期才會明顯減少 (D)放線菌屬(Actinomyces spp.)會增加
77.造骨細胞(osteoblast)最不容易生長在下列何種材質上? (A)鈦金屬(titanium) (B)氫氧磷灰石(hydroxyapatite) (C)鈦合金(titanium alloy) (D)鈷/鉻(cobalt/chrome)
78.下列關於植體置入的敘述何者錯誤? (A)拔牙部位,完全的傷口覆蓋(complete closure)在物理性屏障(physical barrier)上,可得到 較多的骨充填 (B)立即植牙(immediate implant):拔牙後馬上植入 (C)延遲植牙(delayed implant):拔牙大約兩個月後植入 (D)階段性植牙(staged implant):拔牙大約一個月後植入
79.下列有關骨整合植體的敘述何者錯誤? (A)整體而言,骨整合植體的矯正錨定(orthodontic anchorage)優於任何一種型式的牙齒錨定 (tooth-borne anchorage) (B)骨整合植體適用於因牙周支持不足的矯正錨定 (C)上顎骨骨整合矯正植體適用於12歲以下及生長未完全的年輕人 (D)上顎骨骨整合矯正植體不可放在正中骨縫間(median suture)
80.在準備人工植體於第一階段置入窩洞時,通常骨鑽的速度位於下列何項轉速之範圍內? (A)低於500 rpm (B)600~700 rpm (C)800~1200 rpm (D)高於2000 rpm
申論題 (0)
相關試卷
115年 - 115-1 專技高考_牙醫師(二):牙醫學(三)(包括齒內治療學、牙體復形學、牙周病學等科目及其相關臨床實例與醫學倫理)#137339
115年 · #137339
114年 - 114-2 專技高考_牙醫師(二):牙醫學(三)(包括齒內治療學、牙體復形學、牙周病學等科目及其相關臨床實例與醫學倫理)#128948
114年 · #128948
114年 - 114-1 專技高考_牙醫師(二):牙醫學(三)(包括齒內治療學、牙體復形學、牙周病學等科目及其相關臨床實例與醫學倫理)#125097
114年 · #125097
113年 - 113-2 專技高考_牙醫師(二):牙醫學(三)(包括齒內治療學、牙體復形學、牙周病學等科目及其相關臨床實例與醫學倫理)#121677
113年 · #121677
113年 - 113-1 專技高考_牙醫師(二):牙醫學(三)(包括齒內治療學、牙體復形學、牙周病學等科目及其相關臨床實例與醫學倫理)#118712
113年 · #118712
112年 - 112-2 專技高考_牙醫師(二):牙醫學(三)(包括齒內治療學、牙體復形學、牙周病學等科目及其相關臨床實例與醫學倫理)#115911
112年 · #115911
112年 - 112-1 專技高考_牙醫師(二):牙醫學(三)(包括齒內治療學、牙體復形學、牙周病學等科目及其相關臨床實例與醫學倫理)#113154
112年 · #113154
111年 - 111-2 專技高考_牙醫師(二):牙醫學(三)(包括齒內治療學、牙體復形學、牙周病學等科目及其相關臨床實例與醫學倫理)#109844
111年 · #109844
111年 - 111-1 專技高考_牙醫師(二):牙醫學(三)(包括齒內治療學、牙體復形學、牙周病學等科目及其相關臨床實例與醫學倫理)#106191
111年 · #106191
110年 - 110-2 專技高考_牙醫師(二):牙醫學(三)(包括齒內治療學、牙體復形學、牙周病學等科目及其相關臨床實例與醫學倫理)#99932
110年 · #99932