阿摩線上測驗
登入
首頁
>
牙醫學(六)(包括齒顎矯正學、兒童牙科學、牙科公共衛生學等科目及其相關臨床實例與醫學倫理)
> 102年 - 102-1 專技高考_牙醫師(二):牙醫學(六)(包括齒顎矯正學、兒童牙科學、牙科公共衛生學等科目及其相關臨床實例與醫學倫理)#35986
102年 - 102-1 專技高考_牙醫師(二):牙醫學(六)(包括齒顎矯正學、兒童牙科學、牙科公共衛生學等科目及其相關臨床實例與醫學倫理)#35986
科目:
牙醫學(六)(包括齒顎矯正學、兒童牙科學、牙科公共衛生學等科目及其相關臨床實例與醫學倫理) |
年份:
102年 |
選擇題數:
80 |
申論題數:
0
試卷資訊
所屬科目:
牙醫學(六)(包括齒顎矯正學、兒童牙科學、牙科公共衛生學等科目及其相關臨床實例與醫學倫理)
選擇題 (80)
1.與上顎骨寬度生長有直接關係者為: (A)frontomaxillary suture (B)zygomaticomaxillary suture (C)pterygopalatine suture (D)midpalatal suture
2.下列有關人類生長的敘述,何者正確? (A)由出生至成人,頭大小的比例占身體大小的比例逐漸下降 (B)人各種組織的生長速率(growth rate),以淋巴組織最快,約在6、7歲就完成大部分的生長 (C)人的生長速率會因人而異,但是曆表年齡(chronologic age)仍是瞭解病人生長的最佳指標 (D)人的臉部(face)與顱部(cranium)的比例,由嬰兒至成人顱部會逐漸增加比例
3.以牙齒長軸(long axis)為中心旋轉的個別牙齒位置異常(malposition),稱為: (A)axiversion (B)mesiolabioversion (C)torsiversion (D)transversion
4.在4~12歲時,下列有關上顎齒列之生長發育的敘述何者錯誤? (A)牙弓長度(arch length)一直在減少 (B)牙弓深度(arch depth)一直在減少 (C)犬齒間距(intercanine distance)一直在減少 (D)男性牙弓深度較女性大
5.牙齒易位(transversion)是指: (A)牙齒側方傾倒(away from the line of occlusion) (B)牙齒傾斜(tipped,the wrong axial inclination) (C)牙齒旋轉(rotated on its long axis) (D)與鄰牙錯位(transposition,wrong order in the arch)
6.當牙齒形成初期(initiation)受到干擾時,會發生下列何種異常? (A)天生缺牙(congenital missing) (B)牙根彎曲(dilaceration) (C)異常萌出(ectopic eruption) (D)牙齒擁擠(crowding)
7.根據Tanaka和Johnston對於未萌出恆牙齒大小之預測,假設已知下顎四顆恆門牙之大小為22.0 mm。預測之單側下顎犬齒、第一小臼齒與第二小臼齒之總和為多少? (A)21.5 mm (B)22.0 mm (C)32.5 mm (D)33.0 mm
8.傳統側面測顱X-光攝影的射源與患者正中矢狀平面(midsagittal plane)的距離為何? (A)6英吋 (B)15英吋 (C)60英吋 (D)75英吋
9.下列何者不會影響ANB角度的大小? (A)上顎骨的位置 (B)下顎骨的位置 (C)上顎門牙的角度 (D)N點高度
10.在臨床齒顎矯正病例分析中,下列何種微笑不適做為診斷之依據? (A)social smile (B)posed smile (C)emotional smile (D)reproducible smile
11.下列三種相同直徑矯正圓線:①不銹鋼線 ②nickle titanium線 ③TMA線,其彈性係數由小至大 排列為: (A)①②③ (B)②③① (C)③①② (D)①③②
12.下列那一項是降低load-deflection rate、增加range of action 較好的作法? (A)選用較短的線 (B)選用較粗的線 (C)增加線長度(多做個vertical loop) (D)線做熱處理
13.患者陳先生40歲,經矯正醫師診斷為Class II division 1,水平覆蓋(overjet)15mm,下列那一 種治療方式比較有機會治療恢復成為正常咬合? (A)Frankel appliance (B)Herbst appliances (C)orthognathic surgery (D)chin cup
14.下列那一項不適用於骨性三級異常咬合的治療? (A)頦托(chin cup) (B)面罩(face mask) (C)平向拉式頭套(straight-pull headgear) (D)反向拉式頭套(reverse-pull headgear)
15.下顎骨主要的生長位置(growth site),不包括下列何者? (A)舌側骨聯合(symphysis) (B)髁狀突(condylar process) (C)冠狀突(coronoid process) (D)下顎枝後緣(the posterior surface of the ramus)
16.關於醜小鴨現象(ugly duckling stage)敘述,下列何者錯誤? (A)約出現於7、8歲時 (B)上顎正中門齒之間有正中齒縫(median diastema)出現的情形 (C)通常建議立即治療 (D)因上唇繫帶太長也會造成median diastema出現
17.乳臼齒終端平面咬合關係中,下列何種狀況較易發展為Angle Class II 異常咬合? (A)mesial step (B)distal step (C)flush terminal plane (D)末端對齊(end to end)
18.下列何者為異位萌出(ectopic eruption)發生率最高之上顎恆齒? (A)第一小臼齒 (B)第二小臼齒 (C)第一大臼齒 (D)第二大臼齒
19.兒童患有吸手指習慣時,不會造成那些異常咬合的特徵? (A)前牙開咬(anterior open bite) (B)上顎牙弓窄縮(narrow upper arch) (C)下顎門齒往舌側傾斜(lingually inclined lower incisors) (D)上顎臼齒往頰側傾斜(bucally inclined upper molars)
20.咬合異常分類中,Angle Class II division 1及Angle Class II division 2的差別主要是在: (A)第一大臼齒的咬合關係 (B)犬齒的咬合關係 (C)上顎門齒的軸向 (D)下顎小臼齒的軸向
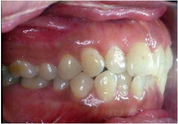
21. 此圖片為矯正病人口內右邊頰側照片,此咬合異常屬於:
(A)Angle Class I malocclusion (B)Angle Class II division 1 malocclusion (C)Angle Class II division 2 malocclusion (D)Angle Class III malocclusion
22.有一下顎前凸,上顎內縮的患者,前牙水平覆蓋(overjet)數據呈現負值,前牙錯咬 (crossbite),側貌呈明顯倒凹(concave)外觀,下列何者是該患者可能之側面測顱分析數 據? (A)SNA:82°、SNB:87°、ANB:-5°、WITS:6 mm (B)SNA:88°、SNB:81°、ANB:7°、WITS:6 mm (C)SNA:82°、SNB:87°、ANB:-5°、WITS:-6 mm (D)SNA:88°、SNB:81°、ANB:7°、WITS:-6 mm
23.在側面測顱X光片分析,Down's analysis之facial plane是指下列何線?
(A)第1條線,pogonion與anterior nasal spine之連線 (B)第2條線,pogonion與nasion之連線 (C)第3條線,nasion與A point之連線 (D)第4條線,sella與pogonion之連線
24.下列何者不是測顱分析中,用來評估上、下顎骨關係的測量(measurement)? (A)ANB angle (B)SN-MP angle (C)Wits (D)A-Pog horizontal difference
25.有關第一級、第二級、第三級矯正線彎曲(first,second,and third-order bends)的作用,下列 何者錯誤? (A)第一級彎曲可以造成牙冠唇舌側移動 (B)第二級彎曲可以造成上顎門齒壓入齒槽骨 (C)第三級彎曲可以造成下顎門齒牙根向舌側移動 (D)直線矯正技術全程操作,皆不必用到上述三種彎線技術
26.單側固定的不鏽鋼圓線線段,當半徑增加為4倍時,其截面強度指數(cross-sectional stiffness number,Cs)將增加為多少? (A)4倍 (B)16倍 (C)64倍 (D)256倍
27.下列何種正顎手術之移動,最容易造成鼻形不良改變(deleterious effects)? (A)上顎前齒區下移3 mm合併5°順時針旋轉 (B)上顎前齒區前移4 mm並上移4 mm (C)魏斯曼氏前上顎截骨術(Wassmünd anterior maxillary osteotomy)後退5 mm (D)上顎臼齒區上移3 mm合併5°順時針旋轉
28.有關成人齒顎矯正治療之敘述,下列何者正確? (A)所有咬合不正皆須治療 (B)所有安格氏二級咬合皆須治療成安格氏一級咬合 (C)牙醫師在治療前應先告知患者齒顎矯正的治療計畫、優點及風險 (D)若患者的齒顎矯正知識不足,牙醫師可自行為其決定最好的治療計畫
29.4歲女孩初次來牙科看診就拒絕上治療椅,此時應先如何處置? (A)採取隔離父母的措施 (B)試圖建立與孩子的溝通 (C)建議媽媽等孩子大一點再看 (D)激將法說她不勇敢
30.6歲兒童下顎乳門牙有鄰接面輕微齲齒,下列何種處置方式較恰當? (A)拔除下顎乳門牙 (B)做三級銀粉填補 (C)做三級玻璃離子體填補 (D)做牙縫牙釉質修形將牙縫打開,等待換牙
31.美國兒童牙科醫學會建議孩子第一次牙科檢查應由三歲提前至一歲,下列何者不是他們所考慮的 理由? (A)早期口腔篩檢與預防教育的重要性 (B)為孩子建立一個 “dental home” (C)齲齒之風險評估 (D)為牙醫師建立良好社會形象
32.正常5歲小孩的牙周組織,與成人不同之處為何? (A)牙周膜比成人寬 (B)牙齦有較多的點斑(stippled) (C)邊緣牙齦(marginal gingiva)較似刀刃狀 (D)X-光片上顯示齒槽骨內的骨小樑(trabeculae)比成人密集
33.牙釉質發育不全(enamel hypoplasia)的出現是因為在那一時期發育異常? (A)帽狀期(cap stage) (B)沈積期(apposition) (C)鈣化期(calcification) (D)鐘形期(bell stage)
34.下列牙齒中何者最常發生異位萌出的現象? (A)下顎中門齒 (B)下顎側門齒 (C)上顎中門齒 (D)上顎側門齒
35.恆牙下顎萌牙最常見之順序為何? (A)6-1-2-3-4-5-7-8 (B)6-1-2-4-3-5-7-8 (C)6-1-2-4-5-3-7-8 (D)6-1-2-3-5-4-7-8
36.臨床上評估孩子外觀臉型,在前後向(anteroposterior dimension)上所用的顏面參考指標並不 包括下列那一項? (A)The bridge of the nose (B)The base of the upper lip (C)The soft tissue chin (D)The lowest point of the mandible
37.四歲孩童若有長時間高頻率、高強度吸手指(finger-sucking)習慣,最易造成下列何種咬合病 變? (A)前牙開咬(anterior openbite) (B)前牙錯咬(anterior crossbite) (C)後牙開咬(posterior openbite) (D)後牙錯咬(posterior crossbite)
38.下列有關舌側弓線(lingual arch)的敘述何者錯誤? (A)用直徑0.028英吋的鋼線 (B)前牙區要儘量彎成理想牙弓形態且與前牙舌側隆凸(cingulum)接觸 (C)後牙區不可妨礙小臼齒及犬齒萌出 (D)如當做空間維持器,必須是被動的(passive),以免造成支柱牙(abutment teeth)不必要的 移位
39.根據 Nance 觀察,因為餘裕空間(leeway space)之關係,所以混合齒列發育成永久齒列時, 左上顎第一大臼齒近心面至右上顎第一大臼齒近心面之牙弓周長長度的改變情形為何? (A)增加0.9 mm (B)增加1.8 mm (C)減少0.9 mm (D)減少1.8 mm
40.上下第一大臼齒的對咬關係較不容易受下列何者的影響? (A)末端平面(terminal plane) (B)餘裕空間(leeway space) (C)乳臼齒的鄰接面齲齒(proximal caries) (D)上顎的靈長空間(primate space)
41.下列血液疾病與其原因的組合,何者正確? (A)惡性貧血-毛細血管 (B)血友病-血漿成分 (C)白血病-血小板 (D)白血球減少症(neutropenia)-淋巴球
42.身心障礙兒童採用肢體固定法的時機,以下何者錯誤? (A)身心障礙兒童在檢查時亂動可能傷害到牙醫師時 (B)智障兒童在治療時亂動可能傷害到兒童本人時 (C)身心發育未成熟無法溝通之幼童 (D)在採用其他行為處理方法前即採用肢體固定
43.採用束縛板(Papoose Board)時,為觀察身心障礙兒童之呼吸是否會受影響時,下列何種方法 無法觀察其呼吸? (A)生命跡象監視機(vital sign monitor) (B)鼻孔棉花測試 (C)使用負壓呼吸器 (D)事先在氣管前放置聽診器
44.有關3~6歲小朋友的心理發展特徵,下列敘述何者正確? (A)學會自我控制(self control) (B)不能離開父母(seperation) (C)喜歡獨自遊戲(single play) (D)不懂得罪惡感(guilty feeling)
45.根據Wright(1975),小朋友牙科就醫行為的臨床分類,下列何者為缺乏合作能力?①反抗型 (defiant) ②年幼型(2歲以下) ③膽怯型(timid) ④哭泣型(whining) ⑤重度自閉症 (autism) (A)①③④ (B)②③④ (C)④⑤ (D)②⑤
46.對於抗焦慮(antianxiety)之鎮靜藥物,如丹祈平錠(diazepam),主要作用處為何? (A)邊緣系統(limbic system) (B)腦部網狀刺激系統(reticular activating system) (C)鴉片受體(opiod receptors) (D)小腦
47.下列有關齲齒之敘述,何者正確? (A)飲食中若吃甜食就容易發生齲齒,和吃甜食的時間以及頻率沒有關係,因此要禁止食用甜食 (B)定期塗氟可以有效預防齲齒,在預防齲齒的臨床選擇上,如果病人可以定期塗氟,我們並不推 薦使用溝隙封填劑 (C)塗氟對牙齒的溝隙(pit and fissure)和光滑表面(smooth surface)有相同的防齲效果 (D)雖然母奶不是導致早期齲齒的主要原因,但仍是造成齲齒的其中一個原因
48.有關含氟塗漆(fluoride varnish)之敘述,下列何者錯誤? (A)特別建議使用於學齡前兒童 (B)建議每3~6個月塗一次 (C)可減少8%的恆牙齲齒 (D)塗佈含氟塗漆前可先刷牙,以移除牙菌斑及口腔食物殘渣
49.在乳齒列或混合齒列的早期矯正當中,下列那一種功能性矯正裝置與其配對可以治療的類型是正 確的? (A)Herbst矯正器治療Class II + deep bite (B)Headgear治療上顎發育不足後縮 (C)Facial mask治療上顎過度生長 (D)Chin cap治療下顎發育不足
50.關於混合齒列期的犬齒間距離擴大量的敘述,下列何者正確? (A)犬齒間距離的擴大量,下顎較上顎大 (B)上顎門齒萌發時犬齒間距離的擴大量較上顎側門齒萌發時大 (C)犬齒間距離的擴大量,閉鎖牙弓(closed arch)較空隙牙弓(spaced arch)小 (D)犬齒間距離的擴大量與餘裕空間(leeway space)的大小有關
51.顱顏型態調和之患者,經混合齒列空間分析所得結果,其處理方式下列何者錯誤? (A)空間不夠大於6 mm,可用循序拔牙法(serial extraction)調整之 (B)空間不夠3~6 mm,可用空間重獲器(space regainer)調整之 (C)下顎空間不夠小於3 mm可用空間維持器(space maintainer)調整之 (D)空間過多超出4 mm,無須處理
52.一位8歲女童,下顎乳門齒有乳齒空隙,如果下顎雙側正中恆門齒由舌側萌出,已追蹤半年且X光 檢查發現乳門齒牙根尚無吸收現象,則下列何種處置較合適? (A)拔掉雙側下顎乳正中門齒,並做矯正治療 (B)拔掉雙側下顎乳正中門齒,放入空間維持器 (C)拔掉雙側下顎乳正中門齒及乳側門齒 (D)繼續追蹤,有機會自動排整齊不需拔除乳門齒
53.關於提早喪失第一乳臼齒,下列敘述何者錯誤? (A)第一乳臼齒提早喪失所導致的影響,主要取決於恆牙第一大臼齒萌發狀態 (B)如果在3~5歲,會造成嚴重的空間喪失 (C)第一乳臼齒掉落時間於恆牙第一大臼齒萌出後,恆牙第二大臼齒未萌發時,其空間喪失影響不 大 (D)乳齒列期,雙側第一乳臼齒提早掉落,建議使用兩個帶環裝置,不應作舌側牙弓空間維持器
54.白血病(leukemia)病人較常見的臨床特徵,下列何者正確? (A)牙齦退縮(gingival recession) (B)裂溝舌(fissure tongue) (C)淋巴腺病(lymphadenopathy) (D)唇炎(cheilitis)
55.對於罹患胎兒酒精症候群(fetal alcohol syndrome)的小孩,在牙科治療中最大的挑戰為何? (A)行為處理 (B)容易流血 (C)易流口水 (D)血壓控制
56.乳前牙如果因為外傷造成牙冠陷入(intrusion)大約1/3牙冠長,下列那一項是最佳處置? (A)拉回原位並且固位 (B)觀察自行萌出 (C)實行formocresol 斷髓術 (D)保持觀察牙齒是否有變色
57.下列何種智能障礙的兒童,屬於可以訓練的(trainable)智商程度,經過適當的職業訓練及旁人 的支持與督導下可以具有適應社區生活的能力? (A)輕微智能障礙(mild mental retardation) (B)中度智能障礙(moderate mental retardation) (C)重度智能障礙(severe mental retardation) (D)深度智能障礙(profound mental retardation)
58.唐氏症患者在嬰兒時期得到白血病之機率是一般人的幾倍? (A)2倍 (B)5到10倍 (C)10到20倍 (D)20到30倍
59.有關身心障礙兒童的牙科治療,下列敘述何者錯誤? (A)身心障礙兒童口腔衛生不良的比例較高 (B)身心障礙兒童有咬合不正與未治療齲齒的機會較高 (C)對身心障礙兒童家屬應安排簡短的面談,避免家屬進入治療室 (D)身心障礙兒童的約診宜安排在每日較早的時段,且每次看診時間不宜過長
60.對小孩做鎮靜麻醉時,最常用、也最正確、可評估患者是否有缺氧(hypoxia)的工具為何? (A)Pulse-oximeter (B)Capnograph (C)Carbon dioxide monitors (D)Precardial stethoscope
61.比較臺灣地區目前參加含氟水漱口的學童與未參加的學童,未來兩年之齲齒發生率,宜使用下列 那一種研究方法? (A)病例對照研究(case-control study) (B)橫斷式研究(cross-sectional study) (C)生態型研究(ecologic study) (D)世代研究(cohort study)
62.若甲學校學童之平均齲齒指數之95%信賴區間為(2 , 8),國民健康局公布全國學童之平均齲齒 指數為3顆,下列敘述何者正確? (A)在α=0.05時,甲學校學童與全國學童之平均齲齒指數有顯著不同 (B)在α=0.05時,甲學校學童與全國學童之平均齲齒指數沒有顯著不同 (C)在β=0.05時,甲學校學童與全國學童之平均齲齒指數有顯著不同 (D)在β=0.05時,甲學校學童與全國學童之平均齲齒指數沒有顯著不同
63.下列何種類型的研究,其結果是「得病者暴露分率和沒得病者暴露分率的勝算比(odds ratio)」? (A)前瞻性世代研究 (B)迴溯性世代研究 (C)病例對照研究 (D)臨床試驗
64.下列何種狀況與咬合不正較之產生無關聯? (A)吸吮手指 (B)乳齒齲齒 (C)顎面外傷 (D)抽菸
65.牙根性齲齒(root caries)在下列那一年齡層較常發生? (A)國小學童 (B)國、高中學生 (C)大專青年 (D)老年人
66.下列何者非引起牙周病的病因? (A)局部因素 (B)全身因素 (C)宿主的免疫能力 (D)曝曬日光
67.可以促進腸胃道中有益人體細菌之生長,並增加鈣吸收之醣類是: (A)葡萄糖 (B)乳糖 (C)纖維素 (D)蔗糖
68.氟化物對不同牙面之防齲效果,依序為何? (A)平滑面>鄰接面>小窩裂溝面 (B)鄰接面>小窩裂溝面>平滑面 (C)小窩裂溝面>平滑面>鄰接面 (D)平滑面>小窩裂溝面>鄰接面
69.下列何者不屬於社區牙醫學之功能? (A)調查各種口腔疾病之流行狀況,建立各社區之口腔疾病預防模式 (B)研究及發展有關公共衛生之原理與方法,運用於口腔疾病之預防 (C)配合政府計畫落實社區及家庭牙醫預防及宣導工作 (D)在醫院或診所看診
70.預防醫學的「三段五級模式」,對衛生教育而言最重要的是模式中的那一項? (A)健康促進 (B)早期診斷立即治療 (C)限制傷殘 (D)復健
71.有關口腔檢查之牙醫師行前訓練,下列敘述何者錯誤? (A)應包含intra-examiner及inter-examiner一致性 (B)Intra-examiner之一致性應至少間隔半小時以免檢查者有記憶 (C)口腔狀況調查當中,仍應進行一致性檢查 (D)檢查之場所應力求光源一致
72.設計一口腔檢查之指標需具備之基本條件,下列何者較錯誤? (A)學習容易不易混淆 (B)可用來分析疾病之普遍性或嚴重性 (C)要能測量出各種疾病之病因 (D)重複執行之一致性高
73.在牙科執業病原傳染途徑中,被患者之唾液或血液所汙染過之器械刺傷,稱之為: (A)直接接觸 (B)間接接觸 (C)顆粒傳播 (D)空氣傳播
74.關於氟漆(fluoride varnish)在預防齲齒的應用方面,下列敘述何者正確? (A)氟漆是經過美國食品及藥物管制局(Food and Drug Administration,FDA)核准通過的防齲藥 劑 (B)如果一週內使用氟漆塗氟3次,每隔一年再重複前述療程即可 (C)主要的防齲效果發生在牙齒的平滑面,對於牙齒的咬合面則較不具有防齲功效 (D)主要的防齲效果發生在牙冠部位的齲齒,對於牙根部位的齲齒較不具有防齲功效
75.下列何者不屬於健康信念模式(health belief model)架構? (A)罹患性認知 (B)嚴重性認知 (C)對疾病威脅性認知 (D)自我效能認知
76.有關牙周病指數(Ramfjord periodontal disease index,PDI)之描述,下列何者正確? (A)只檢查門齒及第一大臼齒 (B)以0、2、4、6、8分數記錄 (C)表示牙周狀態之指數 (D)檢視牙周囊袋
77.下列何者不是全民健保「審核制度」中行政審查之項目? (A)保險給付範圍之核對 (B)資料填載之完整性 (C)檢查或檢驗之必要性 (D)申報項目點數正確性之核對
78.某研究探討吸菸與口腔癌之關係,在醫學中心徵求剛被診斷有口腔癌的200位患者為研究對象, 另徵求沒有口腔癌的200位患者為對照,再以問卷評估其吸菸習慣。依此回答下列三題。 此研究之設計屬於下列何者? (A)生態型研究(ecologic study) (B)臨床試驗(clinical trial) (C)世代研究(cohort study) (D)病例對照研究(case-control study)
79.有關此研究之敘述,下列何者正確? (A)除了口腔癌之外,此研究可以同時探討其他多種疾病與吸菸的關係 (B)除了吸菸之外,此研究可以同時探討口腔癌與其他多種危險因子的關係 (C)此研究的主要目的為比較口腔癌患者與對照患者未來的吸菸習慣 (D)此研究的主要目的為比較吸菸者與非吸菸者的口腔癌發生率
80.此研究之初步資料分析結果顯示吸菸(有吸菸相對於沒有吸菸)與口腔癌之粗勝算比(crude odds ratio)為2.2,95%信賴區間為1.5~2.9,下列敘述何者正確? (A)有口腔癌者和對照者的吸菸率沒有顯著差異 (B)吸菸與口腔癌之關係不可能受其他干擾因素(confounders)或偏差(bias)的影響 (C)吸菸與口腔癌之關係在統計上達顯著意義 (D)此結果足以證明「吸菸與口腔癌有因果關係存在」
申論題 (0)
相關試卷
115年 - 115-1 專技高考_牙醫師(二):牙醫學(六)(包括齒顎矯正學、兒童牙科學、牙科公共衛生學等科目及其相關臨床實例與醫學倫理)#137337
115年 · #137337
114年 - 114-2 專技高考_牙醫師(二):牙醫學(六)(包括齒顎矯正學、兒童牙科學、牙科公共衛生學等科目及其相關臨床實例與醫學倫理)#128942
114年 · #128942
114年 - 114-1 專技高考_牙醫師(二):牙醫學(六)(包括齒顎矯正學、兒童牙科學、牙科公共衛生學等科目及其相關臨床實例與醫學倫理)#125112
114年 · #125112
113年 - 113-2 專技高考_牙醫師(二):牙醫學(六)(包括齒顎矯正學、兒童牙科學、牙科公共衛生學等科目及其相關臨床實例與醫學倫理)#121683
113年 · #121683
113年 - 113-1 專技高考_牙醫師(二):牙醫學(六)(包括齒顎矯正學、兒童牙科學、牙科公共衛生學等科目及其相關臨床實例與醫學倫理)#118738
113年 · #118738
112年 - 112-2 專技高考_牙醫師(二):牙醫學(六)(包括齒顎矯正學、兒童牙科學、牙科公共衛生學等科目及其相關臨床實例與醫學倫理)#115906
112年 · #115906
112年 - 112-1 專技高考_牙醫師(二):牙醫學(六)(包括齒顎矯正學、兒童牙科學、牙科公共衛生學等科目及其相關臨床實例與醫學倫理)#113152
112年 · #113152
111年 - 111-2 專技高考_牙醫師(二):牙醫學(六)(包括齒顎矯正學、兒童牙科學、牙科公共衛生學等科目及其相關臨床實例與醫學倫理)#109857
111年 · #109857
111年 - 111-1 專技高考_牙醫師(二):牙醫學(六)(包括齒顎矯正學、兒童牙科學、牙科公共衛生學等科目及其相關臨床實例與醫學倫理)#106189
111年 · #106189
110年 - 110-2 專技高考_牙醫師(二):牙醫學(六)(包括齒顎矯正學、兒童牙科學、牙科公共衛生學等科目及其相關臨床實例與醫學倫理)#99937
110年 · #99937