阿摩線上測驗
登入
首頁
>
牙醫學(三)(包括齒內治療學、牙體復形學、牙周病學等科目及其相關臨床實例與醫學倫理)
> 102年 - 102-2 專技高考_牙醫師(二):牙醫學(三)(包括齒內治療學、牙體復形學、牙周病學等科目及其相關臨床實例與醫學倫理)#35980
102年 - 102-2 專技高考_牙醫師(二):牙醫學(三)(包括齒內治療學、牙體復形學、牙周病學等科目及其相關臨床實例與醫學倫理)#35980
科目:
牙醫學(三)(包括齒內治療學、牙體復形學、牙周病學等科目及其相關臨床實例與醫學倫理) |
年份:
102年 |
選擇題數:
80 |
申論題數:
0
試卷資訊
所屬科目:
牙醫學(三)(包括齒內治療學、牙體復形學、牙周病學等科目及其相關臨床實例與醫學倫理)
選擇題 (80)
1.下列有關牙齒發育之說明,何者錯誤? (A)牙齒發育過程的牙乳頭(dental papilla),後續發育成牙齒的牙髓 (B)在鐘形期(bell stage)所見的內釉上皮(inner enamel epithelium)後來發育成造釉母細胞 (ameloblasts) (C)牙釉質先生成後,再誘導造牙本質細胞產生牙本質 (D)牙根的發育和赫威氏上皮牙根鞘(Hertwig's epithelial root sheath)有關
2.正常牙髓中數量最多的細胞為: (A)造牙本質細胞(odontoblasts) (B)巨噬細胞(macrophages) (C)造纖維細胞(fibroblasts) (D)淋巴球(lymphocytes)
3.關於牙本質液(dentinal fluid)之敘述,下列何者錯誤? (A)游離組織液(free fluid)約占深層牙本質(deep dentin)總體積22% (B)來自於牙髓,成分類似血漿(plasma) (C)牙髓的組織壓力約為10.3 mmHg,因此牙本質液會向內流動 (D)牙根端牙本質的通透性低於冠狀端
4.牙髓組織由外而內依序為何? (A)odontoblast layer,cell-rich zone,cell-poor zone,pulp proper (B)odontoblast layer,cell-poor zone,cell-rich zone,pulp proper (C)cell-rich zone,cell-poor zone,pulp proper,odontoblast layer (D)pulp proper,cell-poor zone,cell-rich zone,odontoblast layer
5.下列有關根管感染之敘述,何者錯誤? (A)根尖牙周炎(apical periodontitis)主要是因為根管系統的感染所造成 (B)原發性牙髓感染最常見之微生物為革蘭氏陽性細菌 (C)根尖牙周炎處理之成功要素為防止微生物侵入根尖組織 (D)急性根尖膿腫(acute apical abscess)經常培養出厭氧菌
6.關於電髓活性測試(electric pulp test),下列何種情況可能有假陰性反應(false negative)? (A)病人太緊張 (B)未發育完成的牙齒 (C)涎液的傳導引起牙齦反應 (D)液化壞死組織將刺激傳導至牙周組織
7.內毒素(endotoxin)的敘述,下列何者錯誤? (A)在細菌死亡分解時會釋放出來 (B)會被Ca(OH)
2
水解掉 (C)與人體內內皮細胞及巨噬細胞產生交互作用而致病 (D)屬於intracellular vesicles
8.在牙髓病的診斷與追蹤時,最佳的X光檢查方式為: (A)平行法(parallel projection) (B)分角線法(bisecting angle projection) (C)咬翼片法(bitewing projection) (D)全口全景照像法(panoramic radiographs)
9.關於膽固醇(cholesterol)與根尖牙周炎(apical periodontitis)的關係,下列何者錯誤? (A)牙根周圍炎病灶(lesion)中約有18%~44%含有膽固醇裂(cholesterol clefts) (B)局部壞死的發炎細胞是根尖膽固醇的主要來源 (C)膽固醇晶體(cholesterol crystals)常見有巨噬細胞(macrophages)及巨細胞(giant cells) (D)因巨噬細胞(macrophages)及巨細胞(giant cells)可將膽固醇酯化,所以傳統根管治療即可 治療內含膽固醇晶體(cholesterol crystals)的牙根周圍炎
10.下列何者不是根尖病灶參與骨吸收介質之一? (A)前列腺素E
2
(prostaglandin E
2
,PGE
2
) (B)第一型白細胞介素(interleukin-1,IL
-1
) (C)P物質(substance P) (D)腫瘤壞死因子(tumor necrosis factor,TNF)
11.下列何者不是根管治療過程中造成續發性根尖牙周炎(secondary apical periodontitis)的原因? (A)器械操作過度(overinstrumentation) (B)根管內用藥過度(intracanal overmedication) (C)碎屑推擠到牙根尖周圍組織 (D)由所伴隨的嚴重牙周病引起
12.下列何種牙齒在敲診檢查時最不可能會發出金屬聲(metallic sound)? (A)取代性吸收(replacement resorption) (B)側向脫位(lateral luxation) (C)凸出性脫位(extrusive luxation) (D)內縮性脫位(intrusive luxation)
13.下列何者不是成功的活髓治療(vital pulp therapy)之必要條件? (A)沒有發炎的牙髓組織 (B)細菌無法感染的緊密填補 (C)合適的牙髓組織用藥 (D)立即處置
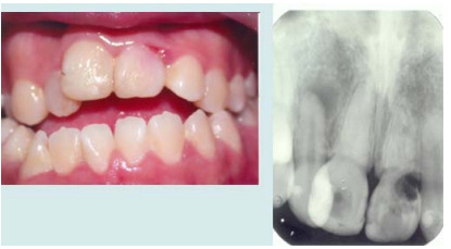
14.如下圖,患者左上正中門齒出現顏色異常,自述有外傷病史,臨床檢查發現,牙齒於唇-遠心側 齒頸部有一窩洞,放射線檢查亦顯示大量的齒質破壞,下列診斷何者最貼切?
(A)牙齒表面吸收(surface resorption) (B)齒頸部外吸收(cervical external resorption) (C)牙齒內吸收(internal resorption) (D)取代性吸收(replacement resorption)
15.有關K-file、H-file與reamer的敘述,下列何者正確? (A)K-files每單位長度比reamer有較多的凹槽數(flutes) (B)K-file與H-file的製作是靠旋扭(twist)金屬產生凹槽,reamer則是靠直接切割產生凹槽 (C)H-file使用時,推入與拉出(push and pull)均能有效切割齒質,因此擴大根管效率佳 (D)三者使用的方式,主要均為旋轉動作(rotation)
16.根據ISO的規範,35號K型根管銼針(K-file)在距離銼針尖端5公釐(mm)處橫截面的直徑為多 少mm? (A)0.40 (B)0.45 (C)0.50 (D)0.55
17.藥物在正常使用下,何種藥品對白色念珠菌(Candida albicans)的殺菌效果較差? (A)0.5%次氯酸鈉(NaOCl) (B)0.5%chlorhexidine (C)2% iodine/4%potassium iodide (D)氫氧化鈣(Ca(OH)2 )
18.有關消毒液戊乙醛(glutaraldehyde solutions)的敘述,下列何者錯誤? (A)使用期限14~28天 (B)並不會因為濃度降低而減弱其消毒能力 (C)其殺菌、消毒力的降低是因為蛋白質殘屑及水的稀釋而造成 (D)消毒須6~10小時
19.下列何者為根管治療時常用來探測根管開口位置的endodontic explorer?
(A)1 (B)2 (C)3 (D)4
20.關於過硼酸鈉(sodium perborate)作為非活性牙齒美白藥劑的使用,下列敘述何者錯誤? (A)是粉末狀的氧化劑 (B)一般所使用的為酸性,其pH值取決於過氧化氫的釋放量 (C)相較於濃縮的過氧化氫藥劑,是較容易控制和安全的方法 (D)乾燥時相當穩定但若遇到熱水時會分解
21.下列有關牙髓病手術時採用Ochsenbein-Luebke切線的考量何者錯誤? (A)不會產生牙齦萎縮的後遺症 (B)適用於有美觀考量的上顎前齒區,特別是有牙冠或牙橋贋復體時 (C)適合牙周狀況良好且有足夠附連牙齦的牙齒 (D)術後較不會有疤痕形成
22.下列何者不是mineral trioxide aggregate(MTA)的主要成分? (A)Bismuth oxide (B)Calcium silicate (C)Calcium phosphate (D)Calcium aluminate
23.有關評估根管治療預後的方法與應用,下列敘述何者正確? (A)組織學檢查評估因確實反映組織修復情形,是最佳的評估根管治療預後的方法 (B)根管治療追蹤觀察一般建議以六個月為週期 (C)追蹤觀察一年後若放射線影像檢查,仍有病灶存在但無臨床症狀,則可視為治療成功 (D)臨床檢查確認治療前的疼痛等症狀消失,即可表示治療成功
24.進行非活性牙齒漂白時,下列那一項處置無法防止牙根外吸收? (A)不用加熱方式催化漂白劑 (B)改用過硼酸鈉(sodium perborate)與水混合,調拌作為漂白劑 (C)使用酸蝕(acid etching)於髓腔壁上,再置放漂白劑 (D)置放漂白劑前,先移除根管開口以下2 mm厚的馬來膠,再置放其它保護基底(如IRM)取代
25.下列有關美白牙齒的敘述,何者錯誤? (A)為了讓美白藥劑能深入牙本質小管,因此美白前一定要先酸蝕牙本質以加強其美白效力 (B)失活齒漂白時,將美白藥劑放入後,其上充填材料厚度最好至少3 mm (C)齒頸部吸收是牙齒漂白後可能的後遺症 (D)活齒漂白時不要上麻藥,以便確切掌握病人是否有疼痛不適感
26.有關患齒在拆除根柱時發生牙根斷裂,下列何者較合乎醫學倫理? (A)向病人說明情況並在病人同意的情況下將患齒拔除,同時為了負起責任,免費幫病人進行後續 的贋復治療 (B)治療前即應告知病人拆除根柱有發生牙根斷裂的風險,取得病人同意後才進行治療;若治療過 程確實發生牙根斷裂,則需與病人討論後續治療計畫 (C)告訴病人拆除根柱本來就很有可能導致牙根斷裂,請他接受事實拔除患齒 (D)為避免醫療糾紛,繼續進行後續的根管治療,之後再以治療癒後不佳為理由,說服病人拔除患 齒
27.酸蝕劑對牙釉質的作用,下列何者錯誤? (A)增加可鍵結面積 (B)牙釉稜柱(enamel rods)表面形成微細孔洞 (C)增加表面能量 (D)牙釉稜柱(enamel rods)間無脫鈣現象
28.下列敘述何者正確? ①牙本質的通透性(dentin permeability)在牙冠部位比牙根部位小 ②牙本質的通透性在牙冠部位比牙根部位大 ③牙本質的通透性依牙本質的厚度及牙本質小管的直徑大小而定 ④愈接近牙髓,單位面積內牙本質小管的數目愈多直徑愈大 (A)僅①② (B)僅②③ (C)①③④ (D)②③④
29.牙釉質發生齲蝕的主要致病菌為何? (A)Streptococcus mutans (B)Streptococcus sanguis (C)Lactobacilli (D)Actinomyces viscosus
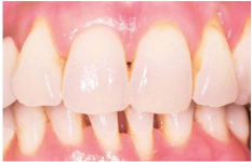
30.鄰接面齲蝕以何種X光片來診斷較為準確? (A)根尖X光片(periapical radiograph) (B)咬翼X光片(bite-wing radiograph) (C)環口X光片(panoramic radiograph) (D)顱顏X光片(cephalometric radiograph)
31.關於牙根表面齲蝕的敘述,下列何者錯誤? (A)牙根表面比牙釉質粗糙所以較容易有牙菌斑附著 (B)覆蓋在牙根表面的牙骨質很薄,較不能抵抗齲蝕的侵襲 (C)牙根表面齲蝕通常缺乏明確的邊緣且截面呈現V字形 (D)近年來的發生率隨著人口老化有上升的趨勢
32.咬合面齲蝕穿透牙釉質和牙本質時,下列何者可正確描述其特徵? (A)在牙本質牙釉質交界,圓錐的尖端對著另一圓錐的底部 (B)在牙本質牙釉質交界,圓錐的底部對著另一圓錐的底部 (C)在牙本質牙釉質交界,圓錐的尖端對著另一圓錐的尖端 (D)在牙本質牙釉質交界,一般沒有特別型態可以辨識
33.下列那一種溶液,清除塗抹層(smear layer)的效果最好? (A)過氧化氫(Hydrogen peroxide) (B)窩洞清潔劑(Tubulicid) (C)聚丙烯酸(Polyacrylic acid) (D)過氧尿素(Carbamide peroxide)
34.將有缺陷的填補物重補或修復屬於治療計畫擬定的那一期? (A)緊急處理期(Urgent phase) (B)控制期(Control phase) (C)再評估期(Reevaluation phase) (D)明確處理期(Definitive phase)
35.匙形挖子(spoon excavator)的內面之磨銳(sharpening),下列何者較適用? (A)電動磨銳機 (B)長方形磨銳石 (C)三角形磨銳石 (D)圓柱形磨銳石
36.就碳鋼磨針(carbide bur)而言,若切削刃(cutting blade)的數目愈多,則下列敘述何者正 確? (A)切削效能愈差但切削形成的表面愈平滑 (B)切削效能愈差且切削形成的表面愈粗糙 (C)切削效能愈佳且切削形成的表面愈平滑 (D)切削效能愈佳但切削形成的表面愈粗糙
37.下列何者可作為橡皮障夾(clamp)的輔助器,用以協助固定橡皮障夾? (A)石膏(plaster) (B)矽藻膠(alginate) (C)製模膠(modeling compound) (D)石蠟(paraffin wax)
38.下列何者受到複合樹脂聚合收縮(polymerization shrinkage)的影響最大? (A)一級窩洞 (B)二級窩洞 (C)三級窩洞 (D)四級窩洞
39.複合樹脂(composite resin)與齒質之間的鍵結為何? (A)氫鍵(hydrogen bond) (B)離子鍵(ionic) (C)共價鍵(covalent) (D)機械性結合(mechanical)
40.下列何者為後牙複合樹脂填充的不適應症(contraindication)? (A)以複合樹脂進行咬頭修復(cuspal replacement) (B)操作區的牙齒便於橡皮障隔離 (C)窩洞修形不超過咬頭間距離(intercuspal distance)的1/3 (D)第二類型窩洞修形時牙齦向的窩緣面邊緣(gingival cavosurface margin)有完整的牙釉質
41.牙醫師在置放牙釘操作過程中,不慎發生牙釘槽(pinhole)穿孔到牙根,且穿孔位置在牙齦附連 (gingival attachment)之上方,除了必要時翻開牙齦組織外,下列何項應變處理原則是不當 的? (A)若穿出的牙釘切除後與牙面貼齊,則不必進一步處理 (B)若穿出的牙釘切除後與牙面貼齊,則製作鑄造牙冠應包覆穿孔處 (C)穿出的牙釘移除後,將穿孔槽外牙面稍為擴大,並以汞齊復形 (D)翻開牙齦組織,去除必要的齒槽骨,擴大穿孔外的牙釘槽,以汞齊復形
42.下列何者非小臼齒保守性第一類汞齊窩洞修形之敘述? (A)咬合面髓壁深度(pulpal depth)約為1.5~2.0 mm (B)頰舌側的寬度為2.0 mm (C)咬合面髓壁深度通常需深入牙本質 (D)可增加窩洞邊緣的整體性(marginal integrity)及充填物的壽命(restoration longevity)
43.下列關於微磨治療(microabrasion)之敘述,何者錯誤? (A)當牙齒有局部變色或牙釉質有輕微缺陷,在0.2 mm至0.3 mm範圍內,可以進行微磨治療 (B)微磨治療不適使用silicone carbide particles進行 (C)初期齲齒(incipient caries)可利用微磨治療加上塗氟促進再礦化 (D)牙齒過度氟化(fluorosis)可以進行微磨治療
44.由正面看,上顎犬齒寬度對上顎側門齒寬度之黃金比率為何? (A)0.618 (B)1.0 (C)1.618 (D)2.0
45.牙科漂白藥劑對組織的影響,下列敘述何者錯誤? (A)3%的過氧化氫與10~15%的carbamide peroxide對牙齦組織皆不安全 (B)35%的過氧化氫比10~15%的carbamide peroxide對牙齦組織的傷害更嚴重 (C)牙齦組織短暫的接觸35%的過氧化氫(H2O2 )後,即時以抑菌軟膏(antiseptic ointment)塗 抹可促進早期復原 (D)Carbamide peroxide可用於新生兒的念珠菌感染(candidiasis)的治療
46.前牙瓷鑲面(porcelain veneer)的製作,其合理的頰面修形厚度由齒頸部(cervical)→頰面中 央(midfacial)→切端(incisal)應為: (A)0.7→0.5→0.3 mm (B)0.3→0.5→0.7 mm (C)0.5→0.3→1.0 mm (D)0.5→1.0→0.3 mm
47.關於前牙瓷鑲面(porcelain veneer)的修形,下列敘述何者錯誤? (A)切端至少需有1 mm的空間留給瓷面,但最好是有1.5~2.0 mm (B)切緣(incisal edge)必須平坦 (C)頰側切緣線角(facio-incisal line angle)必須修成圓滑狀(rounded) (D)顎側完成線(finishing line)需有斜面(bevel)
48.在American Dental Association(ADA)規範No.5中,金合金嵌體所使用金屬中,金-鉑含量的 最少量為: (A)50 wt% (B)60 wt% (C)75 wt% (D)85 wt%
49.鑄造覆體在窩洞修形時,其顏面二次外展(facial secondary flare)後鑄造出來之復形物相對角 度為何? (A)20度 (B)40度 (C)60度 (D)80度
50.為了保護剩餘牙齒結構,金合金冠蓋體之肩台(shoulder)修形必須至少向咬頭外側延伸多少, 才能達到足夠之圍箍效應(ferrule effect)? (A)0.5 mm in height,0.5 mm in axial depth (B)0.5 mm in height,1.5 mm in axial depth (C)1.0 mm in height,1.0 mm in axial depth (D)1.5 mm in height,0.5 mm in axial depth
51.下列對金合金復形體的敘述,何者錯誤? (A)相較於汞齊,樹脂或玻璃離子復形體,金合金顯得對抗張強度較佳 (B)金合金復形體邊緣為求與牙體密合,其設計都傾向於作出弧形緣(chamfer)或帶有斜面 (beveled)甚至是刀緣式(knife-edged) (C)在修復已受損的功能性咬頭方面,僅薄薄1 mm金合金復形體的覆蓋就遠勝過固持設計良好且 有3 mm厚度的汞齊復形體 (D)當對咬是自然牙時,金合金復形體較瓷復形體會讓該對咬自然牙磨耗得更厲害
52.為了確保鑄造金嵌體有較佳的牙齦壁密合度,則牙齦壁邊緣應製備為下列何種完成線(finish line)? (A)反向斜面邊緣(reverse bevel margin) (B)方形接合邊緣(butt joint margin) (C)斜面邊緣(bevel margin) (D)弧形緣(chamfer margin)
53.牙骨質是由下列何者發育而來? (A)Ectoderm (B)Dental papilla (C)Dental follicle (D)Hertwig's epithelial root sheath
54.Langerhans cells主要功能為: (A)Phagocytosis (B)Cytokine secretion (C)Tactile sensation (D)Antigen presentation
55.關於上顎第一小臼齒的外形及治療方式的敘述,下列何者錯誤? (A)從cemento-enamel junction到牙根分叉入口(furcation entrance)的平均距離為8 mm (B)牙根分叉(furcation)的走向為mesio-distal方向 (C)牙根上的凹面(concavity)常出現在其buccal root上有牙根分叉(furcation)的面 (D)牙根分叉(furcation)受到第三級侵犯時,常以root resection方式處理
56.下列何者是局部與廣泛侵犯性牙周炎(aggressive periodontitis)的共同特徵? (A)青春期左右開始發作 (B)大量的牙菌斑沉積 (C)病患除了牙周病外,身體健康 (D)病患對致病菌的血清抗體反應微弱
57.研究顯示下列何者是引起急性壞死潰瘍性牙齦炎(ANUG)之微生物(microbes)? (A)A actinomycetemcomitans與P. gingivalis (B)P. gingivalis與T. denticola (C)T. denticola與P. gingivalis (D)P. intermedia與T. denticola
58.在健康的牙齦溝內最常見到下列何種細菌? (A)P. gingivalis及T. forsythsia (B)T. denticola及F. nucleatum (C)P. intermedia及Capnocytophaga spp. (D)Streptococcus spp.及Actinomyces spp.
59.牙釉珠(enamel pearl)最常出現於那一顆牙齒? (A)上顎第一大臼齒 (B)上顎第二大臼齒 (C)下顎第一大臼齒 (D)下顎第二大臼齒
60.如圖所示,為牙周炎患者治療後一段時間,其前牙22頰側觀顯示牙齦有牙菌膜、探測深度<3 mm、探針沿牙齦周邊滑過會有流血現象、附連喪失量4 mm, 沒有持續增加,下列有關此顆牙的 敘述何者錯誤?
(A)診斷為牙菌斑誘導牙齦炎 (B)診斷為慢性牙周炎 (C)根據1967 Löe學者的牙齦指數(gingival index)為2 (D)治療方式只須加強口腔衛生即可
61.訂定牙周治療計畫時,下列何種狀況的牙齒不屬於拔牙的適應症? (A)牙齒斷裂至牙根中段(middle third) (B)牙根中段出現外吸收且破壞至牙根之髓腔 (C)患有嚴重牙周炎的第三大臼齒,且沒有對咬牙 (D)牙齒有angular bony defect,且此處的附連喪失(attachment loss)已達到牙根的一半
62.下列的細胞在牙周病的先天免疫系統(innate immune system)反應中,都扮演cellular barriers 且具有吞噬作用(phagocytosis),但那一種細胞除外? (A)Neutrophil (B)Macrophage (C)Natural killer cell (D)Dendritic cell
63.在牙周基本治療刮除牙結石時,牙刮(curette)的切削邊緣(cutting edge)與牙齒的最佳角度 為幾度? (A)50 (B)60 (C)70 (D)80
64.牙周病人接受subgingival debridement治療之後,會因下列何因素而改善牙齦下菌種 (subgingival biofilm)的生態?①牙齦溝液(gingival crevicular fluid)流量減少 ②牙齦下菌種 (subgingival biofilm)酸鹼值偏中性 ③組織破壞產物(tissue breakdown products)增加 ④ 細菌代謝產物減少 (A)①②③ (B)②③④ (C)①②④ (D)①③④
65. 某病患上顎右側第一小臼齒之牙根長度為13 mm,在牙科診所經第一期治療後再評估時,牙周囊 袋探測深度至少大於或等於多少mm時,應該轉診給牙周病專科醫師進一步診治? (A)2 (B)3 (C)4 (D)5
66.病患經第一期基本治療後,雖經多次反覆教導,仍無法有效執行牙菌斑控制,且缺乏自己執行口 腔清潔動機,則下列何種後續處置較佳? (A)安排牙周清創手術 (B)暫不執行手術,並告知病患牙周感染可能會復發 (C)安排拔除患齒 (D)安排拔除患齒,並立即植牙
67.何種號數的Gracey curettes適用於前牙區? (A)No.1~2 (B)No.5~6 (C)No.11~12 (D)No.13~14
68.有關enamel matrix derivative(Emdogain)的敘述,下列何者錯誤? (A)Emdogain的主要成分是amelogenins (B)它是疏水性,所以必須在酸性環境下才可以保持膠狀 (C)Emdogain能釋放生長因子,可促進人類牙周韌帶造纖維細胞癒合的速度 (D)Emdogain與骨移植材混合在骨下缺損治療,牙周附連獲得的效果在3-wall、2-wall和1-wall之間 有顯著差異
69.有關皮下結締組織移植(subepithelial connective tissue graft)之敘述,下列何者錯誤? (A)有較佳之顏色協調 (B)僅用於單顆牙之牙齦退縮 (C)結締組織移植片至少需1/2到2/3被瓣膜蓋住 (D)須有足夠深度的口腔前庭及厚度的牙齦組織
70.有關齒間乳突高度之敘述,下列何者錯誤? (A)齒間乳突高度喪失,最主要的原因是牙菌斑引起的牙周支持組織喪失 (B)Tarnow等人(1992)研究指出,當齒間接觸點與鄰間齒槽嵴之間的距離小於5 mm時,幾乎不 會有齒間黑色三角產生 (C)齒間乳突高度喪失,若是因損傷性口腔衛生步驟(oral hygiene devices)所引起的,首先必須 停止齒間衛生步驟(interproximal hygiene procedure) (D)當齒間接觸點與齒槽嵴之間的距離大於5 mm時,以手術方式來改善乳突的外形,會比用補綴 物加長接觸面積更有效
71.下列不同移植牙齦厚度中,癒合後移植組織何者收縮最大? (A)0.5 mm (B)1.0 mm (C)1.5 mm (D)2.0 mm
72.下列何者不是牙齦切除術的禁忌症? (A)需合併骨手術或再生手術時 (B)囊袋底部超過黏膜牙齦交界處 (C)骨上囊袋(suprabony pocket) (D)影響美觀時
73.下列有關吸菸與牙周病關係之敘述何者正確? (A)抽菸已被視為牙周病復發之重要危險因子 (B)吸菸將會對牙根整平術後之牙周組織癒合沒有影響 (C)嚼食菸草並不會影響牙周手術後的傷口癒合 (D)吸菸量的多寡對牙周病的傷口影響是不變的
74.長期高血糖的狀況會增加下列何種物質的累積,造成牙周組織較易破壞? (A)醣化血色素(glycated hemoglobin) (B)醣化終產物(advanced glycation end-products) (C)葡醣澱粉酶(glucoamylase) (D)醣化菌(glycobacteria)
75.下列有關唐氏症(Down syndrome)的敘述,何者錯誤? (A)唐氏症是一種染色體異常的遺傳性疾病 (B)唐氏症患者的牙周病的盛行率(prevalence)較高,通常30歲以前就有牙周病的發生率將近為100% (C)唐氏症患者的牙周疾病的破壞與局部因子無關,如牙菌斑,牙結石等 (D)唐氏症患者的牙周病通常是廣泛性的(generalized),但是有時會在下顎前牙區破壞較為嚴重
76.懷孕五個月的婦人,覺得後齒間乳頭(interdental papilla)易出血,下列荷爾蒙(hormones) 中,何者最不會作用於牙齦內血管組織而造成牙齦出血? (A)Progesterone (B)Estradiol (C)Parathyroid hormone (D)Estrogen
77.在齒槽內,於拔牙後多少天開始形成織網骨(woven bone)? (A)2 (B)7 (C)14 (D)28
78.根據Lekholm與Zarb(1985年)的植牙區牙嵴之骨密度分類,其顎骨皮層骨是薄的、骨小樑是緻 密的,為下列何者? (A)1類 (B)2類 (C)3類 (D)4類
79.在以osteotome technique進行鼻竇升高時,以不造成上顎竇膜(maxillary sinus membrane)破 損為前提,可期望的安全升高量約為多少? (A)4 mm (B)6 mm (C)8 mm (D)10 mm
80.病患抱怨植牙區牙齦腫脹疼痛,臨床探測深度為5 mm,根尖片檢查並無明顯齒槽骨破壞。根據 CIST(cumulative interceptive supportive treatment),那些治療對此病患可能是必須的?①機 械性清創(mechanical debridement) ②chlorhexidine沖洗(antiseptic cleaning) ③系統或 局部抗生素給予 ④牙周再生性手術或切除性手術 (A)只有①② (B)只有①③ (C)②③ (D)③④
申論題 (0)
相關試卷
115年 - 115-1 專技高考_牙醫師(二):牙醫學(三)(包括齒內治療學、牙體復形學、牙周病學等科目及其相關臨床實例與醫學倫理)#137339
115年 · #137339
114年 - 114-2 專技高考_牙醫師(二):牙醫學(三)(包括齒內治療學、牙體復形學、牙周病學等科目及其相關臨床實例與醫學倫理)#128948
114年 · #128948
114年 - 114-1 專技高考_牙醫師(二):牙醫學(三)(包括齒內治療學、牙體復形學、牙周病學等科目及其相關臨床實例與醫學倫理)#125097
114年 · #125097
113年 - 113-2 專技高考_牙醫師(二):牙醫學(三)(包括齒內治療學、牙體復形學、牙周病學等科目及其相關臨床實例與醫學倫理)#121677
113年 · #121677
113年 - 113-1 專技高考_牙醫師(二):牙醫學(三)(包括齒內治療學、牙體復形學、牙周病學等科目及其相關臨床實例與醫學倫理)#118712
113年 · #118712
112年 - 112-2 專技高考_牙醫師(二):牙醫學(三)(包括齒內治療學、牙體復形學、牙周病學等科目及其相關臨床實例與醫學倫理)#115911
112年 · #115911
112年 - 112-1 專技高考_牙醫師(二):牙醫學(三)(包括齒內治療學、牙體復形學、牙周病學等科目及其相關臨床實例與醫學倫理)#113154
112年 · #113154
111年 - 111-2 專技高考_牙醫師(二):牙醫學(三)(包括齒內治療學、牙體復形學、牙周病學等科目及其相關臨床實例與醫學倫理)#109844
111年 · #109844
111年 - 111-1 專技高考_牙醫師(二):牙醫學(三)(包括齒內治療學、牙體復形學、牙周病學等科目及其相關臨床實例與醫學倫理)#106191
111年 · #106191
110年 - 110-2 專技高考_牙醫師(二):牙醫學(三)(包括齒內治療學、牙體復形學、牙周病學等科目及其相關臨床實例與醫學倫理)#99932
110年 · #99932