阿摩線上測驗
登入
首頁
>
警察◆三四等◆消防警察情境實務(概要)
> 103年 - 103 警察特種考試_三等_消防警察人員:消防警察情境實務(包括消防法規、實務操作標準作業程序、人權保障與正當法律程序)#43566
103年 - 103 警察特種考試_三等_消防警察人員:消防警察情境實務(包括消防法規、實務操作標準作業程序、人權保障與正當法律程序)#43566
科目:
警察◆三四等◆消防警察情境實務(概要) |
年份:
103年 |
選擇題數:
20 |
申論題數:
4
試卷資訊
所屬科目:
警察◆三四等◆消防警察情境實務(概要)
選擇題 (20)
1 某日你為同仁自火場中採集的殘跡證物進行分析鑑識,經過氣相層析質譜儀的分析,得到以下氣相層析質譜 之總離子層析圖(total ion chromatogram),依據你專業判斷,殘跡證物應含有下列何種易燃性液體?
(A)去漬油 (B) 95 無鉛汽油 (C)高級柴油 (D)煤油
2 火災現場勘查時發現火場為飲食店,現場有油渣,並未發現有其他之發火源,若你為火災調查人員,你 認為火場有可能為何類之自然發火? (A)分解熱 (B)氧化熱 (C)吸著熱 (D)聚合熱
3 某工廠發生火災,你身為轄區之火災調查人員,於災後隔日至火場進行災後勘察,下列勘查原則何者錯 誤? (A)先靜觀後動作 (B)先挖掘後照相 (C)先表層後逐層 (D)先一般後重點
4 你服務於某消防局,某日前往轄內發生爆炸火災之爆竹煙火儲存場所進行現場勘查,並欲採集若干原料 性及有明顯火藥殘留之證物,送至實驗室檢驗,請研判下列何種包裝材質最符合上述之目的? (A)紙張包妥置入塑膠證物袋 (B)塑膠夾袋 (C)硬質含蓋玻璃罐 (D)硬質含蓋玻璃瓶
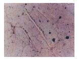
5 下圖乃某一火場所拍攝照片,為使用某一物質在混凝土上所畫之痕跡,藉以研判其燃燒之強弱,若你為 火災調查人員,使用下列何物較合適? (A)滑石 (B)石膏 (C)方解石 (D)金剛石
6 有一製造美耐板之工廠發生火災,你是抵達現場第一梯次救火指揮官,進行滅火攻擊時,需要提醒同仁 火災現場最有可能的毒化物為何? (A)甲醛 (B)多氯聯苯 (C)硫化氫 (D)氯化氫
7 身為經驗豐富的火災調查人員,當知建築物內設有玻璃之門窗常為燃燒火舌流竄之出口,而現場勘查時 依玻璃燃燒程度之輕重,即可大致研判火流及起火處方向。下列關於玻璃燃燒程度由輕微至嚴重之敘述 何者正確? (A)碎裂→破裂→熔凝 (B)破裂→碎裂→熔凝 (C)熔凝→碎裂→破裂 (D)破裂→熔凝→碎裂
8 某 30 層樓建築物火警,你率隊抵達現場時,起火層第 25 層窗口已經冒出火焰,其他樓層尚未發現有延 燒情形,除回報現場狀況及進行車輛部署與人員調派外,你應在第幾層成立前進指揮站,進行編組、人 力管制掌控與記錄,確保搶救人員的安全? (A) 24 (B) 23 (C) 22 (D) 21
9 於火場中進行人命救助行動,有時必須藉助高科技設備,如下圖所示,係採用先進紅外線原理進行測溫 之手提式熱影像儀攝影機,下列何者非該項設備於火場中所能提供的主要功能?
(A)可運用於大面積、密閉式空間或地下室火警等尋找火點 (B)在濃煙或完全黑暗情況下,尋找火場被困人員 (C)火場中搜尋可能之危險物品 (D)將火場內的清晰影像即時傳送到指揮站供指揮搶救參考
10 若有一耐火造供住宅使用建築物二樓發生火災,你欲採取架梯方式進入火場,下列處置何者最不適當? (A)梯子的架梯角度應與地面保持 30 度 (B)以窗戶為進入口時,應將梯子前端橫的一段超過窗口伸入屋內側 (C)梯子上作業以一人為原則 (D)地面不平坦時,梯子下方應有人協助確保
11 某建築物火災現場,一組隊員奉命於該建築物屋頂進行佈線防護,你為火場安全官,請檢視下列處置作 為何者正確? (A)若為斜背式屋頂佈線,應將水帶佈在同一側屋頂,以免水帶滑落 (B)在屋頂佈水線時應防濕滑跌落,必要時可先覆以掛梯便於行走 (C)屋頂射水時儘量選擇脊樑等穩固適當之位置並採立姿射水 (D)屋頂佈線時應儘量靠近火點,並與地面水線配合滅火
12 某化學工廠發生重大火災事故,轄區消防局長到達現場指揮救災,依規定下列有關該局長任務,何者正確? (A)局長配戴藍色指揮臂章 (B)負責建立裝備管制站 (C)負責劃定火場警戒區 (D)協調軍方化學兵部隊協助救災
13 某一工廠發生火災,你為轄區消防分隊長,到達現場擔任初期指揮官,隨著火勢逐漸擴大,中隊長亦抵 達現場。下列何者是你應向中隊長最優先報告的事項? (A)工廠內災民受困狀況 (B)工廠中燃燒的物質與火勢 (C)工廠外消防車輛部署狀況 (D)整體消防戰術運用情形
14 你為消防審查人員,受理消防安全設備審查時,審查對象為一集合住宅,其主要構造為防火構造,且各 樓層均有二座安全梯,請問下列圖示何者不符合免設避難器具之要件? (A)
(B)
(C)
(D)
15 某一空間(體積為 V)所收容之可燃性液體所需之氧氣滅火體積濃度為 12%,將使用惰性氣體來降低氧 氣濃度,若你為審查人員,請判斷應注入多少 V 的惰性氣體來達到所需之滅火體積濃度(假設空間氧氣 體積濃度為 21%)? (A) 0.25 V (B) 0.5 V (C) 0.75 V (D)1V
16 若你為消防局之消防安全設備檢查人員,正在檢查某一貨物處理場所之分布型空氣管式探測器火災動作 試驗時,下列何者是正確的操作程序?①將試驗旋塞配合調整至動作試驗位置 ②空氣注入器接在檢知 器之試驗孔上 ③測定動作之時間 ④注入檢出器所標示之空氣量 (A)②①④③ (B)①②④③ (C)②①③④ (D)①②③④
17 你為轄區分隊長,某日至轄內列管對象之辦公室內,發現該場所設有 6 個撒水頭,每個撒水頭放水量為 80 L/min,業者說明設備狀況為①水源容量 10 m3 ②幫浦出水量 500 L/min;①、②是否符合規定? (A)①、②皆符合規定 (B)①符合規定,②不符合規定 (C)①不符合規定,②符合規定 (D)①、②皆不符合規定
18 某消防設備師提出一圖書館展示空間新設全區放射式二氧化碳滅火設備案件送審,如你為消防安全設備 審查人員,下列處置何者最適當? (A)不符環境空間特性及業主保障閱讀者人命安全之需求,退回該設計申請 (B)依法得使用該設備防護此空間,故通過審查 (C)依 NFPA 規定,要求加裝遮斷閥及相關人命保安措施後,通過審查 (D)註記必須增加服務人員數,才准開放行動不便者進入使用
19 甲開設瓦斯灌裝場,乙、丙為其員工,乙受指派駕駛瓦斯氣槽車前往丁經營的自助餐廳,由丙現場進行 瓦斯鋼瓶的灌氣作業。後經民眾檢舉,消防機關在現場查獲丙正進行灌氣行為。下列何者為消防機關應 舉發的第一優先人選? (A)甲 (B)乙 (C)丙 (D)丁
20 吾人欲記取某護理之家火災災例教訓,則下列防火宣導事項何者最不適當? (A)先立即將重症病患疏散到地面戶外遠離起火建築物處 (B)立即通報並進行初期滅火 (C)如初期滅火失敗,則退出起火居室並關閉房門 (D)平時要做好防煙及防火區劃
申論題 (4)
1.起火層臨界時間?
2.非起火層臨界時間?
【已刪除】二、當你率隊進入已起火的住宅執行搶救勤務,深入該住宅發現火場已有大量煙層蓄積 天花板處,且中性帶不斷降低及出現大面積片狀火焰(如下圖),請你研判此為何 種現象?可能為發生何種現象的前兆?此時你應採取何種措施進行應變處置?(20 分)
三、某一車輛火災,經詢問駕駛是在開車行駛高速公路時,發現車頭冒煙起火,若你為 火災調查人員,研判其起火處所為引擎部,試問對引擎部現場勘查之調查事項為 何?(20 分)