阿摩線上測驗
登入
首頁
>
牙醫學(三)(包括齒內治療學、牙體復形學、牙周病學等科目及其相關臨床實例與醫學倫理)
> 103年 - 103-1 專技高考_牙醫師(二):牙醫學(三)(包括齒內治療學、牙體復形學、牙周病學等科目及其相關臨床實例與醫學倫理)#35906
103年 - 103-1 專技高考_牙醫師(二):牙醫學(三)(包括齒內治療學、牙體復形學、牙周病學等科目及其相關臨床實例與醫學倫理)#35906
科目:
牙醫學(三)(包括齒內治療學、牙體復形學、牙周病學等科目及其相關臨床實例與醫學倫理) |
年份:
103年 |
選擇題數:
80 |
申論題數:
0
試卷資訊
所屬科目:
牙醫學(三)(包括齒內治療學、牙體復形學、牙周病學等科目及其相關臨床實例與醫學倫理)
選擇題 (80)
1.有關牙本質發育之敘述,下列何者錯誤? (A)完全發育的牙本質內含70%的無機物質(inorganic material)和10%水分 (B)完全發育的牙本質內含的無機物質(inorganic material)主要成分是Ca
10
(PO
4
)
6
(OH)
2
(C)完全發育的牙本質內含的有機物質約91%為膠原蛋白(collagen) (D)完全發育的牙本質內含的膠原蛋白(collagen)大部分屬於第四類(type IV)
2.關於C型牙根管之敘述下列何者正確? (A)常發生於西方人下顎第一大臼齒 (B)常發生於東方人下顎第二大臼齒 (C)遠心根管與近心根管多由舌側相連 (D)根管易於封填
3.有關電髓試驗(electric pulp test)下列何者錯誤? (A)壞死和正在分解的牙髓組織常因電解質的存在而產生類似正常牙髓組織的反應 (B)牙髓組織對電刺激的敏感性比牙齦組織高 (C)電流上升速率不宜太快,以免患者疼痛反應強烈 (D)在牙本質中,平行牙本質小管的方向其電阻比垂直牙本質小管的方向高
4.23歲男性患者,主訴前牙唇側牙齦在2個星期前長出牙齦膿腫(gum boil),一直沒有消失,該牙 於3年前曾接受過根管治療,並以假牙贋復之。我們以牙膠針偵測(tracing),發現膿腫源自左上 正中門牙(如下圖X光片所示),請問這顆牙齒根尖周圍的診斷為何?
(A)急性根尖牙周炎(acute apical periodontitis) (B)急性根尖膿腫(acute apical abscess) (C)慢性根尖牙周炎(chronic apical periodontitis) (D)慢性根尖膿腫(chronic apical abscess)
5.有關脫落牙齒(avulsed teeth)的處理,下列敘述何者正確? (A)植回後,宜開予潄口水,防止感染 (B)如果根尖孔尚未閉合的牙齒,植回後需配合進行根尖成形術(apexification) (C)植回時,一般不需要配合抗生素的投予 (D)為了使牙周組織充分癒合,通常需剛性固定(rigid fixation)四週左右
6.理論上,脫落牙齒(avulsed tooth)之最佳儲存溶液為: (A)Hank's Balanced salt solution (B)口腔底部之唾液 (C)低溫之脫脂牛奶 (D)蒸餾水
7.一般而言,蓋氏鑿鑽(Gates-Glidden drills)號碼由1~6號,其直徑大小為多少mm範圍? (A)0.1~0.6 mm (B)0.2~1.2 mm (C)0.5~1.5 mm (D)1.0~2.2 mm
8.下列何種常用的根管封填劑(sealer)屬於含樹脂(resin)配方? (A)AH Plus (B)Roth's sealer (C)Sealapex (D)Tubli-seal
9.有關理想的根管充填材料之敘述,下列何者錯誤? (A)硬化時間慢 (B)對組織沒有刺激性 (C)可為組織溶解 (D)在X光照射下為放射線不透性(radiopacity)
10.對於脫落(avulsion)一小時以上的牙齒,在植回原位之前,將其浸於何種溶液中可以減緩牙根 吸收的進程? (A)含氟溶液 (B)細胞培養液(Hank's balanced salt solution) (C)牛奶 (D)生理食鹽水
11.關於根管嚴重感染時輔助使用抗生素治療的原則,下列何者錯誤? (A)臨床醫師必須充分瞭解何種抗生素的給予較有利於對抗根管的細菌感染,並告知病人 (B)盤尼西林對於兼性厭氧菌與厭氧菌作用效果佳,但有超過50%的民眾對其有過敏反應 (C)紅黴素(erythromycin)是盤尼西林過敏病人用藥的變通選擇之一,但對於厭氧菌的制菌效果 不佳 (D)clindamycin對於兼性厭氧菌與厭氧菌都有不錯的效果
12.陳先生左上顎第一大臼齒根管治療時,疼痛症狀持續不消,醫師從根管內採集細菌樣本,較不可 能找到下列那一個菌? (A)腸球菌(Enterococcus) (B)鏈球菌(Streptococcus) (C)葡萄球菌(Staphylococcus) (D)丙酸菌(Propionibacterium)
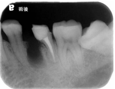
13. 下方是左下第一大臼齒術前與術後的X光片,請問所接受的治療術式為何?
(A)根尖切除術(apicoectomy) (B)牙冠切斷術(crown amputation) (C)牙根切斷術(root amputation) (D)半切斷術(hemisection)
14.下列有關牙根尖手術之敘述,何者錯誤? (A)非手術性之根管再治療為第一選擇 (B)真性囊腫(true cyst)經常需要根尖手術治療 (C)傷口縫合後上皮屏障(epithelial barrier)於48小時內形成 (D)治療骨質疏鬆之雙磷酸鹽(bisphosphonate)藥物對手術沒有影響
15.使用三氧礦化聚合物(MTA)於穿孔修復之主要優點: (A)能於短時間內快速凝固 (B)即使修補於穿孔處與口腔唾液接觸也能凝固不會被沖掉 (C)具有良好的生物相容性 (D)對牙本質有良好的黏著力
16.下列那一項是造成根管充填良好的牙齒,其根尖放射線通透性病變,於治療完成後持續存在的最 常見原因? (A)根管內感染 (B)根管外感染 (C)根管充填物過度充填至根尖區引起異物反應 (D)根尖囊腫
17.有關牙齒變色之敘述,下列何者錯誤? (A)牙齒外傷造成之牙齒變色仍有可能回復原來顏色 (B)因四環素造成之牙齒變色,其與氫氧磷灰石(hydroxyapatite)結晶結合之位置主要是在牙釉 質區 (C)根管封填劑需去除至齒頸部之牙齦緣下方,主要是防止封填劑造成牙齒變色 (D)漂白後在復形前並不建議再置放數週氫氧化鈣糊劑,因為這樣做對牙根吸收之預防是無效的
18.下列何者不是牙髓與牙周間相互連通的管道? (A)腭齦溝(palatogingival groove) (B)側根管(lateral canal) (C)牙本質小管(dentinal tubule) (D)牙釉梭(enamel spindles)
19.當下顎小臼齒區以X光正照時發現有側方放射線透射區(lateral radiolucency)時,下列的診斷何 者較不可能? (A)可能存在側根管(lateral canal)/副根管 (B)可能是側方牙周囊腫(lateral periodontal cyst) (C)可能存在有第二根管 (D)下顎神經管(mandibular canal)
20.哺餵母乳的婦女因牙齒腫脹、化膿來院就診,除了進行根管治療外,若需要合併使用藥物來減緩 發炎疼痛,下列何者錯誤? (A)不能吃藥 (B)使用acetaminophen (C)使用antibiotics (D)讓嬰兒改喝配方奶
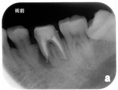
21.病患是由診所醫師轉診到教學醫院牙髓病科,尋求左下第二大臼齒後續的根管治療,下圖為X光 片檢查影像。對於左下第一大臼齒的問題,接受轉診的牙髓病科醫師應如何處理?
(A)除非左下第一大臼齒有臨床症狀,否則不需告知病患或轉診醫師 (B)若病患或轉診醫師未要求瞭解其他非轉診牙齒的狀況,則不需告知 (C)不用告知病患,但應告知轉診醫師 (D)應同時告知病患與轉診醫師
22.依前述,下顎左側第一大臼齒之牙髓診斷是: (A)可逆性牙髓炎(reversible pulpitis) (B)不可逆性牙髓炎(irreversible pulpitis) (C)牙髓壞死(pulp necrosis) (D)正常牙髓(normal pulp)
23.承上題,王小姐下顎左側第一大臼齒牙根尖診斷(periapical diagnosis)是: (A)正常(normal) (B)急性根尖牙周炎(acute apical periodontitis) (C)慢性根尖牙周炎(chronic apical periodontitis) (D)急性根尖膿腫(acute apical abscess)
24.承上題,王小姐案例之緊急處置,下列何者較妥善? (A)不需處理,繼續追蹤即可 (B)在本次就診馬上完成根管清創 (C)去除齲齒並放置止痛藥綿,臨時填充保護 (D)作斷髓(pulpotomy)或部分牙髓切除術(partial pulpectomy)處理即可
25. 此病患的 第一小臼齒牙髓與根尖疾病診斷為何? (A)慢性牙髓炎(chronic pulpitis)合併正常根尖組織(normal apical tissue) (B)慢性牙髓炎(chronic pulpitis)合併無症狀根尖牙周炎(aymptomatic apical periodontitis) (C)牙髓壞死(pulp necrosis)合併無症狀根尖牙周炎(aymptomatic apical periodontitis) (D)牙髓壞死(pulp necrosis)合併無症狀根尖膿腫(aymptomatic apical abscess)
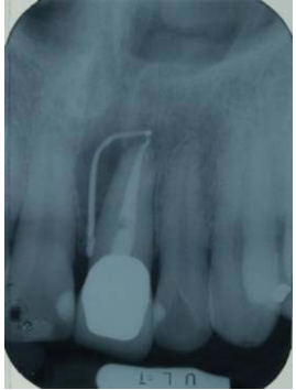
26.承上題,下圖為這顆第一小臼齒完成根管充填後所拍攝的X光片。請問依據Weine的分類定義, 這顆牙齒的根管形態是屬於那一型,而發生根管過度充填(overfilling)是那一個根管?
(A)第二型根管形態,頰側根管 (B)第二型根管形態,顎側根管 (C)第三型根管形態,頰側根管 (D)第三型根管形態,顎側根管
27.下列何者含氟量最高? (A)牙釉質(enamel) (B)牙本質(dentin) (C)牙骨質(cementum) (D)緻密骨(cortical bone)
28.溝裂封劑(fissure sealants)脫落的最可能原因為: (A)操作時唾液污染 (B)咬耗(attrition) (C)封劑材料的黏著強度不良 (D)高齲齒活躍性(caries activity)
29.在良好光源及乾燥和潔淨的牙齒環境下,溝裂齲齒病灶的偵測最常靠下列何者? (A)尖銳的探針 (B)視診(visual inspection) (C)咬翼放射攝影 (D)組織切片檢查
30.牙本質鍵結表面為何不宜太乾或太濕? (A)太乾會造成膠原蛋白(collagen)塌陷 (B)太乾會造成膠原蛋白(collagen)龜裂 (C)太濕會造成牙本質小管膨脹 (D)太濕會使牙本質小管剝離
31.有關自酸蝕(self-etch)黏著系統的敘述,何者錯誤? (A)自酸蝕黏著系統是將酸蝕劑與底劑(primer)混合 (B)所使用的酸依廠牌而有差異 (C)使用的酸較酸蝕-沖水(etch and rinse)黏著系統中磷酸之酸性較弱 (D)不能與牙釉質黏著
32.關於用於牙釉質的酸蝕劑濃度,下列敘述何者錯誤? (A)目前一般使用的磷酸濃度為30~40% (B)使用濃度50%磷酸酸蝕,會形成不易溶解的雙鈣磷酸鹽水合物(dicalcium phosphate monohydrate)結晶 (C)使用濃度低於27%磷酸酸蝕,會形成不易溶解的雙鈣磷酸鹽水合物(dicalcium phosphate monohydrate)結晶 (D)用於恆牙的磷酸酸蝕時間15秒與60秒的酸蝕效果類似
33.以複合樹脂填補治療有心內膜炎(bacteria endocarditis)患者時,其處置過程,下列敘述何者最 正確? (A)以抗生素預防式投藥(antibiotic prophylaxis) (B)若使用浸潤式麻醉時,則必須以抗生素預防式投藥 (C)術後再開給患者抗生素 (D)不須以抗生素預防感染
34.下列何種握持器械法最常使用於前牙舌側的牙體復形操作上? (A)Inverted pen grasp (B)Modified pen grasp (C)Palm-and-thumb grasp (D)Modified palm-and-thumb grasp
35.布拉克氏(Black's)第三類窩洞修形的面舌切緣點角(faciolinguoincisal point angle),又稱 為: (A)髓面切緣點角(pulpoincisal point angle) (B)軸向切緣點角(axioincisal point angle) (C)軸向髓面點角(axiopulpal point angle) (D)窩洞切緣點角(cavoincisal point angle)
36.手用切削器械(hand instrument)的命名系統,三位數系統(three-number formula)與四位數 系統(four-number formula)的第三個數字分別代表: (A)都是代表刀刃與柄的夾角 (B)都是代表刀刃長 (C)刀刃與柄的夾角;刀刃長 (D)刀刃與柄的夾角;切削面與柄的夾角
37.牙醫師治療病人右上顎第一大臼齒第一類型(class I)齲齒時,病人右上顎後牙區咬合面與地板 間應呈現何種角度? (A)10度 (B)30度 (C)45度 (D)90度
38.複合樹脂之體積聚合收縮量最大約為: (A)0.2% (B)7% (C)17% (D)30%
39.複合樹脂的熱膨脹係數(coefficient of thermal expansion)約為齒質的幾倍? (A)0.2~0.5 (B)0.6~1.5 (C)2~6 (D)8~10
40.複合樹脂填補後,牙釉質邊緣產生白線(white line)的可能原因與下列何者無關? (A)塑形磨光不當(traumatic contouring and finishing) (B)牙釉質酸蝕處理不當 (C)照光時間不足 (D)使用高強光光照複合樹脂
41.前牙五級窩洞的牙齦面延伸至牙本質之牙根面窩洞的窩緣角(cavosurface angle)應為多少度? (A)45度 (B)90度 (C)120度 (D)180度
42.玻璃離子體充填材(glass ionomer restorative materials)不宜用於下列何者? (A)講究美觀的位置 (B)高齲齒罹患率的人 (C)牙齦面齲齒 (D)放射線治療後的病人
43.下列何者為後牙複合樹脂修復體的適應症? (A)修復時無法適當隔離操作區 (B)窩洞邊緣皆位於牙釉質之中小型窩洞 (C)所有咬合接觸都落在修復體上 (D)修復體延伸至牙根表面
44.有關牙釘固位汞齊修復體(pin-retained amalgam restoration),如果增加牙釘的數目,下列敘 述何者錯誤? (A)增強汞齊修復體的固位 (B)牙本質裂痕(cracking)和斷裂的可能性增加 (C)減少牙釘之間可用的牙本質量 (D)增強汞齊修復體的強度
45.下列那一顆牙齒在汞齊窩洞修形中,髓壁(pulpal wall)的傾斜度與其它後牙不同? (A)上顎第一小臼齒 (B)上顎第二小臼齒 (C)下顎第一小臼齒 (D)下顎第二小臼齒
46.下列何者不是造成牙齒內染性變色(intrinsic discoloration)的原因? (A)遺傳性疾病 (B)四環黴素類 (C)飲水含過多氟化物 (D)生色性微生物(chromogenic microorganism)
47.理想而美觀的上顎正中門牙之寬/長比為何? (A)0.75~0.8 (B)1.55~1.8 (C)0.55~0.6 (D)1.05~1.2
複選題
48.以過氧化氫(H
2
O
2
)做診間漂白(in-office bleach)的敘述,下列何者錯誤? (A)當漂白的溫度增加10oC時,化學反應的速率會加倍 (B)活牙漂白時通常不需要上麻醉,以避免降低牙齒對溫度過熱的感受性 (C)失活牙(nonvital tooth)漂白時可加熱至比活牙可忍受的溫度高10oC,以增加反應速率 (D)使用pH 9.5的過氧化氫會比pH 10.8的漂白速率慢
49.間接複合樹脂之嵌體(inlay),與直接複合樹脂充填比較,下列何者不是主要優點? (A)較佳的鄰接面外形 (B)較少的牙齒修磨 (C)較少的聚合收縮 (D)較低的微滲漏(microleakage)
50.與傳統的技工室製作的修復體比較,下列何者不是單次治療電腦輔助設計/製造(CAD/CAM) 之修復體的主要優點? (A)邊緣密合度較佳 (B)較省時間 (C)不用印模 (D)不用暫時修復物(provisional restoration)
51.對於製作金合金嵌體(gold inlay)之窩洞修形,下列敘述何者正確? (A)為了達到邊緣完整性,即使是較小的第一級窩洞也必須將邊緣嵴一併修除 (B)理想之窩洞修形角度,應是將頰側壁及舌側壁修成向咬合面聚攏(convergence )6~10度 (C)在第二級窩洞修形中,必須有咬合斜面(occlusal bevel)及牙齦斜面(gingival bevel)的設計 (D)鄰接盒(proximal box)之軸向深度(axial depth)必須達到3 mm以上
52.下列那項敘述是錯誤的? (A)依據ADA specification No.5,牙科用鑄造金屬至少應含75%重量百分比的金-鉑成分 (B)對於相鄰牙齒沒有接觸點的情況可利用鑄造金嵌體進行重建接觸點 (C)對於牙齒傾斜而失去對咬情況可利用鑄造金嵌體進行重建咬合 (D)對於高齲齒率之患者應以鑄造金嵌體治療
53.下列有關Periodontal Index(PI, Russell 1954)與Periodontal Disease Index(PDI, Ramfjord 1959)的敘述,何者正確? (A)PI指數記分最高為6 (B)PDI指數記分最高為8 (C)PI並沒有使用牙周探測具探測囊袋深度 (D)PDI指數經常被評論低估牙周病的流行率
54.下列何者是牙周病的相當確定危險因子(well-established risk factors)? (A)Age (B)Osteoporosis (C)Bleeding on probing (D)Smoking
55.依據Socransky等學者針對牙齦下牙菌斑微生物組合物(microbial complexes)的研究,下列那種細菌屬於orange complex species?(A)V. parvula(B)corrodens(C)S. sanguis(D)F. nucleatum
56.下列何種物質會引起典型的補體免疫活化反應途徑(classical pathway)? (A)細菌產物 (B)脂多醣物(lipopolysaccharide) (C)抗原抗體複合物 (D)血清凝集素(serum lectin)
57.在牙齦表皮組織內,何種細胞扮演呈現抗原(antigen presentation)的功能? (A)朗格漢斯細胞 (Langerhans cells) (B)黑色素細胞(melanocytes) (C)麥克氏細胞(Merkel's cells) (D)角質細胞(keratinocytes)
58.在牙齦炎的初始階段(initial stage),最主要的免疫細胞為何? (A)淋巴球(lymphocytes) (B)漿細胞(plasma cells) (C)蘭格罕氏細胞(Langerhans cells) (D)多形核嗜中性白血球(PMNs)
59.囊袋上皮細胞受到牙齦下牙菌斑內LPS刺激,會分泌何種細胞激素(cytokine),造成PMN的趨 化(chemotaxis)作用? (A)IL-4 (B)IL-6 (C)IL-8 (D)IL-10
60.在操作curette磨利的過程中,下列敘述何者錯誤? (A)使用自然磨石(natural stone)需要加“水”潤滑 (B)以手操作比機械操作不易耗損器械 (C)須維持器械外形 (D)磨利的過程中,磨石向切削邊緣(cutting edge)的down stroke可以消除“wire edge”的形成
61.牙周病因相關治療(cause-related periodontal therapy)過程中,下列何者於牙周治療時最不需 要預防性抗生素投藥? (A)半年內接受心臟人工瓣膜手術 (B)未控制的糖尿病患者 (C)B型肝炎帶原者 (D)正在接受抗癌化學治療
62.前牙區域的中至重度牙周炎,必須考慮到美觀與牙周健康,若必須以牙周手術做治療,第一優先 的手術方式是乳頭保存翻瓣術(papilla preservation flap)。有關其主要考量的原因,下列何者 錯誤? (A)可減少術後牙齦退縮 (B)可使軟組織塌陷(soft tissue crater)的發生機率降低 (C)美觀是主要考量 (D)可減少術後牙齒敏感及腫脹
63.使用骨切除術(resective osseous surgery)去除大臼齒的骨凹陷缺損(crater defect),要切除 頰側骨的數量必須要考慮凹陷的底部與下列何者的關係? (A)牙骨質與牙釉質交界 (B)牙根分叉的位置 (C)牙根分叉下的牙根長度 (D)骨陷缺損的頰側與舌側骨壁
64.對黏膜齒齦手術(mucogingival surgery)的敘述,下列何者正確? (A)與手術區域的牙菌斑及發炎現象無關 (B)與造成手術區的傷害程度無關 (C)與提供供給組織(donor tissue)足夠的血液供應有關 (D)與移植的組織在受植區的穩定性(stability)無關
65.有關生長因子(growth factors)在牙周組織再生的敘述,下列何者錯誤? (A)生長因子主要由巨噬細胞、內皮細胞及造纖維細胞所分泌 (B)血小板獲得的增長因子(PDGF)可以促進牙周韌帶的形成 (C)骨成形蛋白(BMPs)可以促進骨質的形成 (D)Emdogain®不具骨誘導作用(osteoinductive),而是骨促進作用(osteopromotive)
66.使用牙根切除術時,最常切掉的牙根是: (A)上顎第一大臼齒遠心頰側牙根 (B)上顎第一大臼齒近心頰側牙根 (C)上顎第二大臼齒遠心頰側牙根 (D)上顎第二大臼齒近心頰側牙根
67.下列關於游離牙齦移植手術(free gingival graft)的敘述何者錯誤? (A)移植第二天,移植體(graft)與受殖位會產生微血管接合的現象 (B)一層薄薄新上皮在移植後第四天出現 (C)其表皮將來是否會角質化,取決於其底部淺層結締組織 (D)移植後24週,收縮量最大
68.下列何者是影響牙周再生治療,長期成功最主要的因素? (A)患者因素 (B)缺損型態 (C)手術技巧 (D)使用的再生材料
69.下列那種縫線組織反應最強? (A)Chromic gut (B)Silk (C)Nylon (D)Gut
70.Lindhe 等學者(1982)提出臨界探測深度(critical probing depth,CPD)的觀念,關於CPD的 敘述,下列何者錯誤? (A)門牙區初期探測深度為5 mm時,手術治療比非手術治療可得到較多的附連高度(attachment level) (B)牙周囊袋探測深度若低於CPD時,治療的結果常會造成臨床附連(clinical attachment)喪失 (C)手術療法之CPD通常比非手術療法之CPD高 (D)臼齒區初期探測深度為5 mm時,以手術方式進行牙根清創比非手術方式可以得到較多的附連 高度(attachment level)
71.根據Cortellini & Bower1995的研究,何種的骨缺損型態(defect anatomy)在術後有最大的機會 得到附連高度(gain of attachment level)? (A)寬而淺的骨缺損 (B)寬而深的骨缺損 (C)窄而淺的骨缺損 (D)窄而深的骨缺損
72.高感受性但牙周維護配合度低的(non-complying, but periodontitis-susceptible)牙周病人,接 受牙周手術之後,沒有接受牙周維護性治療(supportive periodontal therapy, SPT),牙周附連 (periodontal attachment)喪失的速度約為每年多少mm? (A)0.5 (B)1 (C)2 (D)1.5
73.牙周治療之維護(maintenance)從何時開始? (A)牙周炎如有復發時,隨時開始 (B)第一期(phase I therapy)完成後,馬上開始 (C)第二期(phase II therapy)完成後,馬上開始 (D)第三期(phase III therapy)完成後,馬上開始
74.有關牙周病的治療預後,下列敘述何者錯誤? (A)當牙齒的囊袋深度深但是附連喪失少,會比囊袋深度淺但有較多的附連喪失牙齒有較佳的預後 (B)若年長與年輕的牙周病患者有相同的臨床附連喪失與齒槽骨破壞,年輕的牙周病患者會有較佳 的預後 (C)抽菸的病人若停止吸菸,對牙周疾病的治療預後會有正向的影響 (D)牙周的治療預後與病人的配合性有很大的關聯
75.最常在早產兒母親羊水中培養出之細菌為何? (A)Eikenella corrodens (B)Fusobacterium nucleatum (C)Actinomyces viscosus (D)Streptococcus sanguis
76.55歲男性患者,2年前接受心臟移植,全口牙齦有不等程度之牙齦腫大,特別在齒間乳頭有6~ 7mm之探測深度,但X光檢查無明顯齒槽骨破壞,其原因可能與服用下列何種藥物有關? (A)四環素(tetracycline) (B)普滴尼松(prednisolone) (C)香豆素(coumadin) (D)環孢靈素(cyclosporin)
77.依據cumulative interceptive supportive therapy(CIST),下列何種植體周圍組織情形,不適合 採用非手術性治療? (A)Bleeding on probing positive and plaque index≧1 (B)Probing pocket depth≦3mm (C)Bleeding on probing negative and plaque index<1 (D)Probing pocket depth>5 mm
78.植牙前採用下列何種放射線檢查,病患接受的輻射曝露劑量最高? (A)Full mouth periapical radiography (B)Conventional tomography (C)Head computed tomography (D)Cone-beam computed tomography
79.一般植體種於易罹患牙周炎患者的5年失敗率大約是種於牙周健康者失敗率的幾倍? (A)2~2.5倍 (B)4~4.5倍 (C)5~5.5倍 (D)7~7.5倍
80.有關植體探測深度,下列敘述何者錯誤? (A)牙周囊袋深度探測力道,於自然牙之牙周所用之力道,比在植體周圍之探測力道為大 (B)植體與自然牙同樣的探測深度加深,臨床意義上自然牙代表較多的附連喪失 (C)植體與自然牙周圍同樣發生發炎情況時,植體周圍的探測位置較自然牙更貼近於齒槽骨 (D)以直徑0.5 mm的Peri-Probe®用0.2-0.3 N力道探測植體周圍,若探測深度大於3 mm即為植體周 圍黏膜炎(peri-mucositis)
申論題 (0)
相關試卷
115年 - 115-1 專技高考_牙醫師(二):牙醫學(三)(包括齒內治療學、牙體復形學、牙周病學等科目及其相關臨床實例與醫學倫理)#137339
115年 · #137339
114年 - 114-2 專技高考_牙醫師(二):牙醫學(三)(包括齒內治療學、牙體復形學、牙周病學等科目及其相關臨床實例與醫學倫理)#128948
114年 · #128948
114年 - 114-1 專技高考_牙醫師(二):牙醫學(三)(包括齒內治療學、牙體復形學、牙周病學等科目及其相關臨床實例與醫學倫理)#125097
114年 · #125097
113年 - 113-2 專技高考_牙醫師(二):牙醫學(三)(包括齒內治療學、牙體復形學、牙周病學等科目及其相關臨床實例與醫學倫理)#121677
113年 · #121677
113年 - 113-1 專技高考_牙醫師(二):牙醫學(三)(包括齒內治療學、牙體復形學、牙周病學等科目及其相關臨床實例與醫學倫理)#118712
113年 · #118712
112年 - 112-2 專技高考_牙醫師(二):牙醫學(三)(包括齒內治療學、牙體復形學、牙周病學等科目及其相關臨床實例與醫學倫理)#115911
112年 · #115911
112年 - 112-1 專技高考_牙醫師(二):牙醫學(三)(包括齒內治療學、牙體復形學、牙周病學等科目及其相關臨床實例與醫學倫理)#113154
112年 · #113154
111年 - 111-2 專技高考_牙醫師(二):牙醫學(三)(包括齒內治療學、牙體復形學、牙周病學等科目及其相關臨床實例與醫學倫理)#109844
111年 · #109844
111年 - 111-1 專技高考_牙醫師(二):牙醫學(三)(包括齒內治療學、牙體復形學、牙周病學等科目及其相關臨床實例與醫學倫理)#106191
111年 · #106191
110年 - 110-2 專技高考_牙醫師(二):牙醫學(三)(包括齒內治療學、牙體復形學、牙周病學等科目及其相關臨床實例與醫學倫理)#99932
110年 · #99932