阿摩線上測驗
登入
首頁
>
牙醫學(四)(包括口腔顎面外科學、牙科放射線學等科目及其相關臨床實例與醫學倫理)
> 103年 - 103-1 專技高考_牙醫師(二):牙醫學(四)(包括口腔顎面外科學、牙科放射線學等科目及其相關臨床實例與醫學倫理)#35903
103年 - 103-1 專技高考_牙醫師(二):牙醫學(四)(包括口腔顎面外科學、牙科放射線學等科目及其相關臨床實例與醫學倫理)#35903
科目:
牙醫學(四)(包括口腔顎面外科學、牙科放射線學等科目及其相關臨床實例與醫學倫理) |
年份:
103年 |
選擇題數:
80 |
申論題數:
0
試卷資訊
所屬科目:
牙醫學(四)(包括口腔顎面外科學、牙科放射線學等科目及其相關臨床實例與醫學倫理)
選擇題 (80)
1.骨折後,在骨組織癒合過程中,下列何種物質的供給不足,會造成軟骨組織的形成而取代骨組 織? (A)氧(oxygen) (B)鉀(potassium) (C)氮(nitrogen) (D)鈉(sodium)
2.下列敘述,何者錯誤? (A)chlorhexidine抑制格蘭氏陽性菌與陰性菌的效果相同,適用於牙科手術的消毒 (B)看診時應先看沒有感染問題的病人,有膿皰或瘻管的病人最後看 (C)針蓋回套時,應以單手回套或以止血鉗夾著針蓋回套避免針扎 (D)優碘可用於口內傷口的消毒
3.顎顏面皮膚寄宿的細菌較少,常見的下列菌種中,何種是常由鼻腔移居而來? (A)Staphylococcus epidermidis (B)Corynebacterium diphtheriae (C)Propionibacterium acnes (D)Staphylococcus aureus
4.下列有關滅菌技術的敘述,何者正確? (A)對滅菌而言,乾熱法(dry heat)比濕熱法(moist heat)更有效 (B)濕熱法(moist heat)的缺點是所需時間較長且可能損害對熱敏感的器械 (C)使用氧化乙烯(ethylene oxide)氣體滅菌法,在溫度50℃時3小時就可以有效殺死微生物,包 括孢子 (D)氧化乙烯(ethylene oxide)的優點是能對多孔性材質作有效滅菌,缺點是易使器械鈍化
5.下列有關縫線材料(suture material)的敘述,何者錯誤? (A)縫線粗細以“0”來表示,同一類之縫線,3-0縫線的直徑及強度較1-0為小 (B)絲線(silk)歸屬於不可吸收縫線,但隨時間增加縫線將喪失張力,即使不拆除,大約在兩年內 會消失 (C)尼龍(nylon)可為單股或多股纖維製成之縫線,與絲線比較,前者較不易引起發炎反應 (D)聚丙烯縫線(polypropylene)歸屬於可吸收縫線,與聚酯縫線(polyester)比較,後者較不易 引起發炎反應
6.牙齦翻瓣手術,在皮瓣設計時,二側同時做垂直切線,若皮瓣底部寬度為X,皮瓣二側垂直切線 長度為Y,理想之X, Y 比值最少應為: (A)X=0.5 Y (B)X=Y (C)X=1.5Y (D)X=2Y
7.施行 nasopalatine nerve 的阻斷性麻醉,下列敘述何者錯誤? (A)注射速度須小於 0.5 mL /分鐘 (B)注射後倒抽出現有血的機率小於 1 % (C)應使用含有 1:50,000 epinephrine 的麻醉劑 (D)應由 nasopalatine papilla(鼻腭乳突)的側邊進針
8.有關局部麻醉劑干擾神經膜激化過程之方法,下列何者錯誤? (A)改變神經膜休止電位(resting potential) (B)改變閾電位(threshold potential) (C)降低去極化速率(rate of depolarization) (D)縮短再極化速率(rate of repolarization)
9.局部麻醉下,接受下顎大臼齒根管治療,第二天發生張口受限情形,最不可能的原因是? (A)使用含 1:50,000 epinephrine 之麻醉劑 (B)注射區感染 (C)打到血管,局部出血 (D)打到內翼肌,造成傷害
10.有關預防拔錯牙與其處理,下列敘述何者錯誤? (A)拔牙前應再三與病人及助理確認身分與預拔牙齒之牙位,並確認該牙齒為何種原因必須被拔除 (B)當拔錯牙時,應盡早種回原位,並予以固定 (C)當拔錯牙後,如果牙齒在口外時間太長時,應考慮改為矯正、植牙或牙橋方式重建 (D)即使拔錯牙經過適當處理後,就可以隱瞞病人關於拔錯牙之情形
11.根尖挺(root tip pick)是用來拔除多少毫米(mm)的牙根尖? (A)2~4 (B)6~8 (C)10~12 (D)12~14
12.根據Pell and Gregory的阻生齒分類法,所謂第B類指的是智齒: (A)與第二大臼齒的咬合面等高 (B)介於第二大臼齒的咬合面與齒頸線 (C)完全低於第二大臼齒的齒頸線 (D)高於第二大臼齒的咬合面
13.有關口腔手術後之照護,下列敘述何者錯誤? (A)手術後的冰敷可持續20分鐘後,休息20分鐘 (B)手術後的腫脹通常於術後的24到48小時達到最腫脹程度 (C)阻生齒拔除手術後應請病人冰敷3天,可以防止術後腫脹 (D)手術後第3天開始熱敷,可以使術後腫脹較快消除
14.一位有糖尿病的女士因為右上顎犬齒殘根發炎來求診,牙醫師為她拔除此殘根並給予抗生素,但 是數小時之後,患者因為右臉變得更腫與嚴重而住院,請問下列那一項原因比較合理解釋她為什 麼因為拔牙後而住院? (A)抗生素給的量不足夠 (B)抗生素給的方式不對 (C)低估患者身體的抵抗力 (D)沒有徹底清除傷口的感染
15.患者罹患齒源性感染,請問擴散到那一個筋膜腔時,其危險性較高? (A)Infraorbital space (B)Pterygomandibular space (C)Mediastinum (D)Deep temporal space
16.齒源性感染在很多情況下,須做清創引流手術,下列敘述何者正確? (A)引流下顎骨周圍筋膜腔的膿瘍,引流管放置是從口外適當位置導入被侵犯的筋膜腔 (B)多次沖洗有引流管的傷口可以加速感染的消除 (C)當傷口排出的膿性液體消失時,必須等到一週才可抽出 (D)傷口若一直有滲出液流出,不是移除乳膠式引流管(latex Penrose drain)的適當時機
17.有關治療齒源性感染的敘述,下列何者正確? (A)給予抗生素治療是必要的方式 (B)當齒源性感染還在inoculation stage時,其治療的主要方式是切開引流 (C)麻醉劑不能注射在準備要做切開引流的區域,容易造成感染擴散 (D)被引流的膿瘍液體不再出現時,引流管才能移除
18. 65歲的老先生因為牙齒發炎導致頦下區與口底區腫大,如圖,這種情況比較危險主要原因為何?
(A)年紀較大 (B)會壓到呼吸道 (C)感染容易擴散 (D)厭氧性細菌感染
19.病患因口竇相通引發感染,經沖洗並投予抗生素3天後不見改善,經培養發現菌種製造 β 乳酸 酶,可以採用的抗生素為何? (A)PenicillinⅤ (B)Amoxicillin (C)Clindamycin (D)Augmentin
20.一般成年人萎縮的齒槽骨在放入骨牽引裝置(distraction device)後,其延遲期(latency period)通常約為幾天? (A)少於2天 (B)4~7天 (C)9~11天 (D)13~15天
21.關於前庭區腫裂齦瘤(epulis fissuratum)的敘述,下列何者錯誤? (A)只發生在全口無牙的病人 (B)只要有義齒不正常的壓力與刺激,固定義齒與活動義齒的病人也會發生 (C)小量的發炎性纖維組織,可切除後並做初級縫合 (D)大量的發炎性纖維組織,可切除後並做次級縫合,因為初級縫合可能導致前庭消失
22.關於黏膜下前庭成形術(submucosal vestibuloplasty)的敘述,下列何者錯誤? (A)是將黏膜下組織切除或移位使頰側前庭的黏膜直接附著於骨膜上 (B)手術區必須要有足夠的黏膜,且術後不致改變唇部外觀 (C)必須將黏膜和黏膜下組織分離以建立黏膜下隧道 (D)需要用裂層(split-thickness)皮膚或腭黏膜移植
23.當進行人工植牙,若軟組織無法完全癒合而暴露植體頂端表面1mm時,則下列治療方式何者錯 誤? (A)儘量保持口腔衛生,照顧好植體暴露的部分 (B)儘快拿掉人工植牙,以免造成病人的感染 (C)不必要將軟組織再度縫合,因為軟組織會再度裂開 (D)照顧好植體暴露的部分,將來的成功率還是很高
24.關於纖維骨整合(fibro-osseous integration)的敘述,下列何者錯誤? (A)是指牙科植體與骨骼之間全部充滿新生骨骼 (B)在牙科植體周圍的纖維走向是不規則的 (C)初期成功率可能很好,但長期成功率很快就下降 (D)有骨整合的病人,其牙科植體長期成功率比較高
25.在牙科植體周圍至少應有多少骨寬度,日後植體長期成功率才會高? (A)0.3 mm (B)0.5 mm (C)0.7 mm (D)1 mm
26.廣泛性頸部淋巴廓清術(RND)所要清除的頸部淋巴包括: (A)第一、二階層(Level I,II) (B)第一、二、三階層(Level I,II,III) (C)第一、二、三、四階層(Level I,II,III,IV) (D)第一、二、三、四、五階層(Level I,II,III,IV,V)
27.根據美國癌症委員會的鱗狀細胞癌分期,下列舌癌的那一分期是為預防性頸部廓清術的適應症? (A)T
2
N
0
M
0
(B)T
3
N
0
M
0
(C)T
2
N
1
M
0
(D)T
3
N
2
M
0
28.一位20歲的病患因為被診斷為含齒囊腫,其病灶在下顎右側第三大臼齒區,大小約8公分大,下 列何種手術的組合最佳? (A)剜出術 (B)剜出術合併下顎骨局部切除術 (C)造袋術合併下顎骨局部切除術 (D)造袋術後另行剜出術
29.若是利用囊腫造袋術(cystic marsupialization)來對含齒囊腫做減壓治療,則下列何者並非其缺 點? (A)無法將囊腫完全取出 (B)無法做詳細之病理檢查 (C)病患回家後需作沖洗清潔等居家照顧 (D)易造成病理性骨折
複選題
30.帶狀疱疹最常發生於下列何者? (A)軀體神經(somatic nerve) (B)顏面神經(facial nerve) (C)三叉神經(trigeminal nerve) (D)舌下神經(hypoglossal nerve)
31.下列有關感覺神經纖維的敘述,何者正確? (A)感覺神經纖維的直徑愈大,傳導速度愈快 (B)感覺神經纖維的直徑愈小,傳導速度愈快 (C)感覺神經纖維「Aα」的直徑比「Aδ」小 (D)感覺神經纖維「C」的直徑比「B」大
32.下列有關 ranula 的敘述,何者錯誤? (A)可分為 simple ranula 及 plunging ranula (B)最常發生於口底部位 (C)造袋術對於早期病灶是適當的治療方式 (D)最常發生於顎下腺
33.當患者臨床上被發現腮腺有腫塊,且造成同側面神經麻痺時,下列術式何者較適宜? (A)切除腮腺表葉,保留顏面神經 (B)切除腮腺表葉包括顏面神經 (C)切除全腺,保留顏面神經 (D)切除全腺包括顏面神經
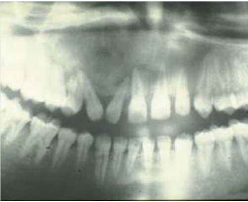
34.一個下顎左側髁突下位(subcondylar)骨折且髁頭有往前脫臼(anterior dislocation)的病人, 下列何者不是其臨床特徵? (A)顏面不對稱,向左側偏斜 (B)開口時會向左側偏斜 (C)左側的後牙區會有開咬情形 (D)左側的後牙區會有過早接觸
35.治療開放式氣胸(open peumothorax)時會在遠端胸部放置一個胸管,其主要目的是防止下列何 種問題發生? (A)hemothorax (B)tension peumothorax (C)subcutaneous emphysema (D)distended jugular veins
36.下列那一種X光最適合檢查中顏面骨折? (A)panoramic film (B)open-mouth Towne's view (C)Waters' view (D)PA view of skull
37.下列牙齒外傷的描述何者錯誤? (A)下壓內縮(intrusion)不易造成牙髓壞死 (B)牙齒突出(extrusion)一般需固定1~3週 (C)水平牙根斷折一般需固定2~3個月 (D)動搖若只是輕微的情況,減少咬合接觸即可
38.下列何者不是唇裂手術可以達到的目標? (A)吸吮的功能 (B)鼻部畸形的修正 (C)上顎骨之發育 (D)口輪匝肌的功能
39.下列何種移植體有第一相骨生成(phase I osteogenesis)的特性? (A)xenografts (B)allografts (C)autografts (D)alloplastic grafts
40.下圖所示,當咽腭帆閉合時,箭頭所指為何?
(A)軟腭 (B)Passavant’s ridge (C)鼻咽部 (D)咽喉部
41.一學齡前兒童至口腔外科門診,經臨床及X光檢查發現下列臨床表徵:分岐懸壅垂(bifid uvula)、硬腭骨切迹(hard palate bony notch)、軟腭正中縫分隔(separation along the median raphe of the soft palate)。該病患之診斷為何? (A)黏膜下腭裂(submucous cleft palate) (B)不完全腭裂(incomplete cleft palate) (C)完全腭裂(complete cleft palate) (D)不完全唇裂及腭裂(incomplete cleft lip and cleft palate)
42.慢性肝炎患者有一殘根需要拔除,當其血小板至少低於多少(mm3)需要在術前輸血小板? (A)20000 (B)50000 (C)60000 (D)80000
43.成年人平均每公斤每小時的尿液排出量為多少毫升? (A)0.5 (B)1 (C)2 (D)3
44.健康人之缺氧現象的定義,是指血液中氧的飽和度(oxygen saturation)低於多少? (A)64 (B)74 (C)84 (D)94
45.下列何種藥物有中和 heparin 之效果? (A)warfarin (B)carbamazepine (C)protamine (D)diphenhydramine
46.牙醫師對患有氣喘的患者施行手術前,最好先詢問患者的內科醫師,是否應事先給予患者服用何 種藥物? (A)抗生素 (B)NSAID (C)類固醇 (D)nitroglycerin
47.病患因急性過敏反應(acute anaphylactic reaction)引發呼吸困難並伴隨哮鳴(wheezing),除 應確保氣道暢通及給予氧氣外,並應優先注射下列那種藥物? (A)Midazolam (B)Diphenhydramine (C)Epinephrine (D)Methylprednisolone
48.有關關節盤前位移合併不可復位(anterior disk displacement without reduction)之敘述,下列 何者正確? (A)在關節造影(arthrogram)和磁振造影(MRI)均可見到關節盤位移 (B)患者在進行張口運動時,極少見到下顎正中線偏移的現象 (C)患者於張口運動可聽到彈響(clicking) (D)關節盤的形狀為雙凹型(biconcave)
49.現今對於顳顎關節之退化性關節疾病(degenerative joint disease)形成之理論,下列那一個組 合是最有可能的?①直接之機械性傷害(direct mechanical trauma) ②缺氧再灌流之傷害 (hypoxia reperfusion injury) ③神經性發炎(neurogenic inflammation) (A)只有①② (B)只有①③ (C)只有②③ (D)①②③
50.有關顳顎關節之理學檢查敘述,下列何者錯誤? (A)終端感覺測試(end feel test)是請病患張口至最大,再施加壓力看是否張口度可再增加,意即 測量主動關節運動(active range of motion) (B)正常狀況下,張口度與側向運動範圍的比例約為 4:1,即張口度若為 40 mm則側向運動度約 為 10 mm (C)進行關節觸診時,宜請病患將下顎略往前突出(protrusive) (D)不可復性關節盤前移(anterior disc displacement without reduction)在張口檢查時,通常下 顎會偏向患側
51.一個說話表達清楚但已知領有精神障礙證明的成年患者,因為牙痛獨自來門診求診,下列處置那 一個比較妥當? (A)如果是慢性牙髓炎,就先給予患者牙髓腔開擴術(open chamber)治療 (B)如果是已動搖很大,無法救治的牙周病牙齒,就先拔除掉並解決患者疼痛 (C)如果是牙齒周圍膿瘍(abscess formation),就先給予切開引流手術治療 (D)如果沒有家屬在場,先給予非侵入性牙齒治療
52.此時應該繼續下列何項步驟來確認病患是否適合植牙?①詢問 病患是否有抽菸或糖尿病病史 ②拍攝缺牙區之根尖片,判斷骨密度 ③與病患討論可負擔之經 濟能力 ④缺牙區斷層掃描確認下齒槽神經之相關位置 (A)只有②④ (B)只有①②④ (C)只有①③④ (D)①②③④
53.承上題,第二階段植牙手術前後要照根尖片,其目的為:①檢查第一階段植體離下齒槽神經之距 離 ②檢查第一階段植體與齒槽骨之骨整合 ③檢查第二階段healing abutment的密合度 ④檢 查第一階段與第二階段植體的平行度 (A)①②④ (B)②③ (C)③④ (D)只有①④
54.1.下列何者是最有可能之診斷? (A)sialolithiasis (B)sialoadenitis (C)sialodochitis (D)tumor of gland
55.2.上述之疾病最有可能發生在下列那一個腺體? (A)腮腺 (B)舌下腺 (C)顎下腺 (D)艾勃納氏腺(Ebner’s gland)
56.3.下列那一種X光攝影術,是較佳之診斷工具? (A)環口X光片 (B)根尖片 (C)咬合片 (D)測顱X光片
57.下列何者是牙科X光與物質產生的最主要效應? (A)Coherent scattering (B)Photoelectric absorption (C)Compton scattering (D)Background scattering
58.牙科臨床使用之口內X光機,其輸出能量多介於那個範圍? (A)20~30 kVp (B)40~50 kVp (C)60~70 kVp (D)80~90 kVp
59.在X光管中,電子束來源為何? (A)陽極(anode) (B)陰極(cathode) (C)管壁 (D)聚焦杯(focusing cup)
60.游離與非游離輻射,如X光與可見光等均屬於電磁波,下列何者不是最重要的差別? (A)能量 (B)頻率 (C)波長 (D)密度
61.沖洗X光片的暗室中,安全燈光一般多採用那種顏色? (A)黃 (B)白 (C)紅 (D)綠
62.下列底片中何者溴化銀(AgBr)粒子最小? (A)A速片 (B)B速片 (C)D速片 (D)E速片
63.口外片拍攝與環口攝影,使用增感屏(intensifying screen)之目的為何? (A)增加曝光時間 (B)改善影像品質 (C)降低病人之放射線曝露量 (D)增加kVp
64.有關鼻唇皺摺(nasolabial fold)放射線影像之敘述,下列何者錯誤? (A)可用來區分上顎左右區 (B)遠心處較放射線不透性(radiopaque) (C)常見於青少年 (D)可能引起牙根斷裂之誤判
65.下圖中有何種牙齒相關的病變?
(A)Vertical root fracture (B)Horizontal root fracture (C)Dens evaginatus (D)Concussion of teeth
66.下圖上顎前牙區之X光影像呈現毛玻璃狀(ground glass appearance),最可能之X光診斷為:
(A)骨肉瘤(osteosarcoma) (B)多發性骨髓瘤(multiple myeloma) (C)纖維性發育不良(fibrous dysplasia) (D)骨硬化症(osteopetrosis)
67.上顎第一大臼齒根叉骨破壞(furcation involvement)常因腭根(palatal root)之重疊使影像不 清,但若出現下列何種特殊影像即可確認此病變? (A)正立的J形 (B)倒立的J形 (C)正立的A形 (D)倒立的A形
68.晚期(late stage)顎骨的柏哲德氏病(Paget's disease),其放射線影像表現呈現下列何種影 像? (A)洋蔥皮狀影像(onion-skin appearance) (B)陽光線狀影像(sun-ray appearance) (C)羊毛棉花狀影像(cotton-wool appearance) (D)多圓孔狀影像(multiple punched-out appearance)
69.齒源性黏液瘤(odontogenic myxoma)之最常見放射線影像表徵為何? (A)單房放射線透過性病變(unilocular radiolucent lesion) (B)多房放射線透過性病變(multilocular radiolucent lesion) (C)混合放射線透過性和不透過性病變(mixed radiolucent and radiopaque lesion) (D)放射線不透過性病變(radiopaque lesion)
70.下列何者不是傳統斷層攝影(conventional tomography)在口腔植體應用上的優點? (A)可評估頰舌面向(bucco-lingual dimension)之骨寬度 (B)配合適當軟體可以模擬植體置入情形 (C)可降低影像重疊(superimposition)情形 (D)骨小樑清晰可見
71.在放射線影像中若發現下顎骨的下齒槽神經管(inferior alveolar nerve canal)有往上移位的現象 時,最可能發生的病灶為何? (A)鱗狀細胞癌(squamous cell carcinoma) (B)纖維性發育不良(fibrous dysplasia) (C)根尖囊腫(radicular cyst) (D)多發性骨髓瘤(multiple myeloma)
72.關於地中海型貧血(thalassemia)患者顎骨放射線影像之敍述,下列何者錯誤? (A)骨髓空間(bone marrow spaces)通常變大 (B)上顎竇(maxillary sinus)可能變小 (C)齒槽骨板(lamina dura)厚度,通常不受影響 (D)上顎骨可能變大
73.下列何種醫療用X光,比較不易造成DNA雙股斷裂(double strand breakage)? (A)Low linear energy transfer (B)High linear energy transfer (C)Low relative biologic effectiveness (D)High relative biologic effectiveness
74.下列敘述何者錯誤? (A)輻射對生物的傷害可分為直接與間接兩種 (B)水可被輻射游離產生自由基來危害生物體 (C)確定效應(deterministic effect)屬於一種直接的傷害,並無閾值(threshold) (D)急性輻射傷害引起腦受損、昏迷、死亡的劑量須大於10 Sv
75.臨床上小朋友需要照根尖片時,若無法合作固定X光片,下列何種處置最適當? (A)牙醫師協助固定X光片 (B)牙醫助理協助固定X光片 (C)家長協助固定X光片 (D)放棄拍攝X光片
76.將為一名約診的牙周病患者拍攝全口14張根尖片及4張咬翼片,開始執行前,下列何者不是最必 要的說明? (A)仔細確認病人的身分 (B)解說拍攝流程及時間 (C)先向病人解釋其牙周病病情 (D)先說明可能會不舒服,需要他的配合和忍耐
77.為何種拍攝方式所產生? (A)Water's view (B)Occlusal view (C)Submental vertex view (D)Modified Town's view
78.承上題,圖中之X光影像(箭頭所示處)最可能之X光診斷為: (A)阻生牙 (B)顎下腺結石 (C)淋巴結鈣化 (D)靜脈結石
79. 之拍攝方式為何? (A)核磁共振(magnetic resonance imaging) (B)電腦斷層(computerized tomography) (C)同位素骨掃瞄(radioisotope bone scan) (D)超音波掃瞄(ultrasongraphy)
80.承上題,此影像所顯示右側腮腺(parotid gland)之病變,最可能之診斷為: (A)良性腫瘤 (B)黏液囊腫 (C)淋巴結鈣化 (D)唾液腺結石
申論題 (0)