阿摩線上測驗
登入
首頁
>
牙醫學(四)(包括口腔顎面外科學、牙科放射線學等科目及其相關臨床實例與醫學倫理)
> 104年 - 104-1 專技高考_牙醫師(二):牙醫學(四)(包括口腔顎面外科學、牙科放射線學等科目及其相關臨床實例與醫學倫理)#35900
104年 - 104-1 專技高考_牙醫師(二):牙醫學(四)(包括口腔顎面外科學、牙科放射線學等科目及其相關臨床實例與醫學倫理)#35900
科目:
牙醫學(四)(包括口腔顎面外科學、牙科放射線學等科目及其相關臨床實例與醫學倫理) |
年份:
104年 |
選擇題數:
80 |
申論題數:
0
試卷資訊
所屬科目:
牙醫學(四)(包括口腔顎面外科學、牙科放射線學等科目及其相關臨床實例與醫學倫理)
選擇題 (80)
1.傷口癒合過程中,那一個時期又被稱為延遲期(lag phase)? (A)inflammatory stage (B)fibroplastic stage (C)remodeling stage (D)proliferation stage
2.使用人工皮修補口內缺損,屬於那一種癒合方式? (A)healing by primary intention (B)healing by secondary intention (C)healing by tertiary intention (D)healing by quaternary intention
3.下列何種方式無法改善頭頸部術後傷口腫脹? (A)術前給予高劑量的類固醇,如 40mg Solu-Medrol,一次給予 (B)術中減少組織的傷害 (C)術後讓病人採取半斜臥位(semifowler's position) (D)術後第三天開始施打類固醇
4.下列敘述,何者最符合皮瓣設計(flap design)的原則? (A)使用包含大腭神經(greater palatine nerve)之腭皮瓣(palatal flap),皮瓣不會壞死 (B)假設皮瓣底部寬(width dimension)為x;皮瓣長度(height dimension)為y,理想的比例 是x=2y (C)假設皮瓣底部寬(width dimension)為x;皮瓣長度(height dimension)為y,理想的比 例是x=3y (D)有大動脈供給之皮瓣,皮瓣底部(base)的寬度仍需要大於其頂端(apex)
5.下列4張圖片是描述牙科局部麻醉注射時所使用的器材。在消毒結束後,依其使用步驟排列,正確次序為何?
(A)①→②→③→④ (B)②→③→①→④ (C)①→③→②→④ (D)④→②→③→①
6.以 lidocaine 局部麻醉時,會引起心跳停止的麻醉劑血中濃度最少為多少µg/ mL? (A)< 2 (B)2~5 (C)10 (D)20
7.使用2% lidocaine, 1:100,000 epinephrine於正常健康病患時,血管收縮劑之最大建議劑量 (MRD)是多少毫克? (A)0.02 (B)0.1 (C)0.2 (D)1.0
8.下列有關局部麻醉藥管的敘述,何者正確? (A)可以高壓消毒 (B)可以長時間泡酒精消毒 (C)注射時產生疼痛是因為偏酸性 (D)在寒冷室溫下,加溫會降低使用時的疼痛感
9.下列那顆牙拔除時要注射後上齒槽神經阻斷麻醉,及前腭神經阻斷麻醉(anterior palatine nerve block),還要外加中上齒槽神經麻醉? (A)上顎正中門牙 (B)上顎犬齒 (C)上顎第一大臼齒 (D)上顎第二大臼齒
10.下列那一種屬於長效性局部麻藥? (A)0.5% Bupivacaine with epinephrine 1:200,000 (B)2 % Lidocaine with epinephrine 1:100,000 (C)3 % Mepivacaine (D)4 % Prilocaine with epinephrine 1:200,000
11.當同時進行多顆牙齒的拔除時,下列順序何者錯誤? (A)犬齒最後拔 (B)第一大臼齒最先拔 (C)先拔上顎牙齒再拔下顎牙齒 (D)先拔後方牙齒再拔前方牙齒
12.下列何者,無法降低拔除下顎第三大臼齒後發生乾性齒槽之機率? (A)術前及術後使用chlorhexidine漱口 (B)術前給予預防性抗生素 (C)拔牙後使用大量生理食鹽水沖洗傷口 (D)在拔牙窩洞放置少量tetracycline
13.欲拔除的上顎第一大臼齒,X光片顯示其牙根與上顎竇相當接近,下列欲採用的策略中,何 者錯誤? (A)考慮使用手術方法拔除,翻開皮瓣以取得較好手術視野 (B)使用拔牙挺時,須避免有根尖方向的施力 (C)如欲分開牙根,使用chisel method比bur method還安全 (D)術後注意事項包括避免使用吸管及擤鼻涕
14.若阻生智齒拔除後三天腫脹仍持續增加,最有可能的原因是: (A)術後組織水腫 (B)術後細胞激素(cytokine)釋放所引發的正常發炎反應 (C)有殘留齒根或牙濾泡(dental follicle) (D)感染
15.要拔下顎智齒,需要麻醉那些神經? (A)下齒槽神經(inferior alveolar nerve)與舌神經(lingual nerve) (B)下齒槽神經(inferior alveolar nerve),下顎舌骨神經(mylohyoid nerve)與長頰神經 (long buccal nerve) (C)長頰神經(long buccal nerve)與下齒槽神經(inferior alveolar nerve) (D)下齒槽神經(inferior alveolar nerve),舌神經(lingual nerve)與長頰神經(long buccal nerve)
16.下列有關骨髓炎診療之敘述,何者正確? (A)約50%的骨髓炎給予靜脈抗生素注射就可以治癒 (B)絕大部分的骨髓炎治療都需要腐骨切除及碟狀手術的治療 (C)骨髓炎之診斷,只要靠臨床口腔檢查即可 (D)在尚未培養出是那些菌種之前,先使用對抗staphylococcal species的抗生素來治療
17.如圖,病人起初是下顎罹患齒源性感染,兩天之後其左側後顏面區出現腫脹,最有可能是侵 犯到那一個筋膜腔(fascial space)?
(A)Submandibular space (B)Lateral pharyngeal space (C)Pterygomandibular space (D)Submasseteric space
18.下列有關齒源性感染之菌叢的敘述何者錯誤? (A)在齒源性cellulitis時期,其特徵是由aerobic streptococcus所主導的感染 (B)在齒源性abscess formation時期,其特徵是由anaerobic菌叢所主導的感染 (C)由anaerobic gram-negative cocci所主導的感染是屬於opportunistic infection (D)在顏面較深層組織的感染,由於血液供應不良,容易由anaerobic菌叢主導感染
19.某口腔術後病患服用藥物3天後發生 colitis,你懷疑是抗生素引起,經查明用藥後決定改變處 方,最常見有此副作用的藥物為何? (A)metronidazole (B)azithromycin (C)tetracycline (D)clindamycin
20.17歲病患無其他病史,上顎犬齒區浮腫,經診斷為牙髓壞死併發膿腫。下列何種治療最為容 易控制病況? (A)切開引流並投予抗生素 (B)根管治療,內置藥物並行假封填,再投予抗生素 (C)根管治療,窩洞保持開放,同時切開引流 (D)根管治療,窩洞保持開放,並切開引流及投予抗生素
21.口腔內繫帶(frenum)若基底(base)較寬時,下列何種手術方式最適當? (A)Simple excision technique (B)Z-plasty technique (C)Localized vestibuloplasty with secondary epithelialization (D)Wide dissection
22.有關上顎竇增高術之敘述,下列何者錯誤? (A)不論骨頭剩餘多少,都可以側開窗法 (lateral window technique)進行上顎竇增高術 (B)抽菸會增加失敗率 (C)若補骨量較大,選擇osteotome technique會比側開窗法佳 (D)可使用自體骨或人工骨粉
23.於下顎無牙嵴萎縮後,必須做前庭成形術(vestibuloplasty)為贋復治療做準備時,下列敘 述何者錯誤? (A)下顎無牙嵴的前庭成形術只能做於頰側 (B)下顎無牙嵴的前庭成形術可能唇側(頰側)及舌側都必須做 (C)當下顎骨的高度只有0.6公分時,必須先做齒槽嵴增高術(alveolar ridge augmentation),幾個月後再做前庭成形術 (D)下顎無牙嵴的前庭成形術:同時移植自體皮膚(skin graft)或腭側黏膜(palatal mucosal graft)會有比較穩定的效果
24.下列有關人工植牙手術的敘述,何者錯誤? (A)人工牙根與自然牙根之間必須至少距離0.3毫米 (B)人工牙根與人工牙根之間必須至少距離3毫米 (C)在上顎後牙區不需要同時骨移植的單純情況下植牙,所需的骨整合(osseointegration)時 間至少要6個月 (D)在上顎前牙區不需要同時骨移植的單純情況下植牙,所需的骨整合(osseointegration)時 間至少要6個月
25.下列何部位的鱗狀細胞癌,整體治療的預後最好? (A)下唇 (B)頰部 (C)舌部 (D)牙齦
26.有關改良式廣泛性頸部淋巴廓清術(modified RND),下列何組織可不考慮是否保留? (A)副神經 (B)胸鎖乳突肌 (C)內頸靜脈 (D)外頸靜脈
27.治療多房性造釉細胞瘤(multilocular ameloblastoma)的手術原則是: (A)造袋術(marsupialization) (B)刮除術(curettage) (C)剜出術(enucleation)及刮除術(curettage) (D)顎骨部分切除術(partial resection of jaw bone)
28.顎骨腫瘤的手術治療方式大致分成:Enucleation with or without curettage;Marginal resection;Composite resection。下列那一項疾病最不適用Marginal resection? (A)Ameloblastoma (B)Compound odontoma (C)Odontogenic myxoma (D)Hemangioma
29.造袋術(marsupialization)常用來治療顎骨囊腫,但此一技術有下列那些缺點?①無法取得 全部病灶組織作病理學檢查 ②常需長期沖洗囊腔造成病患不便 ③手術困難度高 (A)只有① (B)①② (C)①③ (D)只有②
30.痣樣基底細胞癌症候群(nevoid basal cell carcinoma syndrome)最不可能有下列那一項症 狀? (A)肋骨分叉 (B)脊椎側彎 (C)眼距過小 (D)顎骨多個囊腫
31.下列顎骨囊腫中何者因有局部侵犯容易造成復發率高,所以治療時要以較積極之手術來治 療? (A)含牙囊腫(dentigerous cyst) (B)根尖囊腫(radicular cyst) (C)殘餘囊腫(residual cyst) (D)齒源性角化囊腫(odontogenic keratocyst)
32.關於正顎手術進行自體輸血(autologous transfusion),下列敘述何者錯誤? (A)至少應在 2 星期前採血以利血紅素再生 (B)採血量多時,最好間隔 7 天以上再取,最少也要 4 天以上 (C)採血後可適量補充鐵劑 325 mg,每天 3 次 (D)血紅素小於11 g/dL時不適合自體輸血
33.施行矢向劈裂骨切開術(sagittal split osteotomy),經由之軟組織切口一般是在: (A)顎下區(submandibular region) (B)耳前區(preauricular region) (C)口內由下顎枝前緣至後牙齒槽之舌側 (D)口內由下顎枝前緣至後牙齒槽之頰側
34.下顎兩側垂直骨截開術(mandibular bilateral vertical osteotomy)後之顎間固定(IMF)通 常需要多長的時間? (A)1~2周 (B)6~8周 (C)3個月 (D)1年
35.下列術式何者不能改變下顎骨的前後長度? (A)兩側矢向劈裂骨切開術(bilateral sagittal split osteotomy) (B)垂直截骨術(vertical osteotomy) (C)骨體截骨術(body osteotomy) (D)前下顎根尖下截骨術(anterior mandibular subapical osteotomy)
36.下列何種感覺神經纖維的大小(直徑)最大? (A)C fiber (B)B fiber (C)Aα fiber (D)Bα fiber
37.有關三叉神經痛的敘述,下列何者正確? (A)發作時間會超過十分鐘,疼痛是尖銳的 (B)引發區(trigger zone),在口腔內任何部位都有可能發生 (C)重壓比輕觸更容易引發三叉神經痛 (D)好發於 20~30 歲的年齡層
38.那一類疼痛有視覺障礙的先兆? (A)偏頭痛(migraine) (B)緊張性頭痛(tension-type headache) (C)叢發性頭痛(cluster headache) (D)顳顎關節疼痛
39.下列那一個大唾液腺每天分泌量最多? (A)腮腺 (B)舌下腺 (C)顎下腺 (D)唇腺
40.唾液腺結石最常見於下列那一腺體? (A)腮腺 (B)顎下腺 (C)舌下腺 (D)腭腺
41.下列那一條腦神經穿過腮腺實質部,在切除腫瘤時應將其剝離? (A)三叉神經 (B)顏面神經 (C)舌咽神經 (D)舌下神經
42. 下列那一種骨折可能會造成圖片中的咬合?
(A)左側髁突骨折 (B)LeFort Ι骨折 (C)右側下顎骨聯合處骨折 (D)左側下顎骨角骨折
43.有些腭裂病人在咽部後壁會有一肌肉形成的突起,以利發音,此構造稱為: (A)Passavant's ridge (B)Laskin's ridge (C)von Langenbeck's ridge (D)Wardrill's ridge
44.有關唇腭裂病人的手術時機,下列何者錯誤? (A)唇裂手術,越早越好,但以rule of 10為參考標準 (B)軟腭的裂腭手術,出生後8~18個月最好 (C)硬腭的手術,10歲以後再做較好 (D)齒槽裂補骨術,6~10歲最適當
45.門齒孔(incisive foramen)前方之解剖構造稱為: (A)硬腭(hard palate) (B)軟腭(soft palate) (C)原生腭(primary palate) (D)繼生腭(secondary palate)
46.有關甲狀腺亢進之敘述,下列何者錯誤? (A)女生多於男生 (B)會分泌過多的甲狀腺賀爾蒙 (C)會造成心室早發性收縮或心房震顫 (D)甲狀腺風暴時會出現血壓降低
47.下列那一項病史,不必擔心病人會正在使用抗凝血劑(Anticoagulants)? (A)高血壓 (B)正接受洗腎的病人 (C)做過心臟的人工瓣膜手術 (D)曾有急性心肌梗塞
48.心肌梗塞(myocardial infarction)的患者若要接受牙科手術,最好是在發作之後至少多久, 才可以接受手術? (A)三個月 (B)六個月 (C)九個月 (D)十二個月
49.一位曾有氣喘(asthma)病史的22歲年輕女性病人,因右下顎智齒蛀牙太深必須拔除,則下 列注意事項中,何者錯誤? (A)記得詢問病人是否也會對阿斯匹林(aspirin)過敏 (B)術後使用非類固醇抗炎藥物(NSAIDs)是相當安全的選擇 (C)詢問病人是否長期或正在服用類固醇藥物 (D)診間的急救藥箱內是否備有「epinephrine」和「theophylline」這些藥品
50.評估患者顳顎關節疼痛或功能異常的方式有許多,但其中最重要的方法是: (A)病史的詢問 (B)肌電圖檢查 (C)顳顎關節X光片檢查 (D)顳顎關節核磁共振檢查
51.下列關於顳顎關節部位攝影的敘述,何者錯誤? (A)穿顱式顳顎關節放射攝影(transcranial temporomandibular radiography)可提供評估下 顎髁頭 (B)顳顎關節造影術(TMJ arthrography)無法檢查出關節盤是否黏連或破裂 (C)顳顎關節造影術(TMJ arthrography)可間接觀測關節盤內之情況 (D)電腦斷層攝影對顳顎關節區硬組織的檢查是較好的選擇
52.有關骨關節炎(osteoarthritis)之敘述,下列何者錯誤? (A)也常發生在顳顎關節 (B)常發生晨起關節僵硬 (C)原發性骨關節炎好發年齡通常較繼發性骨關節炎晚,且症狀較不明顯 (D)在髁頭最常見的早期放射線影像證據為軟骨下硬化(subchondral bone sclerosis)
53.對於懷疑是HIV陽性的牙科病人,下列何種處置較符合牙科倫理學的原則? (A)為病人健康的緣故,應請病人確診是否真的被HIV所感染,優先治療AIDS (B)基於專業的考量,不論病人的身心狀況為何,只要病人來求診,牙科醫師有責任先為其提 供牙科治療 (C)對所有求診病人均應做好一般重要的基本防護,來提供牙科治療 (D)將病人轉診至醫學中心,令其接受較好的治療
54.兩個兄弟打球時撞在一起,導致正中門牙恆齒脫落(avulsion),哥哥12歲,弟弟6歲,將他 們的牙齒再植後,須做固定。(請依序回答下列3題) 1.下列敘述何者正確? (A)哥哥弟弟都固定7~10 天 (B)哥哥弟弟都固定3~4 週 (C)哥哥固定7~10 天,弟弟固定3~4 週 (D)哥哥固定3~4 週,弟弟固定7~10 天
55.2.在處置前,如果傷者的老師有打電話來,請教如何把牙齒保存,下列何者是最不好的建 議? (A)放在冷開水中 (B)放在口底 (C)放在牛奶中 (D)放在生理食鹽水
56.3.如果傷者之牙齒脫落已超過30分鐘,且其間未經過任何適當處置,則下列何種處理最為妥 適? (A)先用生理食鹽水泡30分鐘,再用ampicillin泡5分鐘 (B)先用Hanks balanced salt solution泡30分鐘,再用生理食鹽水泡5分鐘 (C)先用Hanks balanced salt solution泡30分鐘,再用doxycycline泡5分鐘 (D)先用冰牛奶泡30分鐘,再用doxycycline泡5分鐘
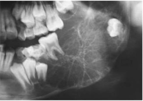
57.下列何種電磁波(electromagnetic radiation)能量最小? (A)Microwave (B)Infrared (C)X-ray (D)Ultraviolet
58.牙科X光機,目前均鼓勵使用較高之60~70 kVp與較厚1.5~2.5 mm之鋁片的新X光機,其主要 目的為何? (A)容易操作,不易失誤 (B)準確度增加,容易判讀 (C)減少不必要的輻射 (D)速度較快,影像品質好
59.根據The International Commission on Radiological Protection(ICRP)規定,牙醫師屬 non-classified worker,其年曝露劑量是classified worker的多少? (A)十分之一 (B)十分之三 (C)十分之五 (D)十分之七
60.X光管之焦距點(focal spot)的大小會對X光片的那一項產生影響? (A)黑白度(density) (B)對比(contrast) (C)準確度(definition) (D)變形(distortion)
61.有關牙科放射線攝影時感染防治的敘述,下列何者正確? (A)照射時不會造成交叉感染 (B)照射時是利用X光底片,醫師並不直接碰觸病人,因此直接感染的機會很低 (C)牙科X光機並不直接碰觸病人,但可經由X光機得到交叉感染 (D)牙科診所中僅有牙科醫師較需要注意感染問題
62.側顱放射線攝影(lateral cephalometric radiography),以下?何者為基準考線? (A)Mandibular plane (B)Occlusal plane (C)Frankfort plane (D)Curve of Monson
63.為了補償curve of Monson,在照射臼齒區的咬翼片(bitewing film)時,通常將中心射線 (central beam)的垂直角度(vertical angulation)做什麼樣的調整? (A)15°~18° 向上 (B)5°~8° 向上 (C)15°~18° 向下 (D)5°~8° 向下
64.下圖中,各部位名稱何者錯誤?
(A)A:mastoid air cells (B)B:sella turcica (C)C:nasal bone (D)D:hyoid bone
65.關於門齒孔(incisive foramen)在X光片判讀之敘述,下列何者錯誤? (A)門齒孔會投射於兩側正中門牙間,約位於牙根長度中間或根尖三分之一位置處 (B)它的形狀會隨個體間的差異及照射角度不同而不同 (C)門齒孔直徑如果超過0.6公分,則懷疑可能產生囊腫 (D)它延伸鼻腭管的兩側壁一定會顯現在X光片上
66. 下列何者為附圖中黃圈區域所指的解剖構造?
(A)門齒孔(incisive foramen) (B)鼻腭管(nasopalatine canal) (C)鼻淚管(nasolacrimal canal) (D)上顎竇緣(border of maxillary sinus)
67.下列何者不是臨床上用來偵測齲齒之工具或方法? (A)Bitewing x-ray films (B)Fiberoptic transillumination (C)Diagnodent laser light (D)Extracellular matrix measurement
68.下圖紅色箭頭指示處之牙齒病變,其最可能之診斷為何?
(A)Dilaceration of root (B)Fusion of root (C)Concrescence of root (D)Fracture of root
69. 20歲男性有先天缺牙,口腔檢查只見3顆恆牙,患者因為缺乏口水,口腔非常乾燥,並且有少毛症(hypotrichosis)和少汗症 (hypohidrosis),則患者最可能的診斷為何?
(A)Ectodermal dysplasia (B)Cleidocranial dysostosis (C)Crouzon syndrome (D)Osteogenesis imperfecta
70.一名20歲女孩因美觀問題求診,她的前牙已嚴重磨耗,後牙的根尖片如圖。除了她之外,她的母親和妹妹 也都有類似情形。她們可能罹患下列何種疾病?
(A)amelogenesis imperfecta (B)dentinogenesis imperfecta (C)dentin dysplasia (D)odontogenesis imperfecta
71.下列何種疾病,其疾病中期顎骨X光影像,較常呈現毛玻璃狀(ground glass appearance),病變周圍界線不清楚,且較好犯於年輕患者之上顎骨? (A)增生性骨膜炎(proliferative periostitis) (B)纖維性發育不良(fibrous dysplasia) (C)骨之柏哲德氏病(Paget's disease of bone) (D)齒瘤(odontoma)
72. 下圖X光片中沿著左下顎齒槽神經管往前下走,在下顎骨體處可見一梭形膨大之放射線透過 性(radiolucent)影像,其臨床診斷最有可能為下列何者?
(A)Peripheral hemangioma (B)Central neurofibroma (C)Residual cyst (D)Central mucoepidermoid carcinoma
73.下列何種齒源性病變,其顎骨X光影像,最不可能呈現放射線透過性及放射線不透過性混合 病變(radiolucent and radiopaque mixed lesion)? (A)戈林囊腫(Gorlin cyst) (B)腺瘤樣齒源性瘤(adenomatoid odontogenic tumor) (C)平伯氏腫瘤(Pindborg tumor) (D)造釉細胞纖維瘤(ameloblastic fibroma)
74.顎骨中纖維肉瘤(fibrosarcoma)之放射線影像,最常呈現為下列何者? (A)界線清楚之放射線透過性病變(radiolucent lesion) (B)界線不清楚之放射線透過性病變(radiolucent lesion) (C)混合放射線透過性和不透過性病變(mixed radiolucent and radiopaque lesion) (D)放射線不透過性病變(radiopaque lesion)
75.下列何者的牙齒其放射線影像似鬼影(ghost-like appearance)? (A)dentinal dysplasia (B)regional odontodysplasia (C)dentinogenesis imperfecta (D)amelogenesis imperfecta
76.下列有關數位影像之敘述何者錯誤? (A)對比解析度(contrast resolution)是指分辨影像不同密度(density)的能力 (B)空間解析度(spatial resolution)是指分辨影像精細度(fine detail)的能力 (C)在良好的視覺情況下,人類眼睛約可分辨500種灰階(gray levels) (D)曝光寬容度(latitude)是指影像接收器(image receptor)所能分辨的放射線劑量範圍
77.下列有關stochastic effect之敘述,何者錯誤? (A)與癌症基因突變有關 (B)沒有threshold dose (C)對DNA產生sublethal damage (D)其所需的放射線劑量較deterministic effect高
78. 推測此病患年齡約為幾歲? (A)5~7歲 (B)8~10歲 (C)11~13歲 (D)14~16歲
【題組】
79.承上題,此患者X光片病灶特徵之描述,下列何者錯誤?
(A)病灶的X光分類屬於radiolucent and radiopaque mixed lesion (B)病灶位於左下顎後牙及上升枝,如網球拍狀(tennis racket-like)影像 (C)左下顎第二大臼齒被移位 (D)病灶區的 external oblique ridge及下顎骨板(cortical border)變薄,且上下擴張
【題組】
80.承上題,病人接受切片檢查過程中,發現檢體如左下圖呈現果凍狀,病理檢查結果如右下圖,則正確的診 斷應為:
(A)Odontogenic keratocyst (B)Odontogenic myxoma (C)Ameloblastoma (D)Pindborg tumor
申論題 (0)