阿摩線上測驗
登入
首頁
>
醫學四:80題 ( 包括小兒科,皮膚科,神經科,精神科等科目及其相關臨床實例與醫學倫理 )
> 104年 - 104-1 專技高考_醫師(二):醫學(四)(包括小兒科、皮膚科、神經科、精神科等科目及其相關臨床實例與醫學倫理)#36362
104年 - 104-1 專技高考_醫師(二):醫學(四)(包括小兒科、皮膚科、神經科、精神科等科目及其相關臨床實例與醫學倫理)#36362
科目:
醫學四:80題 ( 包括小兒科,皮膚科,神經科,精神科等科目及其相關臨床實例與醫學倫理 ) |
年份:
104年 |
選擇題數:
80 |
申論題數:
0
試卷資訊
所屬科目:
醫學四:80題 ( 包括小兒科,皮膚科,神經科,精神科等科目及其相關臨床實例與醫學倫理 )
選擇題 (80)
1 一位 6 週大之足月嬰兒因漸進式的咳嗽、呼吸喘快和略微發紺而就診,他的體溫正常、聽診發現雙 側囉音,X 光呈現過度充氣(hyperinflation)及微量的間質浸潤,而血液檢查則有嗜伊紅球上升 (eosinophilia)現象;此嬰兒之治療應包含下列何者? (A) clindamycin 投予 7 天 (B) erythromycin 投予 14 天 (C) ampicillin 投予 14 天 (D) ampicillin 與 gentamicin 投予 7 天
2 一位 1 歲 6 個月大的孩子,於 11 個月大時因為得到川崎病(Kawasaki disease)接受高劑量靜脈注射 免疫球蛋白治療。目前下列那一種疫苗不宜接種,以免影響此疫苗效果? (A)流感疫苗 (B)日本腦炎疫苗 (C)麻疹、腮腺炎、德國麻疹(MMR)三合一疫苗 (D)白喉、百日咳、破傷風、b 型嗜血桿菌、小兒麻痺五合一疫苗
3 一位 18 歲男孩,患有腎病症候群,雙手掌心被發現有 discoid-like 的皮疹並有脫皮如下圖,腎臟切片 檢查結果為 membranous nephropathy,下列那一項感染是最可能的診斷?
(A) B 型肝炎(hepatitis B) (B)巨細胞病毒(cytomegalovirus)感染 (C)鉤端螺旋體症(Leptospirosis) (D)梅毒(syphilis)
4 有關性染色體(sex chromosome)異常疾病,下列敘述或處置何者最不正確? (A)性染色體比體染色體數目異常疾病有更多 mosaicism 的情況 (B)多一個性染色體如:47,XXY 身材較高,而少一個如:45,X 較矮小 (C)核型 45,X/46,XY 患者 50%以上呈現性別難辨(ambiguous genitalia) (D)透納氏症(Turner syndrome)若含有 Y 染色體物質應注意 gonadoblastoma 的發生
5 一位 5 歲大的男孩被發現有持續 2 週的右側腋窩淋巴腺腫脹,腫脹的淋巴腺只有輕微壓痛,且無明 顯發燒病史。病患的右手臂上有被抓傷的痕跡,病患無結核病家族史或接觸史,皮膚結核菌素測驗 為陰性反應。此童的淋巴腺病理切片以那一種染色方法,最有可能看到病原體? (A)抗酸性染色法(acid-fast stain) (B)格蘭氏染色法(Gram stain) (C)印度墨汁染色法(India ink) (D) Warthin-Starry stain
6 一位 6 個月大的嬰兒尚未長牙,出生以來都以純母乳哺餵,體重正常,對於此嬰兒照護的最好建議, 母親要: (A)繼續哺餵母乳,但應開始添加副食品 (B)繼續哺餵母乳,但應給嬰兒補充鈣片 (C)開始斷母乳改以配方奶餵食,並添加副食品 (D)儘量改以稀飯、菜泥餵食為主,奶類為輔
7 一位懷孕 27 週女性,G2P2,分娩女嬰一名,女嬰剛出生時呼吸微弱不規則,沒有心跳,全身與四肢 膚色藍紫。依 Apgar score,此女嬰於膚色之分項應得幾分? (A) 0 (B) 1 (C) 2 (D) 3
8 一位足月男嬰出生時很順利,但是第三天大時開始出現黃疸,下列那一項最不可能是此嬰兒的黃疸 原因? (A)生理性黃疸 (B) Rh 血型不合 (C)哺育母乳黃疸 (D)泌尿道感染
9 剛出生新生兒就有一顆下門牙,下列敘述何者錯誤? (A)會咬傷母親乳頭 (B)會造成新生兒舌頭磨損 (C)有家族史,常見於下顎骨處 (D)一定要拔掉
10 一位 5 歲大女生,出現腹水有 1~2 個月的時間,最後診斷為 Budd-Chiari syndrome,其最可能是由 下列那條血管阻塞造成? (A)肝靜脈 (B)肝動脈 (C)肝門靜脈 (D)上腔靜脈
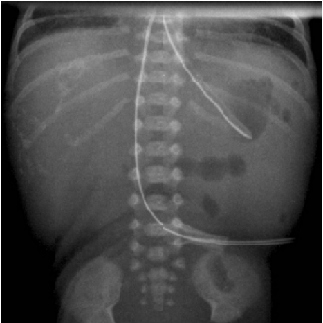
11 剛出生的新生兒被發現有腹脹,餵奶後有嘔吐,腹部 X 光如下圖,最可能是下列何種疾病?
(A) acute appendicitis (B) meconium peritonitis (C) pneumoperitonium (D) Meckel’s diverticulum
12 特定遺傳疾病常以胎兒期超音波頸部透明帶(nuchal translucency)變厚與兒童期蹼狀頸(web neck)為 特徵,其中何者最不可能? (A) Cornelia de Lange syndrome (B) Down syndrome (C) Noonan syndrome (D) Turner syndrome
13 一位 10 歲男童主訴皮膚癢,黃疸,且 2 小時前發生吐血。他在嬰兒時因膽道閉鎖而做了 Kasai operation, 身體診察顯示其肝脾腫大,且腹部上有顯著之側枝循環。糞便呈黑色,潛血反應呈強陽性。下列何 者最可能造成吐血的原因? (A)胃潰瘍 (B)流鼻血 (C)十二指腸潰瘍 (D)食道靜脈瘤破裂
14 一位 5 歲男童有生長遲緩(growth failure),血液檢查顯示血中白血球數為 9,600/mm
3
,中性球 45%, 淋巴球 48%,單核球 7%;血色素(hemoglobin)值為 11.6 g/dL;血小板數為 360,000/mm
3
;血中鉀 離子濃度為 2.1 mmol/L,鈉離子濃度為 135 mmol/L,血中氯離子濃度為 101 mmol/L,血中pH 7.41,碳 酸根(HCO3 - )離子濃度為 33.2 mmol/L,血中鎂離子濃度正常。請問下列何者為最有可能之診斷? (A) Bartter 氏症候群(Bartter syndrome) (B) Gitelman 氏症候群(Gitelman syndrome) (C) Fanconi 症候群(Fanconi syndrome) (D)亞伯氏症候群(Alport syndrome)
15 有關紫斑性腎炎(Henoch-Schönlein purpura nephritis)的描述,下列何者錯誤? (A)過敏性紫斑症的病童中有部分患者會出現血尿、蛋白尿 (B)過敏性紫斑症的病童中大部分會變成慢性腎炎 (C)紫斑性腎炎最常發生在過敏性紫斑症發病後 3 個月內 (D)紫斑性腎炎若以單純的微觀性血尿(isolated microscopic hematuria)表現者,其預後最好
16 一位 14 歲男童一星期前在學校尿液篩檢發現有蛋白尿。在醫院之尿液常規檢查發現 protein: >300 mg/dL;WBC 0~2/HPF;RBC 0~2/HPF。3 天前之 24 小時尿液分析結果 protein:0.85 g/24 hr。 但據男童之母親描述,過去 3 日男童起床後之第一泡尿液以驗尿試紙檢測均為陰性反應。已排除驗 尿試紙偽陰性反應。下列何者為最可能之診斷? (A)姿態性蛋白尿(postural proteinuria) (B)腎絲球性蛋白尿(glomerular proteinuria) (C)腎小管性蛋白尿(tubular proteinuria) (D)腎病症候群(nephrotic syndrome)
17 針對治療新生兒缺血缺氧腦病變(hypoxic-ischemic encephalopathy)的描述,下列何者錯誤? (A)降低體溫是保護腦部及減少腦傷的一種可行性治療方法 (B)靜脈注射 phenobarbital 是抑制抽搐(seizure)發生的第一線治療藥物 (C)需注意低血糖及低血鈣之發生 (D)心臟等其他器官的受損情況不會影響治療之預後
18 一位滿 1 歲大的女孩被帶至門診作健康檢查,祖母擔心她的發展比較慢。下列何種狀況需轉介作進 一步的發展評估? (A)不會扶著嬰兒床欄杆站起來 (B)不會疊四塊積木 (C)問她身體部位,不會用手比 (D)不會說「不」
19 關於 Gower’s sign 的敘述,下列何者正確? (A) Gower’s sign 是診斷 Duchenne muscular dystrophy 的必要條件 (B)它發生在 1 歲前,至 3 歲才完全明顯 (C)有此症狀的病童一定站不起來 (D)它是一種下肢 proximal muscle weakness 的臨床表現
20 關於甲狀腺機能亢進(hyperthyroidism)之敘述,下列何者錯誤? (A)情緒障礙(emotional disturbance)為常出現的臨床徵狀 (B)脈搏壓(pulse pressure)增加 (C)血清甲狀腺素(thyroxine)值高於正常 (D)血清甲狀腺刺激素(TSH)值正常
21 下列何者不是 17-羥酶缺乏(17-hydroxylase deficiency)所導致先天性腎上腺增生(congenital adrenal hyperplasia)的臨床表徵? (A)罹患此症之女童會有性別難辨(ambiguous genitalia) (B)高血壓 (C)血漿腎素活性(plasma renin activity)低 (D)低血鉀(hypokalemia)
22 一位 20 天大女嬰,因新生兒篩檢 TSH 值為 30 μU/mL 而就診,下列那一項檢查對確診的助益最少? (A)血清T
4
值 (B)血清free T
4
值 (C)血清T
3
值 (D)血清甲狀腺球蛋白值
23 一位 2 天大嬰兒因性別難辨(ambiguous genitalia)而就診,其外生殖器外觀如下圖,外陰結節 (phallus)長 2.4 公分,未摸到性腺(gonad)。下列那一項檢查對診斷之確定,最沒有幫助?
(A)血清睪固酮(testosterone)值 (B)血清雌二醇(estradiol)值 (C)染色體檢查 (D)骨盆腔超音波檢查
24 下列何項肺功能值可用來作為評估與監測氣喘嚴重度的指標? (A)肺總容量(total lung capacity) (B)肺活量(vital capacity) (C)尖峰呼氣流速(peak expiratory flow) (D)肺殘餘容積(residual volume)
25 一位 4 歲女童在 3 週前相當健康,最近 3 週每天傍晚發高燒超過 39.5°C,兩次高燒間體溫會恢復正 常,活力不受影響;但高燒時女童會有倦怠感,情緒不穩,早晨關節有僵直感,軀幹出現淡紅色皮 疹且手部關節和膝關節有腫脹的現象,最有可能診斷是下列何種疾病? (A)幼年型類風濕性關節炎(juvenile idiopathic arthritis) (B)風濕熱(rheumatic fever) (C)登革熱(dengue fever) (D)全身性紅斑性狼瘡(systemic lupus erythematosus)
26 一位 4 個月大,體重 4 公斤的男嬰,因為反覆抽搐(seizure)及低血鈣症,住進醫院的加護病房。自 從出生後,他就常拉肚子,並有反覆且難以治癒的念珠菌(Candida)感染。身體診察發現左胸骨下 緣有第三度心雜音,您認為最可能的診斷為何? (A) DiGeorge syndrome (B) Wiskott-Aldrich syndrome (C) X-linked agammaglobulinemia (D) common variable immunodeficiency
27 下列血液凝固路徑(hemostatic pathway)中的成分因子,何者不具有抗血液凝固(anticoagulation) 的作用? (A) tissue factor(TF) (B) protein C (C) protein S (D) antithrombin III
28 有關 Hodgkin lymphoma 的致病原因,下列之病毒何者最無關? (A) Epstein-Barr virus(EBV) (B) cytomegalovirus(CMV) (C) parvovirus B19 (D) human herpesvirus 6
29 一位一向在健康檢查時,血液常規檢查都未發現異常的媽媽(某一次結果為 Hb: 13.5g/dL, MCV: 85 fL, MCH: 27 pg),卻發現她 5 歲的女兒被診斷為血色素 H 疾病(Hb H disease)。下列的那一個血色素 基因形式最可能是媽媽的? (A)ß
0
/A (B)-α/-α (C)-α/αα (D)- -/αα
30 一位 9 歲女孩主訴常有心悸;2 年前曾因靜脈竇(sinus venosus)型的心房中隔缺損接受外科手術。 心電圖如下圖。下列何者為最可能的診斷?
(A)心房顫動(atrial fibrillation) (B)心房撲動(atrial flutter) (C)房室間迴旋頻脈(AVRT) (D)房室結迴旋頻脈(AVNRT)
31 使用毛地黃(digoxin)藥物時,下列何者較少會加重毛地黃的毒性? (A)高血鈣(hypercalcemia) (B)高血鉀(hyperkalemia) (C)心肌炎 (D)腎功能差
32 下列何種心臟病於身體診察時,比較不會有下肢脈搏微弱的現象? (A)主動脈弓窄縮(coarctation) (B)主動脈弓中斷(interrupted aortic arch) (C)主動脈與肺動脈窗(aorticopulmonary window defect) (D)左心發育不全症(hypoplastic left heart syndrome)
33 一位 3 歲女童因嘔吐、意識不清與抽搐等急性腦病變(acute encephalopathy)的症狀送到急診室,檢 查發現有代謝性酸血症(metabolic acidosis)合併低血糖、肝功能異常及血氨數值偏高(大約正常最 高值三倍),她的服藥病史不明,下列疾病或狀態何者最不可能? (A)感冒並服用 aspirin (B)中鏈脂肪酸氧化異常(medium-chain fatty acid oxidation defect) (C)鳥胺酸氨甲醯基轉移酶缺乏(ornithine transcarbamylase deficiency) (D)原發性全身肉鹼缺乏症(primary systemic carnitine deficiency)
34 一位 25 歲男性,嘴唇出現如圖一之症狀,病理切片如圖二,請問該患者最適合的診斷為:
(A) leukoplakia (B) lichen planus (C) candidiasis (D) psoriasis
35 一位 38 歲男性,反覆於兩側手掌及足底出現如下圖會癢之皮膚病變;顯微鏡檢查未發現黴菌,細菌 培養為無菌,病理檢查顯示為濕疹性發炎;患者最可能的診斷是什麼?
(A)足癬 (B)汗疱疹 (C)掌蹠膿疱症 (D)二期梅毒
36 下列何者不是乾癬(psoriasis)常用的治療方法? (A)外用維生素D
3
及其衍生物 (B)外用皮質類固醇藥劑 (C)紫外線光照治療 (D)口服皮質類固醇藥劑
37 一位 2 歲女孩,近 2 個月於左上肩出現如下圖之皮膚病變,可擠出硬質性白色內容物,患者最可能 的診斷是什麼?
(A)扁平疣(flat warts) (B)粟丘疹(milium) (C)傳染性軟疣(molluscum contagiosum) (D)汗管瘤(syringoma)
38 一位 20 歲的男性病人主訴近幾年一到夏天身上都會出現紅色與棕色皮疹。理學檢查發現,患者的前 胸與背部有許多粉紅色的圓形扁平脫屑皮疹,有些甚至融合在一起。KOH 鏡檢結果如下圖,則此病 人最可能罹患何種疾病?
(A)玫瑰糠疹(pityriasis rosea) (B)白色糠疹(pityriasis alba) (C)變色糠疹(pityriasis versicolor) (D)白斑(vitiligo)
39 一位 70 歲男性,從 2 天前左小腿出現疼痛的皮膚病變如下圖,病灶摸起來較熱,且有壓痛感。患者 左側腹股溝淋巴結也會腫痛。最可能的診斷為:
(A)缺脂性濕疹(asteatotic eczema) (B)蜂窩性組織炎(cellulitis) (C)萊姆病(Lyme disease) (D)帶狀疱疹(herpes zoster)
40 一位 70 歲老翁主訴會陰部奇癢無比,顯微鏡下檢查發現如下圖,這是何種感染?
(A)陰蝨 (B)體蝨 (C)疥瘡 (D)塵蟎
41 一位 81 歲男性病患,右臉頰有一黑色潰瘍的腫瘤如圖 A,已 2 年之久,皮膚病理檢查發現腫瘤由表 皮向下延伸如圖 B,請問診斷為何?
(A)惡性黑色素細胞瘤(malignant melanoma) (B)日光性角化症(actinic keratosis) (C)鱗狀細胞癌(squamous cell carcinoma squamous cell carcinoma) (D)基底細胞癌(basal cell carcinoma basal cell carcinoma)
42 一位年輕女性全身長滿如下圖的病灶,眼科醫師也發現虹膜結節(Lisch nodules),下列敘述何者錯誤?
(A)這是一種性聯遺傳性疾病 (B)常伴隨骨骼的異常 (C)可能會合併有中樞神經的腫瘤發生 (D)此病根據臨床表現就可以診斷,不一定要切片檢查
43 一位 50 歲女性,在頸部與腋下出現皮膚粗糙與色素增加如下圖,下列何者與其成因無關?
(A) insulin-resistant diabetes mellitus (B) obesity (C) nicotinic acid high dose ingestion (D) anemia
44 下列敘述何者不是 Darier disease 的特色? (A)好發於 seborrheic area,如頭皮、臉、上身等處 (B)是一種 autosomal dominant 的遺傳 (C)病灶呈棕色斑塊或丘疹 (D)和內分泌異常(如糖尿病)有關
45 一位 20 歲女性,在網路上購買了一瓶有去角質功能的乳液,宣稱每日塗抹於臉部,可達到美白與讓 皮膚光滑的效果,下列對角質層的敘述,何者錯誤? (A)角質層位於皮膚的最外層,正常皮膚有自然脫落的機制 (B)角質層的細胞沒有細胞核 (C)角質層已不具功能,清除角質可美化皮膚 (D)角質層細胞間隙含保溼的成分
46 下列何者在急性中風時最易發生癲癇? (A)額葉部腦出血(frontal lobe hemorrhage) (B)視丘腦出血(thalamic hemorrhage) (C)上矢靜脈竇栓塞(superior sagittal sinus thrombosis) (D)中大腦動脈梗塞(middle cerebral artery infarction)
47 一位 35 歲健康女性,最近一星期牙疼、發燒,早上起床時,頭痛、嘔吐,突然出現複視、右眼結膜 水腫和突出,下列敘述何者錯誤? (A)儘快安排腦部核磁共振造影檢查 (B)積極抗生素治療 (C)不宜使用抗凝血劑治療 (D)有併發腦出血之可能
48 一位 35 歲健康女性,晚上運動時,突然發生失語症,右側肢體無力,其最不可能的診斷為: (A)腦澱粉樣血管病(cerebral amyloid angiopathy) (B)內頸動脈剝離 (C)高安氏動脈炎(Takayasu’s arteritis) (D)動靜脈血管畸形
49 最常見的偏頭痛預兆是: (A)感覺異常 (B)視覺症狀 (C)半側偏癱 (D)語言障礙
50 一位 9 歲神經學檢查均正常的男孩,求診時之主訴為偶爾在睡覺時有癲癇大發作(grand mal seizure),白 天時亦偶有半邊臉或手腳抽搐之現象。下列敘述何者錯誤? (A)抗癲癇藥物(antiepileptic drugs)治療效果及預後均佳,青春期後漸痊癒 (B)部分病人與染色體 15q14 有關 (C)半邊大腦切除術(hemispherectomy)是最常用來治療此症的外科治療方法 (D)中央及中顳葉區棘波(central and midtemporal spikes)為其特徵性之腦電圖(EEG)表現
51 一位 3 歲男孩,就醫時發現右臉及右手腳每隔 1 秒鐘就有一次抽動的現象,神智仍保持清醒,但神 經學檢查發現右手腳已呈癱瘓,這種情形已經持續 1 個月以上。下列敘述何者錯誤? (A)最可能的診斷是 Rasmussen encephalitis (B)局部性發作重積狀態(epilepsia partialis continua)為其特徵性之臨床表現 (C)大腦核磁共振造影檢查(MRI)呈現左大腦半球萎縮現象 (D)病理切片特徵為無數大小不一的空洞,即為海綿狀腦病變(spongiform encephalopathy)
52 目前所知,阿茲海默症(Alzheimer disease)成因的危險因子與下列何者最為相關? (A)年齡老化(aging) (B)心血管危險因子,如高血壓(hypertension) (C)低教育程度(low education) (D)頭部外傷(head injury)
53 最有可能的臨床診斷是: (A)亨丁頓舞蹈症(Huntington chorea) (B)席登罕氏舞蹈症(Sydenham chorea) (C)中風性半邊舞蹈症 (D)高甲狀腺亢進舞蹈症
54 承上題,最有診斷價值的檢查是: (A)腦部核磁共振造影(magnetic resonance imaging) (B)腦波檢查(electroencephalography) (C)抗鏈球菌溶血素 O 抗體(anti-streptolysine O, ASLO) (D)腦脊髓液(cerebrospinal fluid)
55 陳同學是 25 歲博士班研究生,因通過資格考試而與同學去聚餐慶祝,隔天早上起床發現手腳無力, 但無感覺異常,也無吞嚥困難或口齒不清的狀況,且神智清楚,而被送至急診求助,有關陳同學之 病情,下列敘述何者錯誤? (A)可能出現低血鉀 (B)肌腱反射低下 (C)有複視現象 (D)有家族遺傳傾向
56 一位 24 歲男性因車禍突然出現右側下肢無力及左側下肢感覺異常,經送醫檢查發現右下肢肌力下降、 左下肢對冷熱疼痛感覺下降並延伸至同側肚臍處,合併雙下肢深部肌腱反射異常增強及出現 Babinski 反射,患者最可能之神經解剖病灶為何? (A)右側延腦 (B)左側大腦 (C)右側胸椎脊髓 (D)左側胸椎脊髓
57 有關肌失養症(muscular dystrophy)的敘述,下列何者錯誤? (A)是一種遺傳疾病 (B)主要是侵犯肢體肌肉,但有時可侵犯顏面肌肉 (C) CPK 值有可能升高 (D)使用 testosterone 有療效
58 一位 24 歲女性於 7 天前出現雙下肢無力和麻痛,3 天後變得完全無法走路同時出現尿滯留的現象。 在過去病史方面,患者於 5 年前曾有左眼視力突然喪失,眼科醫師診斷為視神經炎,而視力於 2 至 3 個月後幾乎完全恢復。另外,在 2 年前患者也曾出現複視和右側肢體偏癱的現象,而此症狀也在 2 個月幾乎完全復原。根據以上之敘述,下列何者是此患者最可能之診斷? (A)多發性硬化症(multiple sclerosis) (B)慢性脫髓鞘多發性神經炎(chronic inflammatory demyelinating polyneuropathy) (C)神經性梅毒(neurosyphilis) (D)維他命B12缺乏之神經系統併發症
59 有關視神經脊髓炎(neuromyelitis optica, NMO)和多發性硬化症(multiple sclerosis, MS)的比較, 下列敘述何者錯誤? (A) NMO 對於脊髓的侵犯通常都大於 3 節 (B) NMO 之患者較容易出現 NMO-IgG 或 aquaporin-4 抗體 (C) NMO 之患者急性復發時須使用靜脈注射大劑量的 methylprednisolone (D) β 干擾素(interferon-β)和 glatiramer acetate 可以有效的預防 NMO 復發,其效果比預防 MS 復發 更好
60 軀幹及肢體皮膚呈現 café-au-lait 斑點,是下列何種疾病的特徵? (A) neurofibromatosis (B) Addison disease (C) Sturge-Weber disease (D) von Hippel-Lindau disease
61 關於雙極性疾患(bipolar disorder)治療藥物之敘述,下列何者錯誤? (A) lithium 在懷孕婦女身上所造成畸胎性,最常見 Ebstein 氏三尖瓣膜異常症(Ebstein's anomaly) (B) valproate 在懷孕婦女身上所造成的畸胎性,最常見為膽道閉鎖(biliary atresia) (C) lamotrigine 可能引起毒性表皮壞死溶解症(toxic epidermal necrolysis) (D) carbamazepine 可能會引起史帝芬強生症候群(Stevens-Johnson syndrome)
62 有關躁症發作(manic episode)在 DSM-IV-TR 的診斷準則(criteria)之敘述,下列何者錯誤? (A)膨脹的自尊心或自大狂 (B)睡眠需求減少 (C)持續時間必須至少 3 天 (D)比平時多話或不能克制地說個不停
63 有關敵意(hostility)以及冠狀動脈心臟病的敘述,下列何者錯誤? (A)依行為模式理論,A 型行為(type A behavior)代表了易怒、不耐煩、急性子,與心肌梗塞和冠狀 動脈心臟病的發生率相關 (B)敵意是 A 型行為的核心成分 (C)敵意會促進副交感神經的功能 (D)對心肌梗塞的病人進行團體心理治療以改善其 A 型行為,可以有效地降低死亡率及再梗塞率
64 心身醫學(psychosomatic medicine)的壓力理論(stress theory),下列何者錯誤? (A)壓力可能造成神經傳導物質的失調 (B)壓力可能造成內分泌或免疫力的失調 (C)生活事件的因應與壓力的調適有關 (D)一般人認為的正向生活事件,例如陞遷、得獎等,不致於產生壓力
65 精神狀態檢查中有關衝動(impulsivity)評估,下列何者錯誤? (A)衝動評估包含了對性衝動、攻擊衝動,以及其他衝動的控制能力 (B)人格疾患不會有衝動控制不佳的症狀 (C)衝動評估必須確認病人有社會化適切行為(socially approriate behavior)的覺察能力 (D)衝動評估是評估病人對自己與他人所造成的潛在危險 代號:2102 頁次:12-11
66 下列關於血清素症候群(serotonin syndrome)的臨床表現,何者錯誤? (A)體溫升高 (B)譫妄 (C)便秘 (D)盜汗
67 關於廣泛性焦慮症(generalized anxiety disorder)的敘述,下列何者正確? (A)同時合併重度憂鬱症的個案占非常少數 (B)通常在成年的早期就開始發病 (C)超過九成以上的患者曾經歷恐慌症發作 (D)男女罹患此疾病的比率約略相等
68 通常什麼年齡出現第一次恐慌症狀發作,須特別考慮可能合併有內、外科疾患? (A)兒童期 (B)青少年期 (C) 25~35 歲 (D) 45 歲以上
69 智商是評估智力的重要參考,以魏氏智力量表的智商分數為例,常模的平均數(mean)約等於 100, 標準差(standard deviation, SD)約等於 15,判斷為輕度智能障礙是智商介於常模平均數的幾個 SD 範圍? (A) 1~2 SD (B) 2~3 SD (C) 3~4 SD (D) 4~5 SD
70 下列敘述何者錯誤? (A) Flumazenil 是苯二氮平(benzodiazepine)的拮抗劑,可維持作用達數十小時 (B)苯二氮平戒斷症狀有焦慮及激躁,也可能引起幻覺 (C)苯二氮平緩解焦慮症狀快速,當其為治療泛焦慮症時,使用時間宜越短越好 (D)苯二氮平使用會影響記憶力及專注力
71 關於天使塵(phencyclidine)的敘述,下列何者錯誤? (A)有解離性麻醉的作用 (B)作用的機轉類似搖頭丸(3,4-methylene-dioxymethamphetamine, MDMA) (C)中毒症狀可能呈現極度焦慮 (D)天使塵中毒可以考慮用活性炭洗胃,並不建議酸化尿液幫助排除
72 有關吸食強力膠的敘述,下列何者正確? (A)若出現語無倫次與幻覺,可給予苯二氮平類(benzodiazepines)藥物控制症狀 (B)吸食強力膠有可能會產生耐受性(tolerance),但不常發生戒斷症狀 (C)長期使用會損及大腦與運動功能,但不影響智商 (D)大量使用也不致於有生命危險
73 關於失智症的描述,何者正確? (A)會產生記憶障礙,但不至於呈現人格改變 (B)最常見的是血管性失智 (C)正常老化的認知功能衰退也會顯著影響社交行為 (D)處置上首先是確診,確定是否為可逆性之失智症
74 早發而持續之行為規範障礙(conduct disorder)患者預後較差,部分會發展成何種人格異常? (A)妄想型人格異常 (B)邊緣型人格異常 (C)反社會型人格異常 (D)戲劇型人格異常
75 有關神經性厭食症(anorexia nervosa)的敘述,下列何者錯誤? (A)病患拒絕維持該年齡和身高應有的最低正常體重,導致病患常骨瘦如柴 (B)即使體重已經過輕,但病患仍強烈害怕體重增加或變肥胖 (C)對自己的體重、大小、身材之想法有障礙,例如病患在其瘦弱的情形下,仍堅信自己肥胖 (D)厭食症可能會造成停經或荷爾蒙失調,但停經與否並不是 DSM-IV-TR 厭食症的診斷要件之一 代號:2102 頁次:12-12
76 1 歲男嬰上消化道鋇劑檢查如下圖,下列敘述何者錯誤?
(A)術前須做內視鏡檢查和組織切片以獲得確實診斷 (B)上圖呈現胃出口(gastric outlet)可能有阻塞 (C)為先天性胃幽門肥大狹窄(congenital hypertrophic pyloric stenosis) (D)超音波掃描有助於對該病灶的診斷
77 有關兒童急性闌尾炎(appendicitis)的敘述,下列何者最恰當? (A)小於 2 歲其常見的症狀為腹痛、嘔吐、腹瀉、發燒 (B)大於 2 歲其臨床表現與大人相似 (C)白血球上升是診斷的重要指標 (D)超音波檢查診斷率較電腦斷層高
78 一位 45 歲病患,在中風症狀發生後 1 小時之內被送到某醫學中心。經過頭部電腦斷層檢查、急診科 與神經內科醫師的評估後,病患符合施打血栓溶解劑 r-tPA 的條件,家屬很焦急的詢問有關 r-tPA 的 禁忌症。下列何者非急性梗塞性腦中風(acute stroke)病患使用 r-tPA 的絕對禁忌症? (A)先前曾經有過腦出血 (B)有胃潰瘍病史 (C) 1 個月前有缺血性腦中風 (D) 3 週前動過顱內手術
79 通常醫師對具完全能力的患者在進行醫療行為前,會事先進行告知以取得同意,然當醫師面對「能 力不完全(Incompetent)」的成年病患時(如有自殘行為的精神疾病患者),下列那一倫理準則不 適當? (A)先尋求病人的家屬來為病人「代理同意」 (B)家屬間意思不一致時,以親等近者為優先 (C)代理同意必須符合病人的最大利益,且不違背病人如果意識清醒時會做的決定 (D)醫師逕行以病人最大利益來做決定
80 1000 公克的早產兒,在新生兒加護病房的 1 個月治療中,發生了各種嚴重的併發症,包括:呼吸窘 迫症、氣胸、肺炎、壞死性腸炎、敗血症及肺炎,現在更因為腦出血而出現呼吸暫停及缺氧,嬰兒 將留下嚴重腦神經後遺症,家長經再三考慮後,要求醫師停止一切維持生命的治療,下列何者為最 正確的處置? (A)可以立即停止一切維生治療 (B)請家屬自己移除呼吸器 (C)可以停止升壓劑,但不能移除呼吸器 (D)請家屬簽 DNR,當情況惡化時,不施與急救
申論題 (0)