阿摩線上測驗
登入
首頁
>
牙醫學(四)(包括口腔顎面外科學、牙科放射線學等科目及其相關臨床實例與醫學倫理)
> 104年 - 104-2 專技高考_牙醫師(二):牙醫學(四)(包括口腔顎面外科學、牙科放射線學等科目及其相關臨床實例與醫學倫理)#35899
104年 - 104-2 專技高考_牙醫師(二):牙醫學(四)(包括口腔顎面外科學、牙科放射線學等科目及其相關臨床實例與醫學倫理)#35899
科目:
牙醫學(四)(包括口腔顎面外科學、牙科放射線學等科目及其相關臨床實例與醫學倫理) |
年份:
104年 |
選擇題數:
80 |
申論題數:
0
試卷資訊
所屬科目:
牙醫學(四)(包括口腔顎面外科學、牙科放射線學等科目及其相關臨床實例與醫學倫理)
選擇題 (80)
1.有關器械的滅菌消毒,下列何者錯誤? (A)器械上的血水及看得見的髒污須先擦乾淨,才能泡入化學消毒液中 (B)四級胺(Quaternary ammonium)因無法消滅B型肝炎病毒,因此不適合做為牙科器械的消毒劑 (C)Cidex是1%Glutaraldehyde可消滅細菌孢子,操作時須在通風或有抽氣設備的空間使用 (D)酒精不適用一般牙科器械的消毒,但可用來消毒麻藥管
2.關於皮瓣(flap)的設計,下列敘述何者錯誤? (A)皮瓣的邊緣可以互相平行 (B)皮瓣可以是apex窄base寬的梯型狀 (C)若是皮瓣帶有血管根蒂(vessel pedicle)時,形狀可以是倒梯形 (D)皮瓣的長度與寬度的比例必須合乎3:1
3.下列有關人類免疫缺陷病毒(human immunodeficiency virus, HIV)傳播及預防的敘述,何者錯誤? (A)為引起後天免疫不全症候群(AIDS)的病原,通常此病毒在寄主體外較無法存活 (B)只有極少數HIV的帶原者,在唾液中藏有病毒,且其病毒含量微少 (C)以預防B型肝炎感染傳播的技術及原則,並不適用於預防HIV的散佈 (D)次氯酸(hypochlorite)及甲醛(formaldehyde)皆可使病毒失活
4.有關術後的水腫現象(postsurgical edema),下列敘述何者錯誤? (A)手術範圍愈大,傷害愈多,水腫程度愈明顯 (B)術後立即熱敷,可降低水腫的程度 (C)術後早期幾天,將頭置於較身體其它部位為高的位置 (D)短時間高劑量之類固醇(corticosteroids)全身性給予,有可能降低水腫之程度,但在手術前給予藥物效果才好
5.患者牙科治療中發生過度換氣症候群(hyperventilation syndrome)時,下列處置何者較不合適? (A)停止牙科治療,移除口內異物,並予言語安撫 (B)給予患者較高濃度的二氧化碳氣體 (C)儘量將診療椅放平,讓患者休息 (D)若症狀持續或惡化,可考慮肌肉注射或靜脈緩慢給予diazapam 10 mg
6.注射區域之組織酸鹼度影響局部麻醉藥效,主要機轉為何? (A)氫原子過量而增進中性鹽基分子(neutral base molecule)形成 (B)pH值降低,造成陽離子濃度增加而降低麻醉成功率 (C)pH值降低,造成陽離子濃度增加而提高麻醉成功率 (D)pH值降低,造成中性鹽基分子(neutral base molecule)數目增加
7.下顎神經阻斷技術包括Inferior alveolar nerve block (IA), Gow-Gates mandibular nerve block (GG), Vazirani-Akinosi nerve block(VA),此三者之注射部 位,在下顎骨升枝內側解剖位置,由下往上排列順序應為下列何者? (A)IA, GG, VA (B)IA, VA, GG (C)GG, IA, VA (D)VA, IA, GG
8.下圖所顯示的麻醉方法及部位應是下列何者?
(A)下顎側方神經阻斷術(lateral approach for mandibular nerver block) (B)後上齒槽神經阻斷術(posterior superior alveolar nerve block) (C)Gow-Gates下齒槽神經阻斷術(Gow-Gates mandibular block) (D)Vazirani-Akinosi 下齒槽神經阻斷術(Vazirani-Akinosi block)
9.有關牙科麻醉劑管(cartridge)之敘述,下列何者正確? (A)正常時底部的橡皮塞(cartridge rubber stopper)與玻璃管壁邊緣齊平 (B)如果底部的橡皮塞突出玻璃管壁邊緣,且有大氣泡,通常是因為消毒劑滲入 (C)冷凍後的麻醉劑管,底部的橡皮塞會縮入玻璃管壁邊緣 (D)底部的橡皮塞在推麻醉劑時會有黏固不易推動的情形,是因為石蠟硬化的結果
10.6歲男孩接受下顎傳導麻醉拔除右下乳臼齒。翌日,回診發現右下唇潰瘍,其餘正常,亦無全身症狀,下列何者最有可能是其造成唇病變的原因? (A)咬傷(lip biting) (B)麻醉藥過敏(allergy) (C)疱疹性口齦炎(herpetic gingivostomatitis) (D)拔牙後蜂窩組織炎(cellulitis)
11.一般而言,下顎第三大臼齒阻生有水平、遠心傾斜、近心傾斜三種,拔除的困難度難易順序為何? (A)水平 > 遠心傾斜 > 近心傾斜 (B)遠心傾斜 > 水平 > 近心傾斜 (C)近心傾斜 > 水平 > 遠心傾斜 (D)水平 > 近心傾斜 > 遠心傾斜
12.阻生之上顎第三大臼齒,何種情況最難拔除? (A)垂直阻生 (B)遠心傾斜阻生 (C)近心傾斜阻生 (D)頰側傾斜阻生
13.若進行連續拔牙時,何者錯誤? (A)應先拔第一大臼齒,再拔犬齒 (B)應先拔上顎牙齒,再拔下顎牙齒 (C)應先拔後牙,再拔前牙 (D)應先拔犬齒,再拔第一大臼齒
14.26歲女子抱怨右下臉部,如下圖所示,腫大已有3天之久,如果此區域發炎會擴散,下列那一個筋膜間隙比較不容易被擴散到?
(A)Submandibular space (B)Pterygomandibular space (C)Infratemporal space (D)Lateral pharyngeal space
15.從感染容易擴散或是傷害重要組織的角度來看,下列那一個筋膜腔(fascial space)感染的危險度較低? (A)Buccal space (B)Submental space (C)Pterygomandibular space (D)Infratemporal space
16.病人疑似罹患下顎骨骨髓炎,下列何項檢查可以早期偵測到骨質之變化? (A)環口X光片攝影 (B)電腦斷層攝影 (C)磁振造影 (D)下顎骨咬合片
17.大部分的嗜氧菌在齒源性感染都是來自於下列那一個病源菌? (A)Staphylococcus spp. (B)Neisseria spp. (C)Streptococcus spp. (D)Haemophilus spp.
18.下列有關odontogenic infection的特性與擴散的敘述何者正確? (A)造成odontogenic infection的最常見原因是牙周病所引起的結果 (B)上顎牙齒所引起的odontogenic infection比較容易在palatal cortical bone見到abscess formation (C)在臨床上所見到軟組織感染擴散的位置(location of soft tissue infection)與牙齒的位置無關 (D)Mylohyoid muscle所在的位置高低會影響來自於下顎第一大臼齒的感染往submandibular space或sublingual space方向擴散
19.下列有關植牙之敘述,何者錯誤? (A)拔牙後進行立即植牙(immediate implantation)時,若植體與齒槽骨間存在 1 mm 以內的空隙是可被接受的 (B)當有感染及齒槽骨壁不完整時,不宜進行拔牙後立即植牙 (C)一般建議植牙的年紀宜在16歲以後 (D)自體骨移植時 block bone graft 比 particulate bone graft 不穩定易被吸收
20.中隔齒槽整形術(intraseptal alveoloplasty)與唇側齒槽整形術(labial alveoloplasty)相比,其最大之優點是: (A)手術較簡單省時 (B)不必作傷口縫合 (C)術後齒槽骨之吸收較少 (D)修形後之齒槽嵴較寬
21.環口X光攝影可以顯示的顎骨相關解剖構造中,並不包括下列那一項在內? (A)顎骨的病理病灶 (B)阻生齒或部分殘根 (C)角化牙齦和黏膜 (D)上顎竇的大小
22.關於良好義齒支持組織的特點之敘述,下列何者錯誤? (A)有骨性的外突或倒凹 (B)沒有口內或口外組織有病理症狀 (C)足夠的前庭深度 (D)在義齒主要壓力區有足夠的角質化黏膜
23.口腔癌TNM系統中,T代表腫瘤大小,還可顯示: (A)腫瘤生長速度 (B)腫瘤深度 (C)腫瘤侵犯的不同組織 (D)腫瘤治療預後
24.下列何組織是廣泛性頸部淋巴廓清術(RND)要保留的? (A)副神經 (B)胸鎖乳突肌 (C)內頸靜脈 (D)內頸動脈
25.牙醫師發現病人口腔內潰瘍至多幾星期沒有癒合,應轉診做切片檢查? (A)一星期 (B)二星期 (C)四星期 (D)六星期
26.關於接受頭頸部放射線治療的患者出現副作用,下列敘述何者錯誤? (A)照射後兩週,開始有黏膜炎(mucositis)的症狀 (B)放射線治療所引起的口乾,是因唾液腺細胞對放射線有較高的感受性(radiosensitivity)所致 (C)可以使用Pilocarpine來改善口乾的症狀 (D)容易因口內常在菌叢(normal flora)的改變而引發念珠菌感染(Candida infection)
27.下列有關囊腫的敘述,何者錯誤? (A)人體骨頭內,如有上皮細胞排列的囊腫,大部分會發生在顎骨 (B)齒源性囊腫,可分為發育型及發炎型 (C)含牙囊腫最常見於未萌發的下顎第三大臼齒 (D)含牙囊腫常發生於乳牙
28.下列有關類似囊腫病變的敘述,何者錯誤? (A)如果臨床上懷疑是囊腫,應盡量嘗試抽檢(aspiration) (B)通常自囊腫中抽出物的顏色,多為稻草黃到深褐色或為發炎後的膿狀液體 (C)如有抽出物,最好做細胞學檢查(cytology) (D)如果經抽檢抽出鮮血,應安排切片檢查
29.下列何者不是假性囊腫? (A)外滲性黏液囊腫(extravasation mucocele) (B)外傷性骨囊腫(traumatic bone cyst) (C)史塔妮骨囊腫(Stafne's bone cyst) (D)戈林囊腫(Gorlin cyst)
30.正顎手術於牙根尖下方做水平截骨術(osteotomy)時,至少應離牙根尖多少距離,以免影響牙髓血液供應? (A)1 mm (B)3 mm (C)5 mm (D)10 mm
31.對於上唇軟組織水平的改變而言,下列何種正顎手術具有最高影響力? (A)LeFort I advancement (B)LeFort I setback (C)LeFort I superior reposition (D)LeFort I inferior reposition
32.有關勒福一型截骨術(LeFort I osteotomy)之敘述,下列何者錯誤? (A)截骨處須離上顎牙根尖5~6 mm以確保可血管再生及神經再生 (B)建議低壓麻醉,維持收縮壓約90 mmHg,以減少術中出血量 (C)手術切口採上顎前庭切線,切線位於黏膜牙齦交界(mucogingival junction) (D)游離之上顎骨塊其血液供應主要來自降腭動脈(descending palatine artery)及升咽動脈(ascending pharyngeal artery)
33.有關雙側矢向劈裂截骨術(bilateral sagittal split osteotomy)之併發症敘述,下列何者錯誤? (A)手術前若要拔除第三大臼齒,建議至少6個月以上,以避免發生不理想之劈裂 (B)若下顎齒槽骨神經在術後產生神經失用症(neuropraxia),則一般約4週可恢復,不需特別手術處理 (C)下顎前置量若大於 6 mm,則穩定度較差,易復發 (D)在高下顎骨角(high mandibular plane angle)之病患,遠心端若產生順時針旋轉,則容易復發
34.帶狀疱疹好發於下列何者? (A)學童 (B)老年人 (C)中年人 (D)年輕人
35.下列那一種神經傷害會發生Wallerian變性(degeneration)?①軸索斷裂(axonotmesis) ②神經失用(neurapraxia) ③神經斷傷(neurotmesis) (A)只有①② (B)只有②③ (C)只有①③ (D)①②③
36.如果放入牙科植體後發現傷到下顎齒槽神經(inferior alveolar nerve),最好的處置為何? (A)熱敷 (B)冰敷 (C)將植體取出 (D)給予維他命
37.有關唾液腺腫瘤之敘述,下列何者正確? (A)最常見的唾液腺腫瘤是多形性腺瘤(pleomorphic adenoma) (B)最常見的唾液腺腫瘤是瓦新氏瘤(Warthin's tumor) (C)多形性腺瘤最常見於顎下腺 (D)瓦新氏瘤最常見於顎下腺
38.腮腺分泌之唾液佔所有唾液量之多少? (A)10% (B)25% (C)50% (D)75%
39.下列何者為唾腺黏液囊腫(mucocele)的處理方式? (A)重複抽吸 (B)連同周圍小唾液腺切除 (C)有安全距離的切除 (D)切開引流
40.下列何者屬於下顎垂直型有利性骨折(vertically favorable fracture)?
41.下列何者不是讓脫落的牙齒(avulsed tooth)存留下來的重要因素? (A)牙齒離開齒槽骨的時間長短 (B)脫落的牙齒之牙周狀況 (C)用何種適當的清洗液來清潔脫落的牙齒 (D)脫落的牙齒在放回原來齒槽骨之前,用何種方式保存
42.今有一位62歲男性病人,下顎遭受由下而上的撞擊,造成下顎骨折而有如下圖所示的異常咬合、張口疼痛歪斜的現象,但是沒有下唇感覺異常的症狀。 請問最可能的骨折部位為何?
(A)R’t condylar neck or R’t mandibular ramus (B)L’t condylar neck (C)L’t condylar neck or L’t mandibular ramus (D)R’t mandibular body
43.下列有關單側眼窩底外破性骨折(blow-out fracture)的敘述,何者錯誤? (A)患側眼眶內含物掉落上顎竇中,而產生複視(diplopia)的症狀 (B)患側眼球活動受到限制,只是因為動眼神經受傷的緣故 (C)患側眼眶周圍有嚴重瘀青 (D)患側眼鞏膜出血(conjunctival hemorrhage)
44.有關腭裂病人齒槽骨缺損的骨移植修補手術之敘述,下列何者正確? (A)上顎犬齒存在時,待其牙根完全形成後再手術為宜 (B)最佳手術年齡為 6~10歲 (C)腭區擴張(palatal expansion)矯正治療必須在手術前進行 (D)移植骨最好取自於肋骨
45.下顎骨聯合處全段切除缺損之重建,下列何者最難達成? (A)顎骨的連續性 (B)顎骨的強度 (C)美觀性 (D)假牙的製作
46.唇腭裂之病童儘早完成腭裂之修補,可有多項之好處,惟下列何者除外? (A)哺育餵食較為容易 (B)舌頭運動較容易 (C)可以得到較好之發音語言學習 (D)可以得到較好的口腔衛生
47.根據美國心臟學會(2003年)建議,有關一般成人細菌性心內膜炎之預防性抗生素給藥的敘述,下列何者錯誤? (A)一小時之前口服 Amoxicillin 2 g (B)半小時之前靜脈注射 Ampicillin 2 g (C)一小時之前口服 azithromycin 500 mg (D)一小時之前口服 clarithromycin 250 mg
48.據美國心臟學會最新建議,下列何者需要口腔手術前給予預防性抗生素? (A)3個月前接受冠狀動脈繞道手術者 (B)3個月前接受心導管支架置放術者 (C)心中膈缺損者 (D)有細菌性心內膜炎病史者
49.下列何者非治療顳顎關節疼痛之藥物? (A)非類固醇之抗發炎藥物(NSAID) (B)肌肉鬆弛劑 (C)抗憂鬱藥物 (D)葡萄糖胺
50.下列有關於顳顎關節盤不可復位前移(anterior displacement without reduction)之敘述,何者錯誤? (A)張口時,下巴位移至患側 (B)無法聽見彈響(click) (C)張口範圍變小 (D)下顎側移範圍變大
51.有關關節內紛亂(internal derangement)之敘述,下列何者錯誤? (A)出現輾軋音(crepitus),在 Wilkes 分類中屬於第3期 (B)核磁共振造影是用以評估關節內紛亂的建議影像檢查 (C)建議一開始宜採保守性治療 (D)病人之關節內紛亂合併筋膜痛,使用前向置位咬合板(anterior repositioning splint)治療可能會加劇筋膜痛症狀
52.關於醫療法中「知情同意」的內容,下列何者錯誤? (A)病人的精神能力須能作自我抉擇 (B)病人必須已被適當正確的告知 (C)情況緊急者,不在此限 (D)有些醫療情況,不適宜讓病患知道,則可善意地隱瞞
53.是何種拔牙工具? (A)No. 9 Periosteal elevator (B)Crane pick elevator (C)Bein elevator (D)Dental forcep
54.承上題,其施力為第幾種槓桿原理? (A)I (B)II (C)III (D)IV
55.下列何狀況最為可能? (A)麻藥過敏(allergic reaction) (B)換氣過度(hyperventilation) (C)迷走血管性暈厥(Vasovagal syncope) (D)麻藥血管內注射
56.承上題,下列何項處理為適當? (A)給予100%氧氣呼吸 (B)病人體位調整為頭下腳上傾斜 (C)使用小塑膠袋罩住口鼻呼吸 (D)靜脈注射 0.5 mg epinephrine
57.對波長較短的X光之敘述,下列何者正確? (A)穿透力較弱 (B)穿透力較強 (C)能量較低 (D)與能量無關
58.牙科X光機濾片(filters)的常用材質為何? (A)塑膠 (B)鋁 (C)銅 (D)鉛
59.放射線之生物效果與細胞之含氧狀態有關,細胞在無氧的狀態下與有氧的狀態下,其對放射線的敏感度相差: (A)2倍 (B)4倍 (C)6倍 (D)8倍
60.傳統X光片影像太黑,其可能的原因,下列何者錯誤? (A)顯影劑濃度太高 (B)顯影劑溫度過低 (C)顯影時間太久 (D)X光暴露的時間太長
61.有關環口放射線攝影術(panoramic radiography)焦距溝(focal trough)之敘述,何者正確? (A)為二度空間的投射帶 (B)所造成之影像比例大於原物體 (C)其範圍大小因機種不同而不同 (D)前牙、後牙區寬度一致
62.X光管的陽極(anode)之焦距點(focal spot)的大小,會影響影像的: (A)density (B)contrast (C)definition (D)distortion
63.初期的鄰接面齲齒(incipient proximal caries)在X-ray上所見病灶(lesion)的深度特徵為何? (A)enamel外側 (B)接近dentinoenamel junction(DEJ) (C)侵入dentin (D)接近牙髓
64.下列何種構造,在上顎正中門齒區的根尖X光片中是看不到的? (A)Lateral fossa (B)Incisive foramen (C)Nasolacrimal canal (D)Anterior nasal spine
65.在正常人的牙根尖片中,可以看到在兩側正門齒的根部上端近前鼻棘兩側有radiolucent近似卵圓孔狀的影像,可能是: (A)nasolacrimal canal (B)lateral fossa (C)median palatine suture (D)incisive canal
66.下列對於營養管(nutrient canals)之敘述,何者錯誤? (A)最常見於上顎門牙間的牙間區域(interdental space) (B)內為神經血管束,X光看起來為放射線透性(radiolucent) (C)高血壓或嚴重牙周病的病人常見到營養管 (D)約5%病人可見到明顯之營養管
67.下列何者不需要以放射線影像作為主要的診斷工具? (A)Dilaceration (B)Dentinogenesis imperfecta (C)Dentin dysplasia (D)Enamel hypoplasia
68.如下圖所示,上下顎骨中有多個贅生牙,其最可能之相關疾病為何?
(A)Treacher Collins syndrome (B)Cleidocranial dysostosis (C)Crouzon syndrome (D)Osteogenesis imperfecta
69.如圖,下列何者有正中贅齒(mesiodens)?
70.一位中年男性患者因下顎骨疼痛而求診,部分顎全景X光片(B圖)呈現許多不規則之放射線透過性(radiolucent)骨破壞,側顱X光片呈現如A圖(另 外病例)之多個打洞樣(punch-out lesions)放射線透過性病灶,臨床症狀包括發燒、疲倦、骨疼痛、體重下降及下背痛,尿液呈泡沫狀,根據上述資 料,下列何種臨床診斷最有可能?
(A)Osteomyelitis (B)Squamous cell carcinoma (C)Multiple myeloma (D)Hyperparathyroidism
71.下列何種疾病,其X光影像,較常呈現如洋蔥皮樣外形(onion-skin appearance),且病變區域牙齒常為非活性牙(non-vital teeth)? (A)纖維性發育不良(fibrous dysplasia) (B)增生性骨膜炎(proliferative periostitis) (C)骨之柏哲德氏病(Paget's disease of bone) (D)牙骨質-骨質發育不良(cemento-osseous dysplasia)
72.有關囊腫的X光檢查,下列敘述何者錯誤? (A)很少見到呈現放射線透性(radiolucent)的病灶 (B)如果囊腫存在的時間較久,可於病灶內產生鈣化的小點 (C)有些囊腫內有中隔(septa)的存在,因此形成多囊性的外觀 (D)囊腫的邊緣有扇貝形(scalloped)也是因為中隔的形成所致
73.成熟期(mature stage)之造牙骨質細胞瘤(cementoblastoma),其中心部分之最常見放射線影像表徵為何? (A)單房放射線透過性病變(unilocular radiolucent lesion) (B)多房放射線透過性病變(multilocular radiolucent lesion) (C)混合放射線透過性和不透過性病變(mixed radiolucent and radiopaque lesion) (D)放射線不透過性病變(radiopaque lesion)
74. 下列何者為形容下圖所示唾液腺造影術之影像?
(A)Ball-in-hand appearance (B)Snowstorm appearance (C)Sausage-link appearance (D)Tree in winter appearance
75.形容下圖中箭頭所指之X光影像,下列何者最恰當?
(A)Well-defined radiolucency (B)Punched-out radiolucency (C)Moth-eaten radiolucency (D)Beaten-metal radiolucency
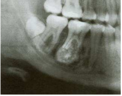
76.一位25歲男性患者數年前感覺右下顎第一大臼齒處疼痛,當時牙醫師從根尖片看到放射線透性病灶圍繞第一大臼齒根尖部位,該牙牙髓活性測試為活性 反應,因而建議患者定期追蹤檢查。失聯了一陣子,患者又來看診,從顎全景攝影X光片(如下圖)發現該牙根部貼附一放射線不透性病灶、周圍有一圈 放射線透性區域,牙根有外吸收現象,但牙髓仍呈活性反應。在鑑別診斷時,下列何者較不可能?
(A)根尖牙骨質發育不良(periapical cemental dysplasia) (B)良性牙骨質母細胞瘤(benign cementoblastoma) (C)成骨細胞瘤(osteoblastoma) (D)纖維性發育不良(fibrous dysplasia)
77.顎骨中軟骨肉瘤(chondrosarcoma)之放射線影像,最常呈現為下列何者? (A)界線清楚之放射線透性病變(radiolucent lesion) (B)界線不清楚之放射線透性病變(radiolucent lesion) (C)混合放射線透性和不透性病變(mixed radiolucent and radiopaque lesion) (D)放射線不透性病變(radiopaque lesion)
78.當一個軟組織血管瘤(soft tissue hemangioma)之放射線影像出現鈣化物時,此鈣化物最可能之成因為下列何者? (A)血管瘤腫瘤細胞壞死後,鈣化而成 (B)血管中血栓(thrombi),經組織化及鈣化而成 (C)骨頭碎片經血流攜帶,卡在該血管瘤中 (D)此鈣化物是經轉移鈣化(metastatic calcification)機轉而形成
79.有關數位X光攝影術(digital radiography)的敘述,下列何者錯誤? (A)可分為直接及非直接兩種型式 (B)較傳統放射線攝影,所需的輻射劑量較低 (C)X光片可為charge-coupled device所取代 (D)直接式的數位攝影係利用photostimulable phosphor image plate
80.人類的身體中下列何種組織之放射線敏感度(radiosensitivity)最高? (A)Liver (B)Lens (C)Salivary gland (D)Intestine
申論題 (0)