所屬科目:牙醫學(三)(包括齒內治療學、牙體復形學、牙周病學等科目及其相關臨床實例與醫學倫理)
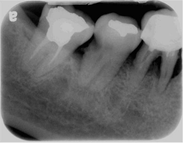
9.42歲女性患者主訴右下後牙區在喝冷水時有劇烈抽痛的現象,其X光片如下圖所示。造成患者主訴疼痛的牙齒與病因來源為 何? (A)第一大臼齒的牙髓病變 (B)第一大臼齒的根尖周圍病變 (C)第二大臼齒的牙髓病變 (D)第二大臼齒的根尖周圍病變
10.比較下圖兩張X光片中的第一小臼齒,並選出最恰當的敘述? (A)該牙齒接受根管治療及根尖區手術,根尖區組織修復(repair) (B)該牙齒接受根管治療及根尖區手術,牙根處出現外生骨贅(exostosis) (C)該牙齒接受根管治療,併發齒頸部吸收(cervical resorption) (D)該牙齒接受根管治療,牙根尖發生取代性吸收(replacement resorption)
19.下列為治療同顆牙齒拍攝不同角度的X光片。相對於A圖,B圖中第一大臼齒拍攝的角度以及箭頭所指的根管名稱為何? (A)從近心側往遠心側拍攝,箭頭所指根管為近心頰側根管(MB canal) (B)從近心側往遠心側拍攝,箭頭所指為第二近心頰側根管(MB2 canal) (C)從遠心側往近心側拍攝,箭頭所指為近心頰側根管(MB canal) (D)從遠心側往近心側拍攝,箭頭所指為第二近心頰側根管(MB2 canal)
58.牙齦溝內局部細胞免疫(local cellular immune)反應,依圖中4所示,抗原呈現細胞(antigen-presenting cells)進入鄰近淋 巴結後所產生後續的免疫反應,如圖中5、6、7所示,下列何者錯誤? (A)反應5:特定B淋巴球或前漿細胞(pre-plasma cells)在鄰近淋巴結內先增生後再進入血液內 (B)反應5:特定T淋巴球在鄰近淋巴結內先增生後再進入血液內 (C)反應6:淋巴球回到牙周組織開始進行體液和細胞調控免疫(humoral and cell-mediated immune)的功能 (D)反應7:細胞調控免疫功能主要由type 2 T helper cells(Th-2)細胞調控