所屬科目:醫學五:80題 ( 包括外科,骨科,泌尿科等科目及其相關臨床實例與醫學倫理 )
11.一位68歲男性因跌倒送來急診,意識狀態模糊,對痛刺激眼睛會張開,且左手會撥開痛刺激,但不會出聲,頭部電腦斷層如下 圖所示,下列何者正確? (A)出血位置位於硬腦膜下 (B)出血的來源多半為顱骨骨折造成腦膜動脈破裂而成 (C)最佳的治療方法為大量的使用降腦壓藥物,避免血塊對腦幹的壓迫 (D)此病人目前GCS為10分
17.下圖為一個顏面部創傷來急診的病人,急診醫師安排臉部電腦斷層,顏面骨有骨折的狀況,其受傷的情形分類為: (A)右側Le Fort I + II,左側Le Fort III (B)右側Le Fort II + III,左側Le Fort I (C)右側Le Fort I + III,左側Le Fort II (D)右側Le Fort I + II,左側Le Fort IV
62. 2歲男孩因右上肢活動受限,被父母帶來求診,右肘部的X光檢查結果如附圖,該男孩右上肢活動受限最嚴重的是下列何種動作? (A)前臂旋後(forearm supination)(B)上臂外旋(arm external rotation)(C)手肘彎曲(elbow flexion)(D)手腕彎曲(wrist flexion)
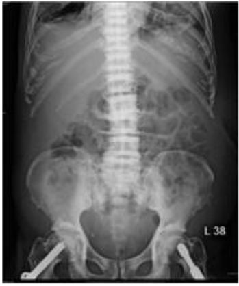
72.75歲男性,副甲狀腺素血液濃度上升,腹部X光檢查如附圖,其脊椎骨的變化為何? (A)renal osteodystrophy (B)ankylosing spondylitis (C)metastasis (D)osteomyelitis
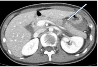
73.中年男性車禍傷患主訴上腹部劇痛,血壓呈現穩定狀態。電腦斷層檢查如附圖。箭頭所指之異常最可能是下列那一項初診斷? (A)liver laceration (B)colon laceration (C)pancreas laceration (D)mesentery laceration
74.27歲男性病人發生車禍造成右手疼痛,手部X光片如附圖,最正確的診斷為? (A)mallet fracture (B)boxer's fracture (C)Bennett fracture (D)Colles fracture