所屬科目:牙醫學(六)(包括齒顎矯正學、兒童牙科學、牙科公共衛生學等科目及其相關臨床實例與醫學倫理)
1.一般而言,關於長臉型(long face pattern)與短臉型(short face pattern)之敘述,下列何者錯誤? (A)長臉型者有發育成前牙開咬(anterior open bite)的傾向 (B)短臉型者之下顎平面(mandibular plane)較為平坦(flat) (C)長臉型者之下顎前牙較為舌傾(lingual inclination) (D)短臉型者之下顎前牙常顯擁擠(crowded)
2.下列有關顱顏生長發育情形的敘述,何者錯誤? (A)顏面骨在青春期可見加速生長現象 (B)顏面寬度比高度早達到成人的大小 (C)顱頂比顏面早達到成人的大小 (D)兩側下顎枝的寬度,因下顎骨聯合(mandibular symphysis)癒合後即不再增加
3.依照學者Scammon所提出的生長曲線,10歲孩童在不同組織系統的發育速率由高到低的排序為何? (A)淋巴系統>神經系統>生殖系統 (B)生殖系統>淋巴系統>神經系統 (C)生殖系統>神經系統>淋巴系統 (D)淋巴系統>生殖系統>神經系統
4. 如果將上顎骨的生長發育視為前後長度、垂直高度、左右寬度三者的綜合表現,那一個生長發育最晚結束? (A)前後長度 (B)垂直高度 (C)左右寬度 (D)不一定
5.由12歲至成年,上下齒列之牙弓深徑(arch depth)之變化為何? (A)持續減少 (B)持續增加 (C)穩定不變 (D)未有固定變化方式
6.牙齒在發育之形態分化(morphodifferentiation)期間發生障礙,易造成: (A)多生牙(supernumerary teeth) (B)先天性缺牙(congenitally missing teeth) (C) 畸形牙(malformed teeth) (D)位萌出(ectopic eruption)
7.下列何者最適合用來評估12歲男童的骨齡(skeletal age)? (A)手腕骨的鈣化情形 (B)腿骨的鈣化情形 (C)顱骨的鈣化情形 (D)下顎骨的鈣化情形
8.8歲孩童的上顎正中門齒間有1.0 mm縫隙,其最適當的處理為何? (A)定期追蹤至犬齒萌發 (B)製作空間維持器 (C)功能性矯正器治療 (D)固定式矯正器治療
9.在正常口腔生理功能活動中,作用於牙齒的力量大小與作用時間長短,下列敘述何者錯誤? (A)咀嚼時牙齒接觸:力量大、作用時間短 (B)吞嚥時牙齒接觸:力量大、作用時間短 (C)牙周韌帶內的壓力:力量輕、作用時間長 (D)說話時來自唇、頰、舌等軟組織的壓力:力量輕、作用時間短
10.下列何種顱顏牙齒生長特徵較不常見於長期鼻呼吸道阻塞之青少年患者? (A)前顏面高度增加 (B)前牙深咬 (C)前牙開咬 (D)上顎牙弓狹窄 .
11.露齦笑(gummy smile)係指微笑時牙齦過度暴露,對於造成露齦笑可能的成因,下列敘述何者錯誤? (A)雙顎暴牙(bimaxillary protrusion) (B)下門牙壓低(intrusion) (C)上顎齒槽突過長 (D)上唇過短
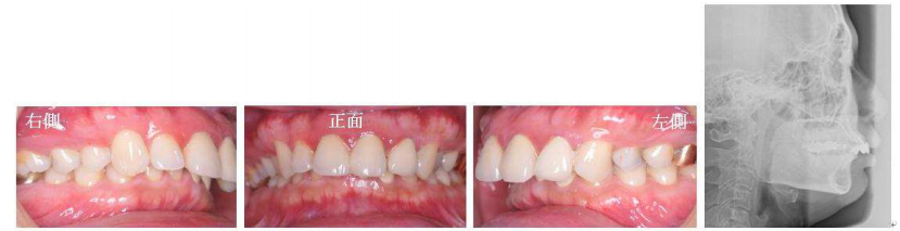
12.依據下列口內照片及測顱X光片,此患者最可能是那一類異常咬合? (A)Angle ClassⅠ (B)Angle Class Ⅱ division 1 (C)Angle Class Ⅱ division 2 (D) Angle Class Ⅲ
13.下列何項測顱分析最能表達頦突出(chin projection)的量? (A)NB-Pg距離 (B)SNA角度 (C)Y axis角度 (D)SN/MP角度
14.對安格氏二級咬合異常,且上顎牙齒前突的患者,下列那些是其在青少年期接受矯正治療(adolescent treatment)可使用的方法?①面罩(face mask) ②頭帽(headgear)牽引 ③上顎所有牙齒裝上矯正托 架(bracket)或帶環(band),合併裝上矯正弧線 (A)僅①② (B)僅①③ (C)僅②③ (D)①②③
15.下列何者不是呼吸阻礙症候群(respiratory obstruction syndrome)在兒童顱顏形態發育上所產生的特徵? (A)下顎平面(mandibular plane)變陡 (B)嘴唇不易閉合 (C)下顏臉變短 (D)上門牙唇側傾斜
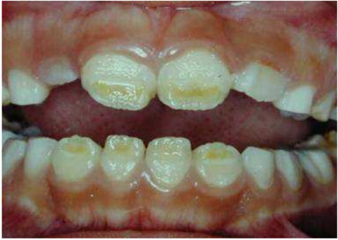
16.下圖為7歲男童之口內正面齒列照片,#11及#21之間的牙齒,最可能為下列何者? (A)supernumerary tooth (B)transposition tooth (C)impaction tooth (D)fusion tooth
17. 在側面測顱X光片分析中,Rickett's E-line是指下列何線? (A)第1條線,soft tissue pogonion與upper lip前緣之連線 (B)第2條線,soft tissue pogonion與nasal tip之連線 (C)第3條線,nasion與B point之連線 (D)第4條線,nasion與A point之連線
18.就骨性三級異常咬合患者來說,下列何種為其前牙齒性代償(dental compensation)現象中較常見的特點? (A)上顎門齒向舌側傾斜,下顎門齒向唇側傾斜 (B)上顎門齒向唇側傾斜,下顎門齒向舌側傾斜 (C)上、下顎門齒均向舌側傾斜 (D)上、下顎門齒均向唇側傾斜
19.在使用同一種牙弓線(arch wire)的前提下,下列何者是增加作用範圍(range of action)的較好方法? (A)增加線長度 (B)熱處理 (C)增加三級線曲(third order bend) (D)低溫處理
20.使用閉合型弧線(closing loop)關閉拔牙空間,若病人每4週看診一次,每次活化(activate)弧線最適當的 量為多少毫米? (A)<0.5 (B)1 (C)2 (D)3
21.牙周病患者的牙齒,因為牙周支持組織的喪失,其抗力中心(center of resistance)與正常情況比較,位置的 移動情形為何? (A)向牙冠側移位 (B) 向根尖側移位 (C)向齒頸部移位 (D)不移位
22.下圖C為牙齒的抗力中心(center of resistance),若A與B的距離為10mm,B與C的距離為15mm,從牙冠唇 側面施以100gm力量Fa,則其所產生的力矩為何? (A)500gm-mm (B)1,000gm-mm (C)1,500gm-mm (D)2,500gm-mm
23.為保留較多的角質化牙齦(keratinized gingiva),當手術暴露上顎犬齒頰側阻生時,下列那些是較為適當的 方法?①開窗術暴露(window open) ②根向移位翻瓣術(apically positioned flap) ③側向移位翻瓣術 (laterally positioned flap) (A)僅①② (B)僅①③ (C)僅②③ (D)①②③
24.下列何者屬於固定式功能性裝置 (fixed functional appliance)? (A)Hawley矯正裝置 (B)Frankel矯正裝置 (C)Herbst矯正裝置 (D)機能矯正裝置(activator)
25.從實證牙醫學的觀點評估功能性矯正器的療效,下列何者最具參考價值? (A)病例報告(case report) (B)世代研究(cohort study) (C)隨機對照試驗(randomized clinical trial) (D)專家意見(expert's opinions)
26.唇裂(cleft lip)的形成和下列何者無關? (A)Lateral nasal process (B)Frontonasal process (C)Maxillary process (D)Medial nasal process
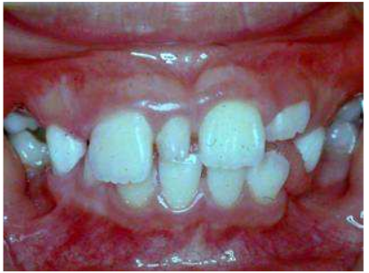
27.依下列口內照片判斷,其最可能的顱顏疾病為何? (A)單側唇腭裂 (B)雙側唇腭裂 (C)皮爾氏症(Pierre Robin sequence) (D)克魯氏症(Crouzon's syndrome)
28.針對齒顎矯正治療,下列敘述何者正確? (A)所有咬合異常均須接受齒顎矯正治療 (B)患者簽署知情同意書後,醫師即可免除醫療過失責任 (C)一般齒顎矯正治療未有全民健康保險給付,對無法負擔的患者,可拒絕看診 (D)患者遷移住所,齒顎矯正治療無法持續時,醫師應提供轉介服務並述明已支付之醫療款項
29.下列何者不是父母陪伴孩子進入牙科診區的好處? (A)父母可以當場看到治療過程與孩子的行為 (B)父母可以重複並加強醫師的指示 (C)可以增加醫師與父母的接觸 (D)可以節省術後醫師解釋的時間
30.下列何者不屬於使用笑氣鎮靜術的好處? (A)作用快,操作簡易 (B)容易控制劑量 (C)沒有嚴重的副作用 (D)使用方便不需額外設備
31.兒童看牙醫時,心情容忍性相對最佳之時間是: (A)早上 (B)中午 (C)下午 (D)晚上
32.下列何者是造成齲齒最主要的產酸細菌? (A)Sarcinae mutans (B)Streptococcus mutans (C)Lactobacilli mutans (D)Staphylococci mutans
33.八歲兒童因齲齒造成下顎第一乳臼齒嚴重齲齒,伴隨牙根膿腫及齒槽骨吸收,下列何種治療較適宜? (A)斷髓術(pulpotomy) (B)部分拔髓術(partial pulpectomy) (C)拔髓術(pulpectomy) (D)拔牙(extraction)
34.學齡前兒童單側眼睛下方至同側臉頰上方的臉部蜂窩組織炎(cellulitis)之最常見的感染原因為何? (A)帶狀疱疹(herpes zoster) (B)上顎乳臼齒的齲齒(caries of upper primary molars) (C)鼻竇炎(sinusitis) (D)腮腺炎(mumps)
35.6歲兒童下顎乳門牙有明顯齲齒及根尖吸收,下列何種處置方式較恰當? (A)拔除下顎乳門牙 (B)做三級銀粉填補 (C)做三級玻璃離子體填補 (D)做牙縫牙釉質修形將牙縫打開,等待換牙
36.下列關於正常發育下顱顏面變化(craniofacial changes)的敘述,何者正確? (A)成人與兒童的SNA角差異不大 (B)成人之ANB角比兒童的大 (C)兒童之U1-SN角比成人的大 (D)Y-axis角隨著年齡的增加會減少
37.如下圖所示,上顎第一大臼齒異位萌出,但尚未長出牙齦,這時如果決定拔除第二乳臼齒,拔除後應如何處 置?
(A)等第一恆大臼齒自動萌出後再做評估 (B)立即作遠心空間維持器(distal shoe space maintainer) (C)立即做空間獲得器(space regainer) (D)立即製作活動假牙(removable denture)
.
38.根據Arya, Savara,及 Thomas 還有 Carlsen 及 Meredith之研究,兒童12歲時恆牙上下顎第一大臼齒,可以分 成一級、二級及三級等三種咬合關係,依其出現頻率高低比較,下列何者正確? (A)一級>二級>三級 (B)一級>三級>二級 (C)二級>一級>三級 (D)二級>三級>一級
39. 根據 Moorrees之研究,從6歲至18歲,上顎牙弓周圍長度(arch circumference)的改變情形為何? (A)約增加1 mm (B)未改變 (C)約減少2 mm (D)約減少4 mm
40.下列關於壓舌板治療法(tongue blade therapy)的敘述,何者錯誤? (A)可改善前牙錯咬 (B)以上門牙為支點將下門牙往唇側推移 (C)治療時間為每次15~30分鐘至少數小時之久 (D)若牙齒已萌發完全則治療效果不佳
41.有先天性心臟病的兒童最不適合使用下列何種空間維持器? (A)帶環裝置(band and loop) (B)舌側弓線(lingual arch) (C)遠心鞋形裝置(distal shoe) (D)可撤式局部假牙(removable partial denture)
42.如下圖所示,造成此種牙齒發育異常的系統性因素最可能發生在那個年紀? (A)10個月以前 (B)1歲以後2歲以前 (C)2歲以後3歲以前 (D)3歲以後4歲以前
43.下列何者為最常見的乳牙外傷? (A)外傷脫出 (B)位移或鬆動 (C)牙冠斷裂 (D)牙根斷裂
44.乳牙牙齒斷裂露出活的牙髓,最不可能採用下列何種方式處理? (A)根尖成形術(apexification) (B)間接覆髓術(indirect pulp capping) (C)直接覆髓術(direct pulp capping) (D)斷髓術(pulpotomy)
45.那一種局部麻醉,術後不必擔心患者會咬傷口唇,造成創傷性潰瘍? (A)牙周韌帶內麻醉 (B)Gow-Gates氏麻醉 (C)壓力注射(jet injection) (D)骨膜內麻醉
46.需在全身麻醉下進行牙科治療之5歲身心障礙兒童,若有乳臼齒鄰接面齲齒,其治療方式以下列何者為宜? (A)溝縫隙填補劑 (B)光聚合樹脂預防性齲齒填補 (C)銀粉填補 (D)不銹鋼乳牙冠
47.對於聽障兒童之牙科門診治療,下列何種是達到直接溝通最有效的方式? (A)手語 (B)唇語 (C)手寫 (D)由翻譯人員翻譯
48.要讓兒童對兒童牙醫團隊建立信任關係,團隊成員的下列何種人格特質最重要? (A)笑容 (B)親切和藹 (C)誠實 (D)寬容忍耐
49.造成齲齒的因素非常多,並非單一因素所造成。下列何者是嬰幼兒齲齒的主要原因? (A)遺傳 (B)照顧者傳染 (C)母親沒有餵母奶 (D)嬰幼兒免疫力差
50.下列組織的成長發育,何者較容易受環境因素的影響? (A)牙齒大小 (B)繼生軟骨(secondary cartilage) (C)神經組織 (D)軟骨性顱骨(chondrocranium)
51.有關南斯氏(Nance appliance)空間維持器,下列何者錯誤? (A)可以防止第一大臼齒遠心移位 (B)可以防止第一大臼齒近心傾斜 (C)可以防止第一大臼齒近心移位 (D)可以防止第一大臼齒以腭側牙根為中心旋轉
52. 關於非營養性吸吮習慣(non-nutritive sucking habits)造成之問題,何者錯誤? (A)大部分的兒童會在24~36個月以前停止此習慣 (B)吸奶嘴的習慣比吸手指的習慣更易持續 (C)除了吸吮的時間外,吸力的大小也要列入是否會咬合不正的考慮中 (D)其與乳牙的咬合不正有高度關係,可能會造成後牙錯咬、前牙開咬、覆合(overjet)增加
53.關於乳犬齒過早喪失的敘述,下列何者錯誤? (A)會因恆牙側門齒的異位性萌發(ectopic eruption)造成 (B)會導致齒列中線偏移 (C)中線偏移嚴重時要拔除相對應的乳犬齒 (D)中線偏移嚴重時要以空間維持器控制
54.鐮刀狀細胞貧血症患者在全身麻醉前,若建議接受預防性輸血時,其血色素(hemoglobin)及血球容積比 (hematocrit)分別在多少以下時需輸血? (A)血色素7g/dL,血球容積比20% (B)血色素12g/dL,血球容積比20% (C)血色素7g/dL,血球容積比50% (D)血色素12g/dL,血球容積比50%
55.白血球範圍在下列何種情況時,患者容易有感染之風險,不適合接受一般牙科治療? (A)500~1000 cells/mm3 (B)2000~3000 cells/mm3 (C)5000~6000 cells/mm3 (D)10000~20000 cells/mm3
56.有關牙根斷裂後的組織反應,何者預後最差? (A)以鈣化組織癒合(healing with calcified tissue) (B)以結締組織癒合(healing with interposition of connective tissue) (C)以骨及結締組織癒合(healing with interposition of bone and connective tissue ) (D)以肉芽組織癒合(healing with interposition of granulation tissue)
57.下列疾病或症狀,何者較常出現在唐氏症的病人身上? (A)白血病(leukemia) (B)白斑(leukoplakia) (C)貧血(anemia) (D)血友病(hemophilia)
58.對於身心障礙者進行牙科治療時,下列何者是使用保護性固定(protective stabilization)的適應症? (A)可合作患者非緊急的牙科治療 (B)患者因身體狀況無法安全地進行固定(can not be safely stablized) (C)患者接受過保護性固定而有身體上或心理上的傷害 (D)患者無法配合診查及治療,並且各種行為誘導方式皆失敗的狀況下
59.病人為6歲兒童,突然牙齦流血,有疼痛感,下列何者為其最可能的診斷?(A)急性念球菌病(acute candidiasis) (B)廣泛性青春期前牙周病(generalized prepubertal periodontitis) (C)急性壞死潰瘍性牙齦炎(acute necrotizing ulcerative gingivitis) (D)慢性念球菌病(chronic candidiasis)
60.承上題,下列有關治療該病人之敘述,何者錯誤? (A)使用含氟漱口水 (B)使用抗生素,如penicillin (C)使用稀釋的H2O2漱口水 (D)使用chlorhexidine漱口水
61.下列何者不是測量資料的集中趨勢(central tendency)之統計量? (A)中位數(median) (B)全距(range) (C)平均值(mean) (D)眾數(mode)
62.探討兩個類別變項之相關性可用: (A)配對t檢定 (B)相關係數 (C)卡方檢定 (D)變異數
63.下列何者是擬定評價計畫的第一步? (A)召開評價計畫研擬會議 (B)界定相關群體 (C)決定評價是否需要 (D)文獻查考
64.影響個人健康行為的因素當中,下列何者屬於「健康信念模式(health belief model)」中的「修飾因素 (modifying factor)」? (A)對某疾病罹患性的認知 (B)對某疾病嚴重性的認知 (C)醫師的提醒 (D)自我效能
65.若口腔檢查時發現一受檢者之上顎後縮且下顎前突,則下列何者較正確? (A)咬合指數(OI)稱為恆牙上顎門牙缺損 (B)咬合外貌指數(OFI)為crowding (C)WHO的標準稱為齒顎顏面異常 (D)安格氏(Angle)分類為Class Ⅲ
66.根據世界衛生組織於2013年發行之第五版口腔健康調查的基本方法(Oral Health Surveys, Basic Methods,5 th ed., WHO, 2013),下圖箭頭所指的恆牙,其牙齒狀況應記錄為何? (A)齲蝕(decayed) (B)缺牙(missing) (C)未萌發齒(unerupted tooth) (D)不予記錄(not recorded)
67.下列何種疾病在病發後,常常會出現口腔症狀? (A)C型肝炎 (B)B型肝炎 (C)愛滋病(AIDS) (D)肺結核
68.就口腔疾病之預防層級來說,下列何者不屬於次段預防(secondary prevention)?①飯後潔牙習慣 ②定期 檢查後改善牙齦發炎之刷牙 ③定期檢查後之牙結石刮除 ④治療牙周炎之牙結石刮除 (A)②③ (B)②④ (C)①② (D)①④
69.有關牙菌斑之敘述,下列何者為正確? (A)牙菌斑在刷牙後24小時才會開始形成 (B)牙菌斑控制的情形是口腔衛生狀況的重要指標 (C)牙菌斑是食物殘渣,其形成速度和食物的攝取量有關 (D)食物中含蔗糖高時,較不易促進牙菌斑的形成
70.就預防齲齒的層級而言,推廣國小學童使用窩溝封劑(pit and fissure sealant)屬於下列何者? (A)促進健康 (B)特殊保護 (C)早期診斷立即治療 (D)復健
71.關於含氟牙膏在預防齲齒的應用,下列敘述何者錯誤? (A)以使用人數統計,目前是全世界排名第一的防齲方法 (B)許多先進國家齲齒盛行率降低的首要因素,應歸功於含氟牙膏的普及與使用 (C)因為無法完全控制吞嚥功能,學齡前兒童不宜使用含氟牙膏 (D)含氟牙膏的氟離子濃度加倍,防齲效果未必呈現倍數增加
72.有關綜合評價(summative evaluation)功能的說明,下列何者正確? (A)決定計畫是否值得繼續執行 (B)增進計畫的效能 (C)修正計畫方案 (D)形成計畫方案
73.衛生福利部國民健康署(原衛生署國民健康局)所推行之「口腔黏膜健康檢查」屬於三段五級預防層級 (level of prevention)中的那一級? (A)健康促進 (B)特殊保護 (C)早期診斷立即治療 (D)限制傷殘
74.依據世界衛生組織於2013年發行之第五版口腔健康調查的基本方法(Oral Health Surveys, Basic Methods,5 th ed., WHO, 2013)所訂之齲齒檢查標準,下列敘述何者錯誤? (A)因齲蝕而作之牙冠記為F (B)後牙牙橋之橋墩牙不記為F (C)因矯正需要而拔除之牙齒不記為M (D)頰、舌側牙齒平滑面呈去礦化之白斑,雖無明顯蛀洞,仍記為D
75.我國促進兒童青少年口腔健康之政策,下列四者進行之先後順序為何?①進行「國小學童餐後潔牙運動」 ②推廣「國小學童含氟漱口水防齲計畫」 ③推動「健康促進學校計畫」 ④試辦「校牙醫計畫」 (A)①②③④ (B)①②④③ (C)③④①② (D)③①④②
76.在牙醫診所的設計與功能上,下列何者不適合? (A)候診區與診療區的空間應分隔 (B)診療區的設計應考量患者的隱私性問題 (C)X光診療室需通過國家輻射安全檢測 (D)為減少噪音,診療區應鋪設地毯
77. 在進行全身麻醉並使頸部往後伸展時,唐氏症(Down syndrome)患者那兩個頸椎間容易發生脫臼? (A)第一及第二頸椎 (B)第二及第三頸椎 (C)第三及第四頸椎 (D)第四及第五頸椎
78.關於為身心障礙者實施根管治療時之考量,下列敘述何者錯誤? (A)儘可能一次就完成整個根管治療的療程(one-appointment endodontic procedure) (B)一般而言,全身性健康狀況不佳(poor systemic health)的身心障礙者,根管治療的成功率較低 (C)針對較不合作的病患,採鎮靜或全身麻醉(sedation or general anesthesia)較有助於前牙根管治療之實施 (D)採用旋轉式器械操作(rotary instrumentation)時,必須配合根管沖洗(irrigation)
79.孕婦在懷孕期間若有未處理及正在治療中的牙科疾患,應在何時進行治療較為適當? (A)妊娠初期(1~3個月) (B)妊娠中期(4~6個月) (C)妊娠後期(7~9個月) (D)任何時期皆可,無需特別注意
80.下列何者不是醫療資源管理中,所稱的3M之一? (A)人(manpower) (B)物(material) (C)財(money) (D)市(market)