所屬科目:醫學四:80題 ( 包括小兒科,皮膚科,神經科,精神科等科目及其相關臨床實例與醫學倫理 )
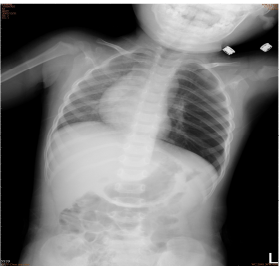
1.14個月大的男生,出現咳嗽並有呼吸急促已有10天,因為一直沒有發燒,直到媽媽發現他食慾不振 的情形才到門診求治,肺部聽診時發現兩側都可以聽到喘鳴聲(wheezing),左側呼吸音比右側小 聲,胸部X光片檢查如圖所示,下列何者是最有可能的診斷? (A)呼吸道異物 (B)先天性心臟病 (C)臟器轉位症候群 (D)左側氣胸
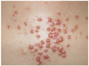
34.35歲男性,主訴從頸部到膝蓋散布脫屑的紅疹,如圖所示,理學檢查手掌腳掌皮膚正常,最可能的診斷為: (A)玫瑰糠疹(pityriasis rosea) (B)玫瑰疹(roseola) (C)麻疹(measles) (D)多形性紅斑(erythema multiforme)
35.28歲男性,於手掌腳掌出現無症狀的脫屑性皮疹,如圖所示,最可能的診斷為: (A)梅毒 (B)單純性疱疹 (C)疥瘡 (D)淋病
36.18歲男性,於前胸逐漸出現如圖所示之皮膚病變,合併輕度疼痛及癢感;下列何者是最不適當之治療方法? (A)局部注射皮質類固醇 (B)手術切除 (C)染料雷射治療 (D)局部貼敷矽膠
43.66歲男性出現如圖所示病灶,最可能診斷,與最重要的臨床特徵為何? (A)紅斑性狼瘡(lupus erythematosus);狼瘡性脂肪炎(lupus panniculitis) (B)全身性硬皮症(systemic sclerosis);手指硬化(sclerodactyly)、手指潰瘍(digital ulcerations) (C)類風濕性關節炎(rheumatoid arthritis);類風濕性結節(rheumatoid nodules) (D)皮肌炎(dermatomyositis);Gottron氏徵候(Gottron sign)
76.10歲女生因發高燒不退、劇烈右側腰痛而住院,注射對比劑後的電腦斷層掃描影像如圖,下列原因何者最為 可能? (A)腎盂腎炎 (B)腎絲球炎 (C)水腎 (D)腎動脈栓塞