所屬科目:進階專科護理-兒科
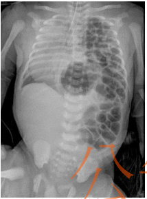
38. 一位新生兒,出生後因呼吸窘迫而插管使用呼吸器,X光片顯示如下圖。下列診斷何者 最有可能? (A) 先天性橫膈膜疝氣( congenital diaphragmatic hernia ) (B) 張力性氣胸(tension pneumothorax ) (C) 大動脈轉位症(transposition of great arteries) (D) 食道閉鎖併下段食道氣管瘻管( esophageal atresia with tracheoesophageal fistula )
72. 小美1歲10個月大,近日經常說眼睛痛、有斜視(strabismus)情形。今日用相機拍照使用 閃光燈,檢視照片時發現眼睛出現白色瞳孔(leukocoria)(如圖),母親帶至醫院尋求診斷, 發現眼壓高,有青光眼(glaucoma)之情形。依據您的判斷,小美有可能罹患的疾病為何? (A) 視網膜母細胞瘤(retinoblastoma ) (B) 先天性白內障( congenital cataract) (C) 神經母細胞瘤( neuroblastoma ) (D) 視神經炎( optic Neuritis)