所屬科目:放射線診斷原理與技術學
12.下圖的照射方法為何? (A)SMV(submentovertex)projection (B)Towne method (C)Caldwell method (D)Waters view
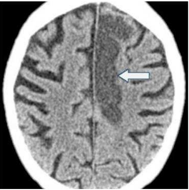
32.下圖箭號所指的診斷為何? (A)梗塞(infarction) (B)出血(hemorrhage) (C)腫瘤(tumor) (D)骨折(fracture)
35.胸部外傷病人電腦斷層攝影呈現如下圖,有關箭號所指下列那一項最正確? (A)pneumoperitoneum (B)pneumoretroperitoneum (C)pneumothorax (D)pneumonia
36.下圖中箭號所指的構造為何?
(A)門靜脈(portal vein) (B)下腔靜脈(inferior vena cava) (C)腹主動脈(abdominal aorta) (D)總膽管(common bile duct)
37.下圖為重組後腹部電腦斷層影像,白色箭號所指的為下列那一項? (A)Horse-shoe kidneys (B)Duplication of renal pelvis and ureter (C)Entero-ureteral fistula (D)Ectopic kidney
43.下圖為MRI的脈衝波序簡圖,下列有關圖中A及B的敘述何者正確?
(A)A為T2*,B為T2 (B)A為T1,B為T2 (C)A為T2,B為T2* (D)A為T1,B為T2*
44.下圖為磁振影像,箭號所指為何種現象引起?
(A)化學位移(chemical shift) (B)截斷(truncation) (C)移動(motion) (D)串擾(cross-talk)
45.腰椎MRI檢查偶而發生下圖左箭號所指之低訊號現象,經改正後影像發生如下圖右。下圖左箭號所指之低訊 號現象最可能的原因為何? (A)主磁場不均勻(magnetic field inhomogeneity) (B)渦電流(eddy current effect) (C)表面線圈選用不恰當(improper selection of surface coils) (D)身體或衣服上金屬異物(metallic foreign body)
49.下圖為頭部MRI影像,箭號所指假影,最可能是何種原因所造成? (A)病人打嗝 (B)金屬假牙 (C)病人眨眼睛 (D)病人吞嚥口水
62.下圖為肝臟超音波影像,何者最可能為單純肝臟囊腫(simple cyst)? (A)A (B)B (C)C (D)D
63.右側陰囊掃描如下圖,黃色箭號所指為何? (A)睪丸 (B)副睪丸 (C)睪丸腫瘤 (D)副睪膿瘍
64.下圖為頸動脈之彩色都卜勒超音波,箭號所指可能為何? (A)正常且適當之參數設定 (B)彩色都卜勒之aliasing假影 (C)彩色都卜勒之side lobe假影 (D)彩色都卜勒之clutter假影
69.下圖為上腹部超音波影像,箭號所指的低回音圓形構造為何?
(A)左腎靜脈(left renal vein) (B)上腸繫膜動脈(superior mesenteric artery) (C)上腸繫膜靜脈(superior mesenteric vein) (D)脾動脈(splenic artery)
72.骨盆腔超音波掃描如下圖,箭號所指為何? (A)膀胱 (B)攝護腺 (C)儲精囊 (D)直腸
76.下圖是TG18-CT的測試圖樣(test pattern)。它可執行數位顯示器的那個測試項目? (A)亮度反應 (B)亮度均勻性 (C)螢幕解析度 (D)解析度均勻性
78.如果有一張影像矩陣如下: 其dynamic range為何? (A)[0 6] (B)[1 6] (C)7 (D)6