所屬科目:心肺基礎醫學(包括解剖學、生理學、藥理學)
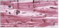
24.圖示切片取自下列何種組織? (A)骨骼肌 (B)平滑肌 (C)心肌 (D)結締組織
61. 下列有關組織缺氧的敘述,何者錯誤?〔各對應數據:①平均肺泡氧分壓(PAO2) ②動脈血氧分壓 (PaO2) ③動脈血氧含量(CaO2) ④混合靜脈血氧含量() ⑤氧氣輸送〕 (A)通氣不足(hypoventilation): ①低 ②低 ③低 ④低 ⑤低 (B)血紅素低(low hemoglobin):①正常 ②正常 ③低 ④低 ⑤正常 (C)休克(shock):①正常 ②正常 ③正常 ④低 ⑤低 (D)氰化物中毒(cyanide poisoning):①正常 ②正常 ③正常 ④高 ⑤正常