阿摩線上測驗
登入
首頁
>
牙醫學(三)(包括齒內治療學、牙體復形學、牙周病學等科目及其相關臨床實例與醫學倫理)
> 109年 - 109-2 專技高考_牙醫師(二):牙醫學(三)(包括齒內治療學、牙體復形學、牙周病學等科目及其相關臨床實例與醫學倫理)#89232
109年 - 109-2 專技高考_牙醫師(二):牙醫學(三)(包括齒內治療學、牙體復形學、牙周病學等科目及其相關臨床實例與醫學倫理)#89232
科目:
牙醫學(三)(包括齒內治療學、牙體復形學、牙周病學等科目及其相關臨床實例與醫學倫理) |
年份:
109年 |
選擇題數:
80 |
申論題數:
0
試卷資訊
所屬科目:
牙醫學(三)(包括齒內治療學、牙體復形學、牙周病學等科目及其相關臨床實例與醫學倫理)
選擇題 (80)
1.病患因牙痛前來求診,醫師本著良好的臨床知識及技術,謹慎地執行診斷及治療,避免讓病患承擔任何不當的風險,即是在履行醫學倫理的那一原則? (A)病患自主原則 (B)不傷害原則 (C)行善原則 (D)公平正義原則
2.深部的齲齒(deep caries lesions)容易造成牙髓傷害,是因為深部區域牙本質小管(dentinal tubules)產生下列何種改變? (A)牙本質小管密度減少 (B)牙本質小管的滲透力增加 (C)牙本質小管的直徑減少 (D)牙本質小管的長度增加
3.有關牙髓的敘述,下列何者正確? (A)少細胞區(cell-poor zone)可發現微血管與具髓鞘之神經纖維交織穿越 (B)少細胞區(cell-poor zone)的功能為協助修復性牙本質的生成 (C)多細胞區(cell-rich zone)的未分化之間葉幹細胞提供了牙本質的再生來源 (D)多細胞區(cell-rich zone)緊鄰造牙本質細胞層(odontoblast layer),提供牙本質生成所需
4.有關牙髓神經傳導之敘述,下列何者正確? (A)90%之A型神經纖維為A-δ型神經纖維 (B)牙髓發育中髓鞘神經纖維(myelinated fiber)較無髓鞘神經纖維(unmyelinated fiber)早 (C)C型神經纖維為髓鞘神經纖維(myelinated fiber) (D)牙本質小管內液體流動對C型神經纖維之影響較大
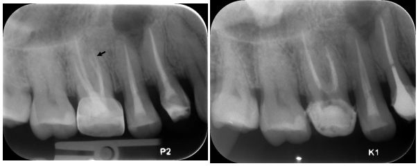
5.下圖為使用不同偏移角度對上顎右側後牙所拍攝的X光片。依據Weine的分類定義,右上第二小臼齒的根管形 態是屬於那一型?而箭頭所指的是第一大臼齒的那個根管?
(A)第二型根管形態,近心頰側根管(MB canal) (B)第二型根管形態,第二近心頰側根管(MB2 canal) (C)第三型根管形態,近心頰側根管(MB canal) (D)第三型根管形態,第二近心頰側根管(MB2 canal)
6.最常存在於原發性根管內感染(primay intraradicular infection)之微生物為何? (A)革蘭式陽性菌(gram-positive bacteria) (B)革蘭式陰性菌(gram-negative bacteria) (C)兼性厭氧菌(facultative anaerobes) (D)兼性嗜氧菌(facultative aerobes)
7.有關裂齒(cracked tooth)與垂直牙根斷裂(vertical root fracture)的敘述,何者正確? (A)裂齒大部分為頰舌側走向 (B)垂直牙根斷裂通常起始點為牙根表面延伸至根管內壁上 (C)裂齒常發生在下顎第二大臼齒 (D)垂直牙根斷裂常在近遠心側有特別深的牙周囊袋
8.關於乳牙齒列所遭受的牙科創傷,處理方式往往不同於恆牙齒列,下列關於乳牙齒列牙科創傷的敘述,何者正確? (A)最常見的乳牙齒列之牙科外傷是脫槽(avulsions)齒 (B)即使是牙冠-牙根斷裂(crown-root fractures)的乳齒,也不一定需要拔除 (C)針對乳牙齒列,很少對其牙齒進行固定(splinting),除非涉及到齒槽骨折(alveolar fractures) (D)乳牙齒列如果發生內縮鬆脫(intrusive luxation),不需做額外的檢查治療,等它自然復位即可
9.下列何者因牙齒外傷後導致的牙根吸收,主要是由壞死感染的牙髓所引發? (A)取代性牙根外吸收 (external replacement root resorption) (B)齒頸部牙根外吸收(external cervical root resorption) (C)發炎性牙根外吸收(external inflammatory root resorption) (D)牙根內吸收(internal root resorption)
10.下列那些外傷牙齒緊急處理時,可以採用部分冠髓切除術(partial pulpotomy)? (A)非複雜性牙冠斷裂且根尖未閉合 (B)非複雜性牙冠斷裂且根尖已閉合 (C)複雜性牙冠斷裂且根尖已閉合,可用複合樹脂填補者 (D)複雜性牙冠斷裂且根尖已閉合,需以牙冠復形者
11.進行下顎第一大臼齒局部麻醉時,除了使用lidocaine作下齒槽神經阻斷麻醉以外,也可以附帶使用那一種麻 醉藥作浸潤麻醉,以達到最佳麻醉效果? (A)prilocaine (B)mepivacaine (C)bupivacaine (D)articaine
12.根管治療時,若以傳統注射針頭搭配被動(passive)方式來沖洗,沖洗液射程往往最多只能比針頭尖端多幾mm? (A)1 (B)3 (C)5 (D)7
13.關於C型根管系統(C-shaped canal system)的敘述,下列何者錯誤? (A)亞洲人種的發生率高於歐洲人 (B)常發生於下顎第二大臼齒 (C)具C型根管系統的牙齒,通常在髓室底(pulpal floor)就呈現C型開口 (D)根管治療時,牙根穿孔容易發生在根管舌側
14.關於次氯酸鈉意外(sodium hypochlorite accident),下列敘述何者正確? (A)因沖洗針頭使用不小心,導致NaOCl滲漏或噴灑至病患衣物及皮膚所致 (B)病患當下產生劇痛(severe pain)、出血以及局部組織腫脹等症狀,是一種症候突發(flare-up) (C)可能會有組織壞死、感覺異常(paresthesia)、或繼發性的感染(secondary infection)發生 (D)必須開立類固醇類藥物,以控制感染及疼痛
15.關於根管修形過程中應該要達到的理想機械修形目標,下列敘述何者錯誤? (A)修形後的根管形態不僅要完整,並且要維持原始根管的中心性 (B)若修形過程中發生根管偏誤(transportation)等情況,即使予以修正後仍會影響根管治療的結果 (C)修形後的根管形態,不論在齒頸部及根尖部的齒質都不能有弱化的現象以預防牙根斷裂 (D)為了避免根管的過度修形,充分的髓腔開擴及適度擴大根管冠狀端三分之一處非常重要
16.No.212橡皮障夾(No. 212 clamp)是一種無翼的蝴蝶形橡皮障夾(wingless butterfly clamp),下列何種是正確的操作方法? (A)橡皮障、橡皮障夾和支架(frame)一組同時夾上牙齒 (B)牙齒先夾上橡皮障夾固定,再套上橡皮障,最後固定支架 (C)牙齒先套上橡皮障和固定支架,最後再夾上橡皮障夾 (D)牙齒先夾上橡皮障夾,再套上橡皮障和固定支架
17.相對於不鏽鋼根管銼,鎳鈦合金根管銼的彈性係數(modulus of elasticity)是不鏽鋼根管銼之多少倍? (A)4至5倍 (B)8至10倍 (C)1/4至1/5倍 (D)1/8至1/10倍
18.從牙根尖組織解剖結構的角度來看,在牙根尖手術(apical surgery)中,最適當的切根為與牙齒長軸的角度 為何? (A)呈90度角 (B)呈30度角 (C)呈45度角 (D)呈60度角
19.下列何者不屬於牙根尖手術可以使用的逆充填材料(retrograde root-end filling materials)? (A)glass-ionomer cement(GIC) (B)resin (C)bio-ceramic (D)MTA
20.如下圖所示,若欲針對下顎門齒區的根尖病灶(apical lesion)進行牙根尖手術(apical surgery)治療,最適合的翻瓣設計為何?
(A)緣下曲線翻瓣(submarginal curved flap) (B)Ochsenbein-Luebke翻瓣(Ochsenbein-Luebke flap) (C)方形翻瓣(rectangular flap) (D)三角形翻瓣(triangular flap)
21.根據Friedman和Mor的研究指出,關於根管治療預後的敘述,何者錯誤? (A)治療前無根尖周圍炎,初次接受根管治療的牙齒,十年追蹤的治癒率平均為九成以上 (B)治療前無根尖周圍炎,接受根管重新治療的牙齒,十年追蹤的治癒率平均為九成以上 (C)治療前有根尖周圍炎,初次接受根管治療的牙齒,十年追蹤的治癒率平均約為八成 (D)治療前有根尖周圍炎,接受根管重新治療的牙齒,十年追蹤的治癒率降為七成以下
22.根管重新治療時欲移除根管內的馬來膠封填材,較不建議使用下列何種方式? (A)熱源 (B)溶劑 (C)超音波器械 (D)高速手機鑽針
23.下列何者不是造成根管治療後牙齒發生牙冠變色的原因? (A)病人有服用四環黴素的病史 (B)根管內有未移除的壞死牙髓組織 (C)冠部填補物有微滲漏(microleakage)情形 (D)使用含有金屬成分的根管封填劑(canal sealer)
24.根管-牙周疾病(endo-perio combined lesion)的分類中,下列何種病變具有活性(vital)牙髓 ? (A)Primary endodontic lesion (B)Primary endodontic lesion with secondary periodontal involvement (C)Primary periodontal lesion (D)Primary periodontal lesion with secondary endodontic involvement
25.有關K-file和H-file的敘述,下列何者正確? (A)K-file修形根管時銼修(filing)比鑽修(reaming),較不易導致根管中心軸偏移 (B)當K-file的凹槽(flutes)排列變得較為緊密或疏鬆,雖然已形成永久變形仍能使用 (C)使用H-file時,應避免使用銼修(filing),因為器械斷裂可能性極高 (D)H-file使用時應儘量避免預先彎曲器械,因為其壓力點可能會增加疲勞斷裂的可能性
26.隨著美學意識抬頭,漂白(bleaching)越來越被國人重視。關於持續式漂白法(walking bleaching),下列敘述何者正確? (A)剛完成良好根管治療根尖牙周炎(apical periodontits)尚未癒合的牙齒,應待癒合後才可進行漂白 (B)一些有缺陷的修復體(restoration)必須重新再治療,因為有時牙齒變色是不良修復體所造成的 (C)根管填充物應移除到相當於比頰側牙齦略低的位置,建議使用次氯酸鈉或是磷酸清洗根管 (D)過硼酸鈉(sodium perborate)和雙氧水混合,比和蒸餾水混合漂白時間更快,長時間觀察漂白結果較好
27.初萌發的大臼齒咬頭處牙釉質(enamel)的平均厚度約為多少 mm? (A)1.0~1.5 (B)1.6~2.1 (C)2.5~3.0 (D)3.5~4.0
28.在挖除齲齒的過程中,若有牙髓暴露導致出血,下列何種溶液最能達到抗菌以及有效抑制出血的目的? (A)生理食鹽水(normal saline) (B)腎上腺素(epinephrine) (C)雙氯苯雙胍己烷(chlorhexidine solution) (D)次氯酸鈉(sodium hypochlorite)
29.牙本質去礦化的臨界酸鹼值(critical pH value)為多少? (A)4.5 (B)5.2 (C)5.5 (D)6.2
30.關於牙本質齲齒的敘述,下列何者錯誤? (A)牙本質齲齒的受影響層(affected zone)和正常牙本質礦化程度一樣 (B)受影響層(affected zone)可不需完全移除 (C)可利用 1% acid red 52 對感染層(infected zone)做選擇性染色 (D)當齲齒進展較慢時,較易形成硬化牙本質(sclerotic dentin)
31.胃食道逆流患者若發生腐蝕(erosion),較不會出現在前後牙的那個牙面? (A)舌側 (B)切端 (C)咬合面 (D)唇側
32.關於水份在自酸蝕(self-etch)黏著系統中的功用,下列敘述何者正確?①使黏著劑中的單體(monomer)離子化(ionized) ②降低黏著劑的黏稠度(viscosity) ③常與乙醇作為共同溶劑 ④添加之重量百分比約為50 wt% (A)①②③ (B)②③④ (C)①③④ (D)①②④
33.與全酸蝕(total-etch)黏著劑相較,下列何者是自酸蝕底劑(self-etching primer)的優點? (A)酸蝕牙釉質的效果較佳 (B)與牙釉質鍵結力較佳 (C)與牙釉質鍵結不易有微滲漏(microleakage) (D)術後敏感較少
34.關於氣動(air driven)及電動(electric)高速手機的轉速及功率的敘述,下列何者正確? (A)轉速:氣動>電動,功率:氣動>電動 (B)轉速:氣動>電動,功率:氣動<電動 (C)轉速:氣動<電動,功率:氣動>電動 (D)轉速:氣動<電動,功率:氣動<電動
35.下列何者與橡皮障(rubber dam)的施用無關? (A)潤滑劑 (B)橡皮障夾 (C)圓形鑽針(round bur) (D)打孔器(punch)
36.復形治療時,欲使用排齦線防濕,有關排齦線放置的敘述,下列何者正確? (A)放置至附連牙齦(attached gingiva)中 (B)長度須超過牙齦側窩洞壁(gingival wall)1mm (C)露出牙齦邊緣(gingival margin) (D)放置至使游離牙齦(free gingiva)泛白的深度
37.光聚合(light-curing)複合樹脂在進行聚合時,下列敘述何者錯誤? (A)聚合度(polymerization rate)與聚合光強度及照射時間有關 (B)複合樹脂聚合程度一般不超過 65% (C)填料顆粒體積越小,聚合光散射(scattering)越低 (D)每次樹脂添加的厚度不應超過 1.5~2.0 mm
38.下列關於結構因素(C-factor)的敘述,何者正確? (A)是指樹脂充填於窩洞時,未黏著面/黏著面的比值 (B)C-factor 越大,表示充填的緻密度越高 (C)C-factor 越大,表示樹脂聚合時流動之代償性越大 (D)C-factor 越大,表示樹脂聚合後的收縮應力越大
39.關於複合樹脂填補時,預先使用木楔(prewedging)的敘述中,下列何者錯誤?①為所有窩洞填補過程的必要操作 ②可提供成型環帶(matrix band)置入空間 ③使用木楔對橡皮障下的牙齦無保護效果 ④減少傷害鄰牙 (A)①② (B)②③ (C)③④ (D)①③
40.三級窩洞填補時,對於填補物外懸(overhang)的樹脂可以使用下列何者刮除? (A)No.15 刀片 (B)No.11 刀片 (C)No.12 刀片 (D)研光器(burnisher)
41.下列關於上顎前牙形態之敘述,何者錯誤? (A)將 mesiofacial 與 distofacial line angle 修得更接近,會使牙齒看起來寬度較窄 (B)將 developmental depression 修得更接近,會使牙齒看起來寬度較窄 (C)強調 gingival perikymata,會使牙齒看起來較短 (D)將 gingival height of contour 修得更往牙齦方向,會使牙齒看起來較短
42.比較複合樹脂和汞齊合金的性質,下列何者錯誤? (A)樹脂之磨耗量較大 (B)樹脂與牙齒熱膨脹係數差異較小 (C)樹脂填補後之體積變化量較大 (D)樹脂填補操作敏感度較高
43.使用汞齊填補臼齒二級窩洞,其鄰接面和牙齒之間的窩緣角(cavosurface angle)應為多少度? (A)45 度 (B)90 度 (C)120 度 (D)180 度
44.關於第一類汞齊充填的窩洞製備原則,下列敘述何者錯誤? (A)咬合面深度須達 1.5 mm 以上 (B)髓壁(pulpal wall)需建立在 DEJ 以下至少 0.2 mm (C)頰舌、近遠心壁皆需向咬合面聚攏(converge) (D)大臼齒邊緣嵴(marginal ridge)需保留 2 mm以上
45.下列何種情形不會在第二類型汞齊填補(Class II amalgam filling)邊緣嵴(marginal ridge)後,因重建高度與鄰牙不協調而產生? (A)填補的牙齒容易產生食物阻塞(food impaction) (B)填補的牙齒不容易維持牙周健康 (C)填補牙齒的對咬牙易造成冷熱敏感 (D)填補的牙齒在使用牙線時,清潔效果降低
46.第二類(class II)汞齊填補之窩洞修形時,鄰接盒型(proximal box)所做的固位溝(retention groove)需位於何處? (A)軸向牙齦線角(axiogingival line angle) (B)頰、舌側壁(buccal and lingual wall) (C)牙齦壁(gingival wall) (D)牙髓壁(pulpal wall)
47.關於金合金嵌體的鄰接面齦緣斜面(gingival bevel)修形的敘述,下列何者錯誤? (A)為了去除強度較弱的牙釉質 (B)邊緣較易研光(burnish) (C)較為美觀 (D)改善邊緣的密貼度
48.下列何種方式可以有效增加金合金嵌體或冠蓋體(gold inlay or onlay)之固持性(retention)? (A)減少復形體之近遠心側環覆面積(circumference) (B)將窩洞相對側壁之平行程度(parallel)調整成向咬合面聚攏(convergence toward occlusal) (C)增加窩洞側壁之長度 (D)於鄰接面之牙齦側壁(gingival wall)增加針孔(pinholes)
49.下列何種黏著劑成分可強化對金屬或 zirconia 之黏著? (A)酸性單體 10-methacryloyloxydecyl dihydrogen phosphate(10-MDP) (B)有機溶劑丙酮(acetone) (C)親水性單體 2-hydroxyethyl methacrylate(HEMA) (D)起始劑 benzoyl peroxide(BPO)
50.關於理想的臉部美觀的敘述,下列何者錯誤? (A)上唇長度(鼻子下緣到上唇下緣),會隨年齡而增加 (B)切緣平面(incisal plane)是指正中門牙切端的平面 (C)切緣平面會平行於兩側的瞳孔連線 (D)切緣平面不會是平的,而是大致平行於微笑時的下唇弧度
51.使用漂白劑時,牙釉質上殘留的氧會抑制樹脂硬化,因此牙齒漂白後至少需多久才可以填補複合樹脂? (A)一天 (B)三天 (C)一星期 (D)三星期
52.有關透明度(translucency)的敘述,下列何者錯誤? (A)透明度代表光穿透牙齒或復形物的程度 (B)在門牙使用紫色的顏色改變劑(color modifier),可模擬透明度 (C)利用不透光的樹脂(opaque resin)遮住牙齒的色斑(stain)會減低光的穿透 (D)光穿透的深度愈深,愈容易造成美觀失真(loss of esthetic vitality)
53.關於健康的連接上皮(junctional epithelium)的敘述,下列何者錯誤? (A)沒有角質素(keratin) (B)被歸類為角化不全(parakeratinized)上皮細胞 (C)在底端可觀察到1~2個細胞寬 (D)具hemidesmosome的結構
54.牙骨質(cementum)的胚胎來源於下列何者? (A)dental follicle (B)reduced enamel epithelium (C)epithelial rests of Malassez (D)basal lamina of Hertwig's epithelial root sheath
55.關於牙周韌帶主纖維(principal fibers)的敘述,下列何者錯誤? (A)主纖維所含有膠原蛋白的量,主要是由羥基脯氨酸(hydroxyproline)的量來決定 (B)夏庇氏纖維(Sharpey's fibers)的鈣化與豐富的膠原蛋白(collagen protein)有關 (C)第一及第三型膠原蛋白其原纖維(fibrils)與纖維形成有關 (D)齒槽嵴纖維(alveolar crest fibers),可防止牙齒的突出及抵抗側方的移動
56.關於牙周組織(periodontium)的敘述,下列何者錯誤? (A)上皮內的Langerhans cells是吞噬細胞的一部份 (B)Merkel cells含nerve endings,與tactile sensitivity有關 (C)PDL cells具有產生pericementum與periosteum的潛力 (D)sockets的walls在X光片上稱cribriform plates,在組織學上稱lamina dura
57.關於periodontal index(PI)及periodontal disease index(PDI)的敘述,下列何者錯誤? (A)PI 計分最低是 0 (B)PI 是可逆的(reversible) (C)PDI是不可逆的(irreversible) (D)PDI是以牙周囊袋(pocket depth)判斷計分
58.有位50歲的男士其CPITN社區牙周治療需求指數的紀錄如表格,請問該男士的牙周治療需求為何?
(A)接受口腔衛生教育即可 (B)有兩個部位必須進行牙周手術 (C)不須接受牙周治療,其缺牙區可直接進行贋復重建 (D)需要進行口腔衛生教育與超音波潔牙及牙根整平術
【已刪除】59.下列何者不是增加牙齒搖動度(increased mobility)的原因? (A)齒槽骨喪失 (B)磨牙 (C)牙齦過度發炎 (D)懷孕或使用避孕藥物 (E)一律給分
60.牙菌斑形成過程中,下列何種細菌具有凝集(coaggregation)其它口內細菌的能力? (A)Fusobacterium nucleatum (B)Prevotella loescheii (C)Capnocytophaga ochracea (D)Streptococcus sanguinis
61.隨著炎性病灶演進時(early→ established→ more advanced lesions),其主要的炎性細胞的變化(shift of inflammatory cells),下列敘述何者正確? (A)從neutrophils→mast cells→macrophages (B)從neutrophils→plasma cells→lymphocytes (C)從plasma cells→lymphocytes→neutrophils (D)從neutrophils→lymphocytes→plasma cells
62.下列毒性因子(virulence factors)中,何者不是Aggregatibacter actinomycetemcomitans JP2產生的? (A)leukotoxin(LtxA) (B)gingipains(RgPA, RgPB) (C)lipopolysaccharides(LPS) (D)cytolethal distending toxin(Cdt)
63.下顎第一大臼齒,依據水平骨性吸收(H)與垂直性骨吸收(V)的程度,下列何者屬於根叉侵犯Class II, subclass B? (A)H= 0 mm;V= 1~3mm (B)H= 2 mm;V= 4~6mm (C)H= 3 mm, not through and through;V= 4~6mm (D)H= through and through;V≧7mm
64.關於以chlorhexidine(CHX)漱口的敘述,下列何者正確? (A)在牙周病囊袋清創或拔牙時,能降低菌血症的風險 (B)不建議牙齦增生或牙齦肥大的患者長期使用 (C)CHX的安全性研究顯示,長時間遇熱會有致癌風險 (D)最佳濃度是以0.12%,10 mL漱口30秒
65.何種 Gracey curettes適用於大臼齒的遠心鄰界面(distoproximal surfaces)? (A)No. 13-14 (B)No. 7-8 (C)No. 5-6 (D)No. 1-2
66.取口內自體骨時所需考量的觀點,下列何者正確? (A)若要使用鑽針輔助取骨,轉速宜小於5,000 rpm,以避免周圍骨壞死 (B)取骨區域無論上下顎,均需至少距離牙根尖端5 mm (C)應盡量避免於牙周或植牙之同一手術區域取骨 (D)不宜從外生贅骨(exostosis)區域取骨
67.下列何種牙周手術後疼痛(postoperative pain)最為劇烈? (A)引導組織再生手術(guided tissue regeneration) (B)游離牙齦移植手術(free gingival graft) (C)骨切除術(resective osseous surgery) (D)牙齦切除術(gingivectomy)
68.關於骨移植材料的敘述,下列何者正確? (A)骨誘導(osteoinduction)是生理作用(physical effect) (B)Bio-Oss是同種異體移植物(allograft) (C)拔牙窩經8~12週癒合,新形成的皮質骨可以做為骨移植材料 (D)口腔外自體移植骨,通常會造成牙根吸收及腐骨形成的現象
69.關於牙周術後照顧(post-surgical care)的敘述,下列何者錯誤? (A)術後的牙菌斑控制是決定牙周手術長期結果最重要的因素 (B)可以使用0.1~0.2%的chlorhexidine solution 漱口,一天兩次 (C)傷口的穩定會影響手術的結果 (D)在手術後初期可使用牙間刷(interdental brush)進行牙齒之間的清潔
70.游離軟組織移植(free soft tissue graft)的區域,約在手術後多久較容易觀察到creeping attachment的現象? (A)1個月 (B)3個月 (C)6個月 (D)1年
71.下列手術器械以及其配合的使用模式之敘述,下列何者正確? (A)back-action chisel使用推(push)的方式 (B)Ochsenbein chisel使用推(push)的方式 (C)骨銼(bone file)使用推(push)的方式 (D)刮匙(curette)使用推(push)的方式
72.關於healing after periodontal surgery的敘述,下列何者錯誤? (A)血塊是必要的且儘量厚些 (B)上皮細胞於初始縫合後,約24小時開始分化與生長 (C)連接上皮在10至12天回到其術前狀況 (D)拔牙後1至2個月的拔牙窩,常被選為移植骨來源之一
73.關於維持期(maintenance phase)時病人回診(recall)時間,若病人在牙周治療完成之後牙周狀況穩定,傷口癒合良好,第一年會建議病人多久定期回診檢查一次? (A)1~2個月 (B)3個月 (C)6個月 (D)12個月
74.Lang& Tonetti(2003)對維護期的牙周危險因子評估(periodontal risk assessment)之敘述,下列何者為非? (A)囊袋探測出血的比例 (B)BL%/age (C)全口32顆牙齒喪失數目 (D)有無系統性疾病或抽菸
75.癌症或是骨質疏鬆症的患者可能使用雙磷酸鹽類藥物(bisphosphonate),可能副作用為顎骨壞死 (bisphosphonate-related osteonecrosis of the jaw, BRONJ)。關於BRONJ的敘述,下列何者正確? (A)根據2007年Wang EP的研究指出,雙磷酸鹽類藥物以靜脈注射方式進行癌症治療的患者有2.5%到5.4%的機率產生BRONJ (B)根據2007年Wade ML的研究指出,雙磷酸鹽類藥物以口服方式進行骨質疏鬆症治療的患者有1.5%到2.5%的機率產生BRONJ (C)血檢報告中的C-terminal telopeptide 數值若為300 pg/ml表示BRONJ發生的風險很高 (D)使用口服雙磷酸鹽類藥物三年以上的患者,BRONJ的風險很低,可以放心進行拔牙及植牙等治療
76.當服用抗凝血藥物的患者進行牙周病治療時,下列敘述何者最正確? (A)INR(international normalized ratio)數值小於2.0時可以進行阻斷性麻醉、較容易的牙周手術及簡單的拔牙手術 (B)若牙周手術前INR過高,經內科醫師會診後可能會建議病人停藥一週 (C)若患者有停用抗凝血劑藥物,則在牙周手術後24小時始可恢復用藥 (D)手術過程中可局部使用抗凝血劑如eugenol,以控制手術區域出血狀況
77.關於高血壓病患的牙周病治療的敘述,下列何者正確? (A)因為早上血壓較低且平穩,適合於上午約診治療 (B)就診時血壓為收縮壓165 mmHg/舒張壓100 mmHg時,仍可進行正常牙周病治療 (C)可以少量使用含1:100,000 epinephrine的麻藥來增加麻醉深度 (D)牙周膜內注射(intraligamentary injection),比血管內注射(intravascular injection)較不會引起明顯的血液動態變化
78.根據研究,植體植入後,若低於多少的微動(micromovement)將不會影響骨整合? (A)150 μm (B)200 μm (C)250 μm (D)300 μm
79.在定期維護下之健康植牙,其植體周圍軟組織內的菌種主要為何? (A)cocci (B)fusiforms (C)motile rods (D)spirochetes
80.關於implant assessments的敘述,下列何者錯誤? (A)Mombelli’s modified plaque index (mPI) of [2]:指的是肉眼可見菌斑 (B)探診檢查PPD、CAL、BoP時:用2~3N輕力探診 (C)X線片檢查:術後每年一次拍X線片,如有peri-implantitis時則立即拍照 (D)咬合關係的檢查:首重於是否有穩定的正中咬合及前伸及側方運動有無咬合干擾
申論題 (0)
相關試卷
115年 - 115-1 專技高考_牙醫師(二):牙醫學(三)(包括齒內治療學、牙體復形學、牙周病學等科目及其相關臨床實例與醫學倫理)#137339
115年 · #137339
114年 - 114-2 專技高考_牙醫師(二):牙醫學(三)(包括齒內治療學、牙體復形學、牙周病學等科目及其相關臨床實例與醫學倫理)#128948
114年 · #128948
114年 - 114-1 專技高考_牙醫師(二):牙醫學(三)(包括齒內治療學、牙體復形學、牙周病學等科目及其相關臨床實例與醫學倫理)#125097
114年 · #125097
113年 - 113-2 專技高考_牙醫師(二):牙醫學(三)(包括齒內治療學、牙體復形學、牙周病學等科目及其相關臨床實例與醫學倫理)#121677
113年 · #121677
113年 - 113-1 專技高考_牙醫師(二):牙醫學(三)(包括齒內治療學、牙體復形學、牙周病學等科目及其相關臨床實例與醫學倫理)#118712
113年 · #118712
112年 - 112-2 專技高考_牙醫師(二):牙醫學(三)(包括齒內治療學、牙體復形學、牙周病學等科目及其相關臨床實例與醫學倫理)#115911
112年 · #115911
112年 - 112-1 專技高考_牙醫師(二):牙醫學(三)(包括齒內治療學、牙體復形學、牙周病學等科目及其相關臨床實例與醫學倫理)#113154
112年 · #113154
111年 - 111-2 專技高考_牙醫師(二):牙醫學(三)(包括齒內治療學、牙體復形學、牙周病學等科目及其相關臨床實例與醫學倫理)#109844
111年 · #109844
111年 - 111-1 專技高考_牙醫師(二):牙醫學(三)(包括齒內治療學、牙體復形學、牙周病學等科目及其相關臨床實例與醫學倫理)#106191
111年 · #106191
110年 - 110-2 專技高考_牙醫師(二):牙醫學(三)(包括齒內治療學、牙體復形學、牙周病學等科目及其相關臨床實例與醫學倫理)#99932
110年 · #99932