所屬科目:臨床口腔醫學
1. 下列何者不是牙冠增長手術的適應症? (A)牙齒在牙齦底下有齲齒 (B)牙齒在齒槽嵴處有斷裂 (C)牙齒的牙根在中段斷裂 (D)暴露齒質以強化固定義齒的固位力(retention)
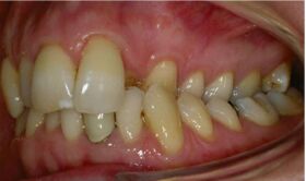
2. 下列何者不是牙周病的早期症狀? (A)牙齦探測流血 (B)牙周囊袋 2 mm (C)牙齦顏色轉深紅 (D)牙齦處有滲出物
3. 雷射相比於傳統手術切除在牙周病治療的使用,下列敘述何者正確? (A)雷射切口比刀片切口癒合得更快。 (B)雷射手術的止血速度快。 (C)雷射切口的出血風險較高。 (D)雷射手術後腫脹和疼痛增加。
4. 下列何者不是造成壞死性牙周炎(Necrotizing Periodontitis)的因素? (A)免疫系統受抑制 (B)營養有失調 (C)心理壓力大 (D)口腔照護好
5. 請問下列哪項關於抗菌劑與抗生素的敘述是正確的? (A)四環黴素(tetracycline)會增強避孕藥的效果 (B)青黴素(penicillin)對牙周病的抗菌效果很好 (C)氟化物漱口水每天使用能減少牙菌斑和牙齦炎的問題 (D)雙氯苯雙胍己烷(chlorhexidine)漱口水會造成牙齒染色
6. 請問下列教導糖尿病病人重要事項的敘述是有誤的? (A)定期進行醫療和牙科檢查 (B)注意口腔健康並進行口腔自我照護 (C)控制體重、監測血糖、戒菸等生活調整 (D)血糖控制良好後可忽略併發症警訊
7. 在 2017 World Workshop 公布的牙周炎新分類中,Stage II 的臨床特徵是下列何者? (A)有 3-4 mm 的牙周附連喪失 (B)有 6 mm 深的牙周囊袋深度 (C)X-ray 有 4 mm 的垂直骨喪失 (D)因牙周病導致 2 顆牙齒喪失
8. 下列何者條件,在牙周治療後的預後預估為良好? (A)探測出血(bleeding on probing)大於 10% (B)糖化血色素(HbA1c)控制在 6.5 以下 (C)存在 Class II 牙根分叉處侵犯 (D)每天抽菸<10 支且沒有酗酒
9. 懷孕第 16 週的孕婦,牙科門診主訴牙齦紅腫、刷牙流血,症狀持續約兩週。經檢查後診 斷為牙周炎,下列處置與口腔照護何者較為正確? (A)孕婦出現噁心或嘔吐時,應立即刷牙以清潔牙齒 (B)不建議題目中的孕婦進行全口牙結石清除的牙科治療 (C)美國牙醫協會聲明,必要時仍可做牙科放射線拍攝 (D)就診時平躺姿勢較為舒適,且每次治療時間勿過長
10. 牙齦下與牙齦上牙菌斑微生物組合的敘述,何者正確? (A)牙齦上牙菌斑微生物主要由革蘭氏陰性厭氧菌組成 (B)Porphyromonas gingivalis 會出現在牙齦下牙菌斑中 (C)Lactobacillus 會出現在牙齦下牙菌斑中 (D)牙齦上牙菌斑與牙齦下牙菌斑的微生物組合完全相同
11. 以下哪一個因素不會增加牙結石的生成風險? (A)牙齒排列錯位且擁擠 (B)唾液含高濃度鈣離子 (C)建議適度攝取鋅元素 (D)每日只在飯前刷牙一次
12. 對於擁有第一型鄰間楔隙 (type I interproximal embrasure) 的病人,最適合使用哪 種齒縫清潔工具? (A)齒間刷 (B)口腔沖洗器 (oral irrigator) (C)牙線 (D)牙刷
13. 牙髓神經受傷時可能出現多種症狀與跡象,以下哪些為正確的表徵?①咬合或咀嚼時引發疼痛 ②牙齒出現破裂或變色 ③牙齒對冷熱飲食敏感 (A) 僅① (B)①③ (C)②③ (D)①②③
14. 在根管治療過程中,根管長度測量不準確可能引發多種問題,以下哪項問題不會因此產 生? (A)發生根尖穿孔 (B)封填長度過長 (C)改變齒質結構 (D)治療後會疼痛
15. 在根管治療中,沖洗液常被使用來清潔根管,其主要目的不包括下列哪一項? (A)清潔器械無法到達的區域 (B)阻擋細菌入侵 (C)去除修形過程中的殘屑 (D)溶解有機物及無機物
16. 非手術性牙髓治療失敗的可能原因,下列哪些是正確的? ① 持續性感染 ②根尖穿孔 ③牙根根尖過於彎曲 (A) 僅① (B)①② (C)②③ (D)①②③
17. 在進行根尖切除術時,牙醫師可以檢查根尖的下列哪些情況? ① 根管的密封狀況 ② 是否存在副根管 ③ 牙根是否有裂痕 ➃固定牙冠的密合度 (A)③➃ (B)①③ (C)②③➃ (D)①②③
18. 根管沖洗液次氯酸鈉 (sodium hypochlorite) 具備多種功能,但下列何者不是其作用? (A)止血功能 (B)潤滑效果 (C)殺菌與溶解組織的能力 (D)機械性沖洗根管殘屑
19. 下列何者不適合作為根管封填劑? (A)蟻醛甲酚合劑 (B)玻璃離子體 (C)氧化鋅丁香油 (D)氫氧化鈣
20. 在牙髓病的診斷與治療中,對 X 光片的要求包括下列哪些正確選項? ① 影像範圍看到根尖,不須包含其周圍骨組織 ② 影像不能有變形、伸長或縮短的現象 ③ 影像對比度清晰,要可以辨識各項結構 (A)僅① (B)①③ (C)②③ (D)①②③
21. 下列何者可有效消毒馬來膠針(gutta-percha cone, GP cone)? (A)浸泡於 0.2% chlorhexidine 溶液中 1 分鐘 (B)浸泡於 5.25% NaOCl 溶液中 1 分鐘 (C)浸泡於 3% 雙氧水(H2O2)溶液中 1 分鐘 (D)浸泡於 70% 酒精溶液中 1 分鐘
22. 下列根管治療用器械,何者需要低轉速的手機來進行操作? (A)擠針(spreader) (B)K 型根管銼(K-type file) (C)蓋氏鑿鑽(Gates-Glidden drills) (D)填壓器(plugger)
23. 以下哪項不是色調選擇的正確方法? (A)使用標準的日光燈 (B)要請病人卸下口紅 (C)要快速做出色調選擇的決定 (D)張大眼睛 10 秒後再確認色調
24. 下列哪項工具用於複合樹脂填補後的鄰接面調整與拋光? (A)White stone (B)Diamond bur (C)Finishing strips (D)Polishing paste
25. 以下何者不是使用複合樹脂修復的適應症? (A)後牙二級窩洞填補 (B)關閉上顎前牙牙縫 (C)無法維持良好口腔衛生 (D)修復上顎釘狀齒的外觀
26. 哪一個因素不會影響樹脂材料光聚合時所需的時間? (A)缺損窩洞的牙位 (B)廠商說明書的建議 (C)缺損窩洞的大小 (D)樹脂材料的顏色
27. 在進行複合樹脂填補時,使用木楔(wooden wedge)的目的,下列何者為有誤? (A)保護鄰接面牙齦 (B)分離相鄰牙齒 (C)使填補表面更光滑 (D)建立適當接觸點
28. 下列何者為玻璃離子的特點? ①容易放置②黏著力佳③釋放氟化物④操作流程複雜⑤抗咬力 (A)①②③ (B)②③⑤ (C)②③④ (D)①④⑤
29. 以下何者不是玻璃離子體材料常見的應用? (A)乳牙齲齒修復 (B)窩溝封填劑 (C)牙根齲齒 (D)後牙大範圍修復
30. IRM (Intermediate Restorative Materials)因為含有以下哪種成分,具有鎮靜牙髓組 織的效果? (A)氧化鋅 (B)玻璃離子 (C)丁香油酚 (D)碳酸鈣
31. 哪一類型的窩洞填補需要用到右圖中的成型環帶(matrix band)? (A)Class I cavity (B)Class II cavity (C)Class III cavity (D)class IV cavity
32. 進行二級窩洞填補時,放置 retainer、Matrix Band 及 Wedge 的正確步驟順序應該是什麼?①Placing the Wedge ②Placing Matrix Band and Universal Retainer ③Preparing (A)③ → ① → ② (B)① → ③ → ② (C)③ → ② → ① (D)① → ② → ③
33. 在修磨支柱時,為避免溫度過高對支柱牙造成損害,下列敘述何者正確? (A) 增加電動手機的轉速可以降低溫度 (B) 保持鑽針清潔可以維持切削效率並減少熱產生 (C) 過大的壓力不會影響溫度升高 (D) 降低電動手機的轉速不需要降低噴水量
34. 下列何種情況適合考慮固定義齒的製作? (A) 無法負擔治療費用 (B) 同一牙弓缺少相鄰 5 顆牙齒 (C) 存有足夠合適健康的支柱牙 (D) 口腔衛生習慣不佳
35. 製作牙冠或牙橋時,最終印模應包含整個修整後的牙齒形態以及部分未切割的牙齦下牙 齒結構。以下哪種方法可用來取得這些細節? (A) 咬合紀錄 (B) 牙齒修形 (C) 牙齦排開 (D) 牙冠固位輔助
36. 下列何者為全瓷牙冠製作的禁忌症? (A)牙齒曾接受根管治療 (B)牙齒有鄰接面齲齒 (C)牙齒存在牙齦萎縮 (D)病人有夜間磨牙的情況
37. 暫用覆蓋體(Temporary crown)的功能包含① 保護牙髓免於敏感② 維持牙周健康③ 提供咬合穩定性④ 保持牙弓內牙齒的位置⑤ 保護修形及邊緣免於破裂⑥ 取代正式固定補綴物 (A) ①③⑥ (B) ①②③④⑤ (C) ②④⑤⑥ (D) ①②③④⑤⑥
38. 關於活動式局部義齒,下列何者為有誤的敘述? (A) 義齒支架(framework)是金屬的骨架,提供維持義齒形狀的功能 (B) 連接體(connector)又稱為棒(bar),是用來連接局部義齒的各個部分 (C) 固定器(retainer)又稱為扣環(clasp),分為 I 形固定器和環繞式固定器 (D) 支架(rest)是義齒突出的金屬部分,藉由扣住或環繞支台齒的方式
39. 關於活動式全口義齒,下列何者為有誤的敘述? (A) 下顎全口義齒的凸緣會覆蓋殘脊、附連黏膜,延伸至粗隆及軟硬顎交界處等部位 (B) 上顎全口義齒在口腔中維持的位置依靠後障(Post dam),又稱顎後密閉(posterior palatal seal) (C) 下顎全口義齒在口腔中的穩定性依靠剩餘齒槽脊的支撐,以及義齒與齒槽脊之間的吸力 (D) 基底設計是為了覆蓋並密合齒槽脊及周圍的牙齦組織
40. 全口義齒的印模步驟順序? ① 初步印模② 最終印模③ 試戴基底板和咬合堤④ 裝置⑤ 客製化模托⑥ 排牙試戴 (A) ② ① ⑤ ⑥ ③ ④ (B) ① ② ⑥ ③ ⑤ ④ (C) ① ⑤ ② ③ ⑥ ④ (D) ① ② ⑥ ⑤ ③ ④
41. 在製作全義齒時,測試咬合堤時會記錄的事項,下列何者為非? (A) 瞳孔間線 (B) 垂直高度 (C) 咬合關係 (D) 微笑線
42. 即裝義齒(immediate denture)的功能,下列何者為非? (A) 可立即補充病人前牙拔除後所空下來的位置 (B) 可以裝置在任一牙弓與位置上 (C) 在傷口復原期間,具有壓緊與類似繃帶的作用來保護傷口 (D) 可以配戴 5-10 年
43. 關於 pressure-indicating paste(PIP)的描述,以下何者正確? (A) 可以測試全口義齒基底的適合度 (B)可以測試固定義齒的密合度 (C) 可以測試局部活動義齒的咬合高度 (D)塗抹在義齒組織表面可以增加舒適度
44. 關於全口義齒的居家保養指導,下列敘述何者較為正確? (A) 使用牙刷與牙膏清潔義齒表面 (B) 義齒保持乾燥以免黴菌滋生 (C) 在半滿冷水的水槽上方清潔義齒 (D) 浸泡於漂白水溶液中進行清潔
45. 全口義齒調整時,需要準備哪些工具? ①基本盤②慢速手機③咬合紙夾④鉗(pliers)⑤鑽針(acrylic burs)⑥軟蠟 (A)①②③④⑤⑥ (B) ①②③④⑤ (C) ①②③⑤ (D) ①③④
46. 下列何者是全口義齒襯底(reline)的適應症? (A) 義齒的人工牙斷裂 (B) 義齒基底有大面積的破損 (C) 義齒表面覆蓋牙結石 (D) 義齒基底與牙嵴間有縫隙
47. 用來移除拔牙過程中可能斷裂或脫落的牙根尖或碎片的器械名稱? (A) Furcation probes (B) Surgical curette (C) Root tip picks (D) Rongeur
48. 作為牙膏的添加成分,三氯沙(Triclosan)屬於以下哪種類別? (A) 疼痛減輕 (B) 傷口持續滲血 (C) 發熱與腫脹 (D) 麻醉部位無感
49. 術後病人被指導避免吸吮或吸煙的原因是: (A) 避免刺激牙齦 (B) 防止牙齒變色 (C) 減少血液循環 (D) 防止乾性齒槽炎(dry socket)
50. 對於進行過口腔外科手術的病人,應該建議他們: (A) 立即恢復正常飲食 (B) 每隔兩小時刷牙及含漱口水 (C) 術後 24 小時內避免劇烈運動 (D) 立即熱敷促進血液循環
51. 對於術後傷口出血不止的病人,應該建議他們: (A) 立即返回診所進行處理 (B) 使用冰敷來止血 (C) 輕輕漱口以清除血塊 (D) 輕壓紗布至出血部位並持續至少 30 分鐘
52. 有關矯正治療能夠帶給病人的益處,下列敘述何者有誤? (A)可解決因咬合不正影響顱顏面美觀,而導致的心理問題 (B)能夠促進口腔功能的行使,讓咀嚼更有效率 (C)降低病人發生顱顏面部外傷的可能性 (D)排列不整齊的齒列,降低口腔清潔的困難度
53. 下列敘述,何者並非咬合不正的成因? (A)7 歲男孩,由於外傷造成發育中的乳牙牙胚直接受損 (B)基因所導致的先天因素,例如:先天缺牙(Congenital missing) (C)後天環境問題,例如:病人本身的不良口腔習癖 (D)胎兒發育過程中,因為胎兒的手臂或腳擠壓到發育中的下顎骨,進而導致下顎骨偏斜及 顏面不對稱問題。
54. 有關習慣(Habits)對於齒列的影響,下列敘述何者有誤? (A)磨牙(Bruxism)最常發生在睡眠時,且會導致牙釉質(Enamel)磨耗 (B)口呼吸(Mouth breathing)較常造成下顎牙弓狹窄 (C)吸手指(Thumb sucking)較常影響上顎和前牙 (D)吐舌(Tongue thrusting)容易造成病人前牙開咬(Anterior open bite)
55. 請問右圖所示之咬合問題應該如何敘述? (A)牙齒凌亂(Crowding) (B)開咬(Open bite) (C)深咬(Deep bite) (D)錯咬(Cross bite)
56. 有關臨床問診和矯正治療資料收集,下列何者並非 擬定治療計畫必要的相關記錄和資訊? (A)詢問病人之系統性疾病及牙科病史 (B)評估病人之生長發育階段(Physical growth evaluation) (C)檢視病人之經濟條件和社經地位 (D)拍攝口腔內及臉部的相片紀錄
57. 有關隱形矯正治療(Clear Aligner Treatment),下列敘述何者正確? (A)相較於傳統固定式矯正治療,可省去拍攝側顱 X 光片的步驟 (B)由於僅需提供牙套給病人配戴,因此病人並不需要回診 (C)從設計牙齒移動到產出牙套可完全交由技師處理,牙醫師不需介入 (D)隱形牙套為活動裝置,方便病人於進食和清潔時取下
58. 下列何者並非矯正治療中,應該盡量避免食用的飲食類型? (A)較硬的食物(Hard foods) (B)油膩的食物(Greasy foods) (C)黏性較高的食物(Sticky foods) (D)口香糖(Chewing gum)
59. 請依照臨床黏著矯正器(Bonding of brackets)步驟,將以下流程正確排序: ①欲放置矯正器之牙齒表面,進行局部酸蝕(Etching)、沖洗並以氣槍吹乾 ②牙齒表面之清潔 ③矯正器放置並光聚合(Light-curing) ④塗布黏著劑(Bonding agent) (A)②➔①➔④➔③ (B)②➔④➔①➔③ (C)①➔②➔④➔③ (D)②➔④➔③➔①
60. 兒童牙科通常會採取開放式的診所規劃,下列敘述何者有誤? (A)讓兒童可以彼此觀摩,學習到正向的配合行為。 (B)兒童較害羞,開放式空間可使他們較不會有恐懼害怕的情緒。 (C)開放式空間可節省地坪、隔間等空間及成本。 (D)在開放式空間裡,兒童較不敢在其他兒童面前有不勇敢的行為。
61. 對一位兩歲的兒童,您認為他可以接受下列何者處理模式? (A)家長只要不出言干擾醫療行為,可容許家長在兒童旁邊陪伴。 (B)家長必須隔離在候診室,以培養兒童的獨立心。 (C)兒童會哭鬧就必須用行為約束法來控制他的行為模式。 (D)兒童哭鬧行為難以控制,囑咐家長等兒童較能合作時再來看診。
62. 對兒童的行為處理原則,下列敘述何者有誤? (A)需誠實但委婉地說明治療流程。 (B)必須考慮兒童的觀點。 (C)可以使用鼓勵及威脅恐嚇方式使兒童就範。 (D)必須使用”講、秀、做”;Tell, show, do” 的行為模式。
63. 對輕度智能障礙的兒童,下列敘述何者正確? (A)需詳細的用長句子來解釋清楚。 (B)解釋口腔衛生沒做好會怎樣的後果。 (C)須說明齲齒的致病細菌是 Streptococcus mutans。 (D)說明若不合作就必須壓制或綑綁。
64. 腦性麻痺(Cerebral palsy)的兒童的敘述中,下列何者有誤? (A)因肌肉運動協調不好,容易導致口腔衛生不良。 (B)有時會伴隨智能障礙(Intellectual disability)、癲癇(Epilepsy)等問題。 (C)只侷限在手腳部的運動能力不足,不會有流口水、發音障礙問題。 (D)由於兒童手部肌肉運動能力不足,可考慮對牙刷刷柄進行改造或修飾。
65. 口腔衛生有關的敘述中,下列何者正確? (A)口腔清潔行為可使牙齒美白,減少牙齒磨耗。 (B)每日兩次刷牙並使用含氟牙膏,每日使用一次牙線。 (C)一般正常兒童應每年四次接受口腔檢查。 (D)對容易有齲齒傾向、異常成長型態兒童,及口腔衛生維持不良者也須維持每年兩次定期 檢查即可。
66. 下列哪項可被視為兒童虐待的徵兆? (A)咬痕(Bite mark) (B)膝蓋部位挫傷(Contusion of leg knee joint area) (C)全口齲齒(Generalized caries) (D)上顎前牙外傷(Traumatic injury over upper anterior teeth)
67. 有關外傷性脫落牙齒的敘述,何者有誤? (A)恆牙門牙的脫落應盡快種植回去。 (B)乳牙門牙的脫落應盡快種植回去。 (C)脫落的牙齒可保存在濕紗布中,盡快帶去門診。 (D)越快帶去牙醫診所,脫落牙齒的存活率越高。
68. 關於拍攝 X 光影像,下列敘述何者有誤? (A)應提供具有診斷價值的 X 光影像。 (B)拍攝 X 光片與感染控制有關。 (C)操作過程中應遵守輻射安全規範。 (D)宜使用高的輻射劑量來獲得有診斷價值的影像。
69. 下列哪種組織在 X 光片上呈現暗色的透射影像(radiolucency)? (A)牙周膿瘍(Periodontal abscess) (B)牙齒(Teeth) (C)骨頭(Bone) (D)金屬補綴物(Metal prosthesis)
70. 下列哪一種組織對輻射最不敏感且最不容易受到傷害? (A)眼球(Lens of eye) (B)骨髓(Bone marrow) (C)咀嚼肌(Masseter muscle) (D)甲狀腺(Thyroid gland)
71. 鉛圍裙(Lead apron)所需覆蓋保護的區域包括那些? (A)從頭部到頸部 (B)從頸部到胸部 (C)從頸部到生殖腺並含骨髓部 (D)從胸部到生殖腺部
72. 臨床上沒有齲齒的混合齒列期兒童,需間隔多久才可做一次臼齒區 X 光的咬合翼片 (Posterior bitewing film)檢查? (A)每隔 3 個月一次。 (B)每隔 3-6 個月一次。 (C)每隔 6-12 個月一次。 (D)每隔 12-24 個月一次。
73. 有關孕婦照射 X 光片時,下列敘述何者有誤? (A)只要做好充分的防護則任何時期都可照射。 (B)為保護孕婦及胎兒安全,懷孕期都不要照射 X 光片 (C)有鉛圍裙充分保護之下,骨盆區的放射劑量幾乎是零。 (D)如果孕婦對照射 X 光片有較深疑慮,可傾向不要照射。
74. 兒童照射 X 光片時的基本準則,下列敘述何者正確? (A)照射劑量要盡可能的低。 (B)可用較高劑量以求能看清病變。 (C)兒童不合作時可不必照射 X 光片。 (D)因鉛圍裙太重,幼小兒童可不必使用。
75. 關於對兒童病人家屬的衛教說明,下列敘述何者有誤? (A)醫師會依據您孩童所需的劑量來照射。 (B)我們會盡可能地來保護您孩童的安全,以避免不必要的照射。 (C)我們會為孩童佩戴鉛頸圈(Thyroid collar)及鉛圍裙以保護不必要的照射。 (D)對太瘦弱的幼兒,為避免影響其呼吸可不必使用鉛圍裙。
76. 牙科植體通常由哪種材料製成? (A)金 (B)鈦 (C)鉛 (D)不銹鋼
77. 病人在植入植體後需要叮嚀提醒的事項? (A)植體旁邊的自然牙不需要清潔 (B)植體需要每年更換一次 (C)植體可以正常進行牙齒美白 (D)植體周圍組織需要定期專業檢查
78. 哪一項是影響植體成功率的主要因素? (A)植體的品牌 (B)病人的骨質 (C)手術的時間 (D)植體的數量
79. 在植體手術的癒合階段,植體與骨頭的結合過程稱為: (A)骨再生 (B)骨整合 (C)骨改造 (D)骨融合
80. 病人缺失下顎第一大臼齒,詢問您進行單顆植牙重建,從植入到完成正式牙冠,最短需要多久時間可以完成? (A)2-3 個月 (B)4-6 個月 (C)7-8 個月 (D)9-10 個月