所屬科目:醫學五:80題 ( 包括外科,骨科,泌尿科等科目及其相關臨床實例與醫學倫理 )
1.最常使用的能量評估公式Harris-Benedict Equation,不包含下列那一項變數? (A)年齡 (B)身高 (C)體重 (D)體表面積
2.術前病人的營養狀態(pre-operative nutrition status),常會影響術後合併症的發生及死亡率;對於病患術前營養狀態的評估為不良者,術前需積極營養介入性治療,但下列何者除外? (A)Body Mass Index(BMI)<18.5 kg/m2 (B)Unintentional weight loss over 6 months period>10%(C)Serum albumin<3 g/dL (D)Serum pre-albumin<40 mg/dL
3.下列何者不是肝臟移植的適應症? (A)乙醯胺酚(acetaminophen)過量引發的肝毒性導致急性肝衰竭 (B)慢性B型肝炎引發急性發作及肝衰竭 (C)慢性C型肝炎合併肝硬化、嚴重腹水及肝腎症候群(hepatorenal syndrome) (D)小型肝細胞癌合併門脈分枝腫瘤血栓及末期肝病
4.有關毒蛇咬傷的敘述,下列何者錯誤? (A)被百步蛇咬傷後的局部特徵為組織腫脹、劇痛及瘀血,嚴重時可造成肢體的腔室症候群及大量組織 壞死 (B)當被毒蛇咬傷時切勿將傷口劃開,亦不可將毒液吸出或使用止血帶 (C)毒蛇咬傷之嚴重度評估包含局部組織腫脹及瘀血範圍、疼痛程度、水泡、瘀斑的形成及生命徵象是 否異常等 (D)毒蛇血清的給與需及時,通常會依據病人的體重來計算應給與劑量
5.關於免疫抑制劑(immunosuppressant)的敘述,下列何者錯誤? (A)Azathioprine會抑制骨髓 (B)Cyclosporine可直接抑制macrophage產生IL-1 (C)OKT3會使T cell釋出細胞激素(cytokine)而引起發燒、畏寒、低血壓等症狀 (D)Pulse steroid therapy可能出現高血糖、高血壓、睡眠困擾等症狀
6.一位因短腸症(short bowel syndrome)併腹瀉,而長期接受全中心靜脈營養(total parenteral nutrition)的病人,如果發生perioral pustular rash, darkening of skin creases及 neuritis,最可能是因缺乏下列何項營養成分? (A)蛋白質 (B)脂肪酸 (C)維生素B (D)鋅離子
7.身體創傷後的代謝反應會明顯改變,不同的創傷會造成不同程度的基礎能量消耗(basal energy expenditure, BEE),下列三種損傷的BEE變化由高而低之排序為何? (A)嚴重燒燙傷>飢餓>外科手術 (B)外科手術>嚴重燒燙傷>飢餓 (C)飢餓>嚴重燒燙傷>外科手術 (D)嚴重燒燙傷>外科手術>飢餓
8.Rituximab是一種單株抗體(monoclonal antibody),可以抑制B細胞(B-cell)對移植器官的排斥 反應,主要是針對B細胞表面何種標誌(cell surface marker)? (A)CD4 (B)CD8 (C)CD20 (D)CD34
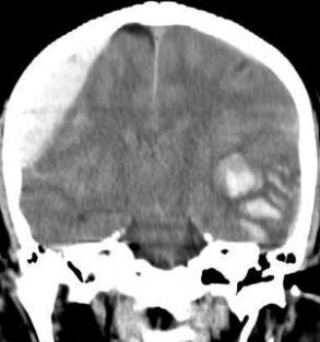
9.一位18歲男性因車禍送來急診,剛開始意識清楚可以對答問題,頭皮有一撕裂傷;30分鐘後,在縫 合的過程中,意識狀況變差至 E2V1M4。下列何項處置最適當? (A)趕快安排brain CT,以排除顱內出血的可能 (B)立即執行bedside FAST,檢查是否有腹內器官破裂出血的可能 (C)抽血檢查以評估是否有電解質的異常,造成意識模糊 (D)重新量測生命徵象,必要時給與氣管內管插管,維持呼吸道通暢
10.承上題,brain CT做完後如附圖所示,下列敘述何者錯誤? (A)左腦為epidural hematoma,右腦為contused intracranial hematoma (B)右腦的出血來源多半為顱骨骨折造成中腦膜動脈(middle meningeal artery)破裂而產生 (C)左腦的出血來源多半為大腦本身的血管破裂而產生 (D)若病人的瞳孔出現放大的情形,則建議進行開顱減壓手術
11.下列關於central cord syndrome的敘述,何者錯誤? (A)上肢的運動功能缺損大於下肢 (B)常導因於acute cervical hyperflexion injury (C)可能伴隨有sphincter dysfunction,通常造成urinary retention (D)通常下肢的肌力會比上肢的肌力早回復
12.關於脊椎腫瘤,下列敘述何者錯誤? (A)硬膜外(extradural)腫瘤以良性居多 (B)硬膜內、髓膜外(intradural extramedullary)的腫瘤,以腦膜瘤(meningioma)及神經鞘瘤 (schwannoma)最常見 (C)髓膜內(intramedullary)腫瘤以星形細胞瘤(astrocytoma)及室管膜瘤(ependymoma)最常見 (D)最好發的部位是胸椎
13.下列腦瘤中何者較常見於孩童,較少見於成人? (A)多形性神經膠質母細胞瘤(glioblastoma multiforme) (B)腦膜瘤(meningioma) (C)腦下垂體腺瘤(pituitary adenoma) (D)神經管胚細胞瘤(medulloblastoma)
14.有關毛毛樣血管疾病(moyamoya disease)的敘述,下列何者錯誤? (A)亞洲人較多 (B)多發生在兩側血管 (C)影像上最常見中大腦動脈與後大腦動脈血管狹窄萎縮 (D)小孩通常以缺血性腦病變表現
15.當周邊神經(peripheral nerve)只有髓鞘(myelin sheath)受傷時的neurapraxia,需多久才能 恢復功能? (A)一星期 (B)一個月 (C)六星期 (D)三個月
16.下列何者不是斷指顯微重接(digital replantation)的絶對適應症(strong indications)? (A)多根手指截斷時(multiple digital amputations) (B)拇指截斷時(thumb amputation) (C)小孩子任一手指截斷時(any amputated part in children) (D)成人單一手指在屈指淺肌近端處截斷時(amputation at proximal flexor digitorum superficialis of a single finger in adults)
17.Z形整形術(Z-plasty)的目的之一是可以延伸主軸的長度。在兩側臂線與主軸成60度時,則可以 增加主軸長度的多少? (A)60% (B)75% (C)90% (D)100%
18.皮膚張力鬆弛線(relaxed skin tension lines, RSTLs)和皮膚切口相關,下列敘述何者正確? (A)與皮下肌肉走向成45度 (B)有表情時與面部形成的皺紋線成垂直線 (C)與皮下肌肉走向垂直 (D)和唇緣線垂直
19.一位28歲70公斤的男性被送到急診時,初步評估全身有70%深二度燒傷,需評估前8小時內體液的補充。根據Parkland formula下列何者為最佳選擇? (A)9,800 mL lactated Ringer(LR)輸液 (B)9,800 mL normal saline(NS)輸液 (C)4,900 mL 5% Dextrose輸液 (D)4,900 mL lactated Ringer(LR)輸液
20.以剝離侵犯範圍而言,主動脈剝離(aortic dissection)DeBakey type IIIa與type IIIb間最大 區別在於那一部分的主動脈? (A)升主動脈(ascending aorta) (B)主動脈弓(aortic arch) (C)降主動脈(descending aorta) (D)腹主動脈(abdominal aorta)
21.40歲男性病患無任何舊疾及創傷,因左下肢突然出現冰冷、無脈、疼痛且感覺異常至急診室就診。 3個月前心臟超音波報告發現二尖瓣嚴重狹窄且左心房擴大,心律為心房顫動(atrial fibrillation),則下列敘述何者錯誤? (A)下肢動脈血管急性血栓阻塞(embolism)最為可能 (B)緊急下肢動脈血管打通後,體內鉀離子濃度將可能上升 (C)若有骨骼肌溶解現象(rhabdomyolysis),將因下肢動脈血管打通後,肌蛋白尿 (myoglobinuria)狀況會立即緩解 (D)若缺血時間越久,則下肢動脈血管打通後下肢腫脹得越厲害
22.40天大男嬰出生後診斷為法洛氏四重症(tetralogy of Fallot),因經皮血氧濃度(oxygen saturation)降至65%,經緊急插管後,下列後續處置何者較不合適? (A)給與乙型阻斷劑(beta blocker) (B)給與輸液(hydration) (C)給與血管擴張劑(vasodilator) (D)麻醉鎮定(sedation)
23.有關胸主動脈瘤之敘述,下列何者錯誤? (A)以現有之觀念,先天性雙主動脈瓣(congenital bicuspid aortic valve)可以視為高危險群,有 演變為升主動脈瘤之可能 (B)若女性患者的主動脈瘤最大直徑為7公分,即可建議手術 (C)升主動脈瘤最大直徑為6公分,且無主動脈逆流,不一定非進行主動脈根部置換術(aortic root replacement)不可,可以考慮行瓣膜保留術式(valve-sparing procedure) (D)血管內支架術式(endovascular stenting)已成為治療升主動脈瘤之主流,一般以DeBakey分類來 評估是否適合放置支架及有無影響腦部血流的風險
24.有關腹主動脈瘤(abdominal aortic aneurysm)之敘述,下列何者正確? (A)若無破裂現象,腹主動脈瘤之最大直徑大於4公分 ,即可建議手術 (B)血管支架治療比起傳統開腹主動脈置換手術,再次介入(re-intervention)比率低 (C)以住院的手術存活率而言,傳統開腹主動脈置換手術比血管支架治療為低 (D)手術時,下腸繫膜動脈(inferior mesenteric artery)一定要重新再吻合,以減少腸缺血 (ischemic bowel)之合併症
25.下列症狀何者與胸腔疾病最不相關? (A)superior vena cava syndrome (B)Horner syndrome (C)pseudopolycythemia (D)Pancoast syndrome
26.小孩子最常發現的縱隔腔腫瘤是: (A)胸腺囊腫(thymic cyst) (B)淋巴瘤(lymphoma) (C)神經源腫瘤(neurogenic tumor) (D)生殖細胞腫瘤(germ cell tumor)
27.關於呼吸道的疾病,下列敘述何者最不適當? (A)氣管的腺樣囊狀癌(adenoid cystic carcinoma)可能沿著神經上下擴散 (B)需長期使用呼吸器者,不適合做氣管修補手術 (C)曲黴菌球(aspergilloma fungus ball)使用抗黴菌藥物治療3個月為首選 (D)局部的支氣管擴張症適合手術切除
28.關於食道功能性疾病的處置,下列敘述何者錯誤? (A)常需要高解析度測壓機(high resolution manometry)及pH檢測,來區分疾病的種類及範圍 (B)胡桃夾子食道(nutcracker esophagus)為最常見的食道過度收縮疾病,應避免喝咖啡、過冷、過 熱食物 (C)廣泛性食道痙攣(diffuse esophageal spasm)主要為藥物及內視鏡治療 (D)賁門弛緩不能(achalasia)治療上,氣球擴張和肉毒桿菌注射效果一樣好
29.下列對於誤吞腐蝕性液體病人之處置,何者較不適當? (A)給與廣效型抗生素 (B)可嘗試以胃鏡評估 (C)立即放置鼻胃管,並以生理食鹽水沖洗 (D)注意喉部及呼吸道是否暢通
30.下列關於paraesophageal hernia之敘述,何者最不適當? (A)經診斷後,應一律手術,以防發生complication (B)由於hiatus之續漸寬大引起 (C)胃是最常herniate的器官 (D)阻塞性之症狀為最常見
31.有關鼠蹊部疝氣(inguinal hernia),下列敘述何者錯誤? (A)鼠蹊部疝氣可分為直接型或間接型疝氣 (B)馬庫型疝氣(pantaloon-type hernia)是指兩種都有 (C)間接型疝氣指的是因腹壓增加,而間接形成的疝氣 (D)直接型疝氣的疝氣囊(sac)直接由Hesselbach's triangle鼓出
32.常見的食道靜脈曲張出血,下列處置何者錯誤? (A)治療首要是維持生命徵兆(vital signs) (B)可以給與octreotide或vasopressin控制出血 (C)對於大量出血病患,可以考慮以外科分流手術或肝內門靜脈分流術(TIPS)止血 (D)對於連續出血不止的病患,可以使用血管攝影栓塞術進行止血
33.對於十二指腸潰瘍的治療,下列何者錯誤? (A)藥物控制為治療的第一線考慮 (B)對於疼痛無法控制的潰瘍,可以考慮次全胃切除手術 (C)對於急性潰瘍穿孔的手術方針是越簡單越好,術後輔以氫離子阻斷劑使用為佳 (D)與胃潰瘍不同,十二指腸潰瘍沒有惡性腫瘤的機會
34.Zollinger–Ellison syndrome是由下列何種腫瘤所導致的? (A)Insulinoma (B)Gastrinoma (C)Glucagonoma (D)Vasoactive intestinal peptide-secreting tumor
35.肝臟血管瘤需要開刀的原因不包含下列何者? (A)發生Kasabach-Merritt syndrome (B)腫瘤破裂 (C)腫瘤明顯變大 (D)腫瘤大於5公分
36.大腸癌併發肝臟轉移的病人,下列何項不是影響其手術切除肝臟腫瘤後存活的主要因素? (A)CEA血中濃度大於200 ng/mL (B)肝 轉移腫瘤的大小大於5公分 (C)原發腫瘤的位置在直腸(rectum) (D)與原發的大腸癌同時發現的肝臟轉移腫瘤(synchronous liver metastasis)
37.有關肝膽胰外科解剖學,下列何者正確?①左肝(left liver)和右肝(right liver)的功能性分界為中肝靜脈(middle hepatic vein) ②肝左葉(left lobe)和右葉(right lobe)的分界為康德黎線(Cantlie’s line) ③Calot 三角的邊包括膽囊管(cystic duct)、肝腹側表面(ventral surface of liver)、總膽管 (common bile duct) ④肝十二指腸韌帶(hepatoduodenal ligament)包括門靜脈(portal vein)、固有肝動脈(proper hepatic artery)、總膽管(common bile duct) ⑤左側肝 (left lateral segment)及左中肝(left medial segment)的分界為鐮韌帶(falciform ligament) (A)②③④⑤ (B)①③④⑤ (C)①②③④ (D)①②④⑤
38.下列有關急性膽管炎的敘述,何者正確?①Charcot triad是指黃疸、右上腹痛、發燒 ②患者在 Charcot triad的階段,緊急手術並非是必要的 ③Reynolds pentad是指Charcot triad再加上休克及代謝性酸中毒 ④當患者有Reynolds pentad時,若不予以緊急引流處置,會有致命的危險 ⑤膽汁細菌培養最常見的細菌是Klebsiella, E.Coli, Enterobacter, Pseudomonas 及 Citrobacter spp. (A)①②③④ (B)②③④⑤ (C)①②④⑤ (D)僅③④⑤
39.下列關於follicular thyroid carcinoma的敘述,何者錯誤? (A)發生率有下降的趨勢,可能與食鹽加碘,及病理組織分類的進步有關 (B)手術前無法經由fine needle aspiration cytology診斷是follicular adenoma或是follicular carcinoma (C)頸部淋巴結轉移發生率較低 (D)經常為multi-focal,故手術須將甲狀腺切除乾淨
40.下列關於primary hyperparathyroidism的敘述,何者正確? (A)80%的病人合併有MEN 1或MEN 2B (B)病人的副甲狀腺數量通常多於四顆以上 (C)若病因為solitary parathyroid tumor,parathyoid adenoma與parathyroid carcinoma的比例約 為1:3 (D)對於parathyroid adenoma的定位檢查,sestamibi scan的敏感度(sensitivity)大於80%
41.一位65歲女性因頸部腫大多年就醫,理學檢查時,下列何者徵象表示可能有胸內甲狀腺腫 (intrathoracic goiter)導致上腔靜脈壓迫情形? (A)Carnett sign (B)Kehr sign (C)Phalen sign (D)Pemberton sign
42.乳房腫瘤的病理切片中,下列何者可能是乳癌的高危險群? (A)乳突狀瘤(papilloma) (B)硬化腺症(sclerosing adenosis) (C)放射狀疤痕(radial scar) (D)纖維腺瘤(fibroadenoma)
43.關於乳房疾病,下列敘述何者錯誤? (A)乳房良性纖維腺瘤(fibroadenoma)和乳房水囊(cyst)可以用超音波進行鑑別診斷 (B)經由乳房攝影檢查發現的乳房微小鈣化(microcalcification),進行手術切片診斷最常見的是硬 化性腺腫大(sclerosing adenosis) (C)乳管原位癌(DCIS)包括四種亞型,其中papillary與comedo type是屬於高惡性分化度,而solid 與cribriform是屬於低惡性分化度 (D)乳癌的預後和其組織學上的亞型有關,包括分化度、荷爾蒙受體(ER、PR)及生長因子受體2 (HER2/neu)
44.關於乳癌術後之乳房重建手術的考量,下列何者錯誤? (A)對於病患考慮乳房重建,外科醫師除負責手術切除腫瘤之外,其建議也會影響病患的選擇 (B)乳房重建的方式有自體組織皮瓣移植及義乳植入 (C)乳房重建手術必須等腫瘤切除及術後化學治療完成半年後,經由會診再安排手術 (D)會考慮乳房重建的病患,通常年紀較輕,社經地位較高
45.鼠蹊疝氣(inguinal hernia)是兒童最常見手術,有關兒童之先天性鼠蹊疝氣,下列敘述何者錯 誤? (A)發生原因係正常出生前會關閉之腹膜鞘突(processus vaginalis)未閉合造成 (B)男性較女性常見,右側較左側常見 (C)傳統或腹腔鏡疝氣修補手術為關閉腹膜鞘突(processus vaginalis) (D)一歲以下之幼兒因鼠蹊環較窄,所以發生嵌頓性疝氣(incarceration)之風險較低
46.一名體重約2.5公斤的女嬰,出生時有呼吸窘迫、腹部凹陷的現象。X光檢查發現在左側胸腔內充滿腸氣(如圖)。下列敘述何者錯誤?(A)此新生兒為先天性橫膈疝氣(congenital diaphragmatic hernia),其腸道經由橫膈缺損處進入 胸腔(B)此疾病的發生原因尚未十分清楚,但推測可能是在胚胎時期,胸腹膜管(pleuroperitoneal canal)沒有正常閉合造成,約80%發生在左側(C)肺動脈高壓(pulmonary hypertension)常是罹患此病新生兒的致死原因(D)因為腹部臟器在胸腔,會嚴重影響新生兒的呼吸與換氣,因此在出生後要立即安排緊急手術將腹部 臟器復位並修補橫膈缺損
47.一名3歲大男童,被父母親帶到小兒外科門診。據父母表示,男童在出生的時候,他們就發現到前 胸壁有凹陷的情況,但是不太明顯。隨著男童長大,這個狀況逐漸嚴重。有關此男童的狀況,下列 敘述何者錯誤?(A)這男孩的狀況是漏斗胸(pectus excavatum)。漏斗胸的發生率約為1/400,且男孩的人數是女孩 的3~4倍(B)發現孩子有此狀況時,要特別注意有無合併先天性心臟疾病,如二尖瓣脫垂(mitral valve prolapse),或其他結締組織疾病,如Ehlers-Danlos syndrome、Marfan syndrome(C)此疾病是否嚴重到需要手術矯正,應該進行多項評估,包括凹陷指數(Haller index)、心肺功能 及其胸壁變形的速率等(D)Nuss procedure是目前最常運用的手術方式,而最適合的矯正年齡為3歲之前。其置入的矯正板, 約在2~3年後需再次手術取出
48.一名7歲女童,右側前頸部處有一個反覆發炎的皮下腫塊,媽媽主訴這個頸部腫塊在出生後即有發 現。理學檢查發現腫塊位於胸鎖乳突肌的前緣,且上面有一個細小的開口。下列對這個頸部腫塊的 敘述,何者錯誤?(A)依此病灶的分布位置及其表面有小開口,可以推斷此病灶應為鰓裂遺跡(branchial cleft remnants)(B)病灶會依其胚胎來源的不同,而有不同的位置。其中以第一對鰓裂遺跡(first branchial cleft remnants)最為常見(C)此類病灶臨床的表現方式有時局部會有黏液分泌(mucoid drainage)(D)此病灶要根除一般需進行手術治療
49.1歲半男嬰因為摸不到左側睪丸來求診,下列何種處置最適當? (A)若腹部超音波顯示左側睪丸在腹腔內,則必須密切追蹤,最好預約三個月回門診一次(B)若身體檢查與影像檢查皆無法發現左側睪丸,仍需安排探查手術(C)若手術探查結果左側睪丸在腹內,且明顯較右側睪丸小,因未來併發惡性腫瘤機率較高,則必須進 行左側睪丸切除(D)若在較放鬆狀態下檢查左側睪丸在陰囊內,且大小與右側睪丸相當,但因其提睪肌反射較強,仍應 安排睪丸固定手術
50.關於大腸直腸癌的敘述,下列何者錯誤? (A)絕大部分大腸直腸癌的生成是因為後天的基因突變(B)在部分的大腸直腸癌病患的檢體中會發現K-ras基因突變(C)第三期結腸癌病患手術後都應接受標靶藥物治療(D)目前的大腸直腸癌標靶藥物有針對血管新生因子(VEGF)及上皮細胞受器(EGFR)兩大類
51.35歲男性主訴2週前用力解便後開始出現肛門疼痛,偶爾解便出血。在門診以肛門鏡檢查,發現肛 門後側有一0.5公分傷口,肛門外出現皮膚突起(skin tag),其最可能的診斷為何?(A)痔瘡脫出(hemorrhoids prolapse)(B)肛門膿瘍(abscess)(C)肛裂(anal fissure)(D)肛門瘻管(fistula in ano)
52.60歲男性,過去病史有高血壓,自訴從三個月前開始陸續解血便,近一個月有食慾不振,容易腹脹及排便習慣改變等症狀,體重在這一個月內由75公斤下降至69公斤。在診所接受乙狀結腸鏡檢查後,發現在乙狀結腸(距離肛門約20公分處)有腫瘤,切片病理報告為惡性腫瘤。依據上述情況, 下列敘述何者錯誤?(A)可建議患者接受完整大腸鏡檢查,藉此確認右側大腸是否同時有腫瘤(B)大多數的大腸惡性腫瘤為偶發性,且多數由腺性息肉轉變而來(adenoma-carcinoma sequence)(C)如患者惡性腫瘤評估可以手術切除,根據大型臨床試驗如Colon Carcinoma Laparoscopic or Open Resection (COLOR)trial的結果,應建議患者接受傳統開腹手術,而非腹腔鏡手術來切除惡性腫 瘤(D)安排患者接受影像學檢查(應包括胸腔,腹腔及骨盆腔),藉此來評估臨床分期
53.承上題,若患者手術後乙狀結腸癌病理分期為第三期(stage III),關於後續治療或追蹤,下列 何者最不適當?(A)若術前血清癌胚胎抗原(c arcinoembryonic antigen, CEA) 未上升,則後續追蹤可不用追蹤血清 癌胚胎抗原 (B)因病患為第三期,可建議病患接受輔助性化學治療 (C)術後滿12個月可建議患者做大腸鏡檢查來追蹤 (D)追蹤過程中若出現肝臟或肺臟單一遠端轉移,在謹慎的評估後,有些患者仍然可以接受轉移腫瘤切 除手術
54.關於腹腔鏡膽囊切除手術與傳統開腹手術之比較,下列敘述何者錯誤? (A)腹腔鏡膽囊切除手術的嚴重併發症遠低於開腹手術 (B)腹腔鏡膽囊切除手術的術後疼痛較低 (C)腹腔鏡膽囊切除手術的術後恢復較快 (D)腹腔鏡膽囊切除手術應用於急性膽囊炎,需要較長的手術時間且有較高機率造成膽管損傷
55.有關腹腔鏡的充氣,下列敘述何者錯誤? (A)二氧化碳(CO2)和一氧化二氮(N2O)都可以用來做腹腔鏡的充氣之用,其中N2O的優點是具生理 性的鈍性(physiologically inert)及快速吸收的效果 (B)在手術過程中,一旦身體的緩衝系統(buffer)飽和,隨著二氧化碳的吸收及從緩衝系統的釋放, 呼吸性酸中毒就會迅速發生 (C)氣腹(pneumoperitoneum)後應注意深層靜脈血栓(deep vein thrombosis)的預防,否則可能會 增加肺栓塞的危險性 (D)腹腔鏡手術的腹內氣壓應維持在25mmHg左右,心輸出量(cardiac output)才可以維持穩定
56.下列關於偽腫瘤(pseudotumorous conditions)的敘述,何者最不適當? (A)棕色腫瘤(brown tumor)是常見的代謝疾病,因副甲狀腺激素(parathyroid hormone)增加導致 類似骨腫瘤的形成 (B)Gaucher氏病(Gaucher disease)是一種罕見的家族性疾病,由於glucocerebroside的累積導致肝 臟、脾臟和骨髓組織增大 (C)骨壞死(bone infarct)常見於長骨的骨幹(diaphysis) (D)膝關節是色素性絨毛結節性滑膜炎(pigmented villonodular synovitis)最常見的侵犯部位
57.有關骨折的敘述,下列何者最不適當? (A)骨折部位的附近有傷口,不一定是開放性骨折 (B)即使是開放性骨折,部分病人也能立即接受骨髓內釘固定手術 (C)根據Gustilo分類,骨折部位有嚴重傷口污染,應歸類為grade II (D)若合併大血管斷裂,先將骨折部位穩定再修補血管
58.下列關於骨盆骨折相關損傷(associated injuries)的敘述,何者最不適當? (A)不穩定型骨盆骨折須注意是否合併神經損傷 (B)L3 至 S1的神經根損傷,其整體預後比周邊神經損傷(peripheral nerve injuries)要好 (C)男性的尿道損傷(urethral injury)發生率(incidence) 高於女性 (D)尿道口有血跡時,置放 Foley氏導尿管(Foley catheter)前應先安排逆行性尿道造影 (retrograde urethrogram)檢查
59.一位大專甲組運動員發生壓力性骨折(stress fracture),下列敘述何者最不適當? (A)增加運動量時就會疼痛 (B)可能會發生在骨盆、股骨頸、脛骨、舟狀骨(navicular)與蹠骨(metatarsals)等部位 (C)女性運動員合併營養不良、骨質疏鬆與月經停止時,容易發生 (D)最佳的治療方式是以手術復位後骨釘固定
60.下列何種血液測量值的改變,與腎性骨病(renal osteodystrophy)的直接相關性最小? (A)鈣(calcium) (B)磷(phosphorus) (C)維生素D(vitamin D) (D)甲狀腺激素(thyroid hormone)
61.30歲的卡車司機,因手腕中央疼痛多年,影像學檢查發現月狀骨缺血性壞死。下列治療方式何者最 不適當? (A)橈骨延長術(radial lengthening) (B)頭狀骨縮短術(capitate shortening) (C)帶血管的自體骨移植(vascularized autograft) (D)月狀骨切除及部分腕關節融合(lunate excision and partial carpal fusion)
62.有關頸椎脊髓病變(cervical spondylotic myelopathy),下列敘述何者最不適當? (A)通常會有感覺異常(paresthesia)和運動困難(dyskinesia)等症狀 (B)脊髓病變(myelopathy)很嚴重時會有Lhermitte sign陽性 (C)上下肢深層肌腱反射(deep tendon reflex)皆會增強,且下肢會有明顯的對稱陣攣(clonus) (D)腹部反射(abdominal reflex)通常是正常的,並可藉此與肌萎縮性脊髓側索硬化症 (amyotrophic lateral sclerosis)鑑別診斷
63.下列何者不是髖關節後側的短外旋肌群(short external rotators)? (A)piriformis (B)quadriceps (C)obturator (D)gemellus
64.目前對於急性腎絞痛(acute renal colic)病人最快速且準確的影像診斷檢查是: (A)無顯影劑電腦斷層掃描(noncontrast computed tomography) (B)靜脈注射泌尿系統攝影檢查(intravenous pyelography) (C)逆行性腎盂攝影(retrograde pyelography ) (D)核子閃爍尿路攝影(nuclear scintigraphy)
65.下列有關腎上腺瘤(adrenal tumor)之敘述,何者錯誤? (A)大於6公分腎上腺瘤如無功能,首先建議密集追蹤即可 (B)目前最佳腎上腺切除方法為利用腹腔鏡手術進行 (C)小於4公分且有功能的腎上腺瘤,建議手術切除治療 (D)腎上腺瘤大部分為影像檢查時意外發現
66.前列腺癌好發區依序為: (A)transition zone > peripheral zone > central zone (B)peripheral zone > central zone > transition zone (C)peripheral zone > transition zone > central zone (D)central zone > transition zone > peripheral zone
67.一位45歲女性病人,健檢時超音波檢查發現右腎有一直徑2.5公分,邊界清楚的圓形實質腫瘤,其 體積的一半向上突出於右腎上緣,並無任何症狀,下列何者錯誤? (A)如果超音波是低回音性(hypoechoic)的實質腫瘤,且呈現中心不均質(heterogeneous)的現 象,最可能是腎細胞癌(renal cell carcinoma) (B)如果超音波是高回音性(hyperechoic)的實質腫瘤,最可能是一種含有脂肪成分的良性腫瘤 (C)如果懷疑是腎細胞癌時,必須做經皮穿刺切片進行病理診斷 (D)如果懷疑是良性腫瘤時,可以暫時不做處理追蹤即可
68.下列何者是糖尿病導致膀胱病變(diabetic cystopathy)在尿路動力學檢查最典型的發現? (A)逼尿肌括約肌共濟失調(detrusor-sphincter dyssynergia) (B)逼尿肌過動(detrusor overactivity) (C)尿道括約肌機能障礙 (urethral sphincter dysfunction) (D)膀胱感覺損傷 (impaired bladder sensation)
69.下列何種因子不存在於陰莖海綿體的平滑肌,促使其鬆弛充血引起勃起? (A)cyclic guanosine monophosphate (cGMP) (B)protein kinase G (C)dopamine (D)nitric oxide
70.依Weigert-Meyer rule,在單側雙套輸尿管(duplicated ureter)的病人,下列敘述何者正確? (A)引流上端腎臟的輸尿管,其開口位於膀胱上端及外側 (B)引流上端腎臟的輸尿管,其開口位於膀胱下端及內側 (C)只有引流下端腎臟的輸尿管較易發生逆流 (D)單側三套輸尿管所有分型亦適用Weigert-Meyer rule
71.小兒神經性膀胱的膀胱壓力至少在多少cm H2O以上時,比較容易造成上泌尿道病變? (A)40 cm H2O (B)30 cm H2O (C)20 cm H2O (D)10 cm H2O
72.關於疑似氣胸之胸部X光影像,下列敘述何者最不恰當? (A)若影像中氣胸不明顯,可請患者吐氣後再照一張胸部後前位(postero-anterior view)X光影像以 協助診斷 (B)張力性氣胸的特徵包括縱隔(mediastinum)偏移 (C)橫膈膜反轉(inversion)可發生於張力性氣胸 (D)張力性氣胸的特徵通常為少量的空氣漏至肋膜腔
73.20歲男性病人因打球摔傷,膝部疼痛接受電腦斷層檢查,發現脛骨近端有骨折如圖。最可能合併下列何者傷害? (A)前十字韌帶(anterior cruciate ligament) (B)後十字韌帶(posterior cruciate ligament) (C)內側副韌帶(medial collateral ligament) (D)臏韌帶(patellar ligament)
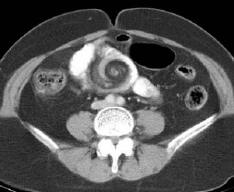
74.病人主訴腹脹、反胃及腹部悶痛;腹部電腦斷層檢查呈現如附圖。下列何項初診斷最恰當? (A)volvulus (B)intussusception (C)parasite infection (D)acute appendicitis
75.下列那一個病人最適合在急診進行緊急開胸手術(ED thoracotomy)? (A)25歲男性從10樓跳下,胸部與下肢變形,到院心電圖監視器呈現心跳停止 (B)18歲男性工作時從鋼架上跌落,被鋼筋插穿胸口,到院時血壓70/40 mmHg (C)30歲男性被尖刀刺傷左前胸,到院時心電圖呈現無脈性電氣活動 (D)19歲男性開車車禍前胸撞擊方向盤,到院時心電圖監視器呈現無脈性電氣活動
76.有關腸阻塞病人至急診,下列敘述何者最適當? (A)小腸阻塞發生的機率多於大腸阻塞機率 (B)腸阻塞病人腸子蠕動變快,抗痙攣藥物如Buscopan(hyoscine butylbromide)應儘早使用 (C)常見血液中脂肪酶(lipase)濃度會上升5倍以上 (D)小腸阻塞很少是因為疝氣或手術後造成的
77.有關睪丸扭轉(testicular torsion)之敘述,下列何者錯誤?(A)常發生在青少年時期 (B)症狀發生6小時內處置,預後較好 (C)病人的左睪丸常為順時鐘方向扭轉,右睪丸為逆時鐘方向扭轉 (D)最適當的檢查為陰囊核磁共振檢查(MRI)
78.40歲病人因工作意外導致顱內大量出血併重度昏迷,臨床上需施行緊急開顱手術以避免腦壓過高導致腦死。醫師讀取病人健保卡資料時發現病人曾經簽署預立醫療決定不施行「心肺復甦術」及「維 生醫療」,此時的醫療決策何者最適當?(A)因非末期病人,故應告知家屬病情並獲同意後施行開顱手術(B)應尊重病人不施行「心肺復甦術」及「維生醫療」意願,並給予安寧緩和醫療(C)應依病情發展,先給予維生醫療支持,如預後不佳則施予安寧緩和醫療(D)應告知家屬可能的嚴重後遺症,建議家屬不為病人施行手術
79.40歲男子要求進行手術回復其5年前的男性結紮。他在前一段婚姻有一個小孩,現在準備要再婚。當醫師幫他做身體診察時,發現他兩側睪丸萎縮。男子表示,自其青春期後,睪丸發育大小都一直 沒有變化。進一步檢查,發現其染色體核型為46, XX。此時,下列處理方式何者最恰當?(A)手術照做,行禮如儀,以免節外生枝(B)如實以告,並且解釋無法幫他做手術的原委(C)找理由不幫他動手術,建議另請其他醫師處理(D)請其未婚妻前來,一起解釋
80.甲醫師具中央主管機關核定之心臟移植資格,到任至不具心臟移植資格的乙醫院工作,當乙醫院有器官捐贈者進行心臟捐贈時,下列敘述何者正確?(A)甲醫師具中央主管機關核定之心臟移植資格,可於乙醫院進行心臟之摘取、移植手術(B)乙醫院未經中央主管機關核定,不可進行心臟之摘取、移植手術(C)甲醫師在乙醫院不可摘取也不可移植心臟(D)甲醫師在乙醫院僅可摘取但不可移植心臟