所屬科目:牙醫學(六)(包括齒顎矯正學、兒童牙科學、牙科公共衛生學等科目及其相關臨床實例與醫學倫理)
11 圖示側面測顱 X 光繪圖中,何者是解剖學上的 Po 點(anatomic porion)? (A) A (B) B (C) C (D) D
17 下圖是有關牙齒基本移動原理,實心點代表牙齒之抵抗中心(center of resistance),空心點代表牙齒 移動時之旋轉中心(center of rotation),直線箭頭代表施力方向,曲線箭頭代表力矩(moment)之 大小。當力矩愈大時,下列敘述何者正確? (A)力矩愈大時,旋轉中心愈向牙根尖方向移動 (B)力矩愈大時,旋轉中心愈向牙冠頂方向移動 (C)力矩愈大時,旋轉中心變化由牙冠、牙根尖至無限遠均有可能 (D)力矩大至極限時,旋轉中心會位於托架處(bracket)
20 以下圖形為一典型牙齒移動圖形,每天牙齒移動速率(mm/day)與牙齒受到持續性(125 g)力量之 天數關係圖。依據圖形所示,以持續力量推動牙齒,請問經過 30 天後牙齒可被移動多少? (A) 0.3 mm (B) 3.0 mm (C) 1.0 mm (D)以上皆有可能
21 材質分別為不鏽鋼(stainless steel)、沃斯田相鎳鈦合金(austenitic NiTi)、麻田散相鎳鈦合金 (martensitic NiTi)的三種矯正線,它們各自的偏向量(deflection)對應於彎曲力矩(bending moment)的 關係如下圖所示,試問下列敘述何者正確? (A) A 為 stainless steel,B 為 martensitic NiTi (B) A 為 stainless steel,B 為 austenitic NiTi (C) B 為 stainless steel,C 為 austenitic NiTi (D) B 為 austenitic NiTi,C 為 martensitic NiTi
22 一對成年姊妹前來求診,主訴為暴牙,兩人在外觀均呈上下唇前突及無法自然閉合,放鬆狀態兩唇 相離 5 釐米。兩者之測顱與咬合分析如下表所列: 治療兩者均需將前齒往後移動,下列敘述何者正確?①姊姊前齒需整體位移(bodily movement) ②姊姊前齒需傾斜位移(tipping movement) ③妹妹前齒需整體位移 ④妹妹前齒需傾斜位移 (A)①③ (B)②④ (C)①④ (D)②③
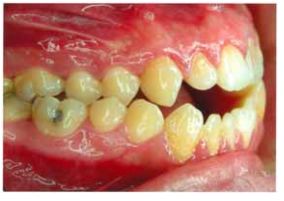
26 下圖是患者矯正後 6 個月的情形,此時最好選用那一種維持器(retainer)以改善此復發情形? (A)活動式維持器(removable retainer) (B)固定式維持器(fixed retainer) (C)主動式維持器(active retainer) (D)功能性矯正裝置(functional appliance)
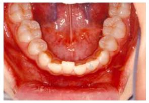
28 當上顎後牙之頰側咬頭咬在下顎後牙頰側咬頭之舌側(如圖所示)時,下列何者最能描述此種情況? (A)正常咬合 (B)頰側錯咬 (C)舌側錯咬 (D)完全錯咬
54 有位 3 歲半男孩兩天前在遊樂場跌倒,口腔檢查上唇擦傷,上顎門牙動搖性略增,其 X 光片如圖, 則應如何處置? (A)立即拔除右上正中門牙 (B)立即對右上正中門牙施行根管治療 (C)固定前牙 6-8 周並追蹤觀察 (D)建議追蹤觀察即可