阿摩線上測驗
登入
首頁
>
醫學分子檢驗學與臨床鏡檢學(包括寄生蟲學)
> 97年 - 97-1 專技高考_醫事檢驗師:醫學分子檢驗學與臨床鏡檢學(包括寄生蟲學)#49149
97年 - 97-1 專技高考_醫事檢驗師:醫學分子檢驗學與臨床鏡檢學(包括寄生蟲學)#49149
科目:
醫學分子檢驗學與臨床鏡檢學(包括寄生蟲學) |
年份:
97年 |
選擇題數:
80 |
申論題數:
0
試卷資訊
所屬科目:
醫學分子檢驗學與臨床鏡檢學(包括寄生蟲學)
選擇題 (80)
正常時,下列那一種檢體的黏稠度最高? (A)胸水 (B)關節液 (C)腦脊髓液 (D)羊水
2 下列有關正常體液之敘述,何者錯誤? (A)滑膜液會有凝集塊 (B)精液凝固後,會有液化現象 (C)腦脊髓液不會有凝固現象 (D)胸膜液不會有凝固現象
3 正常時,下列那一項檢體的蛋白質濃度最高? (A)腦脊髓液 (B)胸水 (C)關節液 (D)血液
4 下列有關精蟲之敘述,何者錯誤? (A)若異常型態的精蟲少於 30%,也可視為正常 (B)活動力與溫度無關 (C)正常精液精蟲之數目約為 60~130×106 /mL (D)精蟲活動力可做定性評估
5 尿液圓柱體之變化過程中,何者最後形成? (A)細胞圓柱體 (B)蠟狀圓柱體 (C)細顆粒圓柱體 (D)粗顆粒圓柱體
6 下列關於檢體凝固現象的敘述,何者正確? (A)精液凝固時間越長越好,代表採檢良好 (B)可加入抗凝劑至精液檢體中,防止凝固 (C)腹水凝固時間越長越好,代表採檢良好 (D)可加入抗凝劑至腹水檢體中,防止凝固
7 臨床檢體鏡檢報告,最不可能出現下列何種結果? (A)尿液出現精蟲 (B)腦脊髓液中出現圓柱體 (C)尿液中出現黴菌菌絲 (D)腦脊髓液中出現淋巴芽母細胞
8 下列何種分析可能需要使用偏光顯微鏡? (A)腦脊髓液 (B)痰液 (C)糞便 (D)關節液
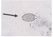
9 鏡檢糞便檢體看到如附圖的蟲卵,大小約 52×23μm,應為何種蟲卵?
(A)蟯蟲(Enterobius vermicularis) (B)鞭蟲(Trichuris trichiura) (C)異形異形吸蟲(Heterophyes heterophyes) (D)廣節裂頭絛蟲(Diphyllobothrium latum)
10 清晨用玻璃膠紙在蟯蟲(Enterobius vermicularis)感染者肛門周圍黏取到的檢體,可能會發現到下列何者? (A)雄性成蟲 (B)未受精卵 (C)受精卵 (D)胎蟲卵(embryonated egg)
11 幼童若同時有肝臟腫大、血液嗜酸性白血球及球蛋白異常增加時,可考慮是否感染下列何種寄生蟲? (A)旋毛蟲(Trichinella spiralis) (B)犬蛔蟲(Toxocara canis) (C)廣東住血線蟲(Angiostrongylus cantonensis) (D)班氏絲蟲(Wuchereria bancrofti)
12 糞便檢體看到大小約 15μm的囊體如附圖,是何種寄生蟲?
(A)痢疾阿米巴(Entamoeba histolytica) (B)微小阿米巴(Endolimax nana) (C)梨形鞭毛蟲(Giardia lamblia) (D)大腸纖毛蟲(Balantidium coli)
13 下列何者並非痢疾阿米巴(Entamoeba histolytica)囊體的特徵? (A)有 1 至 4 個核 (B)類染體(chromatoid body)兩端圓鈍呈棒狀 (C)直徑約 10 至 20μm (D)內含紅血球
14 下列何者是單包絛蟲(Echinococcus granulosus)病例的檢查方法? (A)採糞便檢查蟲卵 (B)採糞便檢查頭節 (C)採血檢查幼蟲 (D)採血檢查抗體
重新載圖
15 糞便檢體中看到如附圖的蟲卵,大小約 70×50μm,應是下列何種寄生蟲的蟲卵?
(A)廣節裂頭絛蟲(Diphyllobothrium latum) (B)鈎蟲(hookworm) (C)微小包膜絛蟲(Hymenolepis nana) (D)香貓肝吸蟲(Opisthorchis viverrini)
16 感染下列何種絲蟲時,在尿液可能檢查到微絲蟲(microfilariae)? (A)奧氏絲蟲(Mansonella ozzardi) (B)犬心絲蟲(Dirofilaria immitis) (C)羅阿絲蟲(Loa loa) (D)蟠尾絲蟲(Onchocerca volvulus)
17 住在澎湖的老李,疑似感染班氏絲蟲(Wuchereria bancrofti),應在何時採血送檢最適當? (A)早上 (B)中午 (C)傍晚 (D)深夜
18 下列何種檢查對於班氏絲蟲症(Bancroftian filariasis)的確認診斷並無幫助? (A)血液抹片 (B)象皮樣皮膚部位切片 (C)血清抗體 (D)淋巴管攝影
19 有一位曾吃未熟豬肉,懷疑感染旋毛蟲(Trichinella spiralis)的病患,下列何種檢查方法完全無法作為診 斷的參考? (A) X 光檢查 (B)肌肉切片檢查 (C)採血檢查抗體 (D)採糞便檢查蟲卵
20 下列何種蟲卵沒有卵蓋? (A)東方毛線蟲(Trichostrongylus orientalis) (B)廣節裂頭絛蟲(Diphyllobothrium latum) (C)薑片蟲(Fasciolopsis buski) (D)衛氏肺吸蟲(Paragonimus westermani)
21 hCG 臨床檢測的應用不包括下列何者? (A)子宮外孕診斷 (B)可當作惡性胚胎癌之腫瘤標誌 (C)多胞胎懷孕體內 hCG 之濃度會高出一般孕婦甚多 (D)睪丸腫瘤之診斷與治療
22 感染下列何種寄生蟲時其糞便潛血試驗最可能呈陽性反應? (A)埃及血吸蟲(Schistosoma haematobium) (B)中華肝吸蟲(Clonorchis sinensis) (C)廣東住血線蟲(Angiostrongylus cantonensis) (D)鞭蟲(Trichuris trichiura)
23 下列何者為懷孕試驗之最佳尿液檢體? (A)隨機尿液 (B)三杯尿收集檢體方法 (C)清晨第一次尿液 (D)飯後二小時尿液
24 以直接凝集法測定 hCG 時,直接包覆在乳膠顆粒上的物質為: (A)抗 hCG 抗體 (B)病人之血清 (C) hCG 受體 (D) hCG 之 α 次單元
25 初期懷孕 hCG 的作用是促使下列何種激素分泌? (A)黃體促素(luteinizing hormone) (B)黃體激素(progesterone) (C)人類濾泡激素(follicle-stimulating hormone) (D)甲促素(thyroid-stimulating hormone)
26 精蟲功能檢測之 acrosin 分析試驗,與精蟲的何種功能有關? (A)對卵子的穿透力 (B)移動游走速度 (C)代謝活性 (D)存活力
27 進行精蟲之低滲透濃度膨脹試驗(hypo-osmotic swelling test)時,使用何種顯微鏡可得最佳觀察效果? (A)偏極光 (B)明視野 (C)相位差 (D)干涉
28 射精時最前段精液有清洗及潤滑尿道的功能,其來源是: (A)前列腺 (B)貯精囊 (C)尿道及尿道球腺 (D)附睪
29 下列何處的精蟲仍不具運動性且未成熟? (A)前列腺 (B)貯精囊 (C)附睪 (D)睪丸
30 正常滑膜液中佔比例最高的白血球是: (A)嗜中性白血球 (B)淋巴球 (C)單核球及巨噬細胞 (D)嗜酸性白血球
31 下列感染性關節疾病的滑膜液檢驗數據中,何者錯誤? (A)外觀呈混濁狀 (B)黏稠性降低 (C)總蛋白質濃度較正常低 (D)葡萄糖濃度較正常低
32 退化性關節炎患者滑膜液中可發現的結晶是: (A) Calcium pyrophosphate dihydrate (B) Monosodium urate monohydrate (C) Calcium oxalate (D) Cholesterol
33 取得精液後,最好保存在何種溫度,並儘速送檢? (A) 4℃ (B)室溫 (C)體溫 (D) 42℃
34 下列何者是滑膜液觀察結晶時,最適當的抗凝劑? (A) Lithium heparin (B) Sodium heparin (C) Oxalate (D) Powdered EDTA
35 滑膜液的黏性來自於何種物質? (A)乳酸 (B)尿酸 (C)玻尿酸 (D)酮酸
36 判斷腹水為濾出液或滲出液的目的為何? (A)判斷採樣正確 (B)決定保存方法 (C)鑑定積水成因 (D)鑑定採檢時間
37 下列何指標可鑑別乳糜性胸水和假乳糜性胸水? (A)離心後外觀 (B)體積 (C)比重 (D)三酸甘油酯濃度
38 急性胰臟炎患者的腹膜液中,何種酵素濃度可高達血清中濃度的三倍以上? (A)乳酸脫氫酶 (B)鹼性磷酸酶 (C)肌酸激酶 (D)澱粉酶
39 下列何種病患胸腔積水的原因是由於淋巴管阻塞使得再吸收功能減少而造成的? (A)腎綜合病徵 (B)肺癌 (C)細菌性肺炎 (D)鬱血性心臟衰竭
40 腹水檢體呈現嗜酸性白血球過多(佔白血球分類 10%以上)的現象,常見於下列何者? (A)慢性腹膜透析 (B)肝硬化 (C)急性腹膜炎 (D)胰臟炎
41 腦脊髓液凝固的最可能原因為何? (A)細菌性腦膜炎 (B)糖尿病 (C)腎臟癌 (D)肝癌
42 下列何種腦脊髓液的檢驗,可區分細菌性或病毒性腦膜炎? (A)膽紅素 (B)尿酸 (C) C-反應蛋白質 (D)膽固醇
43 暗視野顯微鏡適合觀察腦脊髓液中的何種微生物? (A)腦膜炎雙球菌(Neisseria meningitidis) (B)梅毒螺旋菌(Treponema pallidum) (C)結核分枝桿菌(Mycobacterium tuberculosis) (D)小兒麻痺病毒(Poliovirus)
44 腦脊髓液用於細胞計數及分類之檢體,如未能及時送檢,應如何處理? (A)冷凍保存(-30~-15℃) (B)置於室溫(19~26℃) (C)冷藏保存(2~8℃) (D)加 NaF 保存
45 腦脊髓液利用 acridine orange stain,檢體中的阿米巴經染色後,會呈現何種顏色的螢光? (A)磚紅色 (B)鮮綠色 (C)鮮黃色 (D)深藍色
46 最好的痰液檢體為何? (A)隨意痰 (B)早上第一口痰 (C)口水 (D)漱口後吐出的水
47 抗酸性染色法中用於脫色的是何種試劑? (A)石碳酸複紅 (B)酸性酒精 (C)甲基藍 (D)伊紅
48 下列何者是用來染痰液中的血液細胞? (A) Ziehl-Neelsen stain (B) Kinyoun stain (C) Auramine-rhodamine stain (D) Wright stain
49 痰液中必須有下列何者,才能表示此檢體確實來自下呼吸道? (A)鱗狀上皮細胞 (B)變形紅血球 (C)肺泡巨噬細胞 (D)嗜中性白血球
50 支氣管性氣喘病患的痰液中,何種白血球的出現率比較高? (A)嗜中性白血球 (B)嗜酸性白血球 (C)嗜鹼性白血球 (D)淋巴球
51 下列關於鏡檢水狀糞便中白血球的敘述,何者正確? (A)前處理須離心 (B)以油鏡觀察 (C)只要是細菌感染一定會增加 (D)以觀察嗜中性白血球為主
52 當未消化脂質大量增加,產生脂肪痢,糞便檢體可以使用下列何種染色法來確認之? (A) Methylene blue (B) Lactoferrin (C) Oil red O (D) Indole
53 下列何種檢體鏡檢,最不容易檢出惡性細胞? (A)尿液 (B)腦脊髓液 (C)糞便 (D)胸水
54 下列何者可造成綠色糞便? (A) Bilirubin (B) Unconjugated bilirubin (C) Urobilinogen (D) Biliverdin
55 下列何者是膽道阻塞疾病所造成的異常糞便? (A)呈現灰白色 (B)血便 (C)白血球增多 (D)分泌性之腹瀉
56 糞便常規檢查之檢體如果不能立刻送檢,應該如何處理檢體? (A)置於 4℃冷藏,隔天送檢 (B)加入保存液,4℃冷藏,隔天送檢 (C)加入保存液,離心後,20~25℃保存,隔天送檢 (D) 37℃保存,隔天送檢
57 糞便中之糞膽素是由何種物質氧化轉變而成? (A) Unconjugated bilirubin (B) Conjugated bilirubin (C) Urobilinogen (D) Biliverdin
58 下列何者不會影響葡萄糖尿試紙反應? (A)維生素 C (B)水楊酸 (C)尿酸 (D)次氯酸
59 利用加熱醋酸法分析尿蛋白時,當加熱後,可因加入酸使混濁消失,是因為尿液中含有下列何者? (A)磷酸鹽 (B)白蛋白 (C)球蛋白 (D) Bence Jones 蛋白
60 尿液檢驗 pH 為 7.5,尿沈渣出現的不定形顆粒狀結晶,應是下列何者? (A)無定形尿酸鹽 (B)無定形磷酸鹽 (C)尿酸 (D)尿酸銨
61 附圖中有缺角薄片物為何種尿沈渣結晶?
(A)尿酸結晶 (B)草酸鈣結晶 (C)三重磷酸鹽 (D)膽固醇
62 鏡檢觀察尿沈渣中含膽固醇之卵圓形脂肪體時,下列敘述何者正確? (A)偏光顯微鏡下可見針狀 (B) Sudan Ⅲ染色後呈偏光性 (C)偏光顯微鏡下可見馬爾他十字形 (D) Sudan Ⅲ染色後呈藍色
63 試紙法進行尿液化學分析時,下列各種檢測物與反應之配對中,何者正確? (A)蛋白/重氮反應 (B)酮體/硝基普魯士酸鹽反應 (C)比重/酵素反應 (D)血液/抗原辨識反應
64 尿試紙測白血球酯酶呈陽性,但尿沈渣鏡檢未見白血球,其原因最有可能是: (A)白血球酯酶活性來自感染之細菌 (B)檢體中含大量維生素 C (C)尿液中白血球已溶解 (D)酵母菌污染
65 試紙法測定尿葡萄糖,是進行下列何種反應? (A)氧化反應 (B)抗原辨識反應 (C)重氮反應 (D)硝基普魯士酸鹽反應
66 鏡檢尿沈渣無法區別紅血球與酵母菌時,應採用何種方法區別? (A)染色 (B)離心 (C)加稀醋酸 (D)加氫氧化鈉
67 觀察尿沈渣中之白血球時,下列何者正確? (A)閃爍細胞是含二級顆粒之嗜酸性白血球 (B)閃爍細胞通常在低張尿液中出現 (C)巨噬細胞是尿沈渣中比例最高的白血球 (D)巨噬細胞在急性發炎時,大量增加並聚成團狀
68 正常尿液的 pH 值為何? (A) 2.0~4.0 (B) 4.5~8.0 (C) 8.5~9.0 (D) 9.5~10.0
69 常規尿液使用試紙檢測蛋白尿中的何種物質? (A)白蛋白 (B)球蛋白 (C)本瓊氏蛋白 (D)醣蛋白
70 利用試紙檢測法檢測尿液時,維生素 C 不會影響下列何者的測定? (A)紅血球 (B)白血球 (C)酮體 (D)葡萄糖
71 下列何者可用來區分尿液與其他體液? (A)顏色 (B)膽固醇 (C)肌酸酐濃度 (D)白血球酯酶活性
72 尿沈渣之 toluidine blue 試劑染色法,其目的用於區分下列那兩者? (A)白血球與腎小管上皮細胞 (B)活細胞與死細胞 (C)紅血球與酵母菌 (D)紅血球與油滴
73 尿沈渣鏡檢,以 Sudan Ⅲ染色發現到橘紅色圓柱體時,表示內含何種成分? (A)膽固醇 (B)細菌 (C)中性脂肪 (D)鐵
74 使用尿試紙時,下列敘述何者錯誤? (A)置放紙條於密閉容器,室溫保存即可,不需冷藏 (B)注意試紙條保存期限 (C)若檢測冷藏檢體時,需讓檢體回溫,方能進行試驗 (D)檢體需離心,避免沉澱物干擾試驗
75 下列何者不是泌尿道感染的尿液檢查指標? (A)白血球酯酶 (B)亞硝酸鹽 (C)酸鹼度 (D)白血球圓柱體
76 正常尿液檢體中,何種有機物質之含量最高? (A) Uric acid (B) Urea (C) Creatinine (D) Hippuric acid
77 相位差顯微鏡結構中,相位板(phase plate)之用途為何? (A)聚集焦點 (B)改善色差 (C)延遲光線 (D)造成偏光
78 下列何者是使用顯微鏡時保護眼睛的方法? (A)聚光鏡升到最高 (B)光圈開到最大 (C)雙眼皆正確對焦 (D)避免使用藍色濾光片
79 使用 10X 物鏡觀察視野下約有 200 顆紅血球平均分布,若改用 20X 物鏡時,則該視野下可見紅血球的數 目約為多少? (A) 50 (B) 100 (C) 200 (D) 400
80 下列何種成分可用來評估尿液採集 24 小時收集是否完全? (A)尿素氮 (B)肌酸酐 (C)尿酸 (D)尿素
申論題 (0)
相關試卷
115年 - 115-1 專技高考_醫事檢驗師:醫學分子檢驗學與臨床鏡檢學(包括寄生蟲學)#137351
115年 · #137351
114年 - 114-2 專技高考_醫事檢驗師:醫學分子檢驗學與臨床鏡檢學(包括寄生蟲學)#128960
114年 · #128960
114年 - 114-1 專技高考_醫事檢驗師:醫學分子檢驗學與臨床鏡檢學(包括寄生蟲學)#125116
114年 · #125116
113年 - 113-2 專技高考_醫事檢驗師:醫學分子檢驗學與臨床鏡檢學(包括寄生蟲學)#121678
113年 · #121678
113年 - 113-1 專技高考_醫事檢驗師:醫學分子檢驗學與臨床鏡檢學(包括寄生蟲學)#118703
113年 · #118703
112年 - 112-2 專技高考_醫事檢驗師:醫學分子檢驗學與臨床鏡檢學(包括寄生蟲學)#115869
112年 · #115869
112年 - 112-1 專技高考_醫事檢驗師:醫學分子檢驗學與臨床鏡檢學(包括寄生蟲學)#113150
112年 · #113150
111年 - 111-2 專技高考_醫事檢驗師:醫學分子檢驗學與臨床鏡檢學(包括寄生蟲學)#109909
111年 · #109909
111年 - 111-1 專技高考_醫事檢驗師:醫學分子檢驗學與臨床鏡檢學(包括寄生蟲學)#106197
111年 · #106197
110年 - 110-2 專技高考_醫事檢驗師:醫學分子檢驗學與臨床鏡檢學(包括寄生蟲學)#99957
110年 · #99957