阿摩線上測驗
登入
首頁
>
醫學四:80題 ( 包括小兒科,皮膚科,神經科,精神科等科目及其相關臨床實例與醫學倫理 )
> 97年 - 97-1 專技高考_醫師(二):醫學(四)(包括小兒科、皮膚科、神經科、精神科等科目及其相關臨床實例與醫學倫理)#38372
97年 - 97-1 專技高考_醫師(二):醫學(四)(包括小兒科、皮膚科、神經科、精神科等科目及其相關臨床實例與醫學倫理)#38372
科目:
醫學四:80題 ( 包括小兒科,皮膚科,神經科,精神科等科目及其相關臨床實例與醫學倫理 ) |
年份:
97年 |
選擇題數:
80 |
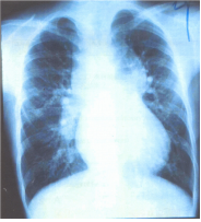
申論題數:
0
試卷資訊
所屬科目:
醫學四:80題 ( 包括小兒科,皮膚科,神經科,精神科等科目及其相關臨床實例與醫學倫理 )
選擇題 (80)
1 對患有機能性反覆性腹痛(functional recurrent abdominal pain)之兒童而言,下列何項臨床表現最符 合此項診斷? (A) 嘔吐物中有膽汁 (B)有水瀉現象 (C)腹痛位於肚臍周圍 (D)半夜容易痛醒
2. 下列何者與導致兒童肥胖(obesity)最無關係? (A)基因變異 (B)種族差異 (C)飲食差異 (D)雙親教育程度
3 (A)肝脾腫大 (B)曾有新生兒結膜炎 (C)持續高燒七天 (D)胸部 X 光有實質化(consolidation)變化
4. 承上題,該嬰兒的血液檢查與白血球分類最可能出現的異常結果為: (A) 淋巴球增加(lymphocytosis) (B)帶狀嗜中性白血球增加(increased band-form neutrophils) (C)嗜伊紅性白血球增加(eosinophilia) (D)血小板減少(thrombocytopenia)
5. 十五天大女嬰,因為新生兒篩檢甲促素(TSH)值為 60 μU/mL 而就診,下列那一項檢查最不適宜? (A) 血清甲狀腺素(T4) (B) I-131 掃描(I-131 sodium iodide scintigraphy) (C)鎝-99m 掃描(Tc-99m sodium pertechnetate scintigraphy) (D)甲狀腺超音波檢查(Ultrasonography of the thyroid)
6. 46,XX,5p-的染色體報告代表下列何者? (A) 女生第五對染色體數目上少了一整條 (B)女生第五對染色體長臂上少了一小截 (C)女生第五對染色體短臂上少了一小截 (D)女生第五對染色體發生平衡轉位(balanced translocation)
7. 下列有關馬凡氏症候群(Marfan syndrome)的描述何者錯誤? (A) 為體染色體顯性遺傳 (B)由於突變之數量太多,基因檢測目前應用上還未成熟 (C)身高與手距(arm span)的比率大於 1.05 (D)易發生二尖瓣脫垂(mitral valve prolapse)
8. 法洛氏四合症(tetralogy of Fallot)之心雜音是何種畸形造成? (A) 肺動脈下漏斗體狹窄(infundibular stenosis) (B)心室中隔缺損(ventricular septal defect) (C)右心室肥厚(hypertrophic right ventricle) (D)主動脈跨位(overriding of aorta)
9. 雙胞胎容易發生輸血症候群(twin-twin-transfusion syndrome),下列那一項是雙胞胎輸血症候群捐 血者(donor)的特徵? (A) 全身水腫 (B)不同性別 (C)羊水過多 (D)體重過輕
10. 一位對稱型低體重(symmetric type small-for-gestational age)新生兒,理學檢查發現其肌肉張力 強(hypertonia)、小下巴(micrognathia)、顎裂(cleft palate)、手指成握拳狀(clenched hand), 以及腳踝後跟似搖搖椅狀(rocker-bottom feet)。下列何者為其最常合併之心臟異常? (A) 法洛氏四合症(tetralogy of Fallot) (B)肺動脈狹窄(pulmonary stenosis) (C)心室中隔缺損(ventricular septal defect) (D)房室內墊缺損(endocardial cushion defect)
11. 風濕性心臟病(rheumatic heart disease)最常侵犯: (A) 主動脈瓣膜(aortic valve) (B)二尖瓣膜(mitral valve) (C)肺動脈瓣膜(pulmonary valve) (D)三尖瓣膜(tricuspid valve)
12. 一位 7 歲男孩 因四肢冰冷 、頭暈及腹痛至醫院求診。 據家屬描述, 該男孩於 4 天前曾有感冒 (common cold)症狀。其血壓為 70/48 mmHg,肝臟於右肋骨下 4 公分摸得到,心電圖顯示如圖。下列何者為 適當的處理? (A)放置暫時性心律調節器(temporary pacemaker) (B)給予靜脈注射 amiodarone (C)給予靜脈注射毛地黃(digoxin)及利尿劑 (D)電擊休克(DC shock)
13. 一位 5 歲男孩,其父母主訴他運動時嘴唇發紺(cyanosis),且較正常人喘。於左胸前可聽到第 2-3 度 心雜音,其胸部 X 光檢查如圖所示。下列何者為最可能的診斷?
(A)總肺靜脈回流異常(total anomalous pulmonary venous return) (B)大血管轉位(transposition of great arteries) (C)三尖瓣膜閉鎖(tricuspid atresia) (D)法洛氏四合症(tetralogy of Fallot)
14. 下列何種遺傳性血液疾病最常造成胎兒水腫(hydrops fetalis)? (A)甲型海洋性貧血(α-thalassemia) (B)乙型海洋性貧血(β-thalassemia) (C)葡萄糖六磷酸脫氫之酵素缺乏(G6PD deficiency) (D)遺傳性球形紅血球症(hereditary spherocytosis)
15. 下列何種疾病自然緩解(spontaneous regression)的機率最低? (A) 唐氏症(Down syndrome)新生兒之骨髓增生症候群(myeloproliferative syndrome) (B) 4S 期(stage 4S)之嬰兒神經母細胞瘤(neuroblastoma) (C)尾椎(sacrococcygeal)部位之良性畸胎瘤(teratoma) (D)嬰兒草莓樣血管瘤(hemangioma)
16. 下列何種臨床病症與遺傳性球形紅血球症(hereditary spherocytosis)最不相關? (A)新生兒黃疸(neonatal hyperbilirubinemia) (B)膽囊結石(gallstone) (C)脾臟腫大(splenomegaly) (D)腎衰竭(renal failure)
17. 一位 15 歲女孩,近 3 個月來出現雙臉頰紅斑(malar rash)、關節痛、體重減輕、不明熱等現象,醫 師懷疑她罹患系統性紅斑性狼瘡(systemic lupus erythematosus; SLE)。根據 1997 年美國風濕病學院 (American College of Rheumatology)公布診斷 SLE 的 11 要項中,要符合至少四項才可診斷為 SLE。 請問下列何者不在此 11 項中? (A) malar rash (B) low complement levels (C) oral ulceration (D) antinuclear antibody (ANA) elevation 代號:4101 頁次:8-3
18. 下列有關孩童 Grave’s disease 的敘述,何者錯誤? (A)發生率的高峰期在青春期前之孩童 (B)好發於女生 (C)情緒不穩 (D)脈搏壓(pulse pressure)會增加
19. 白血球的附著分子(adhesion molecule)缺乏時,最可能導致下列何種情形? (A) 白血球附著缺乏(leukocyte adhesion deficiency; LAD)的患者會出現明顯的中性白血球降低 (neutropenia) (B)白血球的骨髓氧化酶(myeloperoxidase)出現缺損 (C)這類患者容易得到病毒感染 (D)白血球的趨化作用(chemotaxis)會出現問題
20. 一位 40 週出生體重 4100 公克經自然生產出生之男嬰,於出生後 8 小時發現他有間歇性兩側手腳抽 動與眼神直視的現象。在懷疑新生兒抽搐(neonatal seizure)的考慮下,下列那一項措施錯誤? (A)先安排 EEG 檢查再給予抗癲癇藥物 (B)立即抽血檢查血糖值及血鈣值 (C)檢查是否有顱內出血 (D)確定母親是否有 gestational diabetes
21. 關於男孩性早熟(precocious puberty),下列那一項的致病機轉與其他三者不同? (A) 水腦(hydrocephalus) (B)下視丘錯構瘤(hypothalamic hamartoma) (C)分泌人絨毛膜性腺促素(HCG-secreting)的視丘腫瘤 (D)長期未治療之原發性甲狀腺低能症(primary hypothyroidism)
22. Neural tube defect 的臨床表徵不包含下列那一項? (A) spina bifida occulta 常無明顯神經症狀 (B) myelomenigocele 是最嚴重之一種表現,手術是必要且愈早愈好 (C) dermoid sinus 常見於 cranial encephalocele (D) hydrocephalus 是常見於 myelomenigocele 的合併症
23. 三星期大的足月產女嬰因這星期開始反覆噴射性嘔吐至急診室求診。出生體重 2400 gm,目前體重降至 2100 gm 抽血化驗 arterial blood gas : pH = 7.58, PaCO
2
= 56 mmHg, HCO
3
-
= 51.8 mmol/L, BE = 25.6 mmol/L, , [Na ] = 114 mmol/L, [K
+
] = 1.7 mmol/L, [Cl
-
] = 68 mmol/L,血壓為 68/40 mmHg,BUN/Creatinine = + 52/1.5 mg/dL;下列病因何者最不可能? (A) 腸道不通造成嘔吐 (B)脫水造成急性腎衰竭 (C)幽門狹窄(pyloric stenosis)併 pseudo-Bartter’s syndrome (D) 先天腎上腺增生(congenital adrenal hyperplasia)
24. 正常人類一生中血清肌酸酐(serum creatinine)值何時最低? (A) 出生後 1-3 個月 (B) 3-5 歲 (C) 12-15 歲 (D)成人
25. 有關氣喘患者的減敏療法,何者為非? (A)減敏療法會產生阻斷性的 IgG 抗體 (B)也建議應用在食物過敏疾病的治療 (C)可能會導致過敏原特異性的介白質-4(IL-4)降低和 γ-干擾素(IFN-γ)上升 (D)不建議用在使用 β-阻斷劑(β-blocker)的患者
26. 以下何種兒童腎絲球腎炎通常血清第三補體(C
3
)不會降低? (A)過敏性紫斑腎炎(anaphylactoid purpura nephritis) (B)狼瘡性腎炎(lupus nephritis) (C)膜性增生性腎絲球腎炎(membranoproliferative glomerulonephritis) (D)細菌性心內膜炎(bacterial endocarditis)引發腎絲球腎炎
27. 5 歲男童患有腎病症候群(nephrotic syndrome),病理切片在光學顯微鏡下可見到少數腎絲球有局部絲 球硬化,螢光染色見到 IgM 及 C
3
補體的沈澱,電子顯微鏡見到足狀突出融合(foot process fusion)。下 列有關其臨床之描述何者正確? (A) 臨床上常合併有血尿 (B)百分之五十以上對類固醇治療有效 (C)臨床上預後良好,大多可在一年內達到緩解 (D)實驗室檢查常可見到補體(C
3
,C
4
)下降
28. 臨床上欲了解是否有胰臟外分泌(exocrine)功能不全,下列何者為目前最常用且最具可信度之方法? (A)糞便常規檢查時以顯微鏡觀察脂肪球之存在與否 (B)收集 72 小時糞便脂肪內容物之含量占所攝取全部脂肪之百分比 (C)於十二指腸收集胰液,並定量其 trypsin 及 chymotrypsin 濃度 (D)測量糞便中 chymotrypsin 之量
29. 一位三個月大嬰兒體重為 6 公斤,考慮嬰兒理想的卡路里(calories)與水分攝取量,如果以正常濃 度的配方奶來餵養,該嬰兒一天攝取最適當的奶量應該是幾毫升(c.c.)? (A) 600 (B) 700 (C) 800 (D) 900
30 (A) heterophile antibody (B) conjunctival Chlamydia antigen detection (C) Weil-Felix reaction (D) cold agglutinin test
31. 承上題,對於該病童,使用下列那一種抗生素治療最適當? (A) Erythromycin (B) Tetracycline (C) Penicillin (D) Trimethoprim-sulfamethoxazole
32. 14 歲大之女孩主訴過去兩週以來黃疸愈來愈深,理學檢查並無肝脾腫大。下列何項檢查結果最可能 讓你診斷她有猛爆性肝衰竭,而建議立即作肝臟移植? (A)血氨升高 (B)給予維生素 K 後,前凝血酶原時間(prothrombin time)仍持續延長 (C)血清直接型膽紅素及 ALT 值越來越高 (D)出現腹水
33. 產婦在分娩前後罹患水痘,可能造成嬰兒發生嚴重的水痘。其中,以何時發疹的產婦其嬰兒最危險? (A) 產前兩週以前 (B)產前一至二週 (C)產前五天迄產後二天內 (D)產後二天至一週內
34. 下列何項皮膚表徵並非異位性皮膚炎(atopic dermatitis)的臨床診斷依據? (A)慢性期,有眼眶周圍色素沉著(periorbital pigmentation) (B)慢性期,有 Dennie-Morgan 現象 (C)幼兒期,苔癬化皮膚病變特別容易出現在手肘及膝蓋的伸側 (D)在患部皮膚,有白色皮膚畫紋症(white dermatographism)
35. 一位 75 歲男性,在陰囊與陰莖處出現濕疹樣搔癢的紅色斑塊如圖 A,皮膚病理切片如圖 B,下列敘 述何者正確? (A) 80%以上合併有生殖泌尿系統腫瘤,皮膚病變多由其轉移而來 (B)具有性接觸傳染的可能 (C)局部手術切除或二氧化碳雷射燒灼,治癒率高 (D)以大汗腺(apocrine gland)上皮細胞的標記做免疫染色,常呈陽性反應
36. 一位 33 歲男性,兩週前出國時曾有性接觸,求診前兩天生殖器開始有群聚性水疱,下列何種檢查可 以提供最快速的診斷? (A) KOH preparation (B) Tzanck smear (C) Gram stain (D) VDRL
37. 關於乾癬(psoriasis)的敘述,下列何者錯誤? (A) Auspitz’s sign 為其特點 (B)有 Koebner phenomenon (C)滴狀乾癬(guttate psoriasis)多為金黃色葡萄球菌感染所引發 (D)某些藥物例如 β-blocker 會加重乾癬的病情
38. 一位 56 歲女性,軀幹及四肢出現靶心狀病灶(target lesions),口腔糜爛、眼結膜紅腫、會陰部糜爛、 身體發燒,最有可能之診斷為何? (A) 疱疹性皮膚炎(dermatitis herpetiformis) (B)史蒂芬-強森症候群(Stevens-Johnson syndrome) (C)尋常性天疱瘡(pemphigus vulgaris) (D)膿疱性乾癬(pustular psoriasis)
39. 下列關於移植體對抗宿主疾病(graft-versus-host disease, GVHD)的敘述何者錯誤? (A)可分為急性及慢性兩種不同型態 (B)臨床上除了皮膚病灶之外,常合併腹瀉以及肝功能異常之表現 (C)常出現於接受骨髓移植(bone marrow transplantation)之患者 (D)自體(autologous)骨髓移植之患者罹患率遠高於異體(allogeneic)移植之患者
40. 下列有關玫瑰糠疹(pityriasis rosea)的敘述,何者正確? (A)好發於臉部及肢端 (B)病因可能與 human herpes virus type 7 感染有關 (C)容易反覆發作 (D)皮膚病理以慢性皮膚炎之表現為主
41 (A) 麻疹(measles) (B)川崎氏症(Kawasaki’s disease) (C)猩紅熱(scarlet fever) (D)傳染性紅斑(erythema infectiosum)
42. 承上題,此疾病最可能之致病原為: (A) Human parvovirus (B) Human herpes virus (C) Human papillomavirus (D) Human immunodeficiency virus
43 (A) tuberous sclerosis (B) neurofibromatosis (C) pseudoxanthoma elasticum (D) rosacea 圖A 圖B
44. 承上題,以下何者錯誤? (A) 臉上的腫瘤以染料雷射(Dye laser)治療有效 (B)有家族顯性遺傳(autosomal dominant)的傾向 (C)需進一步做神經學檢查 (D)軀幹上的白色斑以紅寶石雷射(Ruby laser)治療有效
45. 下列有關壞死性血管炎(necrotizing vasculitis)之敘述何者錯誤? (A)可觸及之紫斑(palpable purpura)是典型的病灶 (B)是一種免疫複合體疾病(immune complex disease) (C)炎症發生於大血管 (D)過敏性紫斑(Henoch-Schönlein purpura)乃是與 IgA 相關之壞死性血管炎
46 (A) 全身性肌張力不全(general dystonia) (B)脊髓小腦退化症(spinocerebellar degeneration) (C)帕金森氏症(Parkinson’s disease) (D)原發性顫抖症(essential tremor)
47. 承上題,下列治療藥物何者最有效? (A) 抗乙醯膽鹼藥物(anticholinergics) (B) β 阻抗劑(β-blocker) (C)左多巴(Levodopa) (D) Clonazepam
48. 一位 21 歲的張姓學生全身無力無法起床,被送至急診室求診。他說昨天去爬山還健步如飛,回來後 與同學去吃大餐時精神還很好。他兩個星期前有一次參加朋友的生日舞會,隔天也是全身無力。理 學檢查發現他全身肌肉無力,肌腱反射(tendon reflexes)消失,但沒有肌肉萎縮或感覺異常的情形。 張同學的狀況與血液中下列那一個電解質最有關係? (A)鈣離子 (B)鈉離子 (C)鉀離子 (D)氯離子
49. 抽搐性癲癇重積狀態(convulsive status epilepticus)可造成患者血液中何種化學物質增加而導致心律 不整? (A) 乙醯膽鹼(acetylcholine) (B)兒茶酚胺(catecholamine) (C)血清素(serotonin) (D)麩胺酸(glutamate)
50. 一位 30 歲肥胖女性有相當固定每日搏動性頭痛(throbbing headache)3 個月病史,伴隨間斷性短暫 視覺模糊(graying out),神經檢查發現除了雙側視乳突水腫(papilledema)外,其餘皆正常。下列 那一項是可能的診斷? (A) 慢性每日型頭痛(chronic daily headache) (B)假性腦部腫瘤症(pseudotumor cerebri) (C)叢發性頭痛(cluster headaches) (D)偏頭痛(migraine)
51. 魏小弟今年 12 歲,幾年來逐漸肌肉萎縮無力,以肢體近端之肌肉最為嚴重,自己無法從蹲姿站起來。 全身的肌肉都有萎縮,但是腓腸肌則有肥大現象。魏小弟的 16 歲哥哥已經以輪椅代步,但 18 歲的 姊姊與父母親都外觀正常。聽說有一位阿姨的兒子也得到同樣的疾病,另外有一位舅舅在 19 歲時因 呼吸衰竭而過世。魏小弟最有可能罹患下列那一種疾病? (A)第一型遺傳性運動及感覺神經病變(hereditary motor and sensory neuropathy, type I) (B)亨丁頓氏症(Huntington’s disease) (C)裘馨氏肌肉失養症(Duchenne muscular dystrophy) (D)強直性肌肉失養症(myotonic dystrophy)
52. 最常見之肌失養症(muscular dystrophy)為: (A) Duchenne muscular dystrophy (B) fascioscapulohumeral dystrophy (C) limb girdle muscular dystrophy (D) myotonic muscular dystrophy
53. 糖尿病引起的神經病變(diabetic neuropathy)以何者最常見? (A) 第三對腦神經病變(diabetic ophthalmoplegia) (B)多條神經病變(mononeuritis multiplex) (C)遠端性神經病變(distal polyneuropathy) (D)自主神經病變(autonomic neuropathy)
54. 下列何者最不可能是 cervical spondylosis with myelopathy 的臨床表現? (A)頸部僵硬疼痛 (B)上肢疼痛 (C)下肢僵硬無力(spastic weakness) (D)下肢肌肉萎縮(muscle atrophy)
55. 下列何種癲癇發作時,病人的意識是清醒的? (A) 全身強直陣攣型發作(generalized tonic-clonic seizures) (B)複雜型部分發作(complex partial seizures) (C)單純型部分發作(simple partial seizures) (D)熱痙攣(febrile convulsion)
56. 78 歲的高老先生患有高血壓多年,因腦出血住院,請問高血壓性腦出血,最常見的出血位置為何? (A) 大腦皮質 (B)基底核 (C)腦幹 (D)小腦
57. 下列何種頭痛有可能是自體顯性遺傳(autosomal dominant)? (A) 無預兆偏頭痛(migraine without aura) (B)基底型偏頭痛(basilar migraine) (C)偏癱性偏頭痛(hemiplegic migraine) (D)緊縮型頭痛(tension headache)
58. 做頸部血管的超音波檢查時,發現有些人的內頸動脈已完全阻塞,但其中風症狀輕微或並沒有中風 症狀,最可能的原因是: (A) 患者的心律不整控制得很好 (B)患者的高血壓控制得很好 (C)患者的腦血管產生足夠的側枝循環 (D)患者長期服用抗血小板凝集藥物 代號:4101 頁次:8-7
59. 一名 45 歲被診斷為精神分裂症男性患者,因服藥不規則,致使病症復發,並拿刀威脅家人,而被送 至醫院急診室。下列何種處置較不恰當? (A) 尋找保全人員協助危機處理 (B)責問患者為何拿刀威脅家人 (C)給予肢體約束安置於保護室 (D)給予抗精神病藥物肌肉注射
60 (A) 情緒高亢 (B)精力旺盛 (C)意念飛躍 (D)罪惡妄想
61. 承上題,該名病患由急診室收入院後,下列何種藥物不宜使用在此患者身上? (A)鋰鹽(Lithium) (B) Valproate (C)抗憂鬱藥物 (D)抗精神病藥物
62. 下列那一種抗憂鬱劑,其抑制血清素第二受體(serotonin 5HT2 receptor)之作用最強? (A) Bupropion (B) Venlafaxine (C) Fluoxetine (D) Trazodone
63. 下列那一種抗憂鬱劑造成性功能障礙之副作用最大? (A) Fluoxetine (B) Trazodone (C) Bupropion (D) Moclobemide
複選題
64. 有關強迫症(obsessive-compulsive disorder)的描述,下列何者錯誤? (A) 此症最常同時罹患之精神疾病是社交畏懼症(social phobia) (B)在青少年之患者中,男性多於女性 (C)與此症最有相關之神經傳導物質是血清素(serotonin) (D)平均發病年齡約 30 歲
65. 下列那一種疾病最常合併恐慌發作? (A) 甲狀腺功能過高 (B)二尖瓣脫垂 (C)心肌病變(cardiomyopathy) (D)慢性阻塞性肺病(chronic obstructive pulmonary disease)
66. 一位 40 歲已婚家庭主婦,近一個月持續出現情緒低落、沮喪、對生活失去信心、食慾減退、精力下 降、入睡困難、早醒、有自殺意念,因而無法料理家事。你認為該患者最可能的診斷是: (A)憂鬱症 (B)適應性疾患 (C)低落性情感疾患(dysthymic disorder) (D)焦慮症
67. 一位 47 歲男性開車行經台北市區,恰逢下班交通尖峰時段,突然出現胸悶、氣喘、窒息感、並有瀕 臨死亡之感覺。其自行開車至最近醫院的急診室就醫。在該急診室,此患者之理學及實驗室(包括 心電圖)檢查均無異常發現。該患者臨床診斷最有可能為下列何者? (A) 慮病症(hypochondriasis) (B)強迫症(obsessive-compulsive disorder) (C)憂鬱症(depressive disorder) (D)恐慌症(panic disorder)
68. 目前台灣夜店十分流行的非法藥物「搖頭丸」,是屬於下列何種成分? (A) Ketamine (B) Heroin (C) MDMA (D)大麻
69. 以下對於慮病症(hypochondriasis)之敘述,何者為非? (A) 患者堅信患了某種疾病,只是尚未檢查出來 (B)客觀證明仍難以說服患者,仍然堅信自己罹患某種疾病,且已達妄想程度 (C)美國精神醫學會之 DSM-IV 規定至少六個月以上才能診斷慮病症 (D)高社經階層者預後較佳
70. 一位 38 歲酒精脫癮患者因脫癮癲癇(withdrawal seizures)發作,而被送至急診室,你是急診醫師, 應以下列何種方式處置? (A) Lorazepam, Oral, 2-10 mg q4h (B) Diazepam, Oral, 5-20 mg q4h (C) Chlordiazepoxide, I. V., 0.15 mg/kg at 12.5 mg/min (D) Diazepam, I. V., 0.15 mg/kg at 2.5 mg/min
71. 譫妄(delirium)與失智症(dementia)最好的區分為何? (A) 記憶障礙 (B)判斷力障礙 (C)意識障礙 (D)思考障礙
72. 有注意力缺損合併過動疾患(attention-deficit / hyperactivity disorder)之兒童,長大後容易合併下 列何種疾患? (A)憂鬱症(depressive disorder) (B)雙極性疾患(bipolar disorder) (C)反社會人格疾患(antisocial personality disorder) (D)焦慮症(anxiety disorder)
73. 有一個 5 歲的男孩只會說「車子」、「出去玩」等簡單的辭彙,尚無法表達完整的句子,別人對他 說話時他常常不看人,獨自遊戲,喜歡玩同樣的玩具,不喜歡參加團體活動;關於上述案例,下列 敘述何者最不恰當? (A) 可能有智能障礙 (B)因為父母教養不當所以導致孩子發展異常 (C)最好接受腦波檢查 (D)記憶力或音樂方面的能力很強
74. 一位 58 歲女性,最近二天發生講話困難、吞嚥困難、步態輕微不穩,根據此二張 MRI 之 FLAIR(A) 以及 DWI(B)影像,此病患最可能的診斷是:
(A) multiple sclerosis(MS) (B) pyramidal syndrome (C) wallerian degeneration (D) Wallenberg syndrome A B
75. 孩童泌尿道感染時,下列那一項檢查最適於評估膀胱輸尿管逆流(vesicoureteral reflux)? (A) 正子斷層攝影(PET) (B)靜脈注射腎盂攝影(IVU) (C)經直腸超音波掃描(transrectal ultrasonography) (D)解尿膀胱泌尿道攝影(voiding cystourethrography)
76. 一位 60 歲女性,主訴近一個月來頭痛,這是注射顯影劑(Gd-DTPA)後的 MRI 影像,箭頭所指的 病灶,診斷是:
(A)腦膜瘤(meningioma) (B)上矢狀竇之血管擴張(aneurysmal dilatation of superior sagittal sinus) (C)星狀細胞瘤(astrocytoma) (D)寡樹突膠質細胞瘤(oligodendroglioma)
77. 一位 64 歲女性,長期食慾不振,意識清楚但全身無力,到院時生化檢驗發現[Na+] = 110 meq/L,給 予 3% NaCl 靜脈持續滴注 12 小時後,[Na
+
] = 132 meq/L,此時病患可能發生什麼現象? (A) 急性肺水腫 (B)急性腎衰竭 (C)致命性心律不整 (D)昏迷及四肢癱瘓
78. 一位 5 歲大 20 kg 的兒童送醫途中,身體評估顯示兒童無反應、無脈搏,且無自發性呼吸。護送兒童 的緊急救護員敘述護送途中持續給予正壓呼吸及胸部按壓,貼上自動體外電擊器貼片,心電圖顯示 如下,此時,下列何種治療對小朋友最合適?
(A) 建立血管通路,給予 Amiodarone 100 mg 注射 (B)建立血管通路,給予 Adenosine 2 mg 注射 (C)使用兒童電擊貼片,給予 50 焦耳雙相電擊一次 (D)建立血管通路,給予 Epinephrine 0.2 mg 注射,並繼續 CPR
79. 某政要的私人醫師因為診療的關係知道該政要一些個人的習慣,如飯後要抽菸、不愛吃蔬菜水果及 如廁後常不洗手等。這位醫師希望為這位政要寫一本回憶錄,內容包括政要的生活習慣和個人喜好, 在倫理及法律的規範下,他必須遵守下列何項限制? (A) 若未經政要同意,則必須等到政要逝世後才能公諸於世 (B)只能敘述與疾病及醫療無關的生活軼事 (C)只能敘述不會傷害政要本人或其他有關人員的事件 (D)刊載的所有內容必須得到政要本人或法律上具同意權者的同意
80. 新生兒加護病房的護士接到自稱是病人秀秀阿姨的電話,詢問秀秀的呼吸情況好些沒。此時護士的 何種作法較恰當? (A)電話中確認她是否為秀秀的阿姨 (B)問她是否得到秀秀父母的授權 (C)告訴她所詢問的事,並叫她下次不要再打電話來 (D)婉轉說明電話中無法告知病情
申論題 (0)