阿摩線上測驗
登入
首頁
>
醫學分子檢驗學與臨床鏡檢學(包括寄生蟲學)
> 97年 - 97-2 專技高考_醫事檢驗師:醫學分子檢驗學與臨床鏡檢學(包括寄生蟲學)#49238
97年 - 97-2 專技高考_醫事檢驗師:醫學分子檢驗學與臨床鏡檢學(包括寄生蟲學)#49238
科目:
醫學分子檢驗學與臨床鏡檢學(包括寄生蟲學) |
年份:
97年 |
選擇題數:
80 |
申論題數:
0
試卷資訊
所屬科目:
醫學分子檢驗學與臨床鏡檢學(包括寄生蟲學)
選擇題 (80)
1 下列各種計數檢體細胞之方法,何者最常用? (A) Makler 計算盤計數腹水中紅血球 (B) KOVA 計算盤計數精液中之精蟲 (C) Count-10 計算盤計數胸水中惡性細胞 (D) 血球計數盤計數腹水中白血球
2 下列何者最適合區別滑膜液中尿酸鈉及雙水磷酸鈣結晶? (A) 螢光顯微鏡 (B) 偏光顯微鏡 (C) 明視野顯微鏡 (D) 相位差顯微鏡
3 下列何者最適合觀察 auramine-rhodamine 染色之結核菌? (A) 相位差顯微鏡 (B) 螢光顯微鏡 (C) 暗視野顯微鏡 (D) 明視野顯微鏡
4 下列何種蟲卵大小約 115-170 × 40-70 μm,具有一尾刺(terminal spine)? (A) 衛氏肺吸蟲(Paragonimus westermani) (B) 廣節裂頭絛蟲(Diphyllobothrium latum) (C) 曼森血吸蟲(Schistosoma mansoni) (D) 埃及血吸蟲(Schistosoma haematobium)
5 玻璃膠紙肛門周圍擦拭法通常用於檢查下列何種蟲卵? (A) 日本血吸蟲(Schistosoma japonicum) (B) 蟯蟲(Enterobius vermicularis) (C) 鞭蟲(Trichuris trichiura) (D) 薑片蟲(Fasciolopis buski)
6 下列有關大腸纖毛蟲(Balantidium coli)囊體的敘述,何者錯誤? (A) 有顯著的大核 (B) 通常可見到肝醣泡 (C) 囊體剛形成時仍可見到體表的纖毛 (D) 為大型囊體(50-75 μm)
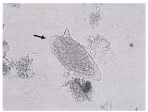
7 糞便檢體中看到如附圖的蟲卵,大小約 170×60 μm,應是下列何者的蟲卵?
(A) 埃及血吸蟲(Schistosoma haematobium) (B) 東方毛線蟲(Trichostrongylus orientalis) (C) 曼森血吸蟲(Schistosoma mansoni) (D) 薑片蟲(Fasciolopsis buski)
8 下列何種絛蟲受胎體節(gravid proglottid)其中央子宮幹的單邊主分枝數為 7 至 13 個? (A) 無鉤絛蟲(Taenia saginata) (B) 有鉤絛蟲(Taenia solium) (C) 西里伯斯雷氏絛蟲(Raillietina celebensis) (D) 單包絛蟲(Echinococcus granulosus)
9 糞便檢體不適合用來檢查下列何種寄生蟲的蟲卵? (A) 埃及血吸蟲(Schistosoma haematobium) (B) 衛氏肺吸蟲(Paragonimus westermani) (C) 異形異形吸蟲(Heterophyes heterophyes) (D) 槍狀肝吸蟲(Dicrocoelium dendriticum)
10 下列何種蟲卵最大? (A) 微小包膜絛蟲(Hymenolepis nana) (B) 縮小包膜絛蟲(Hymenolepis diminuta) (C) 泰國肝吸蟲(Opisthorchis viverrini) (D) 異形異形吸蟲(Heterophyes heterophyes)
11 糞便檢體中看到如附圖的蟲卵,大小約 70×50 μm,應是下列何種寄生蟲的蟲卵?
(A) 日本血吸蟲(Schistosoma japonicum) (B) 蛔蟲(Ascaris lumbricoides) (C) 無鉤絛蟲(Taenia saginata) (D) 微小包膜絛蟲(Hymenolepis nana)
12 糞便檢查發現有大小約 1 公分的寄生蟲成蟲,口腔內有二對牙齒,可能是下列何種蟲體? (A) 蟯蟲(Enterobius vermicularis) (B) 美洲鉤蟲(Necator americanus) (C) 十二指腸鉤蟲(Ancylostoma duodenale) (D) 犬鉤蟲(Ancylostoma caninum)
13 下列何種寄生蟲感染時,可同時在痰及糞便檢查發現蟲卵? (A) 蛔蟲(Ascaris lumbricoides) (B) 衛氏肺吸蟲(Paragonimus westermani) (C) 美洲鉤蟲(Necator americanus) (D) 微小包膜絛蟲(Hymenolepis nana)
14 比較阿米巴性赤痢(amebic dysentery)與細菌性赤痢的糞便檢體,前者不包括下列何種特性? (A) 糞便 pH 值呈鹼性 (B) 出血量較後者少 (C) 嗜中性白血球較後者少 (D) 有 Charcot-Leyden 結晶體
15 下列何者的微絲蟲(microfilaria)具外鞘(sheath)? (A) 蟠尾絲蟲(Onchocerca volvulus) (B) 捲尾絲蟲(Mansonella streptocerca) (C) 常現絲蟲(Mansonella perstans) (D) 馬來絲蟲(Brugia malayi)
16 糞便檢體中看到如附圖的蟲卵,大小約 40 μm,應為下列何種蟲卵?
(A) 微小包膜絛蟲(Hymenolepis nana) (B) 縮小包膜絛蟲(Hymenolepis diminuta) (C) 蛔蟲(Ascaris lumbricoides) (D) 日本血吸蟲(Schistosoma japonicum)
17 蟲卵大小約 70×50 μm,黃褐色,呈卵圓形,有卵蓋是何種寄生蟲的蟲卵? (A) 有鉤絛蟲(Taenia solium) (B) 廣節裂頭絛蟲(Diphyllobothrium latum) (C) 東方毛線蟲(Trichostrongylus orientalis) (D) 糞小桿線蟲(Strongyloides stercoralis)
18 以固相免疫分析法測定 hCG 含量時,若使用雙抗體,則下列何種選擇較佳? (A) 皆為抗 α 次單元的單株抗體 (B) 抗 β 次單元的單株抗體+抗 α 次單元的兔子血清 (C) 皆為抗 α 次單元的免子血清 (D) 抗 β 次單元的單株抗體+抗 α 次單元的單株抗體
19 使用乳膠顆粒凝集抑制法,測定婦女尿液檢體之 hCG,若產生乳膠顆粒塊狀凝集,表示下列何者? (A) 病人可能懷孕 (B) 尿液中含 hCG 抗體 (C) 反應結果陰性 (D) 卵巢癌
20 下列何者不是 hCG 的功能? (A) 促進子宮內膜之生長 (B) 加速黃體退化 (C) 增加 progesterone 之分泌 (D) 增加 estrogen 之分泌
21 hCG 免疫凝集法中,下列何者易導致偽陰性結果? (A) 子宮外孕 (B) 絨毛膜癌 (C) 水囊狀胎塊 (D) 多胞胎妊娠
22 下列關於精蟲抗體的敘述,何者錯誤? (A) 與不孕症有關 (B) 也可出現於血清中 (C) IgA 最具臨床意義 (D) 通常為 IgG 或 IgM
23 下列何者不是診斷不孕症時,精蟲的基本檢查項目? (A) 黏稠度 (B) 數量 (C) 活動力 (D) 形態
24 檢查精蟲的運動力時,玻片的最佳溫度是: (A) 4℃ (B) 室溫 (C) 37℃ (D) 42℃
25 依精蟲運動性之評估等級法,下列何者給予“4 分”? (A) 方向不定,中等速度 (B) 直線運動,中等速度 (C) 原地快速運動 (D) 直線快速運動
26 精液 pH<7.0,不可能是下列何種因素所致? (A) 精液久置 (B) 輸精管切除 (C) 慢性前列腺發炎 (D) 輸精管狹窄
27 精液呈現黃色的可能原因為何? (A) 黃疸 (B) 射精管狹窄 (C) 精索靜脈曲張 (D) 檢體靜置過久
28 關節液的黏蛋白凝固試驗,使用之試劑為何? (A) 硫酸氨 (B) 酚 (C) 硫酸 (D) 醋酸
29 實驗室常用於計算精蟲數及運動性的方法為: (A) 使用 makler 計數盤 (B) 血球計數盤 (C) 流體細胞儀 (D) 染色後再計算
30 正常滑膜液細胞分類計數以何種細胞最多? (A) 嗜中性白血球 (B) 嗜鹼性白血球 (C) 淋巴球 (D) 單核球
31 精液檢體久置後,形成無色針狀之結晶,為下列何種成分? (A) spermine phosphate (B) citrate phosphate (C) calcium phosphate (D) flavin
32 下列關於尿酸鈉結晶的敘述,何者錯誤? (A) 具雙折性 (B) 適合以偏光顯微鏡觀察 (C) 急性尿酸痛風患者 90%可發現此結晶 (D) 急性尿酸痛風的特徵是此結晶只出現在細胞外
33 假性痛風(pseudogout)之患者的血清中,何種離子濃度增加? (A) 鈣 (B) 鈉 (C) 鎂 (D) 氯
34 Hansel’s 染色法是鑑別尿液及體液中的何種細胞? (A) 單核球 (B) 細菌 (C) 嗜中性白血球 (D) 嗜酸性白血球
35 滑膜液可加入何種酵素以降低其黏稠度? (A) Hyaluronidase (B) Lactase (C) Alkaline phosphatase (D) Collagenase
36 下列何者是造成細菌性肺炎患者的胸膜液常呈現凝固現象的物質? (A) 白蛋白 (B) 纖維蛋白原 (C) 運鐵素 (D) 補體
37 下列何種結晶只出現在假性乳糜積水中,利用此結晶可與真乳糜積水做區分? (A) 尿酸 (B) 草酸鈣 (C) 膽固醇 (D) 三重磷酸鹽
38 下列細菌性肺炎患者胸膜液的檢驗數據中,何者錯誤? (A) 比重>1.018 (B) 總蛋白質>3 g/dL (C) 葡萄糖大於血漿的濃度 (D) 嗜中性白血球增加
39 某患者心包液檢體的白血球計數超過 1000/μL 以上,且嗜中性白血球大量增加,則此患者與何種疾 病有較高的相關性? (A) 細菌性心內膜炎 (B) 出血性心包炎 (C) 心臟衰竭 (D) 心臟腫瘤
40 自發性細菌性腹膜炎(spontaneous bacterial peritonitis)患者的腹水檢體在白血球分類上超過 50%都 是屬於: (A) 淋巴球 (B) 單核球 (C) 嗜中性白血球 (D) 嗜酸性白血球
41 多發性硬化症病人腦脊髓液中的那一種白血球會增加? (A) 淋巴球 (B) 嗜鹼性白血球 (C) 嗜中性白血球 (D) 嗜酸性白血球
42 腦脊髓液呈現 xanthrochromia,最可能含有下列何者? (A) 血紅素 (B) 脂肪 (C) 醣類 (D) 酮體
43 腦脊髓液冷藏後,出現網狀薄膜的可能原因為何? (A) 寄生蟲性腦膜炎 (B) 病毒性腦膜炎 (C) 腦瘤 (D) 結核性腦膜炎
44 腦脊髓液出現原蟲滋養體可幫助鑑定出何種腦膜炎? (A) 細菌性腦膜炎 (B) 病毒性腦膜炎 (C) 阿米巴性腦膜炎 (D) 結核性腦膜炎
45 腦脊髓液之乳酸濃度上升的最可能情況為何? (A) 細菌性腦膜炎 (B) 病毒性腦膜炎 (C) 腦出血 (D) 腦腫瘤
46 腦脊髓液檢體出現噬紅血球現象時,可做為下列何者的輔助診斷? (A) 脊髓穿刺創傷 (B) 腦出血 (C) 病毒性腦膜炎 (D) 假性腦瘤
47 巨噬細胞吞噬之血鐵質,可被下列何者染色? (A) 甲烯藍(Methylene Blue) (B) 普魯士藍(Prussian Blue) (C) 甲苯胺藍(Toluidine Blue) (D) 伊文思藍(Evans Blue)
48 痰液有腐臭味,會出現於何種疾病痰中? (A) 肺膿腫 (B) 石棉症 (C) 氣喘 (D) 急性心臟衰竭
49 Creola body 出現於何種病人的痰液中? (A) 肺炎桿菌 (B) 氣喘 (C) 肺結核 (D) 肺水腫
50 痰液中利用普魯士藍染色,在於鑑定何種疾病? (A) 肺炎球菌 (B) 氣喘 (C) 肺結核 (D) 吸入石棉體
51 下列有關肺泡巨噬細胞之敘述,何者錯誤? (A) 核大小不一 (B) 具中心核 (C) 細胞質有黑褐色顆粒 (D) 細胞質有泡沫狀空泡 代號:3108 頁次:6-5
52 下列何者不是呼吸道常見的正常菌叢? (A) 白色念珠菌 (B) 煙燻色麴菌 (C) 新型隱球菌 (D) 以色列放射菌
53 下列何者出現於痰液中,與支氣管性氣喘較無關? (A) Creola bodies (B) Charcot-Leyden 結晶 (C) Curschmann’s 氏螺旋體 (D) Dittrich 氏塞子
54 糞便檢體之 Watson 氏化學檢查法,若呈現粉紅色,表示含有下列何者? (A) urobilinogen (B) bilirubin (C) indole (D) skatole
55 尿液和糞便中鏡檢白血球時,下列敘述何者正確? (A) 兩者皆須離心製備 (B) 兩者皆須染色後方可觀察 (C) 兩者皆有標準化方式 (D) 兩者皆可用 400 X 觀察
56 以 Clinitest 檢測糞便,主要是為了篩選下列何種疾病? (A) 糖尿病 (B) 碳水化合物不耐症 (C) 十二指腸潰瘍 (D) 脂肪代謝不全
57 鏡檢水瀉糞便檢體,看到下列何者時最具細菌性感染之診斷價值? (A) 嗜中性白血球 (B) 上皮細胞 (C) 結晶 (D) 巨噬細胞
58 室溫中以 Sudan III 染色糞便檢體時,下列敘述何者正確? (A) 中性脂肪呈橘紅色球狀 (B) 中性脂肪呈橘紅色針狀 (C) 脂肪酸呈橘紅色球狀 (D) 脂肪酸呈橘紅色針狀
59 口服抗生素殺死腸內細菌,易使糞便呈綠色的最可能原因為何? (A) 細菌代謝物呈綠色 (B) 抗生素含綠色素 (C) 膽紅素氧化成膽綠素 (D) 細胞激素呈綠色
60 KOVA 標準法尿沈渣鏡檢之濃縮比例為何? (A) 25:1 (B) 12:1 (C) 5:1 (D) 4:1
61 尿沈渣鏡檢見到陰道滴蟲時,則下列敘述何者正確? (A) 表示腎臟感染 (B) 表示膀胱感染 (C) 具鞭毛,可快速運動 (D) 會行布朗運動
62 下列何者為鑑定尿液腎小管上皮細胞之特徵? (A) 細胞核呈花瓣狀 (B) 外型呈六角形 (C) 細胞質含空泡 (D) 顆粒狀細胞質
63 下列何者為鑑定尿液過渡上皮細胞(transitional epithelial cell)之特徵? (A) 細胞核偏在細胞膜上 (B) 外觀呈圓形或梨形 (C) 大小與鱗狀上皮細胞類似 (D) 細胞核呈花瓣狀
64 附圖為尿沈渣之何種細胞?
(A) 白血球 (B) 紅血球 (C) 上皮細胞 (D) 酵母菌
65 尿液尾狀細胞(caudate cell)是指下列何種細胞? (A) 過渡上皮細胞 (B) 腎小管上皮細胞 (C) 巨噬細胞 (D) 鱗狀上皮細胞
66 尿液線索細胞(clue cell)是指下列何種細胞? (A) 變形之紅血球 (B) 膨脹閃爍之嗜中性白血球 (C) 細菌附著之上皮細胞 (D) 吞噬細菌之巨噬細胞
複選題
67 鏡檢觀察尿沈渣中的圓柱體時,下列敘述何者正確? (A) 以油鏡最佳 (B) 光線要充足 (C) 調降聚光鏡 (D) 乾式抹片
68 下列何種方法可以偵測 β-羥基丁酸(β-hydroxybutyrate)? (A) 試紙法 (B) Acetest (C) Gerhardt’s test (D) Hart’s test
69 若離心尿液時間過長,則最容易造成下列何者之破壞? (A) 紅血球 (B) 胱胺酸結晶 (C) 細菌 (D) 陰道滴蟲
70 下列何者是尿液中易形成圓柱體之條件? (A) 鹼性尿/低鹽濃度 (B) 酸性尿/低鹽濃度 (C) 鹼性尿/高鹽濃度 (D) 酸性尿/高鹽濃度
71 Tamm-Horsfall 蛋白具有下列何種特性? (A) 腎絲球受損時,由血漿濾至尿液中 (B) 不存在於血液中 (C) 腎臟中的凝血蛋白 (D) 分子量小且溶解度高的蛋白
72 下列何者是尿沈渣鏡檢之標準化步驟? (A) 一定要採用早晨第一次尿液檢體 (B) 離心力及離心時間固定 (C) 尿液採集時間固定 (D) 調整尿液酸鹼度
73 Ictotest 測定尿膽紅素,比試紙法敏感之最主要原因為何? (A) 檢體可濃縮 (B) 反應時可加熱 (C) 採抗原抗體反應 (D) 產生螢光較靈敏
74 評估 24 小時尿液是否採集完全時,用下列何方法最佳? (A) 任何 1 小時尿液體積 (B) 24 小時尿液總體積 (C) 任何 1 小時尿液肌酸酐含量 (D) 24 小時尿液肌酸酐總量
75 尿沈渣之鱗狀上皮細胞可被 Sternheimer-Malbin 染色法染成何種顏色? (A) 細胞質橘紅色,細胞核深紫色 (B) 細胞質淡紫色,細胞核深橘色 (C) 細胞質黃色,細胞核深紅色 (D) 細胞質橘紅色,細胞核粉紅色
76 葡萄糖尿試紙反應,會受到下列何者影響? (A) 果糖 (B) 蔗糖 (C) 尿酸 (D) 維生素 C
77 調降明視野顯微鏡之聚光鏡,可達到類似下列何者之功能? (A) 偏光顯微鏡 (B) 螢光顯微鏡 (C) 共軛焦顯微鏡 (D) 相位差顯微鏡
78 偏光顯微鏡插入第一級紅色補色鏡後,視野中晶體顏色變為黃色,其意義為何? (A) 加色作用 (B) 減色作用 (C) 晶體快光與補色鏡慢光振動面垂直 (D) 晶體快光與補色鏡快光振動面平行
79 下列有關調大顯微鏡光圈之目的,何者正確? (A) 降低明暗對比及解析度 (B) 進入物鏡光線較少,增加解析度 (C) 增加明暗對比,降低解析度 (D) 降低明暗對比,增加解析度
80 100 倍物鏡使用浸油之原因為何? (A) 密度高 (B) 折射係數大 (C) 增加對比性 (D) 避免鏡面磨損
申論題 (0)
相關試卷
115年 - 115-1 專技高考_醫事檢驗師:醫學分子檢驗學與臨床鏡檢學(包括寄生蟲學)#137351
115年 · #137351
114年 - 114-2 專技高考_醫事檢驗師:醫學分子檢驗學與臨床鏡檢學(包括寄生蟲學)#128960
114年 · #128960
114年 - 114-1 專技高考_醫事檢驗師:醫學分子檢驗學與臨床鏡檢學(包括寄生蟲學)#125116
114年 · #125116
113年 - 113-2 專技高考_醫事檢驗師:醫學分子檢驗學與臨床鏡檢學(包括寄生蟲學)#121678
113年 · #121678
113年 - 113-1 專技高考_醫事檢驗師:醫學分子檢驗學與臨床鏡檢學(包括寄生蟲學)#118703
113年 · #118703
112年 - 112-2 專技高考_醫事檢驗師:醫學分子檢驗學與臨床鏡檢學(包括寄生蟲學)#115869
112年 · #115869
112年 - 112-1 專技高考_醫事檢驗師:醫學分子檢驗學與臨床鏡檢學(包括寄生蟲學)#113150
112年 · #113150
111年 - 111-2 專技高考_醫事檢驗師:醫學分子檢驗學與臨床鏡檢學(包括寄生蟲學)#109909
111年 · #109909
111年 - 111-1 專技高考_醫事檢驗師:醫學分子檢驗學與臨床鏡檢學(包括寄生蟲學)#106197
111年 · #106197
110年 - 110-2 專技高考_醫事檢驗師:醫學分子檢驗學與臨床鏡檢學(包括寄生蟲學)#99957
110年 · #99957