阿摩線上測驗
登入
首頁
>
醫學五:80題 ( 包括外科,骨科,泌尿科等科目及其相關臨床實例與醫學倫理 )
> 97年 - 97-2 專技高考_醫師(二):醫學(五)(包括外科、骨科、泌尿科等科目及其相關臨床實例與醫學倫理)#38449
97年 - 97-2 專技高考_醫師(二):醫學(五)(包括外科、骨科、泌尿科等科目及其相關臨床實例與醫學倫理)#38449
科目:
醫學五:80題 ( 包括外科,骨科,泌尿科等科目及其相關臨床實例與醫學倫理 ) |
年份:
97年 |
選擇題數:
80 |
申論題數:
0
試卷資訊
所屬科目:
醫學五:80題 ( 包括外科,骨科,泌尿科等科目及其相關臨床實例與醫學倫理 )
選擇題 (80)
1 (A)插鼻胃管抽取清潔劑 (B)插鼻胃管灌洗消化道 (C)吞食大量牛奶 (D)給予靜脈輸液,進行理學檢查
2 承上題,有關吞食「通樂」清潔劑,下列何者最適當? (A) 消化道會產生凝固性壞死 (B)血液氣體分析可評估嚴重度 (C)須實施開胸手術 (D)若進行食道切除,須立即做重建手術
3 食道閉鎖較少合併下列何種異常? (A)無脾症(asplenism) (B)脊椎異常(vertebral anomaly) (C)先天性心臟病(congenital heart disease) (D)肛門直腸異常(anorectal malformation)
4 單一邊喉返神經麻痺會產生: (A) 聲音沙啞(Hoarseness) (B)呼吸困難(Dyspnea) (C)吞嚥困難(Dysphagia) (D)流涎(Salivation)
5 關於 Sugiura procedure 之敘述,下列何者錯誤? (A) 屬於一種 selective shunt (B)適合於 splenic vein thrombosis (C)須作 esophageal transection (D)於 alcoholic liver cirrhosis 的病人有較高的 rebleeding rate
6 下列有關 Substernal goiter 之敘述,何者為誤? (A)多為良性腫瘤 (B)大多發生在六、七十歲的男性 (C)多為 euthyroid state (D)多為 cervical goiter with substernal extension,所以手術切除只須 cervical approach
7 下列有關於腦下垂體腺瘤(pituitary adenoma)的敘述,何者為非? (A) 直徑小於 1 cm 的稱為微小腺瘤(microadenoma) (B)最常見的腺瘤為泌乳激素瘤 (C)在一般磁振造影檢查,微小的腺瘤會出現明顯的顯影 (D)造成肢端肥大的腺瘤是生長激素分泌腺瘤
8 (A) 肺結核(tuberculosis) (B)小細胞肺癌(small cell lung cancer) (C)支氣管擴張(bronchiectasis) (D)非小細胞肺癌(non-small cell lung cancer)
9 承上題,欲確立診斷最適宜的檢查是: (A)經支氣管病理切片(transbronchial biopsy) (B)電腦斷層攝影(CT scan) (C)肋膜腔鏡檢查(thoracoscopy examination) (D)經支氣管鏡刷抹(brushing)及耐酸菌培養
10 在腹部超音波檢查時看到 pseudokidney sign,可能是下列何種病變? (A)腸扭轉(volvulus) (B)急性膽囊炎(acute cholecystitis) (C)腸套疊(intussusception) (D)腎胚母肉瘤(Wilms’ tumor)
11 一個年紀 65 歲男性,三星期前鞏膜及皮膚逐漸變黃,且最近二天大便顏色變為灰白色。無上腹痛, 亦無發燒。理學檢查發現右上腹有一無痛性硬塊。請問下列診斷何者較不適當? (A) 急性肝炎 (B)胰頭癌 (C)膽道阻塞 (D)壺腹周圍腫瘤
12 52 歲女性病患,住在鄉下務農,主訴最近三個月來發現走路時左腳會掉拖鞋,騎腳踏車巡田時由左 側停車時偶而會摔倒;神經科檢查發現下肢肌力右側 5,左側 4;Knee 及 Ankle DTR(Deep tendon reflex):右側(++)、左側(+++),下列何項診斷較為可能? (A)下背部肌膜炎(low back myofacial pain) (B)腰椎滑脫(lumbar spondylolisthesis) (C)右大腦矢狀竇旁腫瘤(right parasagittal tumor) (D)腰椎間盤突出(lumbar HIVD)
13 對於嚴重敗血症所導致的 Hypoperfusion,病人較不會呈現下列何種症狀? (A)小便減少 (B)心收縮壓<90 mmHg (C)代謝性乳酸性血 (D)呼吸速率變慢
14 (A) 因腹內氣體未排除完全之故 (B)因腹內感染引起敗血症休克 (C)因傷口疼痛引起的反應 (D)因術後腹腔內持續出血之故
15 承上題,對於本病人的情況,應如何處置最妥當? (A) 立即給予維他命 K (B)輸予新鮮冷凍血漿 (C)立即準備再開腹止血 (D)輸予血小板
16 病人被化學藥物 phenol 造成灼傷,有關 phenol 灼傷的特性,下列何者最為適當? (A) Phenol 是屬於強鹼性毒物,會造成急性腎衰竭 (B)強鹼性的刺激與呼吸道的灼傷 會引起呼吸衰竭 , (C)對於心臟功能而言,phenol 的影響較不重要 (D)病人也經常會發生心律不整
17 李先生 30 年前因為胃潰瘍接受過部分胃切除手術,最近一個月以來,開始出現餐前上腹部悶痛,食 量減少與飯後嗝氣等現象,同時體重也從六十公斤降至五十二公斤。李先生最可能的診斷為何? (A)復發性胃潰瘍 (B)十二指腸潰瘍併胃出口狹窄 (C)胃癌 (D)胃功能性障礙
18 陳同學 21 歲,星期六晚上與女友相約看星星,以右側上臂供女友長時間枕靠,第二天早上發現右手腕及手指下垂無法伸展,兩個月後才慢慢恢復。陳同學最可能的診斷為何?(A)正中神經損傷(B)橈神經損傷(C)尺神經損傷(D)肌皮神經損傷
19 48 歲男性,慢性 B 型肝炎約有數十年,近幾個月來體重下降,疲倦至門診就診,血液及生化檢查結 果為血小板 35,000 /μL,INR: 1.2,AST: 45 U/L,T.Bil: 1.2 mg/dL,Alb: 3.6 g/dL,AFP: 562 ng/mL, 超音波檢查發現左肝第三節有一陰影,進而電腦斷層檢查發現此病灶為 3.5 公分,hypervascular 位於 第三肝節表面,無血管侵犯現象,周圍邊緣完整無腹水另外發現脾腫大 15 公分。請問接下來的處置 何者最適宜? (A)若 ICG15 retention 檢查為 38%,可行左肝第 2、3、4 節切除 (B)若 ICG15 retention 檢查為 15%,可行左肝第 2、3、4 節及脾切除 (C)若 ICG15 retention 檢查為 38%,血管攝影發現 AV shunting,最好做血管栓塞治療 (D)若 ICG15 retention 檢查為 15%,只須考慮肝動脈栓塞術不考慮手術治療
20 陳同學就讀國中三年級,上體育課練習棒球接傳時,不慎被硬式棒球擊中左臉部,兩天後因持續腫 脹、疼痛至門診就診,理學檢查發現:雙眼看左上方時,一個物體會出現兩個影像;左側面頰與左 上唇感覺變得麻木;嘴巴沒有辦法像受傷前張開得那麼大;上下排牙齒咬合的位置與原來沒有差別。 請問下列那一個診斷最適當? (A) 左側顴骨骨折 (B)左側顴骨弓骨折 (C)左側下顎骨骨折 (D)左側上顎骨骨折
21 最有效處理麻痺性腸阻塞的方法為何? (A) 使用 Cisapride (B)使用 Neostigmine (C)使用 Erythromycin (D)給予大量水分補充,鼻胃管引流,改善敗血症及代謝性或電解質異常
22 一位 4 歲小妹妹晚上遭父親打傷後昏迷,被救護車送到醫院後,立即氣管插管,瞳孔檢查左 4 mm,右 7 mm,無光反射,手腳對疼痛有反應,昏迷指數為幾分? (A)3 (B)5 (C)7 (D)9
23 承上題,患者經轉院後,經神經外科緊急手術後 12 天,仍無法恢復,成為深度昏迷,討論後進行腦 死判定。下列何項不是腦死判定範圍? (A)瞳孔對光反射 (B)眼角膜反射 (C)前庭,動眼反射 (D)眼底乳突反射
24 以下有關縱隔腔 Germ cell tumor 之敘述,何者錯誤? (A) 最常見的良性腫瘤為 Teratoma (B)惡性腫瘤可分為 Seminoma 與 Nonseminomatous tumor 兩大類 (C) Teratoma 的治療以手術切除為主 (D) Nonseminomatous tumor 以放射治療為主
25 甲狀腺癌中發展緩慢,比較容易由淋巴轉移,預後良好,好發於年齡層較低的是以下那一種癌? (A) 濾胞癌(Follicular carcinoma) (B)乳突癌(Papillary carcinoma) (C)髓質癌(Medullary carcinoma) (D)未分化癌(Anaplastic carcinoma)
26 人類經由肛門所排出的「氣」(Flatus),大約有多少比例是由大腸內細菌的發酵(Fermentation)所 產生的? (A)百分之二十五 (B)百分之五十 (C)百分之七十五 (D)百分之百
27 52 歲的女性病患,因為左側股骨骨折,住進醫院治療。病人主訴有長期疲倦、全身無力、骨頭酸痛及 便秘等症狀。且曾因右腎結石,接受多次體外碎石術。抽血檢查發現血鈣為 13.9 mg/dL,高血氯/血磷比例(>33),及副甲狀腺素(intact-PTH : 345 pg/mL)。腰椎 X 光發現骨質疏鬆變化。頸部超音波亦顯示右側內頸靜脈內側有約 2 公分的腫瘤。下列何者為最可能造成病人有這些異常的診斷?(A)骨肉瘤併頸部淋巴腺轉移 (B)續發性副甲狀腺機能亢進(C)前列腺癌併骨及頸部淋巴腺轉移(D)原發性副甲狀腺機能亢進
28 有一位 45 歲女性,在 3 年前自己發現有右手抖動的情形,但是在吃飯夾菜的時候抖動就會停止。3 年來,抖動的時間與幅度似乎有比較厲害,但是也只侷限在右手,走路的速度與手的擺動與以往也 沒有太多的差別,她沒有甲狀腺亢進之病史。發病之前兩年,左多巴胺的效果都還不錯,但最近已 無法完全讓她不抖了。請問這種顫抖,最有可能的是:(A) 原發性顫抖(essential tremor) (B)巴金森顫抖(parkinsonian tremor) (C)原發性肌張力不全(primary dystonia) (D)小腦萎縮症(cerebellar degeneration)
29 承上題,如果要以腦部立體定位手術治療的話,下列何者為最佳選擇? (A)深部腦刺激術(Deep brain stimulation)具療效,且有治療證據(Evidence)之方法 (B)藥物難以控制之顫抖影響到日常生活品質時,此時用手術來治療,效果仍然不好 (C)深部腦刺激術,術後大部分病人都可以不再服用藥物 (D)深部腦刺激術之治病機轉在於增強刺激部位的神經功能
30 一位 60 歲男性病患於一週前因退化性關節炎接受左髖部人工髖關節全置換手術治療(Total Hip Replacement),術後連續五天注射止痛劑和 Cephalosporin 治療,病人於術後第 7 天開始發生持續性 腹瀉、腹痛、且帶有少許血便,發燒及白血球增多,但並無腹膜炎現象,此時除了 stool culture 之外, 該先如何處理? (A)給予 Buscopan,並重新使用 Cephalosporin 治療 (B)作 stool cytotoxin assay,保守性治療,並安排大腸鏡檢查 (C)安排 Barium enema 檢查 (D)安排緊急全大腸切除術治療
31 (A)腰椎穿刺 (B)檢驗血糖 (C)檢驗血清中的電解質 (D)檢驗肝功能
32 承上題,本病人此時的診斷最可能是: (A) 因輸液過多引起心臟鬱血性衰竭 (B)高血鈉症 (C)低血鈉症 (D)高滲透壓性非酮酸性昏迷(HHNK)
33 有關腎臟移植術後照顧,下列敘述何者錯誤? (A)手術後二天仍沒有或很少小便出來就是急性排斥產生了 (B)術後若有大量小便出來,要維持足夠水分,並注意鉀離子是否低下 (C)腎臟移植術後,可能會出現腎小管壞死現象 (D) Doppler ultrasound 對於血管栓塞或輸尿管阻塞問題而言,是一極方便的檢查
34 45 歲女性接受屍腎移植,總缺血時間(Total ischemic time)為十二小時三十五分,手術過程順利, 術後使用抗淋巴球免疫球蛋白(antilymphocyte globulin)及類固醇為抗排斥藥物。術後前二天平均尿 量為每小時 25 c.c.。病患的生命徵象穩定,中心靜脈壓在 10-12 cmH2O,術後超音波 Color Doppler Ultrasound 顯示吻合血管流量正常,則有關術後排尿減少的現象,下列何者正確? (A) 一定是急性排斥現象 (B)應調高抗排斥藥物劑量 (C)腎功能不可能恢復,應立即手術切除移植腎 (D)可能是急性腎小管壞死現象
35 一位 55 歲女性主訴,早上做家事時突發劇烈頭痛,並有短暫的喪失意識,醒來後仍有類似要爆裂的頭痛加上嘔吐,同時有畏光和頸部僵硬情形,理學檢查發現右側動眼神經麻痺以及明顯腦膜徵兆 (meningismus),綜合以上發現最可能的診斷為:(A) 腦動脈瘤破裂出血(B)腦動靜脈畸型破裂出血(C)中大腦動脈栓塞(D)高血壓性腦內血腫(Hypertensive intracranial hematoma)
36 臨床上判斷肺癌無法切除(nonresectability)之情況,不包括下列那一種? (A)喉返神經麻痺(recurrent laryngeal nerve palsy) (B)上腔靜脈症候群(superior vena cava syndrome) (C)主肺動脈侵犯(involvement of main pulmonary artery) (D) Pancoast 症候群侵犯上臂叢(brachial plexus)下支
37 若顱內腦動脈瘤破裂,則下列治療何者應避免? (A) 嚴格臥床休息 (B)鈣離子阻斷劑:Nimodipine (C)血壓控制 (D)高度鎮靜治療
38 腦星狀細胞瘤,WHO 分級 grade1-4,下列何者沒有列為顯微病理分等級的重要依據? (A)細胞的等級(degree of cellularity) (B)出血(hemorrhage) (C)細胞核有絲裂形體(mitotic figure) (D)壞死(necrosis)
39 下列何種神經再生最佳? (A)單純運動神經 (B)感覺神經 (C)混合型神經(mixed nerve) (D)各個部位的神經不一定
40 (A) 語言 (B)餵食 (C)心理 (D)聽力
41 承上題,目前單側唇顎裂最常用之修補方法為誰所發展出來? (A) Weber (B) Barsky (C) Millard (D) Cutting
42 承上題,唇顎裂病人之治療方針,下列何者為非? (A)須階段性治療 (B)需要醫療團隊 (C)語言治療非常重要 (D)以外形整復為唯一考量
43 動脈幹症(Truncus arteriosus)在出生後不久就有厲害的心臟衰竭,目前最佳的外科處理方式為: (A) 肺動脈環縮術 (B)在嬰兒期就作完全矯正術 (C)主動脈瓣修補術 (D)體動脈至肺動脈分流術
44 二尖瓣狹窄的病患需要用手術方式解決時,下列那一種方式現在比較少使用? (A)直視下二尖瓣切開術(open mitral commissurotomy) (B)閉鎖式二尖瓣切開術(closed mitral commissurotomy) (C)氣球擴張術(balloon mitral valvuloplasty) (D)二尖瓣置換術(mitral valve replacement)
45 旋前肌症候群(Pronator syndrome)不是因為下列何種構造壓迫到神經? (A) 深指屈肌(flexor digitorum profundus) (B) Ligament of Struthers (C) Lacertus fibrosus of biceps (D)旋前圓肌(Pronator teres)
46 A 型主動脈剝離症,須緊急手術,手術死亡率相當高,最常見的死亡原因為: (A) 心臟衰竭 (B)呼吸衰竭 (C)血管吻合處出血不止 (D)腦中風
47 造成氣管狹窄最常見的原因為: (A) 先天異常 (B)血管環 (C)腫瘤 (D)插管併發症
48 一位 80 歲男性,最近二星期來出現茶色尿(tea color urine),皮膚黃疸,體重減輕,Bil(T/D)level 10.7/10.6 mg/dL,則下圖為那一種檢查?
(A)內視鏡逆行性膽道胰管攝影(Endoscopic retrograde cholangiopancreatography) (B)上消化道攝影(Upper GI series) (C)經皮穿肝膽道攝影(Percutaneous transhepatic cholangiography) (D)泌尿道腎盂攝影
49 有一位 60 歲男性病人以前有 30 年之吸菸史,胸部 X 光檢查發現有肺氣腫,病人稍一走路即有呼吸 急促現象,雖經氣管擴張劑治療,但病況仍逐漸惡化,經轉介作肺減容手術(lung volume reduction surgery),其檢查結果中下列何者判為不適宜作此種手術? (A)平均肺動脈壓為 30 mmHg (B)胸部電腦斷層檢查發現兩肺上葉氣腫病變較嚴重 (C)呼吸功能檢查 FEV1.0 為預測值之 30% (D)動脈血氧分析之 PaCO2 為 65 mmHg
50 一 41 歲男性駕車在十字路口發生車禍,主訴胸部遭受撞擊,疑發生心包填塞(cardiac tamponade), 理學檢查發現有 Kussmaul’s sign,則會有下列何種表現? (A)吸氣時靜脈壓(venous pressure)下降 (B)吸氣時靜脈壓(venous pressure)上升 (C)呼氣時靜脈壓(venous pressure)下降 (D)呼氣時靜脈壓(venous pressure)上升
51 於腹腔鏡手術中,Pneumoperitoneum 的壓力最好不要超過多少 mmHg? (A)9 (B) 11 (C) 13 (D) 15
52 (A) 腹部 X 光攝影 (B)腹部超音波 (C)腹部血管攝影 (D)腹部電腦斷層檢查
53 承上題,本病人最可能的診斷為: (A) 胃腫瘤 (B)胰臟體部或尾部腫瘤 (C)左側大腸腫瘤 (D)胰臟假性囊腫
54 80 歲老先生,平常有便秘現象,突發嘔吐、頻尿、四肢無力,送至急診室呈現半昏迷狀態,抽血結 果發現血鈣 14.2 mg/dL,血磷 2.5 mg/dL,EKG 呈現 PR 延長,T 波高及 ST 縮短。其處置順序那項 最優先? (A) 降鈣藥物使用 (B)改正電解質不平衡 (C)利尿劑使用 (D)強迫水分補充
55 30 歲哺乳婦女,右側乳房乳暈邊呈現紅斑腫塊及壓痛,有四天的病史,將不建議下列何種處置? (A) Mammography (B) Sonography (C) Ultrasound guiding aspiration (D)抗生素
56 Cystic hygroma 最好發的位置是: (A) 頸部 (B)腋下 (C)腹內 (D)腎
57 有關肛門的 Paget 氏病之敘述,何者為非? (A) 是一種老年人較為多見的腺癌 (B)一半以上的病人伴有其他潛藏的癌症 (C)與肛門的濕疹、角化過度等很容易鑑別 (D)組織學上一定要有 PAS(+)的 Paget 氏細胞才可確立診斷
58 46 歲男性病人因為左側膝關節退化性關節炎接受脛骨高位截骨矯正術(High tibial Osteotomy),手 術後以長腿石膏固定膝關節,四個小時後病人抱怨腳趾頭麻痺,住院醫師前往檢視發現腳趾頭有明 顯的發紺現象(cyanosis),當搬動腳趾時病人非常疼痛,幾乎無法忍受,請問下一步應該採取的處 置何者最為適當? (A)給予止痛劑,並且立即將患肢抬高 (B)冰敷,並且給予抗凝血劑,以免血管阻塞 (C)將石膏以及石膏棉捲完全剪開,並將患肢抬高 (D)緊急安排血管攝影,並安撫病人情緒
59 de Quervain’s disease 是指那兩條肌腱在腕部發生發炎病變? (A) 外展拇長肌腱及伸拇短肌腱 (B)屈指長肌腱及伸拇短肌腱 (C)屈指長肌腱及外展拇長肌腱 (D)外展拇長肌腱及伸指長肌腱
60 一年輕人遭手槍擊傷大腿,造成右股骨骨折,沒有神經血管損傷,經破傷風預防注射,傷口經大量 沖洗及充分擴創術後,下一步該怎樣做? (A) 立即行骨髓內釘固定 (B)靜脈抗生素注射十天,再行擴創術及外固定術 (C)靜脈抗生素注射 48 小時,延後七天行骨髓內釘固定術 (D)靜脈抗生素注射 48 小時,行外固定術
61 一位 75 歲女性病患,不慎跌倒,發生背部劇痛,經照 X 光檢查發現第一腰椎和第三腰椎出現壓迫性 骨折,血液生化檢查和血球計數檢查正常,下列何項敘述正確? (A) 檢查骨密度的最合適部位為腰椎 (B)目前最好的骨密度檢查為超音波骨密度檢查 (C)通常不須施行減壓手術治療 (D)使用雙磷酸鹽治療即可促進造骨細胞合成骨骼,不須補充鈣
62 籃球場上,王喬登一個箭步右手持球上籃,可惜被李麥可狠狠蓋了一記大火鍋,喬登的右上臂被用力往後下壓下,只聽得他慘叫一聲,右臂就像“死鹹魚"掛在身上,再也舉不起來。請問王喬登最可能發生的運動傷害為何?(A) 肩峰鎖骨關節脫位(B)旋轉肌斷裂(C)鎖骨非位移性(Non-displaced)骨折(D)右肩關節前位脫臼合併關節盂唇瓣破裂
63 (A) 脊椎管狹窄(spinal stenosis) (B)脊椎滑脫(spondylolisthesis) (C)椎間盤突出(HIVD) (D)惡性腫瘤轉移
64 承上題,對於該病患,下列何種檢查對於診斷及病灶的定位最有幫助? (A) 腰部 X-ray (B)電腦斷層掃描 (C)神經傳導、肌電圖 (D)磁振造影檢查
65 下列有關股骨轉子間骨折的描述,何者錯誤? (A) 只要病人內科情況穩定時,即應進行手術內固定治療 (B)容易有不癒合及股骨頭缺血性壞死的併發症 (C)較常發生於年紀大者 (D)可能伴有遠端橈骨骨折及近端肱骨骨折
66 良性攝護腺肥大主要由那一區增生引起? (A) 移行區(transitional zone) (B)周邊區(peripheral zone) (C)中央區(central zone) (D)以上各區平均變大增生
67 下列何種男性荷爾蒙對攝護腺肥大有最直接且最重要的影響? (A) 自由型睪固酮(free form testosterone) (B)二氫睪固酮(dihydrotestosterone) (C)雄二酮(androstenedione) (D)性荷爾蒙接合球蛋白(sex hormone binding globulin)接合型睪固酮
68 一位 22 歲男性近二個月發現左側睪丸無痛性腫大(約 10 × 8 × 6 公分),抽血檢查發現 β-HCG 有 明顯升高但胎兒蛋白(AFP)未升高,超音波檢查如圖所示,最有可能的診斷為:
(A)精原細胞瘤(seminoma) (B)胚胎上皮細胞癌(embryonal carcinoma) (C)絨毛膜細胞癌(choriocarcinoma) (D)畸形細胞癌(teratocarcinoma)
69 下列有關脊椎損傷患者自主神經異常反射(autonomic dysreflexia)的敘述何者正確? (A)是一種副交感神經系統(parasympathetic)的反射行為 (B)此反射主要是由薦椎傳入神經的刺激所引發的作用 (C)臨床上會有低血壓及心跳加速的症狀 (D)這種情形常見於第八胸椎脊髓(T8)受傷的病人
70 一位 63 歲的患者因漸進式右後腹痛,有 6 小時之久,逐漸有漲滿感,且冒冷汗,於是被送來急診室。 血壓:70/40 mmHg,血液檢查 Hgb:7.0 g/dL,電腦斷層發現右後腹腔有大範圍的血腫,右腎臟變形 不清楚。急診室醫師診斷為後腹腔出血性休克,緊急予以輸血,在電腦斷層上患者左側腎臟亦可發 現有多個脂肪及軟組織腫瘤樣病灶。患者鼻部、鼻兩側之臉部有許多的細小結節樣病灶。請問以下 診斷何者最佳? (A) von Hipple-Lindau syndrome (B) multiple sclerosis (C) tuberous sclerosis (D) von Recklinghausen’s disease
71 精索靜脈曲張百分之九十發生在男性的左側陰囊是因為左睪丸靜脈回流至: (A)下腔靜脈(Inferior vena cava) (B)左側的腎靜脈(Renal vein) (C)左側的髂靜脈(Iliac vein) (D)左側的股靜脈(Femoral vein)
72 一位 56 歲的男性體檢時發現其血中 PSA(prostatic specific antigen)濃度為 16 ng/mL(正常值小於 4 ng/mL), 於是被轉介到醫學中心作進一步的檢查,肛門指檢(digital rectal examination)結果發現其攝護腺 (前列腺)大小為 5× 5 cm,質地 rubbery,無硬結(no hard nodule),亦無壓痛。請問以下何者為較 佳之建議? (A)接受經直腸超音波檢查 ,以及攝護腺(前列腺)穿刺切片 (B)服用α阻斷劑 (C)使用 5α-還原酶抑制劑 (D)使用抗生素
73 某甲感覺斷續性腹痛(intermittent abdominal pain) ,如廁發現糞便帶血。鋇劑灌腸 X 光檢查(barium enema)顯示病變如圖。則最可能的診斷是:
(A)腸壁內血腫(Intramural hematoma) (B)腸套疊(Intussusception) (C)腸扭結(Intestinal volvulus) (D)腹腔內腸疝氣(Internal herniation of intestine)
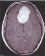
74 51 歲女性,主訴近半年來,頭痛、右下肢麻及無力,根據所附 MRI 圖(T1WI with Gd-DTPA),則 其診斷是:
(A) Glioblastoma multiforme(GBM) (B) Oligodendroglioma (C) Giant aneurysm (D) Meningioma
75 一位 36 歲男性在登山路上,不小心被落石擊中上腹部靠近劍突地方,主訴胸部疼痛,被送到醫院來, 檢查發現病人左邊呼吸聲降低,沒有肋骨骨折,左邊插胸管後首先流出血液,後來又有一些粒狀物 流出來,病人仍感覺相當痛,下一步要安排何種檢查來確定診斷? (A)胸部 X 光 (B)淋巴攝影 (C)血管攝影 (D)食道鏡或食道攝影
76 關於外傷神經性休克,下列敘述何者錯誤? (A)病人心跳會變快血壓會降低 (B)治療時可給予適量水分 (C)可給予升壓劑 (D)可給予阿托平(Atropine)
77 55 歲男性,平時除高血壓外無其他疾病,於半小時前,突發暈眩之後意識漸漸昏迷,血壓 180/105 mmHg, 心跳 105 /分,呼吸 22 /分,兩側瞳孔皆為 2.0 mm,光反射不明顯;Glascow 昏迷指數為 E2V2M3,在 實行快速程序插管(rapid sequence intubation)後,瞳孔狀況不變,此時電腦斷層顯示小腦出血合併 腦幹壓迫跡象,下列那一項處置較適當? (A)會診放射科作血管攝影及栓塞 (B)安排加護病房,採保守支持性治療 (C)會診神經外科安排緊急手術 (D)給予過度換氣治療(hyperventilation),控制 PaO
2
在 25~30 mmHg
78 醫師因診療病人,需使用廠商研製之醫藥產品;而廠商對於醫學研究、會議、教育之支持,有助於 醫學之進步。但醫師於照護病人及廠商行銷產品之間,可能面對利益衝突。行政院衛生署訂有「醫 師與廠商間關係」守則,下列何者錯誤? (A)公開 (B)避免利益衝突 (C)依據病人最佳利益執行臨床判斷之自主性 (D)完全禁止
79 李先生是一位 72 歲男性,罹患攝護腺癌合併腰椎轉移,壓迫神經造成下肢癱瘓,經荷爾蒙、放射線及 化學治療後疾病繼續進行,全身疼痛不堪。他請醫師幫他安樂死,則下列的處置何者是最不恰當? (A)家屬同意後安排安樂死 (B)給予抗男性荷爾蒙治療 (C)適當的疼痛控制 (D)給予支持性療法(supportive treatment)
80 72 歲女性由其女兒陪同就診。女兒告訴醫師她母親罹患失智症已五年,無法跟人溝通,平日由她照 顧。三個小時前母親跌倒致右肩腫痛。理學檢查發現手臂、腳、腹部及背部有多處深淺不一之瘀青, 頭及右上臂有壓痛點。X 光檢查顯示右肱骨頭骨折。下列處置何者較適當? (A)安排全血球計數(CBC),凝血時間(clotting time)及其它檢查以排除血液疾病 (B)打石膏,固定止痛後,請女兒帶回家,並請他們要注意跌倒的預防 (C)照會骨科,做完內固定後,回家療養即可 (D)需懷疑是老人虐待,必要時尋求資源予以安置
申論題 (0)