阿摩線上測驗
登入
首頁
>
醫學四:80題 ( 包括小兒科,皮膚科,神經科,精神科等科目及其相關臨床實例與醫學倫理 )
> 97年 - 97-2 專技高考_醫師(二):醫學(四)(包括小兒科、皮膚科、神經科、精神科等科目及其相關臨床實例與醫學倫理)#38378
97年 - 97-2 專技高考_醫師(二):醫學(四)(包括小兒科、皮膚科、神經科、精神科等科目及其相關臨床實例與醫學倫理)#38378
科目:
醫學四:80題 ( 包括小兒科,皮膚科,神經科,精神科等科目及其相關臨床實例與醫學倫理 ) |
年份:
97年 |
選擇題數:
80 |
申論題數:
0
試卷資訊
所屬科目:
醫學四:80題 ( 包括小兒科,皮膚科,神經科,精神科等科目及其相關臨床實例與醫學倫理 )
選擇題 (80)
1 關於發燒及其處置,下列何者為非? (A) 發燒是因為感染或其他原因導致體內產生 endogenous pyrogens 所引起 (B) 除非是有心肺疾病、代謝性疾病或熱痙攣的小孩,否則 39℃以下的發燒不一定需要積極使用退燒 藥物 (C) 於短期內大量誤食 acetaminophen 可能導致急性腎衰竭 (D) 不應用酒精拭浴退燒
2 一位 5 歲女童持續發燒四天,有雙側結膜炎、咳嗽、流鼻水、咽部扁桃腺發炎,下列那一種病原的 可能性最高? (A) group A streptococcus (B) Epstein-Barr virus (C) enterovirus (D) adenovirus
3 一位 8 歲男童因發燒一天住院,住院時之胸部 X 光如圖所示,白血球計數 13,500/mm3,白血球分類 band 6%, segment 81%, monocyte 4%, lymphocyte 9%, C-reactive protein 1.1 mg/dL。下列那一種感染的 可能性最高?
(A) Haemophilus influenzae type b (B) Streptococcus pneumoniae (C) Group A streptococcus (D) Staphylococcus aureus
4 一位剛出生之足月新生兒被發現全身有許多出血小點(petechiae)及紫斑(purpura)。實驗室檢查 發現其白血球 11,000/uL,血紅素 14 gm/dL,血小板 8,000/uL,病兒接受 6 單位的血小板濃縮液輸注 後 1 小時再檢驗血小板數值仍然偏低,為 9,000/uL,但於輸注來自母親的 washed 血小板濃縮液後, 血小板數值增為 90,000/uL,出血狀況獲得改善,則下列何者是正確的解釋? (A) 病兒血中常可能發現來自母親,對抗血小板 PLA-1 抗原之血小板抗體 (B) 母親可能是不明原因血小板低下紫斑症(idiopathic thrombocytopenic purpura)的病人 (C) 母親最可能有血小板 PLA-1 抗原 (D) 母親應為全身紅斑性狼瘡合併低血小板之病人
5 3 週大之男嬰主訴為黃疸。理學檢查發現其肝臟腫大,但脾臟則觸摸不到。實驗室檢查其直接型膽紅素為 8.6 mg/dL。下列何項影像檢查應列為最優先? (A) 腹部 X 光攝影檢查 (B) 核磁共振攝影 (C) 腹部電腦斷層檢查 (D) 腹部超音波檢查
6 12 歲男童清晨起床後第一泡尿可見沖不掉的泡泡,之前並無呼吸感染症狀,下肢無水腫現象,單次 尿液檢驗發現尿中有蛋白≥ 300 mg/dL,尿液之蛋白/肌酸酐(protein/Creatinine)比值為 0.35。請問何 者為下一步最合宜的對策? (A) 先給低劑量之類固醇,再追蹤其蛋白尿變化 (B) 收集休息平躺後的尿液及運動後的尿液作尿液分析 (C) 腎切片檢查 (D) 建議低蛋白飲食,再追蹤其蛋白尿變化
7 7 歲女童主訴過去一個多月來有間歇性臍周圍腹痛。她常在晚間睡覺時痛醒,且常有噁心,並有體重 減輕之現象,下列何者最不可能是此女童的診斷? (A) 膽道囊腫(choledochocyst) (B) 消化性潰瘍(peptic ulcer) (C) 克隆氏症(Crohn’s disease) (D) 機能性腹痛(functional abdominal pain)
8 3 天大男嬰發現體重逐漸增加,尿量減少,四肢水腫,實驗室檢查發現 BUN/creatinine: 35/2.2 mg/dL, 腎臟超音波發現兩側腎臟嚴重水腎,同時雙側之輸尿管擴大,膀胱內有大量尿液存積,產前檢查發 現羊水少,下列那一選項較不恰當? (A) 要仔細觀察此病童之呼吸狀況,因此類病人可能合併肺部發育不全 (B) 要安排 VCUG(voiding cystourethrography)檢查 (C) 可能診斷為 UVJ 狹窄(ureterovesical junction stenosis) (D) 長大後有可能進展到腎衰竭
9 4 歲大之男童主訴過去兩個月來間歇性地自肛門排出亮紅色之血便,但並無腹痛。理學檢查並無肛裂, 但做直腸指診可見手套指端有血。此病人之診斷最可能為下列何者? (A) 潰瘍性結腸炎 (B) 消化性潰瘍 (C) 腸套疊 (D) 幼年性息肉
10 孩童之腎絲球濾過速率(glomerular filtration rate)經過體表面積標準化(1.73 m2),達到成人值的 最小年齡為: (A) 出生後 1-3 個月 (B) 1歲 (C) 2-3 歲 (D) 12-15 歲
11 以下有關新生兒兩側性腎缺乏(renal agenesis)之敘述,何者不正確? (A) 超音波看不到膀胱 (B) 具有波特臉(Potter facies) (C) 通常在出生後 48 小時內死於腎衰竭,除非儘早做透析治療 (D) 母親羊水少(oligohydramnios)
12 下列何者骨齡最接近實際年齡(chronological age)? (A) 體質性生長遲延(constitutional growth delay) (B) 家族性身材矮小(genetic short stature) (C) 生長激素缺乏(growth hormone deficiency) (D) 甲狀腺低能症(hypothyroidism)
13 1 個月大男嬰因反覆抽搐而住院,實驗室檢查發現血鈣 1.2 mmol/L(正常值 2-2.75 mmol/L),血磷 11 mg/dL(正常值 5-7 mg/dL),血中副甲狀腺素(iPTH)< 1 pg/mL(正常值 17-76 pg/mL),而在 一兩星期適當治療後,血鈣 2.11 mmol/L,血磷 6 mg/dL,此時 iPTH 為 59.7 pg/mL,則下列那一種診 斷最符合上述檢驗值變化? (A) 慢性腎衰竭(兩側性腎臟發育不良) (B) CATCH 22 症候群 (C) 低血鎂症 (D) 新生兒維他命 D 缺乏(neonatal vitamin D deficiency) 代號:4101 頁次:12-3
14 一位 12 歲男孩在運動時突然倒地昏迷、四肢抽搐、牙關緊咬及兩眼上吊。立即送到急診,此時已持 續昏迷及全身僵直性抽搐四十分鐘。以下何種立即處置為錯誤? (A) 給予點滴注射並立即送去作腦部電腦斷層掃描 (B) 立即給予點滴注射各種必要之抗癲癇藥物並持續觀察至抽搐停止 (C) 立即確立血壓、呼吸及心跳之生理徵象的穩定 (D) 有必要立即進行氣管插管及使用呼吸器
15 (A) 詳細詢問最近服藥情況 (B) 抽血檢查電解質、血糖及血中 valproic acid 濃度 (C) 出院後改用 carbamazepine 取代 valproic acid 之療效 (D) 住院時暫以靜脈給予 phenytoin,以抑制癲癇再發
16 承上題,男孩之癲癇大發作最不可能是因為: (A) 近三天無法常規服用 valproic acid (B) 發燒或病毒感染誘發 (C) 有其他先前未察覺之腦部疾病 (D) 電解質不平衡
17 14 歲女孩因身材矮小而就診,身體檢查顯示身高 132 公分(低於第三百分位),外觀如圖所示。下 列那一項檢查對診斷之確立最沒有幫助?
(A) 染色體檢查 (B) 濾泡促素(FSH)、黃體促素(LH)、雌二醇(estradiol) (C) 骨齡(Bone age) (D) 生長激素刺激試驗(Growth hormone stimulation test)
18 下列關於透納氏症候群(Turner syndrome)的描述,何者不正確? (A) 最常見的染色體異常為 45,X (B) 身材矮小是常見的臨床表徵 (C) 生長激素缺乏是其身材矮小的主要原因 (D) 生長激素治療可改善其成人身高
19 一名 3 歲男童因弓形腿(bowleg)就診,實驗室檢查顯示血清鈣離子濃度 8 mg/dL(2.0 mmol/L) (正常值 8.8-10.8 mg/dL),無機磷濃度 3.2 mg/dL(正常值 3.8-6.5 mg/dL),鹼性 磷 酸酶(alkaline phosphatase)濃度 1,000 U/L(正常值 145-420 U/L),完整的副甲狀腺素(intact parathyroid hormone)濃 度 150 pg/mL(正常值 9-65 pg/mL),此患者最可能的診斷為: (A) 原發性副甲狀腺高能症(primary hyperparathyroidism) (B) 維生素 D 依賴型佝僂症(vitamin D dependent rickets) (C) 低磷酸鹽血性佝僂症(hypophosphatemic rickets) (D) 鈣攝取不足代號:4101頁次:12-4
20 一位 4 個月大女童曾經罹患 4 次皮膚膿瘍(abscess),這次又因屁股(buttock)有個膿瘍住院,她 的外婆說,此女童臍帶比其他外孫晚 3 週才掉,而且有發生臍帶感染,您認為下列何種檢驗最能證 實此病? (A) IgG subclass (B) Lymphocyte subsets (C) Nitroblue tetrazolium test (D) CD11/CD18 expression on flow cytometry
21 有關硬皮症(scleroderma)的臨床表現,何者有誤? (A) 會出現抗 topoisomerase (Scl 70) 的抗體 (B) 雷諾氏現象(Raynaud phenomenon)通常一直到疾病的晚期才出現 (C) 在成人出現的比率比兒童期來得高 (D) 患者可能會因為肺病或是肺部動脈高壓而死亡
22 一位 25 歲的婦人來到門診,她罹患系統性紅斑性狼瘡(systemic lupus erythematosus, SLE)已有五年, 控 制良 好 , 最近 她懷 孕三 個月 ,很 怕胎 兒會受 SLE 的 影響 發生 新生 兒狼 瘡 ( neonatal lupus erythematosus, NLE),請問若此媽媽血中測得下列何種物質,則胎兒容易發生 NLE? (A) A low C4 concentration (B) Anti-Ro antibodies (C) Anti-Smith antibodies (D) Thrombocytopenia
23 氣喘病是一種慢性發炎反應,也是氣管的過度敏感反應。下列對於氣喘病造成氣管的管徑縮小的描 述,何者錯誤? (A) 包住小支氣管的平滑肌收縮,而使氣管收縮 (B) 嗜伊紅性細胞(eosinophil),嗜中性白血球(neutrophil)等發炎細胞聚集充塞氣管 (C) 表皮細胞增生,增加管壁厚度而阻塞氣管 (D) 黏液分泌增加及呼吸道組織水腫而阻塞氣管
24 足月新生兒未施打維他命 K,較會發生下列那一種情況? (A) 造成第五因子(factor V)缺乏 (B) 造成前凝血酵素時間(prothrombin time)延長 (C) 若發生出血性疾病,大多不會在出生後五天內發生 (D) 若發生出血性疾病,餵食牛奶(cow’s milk)者比餵食母奶(breast milk)者嚴重
25 一位 8 歲病童因鼻咽部腫瘤無法全部切除,僅能進行切片檢查,經血液病理專家診斷為 Burkitt 氏淋 巴瘤,其他身體檢查發現無其他淋巴腺腫大,肝、脾沒有腫大,骨頭、骨髓、脊髓液及血液檢查均 正常,請問他的癌細胞屬性及淋巴瘤臨床病期為何? (A) B 淋巴細胞 I 期 (B) T 淋巴細胞 I 期 (C) B 淋巴細胞 II 期 (D) T 淋巴細胞 II 期
26 一個 2 歲 8 個月大的女孩,來診發現肝脾極度腫大,分別在肋骨下 3 公分及 8 公分摸到,其血色 素 (Hb) 6.5 g/dL,血小板 為 (platelets)數目低為 88,000/mm3,檢查無缺鐵,血色素電泳分析 (hemoglobin electrophoresis)Hb A 為 93.0%,Hb A2 為 5.1%,Hb F 為 1.9%,骨髓檢查無惡性細胞浸潤,但有貯 積細胞,周邊血白血球測定之 β-glucosidase 酵素活性甚低,下列何者為最可能診斷? (A) 重型乙型海洋性貧血(β-thalassemia) (B) 重型甲型海洋性貧血(α-thalassemia) (C) 重度再生不良性貧血(Severe aplastic anemia) (D) 高雪氏病(Gaucher disease)
27 一個血型 O 型之婦女,第一胎足月產下血型 A 型之嬰兒,該嬰兒血比容(hematocrit)為 55%,且 36 小時大時血清膽色素(bilirubin)為 12 mg/dL,下列那項實驗數據最不符合 ABO 溶血性疾病? (A) 血液抹片有球型紅血球 (B) 血液抹片有有核紅血球 (C) 直接 Coombs 試驗(direct Coombs test)陰性 (D) 血液網狀紅血球(reticulocyte)增加
28 15 歲的 HBeAg 陽性之 B 型肝炎帶原男生,最近半年來血清 ALT 值持續偏高,且有 2 次均超過 150 IU/L,你打算給他作干擾素(interferon)治療。治療開始之前,下列何項檢查結果可能預測他對 治療會有較佳的反應? (A) 血中 HBV DNA 濃度偏高 (B) 血中 HBV DNA 濃度偏低 (C) 肝組織只有極輕微肝炎活性 (D) 血中 IgM anti-HBc 陰性 代號:4101 頁次:12-5
29 16 個月男嬰,因排便後突然發生呼吸急促,發紺加劇而送至急診。此孩童以往即被發現有發紺及心 雜音,其胸部 X 光片顯示肺血管減少,心臟形狀似“馬靴”(boot-shaped)。下列何種處理較不適 當? (A) 馬上將孩童置膝抱胸(knee-chest)姿勢,並給予氧氣 (B) 給予碳酸氫鈉(NaHCO3)以矯正酸血症 (C) 避免孩童躁動而更消耗氧氣,給予 benzodiazepam 鎮靜 (D) 給予靜脈注射 propranolol,減緩肺動脈下漏斗體(infundibulum)之收縮
30 下列有關 scimitar 症候群之敘述,何者為錯? (A) 常合併心房中隔缺損(atrial septal defect) (B) 可見右肺發育不全且合併右心症(dextroposition of heart) (C) 右肺靜脈不正常注入下腔靜脈(inferior vena cava) (D) 常合併游離肺(pulmonary sequestration)
31 5 天大女嬰,因呼吸急促合併發紺現象而求診。理學檢查發現呼吸每分鐘 60 次且合併明顯胸凹現象。其 右上肢血壓為 82/48 mmHg,血氧濃度為 85%,但左上肢及下肢血壓為 50/34 mmHg,血氧濃度為 80%。 下列何者為最可能之診斷? (A) 主動脈弓狹窄(coarctation) (B) 大動脈轉位(TGA)合併主動脈弓狹窄 (C) B 型主動脈弓中斷(interrupted aortic arch, type B) (D) A 型主動脈弓中斷(interrupted aortic arch, type A)
32 5 歲男孩主訴運動時嘴唇稍發紺(cyanosis),且較正常人喘。於左胸前可聽到第 2-3 度心雜音。其胸部 X 光檢查如圖所示。心導管檢查發現兩心房、兩心室、肺動脈及主動脈的血氧濃度均約為 89%。下 列何者為最可能的診斷? (A) 矯正型大血管轉位(corrected transposition of great arteries) (B) 大血管轉位合併心室中隔缺損(transposition of great arteries with VSD) (C) 總肺靜脈回流異常(total anomalous pulmonary venous return) (D) 冠狀動靜脈管(coronary arteriovenous fistula)
33 在考慮到先天性代謝性疾病時,下列那種疾病較容易血氨(ammonia)昇高,而 pH 值及 HCO3-均 正常? (A) Urea cycle defects (B) Phenylketonuria (C) Hawkinsinuria (D) methylmalonic acidemia
複選題
34 2 歲至 6 歲之兒童進行心肺復甦術急救時,心臟按壓的次數對呼吸次數的相對比率應為多少? (A) 3:1 (B) 5:1 (C) 15:2 (D) 30:2
35 一位 45 歲女性患者,在手掌與腳掌產生境界明顯的紅斑如圖,並且有強烈的疼痛感,回顧該患者最 近一個月來使用過的藥物有 minocycline, doxorubicin, amlodipine 與 diclofenac,該患者的皮疹若是由 藥物所引起,最可能引起的藥物為何?
(A) minocycline (B) doxorubicin (C) amlodipine (D) diclofenac
36 一位 45 歲紅斑性狼瘡女性患者,近半年來數度因為突發性眼皮與嘴唇皮下組織水腫合併有呼吸困難, 前往急診就醫。下列何者與患者的急性症狀最為相關? (A) 抗核抗體 (B) 補體系統 (C) 免疫球蛋白 (D) 血中白蛋白
37 如圖所示之皮疹,下列何者是正確診斷? (A) 全身性紅斑性狼瘡(systemic lupus erythematosus) (B) 尋常性乾癬(psoriasis vulgaris) (C) 脂漏性皮膚炎(seborrheic dermatitis) (D) 光過敏性皮膚炎(photosensitive dermatitis)
38 30 歲男性主訴:“臉上青春痘最近三天突然發作得很厲害”(如圖一)“非常癢並有發燒”。背上 並有許多劇癢疹子(如圖二)。最可能的臨床診斷為:
(A) 尋常性痤瘡(Acne vulgaris)(B) 水痘(Chicken pox)(C) 單純疱疹(Herpes simplex) (D) 帶狀疱疹(Herpes zoster)
39 多發性結節性動脈炎(Polyarteritis nodosa)的致病因,常和下列感染有關,惟何者例外? (A) Hepatitis B (B) Hepatitis C (C) Hepatitis A (D) Streptococcus
40 25 歲年輕男性,數週來於胸前出現大面積無任何症狀的皮膚異色斑點(如圖)。在伍氏燈(Wood’s light)下,病灶處呈亮黃色,最可能的診斷為何?
(A) 白斑(vitiligo) (B) 玫瑰糠疹(pityriasis rosea) (C) 白色糠疹(pityriasis alba) (D) 變色糠疹(pityriasis versicolor)
41 (A) 此病灶之分型屬於結節型黑色素細胞瘤(nodular melanoma) (B) 此型為有色人種之黑色素細胞瘤中罹患率最高之分型 (C) 此型黑色素細胞瘤之發生與日光曝曬有關 (D) 絕不可進行部分病灶切片(incisional biopsy),以免腫瘤擴散
42 承上題,該患者初步理學檢查未發現淋巴結腫大;關於腫瘤分期(staging),下列何者最不具重 要性? (A) 腫瘤組織厚度(tumor thickness)量測 (B) 前哨淋巴結切片檢查(sentinel lymph node biopsy) (C) 腫瘤侵犯皮膚深度(Clark level of invasion) (D) 胸部 X 光攝影
43 一位 45 歲女性患者,皮膚切片的直接免疫螢光檢查顯示如圖,下列關於該患者皮膚疾病的描述何項 錯誤?
(A) Nikolsky sign 呈現陽性 (B) 以 緊 張 性 大 疱 型 水 疱 (large tense bullae)為主要皮疹 (C) 口腔會產生潰瘍的,多有 desmoglein 3 抗體 (D) 病理呈現基底細胞層以上的表皮細胞鬆解
44 (A) 伊藤氏母斑(nevus of Ito) (B) 太田氏母斑(nevus of Ota) (C) 蒙古斑(Mongolian spot) (D) 扁平母斑(nevus spilus)
45 承上題,治療最佳選擇為何? (A) 使用脫色劑(depigmenting agents) (B) 整形手術(plastic surgery) (C) 二氧化碳雷射(carbon dioxide laser) (D) 紅寶石雷射(Q-switched ruby laser)
46 25 歲男性,二年前出現鱗屑性紅色斑塊(如圖所示),爾後發生遠端指(趾)關節疼痛性關節炎且 逐漸變形而住院,治療首選藥物為何?
(A) prednisolone (B) sulfasalazine (C) methotrexate (D) cyclosporin
47 24 歲在電子工廠工作的李先生有用禁藥的紀錄,因左邊癱瘓住院;他有可能使用下列那種管制藥物 或禁藥導致中風? (A) Demerol (B) Cocaine (C) Valium (D) Marijuana
48 (A) 硬腦膜下血腫(subdural hematoma) (B) 阿茲海默症(Alzheimer’s disease) (C) 腦震盪(brain concussion) (D) 老年憂鬱症(Depression)
49 承上題,最合適的檢查是: (A) 腦部電腦斷層造影(computed tomography) (B) 腦脊髓液分析(cerebrospinal fluid analysis) (C) 腦波(electroencephalography) (D) 頭部 X 光(skull-X-ray)
50 72 歲退休的洪老師發生突發性眩暈(vertigo)、步態不穩(ataxia)、吞嚥困難、右側肢體感覺喪失、 左側眼瞼下垂合併瞳孔縮小但是沒有顏面神經麻痺,至急診室求診,最有可能是: (A) 額葉梗塞(Frontal lobe infarct) (B) 顳葉梗塞(Temporal lobe infarct) (C) 頂葉梗塞(Parietal lobe infarct) (D) 腦幹梗塞(Brainstem infarct)
51 54 歲的林經理患有高血壓,一直沒有治療,現因缺血性中風住院,經實證醫學證明急性腦梗塞及腦 血栓病人之血壓高於下列何種數值才需處理? (A) 180/110 mmHg (B) 140/100 mmHg (C) 130/90 mmHg (D) 120/80 mmHg
52 75 歲的李老太太因中風住院,總醫師檢查後懷疑李老太太腦幹中風(brainstem stroke),最佳的影 像檢查為何? (A) 血管攝影(Angiogram) (B) 單光子攝影(SPECT) (C) 電腦斷層攝影(CT) (D) 核磁共振攝影(MRI)
53 一位 15 歲的女孩由母親帶來看門診,因為最近半年來常常有陣發性的嗜睡,在不該睡著的時候(比 如上課、吃飯、與人聊天等)睡著了,約幾分鐘至 1 小時就會醒來,而且情緒激動(如生氣或大笑 時)會突然全身無力,癱軟下去,但幾秒鐘後就恢復。沒發作的時候神經檢查正常。最有可能的疾 病是: (A) 猝睡症(narcolepsy) (B) 腦瘤(brain tumor) (C) 甲狀腺功能過低(hypothyroidism) (D) 憂鬱症(depression)
54 腦膜瘤(Meningioma)的主要治療方法是: (A) 手術摘除 (B) 放射線治療 (C) 化療 (D) 荷爾蒙療法
複選題
55 因腰椎穿刺引起的頭痛(Lumbar puncture headache)通常在腰椎穿刺後多久發生? (A) 立刻 (B) 6 小時 (C) 48 小時 (D) 7天
56 複雜型部分發作(Complex partial seizure)的癲癇發作最常源自於何部位? (A) 額葉(Frontal lobe) (B) 顳葉(Temporal lobe) (C) 頂葉(Parietal lobe) (D) 枕葉(Occipital lobe)
57 一位 80 歲老先生因為記憶力逐漸減退已有 2 年,由家人陪伴初次來看門診,你的第一個步驟是先作: (A) 詳細詢問其病史及作理學及神經學檢查 (B) 腦部電腦斷層 (C) 腦波 (D) 腦部磁振造影
58 一男性 50 歲病患,主訴左手腕下垂、無力伸直,如圖所示,手肘伸直的力氣兩側都正常。下列描述 的病變位置,那一個最正確? (A) 橈神經(radial nerve) (B) 尺神經(ulnar nerve) (C) 正中神經(median nerve) (D) 肌皮神經(musculocutaneous nerve)
59 30 歲男性患有甲狀腺疾病(thyroid disease),因誤信網路謠言,以為只喝可樂(cola)不吃其他的 東西可以減肥,因此大量飲用可樂,於第三天早上發現自己全身無力,無法起床,因此被送進急診室。 神經學檢查發現病人意識清楚,四肢乏力,無感覺異常。心電圖檢查(EKG)顯示 prolong PR, QRS and QT intervals and flattening of T waves。此時下列檢查何者應最優先考慮? (A) Serum potassium level (B) Nerve conduction test (C) Brain CT (D) Blood caffeine level
60 有關叢發性頭痛(cluster headache),以下何者為非? (A) 患者多為年輕女性 (B) 發生時,易流淚及流鼻水 (C) 吸入 100%純氧可緩解頭痛 (D) 可用鋰鹽預防發作
61 下列那種是恐慌症常用的心理防衛機轉? (A) 合理化作用(Rationalization) (B) 替代作用(Displacement) (C) 解離作用(Dissociation) (D) 壓抑作用(Suppression)
62 一位 50 歲精神分裂症患者出現被害妄想、幻聽、自言自語、情感淡漠等症狀。下列何者屬於此一疾 患之負性症狀(negative symptom)? (A) 妄想 (B) 幻聽 (C) 自言自語 (D) 情感淡漠
63 精神分裂症患者最常出現之幻覺(hallucination)為下列那一種? (A) 視幻覺 (B) 嗅幻覺 (C) 聽幻覺 (D) 觸幻覺
64 精神分裂症患者較多出生於那一個季節? (A) 冬天及早春 (B) 春天及初夏 (C) 夏天及初秋 (D) 秋天及初冬
65 一位 24 歲男性患者,三週前出現情緒興奮,講話滔滔不絕,精力充沛,早出晚歸,用錢揮霍,愛管 閒事,愛批評別人,因而與人衝突,被家人送入醫院。過去病史及體檢無異常發現。該患者最可能 罹患那種精神疾患? (A) 精神分裂症(schizophrenic disorder) (B) 雙極性疾患,躁症發作(bipolar disorder, manic episode) (C) 憂鬱症(depressive disorder) (D) 反社會人格疾患(antisocial personality disorder)
66 恐慌症在藥物治療有效的情況下,需治療多久? (A) 發作時接受治療 (B) 持續 3~5 週 (C) 持續 3~5 個月 (D) 持續 8~12 個月
67 在美國精神醫學會之精神疾患診斷及統計手冊中,下列那一種人格疾患所屬的族類(cluster)與其他 三者不同? (A) 邊緣型 (B) 反社會型 (C) 妄想型 (D) 戲劇型
68 電影中「雙面夏娃」形容一女性患者體內存在著完全不同人格特質的分身,此一分身常在壓力情境 下出現。此種情況屬於下列何種臨床診斷? (A) 類精神分裂人格疾患(schizoid personality disorder) (B) 雙極性疾患(bipolar disorder) (C) 解離性疾患(dissociative disorder) (D) 妄想症(delusional disorder)
69 一位 26 歲女老師近兩個月來抱怨全身虛弱無力,但醫院的檢查卻都正常。她整天臥床無法上課或做 家事,且對什麼事都提不起興趣。她情緒變得沮喪,思考也較遲鈍,常猶豫不決,半夜常醒來且無 法再入睡。她覺得人生無望,不如死掉算了。下列有關此病人之敘述何者有誤? (A) 病人腦中的神經傳導物質異常,主要為血清素及正腎上腺素 (B) 此疾病發作年齡愈早及有家族史者,日後較可能出現雙極性情感性疾病 (C) 當虛弱無力的症狀獲得改善時,其自殺危險性也隨之減少 (D) 此疾病的病程常傾向慢性化及再復發
70 下列何種抗憂鬱藥物不屬於選擇性血清素再回收抑制劑? (A) Fluoxetine (B) Sertraline (C) Bupropion (D) Citalopram
71 一位 60 歲女性患者,突然出現時間定向感缺失,胡言亂語,不認得家人,幻視,錯覺及混亂行為, 這些症狀在夜間更加嚴重。該患者之診斷應首先考慮為:(A) 失憶(amnesia)(B) 譫妄(delirium)(C) 失智症(dementia)(D) 憂鬱症(depression)
72 下列關於阿茲海默症的敘述,何者正確? (A) 為持續性、進行性、可逆性病程 (B) 意識障礙是首發症狀 (C) 病理特徵為老年斑(senile plaques)和神經纖維糾結(neurofibrillary tangles) (D) 疾病早期沒有人格改變
73 社區復健是嚴重精神疾病的重要治療模式,下列何者不是社區復健機構? (A) 職能工作坊 (B) 康復商店 (C) 庇護工廠 (D) 社區心理衛生中心
74 有關注意力缺損過動疾患(attention-deficit hyperactivity disorder)的敘述,以下何者正確? (A) 興奮劑類藥物的治療效果良好 (B) 只要在課堂上坐不住,就可以說罹患此症 (C) 所有症狀到了青少年都會完全消失 (D) 只能透過神經心理測驗確定診斷
75 以藥物治療妥瑞氏疾患(Tourette’s disorder)時,下列何者不被考慮採用? (A) Haloperidol (B) Pimozide (C) Desmopressin (D) Clonidine
76 病人的配偶欲來申請病人之診斷書,須如何處置? (A) 看配偶的身分證即可 (B) 配偶口頭表示即可 (C) 出示病人的身分證即可 (D) 須有配偶的身分證加上載明委託意旨之委託書
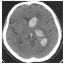
77 年約 60 歲女性路倒病人,送到急診室時意識不清,無法問取病史,根據 CT 影像(如圖),最適 當的診斷是:
(A) Hypertensive hemorrhage with extension into the ventricle (B) Contusion hemorrhage and traumatic intraventricular hemorrhage(IVH) (C) Ruptured aneurysm with intracerebral hemorrhage and IVH (D) Ruptured AVM(arteriovenous malformation)with intracerebral hemorrhage and IVH
78 10 歲男童遭不明蛇類咬傷上肢,患肢在外觀上可見淺小之咬痕,局部無腫脹,下列處理何者正確? (A) 應直接施打抗神經性及抗出血性蛇毒血清 (B) 應進行動脈血氧分析 (C) 應觀察是否有流涎,眼瞼下垂等狀態 (D) 應該給予抗生素治療
79 57 歲男性,由其女兒送至急診室,外觀衣衫襤褸、步態不穩,面無表情不回答問題。據其女兒所述, 病患每天酗酒不太進食,最近視力漸差,急診的第一步處置應為: (A) 靜脈注射含葡萄糖輸液 (B) 會診神經內科醫師 (C) 靜脈注射 MgSO
4
(D) 靜脈注射 thiamine,再給予靜脈輸液
80 17 歲的小茹因斷斷續續發燒、咳嗽數星期、體重減輕、容易疲累,而住到醫院接受一連串的檢查, 最後證實小茹罹患惡性淋巴瘤。小茹的父母要求醫師不要讓她知道此診斷,而告訴她罹患的是肺炎。 下列何敘述最恰當? (A) 醫師應體諒小茹父母的苦心,協助隱瞞小茹的病情 (B) 小茹尚未成年,故不能參與討論她的治療計畫 (C) 主治醫師仍需探知小茹的能力與意願,並會同社工師進行家庭懇談 (D) 醫師不應欺騙病人,可以用請她轉院的手段,使小茹父母同意醫師告知小茹她的病情
申論題 (0)
相關試卷
115年 - 115-1 專技高考_醫師(二):醫學(四)(包括小兒科、皮膚科、神經科、精神科等科目及其相關臨床實例與醫學倫理)#137336
115年 · #137336
114年 - 114 專技高考_醫師(二):醫學(四)(包括小兒科、皮膚科、神經科、精神科等科目及其相關臨床實例與醫學倫理)#127921
114年 · #127921
114年 - 114-1 專技高考_醫師(二):醫學(四)(包括小兒科、皮膚科、神經科、精神科等科目及其相關臨床實例與醫學倫理)#125091
114年 · #125091
113年 - 113-2 專技高考_醫師(二):醫學(四)(包括小兒科、皮膚科、神經科、精神科等科目及其相關臨床實例與醫學倫理)#120661
113年 · #120661
113年 - 113-1 專技高考_醫師(二):醫學(四)(包括小兒科、皮膚科、神經科、精神科等科目及其相關臨床實例與醫學倫理)#118722
113年 · #118722
112年 - 112-2 專技高考_醫師(二):醫學(四)(包括小兒科、皮膚科、神經科、精神科等科目及其相關臨床實例與醫學倫理)#114975
112年 · #114975
112年 - 112-1 專技高考 _醫師(二):醫學(四)(包括小兒科、皮膚科、神經科、精神科等科目及其相關臨床實例與醫學倫理)#113170
112年 · #113170
111年 - 111-2 專技高考_醫師(二):醫學(四)(包括小兒科、皮膚科、神經科、精神科等科目及其相關臨床實例與醫學倫理)#108728
111年 · #108728
111年 - 111-1 專技高考_醫師(二):醫學(四)(包括小兒科、皮膚科、神經科、精神科等科目及其相關臨床實例與醫學倫理)#106182
111年 · #106182
110年 - 110-2 專技高考_醫師(二):醫學(四)(包括小兒科、皮膚科、神經科、精神科等科目及其相關臨床實例與醫學倫理)#99891
110年 · #99891