阿摩線上測驗
登入
首頁
>
臨床血液學與血庫學
> 98年 - 98-1 專技高考_醫事檢驗師:臨床血液學與血庫學#48378
98年 - 98-1 專技高考_醫事檢驗師:臨床血液學與血庫學#48378
科目:
臨床血液學與血庫學 |
年份:
98年 |
選擇題數:
80 |
申論題數:
0
試卷資訊
所屬科目:
臨床血液學與血庫學
選擇題 (80)
1 有關正常 RBC 經約 120 天循環後被破壞之敘述,何者正確? (A)主要的破壞發生於血管內,破壞的紅血球釋出血紅素(Hb) (B) Hb 代謝,globin 分解為胺基酸由尿液排泄 (C) Hb 代謝分解出的 heme 可回收用於 Hb 製造 (D) Hb 代謝出的鐵經 plasma 運送,回收貯存或用於製造 Hb
2 下列何者不是 iron deficiency anemia 可見之紅血球形態變化特徵? (A) microcytic (B) hypochromic (C) anisocytosis (D) basophilic stippling
3 關於 Hb S 之基因缺陷,下列敘述何者正確? (A)β chain 第 6 位置胺基酸 Glu 被 Val 取代 (B)β chain 第 6 位置胺基酸 Glu 被 Lys 取代 (C)β chain 第 26 位置胺基酸 Glu 被 Lys 取代 (D)β chain 第 121 位置胺基酸 Glu 被 Lys 取代
4 正常人類α-球蛋白含多少個胺基酸? (A) 141 (B) 146 (C) 164 (D) 169
5 下列何者不是巨紅芽球大球性貧血(megaloblastic anemias)週邊血液抹片血球特徵? (A)嗜中性白血球核分葉多於 5 葉(hypersegmentation) (B)血小板數目減少 (C)紅血球 MCV>120 fl (D)紅血球染色偏低(hypochromic)
6 慢性疾病貧血(Anemia of chronic disease)之致病原因為: (A)吞噬細胞釋放鐵之能力受 hepcidin 所抑制 (B)自體抗體 (C) EPO 分泌增加 (D) RBC 壽命延長
7 甲烯基藍(Methylene blue)不染下列何者? (A) DNA (B) RNA (C) Basophil 之嗜鹼性顆粒 (D)白血球之初級顆粒(primary granules)
8 下列紅血球包涵體(inclusion bodies)中,何者需要用活體染色觀察? (A) Basophilic stippling (B) Howell-Jolly bodies (C) Heinz bodies (D) Pappenheimer bodies
9 下列關於造血幹細胞的敘述,何者錯誤? (A)多潛能,能夠生成不同的細胞系列 (B)由免疫檢測得知為 CD34+CD38-之細胞 (C)具有自我更新的能力,在一健康穩定狀態能使骨髓細胞維持不變 (D)周邊血不可能尋找到少數之幹細胞
10 關於繼發性多血症(secondary erythrocytosis)之實驗室檢查,下列何者錯誤? (A) EPO 之分泌增高 (B) WBC 正常 (C) EPO 正常 (D) Platelet 正常
11 下列有關紅血球激素(EPO)之敘述,何者錯誤? (A)醣蛋白賀爾蒙 (B) 90%是在腎臟製造 (C)可使紅血球前驅細胞分化、成熟 (D) 90%是在骨髓製造
12 Plasma transferrin 攜帶的鐵為: (A) Fe2+ (B) Fe3+ (C) hemosiderin (D) ferritin
13 骨髓間質細胞不包括下列何種細胞? (A)脂肪細胞 (B)纖維母細胞 (C)內皮細胞 (D)顆粒性白血球
14 下列紅血球之前期細胞中,何者不具分裂能力? (A) Pronormoblast (B) Basophilic normoblast (C) Polychromatic normoblast (D) Orthochromatic normoblast
15 紅血球老廢後,那種成分被代謝後排泄? (A) porphyrin (B) Fe (C) globin (D) nucleus
16 Perls reaction 可染下列何種形式的鐵,且在顯微鏡下觀察? (A) transferrin (B) ferritin (C) apoferritin (D) hemosiderin
17 下列何者不是 Echinocyte(crenated cells)發生的原因? (A)血中 BUN 上升 (B)製片用玻片 pH 值太高 (C) aged blood (D)血中缺乏β-lipoprotein
18 plasma transferrin 所攜帶的鐵主要來源為: (A)飲食吸收 (B)老廢紅血球中 Hb 代謝回收而得 (C)肝臟中貯存鐵轉換而來 (D)肌紅素轉換而來
19 下列何者不是小球性貧血的原因? (A)缺鐵性貧血 (B)海洋性貧血 (C)鐵芽球性貧血(Sideroblastic anemia) (D)遺傳性球狀紅血球症
20 遺傳性球狀紅血球症之實驗診斷特徵為: (A) RDW 偏高 (B) MCHC 偏高 (C)紅血球數目上升 (D)紅血球脆性降低
21 下列何種染色體異常最常出現下述之形態特徵:eosinophils 增加;不成熟的 eosinophils 覆蓋著 basophilic granules;myelomonocytic differentiation? (A) t(8;21) (q22;q22) (B) t(15;17) (q22;q12) (C) inv(16) (p13;q22) (D) AML with 11q 23(MLL)abnormalities
22 Multiple myeloma 的病患常在尿液中檢測出下列何種蛋白? (A) Alkaline phosphatase (B) Bence-Jones protein (C) C-reactive protein (D) Urobilinogen
23 白血球中的 Primary granules 開始製造並結束於那個階段? (A) Promyelocyte (B) Metamyelocyte (C) Myelocyte (D) Myeloblast
24 下列何者正確地顯示嗜中性白血球的成熟順序? (A) Promyelocyte→metamyelocyte→myelocyte→band→segmented neutrophil (B) Metamyelocyte→myelocyte→segmented neutrophil→myelocyte (C) Promyelocyte→myelocyte→metamyelocyte→band→segmented neutrophil (D) Myeloblast→promyelocyte→metamyelocyte→myelocyte→band→segmented neutrophil
25 具有灰藍色(gray-blue), ground-glass 的細胞質,最適於形容下列何種白血球? (A) Monocyte (B) Basophil (C) Mast cell (D) Myeloblast
26 下列 T 細胞的表面標記中,何者最早出現? (A) CD4 (B) CD8 (C) CD3 (D) CD2
27 下列那種表面標記可出現在正常的 B 細胞與 T 細胞的成熟過程之中? (A) CD10 (B) CD4 (C) CD3 (D) CD19
28 下列何種急性白血病常會引起 DIC 及 thrombocytopenia? (A) AML, M1 (B) AML, M2 (C) AML, M3 (D) AML, M4 9
29 某病人的周邊血液中,每 100 顆白血球就有 20 顆 normoblasts,則 24.0×10 /L 的有核血球,經過矯正 後,應有多少真正的白血球? (A) 20.0×109/L (B) 18.8×109/L (C) 16.0×109/L (D) 22.4×109/L
30 下列那一個名詞代表急性嚴重感染時,白血球細胞質中的殘餘 RNA? (A) Döhle body (B) Auer rod (C) Toxic granules (D) Barr body
31 下列那一個敘述與 Pseudo-Pelger-Huët anomaly 最沒有關係? (A) Myelodysplastic syndrome (B) Myeloproliferative disorders (C) Nuclear hypersegmentation (D) Some drugs
32 Tissue basophils 是指下列何種細胞? (A) Mast cells (B) Megakaryocytes (C) Macrophages (D) Fagot cells
33 下列那些是多發性骨髓瘤(multiple myeloma)患者常出現的症狀?①腎功能受損 ②血小板增多症 ③澱粉樣病變(Amyloidosis) ④鬆骨症 ⑤免疫功能不全,容易重複感染 (A)①③④⑤ (B)②③ (C)①②③④ (D)①②③④⑤
34 某骨髓抹片的細胞分類如下:40% neutrophils and precursors; 20% lymphocytes and precursors; 20% nuclear erythroid cells; 20% monocytes and precursors. 則 M:E ratio 是多少? (A) 3:1 (B) 2:1 (C) 1:1 (D) 1:2
35 Waldenström macroglobulinemia 是屬於下列那一種疾病? (A) Lymphoproliferative disorders (B) Myeloproliferative disorders (C) Multiple myeloma (D) Carcinoma
36 下列有關 myeloperoxidase 染色之敘述,何者最不恰當? (A) Myeloperoxidase 存在於 neutrophils 中的 cytoplasmic granules (B)染色後的陽性反應在細胞質中呈現灰黑色顆粒 (C)超過 14 天的抹片不適於此項染色 (D)最常用甲醇固定
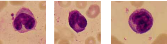
37 附圖是一位血液病患者的周邊血液抹片。則這些細胞最有可能是下列何者?
(A) Monocytes (B) Myeloblasts (C) Lymphoblasts (D) Promyelocytes
38 所謂“Basket cells”是指下列何者? (A)無規則地聚集的紅血球 (B)遭遇外力破壞的白血球 (C)結集成堆的血小板 (D)血液中的血管內皮細胞
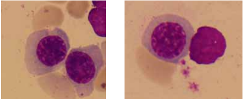
39 附圖是一位血液病患者的骨髓血液抹片。則這些細胞最有可能是下列何者?
(A) Normoblasts (B) Plasma cells (C) Lymphoblasts (D) Basophils
40 則這些不成熟的細胞最有可能是下列何者? (A) Lymphoblasts (B) Myeloblasts (C) Carcinoma cells (D) Sarcoma cells
41 根據此患者之細胞抹片及其免疫分型,此患者最有可能患下列何種疾病? (A) Precursor B cell lymphoblastic leukemia/lymphoma (B) Precursor T cell lymphoblastic leukemia/lymphoma (C) Acute myeloid leukemia (D) Germ cell tumor
42 免疫分型的 panel A 中,箭頭所指的細胞是屬於下列何者? (A) Precursor cells (B) Monocytes (C) Plasma cells (D) Granulocytes
43 則此病人最有可能患了下列那一種病? (A) AML M0 (B) AML M1 (C) AML M2 (D) AML M4
44 下列何種免疫分型對這位病人的骨髓細胞,最有可能是陰性的? (A) CD117 (B) CD34 (C) HLA-DR (D) CD20
45 以低分子量肝素治療血管栓塞時,會影響下列何種檢驗? (A) activated partial thromboplastin time (B) prothrombin time (C) anti-factor Xa 活性 (D) bleeding time
46 下列何種檢查可用來監控 Warfarin therapy? (A) PT (B) APTT (C) TT (D) Bleeding time
47 下列那一個 ISI(international sensitivity index)值之凝血酶原試劑最適合監測口服抗凝劑? (A) 1.0 (B) 2.0 (C) 3.0 (D) 4.0
48 下列那些物質組成“prothrombinase complex”?① Factor Va ② Factor VIIIa ③ Factor Xa ④ Phospholipids ⑤ Tissue factor (A)①②④ (B)①③④ (C)①②⑤ (D)①③⑤
49 下列有關 Thrombomodulin 的敘述,何者正確? (A) Vit. K-dependent 的 factor (B)由肝細胞合成 (C)可以改變 thrombin 的特性 (D)只存在內皮細胞中
50 進行血小板凝集試驗時,何者用來設定 100%凝集? (A)病人的 platelet-poor plasma (B)病人的 platelet-rich plasma (C)蒸餾水 (D)緩衝液
51 血管內皮下組織的膠原(collagen)在高血流的情形下會和血漿中何種蛋白結合? (A) von Willebrand factor (B) Tissue factor (C) Fibrinogen (D) Antithrombin III
52 下列那些物質存在於 euglobulin 的成分中?① fibrinogen ② plasminogen ③α2-antiplasmin ④ tPA ⑤ PAI (A)①②③ (B)①②④ (C)①③⑤ (D)②③⑤
53 下列有關 anticoagulant system 的敘述,何者正確? (A) Antithrombin III 必須與 thrombomodulin 結合才會被活化 (B) Protein S 本身有抑制 Factor Va & Factor VIIIa 之作用 (C) Antithrombin III 只有在 heparin 存在下才有作用 (D)活化的 protein C 有抑制 Factor Va & Factor VIIIa 之作用
54 下列何種測試不需添加 Ca
2+
? (A) PT (B) APTT (C) TT (D) Plasma coagulation time
55 下列有關 von Willebrand disease 的敘述,何者正確? (A) Type I and type III vWD 是 vWF 質的問題 (B) Type IIa 病人之 Platelet aggregation 對 Ristocetin 反應比正常人 Sensitive (C) Type IIb 乃缺乏所有 Largest molecules 的 vWF (D)所有 vWD 的病人皆有 Bleeding time 和 APTT 延長的現象
56 下列何者不是血液循環中之 pro-coagulation factor inhibitor? (A) Protein C (B) Tissue factor pathway inhibitor (C) Antithrombin III (D)α2-antiplasmin
57 下列何者不能活化 plasminogen? (A) Streptokinase (B) Urokinase (C) FDP (D) Factor XIIa
58 下列有關肝素(heparin)治療監測之敘述,何者錯誤? (A)以 APTT(activated partial thromboplastin time)為監測試驗時,其敏感度區間為肝素濃度 0.1~1.0 U/mL (B)當肝素濃度為 1~5 U/mL 時,應以凝血酶時間(thrombin time)監測 (C)肝素之治療區間為病人用藥前 1.5~2.5 倍 APTT (D)魚精胺酸(protamine sulfate)可以拮抗肝素之毒性
59 von Willebrand factor(vWF)因子的分析包括 vWF 抗原量與 Ristocetin 誘發血小板凝集(vWF:RCo),當 vWF 抗原量正常而 vWF:RCo 不一致時,要考慮是下列何狀況? (A)第一型 von Willebrand 症 (B)第二型 von Willebrand 症 (C)第三型 von Willebrand 症 (D)第八凝血因子缺乏之干擾
60 下列何者不是影響出血時間(bleeding time)試驗之常見因素? (A)切割之深度 (B)切割之位置 (C)凝血因子活性下降 (D) thrombasthenia
61 以 DDAVP(1-desamino-8-d-arginine vasopressin)治療第一型 von Willebrand 症時,最好的監測試驗 是: (A) von Willebrand 因子以 ristocetin 誘發活性檢查 (B)出血時間(bleeding time) (C) activated partial thromboplastin time (D) von Willebrand 因子抗原量分析
62 下列何物質具有中和肝素(heparin)的作用? (A)血小板第四因子(platelet factor 4) (B)纖維蛋白原(fibrinogen) (C)抗凝血酶(antithrombin) (D)凝血蛋白酶原(prothrombin)
63 下列有關凝血酶時間(thrombin time)試驗之敘述,何者正確? (A)可以測定共同路徑之所有凝血因子活性 (B)可以用來監測肝素(heparin)治療 (C)可以用來測定凝血酶原(prothrombin)活性 (D)可以用來測定纖維蛋白溶解路徑功能
64 下列有關 INR 之敘述,何者正確? (A)作為肝素(heparin)治療監測 (B)為活化部分凝血酶原時間(activated partial thromboplastin time)試驗之報告格式 (C)由公式:INR=(病人凝血酶原時間/品管檢體凝血酶原時間)ISI求得 (D)肝功能不好時,INR 值可能上升
65 下列那一種遺傳性血管栓塞危險因子在西方人常見,但在亞洲人很罕見? (A) prothrombin G20210A mutation (B) protein C deficiency (C) protein S deficiency (D) lupus anticoagulant
66 下列何種抗體,較常見於 Mycoplasma pneumoniae 感染而發生冷凝血症(Cold agglutinin disease)的 病人? (A) Anti-H (B) Anti-i (C) Auto-anti-I (D) Auto-anti-P
67 下列何種抗體,較常見於陣發性冷血色素尿症(Paroxysmal cold hemoglobinuria)病人? (A) Anti-H (B) Anti-i (C) Auto-anti-I (D) Auto-anti-P
68 某病人於手術前檢體抗體篩檢為陰性,但自體對照細胞為陽性,直接球蛋白試驗以 anti-IgG 測試為 (2+)。病人最後一次輸血為 9 個月之前,病人並未服用藥物。則該病人紅血球沖出液中所含抗體 為: (A)無抗體存在 (B)異體抗體 (C)異體抗體及自體抗體 (D)自體抗體
69 下列有關弱 D 陽性捐血人血袋的敘述,何者錯誤? (A)弱部份 D(Weak partial D)捐血者的血液可標示為 Rh 陰性 (B) Trans C 抑制性弱 D 捐血者的血袋應標示為 Rh 陽性 (C)遺傳基因弱 D 捐血者的血袋應標示為 Rh 陽性 (D) Del 捐血者的血袋應標示為 Rh 陽性
70 某服用 Aldomet 的病人為 DAT 陽性,下列有關紅血球沖出液的敘述,何者正確? (A)將只會與 Aldomet 被覆的紅血球反應 (B)此沖出液會被 Aldomet 溶液中和掉 (C)會跟所有未經 Aldomet 處理的正常紅血球反應 (D)只會跟未經 Aldomet 處理的 D 陽性紅血球反應
71 早產嬰兒(Premature infant)需要交換性輸血(Exchange transfusion)時,下列關於其所使用血液的 敘述,何者錯誤? (A)血液經照射,以預防 GVHD(graft-versus-host disease)的機會 (B)使用貯存超過 7 天的血液,以減少 GVHD 的機會 (C)使用與母親血清相容的血液 (D)最好是 CMV 抗體陰性的血液
72 下列有關核黃疸(kernicterus)的敘述,何者正確? (A)與發生新生兒溶血的抗體的特異性有關 (B)與抗體的效價(titer)有關 (C)是因為貧血的緣故 (D)與 indirect(unconjugated)bilirubin 有關
73 病人兩星期前輸過血,再次需要輸血。但病人血清與所有測試細胞(臍帶血除外),包括抗體篩檢 細胞以及抗體鑑定細胞在立即離心均有(3+)反應,在抗球蛋白期也有(1+)反應,自體細胞對照 也有相似反應。應如何做交叉試驗? (A)應用 PEG 加強反應 (B)應做預溫試驗 (C)病人血清應做自體細胞吸附後再做交叉試驗 (D)鑑定出抗體,並由稀有捐血者中要求供應血液
74 某對夫妻及其新生嬰兒的 Rh 系統測試結果如下:夫 D(0)C(+)E(0)c(+)e(+)weak D(+);妻 D(0)C(0)E (0)c(+)e(+)weak D(0);小孩 D(+)C(0)E(0)c(+)e(+)。則下列結論何者正確? (A)此位先生並不是小孩的親生父親 (B)此位先生可以證明為小孩的父親 (C)無法排除“此先生為小孩的親生父親"之可能性 (D)小孩的 D(+)為偽陽性
75 基因型為 CDe/cde(夫)與 cde/cde(妻)組合,小孩為 Rh 陰性的機率為: (A) 0% (B) 25% (C) 50% (D) 75%
76 某病人的 Rh 系統測試結果如下:D(+)C(+)E(0)c(+)e(+)。其最可能的基因型為何? (A) R1R1 (B) R1r (C) R1R2 (D) R0r’
77 下列有關血庫品管測試的敘述,何者錯誤? (A) Gel Test 比傳統方法更具標準化 (B)抗血清力價測試有凝集即判為陽性 (C)品管測試方法要與平時方法一致 (D) Anti-D 抗血清品管需大於 32 倍以上
78 有關血液分離術的捐血者的要求,下列敘述何者正確? (A)體重 50 公斤即可做連續性流動儀器之分離 (B)間隔須逾三個月以上 (C)只要健康允許每年捐出血漿量不受限制 (D)每次血漿只能捐 250 ml
79 下列有關 ABO 血型檢查的敘述,何者錯誤? (A)年齡會影響血型檢查的反應強度 (B)血型抗體試劑效價已達 256 倍,即可用於日常檢測上 (C)必須使用洗滌過的紅血球測定 (D)溶血檢體不能用於血型測定
80 下列有關米田堡血型系列(Miltenberger series, Mi)的敘述,何者錯誤? (A)其形成為 GPA(Glycophorin A)與 GPB(Glycophorin B)的雜交蛋白(Hybrid protein) (B) Anti-“Mia”為臺灣最常被鑑定的抗體之一 (C) Anti-“Mia”與 Mi III 抗原有關 (D) Mi III 之生化結構主要為 GPA/GPB 雜交蛋白 GP ABA 之形式
申論題 (0)