阿摩線上測驗
登入
首頁
>
醫學五:80題 ( 包括外科,骨科,泌尿科等科目及其相關臨床實例與醫學倫理 )
> 98年 - 98-1 專技高考_醫師(二):醫學(五)(包括外科、骨科、泌尿科等科目及其相關臨床實例與醫學倫理)#36886
98年 - 98-1 專技高考_醫師(二):醫學(五)(包括外科、骨科、泌尿科等科目及其相關臨床實例與醫學倫理)#36886
科目:
醫學五:80題 ( 包括外科,骨科,泌尿科等科目及其相關臨床實例與醫學倫理 ) |
年份:
98年 |
選擇題數:
80 |
申論題數:
0
試卷資訊
所屬科目:
醫學五:80題 ( 包括外科,骨科,泌尿科等科目及其相關臨床實例與醫學倫理 )
選擇題 (80)
1 下列有關器官移植時各種排斥現象(rejection)的敘述,何者有誤? (A)一般而言,Donor 與 Recipient 的 HLA matching 愈佳,則 graft survival rate 愈好 (B) Hyperacute rejection 的發生需要 IgM antibodies 的媒介,可藉由使用抗排斥藥物加以預防 (C) Acute rejection 的發生需要 T lymphocytes 的媒介,發生頻率愈高,graft 的長期預後較差 (D) Chronic rejection 的發生與 T cell 與 B cell 有關,移植器官的主要病理變化為 fibrosis and scarring
2 一位 38 歲女性,因為甲狀腺乳突癌(papillary carcinoma of thyroid)接受甲狀腺切除術。術後病人常 感兩側手腕與臉部肌肉有抽搐的現象。以下何者是最可能的抽血資料? (A)血清鈣離子(calcium ion)升高,血清磷酸根離子(phosphate)降低,血清副甲狀腺荷爾蒙(parathyroid hormone)升高 (B)血清鈣離子(calcium ion)升高,血清磷酸根離子(phosphate)升高,血清副甲狀腺荷爾蒙(parathyroid hormone)升高 (C)血清鈣離子(calcium ion)降低,血清磷酸根離子(phosphate)升高,血清副甲狀腺荷爾蒙(parathyroid hormone)降低 (D)血清鈣離子(calcium ion)降低,血清磷酸根離子(phosphate)降低,血清副甲狀腺荷爾蒙(parathyroid hormone)降低
3 下列何者為治療成人股骨幹骨折(Femoral shaft fracture)最常使用的方法? (A)骨髓內釘(Intramedullary nail) (B)動態性壓迫性鋼板(Dynamic compression plate) (C)骨骼牽引(Skeletal traction) (D)外固定(External fixator)
4 (A)左側大腸癌阻塞 (B)缺血性大腸炎合併阻塞 (C)慢性潰瘍性結腸炎合併毒性巨結腸 (D)黏連性大腸阻塞
5 承上題,若經過一天之靜脈營養和輸液、注射抗生素及大腸減壓等療法後,病況仍未見改善,則該 如何緊急處理較好? (A)全大腸切除及迴腸直腸吻合術 (B)全大腸切除及迴腸造口術,加上 Hartmann’s pouch (C)大腸直腸肛門全切除及迴腸造口術 (D)全大腸切除及迴腸袋肛門吻合術(Ileal pouch-anal anastomosis)一次完成
6 根據 American Joint Committee on Cancer(AJCC)出版的 Cancer Staging Manual(2002 年, 第 6 版), 有關大腸直腸癌之病理分期之敘述,何者為非? (A)在 stageⅠ時,並沒有淋巴結轉移 (B)在 stageⅡ時,並沒有淋巴結轉移 (C) StageⅡ大腸癌經手術治療後,五年存活率大約為 75% (D)有遠端轉移時(stage Ⅳ)五年存活率大約為 15%
複選題
7 張女士是一位 63 歲的獨居農婦,三週前清理田中雜草時割傷右手中指,門診檢查發現手掌紅腫、手 指彎曲、扣診腱鞘及被動伸展中指時引發極度疼痛,血糖 430 mg/dL,糖化血色素HbA1c 11%。住院 給予廣效性抗生素及胰島素注射治療後症狀逐漸緩解,第 3 天下午四點病房護士指尖採血驗血糖值 為 70 mg/dL,當時張女士意識清楚,心跳每分鐘 75 次,皮膚溫暖乾燥,下列何措施對張女士當下之 處置最為適當? (A) 50%葡萄糖溶液 40 mL 靜脈注射 (B) 50%葡萄糖溶液 500 mL 靜脈注射 (C)持續觀察並確定張女士進食晚餐 (D)照會糖尿病專科醫師處理
8 下列何者與甲狀腺癌的診斷,最無關係? (A)血清甲狀球蛋白(Thyrogobulin) (B)血清抑鈣激素(Calcitonin) (C) RET 基因分析 (D)頸部超音波
9 (A)左側前腦動脈瘤破裂,併發血管收縮 (B)基底核區之動靜脈畸形 (C)毛毛樣腦血管症(Moyamoya Disease) (D)腦動脈炎併發血管阻塞
10 承上題,以下之敘述,何者最可能是該小孩之腦血管攝影所發現到的結果? (A)右側內頸動脈在進入顱底處,呈現擴張及血流加快 (B)左側內頸動脈在進入顱底處,呈現狹小或阻塞 (C)基底動脈(basilar artery)在腦內之分叉處,呈現狹小或阻塞 (D)兩側基底核區(basal ganglia),側枝循環血管不明顯,顯著的血流減少
複選題
11 下列何者為顱內海綿狀畸形(Cavernous malformation)最常見的臨床症狀? (A)肢體動作障礙 (B)頭痛、嘔吐 (C)癲癇發作 (D)兩側顳側偏盲
12 一位 30 歲男性因為右膝骨折脫臼合併膕動脈(popliteal artery)斷裂,接受緊急血管吻合術以及筋膜切 開術後,隔天病人發生尿量減少(oligouria),抽血檢查發現 GOT 200 mg/dL,myoglobin 5700 ug/L。請 問下列那一種狀況最能解釋目前的病情? (A)膕動脈再次阻塞(delayed popliteal artery occlusion) (B)腔室症候群(compartment syndrome) (C)多重器官衰竭(multiple organ failure) (D)缺血再灌流傷害(ischemia-reperfusion injury)
13 (A)下肢動脈堵塞(lower limb arterial occlusion) (B)下肢靜脈堵塞(lower limb venous occlusion) (C)下肢鬱血靜脈炎(stasis dermatitis) (D)下肢動脈瘤(lower limb arterial aneurysm)
14 承上題,病人最可能立即接受以下何項治療? (A)給予抗凝血劑(anticoagulants) (B)放血管支架(vascular stents) (C)血栓切除術(thrombectomy) (D)截肢(amputation)
15 腦中最容易長成腦瘤之組織為膠質細胞(Glial cells),則下列那一種腦腫瘤不是膠質細胞瘤 (Glioma)? (A)星型細胞瘤(Astrocytoma) (B)寡足細胞瘤(Oligodendroglioma) (C)松果體細胞瘤(Pineocytoma) (D)試管膜細胞瘤(Ependymoma)
16 下列有關小兒肺臟移植(Pediatric lung transplantation)之敘述,何者有誤? (A)常見之 surgical indication 為 end-stage pulmonary vascular disease 以及 end-stage bronchopulmonary pathology (B)施行單側肺臟移植手術時,不一定需要使用體外循環心肺輔助機(cardiopulmonary bypass) (C)移植術後早期常見之死亡原因為 bronchiolitis obliterans,而晚期常見之死亡原因則為 infection (D)術後 Post-transplant lymphoproliferative disease 發生率約為 10%,與 Epstein-Barr virus 感染有關
17 一位 46 歲女性病人,被家人發現盜汗、神智不清及抽搐而送進急診處。病人並無高血壓或頭部外傷 史,也無抽筋或昏迷的病史,理學檢查也無局部或單側神經系統的異常。在急診處有關的生化學檢 查,最主要必須包括: (A) Ammonia (B) BUN (C)鈣離子濃度 (D)血糖值
18 Zenker diverticulum of esophagus 常發生於: (A) GE junction (B) Middle esophagus (C) Killian’s triangle of cricopharyngeus (D) Thoracic inlet
19 一位 58 歲的停經女性乳癌患者,接受右側乳房保留手術,術前檢查顯示沒有遠處轉移。術後病 理報告顯示腫瘤大小為 2 公分,動情激素受體(estrogen receptor, ER)染色呈陰性,黃體激素受 體(progesterone receptor, PR)染色呈陰性,HER2 染色呈陽性,組織分級為第二級,腋下淋巴腺有 兩顆轉移。請問患者不需接受下列何項輔助性治療? (A)化學治療(chemotherapy) (B)荷爾蒙治療(hormone therapy) (C)放射治療(radiation therapy) (D)標靶治療(target therapy)
20 (A)急性闌尾炎 (B)大腸癌 (C)潰瘍性大腸炎 (D)大腸憩室炎
21 承上題,下列何者是最適當優先安排的檢查工具? (A)大腸鋇劑灌腸攝影 (B)大腸鏡 (C)腹部電腦斷層攝影 (D)腹部超音波
22 陳女士 50 歲為一乳癌患者經手術行 modified radical mastectomy 後,其 staging 為 T2N1M0,術後建 議給予 6 次 5-FU,Adriamycin 及 cyclophosphamide。此種化學藥物治療屬於下列那一種? (A)輔助性化療(adjuvant C/T) (B)治療性化療(therapeutic C/T) (C)姑息性化療(palliative C/T) (D)主要性化療(primary C/T)
23 呂小姐 28 歲於浴室中滑倒,右上肢被洗臉盆碎片割傷多處,經送醫縫合處置後回家休養,數週後仍 覺不適至門診就診,主訴右手小指及無名指的一半麻木,感覺遲鈍,且外觀呈曲屈狀。呂小姐的最 適當診斷為: (A)正中神經損傷 (B)橈神經損傷 (C)尺神經損傷 (D)前骨間神經損傷
24 (A)急性胃炎 (B)十二指腸潰瘍 (C)急性胰臟炎 (D)膽結石併膽絞痛
25 承上題,根據上述的病史,您心中已有診斷的腹案,下列何種診斷工具或檢查是方便直接且有效的 協助診斷? (A)胃鏡檢查 (B)腹部超音波檢查 (C)上消化道攝影 (D)正子掃描
26 一位 70 歲男性,晚餐後覺得一陣心悸,三十分鐘後突然腹部劇痛,因疼痛持續一小時仍未緩解,而 至急診室就診,當時你發現此病人臉色蒼白、冷汗直流,血壓 140/82 mmHg、心跳 110/min、呼吸 28/min、體溫 36.8℃,詢問過去病史四個月前因心肌梗塞接受過氣球擴張術,腹部理學檢查:腹壁右 下方有一道闌尾切除後的疤痕,聽不到腸音,但腹部柔軟、無明顯壓痛及反彈痛,EKG顯示有心房 顫動,血液檢查:Hb 14g/dL、WBC 16,000/uL,血液氣體分析(FiO
2
40%):pH 7.32、PaO
2
116 mmHg、 PaCO
2
27 mmHg、HCO
3
-
16 mmol/L。請問下列何者為最適宜? (A)腹部電腦斷層檢查 (B)腹部核磁共振檢查 (C)腹部血管攝影檢查 (D)直接剖腹探查
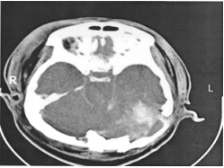
27 此時昏迷指數最可能為幾分? (A) 1 (B) 3 (C) 5 (D) 7
28 之後立即作了頭腦電腦斷層掃描如附圖, 顯示有顱基底骨骨折,依病史及電腦斷層 掃描,貫穿的子彈進入區是在何處?
(A)右鼻骨區 (B)左鼻骨區 (C)左後枕骨區 (D)右後枕骨區
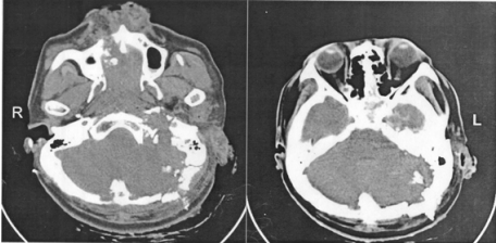
29 警察先生的另一張電腦斷層掃描如附圖, 除了骨折,還有:
(A)左小腦內出血 (B)右小腦內出血 (C)左後腦窩硬腦膜上腔出血 (D)右後腦窩硬腦膜下腔出血
30 頭腦電腦斷層掃描如附圖,顯示何處出血?
(A)右側硬腦膜上腔 (B)左側硬腦膜上腔 (C)右側硬腦膜下腔 (D)左側硬腦膜下腔
31 一位 62 歲的男性患有輕微重症肌無力,經電腦斷層檢查發現有約 2 公分大小的前縱膈腔腫瘤,如果 你要向家屬解釋病情,開刀前預測術後病理報告最可能是什麼? (A)畸形瘤(Teratoma) (B)胸腺瘤(Thymoma) (C)淋巴瘤(Lymphoma) (D)神經原性腫瘤(Neurogenic tumor)
32 (A) 350 (B) 460 (C) 700 (D) 1050
33 承上題,該輸液應為: (A) 5% Glucose water (B) Lactate Ringer (C) 3% Normal saline (D)血漿
34 承上題,如在 3 個小時內,每小時小便量為 80 mL 但呈深紅色,則下列何者正確? (A)增加輸液輸入量 (B)維持輸液輸入量不變 (C)減少輸液輸入量 (D)更換輸液種類
35 則最可能的診斷為: (A) Pyloric stenosis (B) Duodenal atresia (C) Jejunal atresia (D) Gastric vulvulus
36 有關上述診斷的敘述,下列何者不正確? (A)發生於男性較多 (B)此症好發於黃種人,白種人少見 (C)好發於二至八週大的嬰兒 (D)如父母有此症,其子女也有較高機率得同樣的病
37 下列有關病嬰的敘述,何者不正確? (A)嘔吐物不含膽汁 (B)嘔吐常成噴射狀 (C)嬰兒完全沒有食慾 (D)常有脫水現象
38 (A)T3, T4, TSH (B)超音波定位細胞學檢查 (C)核磁共振 (D)血管攝影
39 承上題,上述病人接受手術,最可能的診斷是: (A)乳突癌(papillary thyroid cancer) (B)濾泡癌(follicular carcinoma) (C)髓質癌(medullary cancer) (D) Hürthle cell cancer
40 下列那些荷爾蒙會降低肌肉蛋白質的合成? (A) Glucocorticoids (B) Insulin (C) Growth hormone (D) Thyroid hormone
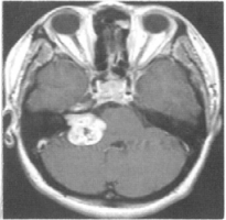
41 顱內腦動脈瘤(cerebral aneurysm),破裂後第幾天,血管痙攣為最嚴重? (A) 1~3 天 (B) 3~10 天 (C) 10~15 天 (D) 15~21 天
42 頸椎間管狹窄造成脊髓壓迫,導致頸脊髓病變(myelopathy),下述症狀何者較少出現? (A)枕部神經痛(occipital neuralgia) (B)痙攣(spasticity) (C)深腱反射增加(increased deep tendon reflexes) (D)病理反射 Babinski’s sign, Hoffmann’s sign:陽性
43 不常用來治療三叉神經痛之手術方法為: (A)顯微血管減壓術(Microvascular decompression, MVD) (B)燒灼術(Gasserian ganglion) (C)伽馬刀(Gamma knife surgery) (D)三叉神經完全切斷手術
44 脊椎腦膜瘤最常發生在那一部位脊椎? (A)頸椎 (B)胸椎 (C)腰椎 (D)薦椎
45 手部手術大部分在局部麻醉下進行,下列麻醉劑何者不能使用? (A) Lidocaine 1% (B) Bupivacaine 0.25% (C) Lidocaine 1%加 Bupivacaine 0.25% (D) Lidocaine 1%加 norepinephrine
46 腕隧道症候群(carpal tunnel syndrome)的 test 中,下列何者最準確? (A) Phalen test (B) Tinel’s sign (C) Tourniquet test (D)兩點分辨力(Two-point discrimination)
47 冠狀動脈繞道手術時,所使用的導管(Conduit)有許多種,長期追蹤後,通暢率最佳的是: (A)內乳動脈 (B)大隱靜脈 (C)橈骨動脈(radial artery) (D)右胃網膜動脈(right gastroepiploic artery)
48 法洛氏四合症完全矯正手術後發生右心衰竭,最不可能的原因為: (A)肺動脈瓣關閉不全 (B)殘留的心室中隔缺損 (C)殘留的右心室出口阻塞 (D)主動脈瓣關閉不全
49 下列有關成人之 Neurogenic tumors 的敘述,何者為非? (A)常見有 neurilemmoma 及 neurofibromas (B) Neurilemmoma 可能伴隨 von Recklinghousen’s disease,此時皮膚上可找到 Café au lait lesion (C)約有 50%病人會有 spinal extension,俗稱 dumbbell tumor (D)治療以手術切除為主
50 Barrett’s esophagus 於何時須進行食道切除? ①凡有 Barrett’s esophagus 皆須切除 ② Low grade dysplasia 者 ③ High grade dysplasia 者 ④ Cancer (A)①②③④ (B)②③④ (C)③④ (D)④
51 肝細胞癌(Hepatocellular carcinoma)在流行病學上與下列何者無關? (A) HBV infection (B) HAV infection (C) Cirrhosis (D) Aflatoxin
52 下列何者最適合用於胃泌素瘤之鑑別診斷? (A)高蛋白餐試驗(High protein meal test) (B)鈣質灌流試驗(Calcium infusion test) (C)基礎胃酸/最高胃酸比值 (D) Secretin 激發試驗
53 何種膽管囊腫最可能需要換肝? (A) TypeⅠ(Cystic dilatation of common bile duct) (B) TypeⅡ(Diverticulum from common bile duct) (C) TypeⅢ(Choledochocele) (D) Type V(Dilatation of intrahepatic duct)
54 凹胸手術最常見的原因是為了改善: (A)心臟功能 (B)肺功能 (C)外觀 (D)脊柱側彎
55 下列有關嚴重的膽石性胰臟炎的早期處理,何者最不恰當? (A)抗生素 (B)止痛 (C)液體及電解質補充 (D)馬上開刀進行胰臟清創(debridement)
56 一位肺臟移植病患在門診的例行性抽血檢查中,發現其血中之巨細胞病毒(cytomegalovirus)抗體指 數劇增,且病患出現呼吸急促之主訴;在疑似巨細胞病毒感染的診斷下,入院接受治療。請問下列 敘述何者有誤? (A)巨細胞病毒除了感染移植肺部外,也易感染病患的 retina,引起 retinitis,影響病患之視力 (B)靜脈注射 ganciclovir 可有效地治療巨細胞病毒感染,通常只需一星期的療程即可痊癒出院 (C)使用 ganciclovir 治療巨細胞病毒感染,最常見之併發症為 leukopenia (D)巨細胞病毒感染常常容易復發,因此病患出院後須定期偵測其血中之巨細胞病毒抗體指數
57 一位45歲的男性,因為搬重物引起急性下背痛,同時合併右下肢疼痛,疼痛的感覺類似於針刺,並且會傳導到小腿的後外側,沒辦法踮腳尖走路,理學檢查發現右側 SLRT(Straight Leg Raising Test)在60度時就會引起劇痛,左側 SLRT 則為正常,右側四頭肌肌力約5分、右側足部背屈約4分、右側足部掌屈約3分,左側下肢肌力則均為5分,右足部外側靠近第五趾與小腿後外側感覺異常,請問病灶最可能的部位在下列何者?(A)第三、四腰椎、椎間盤突出(B)第四、五腰椎、椎間盤突出(C)第五腰椎與第一薦椎、椎間盤突出(D)第一、二薦椎、椎間盤突出
58 一位 32 歲男性上班途中,迎面與另一部小客車撞擊,送到醫院發現右下肢稍微移動就非常疼痛,腳 部呈現外翻的姿勢,理學檢查並沒有發現有神經、血管損傷的跡象,X 光檢查發現右髖關節沒有脫 臼,但是股骨頸有骨折並且移位,請問下列何者為最適當的處置方式? (A)先安排住院給予骨骼牽引,以進一步觀察其他潛藏的併發症 (B)立刻打止痛針,並且在急診將骨折復位,以免發生股骨頭壞死 (C)立即評估麻醉風險,儘速安排手術將骨折固定 (D)骨折已移位,向病人詳細解釋,並且安排接受人工關節置換
59 一位 55 歲女性病患因下背痛在門診接受檢查時,理學檢查無明顯異常,但檢閱先前的血液生化檢查 時,發現她出現高血鈣和鹼性磷酸酵素(Alkaline phosphatase)增高,下列何項病因的可能性最小? (A)多發性骨髓瘤 (B)轉移性骨骼病變 (C)副甲狀腺機能亢進症 (D)骨質疏鬆症
60 一位 36 歲的消防員在救災時從雲梯車上摔下,到急診時 X 光檢查發現第一腰椎爆裂性骨折,身體檢 查發現兩下肢肌力為 0 分,完全麻木,沒有任何痛覺,無深部肌腱反射,請問此時在診斷脊椎神經 休克(spinal shock)上最重要的檢查應該是下列何者? (A)電腦斷層攝影 (B)陰莖球、海綿體肌反射 (C)腰椎穿刺檢查 (D)核磁共振攝影
61 一位 40 歲的水電工,時常拿著電鑽及鐵槌作工,來看診時主訴右手掌面麻木,Thenar 肌肉萎縮,手 腕持續屈曲 60 秒後症狀加重,他那條神經被壓迫? (A)尺神經 (B)正中神經 (C)橈神經 (D)臂神經
62 有關骨折癒合(Fracture healing)的描述,何者錯誤? (A)炎性期(Inflammation),蝕骨細胞(Osteoclasts)及纖維芽細胞(fibroblasts)明顯增生 (B)修補期(Repair),骨折二星期內 Soft Callus 開始形成,爾後為 Hard Callus 取代 (C)修飾期(Remodeling)於修補期的中期就開始,可於臨床骨折癒合後持續多年 (D)骨折癒合與病人營養狀況及骨折處固定穩定與否,有相當大的關係
63 急性膝關節前十字韌帶受傷,最佳的理學檢查方法是: (A)前拉檢查(Anterior drawer test) (B)後拉檢查(Posterior drawer test) (C)拉克曼檢查(Lachman test) (D)內彎加壓檢查(Varus stress test)
64 一位健康好動的 20 歲機車騎士,不幸車禍受傷,引起左側股骨骨折,即住院治療。隔天病人呼吸速 度加快,神智不清,PaO2為 55 mmHg,體溫 38℃,皮膚出現斑點狀出血,他最可能的診斷是: (A)脂肪栓塞症候群(Fat embolism syndrome) (B)腔室症候群(Compartment syndrome) (C)無法認定的頭受傷(Unrecognized head trauma) (D)肺炎
65 廖先生是一位 30 歲的國中老師,因結婚兩年來仍未有小孩而到泌尿科門診,這兩年來他們每週有一 至兩次性行為,且未採取避孕措施,但廖太太從未懷孕過。理學檢查時發現廖先生兩側輸精管及睪 丸大小正常,精液檢查發現精液量為三毫升,但未發現任何精蟲,血中濾泡刺激激素(FSH)正常, 其可能的診斷為: (A)性腺激素不足導致性腺功能不足(Hypogonadotropic hypogonadism) (B) Klinefelter’s 症候群 (C)輸精管阻塞 (D)逆行性射精
複選題
66 懷孕 28 週婦女產前檢查時發現胎兒兩側水腎、羊水減少,其最可能的診斷為: (A)兩側原發性膀胱輸尿管逆流(vesicoureteral reflux) (B)輸尿管腎盂接合處阻塞(ureteropelvic junction obstruction) (C)雙套輸尿管合併輸尿管開口異位 (D)後尿道瓣膜(posterior urethral valve)
67 (A)
(B)
(C)
(D)
68 承上題,這位患者平常是住在家中,僅以成人紙尿布包覆。其尿線(urine stream)細且有斷續的現 象(intermittency)。請問其腎盂及膀胱的狀況,以下何者最有可能? (A)兩側腎盂及輸尿管積水,膀胱肌層變厚,且有明顯的小樑化(trabeculation) (B)腎盂及輸尿管正常,且膀胱亦無異常 (C)腎盂及輸尿管正常,膀胱稍有尿液,但只要稍壓迫小腹,尿液就會流出 (D)只有兩側腎盂積水,輸尿管及膀胱均正常
69 膀胱癌實驗室檢查項目中最常見之異常為: (A)貧血 (B)尿路感染 (C)血尿 (D)氮血症(azotemia)
70 在流行病學調查中,男性勃起功能障礙和下列那種疾病的相關性最小? (A)高血壓和心臟病 (B)糖尿病 (C)下泌尿道症候群(Low urinary tract syndrome) (D)痛風
71 尿路感染,最常見的途徑是: (A)下行性感染 (B)上行性感染 (C)血行性感染 (D)直接接觸感染
72 當一個病人被診斷出有右側的輸尿管結石合併右腎積水,同時又有左側腎結石但無左腎積水;你覺 得下列敘述中何者是最適當的治療步驟? (A)先將左腎結石用體外震波碎石術來治療,等結石廓清後再處理右側輸尿管結石 (B)同時為兩側的結石施行體外震波碎石術治療 (C)先以體外震波碎石術或輸尿管鏡碎石術來治療右側的輸尿管結石,等結石廓清、腎積水消除後再 處理左腎結石 (D)先將右側輸尿管結石推回腎臟,再施予兩側的體外震波碎石術治療
73 47 歲女性,主訴近五個月來,右側耳鳴、聽力減退, 根據所附 MRI 圖(T1WI with Gd-DTPA),則其診斷 是: (A) CP angle tentorial meningioma (B) CP angle aneurysm (C) Acoustic neurinoma (D) Pontine glioma
74 56 歲男性,無外傷病史,主訴三天前,右大腿持續腫脹、 疼痛而急診就醫,CT 和 circumflex femoral arteriography 如 圖示,最適切處置方式為:
(A)經導管動脈栓塞術(Transcatheter arterial embolization) (B)緊急開刀止血 (C)行保守療法輸血 (D)施打止血藥物
75 某日某甲感到上腹疼痛,次日疼痛更為嚴重。體檢 發現病人腹部有壓痛及反彈痛,腹肌僵直。站立胸 腹部 X 光照相如圖所示。則最可能的診斷是:
(A)腸胃穿孔(GI tract perforation) (B)腸堵塞(Intestinal obstruction) (C)腹膜炎(Peritonitis) (D)肝膿瘍(Liver abscess)
76 一位 30 歲女性病患,自 3 樓跌落地面,經 119 救護車送達一家地區醫院急診室。到院時病患很躁動, 血壓 80/50 mmHg,心跳 130/min,呼吸 30/min。由於該院沒有處理嚴重外傷的能力,必須將病患轉 送到外傷中心。請問在轉送前,下列那項處置不適當? (A)應立即確認呼吸道通暢無慮 (B)給予氧氣 (C)給予大量輸液及輸血,必須將病患收縮壓維持在 120 mmHg 以上才能轉送 (D)與接受轉診的醫師直接聯繫
77 在高速道路上突然減速的撞擊,很可能造成胸部傷害,尤其是外傷性主動脈斷裂,此種傷害,在胸 部 X 光上最常見的表現是什麼? (A)主動脈節不見(Obliteration of aortic knob) (B)氣管偏向右邊(Deviation of the trachea to the right) (C)左支氣管下移(Depression of the left main stem bronchus) (D)中膈腔寬大(Widened mediastinum)
78 25 歲機車騎士遭到時速 60 公里汽車撞擊後被送入急診,到院時意識清楚,下列情境對於頸部 X 光 檢查之敘述何者錯誤? (A)無神經理學症狀者,仍可能有頸椎損傷 (B)側面頸椎 X 光片須包括 7 節頸椎及第一節胸椎 (C)外傷病人若側面頸椎 X 光片正常,就可以將頸圈取下 (D)若側面頸椎 X 光片無法看到第 7 頸椎,就要加照 swimmer’s view
複選題
79 某新成立之醫學中心正在制定人體試驗委員會相關規範,對各類研究擬出是否須取得受試者同意書。 下列研究中何者不須取得受試者之同意書?(一律給分) (A)局部塗抹的試驗性新藥研究 (B)僅抽取受試者血液作研究材料的研究 (C)向受試者進行問卷調查其身心狀況的研究 (D)採用既存的人體組織進行不辨認受試者身分之研究
80 世界醫學會(World Medical Association)所制定的赫爾辛基宣言(Declaration of Helsinki)中,對研 究風險的認知,下列何者正確? (A)主要的危險與醫療責任多發生在治療程序中,預防及診斷不太可能發生危險與醫療責任 (B)主要的危險與醫療責任多發生在治療及預防程序中,診斷不太可能發生危險與醫療責任 (C)大多數的預防、診斷及治療程序都涉及一定的危險與醫療責任 (D)以治療為目的的研究風險較高,非以治療為目的的研究風險較低
申論題 (0)
相關試卷
115年 - 115-1 專技高考_醫師(二):醫學(五)(包括外科、骨科、泌尿科等科目及其相關臨床實例與醫學倫理)#137338
115年 · #137338
114年 - 114-2 專技高考_醫師(二):醫學(五)(包括外科、骨科、泌尿科等科目及其相關臨床實例與醫學倫理)#127923
114年 · #127923
114年 - 114-1 專技高考_醫師(二):醫學(五)(包括外科、骨科、泌尿科等科目及其相關臨床實例與醫學倫理)#125088
114年 · #125088
113年 - 113-2 專技高考_醫師(二):醫學(五)(包括外科、骨科、泌尿科等科目及其相關臨床實例與醫學倫理)#120655
113年 · #120655
113年 - 113-1 專技高考_醫師(二):醫學(五)(包括外科、骨科、泌尿科等科目及其相關臨床實例與醫學倫理)#118719
113年 · #118719
112年 - 112-2 專技高考_醫師(二):醫學(五)(包括外科、骨科、泌尿科等科目及其相關臨床實例與醫學倫理)#114977
112年 · #114977
112年 - 112-1 專技高考_醫師(二):醫學(五)(包括外科、骨科、泌尿科等科目及其相關臨床實例與醫學倫理)#113148
112年 · #113148
111年 - 111-2 專技高考_醫師(二):醫學(五)(包括外科、骨科、泌尿科等科目及其相關臨床實例與醫學倫理)#108727
111年 · #108727
111年 - 111-1 專技高考_醫師(二):醫學(五)(包括外科、骨科、泌尿科等科目及其相關臨床實例與醫學倫理)#106181
111年 · #106181
110年 - 110-2 專技高考_醫師(二):醫學(五)(包括外科、骨科、泌尿科等科目及其相關臨床實例與醫學倫理)#99917
110年 · #99917