所屬科目:牙醫學(六)(包括齒顎矯正學、兒童牙科學、牙科公共衛生學等科目及其相關臨床實例與醫學倫理)
9.施予牙齒牙冠上單一力量時(如圖),產生的旋轉中心位於圖上那一個位置?(A) 位置 1 (B) 位置 2 (C) 位置 3 (D) 位置 4
10.以下圖為一典型牙齒移動圖形,每天牙齒移動速率(mm/day)與牙齒受到持續性(125g)力量之天數關係圖。下圖中,牙齒受力 10 至 25 天左右,牙齒移動速率逐漸增加,下列何者不是主要原因?(A) 前緣吸收(Frontal resorption)發生 (B) 下蝕性吸收(Undermining resorption)發生 (C) 牙周膜透明變性(hyalinization)消失 (D) 壓力側牙周膜之寬度變大
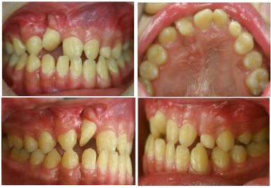
52.如下圖所示,對於有咬下唇習慣之小孩應如何治療?(A) 給予下唇唇擋治療 (B) 給予心理治療 (C) 給予下唇塗抹刺激藥物 (D) 給予牙齒固定式矯正治療