阿摩線上測驗
登入
首頁
>
醫學分子檢驗學與臨床鏡檢學(包括寄生蟲學)
> 98年 - 98-2 專技高考_醫事檢驗師:醫學分子檢驗學與臨床鏡檢學(包括寄生蟲學)#47780
98年 - 98-2 專技高考_醫事檢驗師:醫學分子檢驗學與臨床鏡檢學(包括寄生蟲學)#47780
科目:
醫學分子檢驗學與臨床鏡檢學(包括寄生蟲學) |
年份:
98年 |
選擇題數:
80 |
申論題數:
0
試卷資訊
所屬科目:
醫學分子檢驗學與臨床鏡檢學(包括寄生蟲學)
選擇題 (80)
1 下列何項檢查不需要分析蛋白質? (A)痰液 (B)尿液 (C)關節液 (D)腦脊髓液
2 下列何者是糖尿病患者尿液檢查時,早期腎病變的最佳指標? (A)血尿 (B)微白蛋白尿 (C)脂肪尿 (D)鹼性尿
3 人類精液內的蛋白質水解酵素,主要由何種腺體分泌? (A)精囊 (B)前列腺 (C)附睪 (D)尿道球腺
4 下列有關糞便潛血反應之敘述,何者錯誤? (A) 空腹與否對糞便之潛血反應並無影響 (B)免疫學方法適用於下消化道出血之病人 (C) Clinitest 可用於檢查糞便之潛血反應 (D)糞便中含有鐵劑會干擾潛血反應
5 下列何者不是乳糜液之特徵? (A)顯微鏡下可見嗜酸性白血球 (B)以乙醚萃取會變澄清 (C)三酸甘油酯濃度比血清中高 (D)胸管受損或阻塞為乳糜液之主要成因
6 下列有關腦脊髓液之敘述,何者錯誤? (A)主要在腦室內脈絡叢形成 (B)腦脊髓液之形成與吸收為一動態平衡 (C)由硬膜竇的蜘蛛膜絨毛吸收 (D)在腦與脊髓的細胞間隙形成間質液
7 尿試紙白血球酯酶(leukocyte esterase)檢測之敘述,何者錯誤? (A)能夠定量尿中白血球 (B)適於檢測溶解的白血球 (C)可用於篩檢尿液是否須進行細菌培養 (D)會受到維生素 C 之干擾
8 下列有關蛋白質測定之敘述,何者錯誤? (A) Pandy test 為檢測精液中蛋白質的方法 (B)醋酸法為檢測尿液中蛋白質的方法 (C)磺基水楊酸法可用於檢測腦脊髓液中蛋白質的方法 (D) Rivalta test 可測定滲出液中的蛋白質
9 何種檢查不需使用顯微鏡? (A)尿液常規檢查 (B)糞便常規檢查 (C)尿液生化檢查 (D)關節液常規檢查
10 下列何者的囊體最小? (A) Entamoeba histolytica (B) Entamoeba hartmanni (C) Entamoeba dispar (D) Entamoeba gingivalis
11 下列何者不是痢疾阿米巴赤痢(amebic dysentery)患者的糞便檢查結果? (A)只發現囊體 (B)可以發現營養體 (C)可以發現血液 (D)可以發現黏液
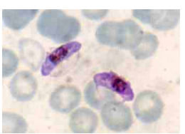
12 血液抹片看到如右圖所示的蟲體,是何種寄生蟲?
(A)三日瘧原蟲(Plasmodium malariae) (B)間日瘧原蟲(Plasmodium vivax) (C)惡性瘧原蟲(Plasmodium falciparum) (D)卵形瘧原蟲(Plasmodium ovale)
13 感染下列何者的紅血球會變大且邊緣經常不平整呈鋸齒狀,並出現 Schüffner 氏顆粒? (A) 惡性瘧原蟲(Plasmodium falciparum) (B)間日瘧原蟲(Plasmodium vivax) (C)三日瘧原蟲(Plasmodium malariae) (D)卵形瘧原蟲(Plasmodium ovale)
14 腦脊髓液中發現大小約 6×3μm,呈新月型的蟲體,可能是下列何者? (A)肺囊蟲(Pneumocystis jiroveci) (B)福氏內格里阿米巴(Naegleria fowleri) (C)隱孢子蟲(Cryptosporidium parvum) (D)弓蟲(Toxoplasma gondii)
15 鏡檢福氏內格里阿米巴(Naegleria fowleri)病患腦脊髓液時,下列的檢查結果中何者錯誤? (A)通常蛋白質量增加 (B)會發現細菌 (C)葡萄糖量降低 (D)常有紅血球
16 Sabin-Feldman 染色試驗是用於下列何種寄生蟲感染的檢查? (A)弓蟲(Toxoplasma gondii) (B)惡性瘧原蟲(Plasmodium falciparum) (C)杜氏利什曼原蟲(Leishmania donovani) (D)雙核阿米巴(Dientamoeba fragilis)
17 下列何者最常用於隱孢子蟲(Cryptosporidium parvum)卵囊(oocyst)的染色? (A)鐵蘇木素染色法(iron-hematoxylin stain) (B)三色染色法(trichrome stain) (C)抗酸性染色法(acid-fast stain) (D)印度墨染色法(India ink stain)
18 右圖中為何種絛蟲的頭節(scolex)?
(A)曼氏疊宮絛蟲(Spirometra mansonoides) (B)牛肉絛蟲(Taenia saginata) (C)豬肉絛蟲(Taenia solium) (D)縮小包膜絛蟲(Hymenolepis diminuta)
19 在檢查眼結膜時,有時候可以直接看到下列何種寄生蟲的成蟲? (A)廣東住血線蟲(Angiostrongylus cantonensis) (B)羅阿絲蟲(Loa loa) (C)馬來絲蟲(Brugia malayi) (D)奧氏絲蟲(Mansonella ozzardi)
20 黑熱病(Kala-azar)病人肝臟的 Kupffer 細胞,發現的利什曼原蟲(Leishmania)均為何種發育形態? (A)無鞭毛體(amastigote) (B)前鞭毛體(promastigote) (C)側鞭毛蟲(epimastigote) (D)錐鞭毛體(trypomastigote)
21 脾臟穿刺的檢體最可能發現下列何種寄生蟲? (A)墨西哥利什曼原蟲(Leishmania mexicana) (B)巴西利什曼原蟲(Leishmania braziliensis) (C)熱帶利什曼原蟲(Leishmania tropica) (D)杜氏利什曼原蟲(Leishmania donovani)
22 感染下列何者時,不論在白天或夜間採集血液,都能檢查到微絲蟲(microfilaria)? (A)羅阿絲蟲(Loa loa) (B)帝汶絲蟲(Brugia timori) (C)奧氏絲蟲(Mansonella ozzardi) (D)班氏絲蟲(Wuchereria bancrofti)
23 下列有關 hCG 採檢之敘述,何者錯誤? (A)若以尿液為檢體,則以早晨第一次尿液較佳 (B)若尿液無法及時檢驗,應存放於 37℃ (C)若以血液為檢體,採血管不需加入抗凝劑 (D)若血清無法及時檢驗,可存放於-20℃冰箱 24 小時
24 下列何種 hCG 檢驗,靈敏度最好? (A) 免疫色析法 (B)雙位免疫酵素膜片法 (C)放射接受器分析法 (D)放射免疫分析法
25 精液檢體的 pH 值大於 8.0 時,為下列何種狀況? (A)前列腺急性感染 (B)射精管道阻塞 (C)精液含有高量之前列腺液體 (D)精囊出血
26 精液檢體採集後,最佳的保存溫度及送檢時間分別為: (A)冰浴,1 小時之內 (B)冰浴,3 小時之內 (C) 37℃,1 小時之內 (D) 20~25℃,3 小時之內
27 下列有關本瓊氏蛋白(Bence-Jones)之敘述,何者正確? (A)其熱溶解性質特別穩定 (B)會出現在腎性蛋白尿中 (C)屬於單株免疫球蛋白重鏈 (D)常出現於多發性骨髓瘤病人之尿液中
28 人類精液內之果糖,主要由何種腺體分泌? (A)精囊 (B)前列腺 (C)附睪 (D)細精管
29 精蟲遺傳物質位於下列那一部位? (A)頭部 (B)頸部 (C)體部 (D)尾部
30 精液分析中以 eosin-nigrosin 染色的目的為何? (A)精蟲形態 (B)染白血球 (C)區別成熟與不成熟精蟲 (D)區別死亡或存活精蟲
31 關節液出現那一種結晶與假痛風有關? (A)尿酸鈉 (B)焦磷酸鈣 (C)雙水草酸鈣 (D)氫氧磷灰石
32 下列有關正常滑膜液的敘述,何者錯誤? (A)總蛋白質濃度約是血漿濃度的 1/3 (B)尿酸濃度與血漿同 (C)玻尿酸濃度與血漿同 (D)滑膜液與血漿中的葡萄糖濃度差異小於 10 mg/dL
33 粉末狀的 EDTA 不能做為滑膜液檢體的抗凝固劑,因其缺點是: (A)抗凝效果不佳 (B)容易使檢體發生凝集 (C)抑制細菌生長 (D)形成人為結晶
34 腹水膽紅素>6 mg/dL 的主要原因為何? (A)肝炎 (B)腎臟炎 (C)肺炎 (D)膽囊破裂
35 腹膜液中何種血球的出現為診斷自發性細菌性腹膜炎的最佳方法? (A)紅血球 (B)嗜中性白血球 (C)嗜酸性白血球 (D)淋巴球
36 下列有關血狀心包液的敘述,何者錯誤? (A)血狀心包液血比容低於週邊血液 (B)pH及PO2值低於動脈 (C)PCO2低於動脈 (D)血狀積水不易凝固
37 假乳糜積水具有下列何種特性? (A)外觀有金屬光澤 (B)膽固醇低於血清中濃度 (C)乙醚萃取變澄清 (D)脂蛋白電泳可見乳糜微粒
38 下列何種疾病會出現真乳糜積水?(A)類風濕性胸膜炎(B)結核病(C)黏液水腫(D)寄生蟲感染阻塞淋巴管
39 下列有關病毒性腦膜炎檢驗的敘述,何者錯誤? (A) WBC 5-300/μL (B)葡萄糖 50-80 mg/dL (C)總蛋白質 30-100 mg/dL (D) auramine-rhodamine 螢光染色呈陽性
40 下列有關腦脊髓液檢驗的敘述,何者錯誤? (A)細菌培養陽性可判定為細菌性腦膜炎 (B)細菌性腦膜炎蛋白質會增加 (C)病毒性腦膜炎造成嗜中性白血球大量增加 (D)黃色外觀可能含有膽紅素
41 關於蜘蛛膜大出血之腦脊髓液,下列敘述,何者錯誤? (A)呈現 Xanthochromia (B)第一支比第三支檢體血液較多 (C) D-dimer 乳膠凝集法呈現陽性 (D)出現噬紅血球現象
42 腦脊髓液經蛋白質電泳後,含量最多的蛋白質位於何處? (A)α球蛋白 (B)β球蛋白 (C)γ球蛋白 (D)白蛋白
43 下列何種因素可能造成腦脊髓液中葡萄糖濃度異常增加? (A)細菌性腦膜炎 (B)梅毒性腦膜炎 (C)蜘蛛網膜下出血 (D)穿刺創傷
44 印度墨染色法可以鑑定何種細菌? (A)白色念珠菌 (B)肺炎球菌 (C)肺結核菌 (D)新型隱球菌
45 某病患的生化檢驗結果:血清白蛋白 4.5 g/dL,腦脊髓液白蛋白 225 mg/dL;則該患者的血-腦屏障 受損程度為何? (A)輕微 (B)中度 (C)重度 (D)正常
46 痰液中的血鐵質可以用何種染劑鑑定之? (A)結晶紫 (B)伊紅 (C) Sudan Ⅲ (D)普魯士藍
47 痰抹片加入何種物質較易見到黴菌? (A) 10%氫氧化鈉 (B) 10%鹽酸 (C) 10%福馬林 (D)酒精
48 下列有關肺泡巨噬細胞的敘述,何者錯誤? (A)保持下呼吸道無菌狀態 (B)可在肺泡表面複製 (C)壽命約 10-20 天 (D)免疫反應中的主要效應細胞
複選題
49 心臟衰竭細胞是指巨噬細胞吞噬下列何者? (A)嗜中性白血球 (B)紅血球 (C)血鐵質 (D)病毒
50 腦脊髓液中,可能發現弓蟲(Toxoplasma gondii)的那一個發育形態? (A)卵囊(oocyst) (B)孢子(sporozoite) (C)速殖子(tachyzoite) (D)孢子囊(sporoblast)
51 急性心臟衰竭(acute heart failure)的病患,其痰液比較可能呈現何顏色? (A)綠色 (B)鮮紅色 (C)白色 (D)黃色
52 痰液中含量最多的是下列何種抗體? (A) IgG (B) IgA (C) IgM (D) IgD
53 下列何種狀況,最容易造成水樣便中嗜中性白血球增多? (A)侵襲性大腸桿菌感染 (B)金黃色葡萄球菌毒素中毒 (C)腸病毒感染 (D)大腸阿米巴感染 代號:3108 頁次:6-5
54 關於糞便檢體之潛血檢查,下列何種試驗之專一性最佳? (A) benzidine test (B) guaiac test (C) HemeQuant test (D) HemeSelect test
55 正常糞便的顏色是來自下列何者之代謝物? (A)蛋白質 (B)醣類 (C)膽紅素 (D)膽固醇
56 服用以下何種藥物,易產生灰白色糞便? (A)鐵劑 (B)鉍鹽 (C)氫氧化鋁 (D)氯化汞
57 下列何者會使糞便呈柏油色? (A)十二指腸潰瘍出血 (B)痔瘡出血 (C)月經污染 (D)肛裂出血
58 糞便潛血分析有化學法及免疫法兩種,而血尿分析僅有化學法,其原因何在? (A)尿液中血液較不新鮮 (B)尿液不受非人類動物血液影響 (C)尿液的 pH=5-6 (D)尿液的量常受飲水多寡而影響
59 正常人激烈運動之下,下列何種圓柱體可能會增加? (A)上皮細胞 (B)顆粒 (C)透明 (D)蠟狀
60 以試紙法進行尿蛋白篩檢時,下列何者錯誤? (A)主要檢測白蛋白 (B)可檢測出腎絲球性蛋白尿 (C)若尿液檢體為高度鹼性,可能會造成偽陽性 (D)尿試紙浸泡於尿液中過久,可能會造成偽陰性
61 下列有關尿液酸鹼度之敘述,何者錯誤? (A)尿液 pH 值反應腎臟維持血漿及細胞外正常氫離子濃度之能力 (B)多吃高蛋白飲食尿液會呈現偏酸的現象 (C)早晨第一次尿液呈偏鹼性 (D)尿液放置室溫過久會呈現偏鹼的現象
62 右圖中為尿沉渣中之何種細胞?
(A) 白血球 (B)紅血球 (C)酵母菌 (D)上皮細胞
63 下列何者是採用早晨第一次尿液檢體的優點? (A)尿糖之保存較佳 (B)有助於泌尿道癌症之診斷 (C)避免懷孕試驗偽陰性反應 (D)較能反映腎臟再吸收能力
64 下列有關檢測尿液比重之敘述,何者錯誤? (A)評估腎絲球過濾能力 (B)評估亨利氏環之功能 (C)評估腎小管再吸收能力 (D)評估 ADH 之分泌是否正常
65 所有尿沉渣中圓柱體構成之基質為何? (A)玻尿酸 (B) Tamm-Horsfall 蛋白 (C)卵磷脂 (D)白蛋白
66 下列有關尿沉渣之敘述,何者錯誤? (A)正常尿沉渣中 RBC 之數量為 0~2/hpf (B)正常尿沉渣中 WBC 之數量為 10~15/hpf (C)尿沉渣中嗜中性白血球之數量若大於 30/hpf,則顯示可能危急性泌尿道感染 (D)福馬林為適當之尿沉渣保存劑
67 以試紙法檢測尿膽素原時,下列何者錯誤? (A)尿液檢體要在室溫下進行檢測 (B)檢測原理為 Ehrlich 氏反應 (C)維生素 C 會造成偽陽性反應 (D)檢體應該儘量於收集後 1 小時內檢測完畢
68 以試紙法檢測尿膽紅素時,須注意下列何事項? (A)檢體一定要先離心 (B)檢體要新鮮並且要避免光線照射 (C)維生素 C 會造成偽陽性反應 (D)亞硝酸鹽會加強反應,易造成偽陽性
69 下列關於保存尿液檢體的保存劑,何者錯誤? (A)濃鹽酸最常用於保存 24 小時尿液,特別適用於尿酸測定 (B)麝香草酚可抑制細菌及黴菌生長 (C)硼酸用於測定激素,但會使尿酸沉澱 (D)碳酸鈉可用於檢測 24 小時尿液中的尿膽素原
70 下列有關尿液比重的敘述,何者錯誤? (A)評估腎小管再吸收的能力 (B)正常比重為 1.003~1.053 (C)試紙法不受高分子量物質影響 (D)尿液比重<1.007 可稱為低滲尿
71 試紙法測尿蛋白質的指示劑為下列何者? (A) bromthymol blue (B) methyl red (C) methyl blue (D) tetrabromphenol blue
72 下列尿沉渣結晶中,何者可見啞鈴狀? (A)三重磷酸鹽結晶 (B)重尿酸銨結晶 (C)尿酸結晶 (D)碳酸鈣結晶
73 下列何者在低張尿液時,會呈現鬼細胞之現象? (A)淋巴球 (B)紅血球 (C)嗜中性白血球 (D)血小板
74 尿沉渣中有不規則多角薄片或平板有缺角之結晶物,可能為下列何者? (A) 膽固醇 (B)膽紅素 (C)胱胺酸 (D)白胺酸
75 下列有關閃爍細胞之敘述,何者正確? (A)低張尿液之嗜中性白血球 (B)高張尿液之嗜中性白血球 (C)低張尿液之巨噬細胞 (D)高張尿液之巨噬細胞
76 下列那一種尿液比重之檢測方法,不會受到葡萄糖或蛋白質之干擾? (A) 尿試紙法 (B)折射計法 (C)尿比重計法 (D)液滴落下法
77 下列何者最適合用以區分滑膜液中尿酸鈉結晶及焦磷酸鈣結晶? (A)倒立顯微鏡 (B)共軛焦顯微鏡 (C)偏光顯微鏡 (D)螢光顯微鏡
78 以顯微鏡觀察時,當右眼影像已對焦,則調整下列何者,可使左眼亦對焦? (A)聚光鏡 (B)細調節輪 (C)兩目鏡間之距離 (D)視力屈光度調整環
79 下列有關使用浸油的敘述,何者錯誤? (A)浸油增加物鏡的孔徑值 (B)光圈調小 (C)聚光鏡維持在最高位置 (D)最好採用藍色濾光鏡
80 若物鏡焦點位於視野中央時,視野邊緣影像模糊,此種影像缺陷是指下列何者? (A) 色差 (B)慧星像差 (C)視野彎曲 (D)影像扭曲
申論題 (0)
相關試卷
115年 - 115-1 專技高考_醫事檢驗師:醫學分子檢驗學與臨床鏡檢學(包括寄生蟲學)#137351
115年 · #137351
114年 - 114-2 專技高考_醫事檢驗師:醫學分子檢驗學與臨床鏡檢學(包括寄生蟲學)#128960
114年 · #128960
114年 - 114-1 專技高考_醫事檢驗師:醫學分子檢驗學與臨床鏡檢學(包括寄生蟲學)#125116
114年 · #125116
113年 - 113-2 專技高考_醫事檢驗師:醫學分子檢驗學與臨床鏡檢學(包括寄生蟲學)#121678
113年 · #121678
113年 - 113-1 專技高考_醫事檢驗師:醫學分子檢驗學與臨床鏡檢學(包括寄生蟲學)#118703
113年 · #118703
112年 - 112-2 專技高考_醫事檢驗師:醫學分子檢驗學與臨床鏡檢學(包括寄生蟲學)#115869
112年 · #115869
112年 - 112-1 專技高考_醫事檢驗師:醫學分子檢驗學與臨床鏡檢學(包括寄生蟲學)#113150
112年 · #113150
111年 - 111-2 專技高考_醫事檢驗師:醫學分子檢驗學與臨床鏡檢學(包括寄生蟲學)#109909
111年 · #109909
111年 - 111-1 專技高考_醫事檢驗師:醫學分子檢驗學與臨床鏡檢學(包括寄生蟲學)#106197
111年 · #106197
110年 - 110-2 專技高考_醫事檢驗師:醫學分子檢驗學與臨床鏡檢學(包括寄生蟲學)#99957
110年 · #99957