阿摩線上測驗
登入
首頁
>
獸醫傳染病學
> 99年 - 99-1 專技高考_獸醫師:獸醫傳染病學(重複)#48362
99年 - 99-1 專技高考_獸醫師:獸醫傳染病學(重複)#48362
科目:
獸醫傳染病學 |
年份:
99年 |
選擇題數:
80 |
申論題數:
0
試卷資訊
所屬科目:
獸醫傳染病學
選擇題 (80)
1. 下列有關炭疽之敘述,何者正確? (A) 屬我國甲類動物傳染病(B) 病原為厭氧菌(C) 急性死亡病例可見口鼻有黑色泡沫狀血液(D) 鳥類常藉由吃發病動物或污染的飼料感染
2. 下列何種動物最不可能成為有棘顎口蟲(Gnathostoma spinigerum)的終末宿主? (A) 狐狸(B) 雪貂(C) 貓(D) 豬
3. 下列何者為鉤頭蟲(Macracanthorhynchus hirudinaceus)的中間宿主? (A) 甲蟲(B) 蟑螂(C) 跳蚤(D) 蚊子
4. 下列有關傳染性胃腸炎的敘述,何者錯誤? (A) 由輪狀病毒感染造成(B) 引發小腸絨毛萎縮(C) 常因脫水造成仔豬死亡(D) 病原只有一血清型
5. 下列有關豬痘病毒的敘述,何者錯誤? (A) 豬隻是唯一的感染宿主(B) 感染部位常見在背部且呈現菱形斑塊(C) 與豬蝨寄生有關(D) 可做為載體來表現其他病毒抗原
【已刪除】6. 依國內動物傳染病防治條例分類,下列何種豬病屬於甲類傳染病? (A) 豬痘(B) 炭疽(C) 假性狂犬病(D) 豬水疱病
7. 豬生殖與呼吸綜合症會引起下列何種病變? (A) 間質性肺炎(B) 化膿性腦炎(C) 肝細胞壞死(D) 間質性腎炎
8. 下列何者是豬隻感染披衣體的主要臨床症狀? (A) 肺炎(B) 流產(C) 多發性漿膜炎(D) 腸炎
9. 豬布氏桿菌症最主要的病原為下列何者? (A) Brucella melitensis(B) Brucella ovis(C) Brucella abortus(D) Brucella suis
10. 下列那一種藥物不適合治療黴漿菌的感染? (A) Penicillin (B) Tiamulin (C) Lincomycin (D) Tylosin
11. 下列何者可有效治療豬油脂病(greasy-pig disease)? (A) 外寄生蟲驅蟲劑 (B) 內寄生蟲驅蟲劑 (C) 抗菌劑 (D) 微量元素加 B 群維生素
12. 下列何者的感染常造成石頭豬? (A) 豬弓蟲 (B) 豬蛔蟲 (C) 豬鞭蟲 (D) 豬肺蟲
13. 下列何者可經口、皮膚但不經初乳感染? (A) 豬糞桿線蟲 (B) 豬腎蟲 (C) 豬肺蟲 (D) 豬鞭蟲
14. 下列何者為美麗食道蟲(Gongylonema pulchrum)之中間宿主? (A) 蛆 (B) 甲蟲 (C) 蚯蚓 (D) 蝸牛
15. 下列有關假性狂犬病病毒之敘述,何者正確? (A) 對狗、貓及兔均會感染並造成死亡 (B) 會在牛群中持續存在,成為感染源 (C) 為 RNA 病毒 (D) 豬受感染後,病毒於 21 天內完全清除
16. 血球凝集腦脊髓炎病毒與下列何者屬於同一病毒科? (A) 傳染性胃腸炎病毒 (B) 日本腦炎病毒 (C) 東方馬腦炎病毒 (D) 假性狂犬病病毒
17. 下列有關第二型豬環狀病毒基因體之敘述,何者正確? (A) 單股 DNA (B) 雙股 DNA (C) 單股 RNA (D) 雙股 RNA
18. 下列有關東方馬腦脊髓炎之敘述,何者錯誤? (A) 是人畜共通傳染病 (B) 可藉由蚊子媒介傳染 (C) 豬不具感受性 (D) 鳥禽類為保毒者
19. 豬隻的腎皮質部出現點狀出血時,可能為下列那些疾病? (A) 假性狂犬病及藍耳病 (B) 假性狂犬病及非洲豬瘟 (C) 豬瘟及豬丹毒 (D) 豬瘟及放線桿菌胸膜肺炎
20. 下列何者為方形絛蟲的主要中間宿主? (A) 跳蚤 (B) 螞蟻 (C) 蚯蚓 (D) 蚱蜢
21. 下列有關寄生蟲及宿主之配對,何者錯誤? (A) Haemoproteus meleagridis—火雞 (B) Haemoproteus columbae —鴿 (C) Haemoproteus nettionis —水禽 (D) Haemoproteus sacharovi —鵪鶉
22. 流行性感冒病毒依下列那一種蛋白質分型? (A) HA (B) NP (C) PB1 (D) PA
23. 下列有關傳染性華氏囊病病毒之敘述,何者正確? (A) 目前已知有二種血清型 (B) 為 DNA 病毒 (C) 可凝集雞紅血球 (D) 可被 56℃,5 個小時處理不活化
24. 剖檢病雞時在咽喉頭或上部呼吸道發現偽膜,且此偽膜不易剝離,最有可能是下列何種 疾病? (A) 慢性呼吸器病 (B) 禽痘 (C) 新城病 (D) 傳染性支氣管炎
25. 雞的氣管內含大量血液,最有可能是下列何種疾病? (A) 傳染性喉頭氣管炎 (B) 傳染性支氣管炎 (C) 傳染性可利查 (D) 新城病
26. 下列何種黴漿菌以鴨為主要宿主? (A) Mycoplasma gallisepticum (B) Mycoplasma anatis (C) Mycoplasma synoviae (D) Mycoplasma iowae
27. 下列何者對黑頭病病原感受性最強? (A) 雞 (B) 火雞 (C) 鴨 (D) 鵝
28. 下列何種疾病可介卵傳播? (A) 雛白痢 (B) 家禽霍亂 (C) 壞死性腸炎 (D) 傳染性可利查
29. 下列何者為雞球蟲之主要感染方式? (A) 經口 (B) 經呼吸道 (C) 經傷口 (D) 經壁蝨媒介
30. 下列何種藥品不准使用於雞隻疾病之預防與治療? (A) Sulfamonomethoxine (B) Florofenical (C) Nicarbazine (D) Furazolidone
31. 傳染性支氣管炎病毒接種雞胚胎會產生下列何種病變? (A) 腦水腫 (B) 肺水腫 (C) 肝腫大或出血 (D) 侏儒化
32. 下列何種病原很少造成感染雞發生肝臟小壞死斑點? (A) Escherichia coli (B) Pasteurella multocida (C) Salmonella pullorum (D) Staphylococcus aureus
33. 流行性感冒病毒依 N(neuraminidase)抗原加以分類,可分為幾種亞型? (A) 3 (B) 5 (C) 7 (D) 9
34. 下列何者僅以雌蟲型態寄生於雞? (A) 雞絛蟲 (B) 盲腸蟲 (C) 雞球蟲 (D) 雞糞桿線蟲
35. 下列何種病原引起家禽白血病? (A) 冠狀病毒 (B) 輪狀病毒 (C) 反轉錄病毒 (D) 小 RNA 病毒
36. 下列何種鞭毛蟲會造成禽類喉頭壞死? (A) Trypanosoma gambiense (B) Trichomonas gallinae (C) Trypanosoma evansi (D) Trypanosoma congolense
37. Dactylaria gallopava 的最適當培養溫度為下列何者? (A) 42℃ (B) 37℃ (C) 25℃ (D) 15℃
38. 家禽里奧病毒感染會引起下列何種疾病? (A) 病毒性關節炎 (B) 產蛋下降症侯群 (C) 腦脊髓炎 (D) 巨脾症
39. 泌乳牛感染下列何種病原,主要造成壞疽性乳房炎? (A) Staphylococcus epidermidis (B) Streptococcus agalactiae (C) Corynebacterium bovis (D) Escherichia coli
40. 下列有關綿羊搔癢症之敘述,何者錯誤? (A) 病因是 prion (B) 是一種急性神經疾病 (C) 有劇癢症狀 (D) 屬於傳染性海綿狀腦病
41. 下列何項是牛流行熱最常見的病徵? (A) 肺氣腫 (B) 肺水腫 (C) 支氣管肺炎 (D) 鼻氣管炎
42. Mycoplasma bovigenitalium 最主要造成牛的下列何種病徵? (A) 乳房炎、精囊炎、小牛關節炎 (B) 肺炎 (C) 結膜炎 (D) 腹膜炎
43. 下列何者會引起狂牛病? (A) 雙股 RNA 病毒 (B) 細菌 (C) 變性蛋白質 (D) DNA 病毒
44. 牛瘟主要的症狀為何? (A) 循環系統障礙 (B) 呼吸系統症狀 (C) 消化道出血及潰瘍 (D) 興奮不安等神經症狀
45. 下列何者為牛副傷寒之病因? (A) 大腸桿菌 (B) 沙門氏菌 (C) 分枝桿菌 (D) 梭狀桿菌
46. 下列那一項不是細菌性血紅素尿之主徵? (A) 高熱 (B) 紅血球急速崩解 (C) 腸管出血 (D) 腦炎
47. 下列有關牛下痢之敘述,何者錯誤? (A) 牛輪狀病毒引起 1 週齡內仔牛下痢 (B) 牛冠狀病毒引起 1 個月以內仔牛下痢 (C) 牛腺病毒引起 2-16 週齡仔牛血痢 (D) 牛小 DNA 病毒引起初生仔牛下痢
48. 下列何種牛疾病是藉由糠蚊媒介引起的,臨床上以流產為主徵? (A) Q 熱 (B) 牛瘟 (C) 披衣體病 (D) 赤羽病
49. 下列何者為牛隻腸毒血症(enterotoxemia)之病原? (A) Clostridium chauvoei (B) Clostridium perfringens (C) Clostridium botulinum (D) Clostridium tetani
50. 下列何種寄生蟲不需要中間宿主即可完成生活史? (A) 赤色肺蟲(Protostrongylus rufescens) (B) 牛肺蟲(Dictyocaulus viviparus) (C) 豬肺蟲(Metastrongylus elongatus) (D) 廣東住血線蟲(Angiostrongylus cantonensis)
51. 鸚鵡病(psittacosis)的病原屬於下列那一類? (A) 披衣體 (B) 黴漿菌 (C) 黴菌 (D) 立克次體
52. 下列那兩種病毒主要會引起貓的呼吸道疾病? (A) 疱疹病毒和杯狀病毒 (B) 疱疹病毒和腺病毒 (C) 杯狀病毒和冠狀病毒 (D) 副黏液病毒和冠狀病毒
53. 弓蟲的有性生活史可發生在下列何種動物? (A) 牛 (B) 豬 (C) 狗 (D) 貓
54. 下列何者為犬焦蟲( Babesia canis)之主要病媒? (A) 蠅類 (B) 蚤類 (C) 壁蝨類 (D) 蚊類
55. 下列有關土拉倫斯病( Tularemia)的敘述,何者錯誤? (A) 為人畜共通傳染病 (B) 肝和脾常見小壞死肉芽腫 (C) 病原為病毒 (D) 可因咬傷或食入傳染
56. 貓免疫不全症病毒的感染常與下列何種細胞減少有密切關係? (A) B 淋巴球 (B) 嗜中性球 (C) CD4+ T 淋巴球 (D) 巨噬細胞
57. 泰熱氏病(Tyzzer's disease)的病因為下列何者? (A) Streptococcus (B) Staphylococcus (C) Clostridium (D) Pasteurella
58. 造成小鼠旋轉病(rolling disease)的病原為下列何者? (A) Mycoplasma pulmonis (B) Mycoplasma arthritidis (C) Mycoplasma neurolyticum (D) Acholeplasma laidlawii
59. 下列何者之病原適合用暗視野顯微鏡檢查? (A) 鼠疫 (B) 李氏菌症 (C) 艾利希體症 (D) 兔梅毒
60. 犬隻曾罹患下列何者,則不宜留做種犬? (A) 犬舍咳 (B) 犬布氏桿菌症 (C) 犬輪狀病毒性腸炎 (D) 犬小DNA 病毒感染
61. 下列那一種動物對破傷風毒素的抵抗性較強? (A) 貓 (B) 馬 (C) 人 (D) 天竺鼠
62. 下列何種傳染病,在台灣已無本土病例發生? (A) 犬瘟熱 (B) 豬水疱病 (C) 狂犬病 (D) 新城病 (E)以上皆非
63. 下列有關有運動性的 Aeromonas 的敘述,何者錯誤? (A) 是淡水水域常在菌 (B) Aeromonas sobria 為其中一種 (C) 其運動方式是靠周鞭毛 (D) 在台灣的夏季常致害
64. 台灣養殖金目鱸魚苗出現不吃、貧血及大量死亡,在各臟器均可見巨大嗜鹼性細胞,可 能為下列何者所引起? (A) Iridovirus (B) Infectious pancreatic necrosis virus (C) Rhabdovirus (D) Baculovirus
65. OIE 所規範 epizootic ulcerative syndrome 是下列何者所引起? (A) Saprolegnia spp. (B) Achla spp. (C) Aphanomyces spp. (D) Ichthyophonus hoferi
66. 下列有關魚類感染 iridovirus 的敘述,何者正確? (A) Lymphocystis 是發生在淋巴系統上皮細胞的腫瘤性疾病 (B) Epizootic haematopoietic necrosis 主要症狀是體內各臟器表面有腫瘤狀凸起 (C) 魚感染 red sea bream iridovirus 時,通常體表沒有特殊病徵,但可見脾臟腫大 (D) 魚類感染 iridovirus 都是急性、死亡率高
67. 魚類立克次體感染症很難使用藥物完全清除病原的原因為下列何者? (A) 腹腔內寄生 (B) 容易產生抗藥性 (C) 神經組織內寄生 (D) 細胞內寄生
68. 下列何者為鮭、鱒魚類傳染性胰壞死病( infectious pancreatic necrosis)之病原? (A) Herpesvirus (B) Birnavirus (C) Rhabdovirus (D) Poxvirus
69. 淡水魚的柱狀病(columnaris disease)是由下列何種病原感染所引起? (A) Flavobacteriumcolumnaris (B) Aeromonas columnaris (C) Flexibacter columnaris (D) Nocardia columnaris
70. 下列何者會感染人? (A) 魚虹彩病毒 (B) 傳染性胰壞死病毒 (C) 神經壞死性病毒 (D) 魚鏈球菌
71. 下列有關白點病(ichthyophthiriosis)之敘述,何者正確? (A) 由鞭毛蟲類所引起 (B) 病原在 25℃左右繁殖最快,故可提高水溫數天使蟲體死亡,預防本病再發生 (C) 病原在魚體體表直接行二分裂生殖,故白點的漫延及傳播非常快速 (D) 本病採四環黴素治療,效果好又便宜
72. 下列有關黃吸蟲(Clinostomum complanatum)之敘述,何者正確? (A) 生活史需要兩種以上的寄主,故稱為雙殖吸蟲類 (B) 魚類為最終宿主 (C) 魚體內寄生的蟲體為孢子生殖,因造成肉眼可見的大量黃疱,故被稱為黃疱病 (D) 以抗生素口服治療,可達到很好的療效
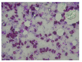
73. 台灣養殖淡水石斑出現貧血,血液抹片下可見蟲體(如圖),此蟲為下列何者?
(A) 錐蟲 (B) 球蟲 (C) 焦蟲 (D) 鞭蟲
74. 下列有關倉鼠增生性迴腸炎(proliferative ileitis)的敘述,何者正確? (A) 溼尾(wet tail)是獨特的臨床症狀,常做為診斷依據 (B) 主要的感染對象為 1 週齡以內的初生倉鼠 (C) 發病率與死亡率均很高 (D) 最常用的診斷方法為細菌培養
75. 下列有關 cilia-associated respiratory Bacillus 之敘述,何者正確? (A) 可感染小鼠、大鼠、兔及牛 (B) 此菌必須與其他呼吸道病原菌(如黴漿菌)共同感染時,才可引起肺部病變 (C) 為革蘭氏陽性菌,主要感染呼吸道 (D) 屬於胞內細菌(intracellular bacterium),無法培養
76. 下列有關 sialodacryoadenitis virus 之敘述,何者正確? (A) 是一種 herpesvirus (B) 在大鼠中傳染性高,造成高發病率及高死亡率 (C) 不會在免疫健全的大鼠引起臨床症狀 (D) 大鼠急性感染後,眼內角常有暗紅色分泌物,下顎與頸部腹側腫脹等臨床症狀
77. 下列何種球蟲最可能在兔膽管中檢出? (A) Eimeria perforans (B) Eimeria magna (C) Eimeria stiedae (D) Eimeria piriformis
78. 下列何者最可能在駱駝食道中檢出? (A) 美麗食道蟲 (B) 嗉囊食道蟲 (C) 東方食道蟲 (D) 血色食道蟲
79. 下列何者為變性蛋白質(prion)在鹿引起的疾病? (A) Kuru disease (B) Chronic wasting disease (C) Creutzfeldt-jakob disease (D) Scrapie
80. 貓絛蟲(Taenia taeniaeformis)的幼蟲寄生在老鼠的何種部位? (A) 小腸 (B) 肝臟 (C) 腎臟 (D) 腦
申論題 (0)
相關試卷
114年 - 114 專技高考_獸醫師:獸醫傳染病學#128953
114年 · #128953
113年 - 113 專技高考_獸醫師:獸醫傳染病學#121640
113年 · #121640
112年 - 112 專技高考_獸醫師:獸醫傳染病學#115891
112年 · #115891
111年 - 111 專技高考_獸醫師:獸醫傳染病學#109864
111年 · #109864
110年 - 110 專技高考_獸醫師:獸醫傳染病學#99942
110年 · #99942
109年 - 109-2 專技高考_獸醫師:獸醫傳染病學#89194
109年 · #89194
109年 - 109-1 專技高考_獸醫師:獸醫傳染病學#82783
109年 · #82783
108年 - 108-2 專技高考_獸醫師:獸醫傳染病學#78190
108年 · #78190
108年 - 108-1 專技高考_獸醫師:獸醫傳染病學#74557
108年 · #74557
107年 - 107-2 專技高考_獸醫師:獸醫傳染病學#70416
107年 · #70416