阿摩線上測驗
登入
首頁
>
牙醫學(六)(包括齒顎矯正學、兒童牙科學、牙科公共衛生學等科目及其相關臨床實例與醫學倫理)
> 99年 - 99-2 專技高考_牙醫師(二)、牙醫師:牙醫學(六)(包括齒顎矯正學、兒童牙科學、牙科公共衛生學等科目及其相關臨床實例與醫學倫理)#41404
99年 - 99-2 專技高考_牙醫師(二)、牙醫師:牙醫學(六)(包括齒顎矯正學、兒童牙科學、牙科公共衛生學等科目及其相關臨床實例與醫學倫理)#41404
科目:
牙醫學(六)(包括齒顎矯正學、兒童牙科學、牙科公共衛生學等科目及其相關臨床實例與醫學倫理) |
年份:
99年 |
選擇題數:
80 |
申論題數:
0
試卷資訊
所屬科目:
牙醫學(六)(包括齒顎矯正學、兒童牙科學、牙科公共衛生學等科目及其相關臨床實例與醫學倫理)
選擇題 (80)
1.隨著生長發育進行,上顎骨前緣主要的變化為何? (A)骨吸收(bone resorption) (B)骨縫生長(suture growth) (C)膜內骨生成(intramembranous bone formation) (D)軟骨內骨生成(endochondral bone formation)
2.以0.2N至0.5N持續力量移動牙齒時,初期(1至3日)牙齒移動大部分屬於下列何種情況? (A)牙周韌帶位移及齒槽骨曲折 (B)下蝕性吸收(undermining resorption) (C)前骨吸收(frontal resorption) (D)透明變性(hyalinization)
3.下列何者為應用哈伯矯正裝置(Herbst appliance)改善安格式二級咬合之最好時機? (A)青少年生長高峰期前 (B)青少年生長高峰期中 (C)青少年生長高峰期後 (D)成人期
4.一個12歲患者,SN-MP為31度,前牙深咬,在休息位置(rest position)時可看到上門齒5 mm, 笑有露出牙齦4 mm,則他最佳的治療計畫為: (A) 將上顎門牙下壓內縮(intrusion) (B)將下顎門牙下壓內縮(intrusion) (C)將上顎門牙做牙齦切除術(gingivectomy) (D)將上顎做上移嵌塞手術(superior impaction)
5.下圖B為牙齒的抵抗中心(center of resistance),從牙冠唇側面施以水平力量Fa,試問此單一力 量所造成的最主要牙齒移動型式為何?
(A)傾斜運動(tipping movement) (B)位移運動(translation movement) (C)內縮運動(intrusive movement) (D)突出運動(extrusive movement)
6.對同一牙齒施力,下列何種移動所需的矯正力量最大? (A)傾斜(tipping) (B)牙根扶正(root uprighting) (C)旋轉(rotation) (D)整體移動(bodily movement)
7.治療安格氏二級異常咬合,若上顎拔除兩側第一小臼齒時,則下列何者較不適用於防止錨定 (anchorage)的喪失? (A)面弓頭套(facebow headgear) (B)J型鈎頭套(J-hook headgear) (C)三級彈性圈牽引(ClassⅢ elastics) (D)跨腭弓線(transpalatal arch)
8.當矯正病患經診斷為二級咬合時,下列治療方式,何者不適當? (A)上顎可使用頭套(headgear)加強錨定 (B)可使用ClassⅡ elastics (C)下顎可使用chin cap牽引下顎生長 (D)上顎可使用骨釘加強錨定
9.下列何種骨骼的生成(osteogenesis)完全為屬於軟骨內骨生成(endochondral bone formation)? (A)顱底之軟骨聯合(synchondrosis) (B)顱穹窿(cranial vault) (C)下顎 (D)上顎
10.以下有關生長研究的敘述,何者錯誤? (A)利用定期活體注射指示性化學藥劑,以標定鈣化組織時,二條標定染色線相距愈長,表示生長 愈快 (B)許多人類顱顏生長發育是由Dr. Bjork使用植體放射線技術(implant radiography)研究,在不 同部位植入金屬釘再連續以放射線追蹤記錄而得知 (C)利用放射線追蹤劑(radioactive tracer)
99m
Tc在偵測快速局部骨質生長之問題較一般生長為合 適 (D)統計得到的平均生長曲線,可以用於特定的病患而不必改變
11.下列有關人類胎兒顏面生長的敘述,何者正確? (A)大部分的胎兒顏面分化是在八週之後 (B)大部分的顏面構造組織是由第一及第二鰓弓(branchial arch)發育來的 (C)眼睛一開始發育就在臉的前方 (D)唇腭裂(cleft lip/palate)是因上顎突(maxillary process)與下顎突(mandibular process) 無法融合(fusion)
12.唇腭裂病患最常發生缺牙或小牙畸形的恆齒部位在何處? (A)上顎正中門齒 (B)上顎側門齒 (C)上顎第一小臼齒 (D)上顎第一大臼齒
13.早期近心側移位(early mesial shift)主要在關閉下顎齒列何處之空間? (A)乳門齒近心側 (B)乳犬齒遠心側 (C)恆門齒近心側 (D)恆犬齒遠心側
14.測顱X光片中,Tweed三角形的構成要素是: (A)SN平面,FH平面,顏面平面 (B)SN平面,下顎下緣平面,下顎中切齒長軸 (C)FH平面,Y軸,下顎中切齒長軸 (D)FH平面,下顎下緣平面,下顎中切齒長軸
15.著名學者Dr. Ricketts提出之美觀線(esthetic line,E line),其所指的位置為何? (A)上唇與下唇最突點連線 (B)鼻子最突點與頦部最突點連線 (C)鼻子最突點與下唇最突點連線 (D)上唇與頦部最突點連線
16.臨床上適合進行循序拔牙(serial extraction)的病例,不包括下列那一項特徵? (A)無骨骼關係異常的問題 (B)門齒呈正常的垂直覆咬 (C)嚴重的齒列擁擠(空間不足大於10 mm) (D)恆牙第二大臼齒已完全萌發
17.允許後牙往前移動到拔牙空隙的四分之一以內,此時矯正治療的錨定(anchorage)要求稱為: (A)Average anchorage (B)Minimum anchorage (C)Moderate anchorage (D)Maximum anchorage
18.下列有關前牙斜面板之敘述何者錯誤? (A)可用來改正牙齒錯咬(dental crossbite) (B)最久可戴半年 (C)治療時會造成後牙開咬 (D)可增加前牙之水平覆蓋
19.下列何者為固定式功能性矯正裝置? (A)activator (B)bionator (C)Fränkel appliance (D)Herbst appliance
20.下顎齒列之犬齒間距(intercanine width)在6歲至12歲男性之變化情形為何? (A)持續減少 (B)持續增加 (C)先增加後逐漸減少 (D)先減少後逐漸增加
21.下列何者不是雙顎暴牙(bimaxillary dentoalveolar protrusion)的特徵之一? (A)嘴唇閉合不全 (B)上下前牙外暴 (C)後牙錯咬 (D)閉嘴時,嘴唇周圍出現張力
22.在齒顎矯正的診斷過程中,有關病人資料庫的建立,其中「診斷紀錄」不包括下列那一項? (A)牙齒模型 (B)放射線片 (C)口內口外相片 (D)血型
23.下列何者對齒齡(dental age)的判斷沒有關鍵的影響? (A)乳齒牙根吸收程度 (B)患者之身高與體重 (C)恆門齒牙齒形成(tooth formation)之狀態 (D)第三大臼齒牙齒形成(tooth formation)之狀態
24.下列何者可和牙齒產生結合鍵、釋出氟離子、氟離子交換,用於黏接環套? (A)zinc phosphate cement (B)glass ionomer cement (C)polycarboxylate cement (D)composite resin
25.有關齒顎矯正的移動範圍(envelope of discrepancy)之敘述,下列何者錯誤? (A)矢狀面(sagittal plane)移動要大於垂直面(vertical plane)或橫向面(transverse plane)的移動 (B)施行齒列矯正時,上顎門牙的向前移動最大量大於下顎門牙向前移動最大量 (C)顎骨矯正的可能性隨著小孩年齡成長而減少 (D)移動範圍以不對稱性三圈分別代表齒列矯正、顎骨矯正及正顎手術之範圍
26.按目前牙科執業的規定,牙醫助理(dental assistant)不得從事以下的行為,那一項除外? (A)用超音波洗牙機為病人清除牙結石 (B)為病人黏矯正器(bracket) (C)為病人的傷口拆線 (D)為病人作潔牙示範
27.今欲以強迫 萌出(forced eruption)方式將牙齒推出(extrusion)以利於牙冠贋復,則推出量應為多少? (A)1 mm (B)2 mm (C)3 mm (D)4 mm
28.承上題,牙齒推出之速度以下列何者較為理想? (A)每天1 mm (B)每週1 mm (C)每月1 mm (D)每月1 cm
29.下列何者不適合接受全身麻醉牙科治療? (A)有主要醫療疾病並且需立即牙科治療者 (B)嚴重障礙以致無法接受口腔評估或治療者 (C)極度合作或不恐懼的孩子 (D)有嚴重牙科問題又居住偏遠者
30.下列何種醣類食物對兒童牙齒齲蝕影響最輕微? (A)木糖醇(xylitol) (B)葡萄糖(glucose) (C)蔗糖(sucrose) (D)果糖(fructose)
31.以刺激唾液流動(stimulated salivary flow)方法測試兒童唾液流量,當其流量低於多少時則為異 常? (A)0.5 ml/分 (B)5.0 ml/分 (C)10.0 ml/分 (D)15.0 ml/分
32.乳臼齒進行不銹鋼乳牙冠修形時,舌側面牙齦邊緣應修成: (A)羽毛形(feathered edge)邊緣 (B)肩台(shoulder type)邊緣 (C)弧形(chamfer type)邊緣 (D)不須修形
33.以下關於造成腭穹窿(palatal vault)向下方發育原因的敘述,何者錯誤? (A)縫合線生長(sutural growth) (B)腭骨沉積(apposition of palate) (C)鼻腔底部的骨吸收(resorption of nasal floor) (D)舌頭的生長(growth of tongue)
34.關於口呼吸的原因,下列何者錯誤? (A)鼻過敏(nasal allergy) (B)腺樣體過大(enlarged adenoids) (C)吸吮手指(thumb sucking) (D)扁桃腺過大(enlarged tonsils)
35.5歲兒童上顎單側第一乳臼齒拔除後,應使用下列何種空間維持器? (A)帶環裝置(band and loop) (B)舌側弓線(lingual arch) (C)遠心鞋形裝置(distal shoe) (D)跨腭弓線(transpalatal arch)
36.在下列何種情況下,絕不考慮實施序列性拔牙(serial extraction)? (A)嚴重擁擠型第一類咬合異常 (B)牙弓周長不足小於2 mm (C)前牙過度擁擠,且乳犬齒過早喪失 (D)側門齒阻生或移位,且中線偏移
37.在接受下顎拔牙後,下列何兒童患者,其下顎骨最易受感染? (A)鐮刀狀細胞貧血(sickle cell anemia) (B)地中海型貧血(thalassanemia) (C)肺結核(tuberculosis) (D)B型肝炎(hepatitis B)
38.下列對牙齒外傷脫落後(avulsion)植回的處置,何者最佳? (A)以生理食鹽水沖洗後,儘速植入 (B)以酒精(75 %)浸泡數分鐘後植入 (C)以軟毛牙刷小心去除牙根上沾連的組織後,再以HBSS(Hank’s Balanced Salt Solution)浸 泡數分鐘後植入 (D)以軟毛牙刷小心去除牙根上沾連的組織後,再以四環黴素溶液浸泡數分鐘後植入
39. 9歲男孩因當天外傷門牙斷裂求診,其X光如圖,當天對右上正中門牙復形而言,下列何者為最 佳處置?
(A)柱心強化及瓷金屬融合冠(porcelain fused to metal crown) (B)金屬牙冠 (C)瓷鑲面(porcelain veneer) (D)酸蝕技術樹脂復形
40.下列那一項牙科治療對於血友病(hemophilia)的兒童患者有較高風險性? (A)冠髓切除術(pulpotomy) (B)刷牙 (C)牙齦上結石刮除(supragingival scaling) (D)簡單拔牙(simple extraction)
41.法洛氏四聯症候群(Tetralogy of Fallot)先天性心臟疾病患者,心臟由右至左分流(right to left shunt),會造成發紺之臨床症狀,下列何者錯誤? (A)左心室肥大 (B)心室中膈缺損 (C)肺動脈狹小 (D)主動脈轉位至心室中膈缺損處
42.在出生時下列何者發育完成量最多? (A)顱高度(cranial height) (B)顱寬度(cranial width) (C)顱長度(cranial length) (D)顏面高度(facial height)
43.有關融合牙(fusion)與牙雙生(gemination of teeth)之敘述,下列何者錯誤? (A)發生率相近 (B)通常發生於乳牙 (C)皆由二個牙苞(tooth bud)形成 (D)皆會導致繼生永久齒延遲萌出(retarded eruption)
44.下列何者不屬於空間維持器(space maintainer)? (A)南西氏裝置(Nance appliance) (B)帶環裝置(band and loop appliance) (C)亨連氏裝置(Humphrey appliance) (D)遠心鞋形裝置(distal shoe appliance)
45.治療重度腦性麻痺兒童之口腔疾病時,若要達到較好的治療效果時,可以採用下列何種方法? (A)藥物鎮靜法 (B)行為處理法 (C)家長協助法 (D)肢體固定法
46.根據Dr. A Gesell(1949)研究,下列何者是4歲小朋友應該有的特徵? (A)非常具有想像力(very active imagination) (B)喜歡聽故事(like stories) (C)表現出一些獨立自主的技能(shows many independent self-help skills) (D)可與同伴一起玩耍(plays cooperatively with peers)
47.李斯德林(Listerine)漱口水,不適合用於兒童的原因為何? (A)含太多酒精 (B)含太多Na
+
(C)含太多Cl
-
(D)含太多Triclosan
48.關於飲水加氟(water fluoridation)與齲齒預防之敘述,下列何者錯誤? (A)對乳牙的齲齒約可降低40-50% (B)為目前最有效的公衛措施 (C)對恆牙的齲齒約可降低50-65% (D)學校飲水加氟是最有經濟效益的預防計畫
49.就籌畫一生的口腔健康而言,下列敘述何者錯誤? (A)應在懷孕不久後就開始 (B)應在口腔疾病開始之前 (C)應在發生第一顆齲齒後儘快開始 (D)應持續連貫懷孕期,嬰兒期,孩童期與青少年時期
50.最後一顆萌出之乳牙約在出生後幾歲的時候? (A)1歲 (B)1歲半 (C)2歲 (D)2歲半
51.根據 Moorrees之研究,從6歲至18歲,下顎犬齒間牙弓寬度(arch width)的改變情形為何? (A)約增加5mm (B)約增加3mm (C)約增加1mm (D)未改變
52.下列有關下顎恆犬齒與上顎恆犬齒萌出年齡的比較,何者正確? (A)下顎與上顎同年萌出 (B)下顎比上顎平均早半年萌出 (C)下顎比上顎平均早1年萌出 (D)下顎比上顎平均早2.5年萌出
53.根據 Nance 觀察,因為餘裕間隙(leeway space)之關係,所以混合齒列發育成永久齒列時, 左下顎第一大臼齒近心面至右下顎第一大臼齒近心面之牙弓周長長度會有什麼樣的變化? (A)增加1.7mm (B)增加3.4mm (C)減少1.7mm (D)減少3.4mm
54.下圖中箭頭所指的部位的牙融合(fusion),是那些牙齒的融合?
(A)42與43 (B)41與42 (C)81與82 (D)82與83
55.血友病病童的牙科治療,下列敘述何者錯誤? (A)避免使用aspirin類的止痛劑 (B)使用薄的隔溼橡皮障(rubber dam) (C)frenectomy前需作factor concentrate replacement及antifibrinolytic therapy (D)因齲齒致牙髓暴露時,拔牙比採用冠髓切除術好
56.一位7歲男童因為上星期六跌倒,星期三因為牙根膿腫疼痛,由家長帶到牙科治療,經檢查後發 現21牙冠斷裂,牙髓暴露約0.1mm,X光檢查牙根無斷裂現象。21要進行下列何種處置較適合? (A)氫氧化鈣覆髓 (B)根尖形成術 (C)根管治療及馬來膠充填 (D)拔牙
57.牙根發育完成之恆牙門齒因外傷脫落再植入後,牙齒應作何處理? (A)作冠髓切除術 (B)作牙髓切除術 (C)作根尖切除術與填補 (D)不需處置,只需觀察
58.9歲7個月自閉症小朋友的右下第二乳臼齒有鄰接面齲齒但未深及牙髓,此時最合適的處置為下列 何者? (A)不銹鋼冠(stainless steel crown) (B)銀粉(amalgam) (C)後牙複合樹脂(long-wearing composite resin) (D)玻璃離子黏合劑(glass ionomer cement)
59.口腔檢查時咬合會出現下列那一種現象? (A)深咬 (B)反咬 (C)前方開咬 (D)後方開咬
60.承上題,治療之最佳裝置為何? (A)給予舌柵欄(tongue crib) (B)給予空間回覆裝置(space regainer) (C)給予Anderson功能性矯正器(functional appliance) (D)給予下顎舌側裝置(lower lingual arch)
61.台灣地區自來水中氟濃度低於0.3 ppm,若以氟錠預防齲齒,3-6歲孩童每天的氟劑量應為多少? (A)0.25 mg (B)0.50 mg (C)0.75 mg (D)1.00 mg
62.嚼食檳榔及抽菸與口腔癌的關係,下列敘述何者錯誤? (A)在台灣的口腔癌患者有多數是檳榔嚼食者 (B)在歐美國家,口腔癌僅見於檳榔嚼食者 (C)單獨嚼檳榔不抽菸者仍有機率得口腔癌 (D)單獨抽菸也可能得口腔癌
63.在流行病學的研究法裏,研究方式為先找一群尚未得病的人,分成有受到暴露及沒有受到暴露二 組,再追蹤看其有無得病之研究方式稱為: (A)世代研究法 (B)病例對照研究法 (C)臨床試驗法 (D)社區試驗法
64.檢查齲齒時若牙齒上出現「去礦化之白斑」,則應登錄為: (A)Sound (B)Decayed (C)Filled (D)癌前病變
65.有關世代研究(cohort study)之敘述,下列何者正確? ①可觀察疾病的發生率 ②以疾病的 有無來選擇研究對象 ③能探討一種疾病與多種暴露因子的關係 ④適合探討稀有暴露因子與疾 病的關係 (A)①④ (B)②④ (C)②③ (D)①③
66.探討目前臺灣地區國小學童的齲齒狀況,下列那一種流行病學研究方法最常用? (A)橫斷式研究(cross-sectional study) (B)病例對照研究(case-control study) (C)世代研究(cohort study) (D)臨床試驗(clinical trial)
67.實驗流行病學之研究方式又可依研究單位分為臨床試驗法與: (A)世代研究法 (B)病例對照研究法 (C)社區試驗法 (D)橫斷研究法
68.資料的測量類型中,等距尺度與等比尺度的差別主要在於: (A)項目間是否有序位關聯 (B)是否可比大小 (C)數字與類別變項 (D)是否有絕對的0
69.國小學童的含氟漱口水為0.2%氟化鈉溶液,其含氟濃度約為多少? (A)225 ppm (B)450 ppm (C)675 ppm (D)900 ppm
70.早期幼兒齲齒(early childhood caries)主要發生於那個時期? (A)嬰幼兒時期 (B)學童時期 (C)婦女哺乳期間 (D)中老年時期
71.「活動是否能有效達成所訂定的目標」指的是計畫評估中的那一項? (A)過程評估(process evaluation) (B)影響評估(impact evaluation) (C)成果評估(outcome evaluation) (D)目標評估(target evaluation)
72.在牙科感染廢棄物之分類,下列何者屬專科性廢棄物? (A)治療用托盤 (B)漱口杯 (C)抽吸管 (D)X光片及顯影劑
73.關於專業機械式牙齒清潔術(professional mechanical tooth cleaning,PMTC)的敘述,下列何 者正確? (A)在牙周疾病的預防成效較佳,至於牙周疾病的治療效果有限 (B)可以清除牙結石或較深的牙齦下牙菌斑,又稱為牙結石刮除術 (C)需搭配含氟牙膏來使用 (D)所採用的Profin慢速彎角手機做鐘擺式之運動
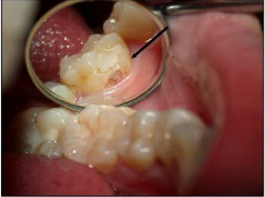
74. 根據美國疾病管制中心(Centers for Disease Control and Prevention, CDC)與美國各州及地區 牙醫行政官員協會(Association of State and Territorial Dental Directors, ASTDD)於2003年聯 合出版的基本篩檢調查方法(Basic Screening Survey),下圖箭頭所指的牙齒有臨時填補物, 應歸類為何項?
(A)未治療齲齒(untreated caries) (B)氟斑齒(dental fluorosis) (C)已填補(filled) (D)齲齒經驗(caries experience)
75.根據世界衛生組織(WHO)1997年出版的口腔健康調查基本方法(Oral health surveys,basic methods)第四版標準,下圖箭頭所指的牙齒,其牙齒狀況應記錄為何?
(A)健康(sound) (B)齲蝕(decayed) (C)已填補(filled) (D)外傷(trauma)
76.世界衛生組織(WHO)擬訂2000年的口腔保健目標中,5歲兒童無齲齒率(caries-free percentage)為多少? (A)10% (B)20% (C)30% (D)50%
77.世界衛生組織(WHO)於1986年所定2000年的口腔保健目標中,12歲的兒童DMFT要少於幾 顆? (A)1顆 (B)2顆 (C)3顆 (D)4顆
78.下列那一項會造成口腔自我清掃機能(自淨作用)的降低? (A)牙髓腔變小 (B)牙周膜變薄 (C)牙釉質變硬 (D)唾液減少
79.對於長期照護臥床的老人,在實施口腔及牙齒照護時,要特別注意下列那一項,才不致發生意 外? (A)防止誤嚥與誤飲 (B)牙刷的選擇 (C)漱口杯的選擇 (D)圍巾的擺設
80.就全人照護的理念而言,應以下列那一項為中心,進而提供全面性照護? (A)以病人為中心 (B)以家屬為中心 (C)以社區為中心 (D)以醫療團隊為中心
申論題 (0)