阿摩線上測驗
登入
首頁
>
獸醫傳染病學
> 99年 - 99-2 專技高考_獸醫師:獸醫傳染病學#24282
99年 - 99-2 專技高考_獸醫師:獸醫傳染病學#24282
科目:
獸醫傳染病學 |
年份:
99年 |
選擇題數:
80 |
申論題數:
0
試卷資訊
所屬科目:
獸醫傳染病學
選擇題 (80)
1.下列有關豬水腫病的敘述,何者錯誤? (A)罹病後因毒素侵害血管內皮細胞而水腫 (B)常發生於離乳後到保育期 (C)罹病後有急性發熱現象 (D)與溶血性大腸桿菌有關
2.下列何者屬於嚴格厭氧菌? (A)炭疽桿菌 (B)肉毒桿菌 (C)鼻疽菌 (D)沙門氏菌
3.下列有關豬小DNA病毒感染的敘述,何者正確? (A)主要造成豬隻水樣下痢 (B)對懷孕母豬會造成繁殖障礙 (C)主要藉由消化道感染 (D)常造成高死亡率
4.下列有關血球凝集腦脊髓炎(hemagglutinating encephalomyelitis)的敘述,何者錯誤? (A)病原主要感染3週齡內的豬 (B)病原只有一個血清型 (C)病原會引起嘔吐衰弱 (D)病原與日本腦炎病毒相似
5.下列何者不屬於我國甲、乙、丙三類動物傳染病? (A)豬生殖與呼吸綜合症 (B)旋毛蟲症 (C)豬赤痢 (D)水疱疹
6.下列何者接種假性狂犬病病毒會產生狂癢? (A)豬 (B)小鼠(C)兔 (D)猴
7.下列何種沙門氏菌,最易引起豬的肺炎? (A)Salmonella derby (B)Salmonella choleraesuis (C)Salmonella paratyphi (D)Salmonella typhimurium
8.下列那一種病之病因可產生芽孢,又稱為羊毛工人症(wool-sorter's disease)? (A)豬瘟 (B)炭疽 (C)結核病 (D)水腫病
複選題
9.下列有關水疱性口炎病毒之敘述,何者正確? (A)屬於DNA病毒 (B)感染對象僅為偶蹄類動物 (C)水疱性口炎為乙類動物傳染病之一 (D)人具感受性,感染所引起的症狀類似流行性感冒
10.爆發傳染性胃腸炎時,在緊急狀況下,以野外強毒接種母豬,應用移行抗體保護仔豬,下列之敘 述何者錯誤? (A)以口服接種 (B)分娩舍內之仔豬避免接觸病毒 (C)接種分娩前兩週之母豬 (D)通常以急性病例之仔豬腸道研磨乳劑做為接種抗原
11.下列何者在自然情況下只發生在豬? (A)假性狂犬病 (B)附紅血球體症 (C)豬流行性感冒 (D)豬丹毒 (E)一律給分
12.下列何者會使患畜產生急性發熱? (A)牛結核病 (B)豬丹毒(C)豬水腫病 (D)牛副結核病
13.生活史會發生世代交替的寄生蟲為下列何者? (A)豬糞桿線蟲 (B)豬腎蟲 (C)豬肺蟲 (D)豬鞭蟲
14.下列有關立百病毒感染症(Nipah virus infection)之敘述,何者錯誤? (A)病原屬於副黏液病毒科 (B)主要藉由昆蟲媒介而感染 (C)為人畜共通傳染病 (D)狐蝠(flying fox)是自然宿主
15.下列何者是豬Glässer's disease的病原? (A)Haemophilus (B)Pasteurella (C)Pseudorabies virus (D)Poxvirus
16.下列何者不是新城病疫苗的弱毒株? (A)B1 (B)La Sota (C)F (D)SB1
17.下列何種疾病在感染家禽之肝細胞與消化道上皮細胞可見到核內包涵體? (A)家禽里奧病毒感染症 (B)新城病 (C)鴨瘟 (D)傳染性華氏囊病
18.下列有關馬立克病之敘述,何者正確? (A)主要在成雞感染發病 (B)病雞腦部可見非化膿性腦炎 (C)組織學病變以大小一致之淋巴球浸潤為特徵 (D)常在華氏囊出現淋巴腫瘤結節
19.建立無雛白痢種雞場的方法,下列何者最為有效? (A)定期進行雛白痢全血凝集試驗摘除陽性雞 (B)由原種雞場或原原種雞場引進無雛白痢種禽 (C)定期由糞便分離鑑定雛白痢菌 (D)定期投予抗菌劑
20.依據血清中和反應,新城病病毒可分為幾種血清型? (A)1 (B)2 (C)3 (D)4
21.下列何者為傳染性喉頭氣管炎的病原? (A)Birnavirus (B)Retrovirus (C)Herpesvirus (D)Adenovirus
複選題
22.肉雞Mycoplasma gallisepticum之感染,最主要以下列何種方式傳播? (A)飼料 (B)器械 (C)野鳥 (D)介卵
23.下列何種病毒感染雞後,可能在上呼吸道及口腔黏膜出現病變,並於感染細胞質內可見包涵體形 成? (A)疱疹病毒 (B)桿狀病毒 (C)虹彩病毒 (D)禽痘病毒
24.下列何者常為高病原性家禽流行性感冒病毒的不顯性感染而成為帶毒者? (A)鴨 (B)鸚鵡 (C)火雞 (D)雞
25.雞的黃癬(favus)是由下列何種黴菌引起? (A)Aspergillus (B)Candida (C)Cryptococcus (D)Trichophyton
複選題
26.下列有關雞住血原蟲白冠病之敘述,何者錯誤? (A)目前無安全有效藥物可供治療 (B)年幼火雞也會感染導致死亡 (C)由糠蚊屬(Culicoides)媒介 (D)感染雞的死亡率低
27.下列何種病原菌,在塗抹金黃葡萄球菌的血液培養基上生長,可產生衛星現象? (A)丹毒菌 (B)家禽霍亂菌 (C)傳染性可利查菌 (D)雛白痢菌
28.Chlamydophila psittaci可用下列何者增殖? (A)固體血液培養基 (B)液體培養基(如brain heart infusion broth等) (C)Hela、Vero等細胞株 (D)MacConkey agar
29.下列那一種傳染病會引起產蛋中雞隻的肝臟及脾臟形成腫瘤,並造成慢性死亡? (A)雞住血原蟲白冠病 (B)馬立克病 (C)家禽白血病 (D)球蟲病
30.下列何者為鵝病毒性腸炎的病原? (A)小DNA病毒 (B)冠狀病毒 (C)小RNA病毒 (D)疱疹病毒
31.下列何種病之傳播需盲腸蟲做媒介? (A)雞傳染性貧血 (B)黑頭病 (C)住血原蟲白冠病 (D)球蟲病
32.黃麴毒素主要引起下列那一種臟器的病變? (A)心 (B)肝 (C)脾 (D)肺
33.Dactylaria gallopava的感染較易發生於舖有下列那一種墊料之雞群? (A)稻殼 (B)稻草 (C)硬木屑 (D)沙石
34.下列何者會造成異常乳,常被稱為冷性乳房炎?(A)鉤端螺旋體症 (B)大腸桿菌症 (C)黴漿菌性乳房炎 (D)黴菌性乳房炎
35.下列有關牛白血病之敘述,何者錯誤? (A)淋巴球和嗜中性球增多 (B)病變可出現於全身各部位 (C)不會感染人 (D)抗體檢測可診斷本病
36.下列那一種培養基最適合分離馬傳染性子宮炎的病原? (A)Sabouraud agar (B)Chocolate agar (C)MacConkey agar (D)PPLO agar
37.下列何者為牛海綿狀腦病常發生之年齡層? (A)哺乳牛 (B)一歲仔牛 (C)二歲牛隻 (D)三歲以上牛隻
38.牛傳染性鼻氣管炎病毒潛伏感染在下列那一部位? (A)淋巴結 (B)肺臟 (C)神經結 (D)肝臟
39.下列有關藍舌病之敘述,何者錯誤? (A)病原屬於里奧病毒科 (B)感染對象主要是牛 (C)舌頭受感染而發紺,故名藍舌病 (D)病原可在血管內皮細胞內複製
40.由李氏菌所引起牛神經系統感染而呈現迴旋運動症狀時,需和下列那一種疾病做鑑別診斷? (A)狂犬病 (B)弓蟲病 (C)胞蟲病(echinococcosis) (D)牛傳染性鼻氣管炎
41.下列何者以頭、頸、軀幹和乳房等處皮膚出現小結節狀或花椰菜狀之疣為特徵? (A)牛乳頭狀瘤病 (B)牛痘 (C)赤羽病 (D)牛丘疹性口炎
42.小反芻獸疫(Peste des petits ruminants)之病因為下列何者? (A)Adenovirus (B)Pestivirus (C)Morbillivirus (D)Orthomyxovirus
43.下列何種病原會造成牛之流產? (A)Trichomonas fetus (B)Trypanosoma evansi (C)Trypanosoma congolense (D)Trypanosoma gambiense
44.下列有關牛呼吸融合病(bovine respiratory syncytial disease)之敘述,何者錯誤? (A)病原屬於疱疹病毒科 (B)好發於剛離乳牛和年輕牛 (C)引發支氣管肺炎甚至死亡 (D)常有溶血性巴氏桿菌(Pasteurella hemolytica)繼發感染
45.下列何者最不可能被奧斯他胃蟲(Ostertagia ostertagi)寄生? (A)馬 (B)豬 (C)羊 (D)牛
46.下列有關犬傳染性肝炎的敘述,何者錯誤? (A)病毒可從口腔和糞便排出 (B)主要發生於一歲以下的幼犬 (C)急性期可見肝臟腫大和腹痛 (D)病原是冠狀病毒
47.下列有關貓傳染性腹膜炎的敘述,何者錯誤? (A)腹部腫大 (B)高死亡率 (C)濕型的病變主要在各種器官 (D)呼吸困難
48.棕色犬壁蝨(Rhipicephalus sanguineus)的生活史在適當環境下須多久可完成? (A)2-3個月 (B)4-5個月 (C)6-7個月 (D)8個月以上
49.下列何者不是病毒性疾病? (A)馬傳染性貧血症 (B)貓傳染性貧血症 (C)貓白血病 (D)牛白血病
50.下列何者不是人畜共通傳染病? (A)兔梅毒(B)野兔病(C)布氏桿菌症(D)類鼻疽
51.下列何者為犬萊姆病之病原? (A)Coxiella burnetii (B)Chlamydophila psittaci (C)Rickettsia rickettsii (D)Borrelia burgdorferi
52.下列何者為犬小DNA病毒(canine parvovirus)感染症最常見的傳染途徑? (A)空氣傳染 (B)輸血傳染 (C)胎盤傳染 (D)口鼻接觸
53.下列有關貓泛白血球減少症病原之敘述,何者正確? (A)不具封套的RNA病毒 (B)基因體組成與犬parvovirus相近 (C)對於溫度敏感,56℃30分鐘即被不活化 (D)在70%酒精,很快就不活化
54.有關狂犬病之敘述,下列何者有誤? (A)病原屬於Rhabdoviridae (B)病原是具有封套的RNA病毒 (C)野生動物不是保毒者 (D)犬貓可由疫苗接種,獲得保護
55.下列何者可媒介傳播犬艾利希體(Ehrlichia canis)? (A)跳蚤 (B)壁蝨 (C)疥癬蟲 (D)蚊子
56.下列有關犬鉤端螺旋體症之敘述,何者錯誤? (A)可感染人,可能造成腦膜炎 (B)可造成犬之尿毒 (C)有活菌苗可供使用,每年補強一次 (D)剖檢可見黃疸、脫水、出血等病徵
57.下列何者為犬舍咳的病因? (A)細菌和原蟲 (B)細菌和病毒 (C)病毒和原蟲 (D)黴菌和病毒
58.下列何者是人畜共通傳染病? (A)犬瘟熱 (B)貓抓病 (C)兔病毒性出血熱 (D)犬傳染性肝炎
59.犬隻感染下列那一種疾病時,會藉由精液傳染? (A)布氏桿菌症 (B)巴氏桿菌症 (C)結核病 (D)炭疽
60.下列有關uronemosis的敘述,何者正確? (A)由阿米巴蟲所引起的疾病 (B)病原會感染皮膚及鰓 (C)在感染的早期可用福馬林長時間浸泡治療 (D)是淡水環境的疾病
61.下列有關saprolegniosis的敘述,何者正確? (A)病原為條件性病原,常在一般淡水水域中 (B)通常發生在夏季高水溫期 (C)造成全身性感染,診斷以病理切片為主 (D)以孔雀綠長時間浸泡治療效果最好,在經濟魚類使用最實惠方便
62.水溫23℃左右,水質良好的錦鯉養殖場,仍發生各年齡層的魚大量死亡(如圖),死亡魚隻體表 無明顯症狀,部份魚隻可見鰓部腫脹或爛鰓,下列何者為最可能的病因?
(A)Spring viremia of carp infection (B)Koi herpesvirus infection (C)Carp pox virus infection (D)Dactylogyrus spp. infection
63.台灣養殖海水魚,在下過大雨後出現魚群死亡率上升,死亡魚隻體表無明顯症狀,少數有體色變 黑變瘦,剖檢可見部分魚隻在各臟器有白色小結節(如圖),細菌分離結果得到兩端濃染、無運 動性的革蘭氏陰性短桿菌,最有可能為下列何者?
(A)Photobacteria damsela (B)Vibrio cholera (C)Streptococcus iniae (D)Aeromonas salmonicida
64. 下圖中箭號所指之寄生蟲為下列何種疾病的病原?
(A)Beko disease (B)Kidney enlargement disease (C)Whirling disease (D)White spot disease
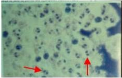
65.在水質不良的池中,病魚的鏡檢可見圖中箭號所指之寄生蟲,下列敘述何者正確?
(A)此類蟲中的Amyloodinium ocellatum寄生以淡水魚的鰓部為主 (B)這類寄生蟲的宿主特異性強,故防治上可改養別種魚,以預防一再發生此病 (C)其仔蟲具有二根鞭毛,可在水中泳動,故稱二鞭毛蟲 (D)此類蟲的仔蟲寄生在魚的鰓部或體表吸取魚體營養,在魚的體表形成黃綠色斑點
複選題
66.Infectious hematopoietic necrosis virus感染魚類的標的器官為下列何者? (A)胰臟 (B)鰓部 (C)神經系統 (D)腎臟
67.下列何者為感染海水魚的Cryptocaryon irritans蟲體之形態特徵? (A)具纖毛及單一胞核 (B)具有念珠狀胞核及纖毛 (C)具有馬蹄型核及纖毛 (D)無纖毛但有樹根狀鞭毛
68.鯰魚病毒性疾病(channel catfish virus disease)的主要病變為下列何者? (A)多種器官出血 (B)多種器官壞死 (C)皮膚潰瘍 (D)皮膚出血
69.下列何者為引起蝦白斑症候群(white spot syndrome)之病原? (A)Iridovirus (B)Birnavirus (C)Herpesvirus (D)Baculovirus
70.下列有關Vibrio spp.感染魚類之敘述,何者正確? (A)可感染淡水及海水養殖魚類 (B)Vibrio vulnificus biogroup 2主要造成日本鰻的肉芽腫病變 (C)Vibrio logei造成鰻魚的acinetobacter disease (D)Red disease由Vibrio ordalii所引起
71.下列何者為enteric red mouth disease(ERMD)的病原? (A)傳染性胰壞死病毒(IPNV) (B)神經壞死病毒(NNV) (C)弧菌(Vibrio anguillarum) (D)耶氏菌(Yersinia ruckeri)
72.下列有關台灣異形吸蟲(Centrocestus formosanus)感染症之敘述,何者正確? (A)病原是海水魚常見的寄生蟲 (B)可經由吃生魚片而直接傳染給人,是台灣常見的人畜共通傳染病 (C)魚群感染會造成急性死亡,死亡率很高 (D)無有效治療藥物
73.Mycobacterium marinum感染的主要症狀為下列何者? (A)各臟器產生肉芽腫 (B)各臟器出血 (C)紅嘴 (D)凸眼
74.海水魚眼部出血、白濁,甚至壞死失明,在眼部可找到蟲體(如圖),此蟲為下列何者?
(A)Capsaloidea (B)Dactylogyrus (C)Gyrodactyloidea (D)Diplozoidea
75.下列有關grass carp reovirus特性之敘述,何者錯誤? (A)引起草魚急性出血症 (B)基因體含有八段核酸 (C)中國是主要的疫區 (D)不活化疫苗有效
76.下列何者為Leucocytozoon simondi的媒介? (A)蚋 (B)糠蚊 (C)三斑家蚊 (D)蒼蠅
77.下列有關Pneumocystis murina之敘述,何者正確? (A)是一種酵母菌 (B)免疫健全小鼠被感染後,通常不會有臨床症狀,但易快速地引起動物舍大流行 (C)受感染的免疫缺陷小鼠,解剖時常有肺部塌陷(collapse)現象 (D)感染免疫缺陷小鼠時,會引起肺炎,但不會導致死亡
78.鸚鵡的Pacheco病是由herpesvirus 所引起,該病與下列何者關係最為密切? (A)性別 (B)年齡 (C)緊迫 (D)營養
79.下列何者可傳播伊波拉病及黃熱病之人畜共通疾病? (A)猴子 (B)鳥類 (C)爬蟲類 (D)駱駝
80.常困擾動物園貓科動物健康之蛔蟲為下列何者? (A)獅子蛔蟲(Toxascaris leonina) (B)豬蛔蟲(Ascaris suum) (C)馬蛔蟲(Parascaris equorum) (D)犬蛔蟲(Toxocara canis)
申論題 (0)
相關試卷
114年 - 114 專技高考_獸醫師:獸醫傳染病學#128953
114年 · #128953
113年 - 113 專技高考_獸醫師:獸醫傳染病學#121640
113年 · #121640
112年 - 112 專技高考_獸醫師:獸醫傳染病學#115891
112年 · #115891
111年 - 111 專技高考_獸醫師:獸醫傳染病學#109864
111年 · #109864
110年 - 110 專技高考_獸醫師:獸醫傳染病學#99942
110年 · #99942
109年 - 109-2 專技高考_獸醫師:獸醫傳染病學#89194
109年 · #89194
109年 - 109-1 專技高考_獸醫師:獸醫傳染病學#82783
109年 · #82783
108年 - 108-2 專技高考_獸醫師:獸醫傳染病學#78190
108年 · #78190
108年 - 108-1 專技高考_獸醫師:獸醫傳染病學#74557
108年 · #74557
107年 - 107-2 專技高考_獸醫師:獸醫傳染病學#70416
107年 · #70416