阿摩線上測驗 登入

試題詳解

試卷:114年 - 114-2 專技高考_物理治療師:神經疾病物理治療學#128935 | 科目:專技◆神經疾病物理治療學

試卷資訊

試卷名稱:114年 - 114-2 專技高考_物理治療師:神經疾病物理治療學#128935

年份:114年

科目:專技◆神經疾病物理治療學

【已刪除】

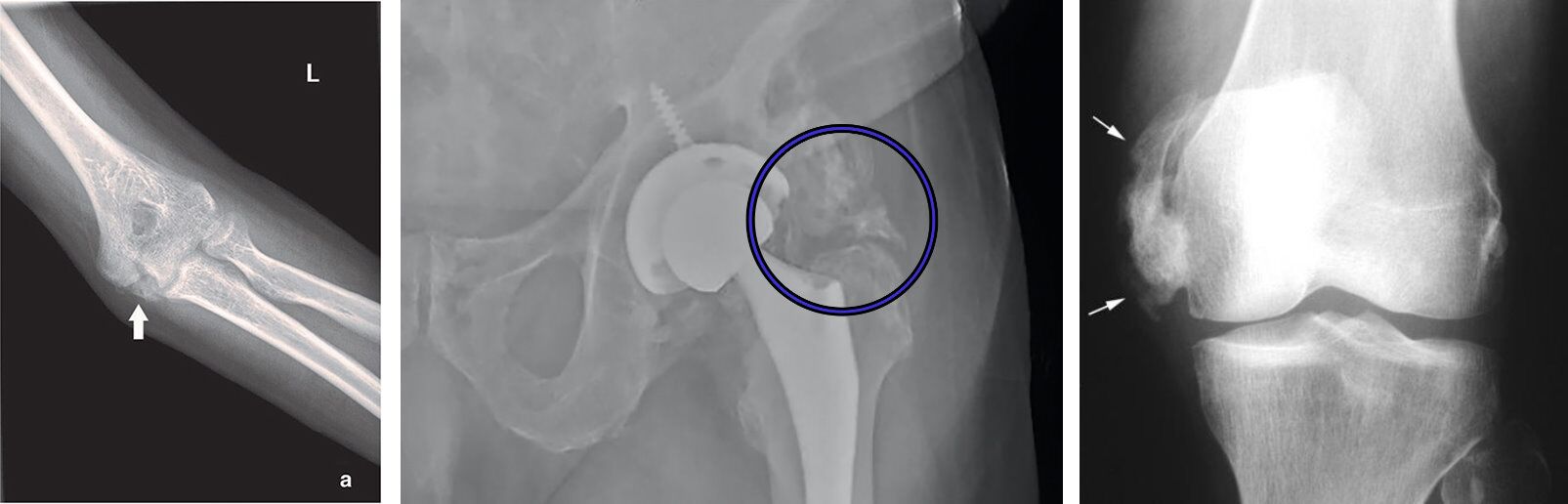
43.一位50歲的T8脊髓損傷患者在3年前受傷之後定期接受物理治療,最近患者開始抱怨膝部附近疼痛,治療師在觸診後發現膝關節附近有紅腫的現象,患者照了一張X光後結果如下圖。患者可能發生了什麼問題?

(A)關節攣縮
(B)骨化性關節炎
(C)異位骨化症
(D)痛風
(E)一律給分

正確答案:登入後查看

詳解 (共 1 筆)

推薦的詳解#6702885
未解鎖
1. 題目解析 本題中的患者為50歲的...
(共 1030 字,隱藏中)
前往觀看
9
0

私人筆記 (共 1 筆)

私人筆記#7599983
未解鎖
這是一道非常經典的「送分題」,也是國考...
(共 3016 字,隱藏中)
前往觀看
1
0