15.肩盂肱關節(glenohumeral joint)前後方向 X 光攝影,發現盂窩(glenoid fossa)有「空」(empty)的現象。下列何者是最有可能的問題?
(A)盂肱關節前向脫位(anterior dislocation)
(B)盂肱關節後向脫位(posterior dislocation)
(C)肩黏連性關節囊炎(adhesive capsulitis)
(D)盂肱關節退化
答案:登入後查看
統計: A(11), B(25), C(10), D(3), E(0) #3816650
統計: A(11), B(25), C(10), D(3), E(0) #3816650
詳解 (共 2 筆)
#7290149

magee 第七版 P393
ㅤㅤ
後向脫位(posterior dislocation) 時:
-
肱骨頭會「卡在盂窩後方」
-
在 AP view:
-
- 肱骨頭與盂窩突然沒有「重疊」
-
看起來像是 盂窩那邊是空的(empty)
-
稱這種現象為:empty glenoid
4
0
#7290510
備考三週,114-1平均72.9→打氣or好友→免費提供全科筆記
ㅤㅤ
影像題,直接看圖
ㅤㅤ
15.肩盂肱關節(glenohumeral joint)前後方向 X 光攝影,發現盂窩(glenoid fossa)有「空」(empty)的現象。下列何者是最有可能的問題?
ㅤㅤ
先看正常的

↑正常的shoulder X-ray AP view(前後方向 X 光),glenoid與肱骨頭會有一定的重疊,無empty
ㅤㅤ
ㅤㅤ
錯誤(A) 盂肱關節前向脫位(anterior dislocation)
glenoid與肱骨頭,仍有重疊,無empty

ㅤㅤ
ㅤㅤ
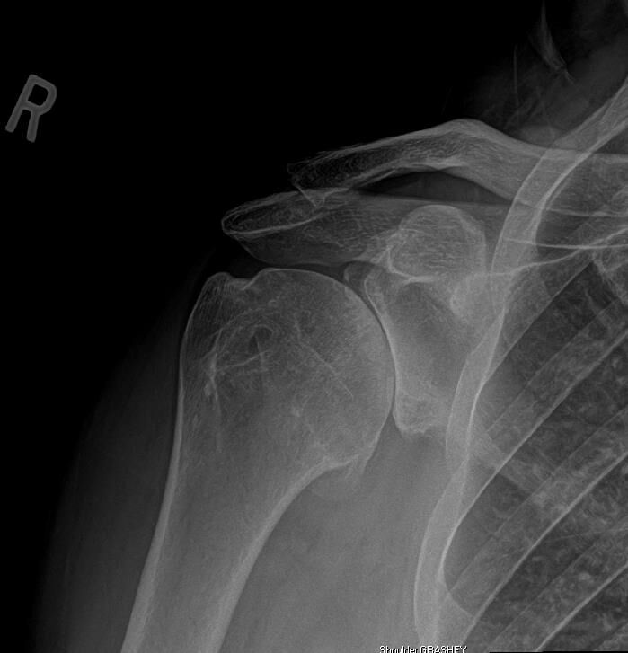
正確(B) 盂肱關節後向脫位(posterior dislocation)
沒有重疊了,empty

ㅤㅤ
錯誤(C) 肩黏連性關節囊炎(adhesive capsulitis)
有重疊,無empty

ㅤㅤ
錯誤(D) 盂肱關節退化
有重疊,無empty

ㅤㅤ
覺得答案有幫助,還請幫忙點個免費的讚,您的掌聲是我解題的動力
ㅤㅤ
圖片來源:https://www.radiologymasterclass.co.uk/gallery/trauma/x-ray_arm_1/、https://www.shutterstock.com/zh/image-photo/film-radiography-xray-frozen-shoulder-adhesive-1382178233?dd_referrer=https%3A%2F%2Fwww.google.com%2F、https://universityorthopedics.com/what_hurts/shoulder_arthritis.html、https://www.orthobullets.com/shoulder-and-elbow/3058/glenohumeral-arthritis-shoulder-arthritis
2
0