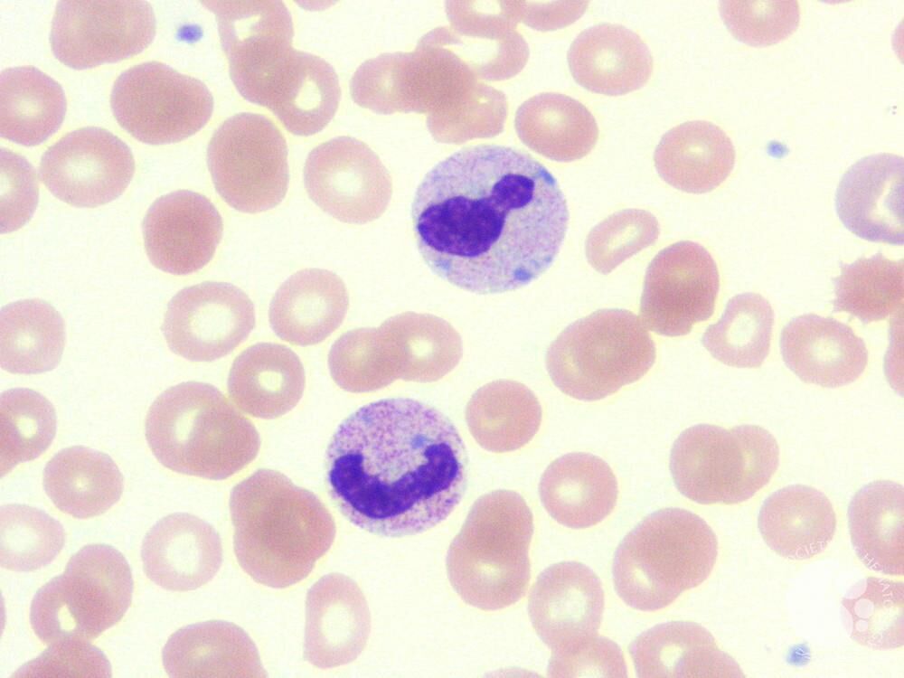
23.下圖中箭頭所指最可能是何種形態的白血球?
(A)過度分葉的嗜中性球
(B)脫顆粒的嗜酸性球
(C)單核球
(D)毒性反應的嗜中性球
答案:登入後查看
統計: A(428), B(97), C(110), D(1681), E(0) #2406343
統計: A(428), B(97), C(110), D(1681), E(0) #2406343
詳解 (共 2 筆)
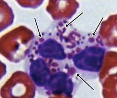
#6506429
圖片好小...
白血球 toxic change
Dohle bodies (羅列小體)
大小不一,藍色有角狀的質內包含體
較常見於貓,其他動物有輕度毒血症時也可見




馬嗜中性球:(重度毒血症)
核鋸齒狀缺口+明顯分葉+葉間明顯絲狀聯繫
退行性嗜中性球會有紫色中毒顆粒 (箭頭所指)

補充:嗜中性球中毒反應之半定量紀錄法
1. 中毒反應性細胞出現之頻率:
少數:5~10% 嗜中性球有變化
中度:11-30% 嗜中性球有變化
多數:>30% 嗜中性球有變化
2.中毒反應之嚴重程度
1+ 指僅有輕度之細胞質呈嗜鹼性青藍色
2+ 除上述,尚有輕度泡沫化及/或可看到羅列小體
3+ 顯著的細胞藍染及泡沫化,並帶有中毒性顆粒及/或可看到羅列小體
4+核模不清晰及/或核開始融解及/或出現大型嗜中性球
3.貓、馬的嗜中性球在中毒反應上一般無明顯變化,僅有羅列小體出現,故用以下方式記錄:
1+ <10% 嗜中性球含有羅列小體
2+ 10%~30%嗜中性球含有羅列小體
3+ >30% 嗜中性球含有羅列小體
8
0