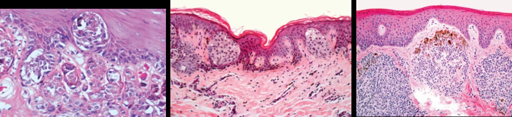
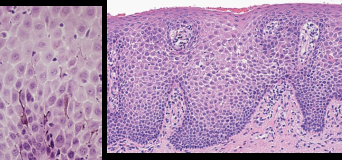
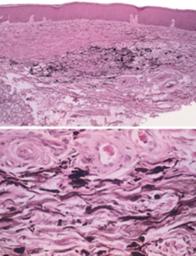
24.45歲男性因下唇黑色斑塊求診,臨床所見如附圖一,切片檢查如附圖二,其正確診斷為下列何者?
(A)黑斑(melanotic macule)
(B)接合痣(junctional nevus)
(C)藍痣(blue nevus)
(D)黑色素瘤(melanoma)
答案:登入後查看
統計: A(1145), B(301), C(201), D(229), E(0) #2625379
統計: A(1145), B(301), C(201), D(229), E(0) #2625379
詳解 (共 5 筆)
#5335110
nevus: 排列混亂,分三種

melanotic macule: increased melanin pigmentation distributed along basal epithelial layer. 排列整齊

oral melanoacanthoma: acanthosis 、 Spongiosis (intercellular spaces between the keratinocytes)
numerous dendritic melanocytes extending between the spinous epithelial cells.

Blue nevus: spindle-shaped melanocytes located relatively deep within the lamina
propria and parallel to the surface epithelium.

41
0
#6017529
不能選B 因為他好發的位置是palate和gingiva
7
0
#5874448
Oral melanotic macule
- 與陽光曝曬無關
- 與
1) Peutz-Jeghers syndrome
2) McCune-Albright syndrome
3) Addison disease
4) Neurofibromatosis Type I
相關
0
1