27.下列有關肝腦病之敘述,何者錯誤?
(A)肇因於代謝性氨血症
(B)病變主要分布於大腦、小腦及腦幹
(C)受損部位之星狀細胞常發生腫大
(D)大腦髓質部出現變性之寡樹突細胞,被稱為Alzheimer's type III glial cells
答案:登入後查看
統計: A(58), B(742), C(325), D(1753), E(0) #1839055
統計: A(58), B(742), C(325), D(1753), E(0) #1839055
詳解 (共 2 筆)
#3752847
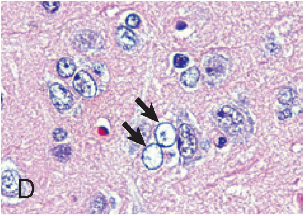
(D) 應為 Alzheimer type II astrocyte

D, Gray matter. Astrocytes respond to injury in hyperammonemia, such as occurs with hepatic encephalopathy, by forming astrocytes with enlarged, markedly vesicular (“watery”), often elongated nuclei called Alzheimer's type II astrocytes (arrows). This type of astrocyte may occur in pairs that are surrounded by a clear space indicative of cellular swelling. H&E stain.
病理第六版p812
14
0
#5683243
肝腦病機制很常考 要看熟
0
1