阿摩線上測驗 登入

試題詳解

試卷:107年 - 107-1 專技高考_獸醫師:獸醫實驗診斷學#67591 | 科目:獸醫實驗診斷學

試卷資訊

試卷名稱:107年 - 107-1 專技高考_獸醫師:獸醫實驗診斷學#67591

年份:107年

科目:獸醫實驗診斷學

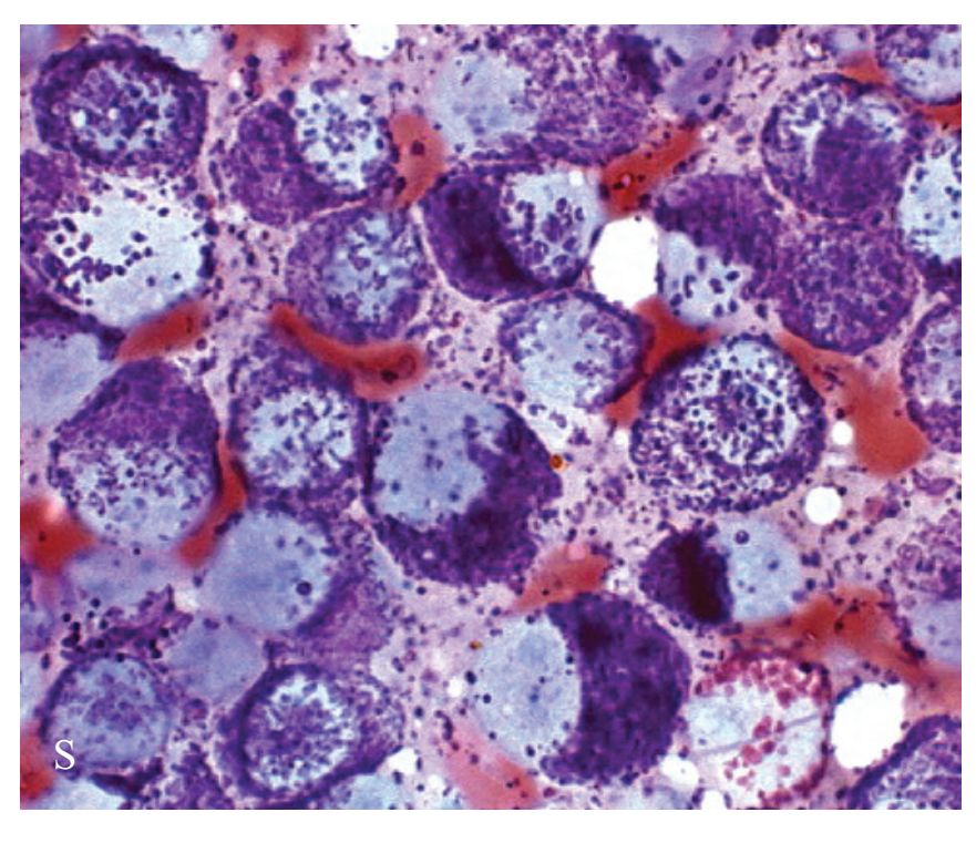
28.犬之皮膚腫塊,細胞學採樣鏡檢觀察結果如下圖,該犬最可能罹患下列何種腫瘤?
(A)黑色素瘤(melanoma)
(B)肥胖細胞瘤(mast cell tumor)
(C)漿細胞瘤(plasmacytoma)
(D)組織細胞瘤(histiocytoma)phpT0JrmO

正確答案:登入後查看

詳解 (共 4 筆)

推薦的詳解#2905490
未解鎖
漿細胞瘤(plasmacytoma) ...
(共 485 字,隱藏中)
前往觀看
72
2
推薦的詳解#2867208
未解鎖
mast cell tumor的話,會期...
(共 33 字,隱藏中)
前往觀看
25
0
推薦的詳解#2847927
未解鎖
http://www.patholo...

(共 66 字,隱藏中)
前往觀看
14
6
推薦的詳解#4138964
未解鎖
https://yamol.tw/ite...
(共 95 字,隱藏中)
前往觀看
6
4

私人筆記 (共 2 筆)

私人筆記#3069061
未解鎖







(共 0 字,隱藏中)
前往觀看
17
0
私人筆記#5930748
未解鎖
這題就ducan那本的圖12.1一摸一樣...

(共 72 字,隱藏中)
前往觀看
10
0