3.有關氣性壞疽(gas gangrene),何者正確?①病灶呈暗紅至黑色,且有氣體產生 ②病灶區肌肉有凝固壞
死、漿液出血性滲出液及氣泡形成 ③與梭狀桿菌(Clostridium spp.)感染有關 ④主要是經胃腸道入侵
(A)①②③
(B)①②④
(C)①③④
(D)②③④
答案:登入後查看
統計: A(1234), B(23), C(304), D(61), E(0) #3131200
統計: A(1234), B(23), C(304), D(61), E(0) #3131200
詳解 (共 6 筆)
#6520046
救命ㄛ快考試了翻完書才發現怎麼好像更混亂了!!!
Pathologic basis of vet disease第六版把Malignant edema跟Gas gangrene視為同一個東西,後來去翻病理聖經JKP裡面寫的是(不負責任翻譯):
Clostridial myositis會有特徵性的症候群出現->Malignant edema, gas gangrene, blackleg, pseudo-blackleg,而裡面只有blackleg是單純C. chauvoei引起的,其他的症候群都有可能是多種梭菌共同造成的

Malignant edema通常由C. septicum引起,但是Gas gangrene通常是因爲C. perfringens...(XDDD)但考試還是先照著原本的背吧~考試最大~~但有問題可以拿來申覆哈哈哈
Malignant edema跟Gas gangrene都會造成肌肉出血、水腫、壞死,當有產氣時,使用Gas gangrene這個詞描述會比較妥當(所以是跟哪個Clostridium引起的比較無關??)
ㅤㅤ
之前還一直被中文翻譯搞混,稍微釐清之後應該是:(撇除JKP說的gas gangrene通常是C. perfringens引起)
Gas gangrene=氣性壞疽=C. septicum=Malignant edema->Wound or injection site infection
ㅤㅤ
Blackleg=Black quarter=Emphysematous gangrene=氣腫疽=C. chauvoei->Ingestion of spores
ㅤㅤ
補充Pseudo-blackleg!由C. septicum的感染,主要發生在牛(豬也有case),病變會跟blackleg很像但是稍微不ㄧ樣:比起blackleg的病變會較多發,且出現在相隔很遠的肌肉,偶爾可以看到很小的氣泡,病變較輕微切深層,可能需要多處檢查才能發現~
ㅤㅤ
考前花了一個小時在翻原文書搞懂該死ㄉClostridium,拜託大家給我一個讚吧QQQ,祝大家考試順利!!!
ㅤㅤ
ㅤㅤ
Reference: Jubb, Kennedy, and Palmer’s Pathology of Domestic Animals,第六版,第一冊,P231-233
ㅤㅤ
25
0
#6348334
原文書P.933
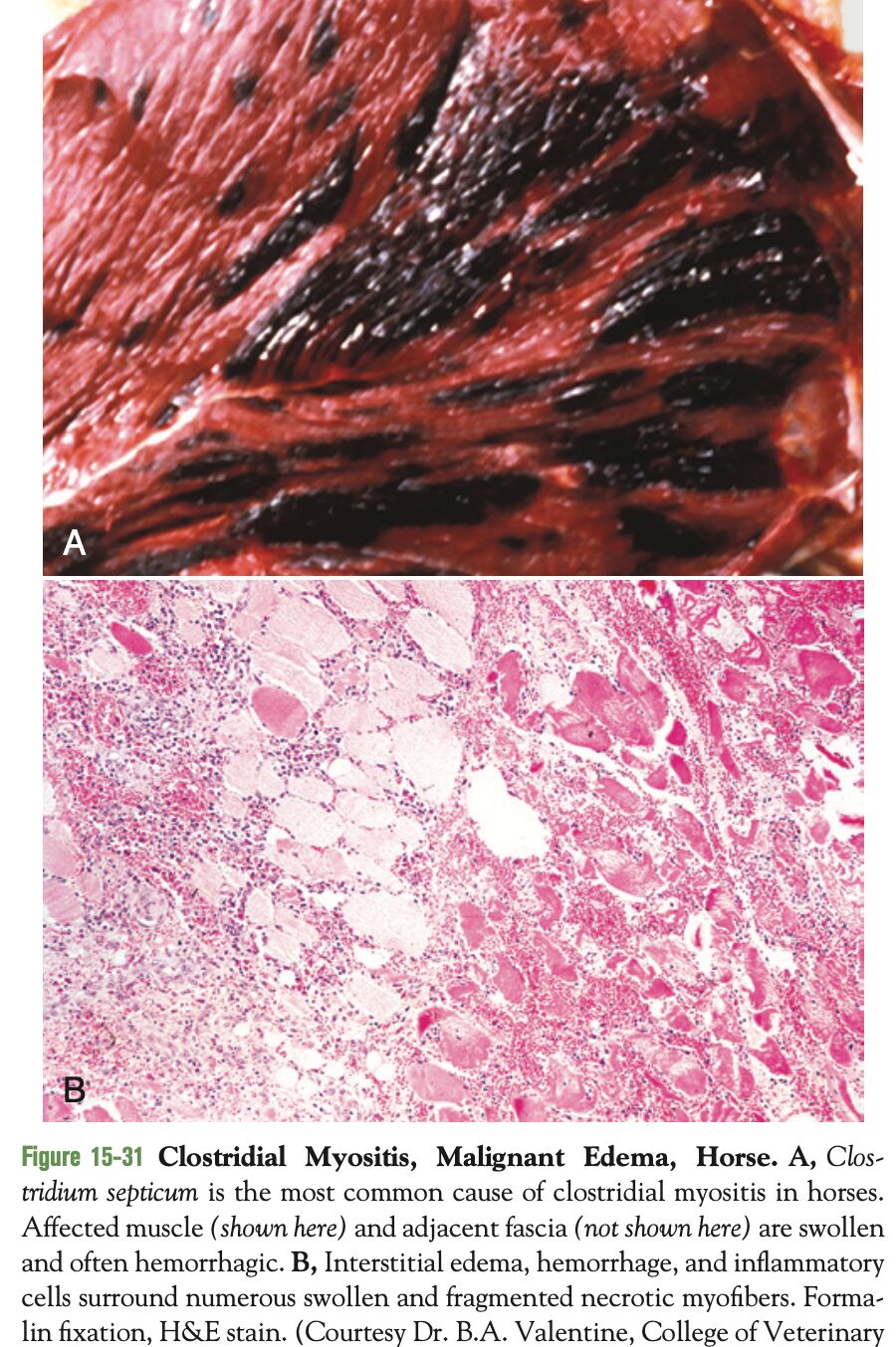
梭狀芽孢桿菌性肌炎(Clostridial Myositis)
=惡性水腫 Malignant Edema, 氣性壞疽 Gas Gangrene
由產毒性梭狀芽孢桿菌(Clostridium spp.)感染引起,為大型Gram+ anaerobic bacilli。
Clostridium septicum(最常見)。
Clostridium perfringens(A到E型)。
Clostridium chauvoei、Clostridium novyi、Clostridium fallax。
梭狀芽孢桿菌為土壤及腸胃道中的常見菌,具有產孢能力。
致病機制與牛不同,馬隻的梭狀芽孢桿菌性肌炎幾乎總是穿透性傷口引起。
常見感染途徑:注射部位、穿刺傷口、靜脈注射藥物外滲、腸胃道損傷,可能導致細菌進入血液,並定植於受損肌肉。
在厭氧環境下,梭狀芽孢桿菌繁殖並產生毒素,造成血管損傷(出血與水腫)、鄰近肌纖維壞死(muscle necrosis)
臨床表現:
急性發病特徵包括局部肌群及相鄰筋膜的發熱、腫脹、疼痛、抑鬱、脫水、食慾不振
嚴重肌肉壞死時,可見CK與AST濃度輕至中度升高。常在48小時內因毒血症或敗血症致死。
病理特徵:
受影響的肌肉與筋膜腫脹,常伴有出血、組織水腫、化膿性炎症與壞死、氣體形成。無血管炎(vasculitis)。
受影響組織中可見典型的革蘭氏陽性桿菌。
診斷:厭氧培養或螢光抗體測試(fluorescent antibody test)。
治療:
手術切開感染肌肉以排膿並促進氧氣進入。
抗生素治療、支持性療法。

7
0