32.
下列有關犬pemphigus vulgaris的描述,何者正確?①化膿性肉芽腫性皮膚炎 ②皮膚裂隙出現於基底層
(suprabasilar)上 ③基底層細胞裸露成墓碑狀(tombstones) ④自體免疫性疾病
(A)①②③
(B)①②④
(C)①③④
(D)②③④
答案:登入後查看
統計: A(139), B(159), C(235), D(2701), E(0) #1839060
統計: A(139), B(159), C(235), D(2701), E(0) #1839060
詳解 (共 3 筆)
#5525552
之前做了這個比較供參考~
|
位置 |
圖 | |
|
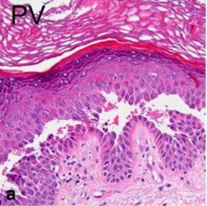
尋常型Pemphigus vulgaris(PV) |
Suprabasal desmoglein 3 |
![]() |
|
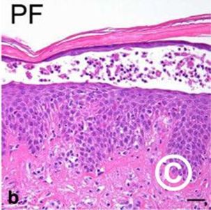
落葉型Pemphigus foliaceus(PF) |
Superficial desmocollin-1(狗) |
![]() |
|
類天皰瘡Bullous pemphigoid(BP) |
Subepidermal |
patholwalker圖片連結 這是別人的twitter 不敢直接貼過來 |
參考資料
- pathologic basis of veterinary disease 6th edition p1092-1093
- https://www.pcds.org.uk/clinical-guidance/pemphigus-foliaceus#gallery-7
- https://twitter.com/patholwalker/status/1321289128139460609?lang=zh-Hant
27
0

