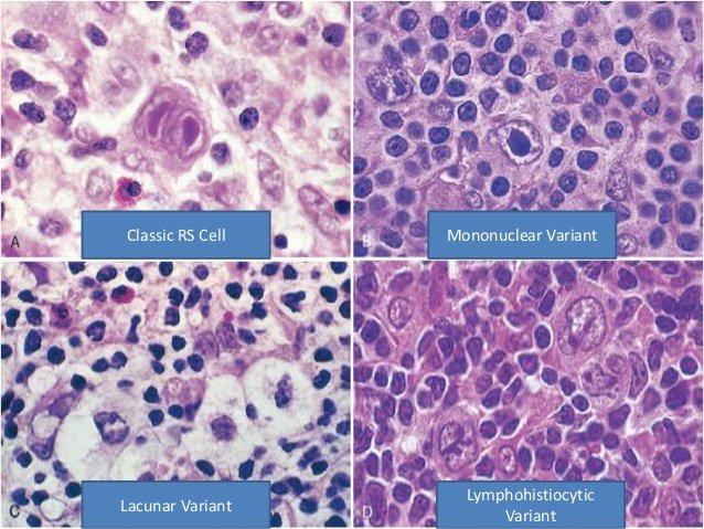
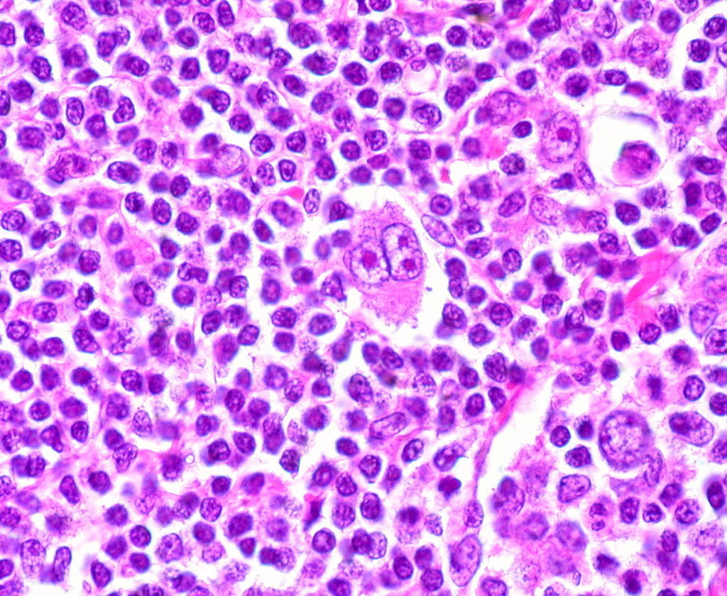
36.下列何種疾病的病理組織最常看到Reed-Sternberg cells?
(A)Hodgkin lymphoma
(B)anaplastic large cell lymphoma
(C)diffuse large B cell lymphoma
(D)mycosis fungoides
答案:登入後查看
統計: A(1632), B(49), C(44), D(28), E(0) #670469
統計: A(1632), B(49), C(44), D(28), E(0) #670469

