49.有關ethylene glycol造成腎臟病變,何者錯誤?
(A)急性腎小管壞死主要是與其代謝產物有關
(B)代謝產物包含glycolaldehyde、glycolic acid、glyoxylate及oxalate
(C)大量草酸鈣結晶沉積於腎小管腔可造成上皮細胞機械性傷害
(D)病變中的草酸鈣結晶為剛果紅染色陽性,並在偏光鏡下呈現滑輪狀
答案:登入後查看
統計: A(99), B(188), C(125), D(1690), E(0) #2743739
統計: A(99), B(188), C(125), D(1690), E(0) #2743739
詳解 (共 8 筆)
#5554674
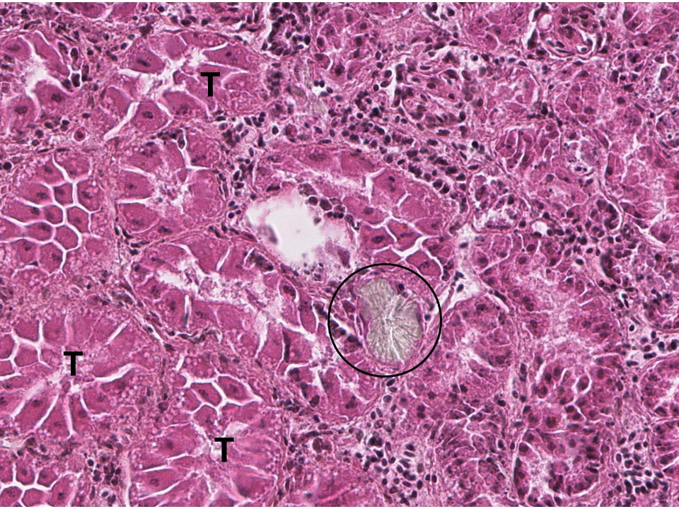
草酸鈣在H&E下的長相

A calcium oxalate crystal is seen in a renal tubule of a sandhill crane (Grus canadensis). These crystals, which have a broken glass appearance, are frequently associated with inflammatory cells. T: Normal renal tubules.
http://blog.healthywildlife.ca/calcium-oxalate-crystals-in-the-kidneys/
16
0
#5826229



11
0
#6529496
- 代謝產物與腎損傷機制
-
- 乙二醇經肝臟酒精脫氫酶氧化,依序生成 glycolaldehyde → glycolic acid → glyoxylate → oxalate。其中 glycolic acid 對近曲小管上皮具直接細胞毒性,導致 急性腎小管壞死 (acute tubular necrosis, ATN)。
- 草酸鈣結晶的形成與損害
- 生成之 oxalate 與血鈣結合,於小管腔、上皮細胞與間質內沉積 草酸鈣結晶。大量結晶造成 管腔阻塞與機械性壓迫,加劇上皮壞死。
- 結晶的顯微特徵
- 在偏光顯微鏡下,草酸鈣呈 強雙折射、形態多為放射狀花束或菊花狀(rosettes/sheaves)。

1
0